鼻咽癌侵犯前中颅窝的MRI表现
作者:龙晚生 汤积耀 罗学毛 李志建 黄岩 陈曼琼 梁金平
单位:529070 广东省江门市中心医院放射科(龙晚生、汤积耀、罗学毛、陈曼琼、梁金平),肿瘤科(黄岩);广东省新会市人民医院放射科(李志建)
关键词:鼻咽肿瘤;肿瘤浸润;磁共振成像
中华放射学杂志990213 【摘要】 目的 探讨鼻咽癌向前、 中颅窝侵犯的MRI征象。方法 回顾分析39例有颅神经损伤并经病理确诊的鼻咽癌病例,用1.0 T磁共振机,行头颅、鼻咽部轴位和冠状面T1WI、T2WI和矢状面T2WI扫描,应用钆-喷替酸葡甲胺(Gd-DTPA)增强后,分别行轴位、冠状面、矢状面T1WI扫描。结果(1)前颅窝受侵13例,筛窦受侵3例,眶尖、球后受侵4例,两者同时受侵6例。(2)中颅窝受侵38例,蝶骨体破坏32例,蝶窦肿块25例,破裂孔异常20例,卵圆孔异常28例,蝶鞍破坏6例,海绵窦受侵35例。结论 鼻咽癌经破坏颅底骨质、进出颅腔的自然骨性通道和两者并存的3种途径向前、中颅窝侵犯,MRI能准确显示侵犯途径和程度。
, 百拇医药
MRI of nasopharyngeal carcinoma invading the anterior and middle cranial fossae LONG Wansheng, TANG Jiyao, LUO Xuemao, et al. Department of Radiolong, Jiangmen Central Hospital, Jiangmen 529070
【Abstract】 Objective To study MRI characteristics of nasopharyngeal carcinoma(NPC) with anterior and middle cranial fossa spread. Methods 39 cases of NPC with cranial nerve involvement were selected for this study. Axial and coronal T1,T2 weighted, sagittal T2 weighted, and Gd-DTPA enhanced MRI were performed. Results (1) 13 cases had frontal cranial fossa invasion. There were 3 cases with ethmoid sinus involvement.4 cases with orbital apex and postbulbar encroachment,6 patients with combined invasion. (2) 38 cases suffered from middle cranial fossa erosion. There were 32 cases with sphenoid bone destruction, 25 cases with tumor invading sphenoid sinus, 20 cases with foramen lacerum abnormality, 28 cases with foramen ovale abnormality, and 6 cases with sella turcica abnormality. Encroachment on cavernous sinus was found in 35 cases. Conclusions NPC may spread to the anterior and middle cranial fossae by destruction of skull bone, via anatomic bony foramina, or the combination of the two. These patterns could be accurately demonstratd by MRI.
, http://www.100md.com
