放射性脑脊髓坏死的MRI诊断
作者:王学建 魏渝清 曹建初 沈桂权 李小宝 卢冰
单位:550004 贵阳医学院附属医院放射科(王学建、魏渝清、沈桂权、李小宝),病理科(曹建初),肿瘤科(卢冰)
关键词:磁共振成像;辐射损伤;脑;脊髓
中华放射学杂志991109
【摘要】 目的 评价放射性脑脊髓坏死(radiation myeloencephalic necrosis,RMEN)的MRI表现及其诊断价值。方法 回顾性分析9例经临床、MRI 诊断或手术病理证实的RMEN。结果 9例RMEN中,放射性脑坏死(radiation encephalic necrosis,REN) 4例,放射性脊髓坏死(radiation myelonecrosis,RMN) 5例,共11个病灶。其共同MRI 特征为:主要累及白质;T1WI呈低信号,T2WI呈高信号、中央见等信号区;增强后全部病灶均被强化、中央有非强化区;邻近骨髓明显脂肪沉积;齿轮状外观是 REN的特征。而RMN 特征为长节段脊髓受累与相对小的强化灶及刺状或指状边缘。结论 RMEN 的MRI 表现具有一定特征,结合放射治疗病史,大部分病例可做出正确诊断。
, 百拇医药
MRI diagnosis of radiation myeloencephalic necrosis
WANG Xuejian*, WEI Yuqing, CAO Jiancu,et al.
*Department of Radiology Affiliated Hospital, Gui Yang Medical College,Gui Yang 550004
【Abstract】 Objective To evaluate MRI findings and the diagnostic value of radiation myloencephalic necrosis (RMEN). Methods Nine cases of RMEN diagnosed by clinical manifestations、MRI or operation and pathology were retrospectively analyzed. Results Among the 9 cases, 4 were radiation encephalic necrosis (REN) , and the others were radiation myelonecrosis(RMN). A total of 11 lesions were found. The common MRI findings were: chiefly involving the white matter, short T1 and long T2 with iso-signal intensity focus in the center; all lesions enhanced by Gd-DTPA, but ten had a non- enhancing focus in the center; fatty deposition of nearby bone marrow. Gear- like margin was the characteristic feature of REN. Long segment involvement with small enhancing focus and thorn-like or paw-like margin was the features of RMN. Conclusion Most cases of RMEN can be diagnosed correctly according to the MRI characteristic findings combined with radiation history.
, 百拇医药
【Key words】 Magnetic resonance imaging Radiation injuries Brain Spinal cord
放射性脑脊髓坏死(radiation myeloencephalic necrosis, RMEN) 是中枢神经系统或其邻近部位肿瘤或其他疾病放射治疗(简称放疗)后的一种少见而严重的并发症。其MRI 表现国内外仅见少数报道,认为MRI虽能敏感地发现病灶,但难与肿瘤鉴别[1-5]。笔者搜集我院1995年1月至1998年9月经临床、MRI诊断7例和手术病理证实的2例RMEN,进行回顾性分析,旨在探讨RMEN的MRI表现及诊断价值。
