三维增强磁共振血管造影(60例临床应用分析)
作者:宋金松 刘玉清 朱杰敏 俞肖一 凌坚 严洪珍 蒋世良
单位:100037 北京,中国医学科学院 协和医科大学 心血管病研究所 阜外医院放射科(宋金松、刘玉清、凌坚、蒋世良);北京协和医院放射科(朱杰敏、俞肖一、严洪珍)
关键词:磁共振血管造影术;图像增强;评价研究
中华放射学杂志990907 【摘要】 目的 探讨三维增强磁共振血管造影(3D DCE MRA)技术及其临床应用价值。方法60例3D DCE MRA包括44例病变血管和16例正常血管。选用三维快速梯度回波(3D FFE)序列,行3D DCE MRA检查,主要参数为TR 9毫秒,TE 3毫秒,翻转角30°,矩阵128×256,快速注射0.2 mmol/kg 钆-喷替酸葡甲胺(Gd-DTPA),注射速度1.5~2.0 ml/s,延迟时间依据病情而定,其中36例(病变组34例和正常组2例)经数字减影动脉血管造影(IADSA)或(和)手术证实;图像质量采用优、良、差3级评价,并计算出敏感性、特异性和准确性。结果 60例3D DCE MRA图像质量优良者57例,占95%。50例(16例正常组与经手术、IADSA证实的34例病变组)3D DCE MRA的敏感性、特异性和准确性分别为94.1%、87.5%和92.0%;假阳性,假阴性各2例,病变程度高估3例。34例各类血管和相关病变的3D DCE MRA结果与IADSA或(和)手术符合率为85.3%,主动脉及其主支病变则分别为100.0%和77.3%。结论 3D DCE MRA是一种有效、微创技术,评价主动脉病变可与IADSA媲美,对主动脉主支病变与IADSA尚有一定差距,通过提高扫描速度和改善重建技术,有望能逐步替代IADSA。
, 百拇医药
Three-dimensional dynamic contrast-enhanced MR angiography:an analysis of clinical applications on 60 cases
SONG Jinsong,Department of Radiology,Fuwai Hospital,LIU Yuqing,ZHU Jiemin,et al.
Chinese Academy of Medical Sciences and Beijing Union Medical College, Beijing 100037
【Abstract】 Objective To evaluate the technique and assess the value of clinical applications of 3D dynamic contrast-enhanced MR angiography in the diagnosis of lesions of the aorta and its major branches. Methods 3D DCE MRA was performed in 60 cases, 44 of them had various aortic and major branch lesions and 16 normal finding. The imaging sequence was FFE-3D(3D fast field echo),and the parameters used were TR: 9 ms, TE:3 ms, flip angle 30°, and matrix 128×256. The 0.2mmol/kg Gd-DTPA was injected with the rate of 1.5-2.0 ml/sec, and the delay time was determined on the basis of status of patients. The image quality was evaluated and the results in 34 cases of 3D DCE MRA were compared with that of IADSA or/and surgery. Results Fifty seven (95%) cases were classified as good image quality in 60 cases of our series, and sensitivity, specificity and accuracy of 3D DCE MRA in the diagnosis of 50 cases with the aortic and its major branch lesions were 94.1%, 87.5% and 92.0% respectively, and fasle postive in 2, fasle negative in 2, overestimation in 3. ccuracy of 3D DCE MRA of 34 patients proved by IADSA or/and surgery was 100% in aortic and 77.3% in major branch lesions and the overall accuracy was 85.3%. Conclusions 3D DCE MRA is an effective and minimally invasive method for evaluating lesions of aorta ,and almost of similar efficacy to that of IADSA. However, the diagnostic evaluation of the major branch lesions is rather inferior to that of IADSA. Along, with fasting scanning speed and improvement of three-dimensional reconstruction techinique, angiography including DSA will possibly and progressively be replaced by 3D DCE MRA in the near future.
