细胞因子及其受体在放射性肺纤维化发生中的分子病理机理研究
作者:刘纯杰 王德文 高亚兵 龙建银 彭瑞云 谷庆阳 崔雪梅 宋一平 杨振国 夏国伟 潘耀谦
单位:刘纯杰 王德文 高亚兵 龙建银 彭瑞云 谷庆阳 崔雪梅 宋一平 夏国伟(100850 北京放射医学研究所);杨振国 潘耀谦(军需大学动医系)
关键词:细胞因子; 受体; 分子病理机理; 放射性肺纤维化
中华放射医学与防护杂志000605 【摘要】 目的 调查几种细胞因子及其受体在放射性肺纤维化(RPF)发生中的作用。方法采用免疫组织化学、细胞免疫化学和原位杂交的方法对RPF大鼠肺组织细胞进行了研究。结果正常大鼠肺组织有TGFβ1和TGFβR的弱表达,照射动物肺脏TGFβ1的表达于照射后2周开始增高,从第8周直到3月表达水平最高。肺脏表达TGFβ1的部位主要是支气管上皮细胞、肺泡巨噬细胞、肺泡上皮细胞、支气管和血管平滑肌细胞以及成纤维细胞等。TGFβ2的表达变化规律除了比TGFβ1稍弱外类似于TGFβ1。TGFβR表达增强的时间比TGFβ1稍晚,于第8周开始增强,直到1年也保持较高水平的表达。bFGF和PDGF在照射后2~3个月表达水平明显增高。对支气管肺泡灌洗液中的细胞TGFβ1免疫细胞化学研究表明:其中的细胞,特别是巨噬细胞表达时间出现得较早,于照射后1周即有许多巨噬细胞呈现 TGFβ1较强的表达。从肺组织培养的细胞研究表明,来源于照射后3月肺组织的成纤维细胞呈现较强的TGFβ1阳性。用地高辛标记的TGFβ1探针和α1(I)寡核苷酸探针原位杂交试验表明,TGFβ1 mRNA表达水平于2~8周表达最高,而α1(I)前胶原mRNA则从6周开始增强,到3月表达出现高峰,稍滞后于TGFβ1的峰值期,与TGFβ1的表达呈现明显的时空关联和交叠现象。结论 TGFβ1在RPF发生中起着重要的作用,TGFβ2、TGFβR、bFGF和PDGF-A也参与了RPF的形成过程。
, http://www.100md.com
Role of growth factors in molecular pathogenetic mechanism of radiation pulmonary fibrosis
LIU Chunjie,WANG Dewen,GAO Yabing,et al.
(Beijing Institute of Radiation Medicine, Beijing 100850,China)
【Abstract】 Objective To investigate the role of growth factors and their receptors in radiation pulmonary fibrosis(RPF). Methods Immunohistochemisty,immunocytochemistry and in situ hybridization were used. Results The normal rat lung tissue weakly expressed TGFβ1 and TGFβ receptor (TGFβR).The expression of TGFβ1 in rat lung increased at 2 weeks after irradiation and its highest level maintained from 8 weeks to 3 months.The positive localization of TGFβ1 in lung was the epithelial cells of bronchi,alveolar macrophages,alveolar epithelial cells, smooth muscle cells of the bronchial and arteriolar wall and fibroblasts.The expression of TGFβ2 was similar to that of TGFβ1.The time of increased expression of TGFβR was later than that of TGFβ1.i,e. It increased at 8 weeks and kept a higher level of expression throughout one year.Stronger expressions of the bFGF and PDGF were also observed in 2-3 months postirradiation.The expression of TGFβ1 in the cells of bronchoalveolar lavage fluid was investigated.The results showed that macrophages were one of the earliest cells showing positive reaction,i,e. they presented positive at 1 week. For the cultured Wistar rat lung fibroblasts,TGFβ1 expression was stronger at 3 months postirradiation. By means of in situ hybridization with TGFβ1 probe and α1(I) oligonucleotide probe,the expression of TGFβ1 mRNA was increased at 2-8 weeks and α1(I) procollagen mRAN was increased at 6 weeks, but the expression peak appeared at 3 months postirradiation. The expressions of TGFβ1 and α1(I) procollagen were mutually connected and overlapped both in time and space. Conclusion TGFβ1 may play an important role in the pathogenesis of RPF. TGFβ2,TGFβR,bFGF and PDGF-A also participate in the pathogenetic process.