材料与方法
1. 一般资料: 见表1。
表1 9例放射性脑脊髓坏死的临床资料 序号
, 百拇医药
年龄①
性别
原发肿瘤
放射剂量(Gy)②
潜伏期(月)③
部位
临床表现
随访时间(月)④
1
37
女
垂体瘤
, 百拇医药
55
34
右颞
头昏痛、异味
2
40
男
垂体瘤
54
10
左颞
头痛、右肢瘫
10
, http://www.100md.com 3
54
女
鼻咽癌
75
59
双颞
头痛、左眼失明
24
4
65
男
鼻咽癌
73
, http://www.100md.com
30
右颞
头痛
18
5
39
男
鼻咽癌
82
23
颈髓
左肢瘫
15
6
, http://www.100md.com
40
女
鼻咽癌
78
17
颈髓
四肢无力
30
7
55
女
鼻咽癌
74
35
, 百拇医药
颈髓
右肢瘫
13
8
38
女
右乳癌左第8
后肋转移
37
9
下胸髓
下肢跛行
9
, 百拇医药 9
43
男
鼻咽癌
74
50
颈髓
左肢麻木
6
注:①平均年龄45岁;②平均放射剂量69 Gy;③平均潜伏期30个月;④平均随访时间17.6个月
2. 诊断标准:手术病理证实2例,MRI、临床诊断7例(具有一定的潜伏期; MRI显示的病灶在放射野内;主要神经症状与照射部位相符;临床追踪及影像随访 6~30个月)。
, http://www.100md.com
3. MRI技术:采用岛津SMT-100X 1.0 T超导MRI 扫描机。参数为: SE T1WI TR 500~600 毫秒、TE 15~22毫秒;T2WI TR 3000~5000毫秒、TE 100~110毫秒。平均采集次数2~4 次。 矩阵256×256。头颅层厚8 mm,层距2 mm。脊柱层厚4 mm,无间距连续扫描。9例均于肘静脉注射钆喷替酸葡甲胺(Gd-DTPA)(0.01 mmol/kg)做增强扫描。
4. 图像分析:观察病灶部位、数量、信号强度、累及范围、水肿程度及形态、Gd-DTPA增强及邻近骨髓脂肪沉积情况。
结果
一、 MRI表现
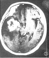
1.放射性脑坏死( radiation encephalic necrosis,REN):有4例5个病灶。右颞3个,左颞2个,1例为双侧。病灶在T1WI上呈大片不均匀低信号,T2WI上以高信号为主,中央有不规则等皮质信号区。注射Gd-DTPA后,病变区见明显强化灶,T2WI上的中央等信号区不强化,大小2.5 cm× 6.0 cm不等。其中4个完全或主要位于白质,1个累及灰质。病灶呈团块状,外形不规则呈粗大齿轮样。其中1 例手术病理提示该处为凝固性坏死。5 个病灶周围均见不同程度水肿,呈爪状沿白质蔓延;2个较重,波及同侧额顶及基底节区,占位效应显著;3 个较轻,只累及颞叶前中部,占位效应轻(图1~4)。


, http://www.100md.com
图1~4 为同一例患者。图1为T1WI,示右颞低信号灶,占位效应明显;图2为T2WI,示右颞额高信号灶,中部见等皮质T2信号区。图3,4示增强后病灶明显强化,内见非强化区,外观呈齿轮状,病灶主要累及白质
2.放射性脊髓坏死 (radiation myelonecrosis,RMN):有5例6个病灶。颈段5个,胸段1个。受累脊髓明显增粗2例,轻度增粗3例。增粗脊髓外形光滑,无结节及波浪感,病变范围长8~14 cm。T1WI呈低信号,T2WI呈高信号,其中可见等信号灶。注射Gd-DTPA 后病变段脊髓内可见明显强化灶,其中 1例颈段可见2个强化灶。病灶呈梭形,边界不规则,可见毛刺或指状改变,以两端为著。5个较大的强化灶中央相当于T2WI上的等信号处无强化。轴位或冠状扫描示病灶大部位于周围或一侧,病灶最小0.4 cm× 0.5 cm、最大4.0 cm×1.2 cm (图5~9)。

, 百拇医药
图5,6 为T1WI和T2WI, 颈髓明显增粗,边缘光滑,呈长T1、T2信号,并累及上胸髓。斜坡、颈椎明显脂肪沉积

图7,8 为同一例患者。图7为T2WI,示颈及上胸髓增粗呈长T2信号,其上部偏后可见等T2信号灶(箭头所示)。 图8为增强后,上颈段见明显强化灶,内有非强化区,边缘不规则,呈毛刺状(矢状面)。颈椎明显脂肪沉积
图9 为轴面增强后扫描,示强化灶位于左半颈髓,边缘不光整。中央见非强化区
, 百拇医药
