孤立性右心室发育不全的影像学诊断
作者:胡为民 胡连源 侯传举 朱鲜阳
单位:110015 沈阳军区总医院放射诊断科(胡为民、胡连源),心内科(侯传举、朱鲜阳)
关键词:心脏缺损,先天性;心血管造影术;超声心动图;MRI
中华放射学杂志991105
【摘要】 目的 评价孤立性右心室发育不全的影像学诊断价值。方法 本组共7例,均经手术病理证实,术前作了心血管造影、超声心动图,2例做了MRI检查。 结果 7例右心室心腔变小,小梁部缺如,右心室流入部缩短。肺动脉发育正常,心房间有交通(继发孔房间隔缺损和卵圆孔未闭),其中4例三尖瓣发育正常,3例三尖瓣口狭小。结论 右心室造影和超声心动图在诊断孤立性右心室发育不全中可以互相补充,MRI是辅助手段。
Imaging diagnosis of isolated right ventricular hypoplasia
, 百拇医药
HU Weimin*,HU Lianyuan,HOU Chuanju,et al.
*Department of Radiology,the General Hospital of PLA, Shenyang Military District,shenyang 110015
【Abstract】 Objective To evaluate the effectiveness of imaging diagnosis in isolated right ventricular hypoplasia. Methods 7 cases confirmed by operation were studied with angiocardiography and echocardiography, and 2 cases with MRI. Results Small right ventricular cavity, absence of trabecular portion, a short inflow portion of right ventricle, an interatrial communication (secondary atrial septal defect and patent foramen ovale) and normal pulmonary artery were shown in the 7 cases. Among them only 4 cases showed normal tricuspid valve and 3 cases showed small tricuspid orifice. Conclusion Right ventricular angiocardiography and echocardiography are complementary in diagnosis of this anomaly, MRI is only a supplementary method.
, http://www.100md.com
【Key words】 Heart defects, congenital Angiocardiography Echocardiography Magnetic resonance imaging
孤立性右心室发育不全是一种罕见的紫绀型先天性心脏病[1-4]。自1988年5月至1999年2月,我院手术治疗共7例,占同期体外循环下心内直视手术的0.16%。为评价本病无创性检查技术的作用及心血管造影、超声心动图和MRI合理综合使用,进行对比分析。
材料与方法
7例孤立性右心室发育不全,男2例,女5例,年龄3~27岁(平均13.9岁)。5例生后即有紫绀,2例晚发紫绀,6例无杂音,1例胸骨左缘2~3肋间可闻及1~2级收缩期杂音,均有杵状指(趾)。手术病理:7例右心室心腔明显变小,直径为2.5~3.0 cm。右心室小梁部缺如,流入部缩短,心室壁变薄,肺动脉瓣、瓣环及干正常,心房间交通(继发孔房间隔缺损长径1.0~2.5 cm和卵圆孔未闭),右心房和左心室增大。4例三尖瓣环及瓣叶发育正常。3例三尖瓣环小(0.7~1.5 cm),其中1例并三尖瓣下移约3.0 cm,伴有冠状动脉缺如和永存左上腔静脉各1例。
, http://www.100md.com
超声心动图检查:包括左室长轴切面,心尖四腔切面及大动脉短轴切面。X线平片及心血管正侧位造影:7例均作了右室造影,其中4例电影造影;另外3例做了左心室造影,3例做了右心房造影。MRI检查:2例。SE序列,T1WI:TR 500毫秒、TE 30毫秒。
结果