, 百拇医药
【Key words】 Magnetic resonance angiography Image enhancement Evaluation studies
三维增强MR血管造影(3D dynamic contrast enhanced MR angiography, 3D DCE MRA)是近年开发的一项新的MRA技术。我们自1997年11月开展了相关技术及临床应用的前瞻性研究,现将初步结果报告如下。
材料与方法
1997年11月至1998年7月间共行3D DCE MRA 60例,男41例,女19例,年龄15~73岁,平均45岁。检查部位包括颈动脉、胸主动脉或(和)头臂动脉、肺动脉、腹主动脉或(和)髂动脉和肾动脉。其中动脉异常44例,正常16例,包括髂动脉狭窄或(和)扩张8例,胸主动脉或腹主动脉瘤7例,肺动脉、颈动脉病变及大动脉炎各为5例,纵隔肿瘤与血管鉴别4例,主动脉夹层2例,肾动脉狭窄3例和其他21例(包括正常16例)。60例中36例经数字减影动脉血管造影(IADSA)或(和)手术进一步证实,病变组和正常组分别为34例和2例,为笔者分析的主要对象。
, http://www.100md.com
所有病例均采用1.5 T MRI扫描机(Toshiba公司生产的Visart),扫描序列为三维快速梯度回波(3D FFE),各部位成像参数见表1。
表1 正常组和病变组各部位成像参数 部位
TR(毫秒)
TE(毫秒)
翻转角(°)
采集次数
视野(cm2)
矩阵(cm×cm)
体位
层厚(mm)
, 百拇医药
线圈类型
颈动脉
9
3
30
1
27
128×256
冠状位
3.5~4.0
颈
头臂动脉
9
, 百拇医药
3
30
1
32
128×256
冠状位
4.0~4.5
体
胸主动脉
9
3
30
1
, http://www.100md.com 34
128×256
左前斜
4.5~5.0
体
肺动脉
9
3
30
1
32
128×256
冠状位
, http://www.100md.com 4.0~4.5
体
腹-肾动脉
9
3
30
1
32
128×256
冠状位
3.0~4.0
体
腹-髂动脉
, http://www.100md.com
9
3
30
1
32
128×256
冠状位
3.0~4.0
体
对比剂为钆-喷替酸葡甲胺(Gd-DTPA),剂量0.2 mmol/kg,平均25 ml。除头臂血管成像采用下肢静脉外,余均为上肢静脉手推注射,注射速度1.5~2.0 ml/s(计时表+注射器),注射对比剂后注射生理盐水20 ml,注射速度同前。除颈动脉外,其他动脉区成像均用屏气法扫描,延迟时间(开始注射对比剂至开始采集的时间)依据各靶动脉位置而定。一般颈动脉、肺动脉、胸主动脉或头臂动脉,腹主-肾动脉和腹-髂动脉延迟时间分别为12、5、10、13和15秒,同时按病人的心功能等生理和病理状况适当增减。每次扫描时间18~26秒,间隔8~10秒,重复采集3次(即分别行选择性动脉期,毛细血管-实质期和静脉期成像);采集原始资料后经最大信号强度投影(MIP)技术三维重建。本组造影后3例有恶心、呕吐、头晕、心慌等一般性对比剂反应,无需特殊处理外,未见重要并发症。
, http://www.100md.com
本组36例(病变和正常组分别为34例和2例)在3D DCE MRA检查前后2周进行了IADSA或(和)手术治疗。3D DCE MRA图像质量采用优、良、差3级自定的方法评价,优:靶动脉显示佳,无或较少与静脉重叠,符合诊断要求;良:靶动脉显示尚可,部分与静脉重叠,不影响诊断分析;差:靶动脉显示差或未显示,大部分或完全与静脉重叠,不符合诊断要求。本组病例由2位高级职称医师采用双盲法评价,计算3D DCE MRA诊断的敏感性、特异性和准确性。
结果
本组60例 3D DCE MRA 图像质量分析,16例正常组中差者1例,优良率93.8%,44例病变组中差者2例,优良率95.5%,总的优良率为95.0%。
病变组34例 3D DCE MRA与IADSA或(和)手术结果对照,符合率分别为胸腹主动脉100.0%(12/12例) (图1~6),髂动脉87.5%(7/8例)(图7,8),颈动脉80.0%(4/5例),头臂动脉75.0%(3/4例),肾动脉60.0%(3/5例),总的符合率为85.3%,主动脉及其主支病变则分别为100.0%和77.3%。与IADSA或(和)手术结果对照的34例病人3D DCE MRA显示假阴性2例,16例正常组中假阳性2例,误诊率8.0%;其敏感性、特异性和准确性分别为94.1%、87.5%和92.0%。







, 百拇医药
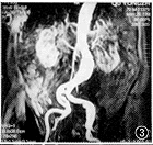
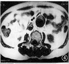
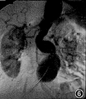
