鳞状乳头型颅咽管瘤的临床、病理及MRI对比分析
作者:孙楠 高培毅 周婕
单位:100050 北京市神经外科研究所神经影像学中心(孙楠、周婕为研究生)
关键词:颅咽管瘤;磁共振成像;病理学;对比研究
中华放射学杂志991110
【摘要】 目的 研究鳞状乳头型颅咽管瘤的临床、病理及MRI表现,并进行对比分析及鉴别诊断。方法 选取经临床及病理证实的鳞状乳头型颅咽管瘤35例,均行MRI扫描,男22例,女13例,采用美国GE Signa 1.5T或0.5T超导型磁共振扫描仪。结果 鳞状乳头型颅咽管瘤在35~45岁发病率最高,24例有视野改变;27例位于鞍上,14例长入第3脑室,肿瘤直径在12~56 mm之间。肿瘤呈圆形或类圆形10例,边缘不规则型或分叶型25例;囊性15例,实性10例,囊实混合性10例;囊内结节13例。结论 鳞状乳头型颅咽管瘤是一组具有明确组织学及影像学特征的肿瘤,在MRI上主要与垂体瘤、下丘脑胶质瘤及转移瘤相鉴别。
, http://www.100md.com
Comparative study among MR imaging, clinical and pathological findings in papillary craniopharyngioma
SUN Nan, GAO Peiyi, ZHOU Jie.
Center of Neuroradiology, Beijing Neurosurgical Institute, Beijing 100050
【Abstract】 Objective To study the clinical pathological and MR imaging manifestations and the differential diagnosis of papillary craniopharyngioma. Methods The pathological appearance and MR images of 35 papillary craniopharyngioma were reviewed and analyzed. 22 were males and 13 females. MRI was done using GE Signa 1.5 T/0.5 T systems. Results The papillary craniopharyngioma had high incidence during 35-45 years. 24 patients had abnormal visual fields, 27 tumors were located in the suprasellar region. 14 tumors grew into the third ventricle. The diameter was between 15-56 mm. 10 tumors were round and 25 were lobular. 10 tumors were solid, 15 were cystic, and was mixed in 10 patients. 13 had intracystic nodules. Conclusion Papillary craniopharyngiomas have characteristic pathologic and MR appearances. On MR imaging, they should be differentiated from pituitary adenoma,glioma,and metastasis.
, 百拇医药
【Key words】 Craniopharyngioma Magnetic resonance imaging Pathology Comparative study
颅咽管瘤的磁共振信号复杂多变,诊断较难。在颅咽管瘤的2个基本组织学分型中,容易误诊者为鳞状乳头型。笔者搜集了我院于1989~1998年10年间经手术、病理证实的鳞状乳头型颅咽管瘤的术前MRI资料,探讨其MRI表现及鉴别诊断。