1.超声心动图在左室长轴切面显示:右室心腔内径变小,纵径多在1.8~2.0 cm,其中2例三尖瓣环小,三尖瓣活动欠佳,1例三尖瓣疑为闭锁。心尖四腔切面显示:房间隔中部回声中断,长径达1.0~2.5 cm。大动脉短轴切面显示:大动脉关系和肺动脉正常(图1,2)。

图1,2 超声心动图。RV=右室;RVOT=右室流出道;PA=肺动脉;AO=主动脉;RA=右房;LA=左房;ASD=房间隔缺损。图1为左室长轴切面,显示右室心腔小,纵径为1.8 cm。图2为大动脉短轴切面,显示右室漏斗部、肺动脉及三尖瓣大小正常,房间隔回声中断
, 百拇医药
2. X线平片:正位心影多呈靴型,肺血偏少或正常。心胸比值为0.44~0.64(平均为0.56)。侧位心影前下缘三角透亮区增大(提示右室小梁部缺如)(图3,4)。

图3,4 X线平片。图3为正位:心影呈靴型,肺血少,心胸比值为0.58。图4为侧位:心影前下缘三角形透亮区增大
3. 心血管造影综合表现:7例正位右心室心腔变窄小,失去了右室正常的三角形外观,左下缘小梁区呈刀切样充盈,在收缩末期和舒张早期未显示小梁影。侧位:右室前下缘无小梁结构。右室流出部(漏斗部)右缘凹入,左缘向左凸出,两侧边缘光滑,与肺动脉连接处等宽,未见漏斗部、肺动脉瓣、瓣环、主干及其分支狭窄。3例三尖瓣环狭窄均未显示(图5~7)。


, http://www.100md.com
图5~7 心血管造影。图5为正位:右室心腔变狭小,左下缘区呈刀切样充盈,无小梁结构。图6为正位:右室流出部(漏斗部)、肺动脉瓣、瓣环、主干及分支均正常。图7为侧位:右室小梁区小梁结构缺如
右心房造影:右房耳部和体部均增大,右心房显影后随即左心房隐约显影(提示房间有右向左分流)(图8);4例右室电影造影:显示右室收缩和舒张功能欠佳;3例左心室增大,未见室间交通。
图8 右心房造影正位:右心房增大,左房隐约显影(提示有房间隔交通)
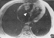
4. MRI:显示右室心腔小,心肌呈中等信号,其中有1例三尖瓣环狭窄,右心房和左心室增大(图9)。
, 百拇医药 图9 MRI横断面:右室心腔变小,三尖瓣环狭窄(箭头)、心肌呈中等信号,右心房和左心室增大
讨论
一、无创性影像学诊断孤立性右心室发育不全的价值
随着病例的增多,无创性超声心动图诊断技术日臻成熟,对于本病诊断的优点是显示房室瓣及房间交通优于心血管造影,可作为首选。有创性心血管造影其优点是显示右室心腔大小、微细解剖结构(如有无小梁部和肺动脉瓣、瓣环、主干及分支情况等)优于超声心动图和MRI。MRI能直观心肌组织结构信号的改变和房室瓣口的大小等(本组1例术前排除三尖瓣闭锁),优于超声心动图和心血管造影。因此,三者可以起到互补作用。为了手术治疗术式的选择,心血管造影是优选技术[5]。X线平片对于治疗前后观察疗效,进行心胸比值的比较有一定的帮助。
二、孤立性右心室发育不全与相关的先天性心脏病的影像学鉴别
, 百拇医药
1.成人型右心室结构不良包括部分型Uhl畸形[6,7]与孤立性右心室发育不全的病理基础和影像学的表现都不相同,前者是心肌组织被脂肪和纤维组织所取代或心肌组织发育不全;影像学表现心腔普遍性增大;MRI显示心肌呈脂肪和纤维组织信号[8]。临床表现有室性心动过速和早搏等。后者右心室小梁部缺如,右心室心腔变窄,无小梁结构,肺动脉发育正常,临床表现有紫绀而多无杂音等。Khoury等[9]报道的右心室发育不全综合征,其中仅1例是孤立性右心室发育不全,不要与本组病例相混淆。
此外,三尖瓣闭锁、室间隔完整的肺动脉闭锁及三尖瓣下移畸形(Ebstein畸形)等,在影像学表现各有不同的特异征象。本组1例并有三尖瓣环狭窄,右心室造影未见房化右室、右室漏斗部和肺动脉发育正常,这与三尖瓣下移畸形容易区别。
2.法乐三联症也可并有右心室发育不全[10],笔者遇到2例右心室漏斗部有继发性肥厚。因此应该诊断为法乐三联症并有右心室发育不全。
, 百拇医药
3.肺动静脉瘘和罕见的肺动脉左心房瘘[11],临床体征无杂音和晚发紫绀等。本组1例开始诊断为肺动静脉瘘,先后作过肺动脉和右上腔静脉造影及超声心动图均未确诊。经右心室造影才确定诊断。由此可见,紫绀型无杂音的先天性心脏病应当想到本病。可避免重复检查,做到一步到位。
孤立性右心室发育不全是一种罕见的紫绀型先天性心脏病,结合临床体征,影像学诊断本病并不困难,应该本着由简到繁,由非创性、小创性到有创性和互补的原则。超声心动图是首选技术,MRI是重要的辅助手段。对手术术式的确定可选择心血管造影,缺点是有创性。
参考文献
1 张玉威,钱武扬,朱鲜阳,等. 孤立性右心室发育不全五例临床分析.解放军医学杂志, 1991,16:339-342.
