完全型心内膜垫缺损的MRI诊断
作者:李坤成,杨小平,姚新宇,杨云霞,刘玉清,庞志显
单位:100053 北京,首都医科大学宣武医院放射科(李坤成、杨小平、姚新宇、杨云霞);中国医学科学院协和医科大学 阜外心血管病医院放射科(刘玉清);中国铁道建筑总公司总医院影像诊断科(庞志显)
关键词:心内膜垫缺损;心脏缺损;先天性;磁共振成像
中华放射学杂志990109 【摘要】 目的 评价MRI对完全型心内膜垫缺损的诊断价值和限度。方法 对8例(男5例,女3例)患者行自旋回波(SE)和电影MRI扫描。诊断由X线平片、超声心动图、X线右心导管加心血管造影以及MRI等多种影像学技术作出,其中4例行手术治疗。结果 MRI显示心脏各个房室腔扩大、多数以右心房室扩大为著,伴有右心室壁增厚,心内膜垫结构消失,4个心腔呈“十”字形直接相通,形成膜部室间隔缺损和I孔型房间隔缺损,二、三尖瓣结构不完整。6例有肺动脉高压,2例并存Fallot四联症,4例合并主动脉右弓右降。合并右旋心和永存左上腔静脉与冠状静脉窦相通各1例。电影MRI直接显示左、右房室之间的多水平分流和心室向心房的返流情况,并清楚显示瓣膜。结论 MRI能清楚显示完全型心内膜垫缺损的全部解剖畸形和复杂的血流动力学情况以及并存畸形。
, 百拇医药
Magnetic resonance imaging in complete type endocardial cushion defect LI Kuncheng, YANG Xiaoping, YAO Xinyu, et al. Department of Radiology, Xuanwu Hospital, Capital University of Medical Sciences, Beijing 100053
【Abstract】 Objective To evaluate the value and limitation of magnetic resonance imaging (MRI) in complete type endocardial cushion defect (CTECD). Methods Eight patients (male 5,female 3) were scanned by MRI with ECG-gated spin echo (SE) and gradient echo (GE) cine techniques. The diagnosis of CTECD was made by X-ray plain film, echocardiography, X-ray right cardiac catheterization and angiocardiography ,as well as MRI. four patients were treated with operation. Results Every chamber of the heart was enlargerd, more serious in the right atrium and ventricle, with thickening of right ventricular wall on MRI in majority of cases. The endocardial cushion disappeared, so the four chambers of the heart were directly connected with each other, and presented a cross shape. Ventricular septal membrane defect and type I atrial septal defect were depicted also. The normal structure of mitral and tricuspid valves were not intact. There were 6 cases with pulmonary hypertension,2cases with Tetralogy of Fallot,4 cases with right aorta arch and descending aorta, 1 patient with dextroverted heart and another with persistent left superior vena cava connected with coronary sinus. The cine MRI could directly depict the situation of left-right or right-left shunt at atrial and ventricular levels, and regurgitation from ventricles to atria, meanwhile the valves were depicted clearly. Conclusions MRI can clearly demonstrate all anatomic deformation and complicated hemodynamic change of CTECD, as well as other coexistent deformations.