材料与方法
鳞状乳头型颅咽管瘤35例,全部经手术与病理证实,并行术前MRI检查,其中男22例,女13例,病程为20天至8年,平均14.6个月。
全部病例均有术前MRI检查,所有MR图像均采用美国GE Signa 1.5 T或0.5 T超导型磁共振扫描仪,头线圈扫描。T1WI采用常规SE序列,T2WI采用快速自旋回波序列(FSE),T1WI:TR 500毫秒,TE 15毫秒,T2WI:TR 4000毫秒,TE 85毫秒,层厚5 mm,无层距,数据采集矩阵256×256,视野24 cm×18 cm,2次激发,全部病例均有T1WI、T2WI及矢状面、冠状面、轴面3个方向扫描,18例行增强扫描。
, http://www.100md.com
MR图像从下列角度评价:肿瘤位置、生长方向、形态、最大径、有无脑积水、脑干受压情况、包绕蛛网膜下腔中的血管、肿瘤成分及各扫描序列信号特点。其中肿瘤的最大径采用3次测量的平均值,以减少误差。
病理取材经福尔马林固定,常规石蜡包埋,常规HE染色,于光学显微镜下观察。观察指标为上皮分型、有无钙化、角化、炎细胞浸润及组织浸润。
临床表现及体格检查方面的观察指标为头痛、视力和视野改变、视乳头改变、垂体性及下丘脑性内分泌异常。
结果
1. 病理结果:在肿瘤大体表现上,囊性15例,实性10例,囊实混合性10例,囊内有结节13例。
鳞状乳头型颅咽管瘤在镜下的典型表现为成熟的复层鳞状上皮细胞位于疏松的结缔组织基质中,上皮自基底膜向梁柱的中心或表面演变,细胞渐变扁平,形成许多多角形的粉红色的角化细胞,中央可见细胞核(图1)。在囊性鳞状乳头型中,构成囊壁的某些区域甚至只有2层上皮细胞相贴,类似成釉质细胞型的镜下表现,但其细胞核无“栅栏状”排列(图2,3)。在间质的纤维血鞘中,炎细胞浸润很常见。所有此型均不见有胆固醇裂隙,11例可见有基质角化,3例有矿物盐沉积,6例有微囊腔形成。
, 百拇医药
图1 鳞状乳头型颅咽管瘤,镜下可见典型的复层鳞状上皮细胞自基底膜向表层移行,细胞渐变分散,呈多角形,胞浆内结构消失,胞核变圆。纤维血管鞘内可见广泛的炎细胞浸润
图2 鳞状乳头型颅咽管瘤,构成囊壁的上皮局部变薄,但基底膜上的细胞核无“栅栏状”排列
图3 成釉质细胞型颅咽管瘤,与图2相比,构成囊壁的上皮细胞核呈“栅栏状”排列
2. 临床表现:本组35例中,除1例18岁,1例20岁,其余均在25岁以上,发病高峰为35~45岁。头痛28例,视力下降20例,20例有视野改变,视乳头萎缩18例,水肿9例。垂体性内分泌异常14例,下丘脑性内分泌异常20例。
, http://www.100md.com
3. MR图像分析(图4~6):27例肿瘤位于鞍上,8例位于鞍上和(或)鞍内,4例长入桥前池,14例压迫大脑脚,2例压迫脑干,14例长入第3脑室,17例有脑积水,所有病例均未见有视神经增粗,鞍底正常3例、变平18例、下陷14例。肿瘤的最大径15~56 mm,平均34 mm。35例均可见有正常垂体,无肿瘤包绕蛛网膜下腔中血管的情况。肿瘤呈圆形或类圆形10例,边缘不规则形或分叶状25例。

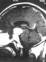
图4,5 实性鳞状乳头型颅咽管瘤。图4为矢状面T1WI,示鞍上一类圆形等信号肿块影,肿瘤向后上方生长,鞍内垂体信号清晰可见。图5为矢状面增强扫描,显示病变明显均匀强化
, http://www.100md.com 图6 囊性鳞状乳头型颅咽管瘤,轴面增强扫描,示鞍上一囊性椭圆形异常信号影,病变环状强化,囊内结节均匀、明显强化
在本研究中,囊性部分在T1WI上19例呈低信号,4例呈高信号,2例呈稍低信号;T2WI均为高信号,增强扫描可见环形强化。实性部分在T1WI上2例呈低信号,2例呈稍低信号,等低混杂信号3例,等信号13例;T2WI上呈等信号8例,等高混杂信号6例,等低高混杂信号1例(此例在镜下可见大量角化及钙化),稍高信号5例;增强扫描时,14例均匀强化。3例不均匀强化,囊内结节在T1WI及T2WI均为等信号,增强扫描呈均匀、明显强化。
讨论