【Key words】 Nasopharyngeal neoplasms Neoplasm invasiveness Magnetic resonance imaging
鼻咽癌约有1/3病人有颅底骨质破坏[1],12.2%的病人有颅内侵犯[2]。MRI对颅底病变的显示有较好的优越性,我们从1995年11月至1998年3月行MRI检查的256例鼻咽癌病人中,发现39例有前、中颅窝的侵犯。现就其侵犯途径和MRI表现特点作一总结。
材料与方法
男26例,女13例,年龄32~73岁,平均50岁。12例为治疗前初次检查,27例为放射治疗(简称放疗)后检查。临床症状:头痛28例,视力异常24例,耳鸣10例,鼻衄9例。全部病例均有颅神经损害的症状和体征,单组颅神经损害21例,多组颅神经损害18例,单侧颅神经受损的30例,两侧受损的9例。受损的前4位依次是Ⅵ、Ⅲ、Ⅱ、Ⅴ颅神经。
, http://www.100md.com
全部病例均有放疗前鼻咽部组织活检病理检查,其中低分化鳞癌25例,中分化鳞癌11例,未分化鳞癌3例。
采用Siemens Impact 1.0 T超导磁共振机, 先行头颅和鼻咽部SE序列轴位、冠状面T1WI、T2WI,以及矢状面T2WI扫描。扫描参数T1WI TR=450毫秒,TE=15毫秒,T2WI TR=5 000毫秒,TE=90毫秒。矩阵256×256,视野230 mm,层厚7.0 mm,层距1.4 mm。增强后行轴位、冠状面和矢状面T1WI,所用参数与平扫T1WI相同。
结 果
1.前颅窝受侵13例(图1~3)。6例有后组筛窦、 眶尖和球后同时受侵犯,3例单纯性筛窦受侵,4例为单纯性眶尖、球后受侵。筛窦受侵犯均发生在后组,眶尖和球后受侵的左侧4例,右侧3例,双侧同时受侵3例。
, http://www.100md.com
2.中颅窝受侵38例。破裂孔受侵20例,左侧8例,右侧11例,双侧受侵1例。卵圆孔受侵28例,左侧12例,右侧11例,双侧受侵5例。在上述病例中,破裂孔和卵圆孔同时受侵的有13例(图4)。海绵窦受侵35例,左侧17例,右侧14侧,双侧受侵4例,均表现为海绵窦肿块,边界清楚但不规则,增强后有明显强化(图4~6),受侵海绵窦前后径13.0~40.1 mm,平均26.7 mm;内外径11.3~51.0 mm,平均28.6 mm;上下径10.4~33.2 mm,平均20.3 mm。侵犯蝶骨体32例,蝶窦25例,蝶骨翼21例,岩尖13例,蝶鞍6例。
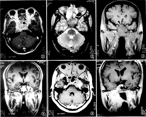
图1 男,47岁。放射治疗(简称放疗)前检查。增强轴位T1WI示双侧海绵窦肿块,向前侵犯双侧眶尖和球后(三角箭头示), 左侧视神经受压,右侧视神经受侵犯
图2 男,42岁。放疗前检查。T2WI示鞍区及后组筛窦软组织肿块,向上侵犯双侧眶尖部,前组筛窦积液
, http://www.100md.com
图3 与图2同一病例。冠状面T1WI示鼻咽顶壁肿块,向上侵犯蝶窦和蝶鞍,箭头所示为上抬的视交叉
图4 男,46岁。放疗后2年。增强冠状面T1WI示破裂孔(FL)和卵圆孔(FO)同时受侵犯。左侧海绵窦肿块(▲),蝶窦积液(↑)
图5 与图4同一病例。增强轴位T1WI示左侧海绵窦巨大肿块,左侧颞骨岩尖部受侵犯
图6 男,34岁。放疗后1年半。增强冠状面T1WI示鼻咽右侧壁肿块,侵犯右茎突前间隙,蝶骨体、蝶骨大翼破坏,并经右破裂孔、右卵圆孔侵犯右海绵窦
3.斜坡骨质破坏21例。9例在后颅窝形成肿块,9例有放射性脑部损伤。讨 论
, http://www.100md.com 1.鼻咽癌向前颅窝侵犯的MRI表现:前颅底由额骨眶板、筛骨筛板以及蝶骨的一部分构成,既往关于鼻咽癌向前颅底侵犯的描述较少,本组有13例,占同期鼻咽癌病例的5%。鼻咽癌侵犯前颅窝主要有3种情况:(1)鼻咽癌侵犯中颅窝、海绵窦部,再向前侵犯前颅窝,本组7例;(2)经蝶骨、蝶窦,肿块直接向前上方侵犯筛窦和球后,本组仅见1例;(3)为上述两种情况同时存在,本组5例。因此,鼻咽癌前颅窝受侵时,中颅窝多数已被侵犯。筛窦的侵犯主要发生在后组,表现为筛骨破坏,筛窦内肿块形成,严重者有嗅神经受损的临床表现。眶尖及球后受侵犯可以是单侧,亦可以是双侧,以肿块形成为主,伴有骨质破坏,肿块多有明显强化,视神经常被肿块推移、包绕,严重者视神经亦受侵犯(图1)。临床表现有视力异常和眶尖综合征等。
