致伤前后不同时间照射对大鼠伤口愈合的影响规律
作者:谷庆阳 王德文 高亚兵 崔彩彬 夏国伟 崔雪梅 熊呈琦
单位:(100850 北京放射医学研究所)
关键词:放射;伤口愈合;大鼠;胶原
中华放射医学与防护杂志000207 【摘要】 目的 观察致伤前后不同时间照射对大鼠伤口愈合的影响规律。方法 采用大体及光镜观察、免疫组化(显示Ⅲ型胶原)和原位杂交(检测Ⅰ、Ⅲ型胶原mRNA)等方法,动态观察致伤前后不同时间照射对大鼠伤口愈合影响的病理变化过程。结果 伤前2 d至伤后7 d照射均能延迟伤口愈合,其中以伤后即刻照射影响最显著,其余依次为伤后3 d、伤前2 d及伤后7 d照射。结论 不同时间照射大鼠伤口愈合的影响程度不同。
Pathological study on regularity of wound healing in rats irradiated with γ-rays before or after suffering trauma
, http://www.100md.com
GU Qingyang,WANG Dewen,GAO Yabing,et al.
(Institute of Radiation Medicine,Beijing 100850,China)
【Abstract】 Objective To study the different effects of radiation on wound healing in rats irradiated with γ rays before or after suffering trauma. Methods Animal models of wound healing were set up,and they were locally irradiated before or after suffering trauma.The pathological changes were studied by gross and microscopic examinations.Immunohistochemistry and in situ hybridization were performed to detect the expression of collagen types Ⅰ and Ⅲ. Results Wound healing was impaired and delayed obviously in rats locally irradiated with 15 Gy in the time period betwecn 2 days before and 7 days after receiving trauma.The strongest effect was observed in rats irradiated immediately after trauma.Irradiation given on day 3 after trauma and day 2 before trauma resulted in moderate effects,while the least effect was noted in rats irradiated on day 7 after trauma. Conclusion The effect of radiation on wound healing depends on the time of irradiation before or after receiving trauma.
, http://www.100md.com
【Key words】 Irradiation; Wound healing; Rats; Collagen; Comparative analysis
在辐射对伤口愈合影响规律和机理的研究中,其基本病理变化规律和剂量效应关系已有作者报道[1,2],但国外学者和作者较前的研究主要侧重于伤前照射对伤口愈合的影响,而对于伤后照射的影响虽有报道[3]但较少。本实验拟在大鼠放射复合伤口愈合模型的基础上,从大体、光镜和分子水平对致伤前后不同时间照射对伤口愈合影响的病理变化过程进行较系统地观察,为阐明不同时间照射造成的不同影响及其机理提供实验依据。