2 Van der Hauwaert LG, Michaelsson M. Isolated right ventricular hypoplasia. Circulation, 1971,44:466-474.
, http://www.100md.com
3 Okin JT, Vogel JH, Pryor R, et al. Isolated right ventricular hypoplasia. Am J Cardiol, 1969,24:135-140.
4 Medd WE, Neugeld HN, Weidman WH, et al. Isolated hypoplasia of the right ventricle and tricuspid valve in siblings. Br Heart J, 1960,23:25-30.
5 张仁福,汪曾炜,费诚鉴,等. 孤立性右心室发育不全的外科治疗.中华胸心血管外科杂志, 1994,10:100-102.
6 Marcus FI, Fontaine GH, Guiraudon G, et al. Right ventricular dysplasia: a report of 24 adult cases. Circulation, 1982, 65:384-398.
, http://www.100md.com
7 陈祖望,周康荣,任长裕,等. 部分型Uhl's 畸形一例. 中华放射学杂志, 1994, 28:475.
8 Higgins CB. Hricak H, Helms CA, et al. Magnetic resonance imaging of the body. 3th ed. Philadelphia: Lippincott-Raven,1997.448-449.
9 Khoury GH, Gilbert EF, Chang CH, et al. The hypoplastic right heart complex: clinical, hemodynamic,pathologic and surgical considerations. Am J Cardiol, 1969,23:792-800.
10 胡为民,主编. 先天性心脏病临床放射学. 北京: 人民卫生出版社, 1994. 186-189.
11 刘振春,胡为民. 肺动脉左房瘘一例报告. 中华放射学杂志, 1982, 16:317.
收稿:1999-06-17
修回:1999-08-03, 百拇医药
单位:110015 沈阳军区总医院放射诊断科(胡为民、胡连源),心内科(侯传举、朱鲜阳)
关键词:心脏缺损,先天性;心血管造影术;超声心动图;MRI
中华放射学杂志991105
【摘要】 目的 评价孤立性右心室发育不全的影像学诊断价值。方法 本组共7例,均经手术病理证实,术前作了心血管造影、超声心动图,2例做了MRI检查。 结果 7例右心室心腔变小,小梁部缺如,右心室流入部缩短。肺动脉发育正常,心房间有交通(继发孔房间隔缺损和卵圆孔未闭),其中4例三尖瓣发育正常,3例三尖瓣口狭小。结论 右心室造影和超声心动图在诊断孤立性右心室发育不全中可以互相补充,MRI是辅助手段。
Imaging diagnosis of isolated right ventricular hypoplasia
, 百拇医药
HU Weimin*,HU Lianyuan,HOU Chuanju,et al.
*Department of Radiology,the General Hospital of PLA, Shenyang Military District,shenyang 110015
【Abstract】 Objective To evaluate the effectiveness of imaging diagnosis in isolated right ventricular hypoplasia. Methods 7 cases confirmed by operation were studied with angiocardiography and echocardiography, and 2 cases with MRI. Results Small right ventricular cavity, absence of trabecular portion, a short inflow portion of right ventricle, an interatrial communication (secondary atrial septal defect and patent foramen ovale) and normal pulmonary artery were shown in the 7 cases. Among them only 4 cases showed normal tricuspid valve and 3 cases showed small tricuspid orifice. Conclusion Right ventricular angiocardiography and echocardiography are complementary in diagnosis of this anomaly, MRI is only a supplementary method.