图1,2 图1为SE左前斜位,示主动脉弓部囊状突出,内无信号;图2为三维增强磁共振血管造影(3D DCE MRA)左前斜位,示左锁骨下动脉开口以远可见囊状突出,其内信号与主动脉弓相同,手术证实为假性动脉瘤 图3,4 图3为3D DCE MRA冠状位,示腹主动脉扭曲,肾动脉水平以下瘤样扩张,左肾动脉起始部局限性重度狭窄,双侧髂总动脉多发狭窄和扩张;图4 为SE轴位,示腹主动脉扩张,其内可见新月形附壁血栓,手术证实为真性动脉瘤伴附壁血栓 图5,6 图5为数字减影动脉血管造影(IADSA)冠状位,示腹主动脉扭曲延长,双肾动脉水平以下呈囊状扩张,左肾动脉起始部局限性重度狭窄,右肾动脉起始部局限性轻度狭窄;图6为3D DCE MRA冠状位,除与图5相同表现外,还可见双侧髂总动脉、髂内、外动脉多发狭窄伴扩张,管腔不规则 图7,8 图7为3D DCE MRA冠状位,示双侧髂总动脉及髂内、外动脉多发狭窄,右侧桥血管通畅,与髂总动脉吻合处轻度狭窄;图8为IADSA冠状位,除与图7相同表现外,侧支血管显示较3D DCE MRA佳
讨论
, http://www.100md.com
非增强MRA是利用流动增强[时间飞跃(TOF)法]和相位改变效应(PC法),使血流(血管)和静止组织产生对比而成像。该技术对头、颈及四肢血管成像效果较好。因其成像与血流方向和流速密切相关,使其应用受到较大限制,如对非垂直于扫描层面的血管(如肾和锁骨下动脉)或扭曲的血管、局部狭窄或扩张的血管,其扫描层面内的饱和效应以及湍流或涡流所致血液中质子群的相位失散导致信号丢失,常出现假阳性或病变程度高估现象等。增强MRA则是利用注入顺磁性对比剂(Gd-螯合剂),缩短T1时间,使之短于周围组织甚至脂肪的T1时间(270毫秒),同时选用快速梯度回波技术屏气扫描靶血管,经MIP重建,可得到轮廓清晰的高信号血管图像,尚可从任一角度观察,无需空间预饱和技术,从而克服了非增强MRA的不足,尤其适合于较大范围体部血管包括肺动脉的成像[1-8]。
3D DCE MRA除上述各种成像条件外,正确估测患者的循环时间,决定延迟时间是选择性MRA成功的关键[9]。本组病例以不同靶血管的正常循环时间为基础。国外多采用小剂量(3~4 ml)试验注射方法预测延迟时间,延迟时间以1/2信号峰值时间减60%采集时间为佳[10]。本组病例未采用试验注射方法,根据病情,尤其是心功能情况,估测延迟时间,结合不同时相的重复采集,达到选择性动脉成像的目的。结果60例中图像质量优良者57例(95%),3例因延迟时间估算有误致图像质量差,总体上获得良好效果。
, 百拇医药
除上述外,选择适当的剂量和注射速度也是重要的。目前国内外尚无统一剂量标准,但多主张采用大剂量高压注射器团注,注射速度2 ml/s,有利于显示靶血管最大信号强度[11]。本研究显示结果满意。
全组中主动脉成像20例,包括主动脉瘤、主动脉夹层等16例(胸和腹主动脉分别为11和5例),其中12例有IADSA或(和)手术对照,诊断符合率100%。3D DCE MRA 同SE和梯度回波(GE),能正确显示动脉瘤瘤体大小、主动脉夹层的真假腔和内膜片,鉴别假腔内附壁血栓或慢血流,主动脉狭窄范围和程度,且3D DCE MRA显示主动脉病变与头臂和肾动脉等主支的关系优于SE和GE,可为手术提供重要信息。但不能直接显示瘤体内的附壁血栓大小、范围、主动脉管壁结构以及其与周边脏器的解剖关系,但MRI的SE或(和)GE技术能弥补其不足。因此从整体效果上3D DCE MRA对主动脉疾患的诊断可与IADSA媲美。同时本法无需动脉插管,属微创技术。
2D(二维) TOF法可较清楚显示颈动脉病变部位,对病变程度的判定尚有高估和低估现象。本组5例3D DCE MRA颈动脉病变成像中,除1例延迟时间计算有误,影响结果分析外,余4例与手术或(和)IADSA结果一致。3D DCE MRA能清晰显示颈总动脉、颈动脉交叉以及颈内、外动脉颅外段的狭窄部位和侧支血管。但因对比剂通过侧支血管量少影响颈动脉闭塞远端血管的显示,术前较难估计病变的范围。非增强MRA不能成功地处理整个头臂血管,3D DCE MRA则能较清晰地显示头臂血管,尤其是左、右锁骨下动脉病变导致的椎动脉窃血。本组4例头臂血管病变3D DCE MRA除1例误认右锁骨下动脉起始部为轻度狭窄外,余与IADSA或(和)手术结果相符。
, 百拇医药
因TOF法的空间分辨率低和饱和效应,以及相位对比法因肾动脉开口处湍流,易误为轻度狭窄等缺点,影响非增强MRA对肾动脉狭窄判断的准确性。3D DCE MRA 与血流方向无直接关系,与靶血管的对比剂浓度有关,正确估算延迟时间,能显示肾动脉主干以及部分副肾动脉和肾内动脉分支,较正确地显示病变部位和程度。本组5例肾动脉狭窄3D DCE MRA ,与手术或(和)IADSA符合者3例,1例因延迟时间估算有误导致假阴性,另1例为病变程度高估。2D TOF 技术对下肢血管成像已取得较好效果,而对髂动脉病变的判定,尚有难度。3D DCE MRA能较清晰地显示髂总动脉、髂外动脉、髂内动脉主干和部分分支。本组8例与IADSA或(和)手术符合者7例,1例将右侧髂总动脉重度狭窄误为闭塞。另外对髂内动脉分支及侧支血管的显示不如IADSA(图7,8)。这可能与层厚和选择不当有关。因此,3D DCE MRA判断主动脉主支病变,如肾动脉等仍有假阳性和病变程度高估现象,与IADSA尚有一定的差距,除正确估算延迟时间外,选用合适的成像参数,特别是层厚和矩阵,也是至关重要的[12,13]。
, 百拇医药
综上所述,3D DCE MRA是一种有效且很有前途的微创技术。对主动脉疾患的诊断可与IADSA相媲美。随着MRA快速扫描和三维重建技术的不断发展和完善,对主动脉分支,如肾动脉等中小血管的显示,以及病变程度的判断上有望在不久的将来应用于临床,进而取代普通血管造影和DSA。
参考文献