自1910年Lewis手术切除第1例颅咽管瘤后[1],近1个世纪来众多学者对其从各个角度进行深入细致的研究。目前国际上公认的颅咽管瘤的组织学分型是Kahn等[2]于1973年提出的2种基本组织学形态:成釉质细胞型、鳞状乳头型。Petito等[3]于1976年又提出一种过渡类型,即混合型。鳞状乳头型颅咽管瘤主要发生于成人,可能是起源于腺垂体结节部鳞状化生的垂体细胞。免疫电子显微镜及免疫组织化学均证实此型上皮细胞内有与结节部垂体细胞相似的分泌颗粒[4]。但化生的原因尚不清楚。
, 百拇医药
一、MR影像学表现与临床症状及体征的关系
文献报道鳞状乳头型颅咽管瘤好发于成人[1,3-5],本组35例中无15岁以下患者,肿瘤发病高峰在35~45岁,平均39岁。男女发病比例为2.18∶1。在男性患者中,垂体性内分泌异常均表现为性欲或性功能减低,女性患者均表现为闭经或月经不规律。
鳞状乳头型颅咽管瘤由于起自结节部腺垂体细胞,因此多位于鞍上,本组位于鞍上者77%,长入第3脑室内者40%。如果肿瘤较大阻塞室间孔,则可造成非交通性脑积水,肿瘤亦可压迫第3脑室底使其呈“杯口样”扩大,Crotty等[5]的有关鳞状乳头型颅咽管瘤长入第3脑室的比例与本组相符,他认为此征象具有相对的特异性,笔者不赞同此观点。颅咽管瘤长入第3脑室的总发病率为44%,笔者认为如果肿瘤长的足够大,且生长方向向上,即可长入第3脑室,甚至引起脑积水。由于鳞状乳头型颅咽管瘤多发生于鞍上,与视神经、视交叉位置接近,当肿瘤生长时,较成釉质细胞型颅咽管瘤更易压迫视神经、视交叉而产生视野改变和视乳头萎缩。鳞状乳头型颅咽管瘤患者视野改变的发生率为68.6%,成釉质细胞型颅咽管瘤的视野改变的发生率为36.2%[6]。
, http://www.100md.com
二、MR影像学表现及其病理基础
鳞状乳头型颅咽管瘤在MR图像上多为边缘不规则的分叶状(71%),这与文献报道的类圆形形态不相符[4,6]。笔者认为造成这种差别的原因是以前的关于鳞状乳头型颅咽管瘤的影像学研究较少,且多为CT扫描(例数最多的关于鳞状乳头型颅咽管瘤的文献只有5例行MR检查),而本组中35例鳞状乳头型颅咽管瘤均行术前MR检查,MR可以从各种角度对肿瘤进行观察,因而可以对肿瘤形态进行较完整的描述。
在本组中,囊性鳞状乳头型颅咽管瘤占43%(15/35例),实性占29%(10/35例),囊实混合性占29%(10/35例)。这与其他学者认为的鳞状乳头型以实性和囊实混合性多见不相符[4],笔者认为鳞状乳头型颅咽管瘤在大体形态上不具有特征性,但本组含囊性成分的25例中,13例可见有囊内结节,结节在镜下表现为排列较致密的复层鳞状上皮,Crotty等[5] 将其描述为突入囊内的黄绿色的黏膜结节。由于结节的组织学形态的特异性,因此它不存在于成釉质细胞型颅咽管瘤中。
, 百拇医药
在各种扫描序列中,肿瘤的实性部分多表现为等信号,亦可表现为实性部分内有许多小囊腔形成,使肿瘤在T2WI上呈等高混杂信号。小囊腔的形成原因:(1)基质发生退行性变或鳞状上皮成熟后表层脱落所致[3];(2)由于肿瘤纤维血管束内的毛细血管上有孔洞存在,可使血浆中蛋白质较易渗入细胞外间隙而形成囊腔[7];(3)上皮细胞具有分泌活性,也是微囊腔形成的原因之一[8],这已被免疫组织化学及免疫电子显微镜证实。
肿瘤的囊性部分在T1WI上多表现为低信号或稍低信号,部分表现为高信号(16%)。其原因是囊液中血红蛋白降解产物或蛋白含量为(9~28)mg/L[7]。在前述的囊腔的形成原因中已介绍血浆中蛋白质漏出到细胞外间隙可形成含蛋白的囊腔,因此囊液在T1WI上高信号并非以成釉质细胞型常见,鳞状乳头型亦可发生。囊腔的形成及基质发生透明变性可引起肿瘤在MRI上信号不均,本组镜下微囊腔形成6例,其中3例在T2WI呈等高混杂信号,另3例呈等信号,此3例考虑为囊腔内含蛋白较多。
, http://www.100md.com
镜下有3例肿瘤可见有矿物盐沉积,1例病史2年,另2例体积均大于45 mm3。这一现象说明肿瘤的钙化反映肿瘤较大,或存在时间较长[9],因此钙化并非成釉质细胞型所特有,但成釉质细胞型发生钙化的比率远较鳞状乳头型为高。成釉质细胞型在镜下所特有的胆固醇裂隙及“栅栏状”排列的上皮细胞核在鳞状乳头型均不存在。