, 百拇医药
【Key words】 Cytokine; Receptor; Molecular pathogenetic mechanism; Radiation pulmonary fibrosis
尽管人们对放射性间质性肺炎的研究已有了一百年的历史,对其病变发生规律进行了多角度不同层次的研究,如从病理形态学角度,从形态与功能结合角度,从病变发生过程中参与细胞作用角度,以及从整体、系统、细胞,甚至从分子角度进行了研究,因而对本病的病变发生规律及特点有了较为深刻的认识。然而对其发病机理尚未完全阐明,至今为止,关于其发病机理人们提出了许多学说或观点[1-3]。近来,关于细胞生长因子介导肺纤维化发生的观点越来越受到人们的重视[4]。据此,我们利用60Co γ 射线30 Gy全胸单剂量照射Wistar 大鼠建立的肺纤维化模型,进行了TGFβ1、TGFβ2、bFGF、PDGF-A和TGFβRI在其中表达及其作用机理的研究,现报道如下。
, 百拇医药
材料和方法
1.材料
(1)标本来源:健康雌性 Wistar 大鼠由军事医学科学院实验动物中心提供,实验等级为二级,数量2只,体重(220±20)g。用60Co γ射线进行全胸照射,其中照距为3 m,照射剂量率为6.966×10-2C*kg-1*min-1(270 R/min),剂量为30 Gy。于照射后3 d、1、2、3、4、6、8、10周、3、6、9、和12个月共12个时间点取材,并且将照射后3 d ~3个月的支气管肺泡灌洗液细胞制作甩片,照射后1、2和3月的大鼠肺组织进行细胞培养,制备传3~6代细胞的甩片。
(2)抗体及检测试剂:TGFβ1、TGFβ2、bFGF(FGF-2)、PDGF-A 和TGFβRI 均为Santa Cruz 公司产品,购自北京中山生物技术有限公司。这些产品均为兔抗人IgG多抗,可用于小鼠、大鼠和人的组织。兔ABC kit,系美国Vector公司产品,也购自北京中山生物技术有限公司。
, 百拇医药
(3)TGFβ1探针和α1(I)寡核苷酸探针:含有TGFβ1 探针的克隆质粒由军事医学科学院三所龙建银博士惠赠。重组质粒经碱变性法提取纯化后,用 EcoRI/HindⅢ双酶切回收1.0 kb的TGFβ1片段,经地高辛随机引物标记法制备成探针。α1(I) 寡核苷酸探针参照文献[5],序列由军事医学科学院二所合成,其序列为:5’-AGGGCCAGTCTCAGCACGGTCACCCTTGGC-3’,是相对应于α1(I)前胶原氨基酸854~863位的反义序列,经3’末端标记法制备成探针。
(4)地高辛DNA标记和检测试剂盒及地高辛寡核苷酸加尾标记试剂盒:购自德国Boehringer Mannheim公司。
2.方法
(1)探针地高辛随机引物标记法和寡核苷酸地高辛3’-OH末端加尾标记法:参照试剂盒说明书进行。
, 百拇医药
(2)组织或细胞免疫化学染色采用ABC方法进行。
(3)mRNA原位杂交实验方法参照文献[6]进行。
(4)肺组织成纤维细胞原代及传代培养法参照文献[7]进行。
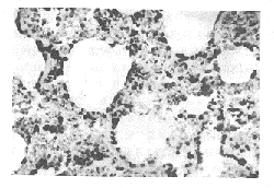
图1 照后3月,大鼠肺组织TGFβ1
免疫组化染色呈现强阳性反应
(ABC法 ×400)
结 果
1.大鼠照射后不同时间点各种生长因子及受体免疫组化染色结果
, 百拇医药
通过采用免疫组织化学的方法,我们对各取材点的大鼠肺组织,进行了TGFβ1、TGFβ2、bFGF、PDGF-A和TGFβRI在其中表达变化规律的研究。结果表明,正常大鼠肺组织即有TGFβ1和TGFβRI的弱表达,照射动物肺脏TGFβ1的表达于照射后2周开始增高,于第4周明显增强,从第8周直到3个月表达水平最高,之后开始下降,但仍维持比正常对照较高水平的表达(图1、2)。肺脏表达TGFβ1的部位主要是支气管上皮细胞,肺泡巨噬细胞、肺泡上皮细胞、支气管和血管平滑肌细胞以及成纤维细胞等。TGFβ2 的表达变化规律除了比 TGFβ1稍弱外类似于TGFβ1。TGFβRI表达增强的时间比TGFβ1稍晚,于第8周开始增强,直到1年仍保持较高水平的表达。对于bFGF和PDGF-A,我们也进行了照射后3个月以内各时间点大鼠肺组织中表达的研究,结果表明,这两种生长因子在照射后大鼠肺组织中的表达也增强,其中在照射后2~3个月表达水平明显增高。
图2 照射后不同时间大鼠肺组织TGFβ1
, http://www.100md.com
表达的积分光密度值的变化