1 Huston J 3d,Lewis BD, Wiebers DO, et al. Carotid artery:prospective blinded comparison of two-dimensional time-of-flight MR angiography with conventional angiography and duplex US. Radiology, 1993,186:339-344.
2 Prince MR. Gadolinium-enhanced MR aortography. Radiology,1994,191:155-164.
, http://www.100md.com
3 Kumar S, Roy S, Radhakrishnan S, et al. Three-dimensional time of flight MR angiography of arch of aorta and its major branches: a comparative study with contrast angiography. Clin Radiol,1996,51:18-21.
4 De Cobelli F, Mellone R, Salvioni M, et al. Renal artery stenosis:value of screening with three-dimensional phase-contrast MR angiography with a phased-array multicoil. Radiology, 1996,201:697-703.
5 Loubeyre P, Trolliet P, Cahen R, et al. MR angiography of renal artery stenosis:value of the combination of three-dimensional time of flight and three-dimensional phase-contrast MR angiography sequences.AJR,1996,167:489-494.
, 百拇医药
6 Cloft HJ, Murphy KJ, Prince MR , et al. 3D gadolinium-enhanced MR angiography of the carotid arteries. Magn Reson Imaging,1996,14:593-600.
7 Bakker J, Beek FJ, Beutler JJ, et al. Renal artery stenosis and accessory renal arteries:accuracy of detection and visualization with gadolinium-enhanced breath-hold MR angiography. Radiology, 1998,207:497-504.
8 Leung DA, McKinnon GC, Davis CP, et al. Breath-hold,contrast-enhanced, three-dimensional MR angiography. Radiology, 1996,201:569-571.
, 百拇医药
9 Poon E, Yucel EK, Pagan-Marin H, et al. Lliac artery stenosis measurements: comparison of two-dimensional time-of-flight and three-dimensional dynamic gadolinium-enhanced MR angiography. AJR, 1997,167:1137-1144.
10 Hany TF, Debation JF , Leung DA, et al. Optimization of contrast timing for breath-hold three-dimensional MR angiography. Radiology,1997,204:357-362.
11 Kopka L, Vosshenrich R, Rodenwaldt J, et al. Differences ininjection rates on contrast-enhanced breath-hold three-dimensional MR angiography. AJR, 1998,170:345-348.
, 百拇医药
12 Steiner P, McKinnon GC, Romanowski B, et al. Contrast-enhanced,ultrafast 3D pulmonary MR angiography in a single breath-hold:initial assessment of imaging performance. J Magn Reson Imaging,1997,7:177-182.
13 Shetty AN, Shirkhoda A, Bis KG, et al. 3D breath-hold contrast-enhanced MRA: a preliminary experience in aorta and iliac vascular disease. J Comput Assist Tomogr, 1998,22:179-185.