本组资料,均可见正常垂体,如有肿瘤向鞍内生长,可使垂体受压变扁,鞍底下陷,蝶鞍轻度扩大。
三、鉴别诊断
成釉质细胞型颅咽管瘤表现多典型,较易诊断。出现误诊者多为鳞状乳头型。如实性或囊实性鳞状乳头型生长较大、长入鞍内,且正常垂体信号消失,则与垂体瘤不易鉴别,但鳞状乳头型男性稍多见,有复杂的视野改变,垂体性内分泌异常多表现为月经不规律和(或)闭经或性功能减低;在影像学上鳞状乳头型颅咽管瘤极少侵犯海绵窦,肿瘤边缘不规则,这些均是鳞状乳头型与垂体瘤不同的地方。如果肿瘤完全位于鞍上,则与下视丘、视神经胶质瘤易误诊,但胶质瘤以视力下降为首发症状,并且在较短时间内视力明显下降,甚至出现单眼失明,视野改变少见,影像上可见视神经增粗。另一较易误诊者为转移瘤,但转移瘤常为多发。
, 百拇医药
囊性鳞状乳头型颅咽管瘤与其他影像学表现类似的肿瘤的一个主要鉴别点是鳞状乳头型囊内有结节,增强扫描可见囊壁环状强化,其他囊性病变如表皮样囊肿等均不含结节,增强扫描无强化;Rathke囊肿儿童及青少年多见。
由上可见,鳞状乳头型颅咽管瘤的鉴别诊断应从其临床表现、大体形态、MR图像多个角度综合进行分析,可减少误诊率。
参考文献
1 Szeifert GT,Sipos L, Horvath M,et al. Pathological characteristics of surgically removed craniopharyngiomas: analysis of 131 cases. Acta Neurochir(Wien), 1993, 124:139-143.
2 Kahn EA, Gosch HH, Seeger JF, et al. Forty-five years experence with the craniopharyngiomas. Surg Neurol, 1973, 1: 5-12.
, 百拇医药
3 Petito CK, Degirdami U, Earle KN. Craniopharyngiomas: a clinical and pathological review. Cancer, 1976, 37:1944-1952.
4 Sartoretti-Sohefer S, Wichmann W, Aguzzi A, et al. MR differentiation of adamantinous and squamous-papillary craniopharyngioma. AJNR, 1997,18:77-87.
5 Crotty TB, Scheithauer BW, Young WF. Papillary craniopharyngiomas: a clinicopathological study of 48 cases. J Neurosurg,1995, 83:206-214.
, 百拇医药
6 孙楠,高培毅,罗麟. 颅咽管瘤:MR影像、病理及临床表现对比分析. 中国医学影像技术,1999,15:40-43.
7 Ahmadi J, Destian S, Apuzzo ML,et al. Cystic fluid in craniopharyngiomas: MR imaging and quantitative analysis. Radiology, 1992, 182:783-785.
8 Szeifert GT, Julow J, Szabolcs M, et al. Secretory component of cystic craniopharyngiomas: a mucino-histochemical and electron-microscpic study. Sury Neurol, 1991, 36:286-293.
9 Al-Mefthy O, Hassounah M, Weaver P. Microsurgery for giant craniopharyngiomas in children. Neurosurgery, 1985, 17:585-595.