3.邻近骨髓脂肪沉积:8例受照区域,即斜坡或(和)椎体内骨髓见明显脂肪沉积, 与非照射野内骨髓载然不同(图5,8)。
二、手术病理所见
例1为 REN,术中见右颞水肿明显,脑组织苍白。切开皮层下约1.6 cm,见外观呈胶质样改变的病灶,5 cm× 5 cm×4 cm大小,边界不清、质韧。切面灰白,见灶性坏死。镜下见小血管增生扩张成团,血管内皮肿胀,部分管腔变窄、闭塞。血管壁见纤维素样坏死改变,血管周围神经细胞变性坏死,胶质增生形成小结。
例6为RMN,术中见颈段脊髓增粗、光滑,外观苍白,较正常脊髓硬,无弹性, 切开最粗处见灶性凝固坏死。
三、临床影像随访
随访时间6~30个月,平均17.6个月。4 例REN中, 例1术后随访14个月,病情无复发。余3例临床症状均有不同程度好转,例2、4 于MRI后5、12个月复查,CT 示病灶有轻度吸收缩小。5例RMN中, 例5、6、8 (表1)分别于 2、2及4个月后复查,MRI 示例5、6病灶轻度增大, 临床症状缓慢加重,例 5死于首次MRI后15个月, 例6仍存活。例8病灶无变化, 临床病情稳定。例9 随访6个月病情有好转未行MRI复查。
, 百拇医药
讨论
一、RMEN MRI表现的病理基础
由于白质对放射性损伤的敏感性大于灰质, 因此,RMEN主要累及白质。病理改变以损伤区域的小动脉透明变性和血管纤维蛋白样坏死最具特征[2,6]。伴有神经细胞变性坏死、髓鞘脱失、血管内皮增生肿胀、管腔狭窄、闭塞,以及胶质增生等[3,6,7]。上述改变均可使病变组织含水量增加,T1、T2延长, 这就构成了RMEN MRI基本表现的病理基础。本组资料及文献[2,3]还提示,RMEN中央部为凝固坏死灶,其水分增加不明显,因此,T1WI和T2WI 均与皮质信号相似。但Peter 等[2,5]也观察到RMEN中有液化坏死灶, 推测这可能与病变处于不同病理阶段有关。电镜下,毛细血管内皮细胞间的紧密连接变得疏松,甚至断裂,基膜裸露,说明血脑屏障已遭到破坏[6]。此外,Gaensler等[8]和本组病理证实的RMEN中还可见异常增生扩张的毛细血管和小血管。它可以独立存在,即所谓放疗诱导的毛细血管扩张(radiation-induced telangiectasia )。但更多的是合并存在于 RMEN灶与正常组织的移行带间。由于血脑屏障的破坏和异常血管的增生使得RMEN在注射Gd-DTPA后发生异常强化,这也是 RMEN 区别于一般放射性脑脊髓损伤的原因[6,9]。关于小血管异常增生扩张的机制尚不清楚。Gaensler等[8]发现, 放射损伤主要累及静脉内皮,导致静脉闭塞,结果使局部渗出、出血、坏死,而这些血管的扩张则是一种代偿性的改变,其目的是形成侧支循环,以引流静脉闭塞和充血区域的血液。
, 百拇医药
二、RMEN的MRI表现
1.REN和 RMN的共同MRI 表现:病变主要累及白质,所谓“灰质回避”[6];T1WI呈低信号,T2WI呈高信号、中央可见等皮质信号区;不论病灶大小均有明显强化,与多数文献报道相符[4,5]。但也有报道不发生强化者[3]。 较大的强化灶中央均可见非强化区与T2WI的等信号部位相符,颇具特征;邻近骨髓明显脂肪沉积。此外,两者由于解剖位置和结构的差异还各具特征。
2.REN:强化灶外形不规则呈粗大齿轮状为其特征之一,据笔者所知,此征尚未在任何其他颅内病变中出现过;水肿沿白质蔓延呈爪状。
3.RMN:受累脊髓增粗,外形光滑;长节段受累与相对小的强化灶不相称;强化灶呈梭形,边界不规则呈毛刺或指状;病变多位于脊髓周围或一侧。
, http://www.100md.com
三、RMEN的诊断及鉴别诊断
Dooms等[1,2,9]认为本病MRI表现无特征性,诊断较困难,极易误诊为肿瘤。但本组资料结果提示RMEN的 MRI表现具有一定特征,结合放疗史、病灶在放疗野内、主要神经症状和放疗部位相符、具有一定的潜伏期,一般均能作出准确诊断。本组9例中,前2 例分别误诊为“脑胶质瘤”、“鼻咽癌颈髓转移”。主要是初遇,无经验,对本病某些特征认识不足。
本病主要需与肿瘤转移、复发和胶质瘤鉴别,仔细询问病史,寻找 RMEN 的 MRI特征, 一般不难鉴别。但如果是脑、脊髓本身肿瘤,如胶质瘤等,MRI要区别是病灶复发抑或 RMEN 则比较困难,Di Chiro等[10]建议作正电子发射体层成像(PET)检查,如为肿瘤则代谢活跃,RMEN则代谢低下。而 Schwarts等[11]最近的研究结果提示,动态MRI能将两者区别开,如为肿瘤复发,则显示早期强化,如为放疗所致,则为延迟强化,这有待于进一步研究证实。