(收稿:1998-09-16 修回:1999-02-10), http://www.100md.com
单位:100037 北京,中国医学科学院 协和医科大学 心血管病研究所 阜外医院放射科(宋金松、刘玉清、凌坚、蒋世良);北京协和医院放射科(朱杰敏、俞肖一、严洪珍)
关键词:磁共振血管造影术;图像增强;评价研究
中华放射学杂志990907 【摘要】 目的 探讨三维增强磁共振血管造影(3D DCE MRA)技术及其临床应用价值。方法60例3D DCE MRA包括44例病变血管和16例正常血管。选用三维快速梯度回波(3D FFE)序列,行3D DCE MRA检查,主要参数为TR 9毫秒,TE 3毫秒,翻转角30°,矩阵128×256,快速注射0.2 mmol/kg 钆-喷替酸葡甲胺(Gd-DTPA),注射速度1.5~2.0 ml/s,延迟时间依据病情而定,其中36例(病变组34例和正常组2例)经数字减影动脉血管造影(IADSA)或(和)手术证实;图像质量采用优、良、差3级评价,并计算出敏感性、特异性和准确性。结果 60例3D DCE MRA图像质量优良者57例,占95%。50例(16例正常组与经手术、IADSA证实的34例病变组)3D DCE MRA的敏感性、特异性和准确性分别为94.1%、87.5%和92.0%;假阳性,假阴性各2例,病变程度高估3例。34例各类血管和相关病变的3D DCE MRA结果与IADSA或(和)手术符合率为85.3%,主动脉及其主支病变则分别为100.0%和77.3%。结论 3D DCE MRA是一种有效、微创技术,评价主动脉病变可与IADSA媲美,对主动脉主支病变与IADSA尚有一定差距,通过提高扫描速度和改善重建技术,有望能逐步替代IADSA。
, 百拇医药
Three-dimensional dynamic contrast-enhanced MR angiography:an analysis of clinical applications on 60 cases
SONG Jinsong,Department of Radiology,Fuwai Hospital,LIU Yuqing,ZHU Jiemin,et al.
Chinese Academy of Medical Sciences and Beijing Union Medical College, Beijing 100037
【Abstract】 Objective To evaluate the technique and assess the value of clinical applications of 3D dynamic contrast-enhanced MR angiography in the diagnosis of lesions of the aorta and its major branches. Methods 3D DCE MRA was performed in 60 cases, 44 of them had various aortic and major branch lesions and 16 normal finding. The imaging sequence was FFE-3D(3D fast field echo),and the parameters used were TR: 9 ms, TE:3 ms, flip angle 30°, and matrix 128×256. The 0.2mmol/kg Gd-DTPA was injected with the rate of 1.5-2.0 ml/sec, and the delay time was determined on the basis of status of patients. The image quality was evaluated and the results in 34 cases of 3D DCE MRA were compared with that of IADSA or/and surgery. Results Fifty seven (95%) cases were classified as good image quality in 60 cases of our series, and sensitivity, specificity and accuracy of 3D DCE MRA in the diagnosis of 50 cases with the aortic and its major branch lesions were 94.1%, 87.5% and 92.0% respectively, and fasle postive in 2, fasle negative in 2, overestimation in 3. ccuracy of 3D DCE MRA of 34 patients proved by IADSA or/and surgery was 100% in aortic and 77.3% in major branch lesions and the overall accuracy was 85.3%. Conclusions 3D DCE MRA is an effective and minimally invasive method for evaluating lesions of aorta ,and almost of similar efficacy to that of IADSA. However, the diagnostic evaluation of the major branch lesions is rather inferior to that of IADSA. Along, with fasting scanning speed and improvement of three-dimensional reconstruction techinique, angiography including DSA will possibly and progressively be replaced by 3D DCE MRA in the near future.