收稿:1998-12-22 修回:1999-07-09, 百拇医药
单位:100050 北京市神经外科研究所神经影像学中心(孙楠、周婕为研究生)
关键词:颅咽管瘤;磁共振成像;病理学;对比研究
中华放射学杂志991110
【摘要】 目的 研究鳞状乳头型颅咽管瘤的临床、病理及MRI表现,并进行对比分析及鉴别诊断。方法 选取经临床及病理证实的鳞状乳头型颅咽管瘤35例,均行MRI扫描,男22例,女13例,采用美国GE Signa 1.5T或0.5T超导型磁共振扫描仪。结果 鳞状乳头型颅咽管瘤在35~45岁发病率最高,24例有视野改变;27例位于鞍上,14例长入第3脑室,肿瘤直径在12~56 mm之间。肿瘤呈圆形或类圆形10例,边缘不规则型或分叶型25例;囊性15例,实性10例,囊实混合性10例;囊内结节13例。结论 鳞状乳头型颅咽管瘤是一组具有明确组织学及影像学特征的肿瘤,在MRI上主要与垂体瘤、下丘脑胶质瘤及转移瘤相鉴别。
, http://www.100md.com
Comparative study among MR imaging, clinical and pathological findings in papillary craniopharyngioma
SUN Nan, GAO Peiyi, ZHOU Jie.
Center of Neuroradiology, Beijing Neurosurgical Institute, Beijing 100050
【Abstract】 Objective To study the clinical pathological and MR imaging manifestations and the differential diagnosis of papillary craniopharyngioma. Methods The pathological appearance and MR images of 35 papillary craniopharyngioma were reviewed and analyzed. 22 were males and 13 females. MRI was done using GE Signa 1.5 T/0.5 T systems. Results The papillary craniopharyngioma had high incidence during 35-45 years. 24 patients had abnormal visual fields, 27 tumors were located in the suprasellar region. 14 tumors grew into the third ventricle. The diameter was between 15-56 mm. 10 tumors were round and 25 were lobular. 10 tumors were solid, 15 were cystic, and was mixed in 10 patients. 13 had intracystic nodules. Conclusion Papillary craniopharyngiomas have characteristic pathologic and MR appearances. On MR imaging, they should be differentiated from pituitary adenoma,glioma,and metastasis.
, 百拇医药
【Key words】 Craniopharyngioma Magnetic resonance imaging Pathology Comparative study
颅咽管瘤的磁共振信号复杂多变,诊断较难。在颅咽管瘤的2个基本组织学分型中,容易误诊者为鳞状乳头型。笔者搜集了我院于1989~1998年10年间经手术、病理证实的鳞状乳头型颅咽管瘤的术前MRI资料,探讨其MRI表现及鉴别诊断。
材料与方法
