胰母细胞瘤一例
作者:张美德 陈光华 曾荣新
单位:510120 广州市儿童医院病理科
关键词:
中华病理学杂志/990231 患儿男,6岁。因厌食,进行性消瘦2年,并在22天前发现左上腹部肿物,于1998年3月12日入院。体检:营养不良,体重12 kg,皮肤粘膜未见黄染,左上腹部隆起。触诊肿物约12 cm×8 cm×8 cm,表面不光滑,无压痛或波动感,移动较差。肿物已越过中线。手术所见:肿物位于左上腹膜后,在肝左叶及胰头间的十二指肠弓内,包膜完整,质硬,与周围组织无明显粘连,肿物将十二指肠向左向下推移。将肿物全部摘除,术后患儿死亡。临床诊断:(1)腹部畸胎瘤?(2)神经母细胞瘤?
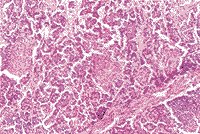
病理检查:肿物8.5 cm×6.5 cm×6.0 cm,包膜完整,质硬,切面灰白色,有细小纤维分隔成小结节状,中央见胶冻状物质。镜下检查,瘤细胞由上皮和间叶成分组成。瘤细胞大小较一致,呈多角形、巢状、条索状或腺泡状排列。并见梭形细胞围绕成鳞状小体的实性细胞团(图1),即鳞状上皮小岛。未见核分裂象。间质见成熟的胶原纤维。免疫组化:上皮膜抗原,癌胚抗原,角蛋白, 神经元特异性烯醇酶,α-抗胰蛋白酶均阳性。
图1 梭形细胞围绕成龄状小体的实性细胞团 HE×200
病理诊断:胰母细胞瘤 讨论:胰母细胞瘤属罕见的儿童母细胞瘤。根据klimstra 1995年提出的14例胰母细胞瘤报道及文献复习,胰母细胞瘤大多发生在婴幼儿,小儿少见,而成人病例则更罕见[1]。多数胰母细胞瘤发病部位在胰头部,少数发生在胰体和(或)胰尾。腹部肿块为主要临床表现,体重减轻,腹痛及黄疸均不多见。少数病例发生转移,最常见的转移部位为肝,其次为肺及局部淋巴腺,全身播散性转移罕见。其诊断依据除上皮细胞巢及腺泡形成外,最特征性的改变为鳞状小体。鳞状小体小至细胞仅10~15个,大则可聚集成直径1 mm的小岛。常位于上皮小叶中央,细胞较大而中央空虚;胞质丰富,呈较强的嗜酸性染色,小体与周围组织分界清楚。胰母细胞瘤内很难找到输出管的结构,胰母细胞瘤与其它小儿母细胞瘤不同之处在于它的间质不属于瘤间质,而是纤维母细胞的纤维组织。它与上皮性肿瘤组织分界明显,不存在过渡,文献中仅有2例出现软骨与骨化生,还没有间质呈肉瘤形态的报道[2]。胰母细胞瘤为局部浸润性,易复发和转移的恶性肿瘤。42%患者死于肿瘤,死亡病例平均生存期为17个月[2],但亦有不少病例因手术切除彻底而治愈。
参考文献
1 Klimstra DS, Wenig BM,Adair CF, et al. Pancrea to blastoma. A clinicopathologic study and review of the literature. Am J Surg Pathology, 1995, 19:1371-1389.
2 Cubilla AL, Fitzgerald PJ. Tumors of the excrine pancreas. In: Hartman WH, Sobin LH, eds. Atlas of tumor pathology. 2nd ed. Washington: Armed Forces Institute of Pathology, 1984. 195.
(收稿:1998-06-30 修回:1998-10-12), 百拇医药
单位:510120 广州市儿童医院病理科
关键词:
中华病理学杂志/990231 患儿男,6岁。因厌食,进行性消瘦2年,并在22天前发现左上腹部肿物,于1998年3月12日入院。体检:营养不良,体重12 kg,皮肤粘膜未见黄染,左上腹部隆起。触诊肿物约12 cm×8 cm×8 cm,表面不光滑,无压痛或波动感,移动较差。肿物已越过中线。手术所见:肿物位于左上腹膜后,在肝左叶及胰头间的十二指肠弓内,包膜完整,质硬,与周围组织无明显粘连,肿物将十二指肠向左向下推移。将肿物全部摘除,术后患儿死亡。临床诊断:(1)腹部畸胎瘤?(2)神经母细胞瘤?
病理检查:肿物8.5 cm×6.5 cm×6.0 cm,包膜完整,质硬,切面灰白色,有细小纤维分隔成小结节状,中央见胶冻状物质。镜下检查,瘤细胞由上皮和间叶成分组成。瘤细胞大小较一致,呈多角形、巢状、条索状或腺泡状排列。并见梭形细胞围绕成鳞状小体的实性细胞团(图1),即鳞状上皮小岛。未见核分裂象。间质见成熟的胶原纤维。免疫组化:上皮膜抗原,癌胚抗原,角蛋白, 神经元特异性烯醇酶,α-抗胰蛋白酶均阳性。
图1 梭形细胞围绕成龄状小体的实性细胞团 HE×200
病理诊断:胰母细胞瘤 讨论:胰母细胞瘤属罕见的儿童母细胞瘤。根据klimstra 1995年提出的14例胰母细胞瘤报道及文献复习,胰母细胞瘤大多发生在婴幼儿,小儿少见,而成人病例则更罕见[1]。多数胰母细胞瘤发病部位在胰头部,少数发生在胰体和(或)胰尾。腹部肿块为主要临床表现,体重减轻,腹痛及黄疸均不多见。少数病例发生转移,最常见的转移部位为肝,其次为肺及局部淋巴腺,全身播散性转移罕见。其诊断依据除上皮细胞巢及腺泡形成外,最特征性的改变为鳞状小体。鳞状小体小至细胞仅10~15个,大则可聚集成直径1 mm的小岛。常位于上皮小叶中央,细胞较大而中央空虚;胞质丰富,呈较强的嗜酸性染色,小体与周围组织分界清楚。胰母细胞瘤内很难找到输出管的结构,胰母细胞瘤与其它小儿母细胞瘤不同之处在于它的间质不属于瘤间质,而是纤维母细胞的纤维组织。它与上皮性肿瘤组织分界明显,不存在过渡,文献中仅有2例出现软骨与骨化生,还没有间质呈肉瘤形态的报道[2]。胰母细胞瘤为局部浸润性,易复发和转移的恶性肿瘤。42%患者死于肿瘤,死亡病例平均生存期为17个月[2],但亦有不少病例因手术切除彻底而治愈。
参考文献
1 Klimstra DS, Wenig BM,Adair CF, et al. Pancrea to blastoma. A clinicopathologic study and review of the literature. Am J Surg Pathology, 1995, 19:1371-1389.
2 Cubilla AL, Fitzgerald PJ. Tumors of the excrine pancreas. In: Hartman WH, Sobin LH, eds. Atlas of tumor pathology. 2nd ed. Washington: Armed Forces Institute of Pathology, 1984. 195.
(收稿:1998-06-30 修回:1998-10-12), 百拇医药