二例系统性Weber-Christian病的影像学表现
作者:李智岗 赵俊京 刘泽林
单位:050011石家庄,河北医科大学第四医院放射科(李智岗、赵俊京),内二科(刘泽林)
关键词:
中华放射学杂志990725
Weber-Christian病又称复发性热性结节性非化脓性脂膜炎,是一种以反复发热、出现皮下结节为特征的全身性疾病,根据有无内脏受累分为皮肤型和系统型,后者罕见。我院共遇到系统型2例,均经病理证实,并进行了X线和CT检查,现报告如下。
例1 男,25岁。因反复发热伴全身肌肉酸痛、疲劳、厌食、双下肢红斑5个月而入院。体检:体温38.9℃。左下肺叩诊呈实音,听诊呼吸音减弱。双下肢可见多个直径0.5cm的暗红色结节,有触痛,活动性小。B超报告左侧中等量胸腔积液及少量心包积液。胸片示左侧中等量胸腔积液,心影无明显增大。右下肢结节活检,病理报告为结节性脂膜炎。住院后经激素及抗生素治疗,病情缓解出院。
, 百拇医药
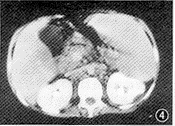
例2 男,19岁。因反复高热、全身浅表淋巴结肿大、气短、乏力、腹胀10个月入院。患者自发病以来,曾多次B超检查,发现有腹水,量多时不能平卧。本次入院时体检:体温39.5℃,体质消瘦,中度贫血貌,全身浅表淋巴结肿大,直径达0.5~1.0cm。右下肺叩诊呈浊音,听诊呼吸音稍弱。肝肿大,肋下3cm 处扪及;脾肿大,肋下5cm 处扪及,于左下肢及腰部可见多个结节,直径约0.2~0.5cm,触痛明显。阴囊明显肿大。不同时间的胸片示右侧少量胸腔积液,右上肺结节影,肺纹理增多紊乱,右上纵隔及肺门肿块等(图1)。脊柱片示第1腰椎椎体呈前凹后凸,椎间隙不等宽,发育异常(图2)。胸骨摄片示胸骨第3、4节未融合,骨龄延迟。胸部CT示右上纵隔及右肺门团块影,脂肪密度,其CT值为-32~-2HU,内部可见分隔,上腔静脉受压向前移位;增强扫描肿块无明显强化(图3)。腹部CT示肝脾肿大,尤以脾脏增大为甚,肠系膜及腹腔淋巴结受累,形成大小不等的结节影,部分融合成团块状。肾实质及肾周筋膜呈不规则低密度(图4)。左下肢皮下结节活检,病理报告为结节性脂膜炎。
, 百拇医药
图1 右上纵隔及右肺门可见团块状影,边缘清楚,密度较低
图2 第1腰椎椎体呈前凹后凸,椎间隙不等宽,发育异常
图3 CT增强扫描,可见右上纵隔及右肺门团块状影,脂肪密度,其CT值为-32~-2HU,内有分隔,上腔静脉受压向前移位,肿块无明显强化
图4 腹部CT增强扫描,可见肝脾肿大,尤以脾脏增大为甚。肠系膜及腹腔淋巴结受累,形成大小不等的结节影,部分融合成团块状。肾及肾周脂肪受累,表现为肾实质及肾周筋膜不规则低密度
讨论 Weber-Christian病较为少见。以青壮年好发。临床表现包括发热、皮下结节及内脏损害,严重者可累及多个内脏器官。据文献报道[1],白细胞减少表示病情严重和预后不良。例2表现尤为典型,几乎所有内脏全部受累,全血减少,于发病后2年死亡。
, 百拇医药
关于本病的影像学表现,国内文献仅有少数报告[2,3]。总结本组2例系统型病例,结合有关文献,笔者认为本病影像学表现有以下特点:
1.反复发作性及一过性:例2曾有一过性胸腔积液并反复出现过腹水,量多时不能平卧。但后来虽经多次检查,却均未发现胸水及腹水。本院及外院多次B超检查发现肝脏有占位性病变,但后来行CT检查却又无占位征象。
2.多发性及多形性:本病几乎可以累及全身各个脏器的脂肪组织,包括胸部、腹部、骨骼及骨髓等。其胸部影像学表现可谓多种多样,有肺纹理改变、斑片阴影、肺内结节、纵隔及肺门肿块、胸腔积液、心包积液。腹部CT表现也颇繁多,有肝脾肿大、腹水、肿块,也有肾脏局限性低密度。骨骼表现有骨龄延迟、椎体发育异常。李永发等[2]报告1例本病的长骨改变,类似于纤维异常增殖症。另有文献报告[4],本病扁骨的X线表现呈穿凿样、虫蚀样破坏,类似于骨髓瘤。
, 百拇医药
3.CT检查有助于本病的诊断,由于CT的密度分辨率高,可以发现病变为脂肪来源。但需要与其他脂肪性病变如脂肪瘤、脂肪肉瘤等相鉴别,但本病的多发性倾向有助于与上述疾病相鉴别,本病的最后确诊有赖于病理检查。
参考文献
1 赵武述,陈仁,卞志强,主编.现代临床免疫学.北京:人民军医出版社,1994.622-624.
2 李永发,王朝晖,张雪哲.多发性脂膜炎一例.中华放射学杂志,1994,28:422.
3 陈亚宾,杨明,高忠辉,等.腹内脂膜炎的CT表现(附二例报告).中华放射学杂志,1995,29:67-68.