, 百拇医药
【Key words】 Endocardial cushion defets Heart defects,congenital Magnetic resonance imaging
心内膜垫缺损( endocardial cushion defect,ECD)是一种少见的紫绀属先天性心脏病(简称先心病)复杂畸形,分为部分型和完全型2个亚型。笔者搜集8例行MRI扫描的完全型心内膜垫缺损(complete type endocardial cushion defect,CTECD)的患者,分析MRI所见,评价MRI对本病的诊断价值和限度。
材料与方法
笔者在1989年1月至1998年2月9年间,共进行心血管MRI扫描2 000余例,其中8例为CTECD。本组男5例,女3例,年龄3~18岁,平均5.3岁。本组病例的主要症状是心慌、气短,反复出现呼吸道感染,其中3例反复出现心功能不全,多次住院治疗。体检:患者发育较差,心前区隆起,心界扩大。心脏听诊心尖部第1心音减弱,可闻及全收缩期粗糙的吹风样杂音,向左腋下传导;胸骨左缘III~IV肋间全收缩期粗糙的吹风样杂音伴震颤;肺动脉瓣第2音亢进伴分裂。3例患者有紫绀。
, 百拇医药
心电图主要改变为:aVF主波向下,电轴左偏,右心室或双心室肥厚和I度房室传导阻滞等。普通X线胸部平片所见:全组病例心脏呈普大型,其中6例肺血增多,2例肺血减少。1例右旋心,心脏各房室均有增大,多数以右心房、室增大为著,并有明显的肺动脉高压征象。本组病例心胸比率为0.60~0.72,平均0.64±0.06。CTECD的诊断均经X线平片、超声心动图、X线右心导管加心血管造影和MRI作出,其中4例诊断经手术病理证实。
应用超导型1.0 T(Siemens Magnetom Impact)和永磁型0.3 T(Fonar β-3000)MRI扫描机,分别检查5例和3例病人。常规行心电图门控SE T1W心脏扫描,获取体轴横断面、冠状和矢状断面像,其中5例加扫心脏短轴和长轴断面像,具体扫描参数与参考文献[1]相同。在选定层面上,加心电图门控梯度回波(GE)电影MRI扫描,扫描参数为TR:50或75毫秒;TE:10毫秒;根据患者心率不同,每个R-R间期选择成像12~18幅。电影图像的层厚、层间距、观察范围、矩阵等参数均与选定的SE图像相同,一次扫描可完成1~3个层面的成像。MR图像分析与参考文献[1]相同。
, 百拇医药
结果
全组病例心脏各个房室腔均有增大,6例以右心房室扩大为著,伴有右心室壁增厚,2例以左心房室增大为著,心内膜垫结构消失,4个心腔呈“十”字形直接相通,形成室间隔膜部和I孔型房间隔缺损,二、三尖瓣的结构不完整(图1)。上述征象在体轴横断面和垂直室间隔的左室长轴断面像上显示得最清楚。8例患者中有6例主肺动脉扩张,其内径平均为(25.2±3.0)mm,大于升主动脉内径[平均(20.5±3.6)mm],余2例有右室流出道、主肺动脉及左右肺动脉的狭窄,并存升主动脉骑跨在室间隔缺损之上,提示CTECD与Fallot四联症并存。全组有4例合并主动脉右弓右降,合并右旋心(图2)和永存左上腔静脉与冠状静脉窦相通各1例。
GE电影MRI直接显示了左、右房室之间的分流和心室向心房的返流(图3,4)。舒张末期4个心腔之间无血流交通,收缩早期左心室部分血液经室间隔膜部缺损向右心室喷射,同时右心室血液经共同房室瓣向左心房内喷射(图3),收缩中晚期右心室向左心房的返流量加大,并经I孔型房间隔缺损由左心房向右心房喷射(图4)。
, 百拇医药
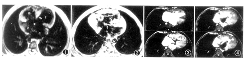
图1 SE脉冲序列体轴横断面T1WI显示:心脏各个心腔均有扩大,心内膜垫正常结构消失(.),导致二、三尖瓣结构不完整,室间隔膜部缺损和I孔型房间隔缺损。0:右心室,1:左心室,2:右心房,3:左心房,↑:II孔房间隔,←:肌部室间隔 图2 SE脉冲序列体轴横断面T1WI显示:右旋心,左心室和心尖位于右侧胸腔,心内膜垫正常结构消失,形成膜部室间隔缺损和I孔型房间隔缺损,可见1个大的共同房室瓣。S:室间隔,↑:共同房室瓣,<:房间隔,0:右心室,2:右心房 图3,4 梯度回波(GE)脉冲序列电影MRI垂直室间隔长轴断面像:图3上为舒张末期像,见心内膜垫结构消失,4个心腔直接相通连。图3下为收缩早期像,显示血液由左心室经膜部室间隔缺损向右心室分流(←),同时右心室的血液向左心房返流(
)。图4上为收缩中期像,见右心室向左心房的返流量加大,并向右心房分流(
)。图4下为收缩中晚期像,显示左心房的血液经房间隔缺损向右心房分流(