鳞状乳头型颅咽管瘤35例,全部经手术与病理证实,并行术前MRI检查,其中男22例,女13例,病程为20天至8年,平均14.6个月。
全部病例均有术前MRI检查,所有MR图像均采用美国GE Signa 1.5 T或0.5 T超导型磁共振扫描仪,头线圈扫描。T1WI采用常规SE序列,T2WI采用快速自旋回波序列(FSE),T1WI:TR 500毫秒,TE 15毫秒,T2WI:TR 4000毫秒,TE 85毫秒,层厚5 mm,无层距,数据采集矩阵256×256,视野24 cm×18 cm,2次激发,全部病例均有T1WI、T2WI及矢状面、冠状面、轴面3个方向扫描,18例行增强扫描。
, http://www.100md.com
MR图像从下列角度评价:肿瘤位置、生长方向、形态、最大径、有无脑积水、脑干受压情况、包绕蛛网膜下腔中的血管、肿瘤成分及各扫描序列信号特点。其中肿瘤的最大径采用3次测量的平均值,以减少误差。
病理取材经福尔马林固定,常规石蜡包埋,常规HE染色,于光学显微镜下观察。观察指标为上皮分型、有无钙化、角化、炎细胞浸润及组织浸润。
临床表现及体格检查方面的观察指标为头痛、视力和视野改变、视乳头改变、垂体性及下丘脑性内分泌异常。
结果
1. 病理结果:在肿瘤大体表现上,囊性15例,实性10例,囊实混合性10例,囊内有结节13例。
鳞状乳头型颅咽管瘤在镜下的典型表现为成熟的复层鳞状上皮细胞位于疏松的结缔组织基质中,上皮自基底膜向梁柱的中心或表面演变,细胞渐变扁平,形成许多多角形的粉红色的角化细胞,中央可见细胞核(图1)。在囊性鳞状乳头型中,构成囊壁的某些区域甚至只有2层上皮细胞相贴,类似成釉质细胞型的镜下表现,但其细胞核无“栅栏状”排列(图2,3)。在间质的纤维血鞘中,炎细胞浸润很常见。所有此型均不见有胆固醇裂隙,11例可见有基质角化,3例有矿物盐沉积,6例有微囊腔形成。
, 百拇医药
图1 鳞状乳头型颅咽管瘤,镜下可见典型的复层鳞状上皮细胞自基底膜向表层移行,细胞渐变分散,呈多角形,胞浆内结构消失,胞核变圆。纤维血管鞘内可见广泛的炎细胞浸润
图2 鳞状乳头型颅咽管瘤,构成囊壁的上皮局部变薄,但基底膜上的细胞核无“栅栏状”排列
图3 成釉质细胞型颅咽管瘤,与图2相比,构成囊壁的上皮细胞核呈“栅栏状”排列
2. 临床表现:本组35例中,除1例18岁,1例20岁,其余均在25岁以上,发病高峰为35~45岁。头痛28例,视力下降20例,20例有视野改变,视乳头萎缩18例,水肿9例。垂体性内分泌异常14例,下丘脑性内分泌异常20例。
, http://www.100md.com
3. MR图像分析(图4~6):27例肿瘤位于鞍上,8例位于鞍上和(或)鞍内,4例长入桥前池,14例压迫大脑脚,2例压迫脑干,14例长入第3脑室,17例有脑积水,所有病例均未见有视神经增粗,鞍底正常3例、变平18例、下陷14例。肿瘤的最大径15~56 mm,平均34 mm。35例均可见有正常垂体,无肿瘤包绕蛛网膜下腔中血管的情况。肿瘤呈圆形或类圆形10例,边缘不规则形或分叶状25例。
图4,5 实性鳞状乳头型颅咽管瘤。图4为矢状面T1WI,示鞍上一类圆形等信号肿块影,肿瘤向后上方生长,鞍内垂体信号清晰可见。图5为矢状面增强扫描,显示病变明显均匀强化
, http://www.100md.com 图6 囊性鳞状乳头型颅咽管瘤,轴面增强扫描,示鞍上一囊性椭圆形异常信号影,病变环状强化,囊内结节均匀、明显强化
在本研究中,囊性部分在T1WI上19例呈低信号,4例呈高信号,2例呈稍低信号;T2WI均为高信号,增强扫描可见环形强化。实性部分在T1WI上2例呈低信号,2例呈稍低信号,等低混杂信号3例,等信号13例;T2WI上呈等信号8例,等高混杂信号6例,等低高混杂信号1例(此例在镜下可见大量角化及钙化),稍高信号5例;增强扫描时,14例均匀强化。3例不均匀强化,囊内结节在T1WI及T2WI均为等信号,增强扫描呈均匀、明显强化。
讨论
