肾上腺髓脂肪瘤一例
作者:郭玲玲 徐彩珍 张荣阁 李红
单位:
250012 济南,山东医科大学附属医院病理科(郭玲玲、徐彩珍、李红);河北省衡水市卫生学校(张荣阁)
关键词:
患者男 患者男,64岁。因右侧腰部阵发性疼痛10年余,加重呈持续性2年,于1997年12月6日入院。患者自10年前出现腰部阵发性隐痛不适,每于久坐后发作,活动后缓解,经当地医院B超诊断为“右肝、右肾囊肿”,因疼痛不甚尚能忍受,故未进一步诊治。近2年来,右侧腰部持续不适,疼痛加重,来我院就诊。体检:双肾区无叩痛,血压正常。CT及MRI示:左肾上腺实性占位,考虑为嗜铬细胞瘤;右肝及右肾囊肿。手术见左侧肾上腺内侧下极5 cm×5 cm实性占位,有完整包膜,与周围组织无粘连。右肾上极前内约15 cm×8 cm×8 cm大小多房囊肿,将其切除。
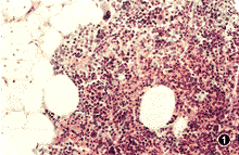
病理检查:圆形肿物1个,大小为4.2 cm×4.1 cm×3.5 cm,表面光滑,包膜完整,颜色暗红。切面中央大部分暗褐,似有出血、坏死,质软,周边包膜下为金黄色,呈环状,厚0.1 cm至0.3 cm,可能为肾上腺组织,与中央暗褐区界限清楚。镜下观察见肿物位于肾上腺内,由造血组织和脂肪组成。血小板系、红细胞系及粒细胞系均增生,各系增生细胞都有各阶段的幼稚细胞。巨核细胞核大、染色质粗。肿瘤与周边正常的肾上腺组织界限清,大部分受压的肾上腺萎缩,细胞数目减少(图1)。
图1 肿瘤与肾上腺交界处 HE×100
病理诊断:左肾上腺内髓脂肪瘤,右肾囊肿
讨论:肾上腺髓脂肪瘤是一种少见的肾上腺良性肿瘤。文献报道该瘤96%是经尸检发现的,其检出率为0.02%~0.08%。患者就诊以腰腹部疼痛最为多见,其他依次为高血压、上腹部肿块、肿块破裂大出血致腹膜后血肿。无任何症状体检时发现者占29.6%。本病与肾上腺的髓样化生可能是一种疾病,只是髓样化生没有脂肪成分。
(收稿:1998-04-30 修回:1998-10-19), 百拇医药
单位:
250012 济南,山东医科大学附属医院病理科(郭玲玲、徐彩珍、李红);河北省衡水市卫生学校(张荣阁)
关键词:
患者男 患者男,64岁。因右侧腰部阵发性疼痛10年余,加重呈持续性2年,于1997年12月6日入院。患者自10年前出现腰部阵发性隐痛不适,每于久坐后发作,活动后缓解,经当地医院B超诊断为“右肝、右肾囊肿”,因疼痛不甚尚能忍受,故未进一步诊治。近2年来,右侧腰部持续不适,疼痛加重,来我院就诊。体检:双肾区无叩痛,血压正常。CT及MRI示:左肾上腺实性占位,考虑为嗜铬细胞瘤;右肝及右肾囊肿。手术见左侧肾上腺内侧下极5 cm×5 cm实性占位,有完整包膜,与周围组织无粘连。右肾上极前内约15 cm×8 cm×8 cm大小多房囊肿,将其切除。
病理检查:圆形肿物1个,大小为4.2 cm×4.1 cm×3.5 cm,表面光滑,包膜完整,颜色暗红。切面中央大部分暗褐,似有出血、坏死,质软,周边包膜下为金黄色,呈环状,厚0.1 cm至0.3 cm,可能为肾上腺组织,与中央暗褐区界限清楚。镜下观察见肿物位于肾上腺内,由造血组织和脂肪组成。血小板系、红细胞系及粒细胞系均增生,各系增生细胞都有各阶段的幼稚细胞。巨核细胞核大、染色质粗。肿瘤与周边正常的肾上腺组织界限清,大部分受压的肾上腺萎缩,细胞数目减少(图1)。
图1 肿瘤与肾上腺交界处 HE×100
病理诊断:左肾上腺内髓脂肪瘤,右肾囊肿
讨论:肾上腺髓脂肪瘤是一种少见的肾上腺良性肿瘤。文献报道该瘤96%是经尸检发现的,其检出率为0.02%~0.08%。患者就诊以腰腹部疼痛最为多见,其他依次为高血压、上腹部肿块、肿块破裂大出血致腹膜后血肿。无任何症状体检时发现者占29.6%。本病与肾上腺的髓样化生可能是一种疾病,只是髓样化生没有脂肪成分。
(收稿:1998-04-30 修回:1998-10-19), 百拇医药