材料和方法
1.实验动物分组及动物模型制备:雌性Wistar大白鼠,体重200±20 g,随机分为未照射组和伤前2 d、伤后即刻、伤后3 d和7 d照射组,每组15只动物。经备皮并以30 mg/kg体重戊巴比妥钠腹腔注射麻醉后,在每只大鼠背部切3个创面,创面长1.2 cm,宽0.7 cm,深达皮下组织全层,创面之间间隔1.0 cm。术后以灭菌凡士林纱布包扎伤口,单笼饲养动物。
, http://www.100md.com
2.照射方式及条件:采用60Co γ射线局部照射,照射野为创面及其周围0.5 cm范围,照射剂量为15 Gy,剂量率为1.66 Gy/min(作者前期研究结果表明,15 Gy局部照射对伤口愈合有明显影响,但不致造成不愈合)。
3.观察指标:包括动物全身状况及伤口局部变化。将动物创面面积描印在透明薄膜上,然后用QTM970型自动图像分析仪测量其大小,并进行统计学处理。分别于伤后3、7、10、14 d及伤口完全愈合当天各活杀3只动物取材,将伤处皮肤分两部分各置于10%中性缓冲福尔马林液和4%多聚甲醛-PBS-Mg++溶液中固定,石蜡包埋,常规切片后行HE染色、免疫组化染色和原位杂交。
4.免疫组化染色法:Ⅲ型胶原多克隆抗体由第四军医大学病理室提供,1∶50稀释,以biotin标记羊抗兔抗体(1∶200)和ABC试剂盒(1∶100,Vector)检测,DAB显色。以PBS代替一抗作为阴性对照。
, 百拇医药
5.原位杂交:Ⅰ型胶原cDNA全长序列克隆于pUC19中,以Xho Ⅰ单酶切,探针长度为867 bp;Ⅲ型胶原cDNA全长序列克隆于pBR322中,以EcoR Ⅰ单酶切,探针长度1 500 bp。
采用Boehringer Mannheim公司的“DIG DNA Labeling and Detection Kit”进行标记和检测[2]。以不加探针和杂交前以RNaseA消化切片30 min作为阴性对照。
结 果
1.动物全身状况及伤口局部观察:喂养期间所有动物活动及进食情况良好。伤后5 d,照射组共有10个创面轻微感染,3个创面出现溃烂,深达肌层(溃烂创面未纳入研究);未照射组创面无明显感染。
动物创面面积变化及创面愈合时间见图1。
, http://www.100md.com
从图1可见,伤后即刻照射对伤口愈合的延迟作用最明显,伤前2 d和伤后3 d照射次之,伤后7 d照射影响最轻。
图1 致伤前后不同时间照射组动物平均创面面积变化
2.光镜观察:伤后3 d,未照射组伤口表面渗出非常明显,渗出物中有大量巨噬细胞和中性粒细胞,形成炎细胞“隔离带”,肉芽组织灶内成纤维细胞增生较活跃(图2A);而伤前2 d及伤后即刻照射组创面渗出物明显较少,尤以白细胞渗出减少为著,并有小灶状出血发生(图2B)。伤后3 d及7 d照射组情况与未照射组基本相同。
图2 致伤后不同时间创面的变化
伤后3天,未照射组创面内有大量渗出物,其中含大量巨噬细胞和中性粒细胞(A);伤后即刻照射组创面渗出物较少,有出血现象(B)HE染色×100
, http://www.100md.com
伤后7 d,各组创面内均出现多量肉芽组织。其中以未照射组肉芽组织层最厚,成纤维细胞和新生毛细血管含量最为丰富(图3A),新生表皮细胞也已覆盖大部分创面;而伤后即刻照射组肉芽组织层明显较对照组薄,其中新生血管数量亦较少,表面常有出血(图3B);伤前2 d照射组和伤后3 d照射组肉芽组织厚度介于上述两组之间,伤后7 d照射组与未照射组相近。免疫组化和原位杂交结果显示:未照射组肉芽组织中Ⅲ型胶原蛋白呈强阳性(+++)(图4A),其成纤维细胞内Ⅰ、Ⅲ型胶原mRNA亦均显示较强阳性(+++);而伤后即刻照射组创面组织内Ⅲ型胶原蛋白阳性程度较弱(+)(图4B),其成纤维细胞内Ⅰ、Ⅲ型胶原mRNA亦均呈弱阳性(+);伤前2 d和伤后3 d照射组胶原基因转录及胶原蛋白表达强度介于上述两组之间,伤后7 d照射组与未照射组相近。
伤后10 d,各组创面组织的变化情况如表1示。
表1 伤后10 d时各间照射组动物创面组织的变化 动物分组
, http://www.100md.com
肉芽组
织厚度
新生血
管数量
表皮覆
盖情况
Ⅲ型胶
原蛋白
Ⅰ型胶
原mRNA
未照射组
++++
+++
, 百拇医药
++++