, http://www.100md.com
【Key words】 Heart defects, congenital Angiocardiography Echocardiography Magnetic resonance imaging
孤立性右心室发育不全是一种罕见的紫绀型先天性心脏病[1-4]。自1988年5月至1999年2月,我院手术治疗共7例,占同期体外循环下心内直视手术的0.16%。为评价本病无创性检查技术的作用及心血管造影、超声心动图和MRI合理综合使用,进行对比分析。
材料与方法
7例孤立性右心室发育不全,男2例,女5例,年龄3~27岁(平均13.9岁)。5例生后即有紫绀,2例晚发紫绀,6例无杂音,1例胸骨左缘2~3肋间可闻及1~2级收缩期杂音,均有杵状指(趾)。手术病理:7例右心室心腔明显变小,直径为2.5~3.0 cm。右心室小梁部缺如,流入部缩短,心室壁变薄,肺动脉瓣、瓣环及干正常,心房间交通(继发孔房间隔缺损长径1.0~2.5 cm和卵圆孔未闭),右心房和左心室增大。4例三尖瓣环及瓣叶发育正常。3例三尖瓣环小(0.7~1.5 cm),其中1例并三尖瓣下移约3.0 cm,伴有冠状动脉缺如和永存左上腔静脉各1例。
, http://www.100md.com
超声心动图检查:包括左室长轴切面,心尖四腔切面及大动脉短轴切面。X线平片及心血管正侧位造影:7例均作了右室造影,其中4例电影造影;另外3例做了左心室造影,3例做了右心房造影。MRI检查:2例。SE序列,T1WI:TR 500毫秒、TE 30毫秒。
结果
1.超声心动图在左室长轴切面显示:右室心腔内径变小,纵径多在1.8~2.0 cm,其中2例三尖瓣环小,三尖瓣活动欠佳,1例三尖瓣疑为闭锁。心尖四腔切面显示:房间隔中部回声中断,长径达1.0~2.5 cm。大动脉短轴切面显示:大动脉关系和肺动脉正常(图1,2)。
图1,2 超声心动图。RV=右室;RVOT=右室流出道;PA=肺动脉;AO=主动脉;RA=右房;LA=左房;ASD=房间隔缺损。图1为左室长轴切面,显示右室心腔小,纵径为1.8 cm。图2为大动脉短轴切面,显示右室漏斗部、肺动脉及三尖瓣大小正常,房间隔回声中断
, 百拇医药
2. X线平片:正位心影多呈靴型,肺血偏少或正常。心胸比值为0.44~0.64(平均为0.56)。侧位心影前下缘三角透亮区增大(提示右室小梁部缺如)(图3,4)。
图3,4 X线平片。图3为正位:心影呈靴型,肺血少,心胸比值为0.58。图4为侧位:心影前下缘三角形透亮区增大
3. 心血管造影综合表现:7例正位右心室心腔变窄小,失去了右室正常的三角形外观,左下缘小梁区呈刀切样充盈,在收缩末期和舒张早期未显示小梁影。侧位:右室前下缘无小梁结构。右室流出部(漏斗部)右缘凹入,左缘向左凸出,两侧边缘光滑,与肺动脉连接处等宽,未见漏斗部、肺动脉瓣、瓣环、主干及其分支狭窄。3例三尖瓣环狭窄均未显示(图5~7)。
, http://www.100md.com
图5~7 心血管造影。图5为正位:右室心腔变狭小,左下缘区呈刀切样充盈,无小梁结构。图6为正位:右室流出部(漏斗部)、肺动脉瓣、瓣环、主干及分支均正常。图7为侧位:右室小梁区小梁结构缺如
右心房造影:右房耳部和体部均增大,右心房显影后随即左心房隐约显影(提示房间有右向左分流)(图8);4例右室电影造影:显示右室收缩和舒张功能欠佳;3例左心室增大,未见室间交通。
图8 右心房造影正位:右心房增大,左房隐约显影(提示有房间隔交通)
4. MRI:显示右室心腔小,心肌呈中等信号,其中有1例三尖瓣环狭窄,右心房和左心室增大(图9)。
, 百拇医药 图9 MRI横断面:右室心腔变小,三尖瓣环狭窄(箭头)、心肌呈中等信号,右心房和左心室增大
讨论
一、无创性影像学诊断孤立性右心室发育不全的价值
随着病例的增多,无创性超声心动图诊断技术日臻成熟,对于本病诊断的优点是显示房室瓣及房间交通优于心血管造影,可作为首选。有创性心血管造影其优点是显示右室心腔大小、微细解剖结构(如有无小梁部和肺动脉瓣、瓣环、主干及分支情况等)优于超声心动图和MRI。MRI能直观心肌组织结构信号的改变和房室瓣口的大小等(本组1例术前排除三尖瓣闭锁),优于超声心动图和心血管造影。因此,三者可以起到互补作用。为了手术治疗术式的选择,心血管造影是优选技术[5]。X线平片对于治疗前后观察疗效,进行心胸比值的比较有一定的帮助。