, http://www.100md.com
志谢:本文图片由陈永平同志制做
参考文献
1 Dooms GC, Necht S, Brant-Zawadzki M, et al. Brain radiation lesions: MR imaging. Radiology,1986,158:149-155.
2 Peter EV, William PD. Radiation injury of the brain. AJR, 1991,156:689-706.
3 赵瑞林,张瓦城,赵国光.迟发性放射性脑坏死.中华外科杂志,1993,31:676-678.
4 Melki PS, Halimi P, Wibault P, et al. MRI in chronic progressive radiation myelopathy.J Comput Assist Tomogr,1994,18:1-6.
, 百拇医药
5 张雪林,阎卫平,邹常敬,等.鼻咽癌放疗后放射性脑病的MRI诊断.中华放射学杂志,1995,29:658-662.
6 梁露霞,黄其鎏,李贻卓,等.高能直线加速器照射后犬放射性脑病的 MRI及病理对照.中华放射学杂志,1993,27:778-782.
7 阮旭中,沈成鑫.放射性脊髓病(综述).国外医学神经病学神经外科学分册,1980,2:67-70.
8 Gaensler EH, Dillon WP, Edwards MS, et al. Radiation-induced telangiec tasia in the brain simulates cryptic vascular malformation at MR imaging. Radiology, 1994, 193:629-636.
9 Grossman RI , Hecht-Leavitt CM, Evans SM,et al. Experimental radiation injure:combined MR imaging and spectroscopy. Radiology,1988,169:305-309.
, 百拇医药
10 Di Chiro G, Oldfield E, Wright DC, et al. Cerebral necrosis after radiotherapy and/or intraarterial chemotherapy for brain tumors: PET and neuropathologic studies. AJR, 1988, 150:189- 197.
11 Schwartz RB, Hsu L, Kacher DF, et al. Intraoperative dynamic imaging: localization of sites brain tumor recurrence after high-dose radiotherapy. J Magn Reson Imaging, 1998,8:1085-1089.
收稿:1999-06-24, 百拇医药
单位:550004 贵阳医学院附属医院放射科(王学建、魏渝清、沈桂权、李小宝),病理科(曹建初),肿瘤科(卢冰)
关键词:磁共振成像;辐射损伤;脑;脊髓
中华放射学杂志991109
【摘要】 目的 评价放射性脑脊髓坏死(radiation myeloencephalic necrosis,RMEN)的MRI表现及其诊断价值。方法 回顾性分析9例经临床、MRI 诊断或手术病理证实的RMEN。结果 9例RMEN中,放射性脑坏死(radiation encephalic necrosis,REN) 4例,放射性脊髓坏死(radiation myelonecrosis,RMN) 5例,共11个病灶。其共同MRI 特征为:主要累及白质;T1WI呈低信号,T2WI呈高信号、中央见等信号区;增强后全部病灶均被强化、中央有非强化区;邻近骨髓明显脂肪沉积;齿轮状外观是 REN的特征。而RMN 特征为长节段脊髓受累与相对小的强化灶及刺状或指状边缘。结论 RMEN 的MRI 表现具有一定特征,结合放射治疗病史,大部分病例可做出正确诊断。
, 百拇医药
MRI diagnosis of radiation myeloencephalic necrosis
WANG Xuejian*, WEI Yuqing, CAO Jiancu,et al.
*Department of Radiology Affiliated Hospital, Gui Yang Medical College,Gui Yang 550004
【Abstract】 Objective To evaluate MRI findings and the diagnostic value of radiation myloencephalic necrosis (RMEN). Methods Nine cases of RMEN diagnosed by clinical manifestations、MRI or operation and pathology were retrospectively analyzed. Results Among the 9 cases, 4 were radiation encephalic necrosis (REN) , and the others were radiation myelonecrosis(RMN). A total of 11 lesions were found. The common MRI findings were: chiefly involving the white matter, short T1 and long T2 with iso-signal intensity focus in the center; all lesions enhanced by Gd-DTPA, but ten had a non- enhancing focus in the center; fatty deposition of nearby bone marrow. Gear- like margin was the characteristic feature of REN. Long segment involvement with small enhancing focus and thorn-like or paw-like margin was the features of RMN. Conclusion Most cases of RMEN can be diagnosed correctly according to the MRI characteristic findings combined with radiation history.