+++
+++
伤前2 d
+++
+++
+++
++
++
伤后立即
++
++
++
, http://www.100md.com
+
++
伤后3 d
+++
+++
++
++
+
伤后7 d
++++
+
+++
++
, 百拇医药 ++
伤后14 d,各组创面内组织以纤维细胞为主,毛细血管数量减少。其中以未照射组肉芽组织最为“成熟”(纤维细胞为主,胶原束增多,血管减少,表皮细胞层变薄),伤后7 d、伤前2 d和伤后3 d照射组肉芽组织成熟程度依次变差,伤后即刻照射组创面尚未完全愈合。免疫组化和原位杂交结果显示:伤后即刻照射组创面内Ⅲ型胶原及Ⅰ、Ⅲ型胶原mRNA阳性程度较强(++),其余各组尤以未照射组和伤后7 d照射组阳性程度较弱(+)。
图3 致伤后不同时间创面的变化
伤后7天,未照射组创面肉芽组织层较厚,且较为“成熟”(A);伤后即刻照射组创面肉芽组织层较薄,新生血管数量较少(B)。HE染色 ×100
, http://www.100md.com
图4 致伤后不同时间创面的变化
伤后7天,未照射组肉芽组织中Ⅲ型胶原蛋白强阳性(A);伤后即刻照射组肉芽组织
中Ⅲ型胶原蛋白阳性程度较弱(B)。免疫组化染色 ×300
讨 论
大剂量辐射对伤口愈合有明显的延迟作用[1,3],Gorodetsky认为在伤前1 h~95 d范围内给予18 Gy的表面照射对伤口愈合的损害程度是相似的[5]。但伤前与伤后不同时间照射可影响伤口愈合的不同时期,从而对伤口愈合产生不同程度的影响。从我们的实验结果可见,以伤后即刻照射影响最著,其余依次为伤后3 d、伤前2 d和伤后7 d照射。我们认为其原因:①伤前2 d和伤后即刻照射均明显抑制创伤愈合早期的炎症反应,尤以单核细胞和中性粒细胞渗出的减少为甚,且受照射区血管结构和神经 末梢结构同时遭到破坏,这就对肉芽组织形成期的启动极为不利,导致伤后即刻照射组伤口愈合时间延迟最著;而于伤前2 d照射时则因创伤尚未发生,组织修复细胞(如成纤维细胞和低分化的间充质细胞等)处于相对静止期而对辐射损伤敏感性较低,所以该组较伤后即刻照射组愈合略早。②伤后3 d照射主要影响肉芽组织形成的启动和肉芽组织的生长。射线一方面损伤已聚集在受伤区域的巨噬细胞、中性粒细胞和血小板等,从而减少了大量生长因子的来源,另外还对已开始迁移和分裂过程的成纤维细胞、血管内皮细胞等多种细胞成分造成直接损伤,使其分裂、分泌活动停止[6]。伤后3 d照射组的炎症期未受影响,使之早于伤后即刻照射组愈合,而其受照射时组织修复细胞放射敏感性增高(处于分裂、分泌旺盛期),使之晚于伤前2 d照射组愈合。③伤后7 d照射主要影响肉芽组织的成熟及新生组织的改建,而对伤口愈合时间影响较小。
, http://www.100md.com
基金项目:九五全军重点招标课题(96Z008)
参考文献
1,Gu Qingyang,Wang Dewen,Cui Caibin,et al.Effects of radiation on wound healing.JEPOT,1998,17:117-121.
2,谷庆阳,王德文,崔彩彬,等.不同剂量照射对大鼠伤口愈合影响规律的分子病理学研究.中华放射医学与防护杂志,1998,18:166-169.
3,Tokarek,Bernstein EF,Sullivan F,et al.Effect of therapeutic radiation on wound healing.Clin Dermatol,1994,12:57-61.
4,苏慧慈.原位杂交.北京:中国科学技术出版社,1994;149-155.
, 百拇医药
5,Gorodetsky R,McBride WH,Withers HR,et al.Assay of radiation effects in mouse skin as expressed in wound healing.Radiat Res,1988,116:135-139.
6,Rudolph R,Berg JV,Schneider JA,et al.Slowed growth of cultured fibroblasts from human radiation wounds.Plast Reconstr Surg,1998,10:669-672.