二、孤立性右心室发育不全与相关的先天性心脏病的影像学鉴别
, 百拇医药
1.成人型右心室结构不良包括部分型Uhl畸形[6,7]与孤立性右心室发育不全的病理基础和影像学的表现都不相同,前者是心肌组织被脂肪和纤维组织所取代或心肌组织发育不全;影像学表现心腔普遍性增大;MRI显示心肌呈脂肪和纤维组织信号[8]。临床表现有室性心动过速和早搏等。后者右心室小梁部缺如,右心室心腔变窄,无小梁结构,肺动脉发育正常,临床表现有紫绀而多无杂音等。Khoury等[9]报道的右心室发育不全综合征,其中仅1例是孤立性右心室发育不全,不要与本组病例相混淆。
此外,三尖瓣闭锁、室间隔完整的肺动脉闭锁及三尖瓣下移畸形(Ebstein畸形)等,在影像学表现各有不同的特异征象。本组1例并有三尖瓣环狭窄,右心室造影未见房化右室、右室漏斗部和肺动脉发育正常,这与三尖瓣下移畸形容易区别。
2.法乐三联症也可并有右心室发育不全[10],笔者遇到2例右心室漏斗部有继发性肥厚。因此应该诊断为法乐三联症并有右心室发育不全。
, 百拇医药
3.肺动静脉瘘和罕见的肺动脉左心房瘘[11],临床体征无杂音和晚发紫绀等。本组1例开始诊断为肺动静脉瘘,先后作过肺动脉和右上腔静脉造影及超声心动图均未确诊。经右心室造影才确定诊断。由此可见,紫绀型无杂音的先天性心脏病应当想到本病。可避免重复检查,做到一步到位。
孤立性右心室发育不全是一种罕见的紫绀型先天性心脏病,结合临床体征,影像学诊断本病并不困难,应该本着由简到繁,由非创性、小创性到有创性和互补的原则。超声心动图是首选技术,MRI是重要的辅助手段。对手术术式的确定可选择心血管造影,缺点是有创性。
参考文献
1 张玉威,钱武扬,朱鲜阳,等. 孤立性右心室发育不全五例临床分析.解放军医学杂志, 1991,16:339-342.
2 Van der Hauwaert LG, Michaelsson M. Isolated right ventricular hypoplasia. Circulation, 1971,44:466-474.
, http://www.100md.com
3 Okin JT, Vogel JH, Pryor R, et al. Isolated right ventricular hypoplasia. Am J Cardiol, 1969,24:135-140.
4 Medd WE, Neugeld HN, Weidman WH, et al. Isolated hypoplasia of the right ventricle and tricuspid valve in siblings. Br Heart J, 1960,23:25-30.
5 张仁福,汪曾炜,费诚鉴,等. 孤立性右心室发育不全的外科治疗.中华胸心血管外科杂志, 1994,10:100-102.
6 Marcus FI, Fontaine GH, Guiraudon G, et al. Right ventricular dysplasia: a report of 24 adult cases. Circulation, 1982, 65:384-398.
, http://www.100md.com
7 陈祖望,周康荣,任长裕,等. 部分型Uhl's 畸形一例. 中华放射学杂志, 1994, 28:475.
8 Higgins CB. Hricak H, Helms CA, et al. Magnetic resonance imaging of the body. 3th ed. Philadelphia: Lippincott-Raven,1997.448-449.
9 Khoury GH, Gilbert EF, Chang CH, et al. The hypoplastic right heart complex: clinical, hemodynamic,pathologic and surgical considerations. Am J Cardiol, 1969,23:792-800.
10 胡为民,主编. 先天性心脏病临床放射学. 北京: 人民卫生出版社, 1994. 186-189.
11 刘振春,胡为民. 肺动脉左房瘘一例报告. 中华放射学杂志, 1982, 16:317.
收稿:1999-06-17
修回:1999-08-03, 百拇医药