)
, 百拇医药
根据以上MRI所见,本组病例由MRI均作出了CTECD的明确诊断。本组有4例行外科手术治疗,术中所见与MRI诊断相符。讨论
心内膜垫是在胚胎发育的第4~5周,由共同房室管的腹、背两侧心内膜的间质细胞在房室环处向心腔内长入而形成的。以后心内膜垫参与形成第一房间隔、室间隔的膜部、二尖瓣前瓣和三尖瓣的隔瓣[2,3]。ECD是一组由于心内膜垫发育不全或缺如,伴有不同程度的房室瓣发育不全,导致各心腔之间互相交通,进而引起严重血流动力学紊乱的先天性心脏病复杂畸形。ECD又分为部分型和完全型两种,部分型ECD根据心内膜垫发育不全的情况,分为:单纯I孔型房间隔缺损,I孔型房间隔缺损合并二尖瓣或(和)三尖瓣裂,膜部室间隔缺损合并二、三尖瓣裂和左室-右房通道等4个亚型;完全型ECD心内膜垫完全缺如,导致I孔型房间隔缺损合并两侧房室瓣裂,或形成共同房室瓣,以及膜部室间隔缺损。由于对先心病的分类有差异,本病曾有多种名称,例如:房室间隔缺损(atrioventricular septaldefects)[4]、永存房室通道(persistent A-V canal)等,目前公认的名称是心内膜垫缺损。
, 百拇医药
ECD属少见病,约占先天性心脏病的2%,其中以部分型ECD居多,但是CTECD患者的病情更重。ECD的X线平片表现与房间隔缺损相似,仅根据平片所见难以作出ECD的诊断,X线表现结合心电图显示aVF主波向下、听诊心尖和三尖瓣区有房室瓣关闭不全的收缩期杂音等临床资料,可以提示诊断,但是不能确诊并进一步分型。
X线的心血管造影被认为是诊断CTECD的“金标准”[2],以左心室造影的诊断价值最大,结合X线右心导管检查可显示右心房、室压力增高,有肺动脉高压的患者,能发现肺动脉压升高,同时可明确有无多水平分流、分流方向及其分流量。但是,CTECD患者的心脏增大显著,分流和返流量均很大,造影剂一注入左心室,立即弥散,4个心腔几乎同时显影,导致造影图像质量差,常常难以准确判断各心腔的大小、以及分流和返流的状况。而且CTECD的畸形复杂,造影检查需要注药量较大,受注药次数的限制,常常不能得出合并畸形的准确诊断。
近年来,超声心动图在CTECD的诊断中能发挥较大的作用,基本上已经获得普及应用。二维图像可以显示心脏的解剖畸形,彩色多普勒可显示左、右心之间的血液分流和房室瓣的返流,并行半定量分析。但是超声心动图的空间分辨率较低,属操作者依赖技术,诊断结果受检查医师的影响较大。因此,外科医师还不敢仅凭超声心动图制订手术方案。
, http://www.100md.com
Jacobstein等[4]曾应用SE MRI评价9例本病患者,其中6例属完全型。他们认为MRI能准确显示ECD的解剖畸形,并能判断心室发育不良。本组病例表明:应用SE MRI,能清楚显示CTECD的全部解剖畸形以及合并的其他畸形(如:Fallot四联症、主动脉右弓右降、永存左上腔静脉
等),可根据肺动脉扩张的程度估价并发肺动脉高压的情况。此点与Jacobstein等[4]的观点基本相同,但是本组无心室发育不良患者,所以,应用MRI判断CTECD的心室发育不良有待于进一步观察。
本组病例表明:MRI电影能准确显示本病复杂的血流动力学异常及心脏瓣膜的形态,一般应用SE技术结合3~5次电影扫描即可得出CTECD的完整诊断。测量返流和分流束的面积,电影MRI可以对返流量和分流量进行半定量分析。本组5例对比分析MRI与超声心动图的测量结果,两者基本符合。国外应用MRI可准确测量心腔和大血管的压力和压差,使先心病的诊断更完整全面[3]。本组病例中有4例经手术治疗,初步证实了MRI诊断CTECD的可靠性,MRI可以满足术前制订手术方案的需要。由于MRI具有显著的优点,我们认为MRI不是一种辅助检查方法[4],而有望取代X线心血管造影,成为诊断本病的重要影像学手段。有条件的医院可以考虑在超声心动图不能满足制订手术方案的要求,或已行X线心血管造影检查,但仍然不能得出本病全面诊断时,选用MRI进行检查。
, 百拇医药
MRI直接显示心脏瓣膜形态和结构的能力略逊于超声心动图,而且属于非实时技术,大部分国内所用型号较旧的机型尚不能进行分流和返流量、压力和压差的定量分析,为目前MRI的限度。
参考文献
[1] 李坤成,刘玉清,王新民.心肌梗死室壁瘤的MRI诊断.中华放射学杂志,1997,31:311-314.
[2] 刘玉清,主编.临床心脏X线诊断学. 北京:北京出版社,1981.133-135.
[3] 李坤成,主编.心血管磁共振诊断学.北京:人民卫生出版社,1997.175-178,255-256.