(收稿日期:1999-04-04), 百拇医药
单位:(100850 北京放射医学研究所)
关键词:放射;伤口愈合;大鼠;胶原
中华放射医学与防护杂志000207 【摘要】 目的 观察致伤前后不同时间照射对大鼠伤口愈合的影响规律。方法 采用大体及光镜观察、免疫组化(显示Ⅲ型胶原)和原位杂交(检测Ⅰ、Ⅲ型胶原mRNA)等方法,动态观察致伤前后不同时间照射对大鼠伤口愈合影响的病理变化过程。结果 伤前2 d至伤后7 d照射均能延迟伤口愈合,其中以伤后即刻照射影响最显著,其余依次为伤后3 d、伤前2 d及伤后7 d照射。结论 不同时间照射大鼠伤口愈合的影响程度不同。
Pathological study on regularity of wound healing in rats irradiated with γ-rays before or after suffering trauma
, http://www.100md.com
GU Qingyang,WANG Dewen,GAO Yabing,et al.
(Institute of Radiation Medicine,Beijing 100850,China)
【Abstract】 Objective To study the different effects of radiation on wound healing in rats irradiated with γ rays before or after suffering trauma. Methods Animal models of wound healing were set up,and they were locally irradiated before or after suffering trauma.The pathological changes were studied by gross and microscopic examinations.Immunohistochemistry and in situ hybridization were performed to detect the expression of collagen types Ⅰ and Ⅲ. Results Wound healing was impaired and delayed obviously in rats locally irradiated with 15 Gy in the time period betwecn 2 days before and 7 days after receiving trauma.The strongest effect was observed in rats irradiated immediately after trauma.Irradiation given on day 3 after trauma and day 2 before trauma resulted in moderate effects,while the least effect was noted in rats irradiated on day 7 after trauma. Conclusion The effect of radiation on wound healing depends on the time of irradiation before or after receiving trauma.
, http://www.100md.com
【Key words】 Irradiation; Wound healing; Rats; Collagen; Comparative analysis
在辐射对伤口愈合影响规律和机理的研究中,其基本病理变化规律和剂量效应关系已有作者报道[1,2],但国外学者和作者较前的研究主要侧重于伤前照射对伤口愈合的影响,而对于伤后照射的影响虽有报道[3]但较少。本实验拟在大鼠放射复合伤口愈合模型的基础上,从大体、光镜和分子水平对致伤前后不同时间照射对伤口愈合影响的病理变化过程进行较系统地观察,为阐明不同时间照射造成的不同影响及其机理提供实验依据。
材料和方法