图3 照后1周,大鼠支气管肺泡灌洗液中
大部分巨噬细胞呈现TGFβ1免疫组化强阳性反应
(ABC法 ×400)
2.支气管肺泡灌洗液细胞和组织培养细胞TGFβ1免疫细胞化学染色结果
采用细胞免疫化学的方法,对照射后3 d~3个月的支气管肺泡灌洗液细胞甩片以及照后1、2和3个月的组织培养细胞的传3~6代细胞甩片进行了研究。对支气管肺泡灌洗液中的细胞TGFβ1免疫细胞化学研究表明:其中的细胞,特别是巨噬细胞表达时间出现得较早,于照射后1周即有许多巨噬细胞呈现TGFβ1较强的表达(图3),照射后4周灌洗液中阳性细胞数量增多、表达强度增加,照射后8周发生TGFβ1强阳性表达。从肺组织培养的细胞研究表明,来源于照射后3个月肺组织的成纤维细胞呈现较强的TGFβ1阳性。
, http://www.100md.com
3.TGFβ1和α1(I)探针原位杂交结果
用地高辛标记的TGFβ1探针和α1(I)寡核苷酸探针原位杂交试验表明,大鼠肺组织中TGFβ1 mRNA表达水平于照射后2~8周表达最高(图4),而α1(I)前胶原mRNA则从照射后6周开始增强,到3个月表达出现高峰,稍滞后于TGFβ1的峰值期,与TGFβ1的表达呈现明显的时空关联和交叠现象。
图4 照后4周,大鼠肺组织TGFβ1 mRNA
原位杂交呈现较强的阳性反应
(地高辛标记 ×1 000)
讨 论
如果说,直到80年代末期,多数学者对放射性间质性肺炎的发病机理的认识还一直集中在试图确定哪一个是“关键靶细胞”的话;到90年代关注点则已转向重要的生物介质即细胞生长因子及其介导的多细胞系统相互作用上[4]。现在人们比较认同的观点便是这一学说。如Rubin等[8]认为,放射性肺损伤的早晚期变化均与“细胞因子瀑布”(cascade of cytokines)学说有关。Rubin 等[9]对辐射敏感小鼠胸部照射后测定肺间质mRNA和多种细胞因子表达表明,早期炎症期起重要作用的细胞因子IL-1α在2周时升高,而TGFβ在2~8周升高;与此相伴的是I、Ⅲ型胶原基因表达的增高,这些结果提示,肺脏受照射后,有前炎症细胞因子和前纤维化因子产生的连锁反应,刺激成纤维细胞增生,促进胶原基因启动,从而形成纤维化病变。Rubin最后指出,尽管放射性间质性肺炎从病理变化角度看有明显的分期,但从病理发生角度讲是一个连续的过程,后期的进展是早期炎症的激活,进而导致细胞因子瀑布发生与维持的结果。关于介导放射性间质性肺炎发生的细胞因子,概括起来可以分为两类,一类是参与局部损伤与炎症反应的因子,主要有IL-1α、IL-1β、IL-4、IL-8、MCP-1、TNFα等,其中IL-1与TNFα被认为起较重要的作用;另一类是参与组织修复和发生器官纤维化的因子,主要有PDGF、IGF-1、TGFβ、bFGF等,其中TGFβ被认为在这方面起较重要的作用,是诸多介导因子中最受关注的细胞因子之一。通过我们对照射后不同时间点在大鼠肺组织、支气管肺泡灌洗液细胞及肺组织培养成纤维细胞研究表明,TGFβ1、TGFβ2、bFGF、PDGF-A和TGFβRI在照射后比正常对照表达均为增强,且表达高峰时段主要发生在照射后2~3个月,这与文献报道[10]基本一致。这种明显增强表达的时段正好发生在我们在前一部分研究中通过光学显微镜检查和特殊染色、羟脯氨酸含量测定所证明的肺纤维化发生的前期,即这些生长因子的高表达与肺纤维化的发生呈现良好的时间关联性。这种关联从原位杂交也得到了很好的说明与验证。从发生部位上看,TGFβ1的表达主要是支气管上皮细胞、肺泡巨噬细胞、肺泡上皮细胞、支气管和血管平滑肌细胞以及成纤维细胞等,这些又与纤维化发生主要是从支气管、血管周围及肺泡隔开始,主要是靠成纤维细胞大量合成细胞外基质,特别是胶原纤维不无关系。
, 百拇医药
通过对支气管肺泡灌洗液细胞成分免疫化学分析表明,照射后的灌洗液中巨噬细胞对TGFβ表达增强的时间出现得最早,于第1周即有较强的表达,这或许说明巨噬细胞是照射后最早出现TGFβ表达的,表达的微量TGFβ又可作为已知的巨噬细胞最强的化学趋化因子吸引巨噬细胞到损伤位点;在合成的较高的TGFβ浓度下,它增强巨噬细胞对其他的生长因子及TGFβ自身的合成,灭活巨噬细胞产生能破坏新生成纤维细胞的过氧化氢的能力;同时,TGFβ也可作为成纤维细胞的重要趋化因子和促分裂与分化(合成基质)因子发挥作用。