自1910年Lewis手术切除第1例颅咽管瘤后[1],近1个世纪来众多学者对其从各个角度进行深入细致的研究。目前国际上公认的颅咽管瘤的组织学分型是Kahn等[2]于1973年提出的2种基本组织学形态:成釉质细胞型、鳞状乳头型。Petito等[3]于1976年又提出一种过渡类型,即混合型。鳞状乳头型颅咽管瘤主要发生于成人,可能是起源于腺垂体结节部鳞状化生的垂体细胞。免疫电子显微镜及免疫组织化学均证实此型上皮细胞内有与结节部垂体细胞相似的分泌颗粒[4]。但化生的原因尚不清楚。
, 百拇医药
一、MR影像学表现与临床症状及体征的关系
文献报道鳞状乳头型颅咽管瘤好发于成人[1,3-5],本组35例中无15岁以下患者,肿瘤发病高峰在35~45岁,平均39岁。男女发病比例为2.18∶1。在男性患者中,垂体性内分泌异常均表现为性欲或性功能减低,女性患者均表现为闭经或月经不规律。
鳞状乳头型颅咽管瘤由于起自结节部腺垂体细胞,因此多位于鞍上,本组位于鞍上者77%,长入第3脑室内者40%。如果肿瘤较大阻塞室间孔,则可造成非交通性脑积水,肿瘤亦可压迫第3脑室底使其呈“杯口样”扩大,Crotty等[5]的有关鳞状乳头型颅咽管瘤长入第3脑室的比例与本组相符,他认为此征象具有相对的特异性,笔者不赞同此观点。颅咽管瘤长入第3脑室的总发病率为44%,笔者认为如果肿瘤长的足够大,且生长方向向上,即可长入第3脑室,甚至引起脑积水。由于鳞状乳头型颅咽管瘤多发生于鞍上,与视神经、视交叉位置接近,当肿瘤生长时,较成釉质细胞型颅咽管瘤更易压迫视神经、视交叉而产生视野改变和视乳头萎缩。鳞状乳头型颅咽管瘤患者视野改变的发生率为68.6%,成釉质细胞型颅咽管瘤的视野改变的发生率为36.2%[6]。
, http://www.100md.com
二、MR影像学表现及其病理基础
鳞状乳头型颅咽管瘤在MR图像上多为边缘不规则的分叶状(71%),这与文献报道的类圆形形态不相符[4,6]。笔者认为造成这种差别的原因是以前的关于鳞状乳头型颅咽管瘤的影像学研究较少,且多为CT扫描(例数最多的关于鳞状乳头型颅咽管瘤的文献只有5例行MR检查),而本组中35例鳞状乳头型颅咽管瘤均行术前MR检查,MR可以从各种角度对肿瘤进行观察,因而可以对肿瘤形态进行较完整的描述。
在本组中,囊性鳞状乳头型颅咽管瘤占43%(15/35例),实性占29%(10/35例),囊实混合性占29%(10/35例)。这与其他学者认为的鳞状乳头型以实性和囊实混合性多见不相符[4],笔者认为鳞状乳头型颅咽管瘤在大体形态上不具有特征性,但本组含囊性成分的25例中,13例可见有囊内结节,结节在镜下表现为排列较致密的复层鳞状上皮,Crotty等[5] 将其描述为突入囊内的黄绿色的黏膜结节。由于结节的组织学形态的特异性,因此它不存在于成釉质细胞型颅咽管瘤中。
, 百拇医药
在各种扫描序列中,肿瘤的实性部分多表现为等信号,亦可表现为实性部分内有许多小囊腔形成,使肿瘤在T2WI上呈等高混杂信号。小囊腔的形成原因:(1)基质发生退行性变或鳞状上皮成熟后表层脱落所致[3];(2)由于肿瘤纤维血管束内的毛细血管上有孔洞存在,可使血浆中蛋白质较易渗入细胞外间隙而形成囊腔[7];(3)上皮细胞具有分泌活性,也是微囊腔形成的原因之一[8],这已被免疫组织化学及免疫电子显微镜证实。
肿瘤的囊性部分在T1WI上多表现为低信号或稍低信号,部分表现为高信号(16%)。其原因是囊液中血红蛋白降解产物或蛋白含量为(9~28)mg/L[7]。在前述的囊腔的形成原因中已介绍血浆中蛋白质漏出到细胞外间隙可形成含蛋白的囊腔,因此囊液在T1WI上高信号并非以成釉质细胞型常见,鳞状乳头型亦可发生。囊腔的形成及基质发生透明变性可引起肿瘤在MRI上信号不均,本组镜下微囊腔形成6例,其中3例在T2WI呈等高混杂信号,另3例呈等信号,此3例考虑为囊腔内含蛋白较多。
, http://www.100md.com
镜下有3例肿瘤可见有矿物盐沉积,1例病史2年,另2例体积均大于45 mm3。这一现象说明肿瘤的钙化反映肿瘤较大,或存在时间较长[9],因此钙化并非成釉质细胞型所特有,但成釉质细胞型发生钙化的比率远较鳞状乳头型为高。成釉质细胞型在镜下所特有的胆固醇裂隙及“栅栏状”排列的上皮细胞核在鳞状乳头型均不存在。
本组资料,均可见正常垂体,如有肿瘤向鞍内生长,可使垂体受压变扁,鞍底下陷,蝶鞍轻度扩大。