2.鼻咽癌向中颅窝侵犯的途径及MRI表现:中颅窝由蝶骨体、蝶骨大翼和颞骨岩部的前面构成。中颅窝可分为较窄的中部和两侧宽广深凹的外侧部。鼻咽癌侵犯海绵窦已有不少报道[1-4]。 但鼻咽癌对中颅窝的侵犯不仅侵犯海绵窦,还侵犯蝶鞍,不仅侵犯中颅窝的中部,还直接侵犯中颅窝的外侧部。鼻咽癌侵犯中颅窝主要有下列途径:(1) 经破裂孔、卵圆孔等自然通道侵犯中颅窝。颅底部进出颅内的血管和神经形成许多骨性自然通道,鼻咽癌极易沿着这些通道向颅内侵犯,过去一直认为鼻咽癌经过破裂孔途径是向海绵窦侵犯的主要途径。Chong等[1]通过MRI研究观察到鼻咽癌侵犯海绵窦主要是经过卵圆孔,而破裂孔是次要途径。本组资料显示:28例有卵圆孔异常,20例有破裂孔异常,其中13例显示破裂孔和卵圆孔同时受侵犯,我们的结果与Chong等[1]的结果一致。破裂孔虽然比卵圆孔更靠近中线结构,与鼻咽顶后壁紧邻,但由于破裂孔内有软骨组织,软骨对肿瘤的阻挡作用使肿瘤不易通过该孔向颅内侵犯,而卵圆孔虽然更靠外侧,但由于鼻咽癌对咽旁间隙的广泛侵犯,再加上该通道没有软骨的阻挡,使之成为鼻咽癌向颅内侵犯的主要自然通道。(2)通过破坏蝶骨、蝶窦等骨性结构侵犯中颅窝。本组有32例显示蝶骨体骨质破坏,25例有蝶窦内肿块。蝶骨、蝶窦受侵以后,向前上方发展,侵犯前颅窝,已如前述;向上发展,直接侵犯蝶鞍,在鞍内形成肿块,挤压或侵犯垂体,本组6例(图2,3);向外上方发展,侵犯海绵窦,在单侧或双侧海绵窦形成肿块。CT和MRI检查蝶骨体、蝶窦受侵的效果相仿,但MRI在显示蝶骨翼受侵时比CT优越[5]。 另外鼻咽部和咽旁间隙肿块还可通过破坏蝶骨大翼途径直接侵犯中颅窝外侧部。(3)经过破坏骨质和通过自然通道的混合途径侵犯中颅窝。在38例中颅窝受侵的病例中,3例为单纯通过蝶骨和蝶窦途径,6例单纯通过卵圆孔或(和)破裂孔途径,其余29 例同时兼有两种途径。由此可见,鼻咽癌向颅内侵犯多数是经骨质破坏和自然通道两个途径同时进行(图6)。(4)关于海绵窦受侵犯,海绵窦为鼻咽癌颅内侵犯累及最多的部位。本组有35例显示海绵窦受侵犯(图1,4~6),占89.7%。由于骨质伪影的干扰,有时CT检查海绵窦的受侵显示欠清,特别是海绵窦的早期受侵容易漏诊。MRI没有骨质伪影,加上多方位成像,对海绵窦病变显示清楚。MRI增强扫描常常能显示平扫不易发现的病变。
, 百拇医药
参考文献
1 Chong VF, Fan YF, Khoo JB. Nasopharyngeal carcinoma with intracranial spread: CT and MR characteristics.J Comput Assist Tomogr, 1996,20:563-569.
2 Sham JS, Cheung YK, Choy D, et al. Nasopharyngeal carcinoma: CT evaluation of patterns of tumor spread. AJNR, 1991, 12:265-270.
3 倪纪元, 孙如荣. 鼻咽癌海绵窦侵犯的CT表现. 中华放射学杂志, 1992, 26:763-765.
4 Teresi LM, Lufkin RB, Vinuela F, et al. MR imaging of the nasopharynx and floor of the middle cranial fossa. Part Ⅱ: malignant tumors. Radiology,1987,164:817-821.
5 Chong VF, Fan YF. Skull base erosion in nasopharyngeal carcinoma: detection by CT and MRI. Clin Radiol, 1996,51:625-631.