[4] Jacobstein MD, Fletcher BD, Goldstein S, et al. Evaluation of atrioventricular septal defect by magnetic resonance imging. Am J Cardiol,1985,55:1158-1161.
(收稿:1998-04-16 修回:1998-07-20), http://www.100md.com
单位:100053 北京,首都医科大学宣武医院放射科(李坤成、杨小平、姚新宇、杨云霞);中国医学科学院协和医科大学 阜外心血管病医院放射科(刘玉清);中国铁道建筑总公司总医院影像诊断科(庞志显)
关键词:心内膜垫缺损;心脏缺损;先天性;磁共振成像
中华放射学杂志990109 【摘要】 目的 评价MRI对完全型心内膜垫缺损的诊断价值和限度。方法 对8例(男5例,女3例)患者行自旋回波(SE)和电影MRI扫描。诊断由X线平片、超声心动图、X线右心导管加心血管造影以及MRI等多种影像学技术作出,其中4例行手术治疗。结果 MRI显示心脏各个房室腔扩大、多数以右心房室扩大为著,伴有右心室壁增厚,心内膜垫结构消失,4个心腔呈“十”字形直接相通,形成膜部室间隔缺损和I孔型房间隔缺损,二、三尖瓣结构不完整。6例有肺动脉高压,2例并存Fallot四联症,4例合并主动脉右弓右降。合并右旋心和永存左上腔静脉与冠状静脉窦相通各1例。电影MRI直接显示左、右房室之间的多水平分流和心室向心房的返流情况,并清楚显示瓣膜。结论 MRI能清楚显示完全型心内膜垫缺损的全部解剖畸形和复杂的血流动力学情况以及并存畸形。
, 百拇医药
Magnetic resonance imaging in complete type endocardial cushion defect LI Kuncheng, YANG Xiaoping, YAO Xinyu, et al. Department of Radiology, Xuanwu Hospital, Capital University of Medical Sciences, Beijing 100053
【Abstract】 Objective To evaluate the value and limitation of magnetic resonance imaging (MRI) in complete type endocardial cushion defect (CTECD). Methods Eight patients (male 5,female 3) were scanned by MRI with ECG-gated spin echo (SE) and gradient echo (GE) cine techniques. The diagnosis of CTECD was made by X-ray plain film, echocardiography, X-ray right cardiac catheterization and angiocardiography ,as well as MRI. four patients were treated with operation. Results Every chamber of the heart was enlargerd, more serious in the right atrium and ventricle, with thickening of right ventricular wall on MRI in majority of cases. The endocardial cushion disappeared, so the four chambers of the heart were directly connected with each other, and presented a cross shape. Ventricular septal membrane defect and type I atrial septal defect were depicted also. The normal structure of mitral and tricuspid valves were not intact. There were 6 cases with pulmonary hypertension,2cases with Tetralogy of Fallot,4 cases with right aorta arch and descending aorta, 1 patient with dextroverted heart and another with persistent left superior vena cava connected with coronary sinus. The cine MRI could directly depict the situation of left-right or right-left shunt at atrial and ventricular levels, and regurgitation from ventricles to atria, meanwhile the valves were depicted clearly. Conclusions MRI can clearly demonstrate all anatomic deformation and complicated hemodynamic change of CTECD, as well as other coexistent deformations.