, 百拇医药
【Key words】 Magnetic resonance angiography Image enhancement Evaluation studies
三维增强MR血管造影(3D dynamic contrast enhanced MR angiography, 3D DCE MRA)是近年开发的一项新的MRA技术。我们自1997年11月开展了相关技术及临床应用的前瞻性研究,现将初步结果报告如下。
材料与方法
1997年11月至1998年7月间共行3D DCE MRA 60例,男41例,女19例,年龄15~73岁,平均45岁。检查部位包括颈动脉、胸主动脉或(和)头臂动脉、肺动脉、腹主动脉或(和)髂动脉和肾动脉。其中动脉异常44例,正常16例,包括髂动脉狭窄或(和)扩张8例,胸主动脉或腹主动脉瘤7例,肺动脉、颈动脉病变及大动脉炎各为5例,纵隔肿瘤与血管鉴别4例,主动脉夹层2例,肾动脉狭窄3例和其他21例(包括正常16例)。60例中36例经数字减影动脉血管造影(IADSA)或(和)手术进一步证实,病变组和正常组分别为34例和2例,为笔者分析的主要对象。
, http://www.100md.com
所有病例均采用1.5 T MRI扫描机(Toshiba公司生产的Visart),扫描序列为三维快速梯度回波(3D FFE),各部位成像参数见表1。
表1 正常组和病变组各部位成像参数 部位
TR(毫秒)
TE(毫秒)
翻转角(°)
采集次数
视野(cm2)
矩阵(cm×cm)
体位
层厚(mm)
, 百拇医药
线圈类型
颈动脉
9
3
30
1
27
128×256
冠状位
3.5~4.0
颈
头臂动脉
9
, 百拇医药
3
30
1
32
128×256
冠状位
4.0~4.5
体
胸主动脉
9
3
30
1
, http://www.100md.com 34
128×256
左前斜
4.5~5.0
体
肺动脉
9
3
30
1
32
128×256
冠状位
, http://www.100md.com 4.0~4.5
体
腹-肾动脉
9
3
30
1
32
128×256
冠状位
3.0~4.0
体
腹-髂动脉
, http://www.100md.com
9
3
30
1
32
128×256
冠状位
3.0~4.0
体
对比剂为钆-喷替酸葡甲胺(Gd-DTPA),剂量0.2 mmol/kg,平均25 ml。除头臂血管成像采用下肢静脉外,余均为上肢静脉手推注射,注射速度1.5~2.0 ml/s(计时表+注射器),注射对比剂后注射生理盐水20 ml,注射速度同前。除颈动脉外,其他动脉区成像均用屏气法扫描,延迟时间(开始注射对比剂至开始采集的时间)依据各靶动脉位置而定。一般颈动脉、肺动脉、胸主动脉或头臂动脉,腹主-肾动脉和腹-髂动脉延迟时间分别为12、5、10、13和15秒,同时按病人的心功能等生理和病理状况适当增减。每次扫描时间18~26秒,间隔8~10秒,重复采集3次(即分别行选择性动脉期,毛细血管-实质期和静脉期成像);采集原始资料后经最大信号强度投影(MIP)技术三维重建。本组造影后3例有恶心、呕吐、头晕、心慌等一般性对比剂反应,无需特殊处理外,未见重要并发症。
, http://www.100md.com
本组36例(病变和正常组分别为34例和2例)在3D DCE MRA检查前后2周进行了IADSA或(和)手术治疗。3D DCE MRA图像质量采用优、良、差3级自定的方法评价,优:靶动脉显示佳,无或较少与静脉重叠,符合诊断要求;良:靶动脉显示尚可,部分与静脉重叠,不影响诊断分析;差:靶动脉显示差或未显示,大部分或完全与静脉重叠,不符合诊断要求。本组病例由2位高级职称医师采用双盲法评价,计算3D DCE MRA诊断的敏感性、特异性和准确性。
结果
本组60例 3D DCE MRA 图像质量分析,16例正常组中差者1例,优良率93.8%,44例病变组中差者2例,优良率95.5%,总的优良率为95.0%。
病变组34例 3D DCE MRA与IADSA或(和)手术结果对照,符合率分别为胸腹主动脉100.0%(12/12例) (图1~6),髂动脉87.5%(7/8例)(图7,8),颈动脉80.0%(4/5例),头臂动脉75.0%(3/4例),肾动脉60.0%(3/5例),总的符合率为85.3%,主动脉及其主支病变则分别为100.0%和77.3%。与IADSA或(和)手术结果对照的34例病人3D DCE MRA显示假阴性2例,16例正常组中假阳性2例,误诊率8.0%;其敏感性、特异性和准确性分别为94.1%、87.5%和92.0%。
, 百拇医药
图1,2 图1为SE左前斜位,示主动脉弓部囊状突出,内无信号;图2为三维增强磁共振血管造影(3D DCE MRA)左前斜位,示左锁骨下动脉开口以远可见囊状突出,其内信号与主动脉弓相同,手术证实为假性动脉瘤 图3,4 图3为3D DCE MRA冠状位,示腹主动脉扭曲,肾动脉水平以下瘤样扩张,左肾动脉起始部局限性重度狭窄,双侧髂总动脉多发狭窄和扩张;图4 为SE轴位,示腹主动脉扩张,其内可见新月形附壁血栓,手术证实为真性动脉瘤伴附壁血栓 图5,6 图5为数字减影动脉血管造影(IADSA)冠状位,示腹主动脉扭曲延长,双肾动脉水平以下呈囊状扩张,左肾动脉起始部局限性重度狭窄,右肾动脉起始部局限性轻度狭窄;图6为3D DCE MRA冠状位,除与图5相同表现外,还可见双侧髂总动脉、髂内、外动脉多发狭窄伴扩张,管腔不规则 图7,8 图7为3D DCE MRA冠状位,示双侧髂总动脉及髂内、外动脉多发狭窄,右侧桥血管通畅,与髂总动脉吻合处轻度狭窄;图8为IADSA冠状位,除与图7相同表现外,侧支血管显示较3D DCE MRA佳