(收稿:1998-06-08 修回:1998-09-28), 百拇医药
单位:529070 广东省江门市中心医院放射科(龙晚生、汤积耀、罗学毛、陈曼琼、梁金平),肿瘤科(黄岩);广东省新会市人民医院放射科(李志建)
关键词:鼻咽肿瘤;肿瘤浸润;磁共振成像
中华放射学杂志990213 【摘要】 目的 探讨鼻咽癌向前、 中颅窝侵犯的MRI征象。方法 回顾分析39例有颅神经损伤并经病理确诊的鼻咽癌病例,用1.0 T磁共振机,行头颅、鼻咽部轴位和冠状面T1WI、T2WI和矢状面T2WI扫描,应用钆-喷替酸葡甲胺(Gd-DTPA)增强后,分别行轴位、冠状面、矢状面T1WI扫描。结果(1)前颅窝受侵13例,筛窦受侵3例,眶尖、球后受侵4例,两者同时受侵6例。(2)中颅窝受侵38例,蝶骨体破坏32例,蝶窦肿块25例,破裂孔异常20例,卵圆孔异常28例,蝶鞍破坏6例,海绵窦受侵35例。结论 鼻咽癌经破坏颅底骨质、进出颅腔的自然骨性通道和两者并存的3种途径向前、中颅窝侵犯,MRI能准确显示侵犯途径和程度。
, 百拇医药
MRI of nasopharyngeal carcinoma invading the anterior and middle cranial fossae LONG Wansheng, TANG Jiyao, LUO Xuemao, et al. Department of Radiolong, Jiangmen Central Hospital, Jiangmen 529070
【Abstract】 Objective To study MRI characteristics of nasopharyngeal carcinoma(NPC) with anterior and middle cranial fossa spread. Methods 39 cases of NPC with cranial nerve involvement were selected for this study. Axial and coronal T1,T2 weighted, sagittal T2 weighted, and Gd-DTPA enhanced MRI were performed. Results (1) 13 cases had frontal cranial fossa invasion. There were 3 cases with ethmoid sinus involvement.4 cases with orbital apex and postbulbar encroachment,6 patients with combined invasion. (2) 38 cases suffered from middle cranial fossa erosion. There were 32 cases with sphenoid bone destruction, 25 cases with tumor invading sphenoid sinus, 20 cases with foramen lacerum abnormality, 28 cases with foramen ovale abnormality, and 6 cases with sella turcica abnormality. Encroachment on cavernous sinus was found in 35 cases. Conclusions NPC may spread to the anterior and middle cranial fossae by destruction of skull bone, via anatomic bony foramina, or the combination of the two. These patterns could be accurately demonstratd by MRI.
, http://www.100md.com