, 百拇医药
【Key words】 Endocardial cushion defets Heart defects,congenital Magnetic resonance imaging
心内膜垫缺损( endocardial cushion defect,ECD)是一种少见的紫绀属先天性心脏病(简称先心病)复杂畸形,分为部分型和完全型2个亚型。笔者搜集8例行MRI扫描的完全型心内膜垫缺损(complete type endocardial cushion defect,CTECD)的患者,分析MRI所见,评价MRI对本病的诊断价值和限度。
材料与方法
笔者在1989年1月至1998年2月9年间,共进行心血管MRI扫描2 000余例,其中8例为CTECD。本组男5例,女3例,年龄3~18岁,平均5.3岁。本组病例的主要症状是心慌、气短,反复出现呼吸道感染,其中3例反复出现心功能不全,多次住院治疗。体检:患者发育较差,心前区隆起,心界扩大。心脏听诊心尖部第1心音减弱,可闻及全收缩期粗糙的吹风样杂音,向左腋下传导;胸骨左缘III~IV肋间全收缩期粗糙的吹风样杂音伴震颤;肺动脉瓣第2音亢进伴分裂。3例患者有紫绀。
, 百拇医药
心电图主要改变为:aVF主波向下,电轴左偏,右心室或双心室肥厚和I度房室传导阻滞等。普通X线胸部平片所见:全组病例心脏呈普大型,其中6例肺血增多,2例肺血减少。1例右旋心,心脏各房室均有增大,多数以右心房、室增大为著,并有明显的肺动脉高压征象。本组病例心胸比率为0.60~0.72,平均0.64±0.06。CTECD的诊断均经X线平片、超声心动图、X线右心导管加心血管造影和MRI作出,其中4例诊断经手术病理证实。
应用超导型1.0 T(Siemens Magnetom Impact)和永磁型0.3 T(Fonar β-3000)MRI扫描机,分别检查5例和3例病人。常规行心电图门控SE T1W心脏扫描,获取体轴横断面、冠状和矢状断面像,其中5例加扫心脏短轴和长轴断面像,具体扫描参数与参考文献[1]相同。在选定层面上,加心电图门控梯度回波(GE)电影MRI扫描,扫描参数为TR:50或75毫秒;TE:10毫秒;根据患者心率不同,每个R-R间期选择成像12~18幅。电影图像的层厚、层间距、观察范围、矩阵等参数均与选定的SE图像相同,一次扫描可完成1~3个层面的成像。MR图像分析与参考文献[1]相同。
, 百拇医药
结果
全组病例心脏各个房室腔均有增大,6例以右心房室扩大为著,伴有右心室壁增厚,2例以左心房室增大为著,心内膜垫结构消失,4个心腔呈“十”字形直接相通,形成室间隔膜部和I孔型房间隔缺损,二、三尖瓣的结构不完整(图1)。上述征象在体轴横断面和垂直室间隔的左室长轴断面像上显示得最清楚。8例患者中有6例主肺动脉扩张,其内径平均为(25.2±3.0)mm,大于升主动脉内径[平均(20.5±3.6)mm],余2例有右室流出道、主肺动脉及左右肺动脉的狭窄,并存升主动脉骑跨在室间隔缺损之上,提示CTECD与Fallot四联症并存。全组有4例合并主动脉右弓右降,合并右旋心(图2)和永存左上腔静脉与冠状静脉窦相通各1例。
GE电影MRI直接显示了左、右房室之间的分流和心室向心房的返流(图3,4)。舒张末期4个心腔之间无血流交通,收缩早期左心室部分血液经室间隔膜部缺损向右心室喷射,同时右心室血液经共同房室瓣向左心房内喷射(图3),收缩中晚期右心室向左心房的返流量加大,并经I孔型房间隔缺损由左心房向右心房喷射(图4)。
, 百拇医药
图1 SE脉冲序列体轴横断面T1WI显示:心脏各个心腔均有扩大,心内膜垫正常结构消失(.),导致二、三尖瓣结构不完整,室间隔膜部缺损和I孔型房间隔缺损。0:右心室,1:左心室,2:右心房,3:左心房,↑:II孔房间隔,←:肌部室间隔 图2 SE脉冲序列体轴横断面T1WI显示:右旋心,左心室和心尖位于右侧胸腔,心内膜垫正常结构消失,形成膜部室间隔缺损和I孔型房间隔缺损,可见1个大的共同房室瓣。S:室间隔,↑:共同房室瓣,<:房间隔,0:右心室,2:右心房 图3,4 梯度回波(GE)脉冲序列电影MRI垂直室间隔长轴断面像:图3上为舒张末期像,见心内膜垫结构消失,4个心腔直接相通连。图3下为收缩早期像,显示血液由左心室经膜部室间隔缺损向右心室分流(←),同时右心室的血液向左心房返流(
, 百拇医药
根据以上MRI所见,本组病例由MRI均作出了CTECD的明确诊断。本组有4例行外科手术治疗,术中所见与MRI诊断相符。讨论