关于TGFβ对成纤维细胞作用的机理,概括起来表现在两大方面:一方面它能刺激成纤维细胞合成细胞外基质成分,如胶原、纤维连结蛋白、基质受体和糖蛋白;另一方面抑制对新合成的基质蛋白产生的酶解作用。此外,有人认为TGFβ在辐射诱导的纤维化中,作为一种诱导或加速纤维细胞的终末分化使其形成分裂后纤维细胞的关键介质发挥作用[11]。近来也有人指出,TGFβ不仅自身在肺炎发生和纤维化过程中具有重要作用,而且能诱导肺脏高水平表达结缔组织生长因子(connective tissue growth factor,CTGF),加速肺纤维化的发生[12]。
, http://www.100md.com
基金项目:全军九五指令基金资助项目(96L011)
参考文献
[1]Atkins FM, Friedman MM, Subba RPV, et al.Interactions between mast cells, fibroblasts and connective tissue components.Int Arch Allergy Appl Immunol, 1985,77:96-102.
[2]Law MP. Vascular permeability and late radiation fibrosis in mouse lung. Radiat Res, 1985,103:60-76.
[3]Rennard SI, Bitterman PB, Crystal RG. Current concepts of the pathogenesis of fibrosis: lesson from pulmonary fibrosis. Prog Clin Biol Res, 1984,154:359-377.
, 百拇医药
[4]Katelaris A. Mitotic activity in the dermis of mice during graft versus host disease:the role of fibroblast replication in dermal fibrosis.J Invest Dermatol,1992,99:799-783.
[5]Zhang K, Rekhter MD,Gordon D, et al. Myofibroblasts and their role in lung collagen gene expression during pulmonary fibrosis. Am J Pathol, 1994,145:114-125.
[6]Angerer LM, Angerer RC. Localization of mRNA by in situ hybridization. Metheds Cell Biol,1991,35:37-71.
, 百拇医药
[7]司徒镇强,吴军正,主编.细胞培养.北京:世界图书出版公司,1996.68-72.
[8]Rubin P,Johnston CJ, Williams JP, et al. A perperual cascade of cytokines postirradiation leads to pulmonary fibrosis, Int J Radia Oncol Biol Phtys,1995,33:99-109.
[9]Rubin P, Finkelstein J, Shapiro D. Molecular biology mechanism in the radiation induction of pulmonary injury syndromes: interrelationship between the alveolar macrophage and the sepal fibroblast. Int J Radia Oncol Biol Phys, 1992,24:93-101.
, 百拇医药
[10]Vaillant P, Menard O, Vignaud JM, et al. Role of cytokines in human lung fibrosis. Monaldi Arch Chest Dis, 1996,51:145-152.
[11]Burger A.Loffler H, Bamberg M, et al. Molecular and cellular basis of radiation fibrosis. I Int J Radiat Biol.1998,73:401-408.