讨论
, http://www.100md.com
非增强MRA是利用流动增强[时间飞跃(TOF)法]和相位改变效应(PC法),使血流(血管)和静止组织产生对比而成像。该技术对头、颈及四肢血管成像效果较好。因其成像与血流方向和流速密切相关,使其应用受到较大限制,如对非垂直于扫描层面的血管(如肾和锁骨下动脉)或扭曲的血管、局部狭窄或扩张的血管,其扫描层面内的饱和效应以及湍流或涡流所致血液中质子群的相位失散导致信号丢失,常出现假阳性或病变程度高估现象等。增强MRA则是利用注入顺磁性对比剂(Gd-螯合剂),缩短T1时间,使之短于周围组织甚至脂肪的T1时间(270毫秒),同时选用快速梯度回波技术屏气扫描靶血管,经MIP重建,可得到轮廓清晰的高信号血管图像,尚可从任一角度观察,无需空间预饱和技术,从而克服了非增强MRA的不足,尤其适合于较大范围体部血管包括肺动脉的成像[1-8]。
3D DCE MRA除上述各种成像条件外,正确估测患者的循环时间,决定延迟时间是选择性MRA成功的关键[9]。本组病例以不同靶血管的正常循环时间为基础。国外多采用小剂量(3~4 ml)试验注射方法预测延迟时间,延迟时间以1/2信号峰值时间减60%采集时间为佳[10]。本组病例未采用试验注射方法,根据病情,尤其是心功能情况,估测延迟时间,结合不同时相的重复采集,达到选择性动脉成像的目的。结果60例中图像质量优良者57例(95%),3例因延迟时间估算有误致图像质量差,总体上获得良好效果。
, 百拇医药
除上述外,选择适当的剂量和注射速度也是重要的。目前国内外尚无统一剂量标准,但多主张采用大剂量高压注射器团注,注射速度2 ml/s,有利于显示靶血管最大信号强度[11]。本研究显示结果满意。
全组中主动脉成像20例,包括主动脉瘤、主动脉夹层等16例(胸和腹主动脉分别为11和5例),其中12例有IADSA或(和)手术对照,诊断符合率100%。3D DCE MRA 同SE和梯度回波(GE),能正确显示动脉瘤瘤体大小、主动脉夹层的真假腔和内膜片,鉴别假腔内附壁血栓或慢血流,主动脉狭窄范围和程度,且3D DCE MRA显示主动脉病变与头臂和肾动脉等主支的关系优于SE和GE,可为手术提供重要信息。但不能直接显示瘤体内的附壁血栓大小、范围、主动脉管壁结构以及其与周边脏器的解剖关系,但MRI的SE或(和)GE技术能弥补其不足。因此从整体效果上3D DCE MRA对主动脉疾患的诊断可与IADSA媲美。同时本法无需动脉插管,属微创技术。
2D(二维) TOF法可较清楚显示颈动脉病变部位,对病变程度的判定尚有高估和低估现象。本组5例3D DCE MRA颈动脉病变成像中,除1例延迟时间计算有误,影响结果分析外,余4例与手术或(和)IADSA结果一致。3D DCE MRA能清晰显示颈总动脉、颈动脉交叉以及颈内、外动脉颅外段的狭窄部位和侧支血管。但因对比剂通过侧支血管量少影响颈动脉闭塞远端血管的显示,术前较难估计病变的范围。非增强MRA不能成功地处理整个头臂血管,3D DCE MRA则能较清晰地显示头臂血管,尤其是左、右锁骨下动脉病变导致的椎动脉窃血。本组4例头臂血管病变3D DCE MRA除1例误认右锁骨下动脉起始部为轻度狭窄外,余与IADSA或(和)手术结果相符。
, 百拇医药
因TOF法的空间分辨率低和饱和效应,以及相位对比法因肾动脉开口处湍流,易误为轻度狭窄等缺点,影响非增强MRA对肾动脉狭窄判断的准确性。3D DCE MRA 与血流方向无直接关系,与靶血管的对比剂浓度有关,正确估算延迟时间,能显示肾动脉主干以及部分副肾动脉和肾内动脉分支,较正确地显示病变部位和程度。本组5例肾动脉狭窄3D DCE MRA ,与手术或(和)IADSA符合者3例,1例因延迟时间估算有误导致假阴性,另1例为病变程度高估。2D TOF 技术对下肢血管成像已取得较好效果,而对髂动脉病变的判定,尚有难度。3D DCE MRA能较清晰地显示髂总动脉、髂外动脉、髂内动脉主干和部分分支。本组8例与IADSA或(和)手术符合者7例,1例将右侧髂总动脉重度狭窄误为闭塞。另外对髂内动脉分支及侧支血管的显示不如IADSA(图7,8)。这可能与层厚和选择不当有关。因此,3D DCE MRA判断主动脉主支病变,如肾动脉等仍有假阳性和病变程度高估现象,与IADSA尚有一定的差距,除正确估算延迟时间外,选用合适的成像参数,特别是层厚和矩阵,也是至关重要的[12,13]。
, 百拇医药
综上所述,3D DCE MRA是一种有效且很有前途的微创技术。对主动脉疾患的诊断可与IADSA相媲美。随着MRA快速扫描和三维重建技术的不断发展和完善,对主动脉分支,如肾动脉等中小血管的显示,以及病变程度的判断上有望在不久的将来应用于临床,进而取代普通血管造影和DSA。
参考文献
1 Huston J 3d,Lewis BD, Wiebers DO, et al. Carotid artery:prospective blinded comparison of two-dimensional time-of-flight MR angiography with conventional angiography and duplex US. Radiology, 1993,186:339-344.
