膀胱非功能性嗜铬细胞瘤一例
作者:倪向阳 王玉琴 吴骏
单位:
062552 河北省任丘,华北石油管理局总医院病理科(倪向阳),皮肤科(王玉琴),胸外科(吴骏)
关键词:
患者女 患者女,46岁。间断性全程肉眼血尿20余年,症状加重40天,于1992年11月2日入院。入院时血压在正常范围内,无排尿时血压升高等伴随症状。膀胱镜检查:膀胱体部见一蒂状物突起于膀胱壁,肿物约3.0 cm×3.0 cm×2.5 cm大小,表面有破溃出血。硬膜外麻醉下行部分膀胱切除术,术后血压无明显波动。
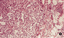
病理检查:结节状软组织标本2.5 cm×2.5 cm×2.0 cm大小,切面均质、褐色,无明显包膜。镜下观察:瘤细胞呈巢状及条索状分布,多边形,大小较一致,未见核分裂象,肿瘤间质富含毛细血管(图1)。嗜铬染色阳性。免疫组化:嗜铬粒A强阳性(图2)。

图1 膀胱嗜铬细胞瘤 HE×100 图2 示瘤细胞嗜铬粒A免疫组化染
色呈阳性 SP法×400
病理诊断:膀胱非功能性嗜铬细胞瘤
讨论:国内外文献报道嗜铬细胞瘤大多数为功能性肿瘤,而非功能性肿瘤较少,约8%~10%,多见于肾上腺内嗜铬细胞瘤。发生于膀胱的非功能性嗜铬细胞瘤,易误诊为膀胱癌。由于肿瘤形态多样,容易误诊,需要与下列几种肿瘤鉴别。(1)低分化移行细胞癌:前者癌细胞排列密集,多形性明显,后者细胞质浅淡或透明,血管丰富;免疫组化上皮膜抗原阳性。(2)颗粒性肌母细胞瘤:瘤细胞胞质宽广,含细颗粒,但细胞形状较一致,而嗜铬细胞瘤细胞多形,血窦丰富;免疫组化S-100 阳性。(3)化学感受器瘤:来源于副神经节,与非嗜铬性嗜铬细胞瘤不易鉴别,唯一的方法是嗜铬染色。嗜铬细胞瘤为良性肿瘤,手术局部切除即可,术后应长期膀胱镜复查、随诊以观察肿瘤有无恶性表现。本例术后随诊5年半,无复发及转移。
(收稿:1998-06-10 修回:1998-12-09), 百拇医药
单位:
062552 河北省任丘,华北石油管理局总医院病理科(倪向阳),皮肤科(王玉琴),胸外科(吴骏)
关键词:
患者女 患者女,46岁。间断性全程肉眼血尿20余年,症状加重40天,于1992年11月2日入院。入院时血压在正常范围内,无排尿时血压升高等伴随症状。膀胱镜检查:膀胱体部见一蒂状物突起于膀胱壁,肿物约3.0 cm×3.0 cm×2.5 cm大小,表面有破溃出血。硬膜外麻醉下行部分膀胱切除术,术后血压无明显波动。
病理检查:结节状软组织标本2.5 cm×2.5 cm×2.0 cm大小,切面均质、褐色,无明显包膜。镜下观察:瘤细胞呈巢状及条索状分布,多边形,大小较一致,未见核分裂象,肿瘤间质富含毛细血管(图1)。嗜铬染色阳性。免疫组化:嗜铬粒A强阳性(图2)。
图1 膀胱嗜铬细胞瘤 HE×100 图2 示瘤细胞嗜铬粒A免疫组化染
色呈阳性 SP法×400
病理诊断:膀胱非功能性嗜铬细胞瘤
讨论:国内外文献报道嗜铬细胞瘤大多数为功能性肿瘤,而非功能性肿瘤较少,约8%~10%,多见于肾上腺内嗜铬细胞瘤。发生于膀胱的非功能性嗜铬细胞瘤,易误诊为膀胱癌。由于肿瘤形态多样,容易误诊,需要与下列几种肿瘤鉴别。(1)低分化移行细胞癌:前者癌细胞排列密集,多形性明显,后者细胞质浅淡或透明,血管丰富;免疫组化上皮膜抗原阳性。(2)颗粒性肌母细胞瘤:瘤细胞胞质宽广,含细颗粒,但细胞形状较一致,而嗜铬细胞瘤细胞多形,血窦丰富;免疫组化S-100 阳性。(3)化学感受器瘤:来源于副神经节,与非嗜铬性嗜铬细胞瘤不易鉴别,唯一的方法是嗜铬染色。嗜铬细胞瘤为良性肿瘤,手术局部切除即可,术后应长期膀胱镜复查、随诊以观察肿瘤有无恶性表现。本例术后随诊5年半,无复发及转移。
(收稿:1998-06-10 修回:1998-12-09), 百拇医药