, 百拇医药
【Key words】 Magnetic resonance imaging Radiation injuries Brain Spinal cord
放射性脑脊髓坏死(radiation myeloencephalic necrosis, RMEN) 是中枢神经系统或其邻近部位肿瘤或其他疾病放射治疗(简称放疗)后的一种少见而严重的并发症。其MRI 表现国内外仅见少数报道,认为MRI虽能敏感地发现病灶,但难与肿瘤鉴别[1-5]。笔者搜集我院1995年1月至1998年9月经临床、MRI诊断7例和手术病理证实的2例RMEN,进行回顾性分析,旨在探讨RMEN的MRI表现及诊断价值。
材料与方法
1. 一般资料: 见表1。
表1 9例放射性脑脊髓坏死的临床资料 序号
, 百拇医药
年龄①
性别
原发肿瘤
放射剂量(Gy)②
潜伏期(月)③
部位
临床表现
随访时间(月)④
1
37
女
垂体瘤
, 百拇医药
55
34
右颞
头昏痛、异味
2
40
男
垂体瘤
54
10
左颞
头痛、右肢瘫
10
, http://www.100md.com 3
54
女
鼻咽癌
75
59
双颞
头痛、左眼失明
24
4
65
男
鼻咽癌
73
, http://www.100md.com
30
右颞
头痛
18
5
39
男
鼻咽癌
82
23
颈髓
左肢瘫
15
6
, http://www.100md.com
40
女
鼻咽癌
78
17
颈髓
四肢无力
30
7
55
女
鼻咽癌
74
35
, 百拇医药
颈髓
右肢瘫
13
8
38
女
右乳癌左第8
后肋转移
37
9
下胸髓
下肢跛行
9
, 百拇医药 9
43
男
鼻咽癌
74
50
颈髓
左肢麻木
6
注:①平均年龄45岁;②平均放射剂量69 Gy;③平均潜伏期30个月;④平均随访时间17.6个月
2. 诊断标准:手术病理证实2例,MRI、临床诊断7例(具有一定的潜伏期; MRI显示的病灶在放射野内;主要神经症状与照射部位相符;临床追踪及影像随访 6~30个月)。
, http://www.100md.com
3. MRI技术:采用岛津SMT-100X 1.0 T超导MRI 扫描机。参数为: SE T1WI TR 500~600 毫秒、TE 15~22毫秒;T2WI TR 3000~5000毫秒、TE 100~110毫秒。平均采集次数2~4 次。 矩阵256×256。头颅层厚8 mm,层距2 mm。脊柱层厚4 mm,无间距连续扫描。9例均于肘静脉注射钆喷替酸葡甲胺(Gd-DTPA)(0.01 mmol/kg)做增强扫描。
4. 图像分析:观察病灶部位、数量、信号强度、累及范围、水肿程度及形态、Gd-DTPA增强及邻近骨髓脂肪沉积情况。
结果
一、 MRI表现
1.放射性脑坏死( radiation encephalic necrosis,REN):有4例5个病灶。右颞3个,左颞2个,1例为双侧。病灶在T1WI上呈大片不均匀低信号,T2WI上以高信号为主,中央有不规则等皮质信号区。注射Gd-DTPA后,病变区见明显强化灶,T2WI上的中央等信号区不强化,大小2.5 cm× 6.0 cm不等。其中4个完全或主要位于白质,1个累及灰质。病灶呈团块状,外形不规则呈粗大齿轮样。其中1 例手术病理提示该处为凝固性坏死。5 个病灶周围均见不同程度水肿,呈爪状沿白质蔓延;2个较重,波及同侧额顶及基底节区,占位效应显著;3 个较轻,只累及颞叶前中部,占位效应轻(图1~4)。
, http://www.100md.com
图1~4 为同一例患者。图1为T1WI,示右颞低信号灶,占位效应明显;图2为T2WI,示右颞额高信号灶,中部见等皮质T2信号区。图3,4示增强后病灶明显强化,内见非强化区,外观呈齿轮状,病灶主要累及白质
2.放射性脊髓坏死 (radiation myelonecrosis,RMN):有5例6个病灶。颈段5个,胸段1个。受累脊髓明显增粗2例,轻度增粗3例。增粗脊髓外形光滑,无结节及波浪感,病变范围长8~14 cm。T1WI呈低信号,T2WI呈高信号,其中可见等信号灶。注射Gd-DTPA 后病变段脊髓内可见明显强化灶,其中 1例颈段可见2个强化灶。病灶呈梭形,边界不规则,可见毛刺或指状改变,以两端为著。5个较大的强化灶中央相当于T2WI上的等信号处无强化。轴位或冠状扫描示病灶大部位于周围或一侧,病灶最小0.4 cm× 0.5 cm、最大4.0 cm×1.2 cm (图5~9)。