2 Prince MR. Gadolinium-enhanced MR aortography. Radiology,1994,191:155-164.
, http://www.100md.com
3 Kumar S, Roy S, Radhakrishnan S, et al. Three-dimensional time of flight MR angiography of arch of aorta and its major branches: a comparative study with contrast angiography. Clin Radiol,1996,51:18-21.
4 De Cobelli F, Mellone R, Salvioni M, et al. Renal artery stenosis:value of screening with three-dimensional phase-contrast MR angiography with a phased-array multicoil. Radiology, 1996,201:697-703.
5 Loubeyre P, Trolliet P, Cahen R, et al. MR angiography of renal artery stenosis:value of the combination of three-dimensional time of flight and three-dimensional phase-contrast MR angiography sequences.AJR,1996,167:489-494.
, 百拇医药
6 Cloft HJ, Murphy KJ, Prince MR , et al. 3D gadolinium-enhanced MR angiography of the carotid arteries. Magn Reson Imaging,1996,14:593-600.
7 Bakker J, Beek FJ, Beutler JJ, et al. Renal artery stenosis and accessory renal arteries:accuracy of detection and visualization with gadolinium-enhanced breath-hold MR angiography. Radiology, 1998,207:497-504.
8 Leung DA, McKinnon GC, Davis CP, et al. Breath-hold,contrast-enhanced, three-dimensional MR angiography. Radiology, 1996,201:569-571.
, 百拇医药
9 Poon E, Yucel EK, Pagan-Marin H, et al. Lliac artery stenosis measurements: comparison of two-dimensional time-of-flight and three-dimensional dynamic gadolinium-enhanced MR angiography. AJR, 1997,167:1137-1144.
10 Hany TF, Debation JF , Leung DA, et al. Optimization of contrast timing for breath-hold three-dimensional MR angiography. Radiology,1997,204:357-362.
11 Kopka L, Vosshenrich R, Rodenwaldt J, et al. Differences ininjection rates on contrast-enhanced breath-hold three-dimensional MR angiography. AJR, 1998,170:345-348.
, 百拇医药
12 Steiner P, McKinnon GC, Romanowski B, et al. Contrast-enhanced,ultrafast 3D pulmonary MR angiography in a single breath-hold:initial assessment of imaging performance. J Magn Reson Imaging,1997,7:177-182.
13 Shetty AN, Shirkhoda A, Bis KG, et al. 3D breath-hold contrast-enhanced MRA: a preliminary experience in aorta and iliac vascular disease. J Comput Assist Tomogr, 1998,22:179-185.
(收稿:1998-09-16 修回:1999-02-10), http://www.100md.com