[12]Bienkowski RS, Gotkin MG. Control of collagen deposition in mammalian lung. Proc Soc Exp Biol Med,1995,209:2118-2140.
(收稿日期:1999-11-12), 百拇医药
单位:刘纯杰 王德文 高亚兵 龙建银 彭瑞云 谷庆阳 崔雪梅 宋一平 夏国伟(100850 北京放射医学研究所);杨振国 潘耀谦(军需大学动医系)
关键词:细胞因子; 受体; 分子病理机理; 放射性肺纤维化
中华放射医学与防护杂志000605 【摘要】 目的 调查几种细胞因子及其受体在放射性肺纤维化(RPF)发生中的作用。方法采用免疫组织化学、细胞免疫化学和原位杂交的方法对RPF大鼠肺组织细胞进行了研究。结果正常大鼠肺组织有TGFβ1和TGFβR的弱表达,照射动物肺脏TGFβ1的表达于照射后2周开始增高,从第8周直到3月表达水平最高。肺脏表达TGFβ1的部位主要是支气管上皮细胞、肺泡巨噬细胞、肺泡上皮细胞、支气管和血管平滑肌细胞以及成纤维细胞等。TGFβ2的表达变化规律除了比TGFβ1稍弱外类似于TGFβ1。TGFβR表达增强的时间比TGFβ1稍晚,于第8周开始增强,直到1年也保持较高水平的表达。bFGF和PDGF在照射后2~3个月表达水平明显增高。对支气管肺泡灌洗液中的细胞TGFβ1免疫细胞化学研究表明:其中的细胞,特别是巨噬细胞表达时间出现得较早,于照射后1周即有许多巨噬细胞呈现 TGFβ1较强的表达。从肺组织培养的细胞研究表明,来源于照射后3月肺组织的成纤维细胞呈现较强的TGFβ1阳性。用地高辛标记的TGFβ1探针和α1(I)寡核苷酸探针原位杂交试验表明,TGFβ1 mRNA表达水平于2~8周表达最高,而α1(I)前胶原mRNA则从6周开始增强,到3月表达出现高峰,稍滞后于TGFβ1的峰值期,与TGFβ1的表达呈现明显的时空关联和交叠现象。结论 TGFβ1在RPF发生中起着重要的作用,TGFβ2、TGFβR、bFGF和PDGF-A也参与了RPF的形成过程。
, http://www.100md.com
Role of growth factors in molecular pathogenetic mechanism of radiation pulmonary fibrosis
LIU Chunjie,WANG Dewen,GAO Yabing,et al.
(Beijing Institute of Radiation Medicine, Beijing 100850,China)
【Abstract】 Objective To investigate the role of growth factors and their receptors in radiation pulmonary fibrosis(RPF). Methods Immunohistochemisty,immunocytochemistry and in situ hybridization were used. Results The normal rat lung tissue weakly expressed TGFβ1 and TGFβ receptor (TGFβR).The expression of TGFβ1 in rat lung increased at 2 weeks after irradiation and its highest level maintained from 8 weeks to 3 months.The positive localization of TGFβ1 in lung was the epithelial cells of bronchi,alveolar macrophages,alveolar epithelial cells, smooth muscle cells of the bronchial and arteriolar wall and fibroblasts.The expression of TGFβ2 was similar to that of TGFβ1.The time of increased expression of TGFβR was later than that of TGFβ1.i,e. It increased at 8 weeks and kept a higher level of expression throughout one year.Stronger expressions of the bFGF and PDGF were also observed in 2-3 months postirradiation.The expression of TGFβ1 in the cells of bronchoalveolar lavage fluid was investigated.The results showed that macrophages were one of the earliest cells showing positive reaction,i,e. they presented positive at 1 week. For the cultured Wistar rat lung fibroblasts,TGFβ1 expression was stronger at 3 months postirradiation. By means of in situ hybridization with TGFβ1 probe and α1(I) oligonucleotide probe,the expression of TGFβ1 mRNA was increased at 2-8 weeks and α1(I) procollagen mRAN was increased at 6 weeks, but the expression peak appeared at 3 months postirradiation. The expressions of TGFβ1 and α1(I) procollagen were mutually connected and overlapped both in time and space. Conclusion TGFβ1 may play an important role in the pathogenesis of RPF. TGFβ2,TGFβR,bFGF and PDGF-A also participate in the pathogenetic process.