, 百拇医药
图5,6 为T1WI和T2WI, 颈髓明显增粗,边缘光滑,呈长T1、T2信号,并累及上胸髓。斜坡、颈椎明显脂肪沉积
图7,8 为同一例患者。图7为T2WI,示颈及上胸髓增粗呈长T2信号,其上部偏后可见等T2信号灶(箭头所示)。 图8为增强后,上颈段见明显强化灶,内有非强化区,边缘不规则,呈毛刺状(矢状面)。颈椎明显脂肪沉积
图9 为轴面增强后扫描,示强化灶位于左半颈髓,边缘不光整。中央见非强化区
, 百拇医药
3.邻近骨髓脂肪沉积:8例受照区域,即斜坡或(和)椎体内骨髓见明显脂肪沉积, 与非照射野内骨髓载然不同(图5,8)。
二、手术病理所见
例1为 REN,术中见右颞水肿明显,脑组织苍白。切开皮层下约1.6 cm,见外观呈胶质样改变的病灶,5 cm× 5 cm×4 cm大小,边界不清、质韧。切面灰白,见灶性坏死。镜下见小血管增生扩张成团,血管内皮肿胀,部分管腔变窄、闭塞。血管壁见纤维素样坏死改变,血管周围神经细胞变性坏死,胶质增生形成小结。
例6为RMN,术中见颈段脊髓增粗、光滑,外观苍白,较正常脊髓硬,无弹性, 切开最粗处见灶性凝固坏死。
三、临床影像随访
随访时间6~30个月,平均17.6个月。4 例REN中, 例1术后随访14个月,病情无复发。余3例临床症状均有不同程度好转,例2、4 于MRI后5、12个月复查,CT 示病灶有轻度吸收缩小。5例RMN中, 例5、6、8 (表1)分别于 2、2及4个月后复查,MRI 示例5、6病灶轻度增大, 临床症状缓慢加重,例 5死于首次MRI后15个月, 例6仍存活。例8病灶无变化, 临床病情稳定。例9 随访6个月病情有好转未行MRI复查。
, 百拇医药
讨论
一、RMEN MRI表现的病理基础
由于白质对放射性损伤的敏感性大于灰质, 因此,RMEN主要累及白质。病理改变以损伤区域的小动脉透明变性和血管纤维蛋白样坏死最具特征[2,6]。伴有神经细胞变性坏死、髓鞘脱失、血管内皮增生肿胀、管腔狭窄、闭塞,以及胶质增生等[3,6,7]。上述改变均可使病变组织含水量增加,T1、T2延长, 这就构成了RMEN MRI基本表现的病理基础。本组资料及文献[2,3]还提示,RMEN中央部为凝固坏死灶,其水分增加不明显,因此,T1WI和T2WI 均与皮质信号相似。但Peter 等[2,5]也观察到RMEN中有液化坏死灶, 推测这可能与病变处于不同病理阶段有关。电镜下,毛细血管内皮细胞间的紧密连接变得疏松,甚至断裂,基膜裸露,说明血脑屏障已遭到破坏[6]。此外,Gaensler等[8]和本组病理证实的RMEN中还可见异常增生扩张的毛细血管和小血管。它可以独立存在,即所谓放疗诱导的毛细血管扩张(radiation-induced telangiectasia )。但更多的是合并存在于 RMEN灶与正常组织的移行带间。由于血脑屏障的破坏和异常血管的增生使得RMEN在注射Gd-DTPA后发生异常强化,这也是 RMEN 区别于一般放射性脑脊髓损伤的原因[6,9]。关于小血管异常增生扩张的机制尚不清楚。Gaensler等[8]发现, 放射损伤主要累及静脉内皮,导致静脉闭塞,结果使局部渗出、出血、坏死,而这些血管的扩张则是一种代偿性的改变,其目的是形成侧支循环,以引流静脉闭塞和充血区域的血液。
, 百拇医药
二、RMEN的MRI表现
1.REN和 RMN的共同MRI 表现:病变主要累及白质,所谓“灰质回避”[6];T1WI呈低信号,T2WI呈高信号、中央可见等皮质信号区;不论病灶大小均有明显强化,与多数文献报道相符[4,5]。但也有报道不发生强化者[3]。 较大的强化灶中央均可见非强化区与T2WI的等信号部位相符,颇具特征;邻近骨髓明显脂肪沉积。此外,两者由于解剖位置和结构的差异还各具特征。
2.REN:强化灶外形不规则呈粗大齿轮状为其特征之一,据笔者所知,此征尚未在任何其他颅内病变中出现过;水肿沿白质蔓延呈爪状。