1.实验动物分组及动物模型制备:雌性Wistar大白鼠,体重200±20 g,随机分为未照射组和伤前2 d、伤后即刻、伤后3 d和7 d照射组,每组15只动物。经备皮并以30 mg/kg体重戊巴比妥钠腹腔注射麻醉后,在每只大鼠背部切3个创面,创面长1.2 cm,宽0.7 cm,深达皮下组织全层,创面之间间隔1.0 cm。术后以灭菌凡士林纱布包扎伤口,单笼饲养动物。
, http://www.100md.com
2.照射方式及条件:采用60Co γ射线局部照射,照射野为创面及其周围0.5 cm范围,照射剂量为15 Gy,剂量率为1.66 Gy/min(作者前期研究结果表明,15 Gy局部照射对伤口愈合有明显影响,但不致造成不愈合)。
3.观察指标:包括动物全身状况及伤口局部变化。将动物创面面积描印在透明薄膜上,然后用QTM970型自动图像分析仪测量其大小,并进行统计学处理。分别于伤后3、7、10、14 d及伤口完全愈合当天各活杀3只动物取材,将伤处皮肤分两部分各置于10%中性缓冲福尔马林液和4%多聚甲醛-PBS-Mg++溶液中固定,石蜡包埋,常规切片后行HE染色、免疫组化染色和原位杂交。
4.免疫组化染色法:Ⅲ型胶原多克隆抗体由第四军医大学病理室提供,1∶50稀释,以biotin标记羊抗兔抗体(1∶200)和ABC试剂盒(1∶100,Vector)检测,DAB显色。以PBS代替一抗作为阴性对照。
, 百拇医药
5.原位杂交:Ⅰ型胶原cDNA全长序列克隆于pUC19中,以Xho Ⅰ单酶切,探针长度为867 bp;Ⅲ型胶原cDNA全长序列克隆于pBR322中,以EcoR Ⅰ单酶切,探针长度1 500 bp。
采用Boehringer Mannheim公司的“DIG DNA Labeling and Detection Kit”进行标记和检测[2]。以不加探针和杂交前以RNaseA消化切片30 min作为阴性对照。
结 果
1.动物全身状况及伤口局部观察:喂养期间所有动物活动及进食情况良好。伤后5 d,照射组共有10个创面轻微感染,3个创面出现溃烂,深达肌层(溃烂创面未纳入研究);未照射组创面无明显感染。
动物创面面积变化及创面愈合时间见图1。
, http://www.100md.com
从图1可见,伤后即刻照射对伤口愈合的延迟作用最明显,伤前2 d和伤后3 d照射次之,伤后7 d照射影响最轻。
图1 致伤前后不同时间照射组动物平均创面面积变化
2.光镜观察:伤后3 d,未照射组伤口表面渗出非常明显,渗出物中有大量巨噬细胞和中性粒细胞,形成炎细胞“隔离带”,肉芽组织灶内成纤维细胞增生较活跃(图2A);而伤前2 d及伤后即刻照射组创面渗出物明显较少,尤以白细胞渗出减少为著,并有小灶状出血发生(图2B)。伤后3 d及7 d照射组情况与未照射组基本相同。
图2 致伤后不同时间创面的变化
伤后3天,未照射组创面内有大量渗出物,其中含大量巨噬细胞和中性粒细胞(A);伤后即刻照射组创面渗出物较少,有出血现象(B)HE染色×100
, http://www.100md.com
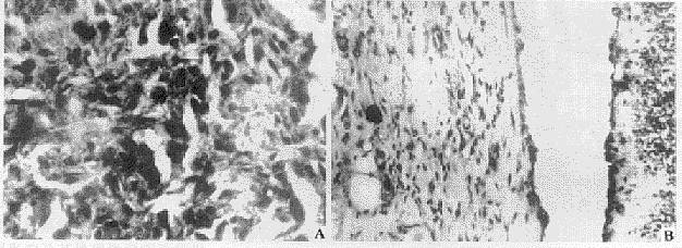
伤后7 d,各组创面内均出现多量肉芽组织。其中以未照射组肉芽组织层最厚,成纤维细胞和新生毛细血管含量最为丰富(图3A),新生表皮细胞也已覆盖大部分创面;而伤后即刻照射组肉芽组织层明显较对照组薄,其中新生血管数量亦较少,表面常有出血(图3B);伤前2 d照射组和伤后3 d照射组肉芽组织厚度介于上述两组之间,伤后7 d照射组与未照射组相近。免疫组化和原位杂交结果显示:未照射组肉芽组织中Ⅲ型胶原蛋白呈强阳性(+++)(图4A),其成纤维细胞内Ⅰ、Ⅲ型胶原mRNA亦均显示较强阳性(+++);而伤后即刻照射组创面组织内Ⅲ型胶原蛋白阳性程度较弱(+)(图4B),其成纤维细胞内Ⅰ、Ⅲ型胶原mRNA亦均呈弱阳性(+);伤前2 d和伤后3 d照射组胶原基因转录及胶原蛋白表达强度介于上述两组之间,伤后7 d照射组与未照射组相近。
伤后10 d,各组创面组织的变化情况如表1示。
表1 伤后10 d时各间照射组动物创面组织的变化 动物分组
, http://www.100md.com
肉芽组
织厚度
新生血
管数量
表皮覆
盖情况
Ⅲ型胶
原蛋白
Ⅰ型胶
原mRNA
未照射组
++++
+++
, 百拇医药
++++
+++
+++
伤前2 d