4 Resmick D,Niwayama G.Diagnosis of bone and joint disorders.3rd ed. Philadelphia:Saunders,1981.3174-3175.
收稿:1998-10-20
本文编辑:任晓黎, 百拇医药
单位:050011石家庄,河北医科大学第四医院放射科(李智岗、赵俊京),内二科(刘泽林)
关键词:
中华放射学杂志990725
Weber-Christian病又称复发性热性结节性非化脓性脂膜炎,是一种以反复发热、出现皮下结节为特征的全身性疾病,根据有无内脏受累分为皮肤型和系统型,后者罕见。我院共遇到系统型2例,均经病理证实,并进行了X线和CT检查,现报告如下。
例1 男,25岁。因反复发热伴全身肌肉酸痛、疲劳、厌食、双下肢红斑5个月而入院。体检:体温38.9℃。左下肺叩诊呈实音,听诊呼吸音减弱。双下肢可见多个直径0.5cm的暗红色结节,有触痛,活动性小。B超报告左侧中等量胸腔积液及少量心包积液。胸片示左侧中等量胸腔积液,心影无明显增大。右下肢结节活检,病理报告为结节性脂膜炎。住院后经激素及抗生素治疗,病情缓解出院。
, 百拇医药
例2 男,19岁。因反复高热、全身浅表淋巴结肿大、气短、乏力、腹胀10个月入院。患者自发病以来,曾多次B超检查,发现有腹水,量多时不能平卧。本次入院时体检:体温39.5℃,体质消瘦,中度贫血貌,全身浅表淋巴结肿大,直径达0.5~1.0cm。右下肺叩诊呈浊音,听诊呼吸音稍弱。肝肿大,肋下3cm 处扪及;脾肿大,肋下5cm 处扪及,于左下肢及腰部可见多个结节,直径约0.2~0.5cm,触痛明显。阴囊明显肿大。不同时间的胸片示右侧少量胸腔积液,右上肺结节影,肺纹理增多紊乱,右上纵隔及肺门肿块等(图1)。脊柱片示第1腰椎椎体呈前凹后凸,椎间隙不等宽,发育异常(图2)。胸骨摄片示胸骨第3、4节未融合,骨龄延迟。胸部CT示右上纵隔及右肺门团块影,脂肪密度,其CT值为-32~-2HU,内部可见分隔,上腔静脉受压向前移位;增强扫描肿块无明显强化(图3)。腹部CT示肝脾肿大,尤以脾脏增大为甚,肠系膜及腹腔淋巴结受累,形成大小不等的结节影,部分融合成团块状。肾实质及肾周筋膜呈不规则低密度(图4)。左下肢皮下结节活检,病理报告为结节性脂膜炎。
, 百拇医药
图1 右上纵隔及右肺门可见团块状影,边缘清楚,密度较低
图2 第1腰椎椎体呈前凹后凸,椎间隙不等宽,发育异常
图3 CT增强扫描,可见右上纵隔及右肺门团块状影,脂肪密度,其CT值为-32~-2HU,内有分隔,上腔静脉受压向前移位,肿块无明显强化
图4 腹部CT增强扫描,可见肝脾肿大,尤以脾脏增大为甚。肠系膜及腹腔淋巴结受累,形成大小不等的结节影,部分融合成团块状。肾及肾周脂肪受累,表现为肾实质及肾周筋膜不规则低密度
讨论 Weber-Christian病较为少见。以青壮年好发。临床表现包括发热、皮下结节及内脏损害,严重者可累及多个内脏器官。据文献报道[1],白细胞减少表示病情严重和预后不良。例2表现尤为典型,几乎所有内脏全部受累,全血减少,于发病后2年死亡。
, 百拇医药
关于本病的影像学表现,国内文献仅有少数报告[2,3]。总结本组2例系统型病例,结合有关文献,笔者认为本病影像学表现有以下特点:
1.反复发作性及一过性:例2曾有一过性胸腔积液并反复出现过腹水,量多时不能平卧。但后来虽经多次检查,却均未发现胸水及腹水。本院及外院多次B超检查发现肝脏有占位性病变,但后来行CT检查却又无占位征象。
2.多发性及多形性:本病几乎可以累及全身各个脏器的脂肪组织,包括胸部、腹部、骨骼及骨髓等。其胸部影像学表现可谓多种多样,有肺纹理改变、斑片阴影、肺内结节、纵隔及肺门肿块、胸腔积液、心包积液。腹部CT表现也颇繁多,有肝脾肿大、腹水、肿块,也有肾脏局限性低密度。骨骼表现有骨龄延迟、椎体发育异常。李永发等[2]报告1例本病的长骨改变,类似于纤维异常增殖症。另有文献报告[4],本病扁骨的X线表现呈穿凿样、虫蚀样破坏,类似于骨髓瘤。
, 百拇医药
3.CT检查有助于本病的诊断,由于CT的密度分辨率高,可以发现病变为脂肪来源。但需要与其他脂肪性病变如脂肪瘤、脂肪肉瘤等相鉴别,但本病的多发性倾向有助于与上述疾病相鉴别,本病的最后确诊有赖于病理检查。
参考文献
1 赵武述,陈仁,卞志强,主编.现代临床免疫学.北京:人民军医出版社,1994.622-624.
2 李永发,王朝晖,张雪哲.多发性脂膜炎一例.中华放射学杂志,1994,28:422.
3 陈亚宾,杨明,高忠辉,等.腹内脂膜炎的CT表现(附二例报告).中华放射学杂志,1995,29:67-68.
4 Resmick D,Niwayama G.Diagnosis of bone and joint disorders.3rd ed. Philadelphia:Saunders,1981.3174-3175.
收稿:1998-10-20
本文编辑:任晓黎, 百拇医药