3.RMN:受累脊髓增粗,外形光滑;长节段受累与相对小的强化灶不相称;强化灶呈梭形,边界不规则呈毛刺或指状;病变多位于脊髓周围或一侧。
, http://www.100md.com
三、RMEN的诊断及鉴别诊断
Dooms等[1,2,9]认为本病MRI表现无特征性,诊断较困难,极易误诊为肿瘤。但本组资料结果提示RMEN的 MRI表现具有一定特征,结合放疗史、病灶在放疗野内、主要神经症状和放疗部位相符、具有一定的潜伏期,一般均能作出准确诊断。本组9例中,前2 例分别误诊为“脑胶质瘤”、“鼻咽癌颈髓转移”。主要是初遇,无经验,对本病某些特征认识不足。
本病主要需与肿瘤转移、复发和胶质瘤鉴别,仔细询问病史,寻找 RMEN 的 MRI特征, 一般不难鉴别。但如果是脑、脊髓本身肿瘤,如胶质瘤等,MRI要区别是病灶复发抑或 RMEN 则比较困难,Di Chiro等[10]建议作正电子发射体层成像(PET)检查,如为肿瘤则代谢活跃,RMEN则代谢低下。而 Schwarts等[11]最近的研究结果提示,动态MRI能将两者区别开,如为肿瘤复发,则显示早期强化,如为放疗所致,则为延迟强化,这有待于进一步研究证实。
, http://www.100md.com
志谢:本文图片由陈永平同志制做
参考文献
1 Dooms GC, Necht S, Brant-Zawadzki M, et al. Brain radiation lesions: MR imaging. Radiology,1986,158:149-155.
2 Peter EV, William PD. Radiation injury of the brain. AJR, 1991,156:689-706.
3 赵瑞林,张瓦城,赵国光.迟发性放射性脑坏死.中华外科杂志,1993,31:676-678.
4 Melki PS, Halimi P, Wibault P, et al. MRI in chronic progressive radiation myelopathy.J Comput Assist Tomogr,1994,18:1-6.
, 百拇医药
5 张雪林,阎卫平,邹常敬,等.鼻咽癌放疗后放射性脑病的MRI诊断.中华放射学杂志,1995,29:658-662.
6 梁露霞,黄其鎏,李贻卓,等.高能直线加速器照射后犬放射性脑病的 MRI及病理对照.中华放射学杂志,1993,27:778-782.
7 阮旭中,沈成鑫.放射性脊髓病(综述).国外医学神经病学神经外科学分册,1980,2:67-70.
8 Gaensler EH, Dillon WP, Edwards MS, et al. Radiation-induced telangiec tasia in the brain simulates cryptic vascular malformation at MR imaging. Radiology, 1994, 193:629-636.
9 Grossman RI , Hecht-Leavitt CM, Evans SM,et al. Experimental radiation injure:combined MR imaging and spectroscopy. Radiology,1988,169:305-309.
, 百拇医药
10 Di Chiro G, Oldfield E, Wright DC, et al. Cerebral necrosis after radiotherapy and/or intraarterial chemotherapy for brain tumors: PET and neuropathologic studies. AJR, 1988, 150:189- 197.
11 Schwartz RB, Hsu L, Kacher DF, et al. Intraoperative dynamic imaging: localization of sites brain tumor recurrence after high-dose radiotherapy. J Magn Reson Imaging, 1998,8:1085-1089.
收稿:1999-06-24, 百拇医药