+++
+++
+++
++
++
伤后立即
++
++
++
, http://www.100md.com
+
++
伤后3 d
+++
+++
++
++
+
伤后7 d
++++
+
+++
++
, 百拇医药 ++
伤后14 d,各组创面内组织以纤维细胞为主,毛细血管数量减少。其中以未照射组肉芽组织最为“成熟”(纤维细胞为主,胶原束增多,血管减少,表皮细胞层变薄),伤后7 d、伤前2 d和伤后3 d照射组肉芽组织成熟程度依次变差,伤后即刻照射组创面尚未完全愈合。免疫组化和原位杂交结果显示:伤后即刻照射组创面内Ⅲ型胶原及Ⅰ、Ⅲ型胶原mRNA阳性程度较强(++),其余各组尤以未照射组和伤后7 d照射组阳性程度较弱(+)。
图3 致伤后不同时间创面的变化
伤后7天,未照射组创面肉芽组织层较厚,且较为“成熟”(A);伤后即刻照射组创面肉芽组织层较薄,新生血管数量较少(B)。HE染色 ×100
, http://www.100md.com
图4 致伤后不同时间创面的变化
伤后7天,未照射组肉芽组织中Ⅲ型胶原蛋白强阳性(A);伤后即刻照射组肉芽组织
中Ⅲ型胶原蛋白阳性程度较弱(B)。免疫组化染色 ×300
讨 论
大剂量辐射对伤口愈合有明显的延迟作用[1,3],Gorodetsky认为在伤前1 h~95 d范围内给予18 Gy的表面照射对伤口愈合的损害程度是相似的[5]。但伤前与伤后不同时间照射可影响伤口愈合的不同时期,从而对伤口愈合产生不同程度的影响。从我们的实验结果可见,以伤后即刻照射影响最著,其余依次为伤后3 d、伤前2 d和伤后7 d照射。我们认为其原因:①伤前2 d和伤后即刻照射均明显抑制创伤愈合早期的炎症反应,尤以单核细胞和中性粒细胞渗出的减少为甚,且受照射区血管结构和神经 末梢结构同时遭到破坏,这就对肉芽组织形成期的启动极为不利,导致伤后即刻照射组伤口愈合时间延迟最著;而于伤前2 d照射时则因创伤尚未发生,组织修复细胞(如成纤维细胞和低分化的间充质细胞等)处于相对静止期而对辐射损伤敏感性较低,所以该组较伤后即刻照射组愈合略早。②伤后3 d照射主要影响肉芽组织形成的启动和肉芽组织的生长。射线一方面损伤已聚集在受伤区域的巨噬细胞、中性粒细胞和血小板等,从而减少了大量生长因子的来源,另外还对已开始迁移和分裂过程的成纤维细胞、血管内皮细胞等多种细胞成分造成直接损伤,使其分裂、分泌活动停止[6]。伤后3 d照射组的炎症期未受影响,使之早于伤后即刻照射组愈合,而其受照射时组织修复细胞放射敏感性增高(处于分裂、分泌旺盛期),使之晚于伤前2 d照射组愈合。③伤后7 d照射主要影响肉芽组织的成熟及新生组织的改建,而对伤口愈合时间影响较小。
, http://www.100md.com
基金项目:九五全军重点招标课题(96Z008)
参考文献
1,Gu Qingyang,Wang Dewen,Cui Caibin,et al.Effects of radiation on wound healing.JEPOT,1998,17:117-121.
2,谷庆阳,王德文,崔彩彬,等.不同剂量照射对大鼠伤口愈合影响规律的分子病理学研究.中华放射医学与防护杂志,1998,18:166-169.
3,Tokarek,Bernstein EF,Sullivan F,et al.Effect of therapeutic radiation on wound healing.Clin Dermatol,1994,12:57-61.
4,苏慧慈.原位杂交.北京:中国科学技术出版社,1994;149-155.
, 百拇医药
5,Gorodetsky R,McBride WH,Withers HR,et al.Assay of radiation effects in mouse skin as expressed in wound healing.Radiat Res,1988,116:135-139.
6,Rudolph R,Berg JV,Schneider JA,et al.Slowed growth of cultured fibroblasts from human radiation wounds.Plast Reconstr Surg,1998,10:669-672.
(收稿日期:1999-04-04), 百拇医药