三、鉴别诊断
成釉质细胞型颅咽管瘤表现多典型,较易诊断。出现误诊者多为鳞状乳头型。如实性或囊实性鳞状乳头型生长较大、长入鞍内,且正常垂体信号消失,则与垂体瘤不易鉴别,但鳞状乳头型男性稍多见,有复杂的视野改变,垂体性内分泌异常多表现为月经不规律和(或)闭经或性功能减低;在影像学上鳞状乳头型颅咽管瘤极少侵犯海绵窦,肿瘤边缘不规则,这些均是鳞状乳头型与垂体瘤不同的地方。如果肿瘤完全位于鞍上,则与下视丘、视神经胶质瘤易误诊,但胶质瘤以视力下降为首发症状,并且在较短时间内视力明显下降,甚至出现单眼失明,视野改变少见,影像上可见视神经增粗。另一较易误诊者为转移瘤,但转移瘤常为多发。
, 百拇医药
囊性鳞状乳头型颅咽管瘤与其他影像学表现类似的肿瘤的一个主要鉴别点是鳞状乳头型囊内有结节,增强扫描可见囊壁环状强化,其他囊性病变如表皮样囊肿等均不含结节,增强扫描无强化;Rathke囊肿儿童及青少年多见。
由上可见,鳞状乳头型颅咽管瘤的鉴别诊断应从其临床表现、大体形态、MR图像多个角度综合进行分析,可减少误诊率。
参考文献
1 Szeifert GT,Sipos L, Horvath M,et al. Pathological characteristics of surgically removed craniopharyngiomas: analysis of 131 cases. Acta Neurochir(Wien), 1993, 124:139-143.
2 Kahn EA, Gosch HH, Seeger JF, et al. Forty-five years experence with the craniopharyngiomas. Surg Neurol, 1973, 1: 5-12.
, 百拇医药
3 Petito CK, Degirdami U, Earle KN. Craniopharyngiomas: a clinical and pathological review. Cancer, 1976, 37:1944-1952.
4 Sartoretti-Sohefer S, Wichmann W, Aguzzi A, et al. MR differentiation of adamantinous and squamous-papillary craniopharyngioma. AJNR, 1997,18:77-87.
5 Crotty TB, Scheithauer BW, Young WF. Papillary craniopharyngiomas: a clinicopathological study of 48 cases. J Neurosurg,1995, 83:206-214.
, 百拇医药
6 孙楠,高培毅,罗麟. 颅咽管瘤:MR影像、病理及临床表现对比分析. 中国医学影像技术,1999,15:40-43.
7 Ahmadi J, Destian S, Apuzzo ML,et al. Cystic fluid in craniopharyngiomas: MR imaging and quantitative analysis. Radiology, 1992, 182:783-785.
8 Szeifert GT, Julow J, Szabolcs M, et al. Secretory component of cystic craniopharyngiomas: a mucino-histochemical and electron-microscpic study. Sury Neurol, 1991, 36:286-293.
9 Al-Mefthy O, Hassounah M, Weaver P. Microsurgery for giant craniopharyngiomas in children. Neurosurgery, 1985, 17:585-595.
收稿:1998-12-22 修回:1999-07-09, 百拇医药
参见:首页 > 医疗版 > 疾病专题 > 内分泌科 > 下丘脑-垂体疾病 > 颅咽管瘤