, 百拇医药
【Key words】 Cytokine; Receptor; Molecular pathogenetic mechanism; Radiation pulmonary fibrosis
尽管人们对放射性间质性肺炎的研究已有了一百年的历史,对其病变发生规律进行了多角度不同层次的研究,如从病理形态学角度,从形态与功能结合角度,从病变发生过程中参与细胞作用角度,以及从整体、系统、细胞,甚至从分子角度进行了研究,因而对本病的病变发生规律及特点有了较为深刻的认识。然而对其发病机理尚未完全阐明,至今为止,关于其发病机理人们提出了许多学说或观点[1-3]。近来,关于细胞生长因子介导肺纤维化发生的观点越来越受到人们的重视[4]。据此,我们利用60Co γ 射线30 Gy全胸单剂量照射Wistar 大鼠建立的肺纤维化模型,进行了TGFβ1、TGFβ2、bFGF、PDGF-A和TGFβRI在其中表达及其作用机理的研究,现报道如下。
, 百拇医药
材料和方法
1.材料
(1)标本来源:健康雌性 Wistar 大鼠由军事医学科学院实验动物中心提供,实验等级为二级,数量2只,体重(220±20)g。用60Co γ射线进行全胸照射,其中照距为3 m,照射剂量率为6.966×10-2C*kg-1*min-1(270 R/min),剂量为30 Gy。于照射后3 d、1、2、3、4、6、8、10周、3、6、9、和12个月共12个时间点取材,并且将照射后3 d ~3个月的支气管肺泡灌洗液细胞制作甩片,照射后1、2和3月的大鼠肺组织进行细胞培养,制备传3~6代细胞的甩片。
(2)抗体及检测试剂:TGFβ1、TGFβ2、bFGF(FGF-2)、PDGF-A 和TGFβRI 均为Santa Cruz 公司产品,购自北京中山生物技术有限公司。这些产品均为兔抗人IgG多抗,可用于小鼠、大鼠和人的组织。兔ABC kit,系美国Vector公司产品,也购自北京中山生物技术有限公司。
, 百拇医药
(3)TGFβ1探针和α1(I)寡核苷酸探针:含有TGFβ1 探针的克隆质粒由军事医学科学院三所龙建银博士惠赠。重组质粒经碱变性法提取纯化后,用 EcoRI/HindⅢ双酶切回收1.0 kb的TGFβ1片段,经地高辛随机引物标记法制备成探针。α1(I) 寡核苷酸探针参照文献[5],序列由军事医学科学院二所合成,其序列为:5’-AGGGCCAGTCTCAGCACGGTCACCCTTGGC-3’,是相对应于α1(I)前胶原氨基酸854~863位的反义序列,经3’末端标记法制备成探针。
(4)地高辛DNA标记和检测试剂盒及地高辛寡核苷酸加尾标记试剂盒:购自德国Boehringer Mannheim公司。
2.方法
(1)探针地高辛随机引物标记法和寡核苷酸地高辛3’-OH末端加尾标记法:参照试剂盒说明书进行。
, 百拇医药
(2)组织或细胞免疫化学染色采用ABC方法进行。
(3)mRNA原位杂交实验方法参照文献[6]进行。
(4)肺组织成纤维细胞原代及传代培养法参照文献[7]进行。
图1 照后3月,大鼠肺组织TGFβ1
免疫组化染色呈现强阳性反应
(ABC法 ×400)
结 果
1.大鼠照射后不同时间点各种生长因子及受体免疫组化染色结果
, 百拇医药
通过采用免疫组织化学的方法,我们对各取材点的大鼠肺组织,进行了TGFβ1、TGFβ2、bFGF、PDGF-A和TGFβRI在其中表达变化规律的研究。结果表明,正常大鼠肺组织即有TGFβ1和TGFβRI的弱表达,照射动物肺脏TGFβ1的表达于照射后2周开始增高,于第4周明显增强,从第8周直到3个月表达水平最高,之后开始下降,但仍维持比正常对照较高水平的表达(图1、2)。肺脏表达TGFβ1的部位主要是支气管上皮细胞,肺泡巨噬细胞、肺泡上皮细胞、支气管和血管平滑肌细胞以及成纤维细胞等。TGFβ2 的表达变化规律除了比 TGFβ1稍弱外类似于TGFβ1。TGFβRI表达增强的时间比TGFβ1稍晚,于第8周开始增强,直到1年仍保持较高水平的表达。对于bFGF和PDGF-A,我们也进行了照射后3个月以内各时间点大鼠肺组织中表达的研究,结果表明,这两种生长因子在照射后大鼠肺组织中的表达也增强,其中在照射后2~3个月表达水平明显增高。
图2 照射后不同时间大鼠肺组织TGFβ1
, http://www.100md.com
表达的积分光密度值的变化
图3 照后1周,大鼠支气管肺泡灌洗液中
大部分巨噬细胞呈现TGFβ1免疫组化强阳性反应
(ABC法 ×400)
