肺动静脉瘘一例
作者:郭洪斌 张金傲 陈巨坤
单位:473058 河南省南阳市卫生学校附属医院放射科 北京,解放军总医院放射科(陈巨坤)
关键词:
先天性肺动静脉瘘较少见 先天性肺动静脉瘘较少见,我们遇到1例。经CT和MRI诊断,并经手术病理证实,现报告如下。
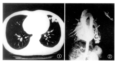
患者 男,28岁。发现左肺阴影8年。体检:精神良好,口唇紫绀,杵状指、趾明显,左胸腋前线第4~6肋间可闻及连续性Ⅱ~Ⅲ级杂音,深吸气时清晰,无传导,心前区无隆起,未触及震颤,叩诊心界不大,各瓣区未闻及杂音。实验室检查:血氧分压50.2 kPa(1kPa=7.5mmHg),氧合血红蛋白0.9,血总二氧化碳8.8 mmol/L。胸部正侧位片示左肺上舌段自肺门斜向前下有2条粗大条索状影,远段呈卵圆形膨大融合,边缘清晰锐利,拟诊:左肺动静脉血管畸形。CT平扫示左肺舌叶多个结节状密度增高影,并融合成团,边缘清晰锐利,左肺门区2条粗大血管伸入病灶,增强扫描与血管同步增强(图1)。MRI检查用GE 1.5 T机,采用心电门控触发的二维快速梯度回波成像序列,参数TR 15毫秒,TE7毫秒,层厚5 mm,层距0 mm,矩阵256×256,1次信号采集。在左肺上叶舌段近胸壁处,可见3 cm×3 cm×2 cm大小血管团影,动态增强扫描显示左上肺动脉舌段分支明显增粗,供应该异常血管团,增粗的引流静脉回流入左上肺静脉(图2)。手术所见:左上叶舌段可见3 cm×4 cm×3 cm大小血管瘤样改变,壁菲薄,搏动明显,试行阻断舌支肺动脉及左上肺静脉舌段分支,病变区搏动消失。病理检查:肺组织血管不规则扩张、扭曲,畸形明显,管壁厚薄显著不一,符合动静脉瘘。
说明:肺动静脉瘘是肺部少见病,大多为先天性,少数为胸部创伤所致。肺动脉造影是诊断本病的重要方法,可动态观察供应动脉和引流静脉走行方向和形态,但它是一种损伤性检查。MRI是一种无损伤的检查方法,它可以任意切面成像,能清楚显示病变范围、血管起始关系、形态、边界、内部结构及其与周围组织结构关系。本例运用梯度回波及动态增强扫描,清晰直观地反映了供血动脉及引流静脉的走行形态和血管数目,为设计手术方案提供了可靠的依据,本例MRI表现与手术所见一致。(收稿:1998-03-05 修回:1998-07-20), 百拇医药
单位:473058 河南省南阳市卫生学校附属医院放射科 北京,解放军总医院放射科(陈巨坤)
关键词:
先天性肺动静脉瘘较少见 先天性肺动静脉瘘较少见,我们遇到1例。经CT和MRI诊断,并经手术病理证实,现报告如下。
患者 男,28岁。发现左肺阴影8年。体检:精神良好,口唇紫绀,杵状指、趾明显,左胸腋前线第4~6肋间可闻及连续性Ⅱ~Ⅲ级杂音,深吸气时清晰,无传导,心前区无隆起,未触及震颤,叩诊心界不大,各瓣区未闻及杂音。实验室检查:血氧分压50.2 kPa(1kPa=7.5mmHg),氧合血红蛋白0.9,血总二氧化碳8.8 mmol/L。胸部正侧位片示左肺上舌段自肺门斜向前下有2条粗大条索状影,远段呈卵圆形膨大融合,边缘清晰锐利,拟诊:左肺动静脉血管畸形。CT平扫示左肺舌叶多个结节状密度增高影,并融合成团,边缘清晰锐利,左肺门区2条粗大血管伸入病灶,增强扫描与血管同步增强(图1)。MRI检查用GE 1.5 T机,采用心电门控触发的二维快速梯度回波成像序列,参数TR 15毫秒,TE7毫秒,层厚5 mm,层距0 mm,矩阵256×256,1次信号采集。在左肺上叶舌段近胸壁处,可见3 cm×3 cm×2 cm大小血管团影,动态增强扫描显示左上肺动脉舌段分支明显增粗,供应该异常血管团,增粗的引流静脉回流入左上肺静脉(图2)。手术所见:左上叶舌段可见3 cm×4 cm×3 cm大小血管瘤样改变,壁菲薄,搏动明显,试行阻断舌支肺动脉及左上肺静脉舌段分支,病变区搏动消失。病理检查:肺组织血管不规则扩张、扭曲,畸形明显,管壁厚薄显著不一,符合动静脉瘘。
说明:肺动静脉瘘是肺部少见病,大多为先天性,少数为胸部创伤所致。肺动脉造影是诊断本病的重要方法,可动态观察供应动脉和引流静脉走行方向和形态,但它是一种损伤性检查。MRI是一种无损伤的检查方法,它可以任意切面成像,能清楚显示病变范围、血管起始关系、形态、边界、内部结构及其与周围组织结构关系。本例运用梯度回波及动态增强扫描,清晰直观地反映了供血动脉及引流静脉的走行形态和血管数目,为设计手术方案提供了可靠的依据,本例MRI表现与手术所见一致。(收稿:1998-03-05 修回:1998-07-20), 百拇医药