【Key words】 Nasopharyngeal neoplasms Neoplasm invasiveness Magnetic resonance imaging
鼻咽癌约有1/3病人有颅底骨质破坏[1],12.2%的病人有颅内侵犯[2]。MRI对颅底病变的显示有较好的优越性,我们从1995年11月至1998年3月行MRI检查的256例鼻咽癌病人中,发现39例有前、中颅窝的侵犯。现就其侵犯途径和MRI表现特点作一总结。
材料与方法
男26例,女13例,年龄32~73岁,平均50岁。12例为治疗前初次检查,27例为放射治疗(简称放疗)后检查。临床症状:头痛28例,视力异常24例,耳鸣10例,鼻衄9例。全部病例均有颅神经损害的症状和体征,单组颅神经损害21例,多组颅神经损害18例,单侧颅神经受损的30例,两侧受损的9例。受损的前4位依次是Ⅵ、Ⅲ、Ⅱ、Ⅴ颅神经。
, http://www.100md.com
全部病例均有放疗前鼻咽部组织活检病理检查,其中低分化鳞癌25例,中分化鳞癌11例,未分化鳞癌3例。
采用Siemens Impact 1.0 T超导磁共振机, 先行头颅和鼻咽部SE序列轴位、冠状面T1WI、T2WI,以及矢状面T2WI扫描。扫描参数T1WI TR=450毫秒,TE=15毫秒,T2WI TR=5 000毫秒,TE=90毫秒。矩阵256×256,视野230 mm,层厚7.0 mm,层距1.4 mm。增强后行轴位、冠状面和矢状面T1WI,所用参数与平扫T1WI相同。
结 果
1.前颅窝受侵13例(图1~3)。6例有后组筛窦、 眶尖和球后同时受侵犯,3例单纯性筛窦受侵,4例为单纯性眶尖、球后受侵。筛窦受侵犯均发生在后组,眶尖和球后受侵的左侧4例,右侧3例,双侧同时受侵3例。
, http://www.100md.com
2.中颅窝受侵38例。破裂孔受侵20例,左侧8例,右侧11例,双侧受侵1例。卵圆孔受侵28例,左侧12例,右侧11例,双侧受侵5例。在上述病例中,破裂孔和卵圆孔同时受侵的有13例(图4)。海绵窦受侵35例,左侧17例,右侧14侧,双侧受侵4例,均表现为海绵窦肿块,边界清楚但不规则,增强后有明显强化(图4~6),受侵海绵窦前后径13.0~40.1 mm,平均26.7 mm;内外径11.3~51.0 mm,平均28.6 mm;上下径10.4~33.2 mm,平均20.3 mm。侵犯蝶骨体32例,蝶窦25例,蝶骨翼21例,岩尖13例,蝶鞍6例。
图1 男,47岁。放射治疗(简称放疗)前检查。增强轴位T1WI示双侧海绵窦肿块,向前侵犯双侧眶尖和球后(三角箭头示), 左侧视神经受压,右侧视神经受侵犯
图2 男,42岁。放疗前检查。T2WI示鞍区及后组筛窦软组织肿块,向上侵犯双侧眶尖部,前组筛窦积液
, http://www.100md.com
图3 与图2同一病例。冠状面T1WI示鼻咽顶壁肿块,向上侵犯蝶窦和蝶鞍,箭头所示为上抬的视交叉
图4 男,46岁。放疗后2年。增强冠状面T1WI示破裂孔(FL)和卵圆孔(FO)同时受侵犯。左侧海绵窦肿块(▲),蝶窦积液(↑)
图5 与图4同一病例。增强轴位T1WI示左侧海绵窦巨大肿块,左侧颞骨岩尖部受侵犯
图6 男,34岁。放疗后1年半。增强冠状面T1WI示鼻咽右侧壁肿块,侵犯右茎突前间隙,蝶骨体、蝶骨大翼破坏,并经右破裂孔、右卵圆孔侵犯右海绵窦
3.斜坡骨质破坏21例。9例在后颅窝形成肿块,9例有放射性脑部损伤。讨 论
, http://www.100md.com 1.鼻咽癌向前颅窝侵犯的MRI表现:前颅底由额骨眶板、筛骨筛板以及蝶骨的一部分构成,既往关于鼻咽癌向前颅底侵犯的描述较少,本组有13例,占同期鼻咽癌病例的5%。鼻咽癌侵犯前颅窝主要有3种情况:(1)鼻咽癌侵犯中颅窝、海绵窦部,再向前侵犯前颅窝,本组7例;(2)经蝶骨、蝶窦,肿块直接向前上方侵犯筛窦和球后,本组仅见1例;(3)为上述两种情况同时存在,本组5例。因此,鼻咽癌前颅窝受侵时,中颅窝多数已被侵犯。筛窦的侵犯主要发生在后组,表现为筛骨破坏,筛窦内肿块形成,严重者有嗅神经受损的临床表现。眶尖及球后受侵犯可以是单侧,亦可以是双侧,以肿块形成为主,伴有骨质破坏,肿块多有明显强化,视神经常被肿块推移、包绕,严重者视神经亦受侵犯(图1)。临床表现有视力异常和眶尖综合征等。