2.支气管肺泡灌洗液细胞和组织培养细胞TGFβ1免疫细胞化学染色结果
采用细胞免疫化学的方法,对照射后3 d~3个月的支气管肺泡灌洗液细胞甩片以及照后1、2和3个月的组织培养细胞的传3~6代细胞甩片进行了研究。对支气管肺泡灌洗液中的细胞TGFβ1免疫细胞化学研究表明:其中的细胞,特别是巨噬细胞表达时间出现得较早,于照射后1周即有许多巨噬细胞呈现TGFβ1较强的表达(图3),照射后4周灌洗液中阳性细胞数量增多、表达强度增加,照射后8周发生TGFβ1强阳性表达。从肺组织培养的细胞研究表明,来源于照射后3个月肺组织的成纤维细胞呈现较强的TGFβ1阳性。
, http://www.100md.com
3.TGFβ1和α1(I)探针原位杂交结果
用地高辛标记的TGFβ1探针和α1(I)寡核苷酸探针原位杂交试验表明,大鼠肺组织中TGFβ1 mRNA表达水平于照射后2~8周表达最高(图4),而α1(I)前胶原mRNA则从照射后6周开始增强,到3个月表达出现高峰,稍滞后于TGFβ1的峰值期,与TGFβ1的表达呈现明显的时空关联和交叠现象。
图4 照后4周,大鼠肺组织TGFβ1 mRNA
原位杂交呈现较强的阳性反应
(地高辛标记 ×1 000)
讨 论
如果说,直到80年代末期,多数学者对放射性间质性肺炎的发病机理的认识还一直集中在试图确定哪一个是“关键靶细胞”的话;到90年代关注点则已转向重要的生物介质即细胞生长因子及其介导的多细胞系统相互作用上[4]。现在人们比较认同的观点便是这一学说。如Rubin等[8]认为,放射性肺损伤的早晚期变化均与“细胞因子瀑布”(cascade of cytokines)学说有关。Rubin 等[9]对辐射敏感小鼠胸部照射后测定肺间质mRNA和多种细胞因子表达表明,早期炎症期起重要作用的细胞因子IL-1α在2周时升高,而TGFβ在2~8周升高;与此相伴的是I、Ⅲ型胶原基因表达的增高,这些结果提示,肺脏受照射后,有前炎症细胞因子和前纤维化因子产生的连锁反应,刺激成纤维细胞增生,促进胶原基因启动,从而形成纤维化病变。Rubin最后指出,尽管放射性间质性肺炎从病理变化角度看有明显的分期,但从病理发生角度讲是一个连续的过程,后期的进展是早期炎症的激活,进而导致细胞因子瀑布发生与维持的结果。关于介导放射性间质性肺炎发生的细胞因子,概括起来可以分为两类,一类是参与局部损伤与炎症反应的因子,主要有IL-1α、IL-1β、IL-4、IL-8、MCP-1、TNFα等,其中IL-1与TNFα被认为起较重要的作用;另一类是参与组织修复和发生器官纤维化的因子,主要有PDGF、IGF-1、TGFβ、bFGF等,其中TGFβ被认为在这方面起较重要的作用,是诸多介导因子中最受关注的细胞因子之一。通过我们对照射后不同时间点在大鼠肺组织、支气管肺泡灌洗液细胞及肺组织培养成纤维细胞研究表明,TGFβ1、TGFβ2、bFGF、PDGF-A和TGFβRI在照射后比正常对照表达均为增强,且表达高峰时段主要发生在照射后2~3个月,这与文献报道[10]基本一致。这种明显增强表达的时段正好发生在我们在前一部分研究中通过光学显微镜检查和特殊染色、羟脯氨酸含量测定所证明的肺纤维化发生的前期,即这些生长因子的高表达与肺纤维化的发生呈现良好的时间关联性。这种关联从原位杂交也得到了很好的说明与验证。从发生部位上看,TGFβ1的表达主要是支气管上皮细胞、肺泡巨噬细胞、肺泡上皮细胞、支气管和血管平滑肌细胞以及成纤维细胞等,这些又与纤维化发生主要是从支气管、血管周围及肺泡隔开始,主要是靠成纤维细胞大量合成细胞外基质,特别是胶原纤维不无关系。
, 百拇医药
通过对支气管肺泡灌洗液细胞成分免疫化学分析表明,照射后的灌洗液中巨噬细胞对TGFβ表达增强的时间出现得最早,于第1周即有较强的表达,这或许说明巨噬细胞是照射后最早出现TGFβ表达的,表达的微量TGFβ又可作为已知的巨噬细胞最强的化学趋化因子吸引巨噬细胞到损伤位点;在合成的较高的TGFβ浓度下,它增强巨噬细胞对其他的生长因子及TGFβ自身的合成,灭活巨噬细胞产生能破坏新生成纤维细胞的过氧化氢的能力;同时,TGFβ也可作为成纤维细胞的重要趋化因子和促分裂与分化(合成基质)因子发挥作用。
关于TGFβ对成纤维细胞作用的机理,概括起来表现在两大方面:一方面它能刺激成纤维细胞合成细胞外基质成分,如胶原、纤维连结蛋白、基质受体和糖蛋白;另一方面抑制对新合成的基质蛋白产生的酶解作用。此外,有人认为TGFβ在辐射诱导的纤维化中,作为一种诱导或加速纤维细胞的终末分化使其形成分裂后纤维细胞的关键介质发挥作用[11]。近来也有人指出,TGFβ不仅自身在肺炎发生和纤维化过程中具有重要作用,而且能诱导肺脏高水平表达结缔组织生长因子(connective tissue growth factor,CTGF),加速肺纤维化的发生[12]。