心内膜垫是在胚胎发育的第4~5周,由共同房室管的腹、背两侧心内膜的间质细胞在房室环处向心腔内长入而形成的。以后心内膜垫参与形成第一房间隔、室间隔的膜部、二尖瓣前瓣和三尖瓣的隔瓣[2,3]。ECD是一组由于心内膜垫发育不全或缺如,伴有不同程度的房室瓣发育不全,导致各心腔之间互相交通,进而引起严重血流动力学紊乱的先天性心脏病复杂畸形。ECD又分为部分型和完全型两种,部分型ECD根据心内膜垫发育不全的情况,分为:单纯I孔型房间隔缺损,I孔型房间隔缺损合并二尖瓣或(和)三尖瓣裂,膜部室间隔缺损合并二、三尖瓣裂和左室-右房通道等4个亚型;完全型ECD心内膜垫完全缺如,导致I孔型房间隔缺损合并两侧房室瓣裂,或形成共同房室瓣,以及膜部室间隔缺损。由于对先心病的分类有差异,本病曾有多种名称,例如:房室间隔缺损(atrioventricular septaldefects)[4]、永存房室通道(persistent A-V canal)等,目前公认的名称是心内膜垫缺损。
, 百拇医药
ECD属少见病,约占先天性心脏病的2%,其中以部分型ECD居多,但是CTECD患者的病情更重。ECD的X线平片表现与房间隔缺损相似,仅根据平片所见难以作出ECD的诊断,X线表现结合心电图显示aVF主波向下、听诊心尖和三尖瓣区有房室瓣关闭不全的收缩期杂音等临床资料,可以提示诊断,但是不能确诊并进一步分型。
X线的心血管造影被认为是诊断CTECD的“金标准”[2],以左心室造影的诊断价值最大,结合X线右心导管检查可显示右心房、室压力增高,有肺动脉高压的患者,能发现肺动脉压升高,同时可明确有无多水平分流、分流方向及其分流量。但是,CTECD患者的心脏增大显著,分流和返流量均很大,造影剂一注入左心室,立即弥散,4个心腔几乎同时显影,导致造影图像质量差,常常难以准确判断各心腔的大小、以及分流和返流的状况。而且CTECD的畸形复杂,造影检查需要注药量较大,受注药次数的限制,常常不能得出合并畸形的准确诊断。
近年来,超声心动图在CTECD的诊断中能发挥较大的作用,基本上已经获得普及应用。二维图像可以显示心脏的解剖畸形,彩色多普勒可显示左、右心之间的血液分流和房室瓣的返流,并行半定量分析。但是超声心动图的空间分辨率较低,属操作者依赖技术,诊断结果受检查医师的影响较大。因此,外科医师还不敢仅凭超声心动图制订手术方案。
, http://www.100md.com
Jacobstein等[4]曾应用SE MRI评价9例本病患者,其中6例属完全型。他们认为MRI能准确显示ECD的解剖畸形,并能判断心室发育不良。本组病例表明:应用SE MRI,能清楚显示CTECD的全部解剖畸形以及合并的其他畸形(如:Fallot四联症、主动脉右弓右降、永存左上腔静脉
等),可根据肺动脉扩张的程度估价并发肺动脉高压的情况。此点与Jacobstein等[4]的观点基本相同,但是本组无心室发育不良患者,所以,应用MRI判断CTECD的心室发育不良有待于进一步观察。
本组病例表明:MRI电影能准确显示本病复杂的血流动力学异常及心脏瓣膜的形态,一般应用SE技术结合3~5次电影扫描即可得出CTECD的完整诊断。测量返流和分流束的面积,电影MRI可以对返流量和分流量进行半定量分析。本组5例对比分析MRI与超声心动图的测量结果,两者基本符合。国外应用MRI可准确测量心腔和大血管的压力和压差,使先心病的诊断更完整全面[3]。本组病例中有4例经手术治疗,初步证实了MRI诊断CTECD的可靠性,MRI可以满足术前制订手术方案的需要。由于MRI具有显著的优点,我们认为MRI不是一种辅助检查方法[4],而有望取代X线心血管造影,成为诊断本病的重要影像学手段。有条件的医院可以考虑在超声心动图不能满足制订手术方案的要求,或已行X线心血管造影检查,但仍然不能得出本病全面诊断时,选用MRI进行检查。
, 百拇医药
MRI直接显示心脏瓣膜形态和结构的能力略逊于超声心动图,而且属于非实时技术,大部分国内所用型号较旧的机型尚不能进行分流和返流量、压力和压差的定量分析,为目前MRI的限度。
参考文献
[1] 李坤成,刘玉清,王新民.心肌梗死室壁瘤的MRI诊断.中华放射学杂志,1997,31:311-314.
[2] 刘玉清,主编.临床心脏X线诊断学. 北京:北京出版社,1981.133-135.
[3] 李坤成,主编.心血管磁共振诊断学.北京:人民卫生出版社,1997.175-178,255-256.
[4] Jacobstein MD, Fletcher BD, Goldstein S, et al. Evaluation of atrioventricular septal defect by magnetic resonance imging. Am J Cardiol,1985,55:1158-1161.
(收稿:1998-04-16 修回:1998-07-20), http://www.100md.com