2.鼻咽癌向中颅窝侵犯的途径及MRI表现:中颅窝由蝶骨体、蝶骨大翼和颞骨岩部的前面构成。中颅窝可分为较窄的中部和两侧宽广深凹的外侧部。鼻咽癌侵犯海绵窦已有不少报道[1-4]。 但鼻咽癌对中颅窝的侵犯不仅侵犯海绵窦,还侵犯蝶鞍,不仅侵犯中颅窝的中部,还直接侵犯中颅窝的外侧部。鼻咽癌侵犯中颅窝主要有下列途径:(1) 经破裂孔、卵圆孔等自然通道侵犯中颅窝。颅底部进出颅内的血管和神经形成许多骨性自然通道,鼻咽癌极易沿着这些通道向颅内侵犯,过去一直认为鼻咽癌经过破裂孔途径是向海绵窦侵犯的主要途径。Chong等[1]通过MRI研究观察到鼻咽癌侵犯海绵窦主要是经过卵圆孔,而破裂孔是次要途径。本组资料显示:28例有卵圆孔异常,20例有破裂孔异常,其中13例显示破裂孔和卵圆孔同时受侵犯,我们的结果与Chong等[1]的结果一致。破裂孔虽然比卵圆孔更靠近中线结构,与鼻咽顶后壁紧邻,但由于破裂孔内有软骨组织,软骨对肿瘤的阻挡作用使肿瘤不易通过该孔向颅内侵犯,而卵圆孔虽然更靠外侧,但由于鼻咽癌对咽旁间隙的广泛侵犯,再加上该通道没有软骨的阻挡,使之成为鼻咽癌向颅内侵犯的主要自然通道。(2)通过破坏蝶骨、蝶窦等骨性结构侵犯中颅窝。本组有32例显示蝶骨体骨质破坏,25例有蝶窦内肿块。蝶骨、蝶窦受侵以后,向前上方发展,侵犯前颅窝,已如前述;向上发展,直接侵犯蝶鞍,在鞍内形成肿块,挤压或侵犯垂体,本组6例(图2,3);向外上方发展,侵犯海绵窦,在单侧或双侧海绵窦形成肿块。CT和MRI检查蝶骨体、蝶窦受侵的效果相仿,但MRI在显示蝶骨翼受侵时比CT优越[5]。 另外鼻咽部和咽旁间隙肿块还可通过破坏蝶骨大翼途径直接侵犯中颅窝外侧部。(3)经过破坏骨质和通过自然通道的混合途径侵犯中颅窝。在38例中颅窝受侵的病例中,3例为单纯通过蝶骨和蝶窦途径,6例单纯通过卵圆孔或(和)破裂孔途径,其余29 例同时兼有两种途径。由此可见,鼻咽癌向颅内侵犯多数是经骨质破坏和自然通道两个途径同时进行(图6)。(4)关于海绵窦受侵犯,海绵窦为鼻咽癌颅内侵犯累及最多的部位。本组有35例显示海绵窦受侵犯(图1,4~6),占89.7%。由于骨质伪影的干扰,有时CT检查海绵窦的受侵显示欠清,特别是海绵窦的早期受侵容易漏诊。MRI没有骨质伪影,加上多方位成像,对海绵窦病变显示清楚。MRI增强扫描常常能显示平扫不易发现的病变。
, 百拇医药
参考文献
1 Chong VF, Fan YF, Khoo JB. Nasopharyngeal carcinoma with intracranial spread: CT and MR characteristics.J Comput Assist Tomogr, 1996,20:563-569.
2 Sham JS, Cheung YK, Choy D, et al. Nasopharyngeal carcinoma: CT evaluation of patterns of tumor spread. AJNR, 1991, 12:265-270.
3 倪纪元, 孙如荣. 鼻咽癌海绵窦侵犯的CT表现. 中华放射学杂志, 1992, 26:763-765.
4 Teresi LM, Lufkin RB, Vinuela F, et al. MR imaging of the nasopharynx and floor of the middle cranial fossa. Part Ⅱ: malignant tumors. Radiology,1987,164:817-821.
5 Chong VF, Fan YF. Skull base erosion in nasopharyngeal carcinoma: detection by CT and MRI. Clin Radiol, 1996,51:625-631.
(收稿:1998-06-08 修回:1998-09-28), 百拇医药