, http://www.100md.com
基金项目:全军九五指令基金资助项目(96L011)
参考文献
[1]Atkins FM, Friedman MM, Subba RPV, et al.Interactions between mast cells, fibroblasts and connective tissue components.Int Arch Allergy Appl Immunol, 1985,77:96-102.
[2]Law MP. Vascular permeability and late radiation fibrosis in mouse lung. Radiat Res, 1985,103:60-76.
[3]Rennard SI, Bitterman PB, Crystal RG. Current concepts of the pathogenesis of fibrosis: lesson from pulmonary fibrosis. Prog Clin Biol Res, 1984,154:359-377.
, 百拇医药
[4]Katelaris A. Mitotic activity in the dermis of mice during graft versus host disease:the role of fibroblast replication in dermal fibrosis.J Invest Dermatol,1992,99:799-783.
[5]Zhang K, Rekhter MD,Gordon D, et al. Myofibroblasts and their role in lung collagen gene expression during pulmonary fibrosis. Am J Pathol, 1994,145:114-125.
[6]Angerer LM, Angerer RC. Localization of mRNA by in situ hybridization. Metheds Cell Biol,1991,35:37-71.
, 百拇医药
[7]司徒镇强,吴军正,主编.细胞培养.北京:世界图书出版公司,1996.68-72.
[8]Rubin P,Johnston CJ, Williams JP, et al. A perperual cascade of cytokines postirradiation leads to pulmonary fibrosis, Int J Radia Oncol Biol Phtys,1995,33:99-109.
[9]Rubin P, Finkelstein J, Shapiro D. Molecular biology mechanism in the radiation induction of pulmonary injury syndromes: interrelationship between the alveolar macrophage and the sepal fibroblast. Int J Radia Oncol Biol Phys, 1992,24:93-101.
, 百拇医药
[10]Vaillant P, Menard O, Vignaud JM, et al. Role of cytokines in human lung fibrosis. Monaldi Arch Chest Dis, 1996,51:145-152.
[11]Burger A.Loffler H, Bamberg M, et al. Molecular and cellular basis of radiation fibrosis. I Int J Radiat Biol.1998,73:401-408.
[12]Bienkowski RS, Gotkin MG. Control of collagen deposition in mammalian lung. Proc Soc Exp Biol Med,1995,209:2118-2140.
(收稿日期:1999-11-12), 百拇医药