先天性肺静脉异位连接的电子束CT诊断
作者:张少雄 戴汝平 白桦 何沙 荆宝莲
单位:100037 北京,中国医学科学院 中国协和医科大学心血管病研究所 阜外心血管病医院放射科
关键词:心脏缺损,先天性;体层摄影术,X线计算机;超声心动描记术;对比研究
中华放射学杂志991104
【摘要】 目的 探讨电子束CT(electron beam computed tomography,EBCT)对肺静脉异位连接的诊断价值。方法 对14例EBCT诊断的肺静脉异位连接进行回顾性分析。EBCT检查采用增强单层容积扫描,层厚为3 mm,扫描时间为100毫秒,所用对比剂为非离子型碘对比剂。所有患者均行表面阴影显示法进行三维重建。所有病例均行超声心动图检查。其中8例行心血管造影检查,有2例尚有手术病理对照。结果 EBCT诊断完全型肺静脉异位连接10例,其中心上型6例,心脏型4例;心血管造影漏诊3例,超声心动图漏诊5例。EBCT诊断部分型肺静脉异位连接4例,心上型及心下型各1例,心脏型2例,均未作心血管造影;超声心动图漏诊2例。完全型及部分型肺静脉异位连接各有1例行手术治疗,手术所见与EBCT结果完全相同。结论 EBCT较常规心血管造影及超声心动图可明显提高肺静脉异位连接的检出率,对本病有重要的诊断价值。
, 百拇医药
Comprehensive evaluation of anomalous pulmonary venous connection by electron beam computed tomography as compared with ultrasound
ZHANG Shaoxiong, DAI Ruping, BAI Hua, et al.
Department of Radiology, Cardiovascular Insitute and Fuwai Hospital,Chinese Academy of Medical Sciences and Peking Union Medical College,Beijing 100037
【Abstract】 Objective To investigate the clinical value of electron beam computed tomography (EBCT) in diagnosis of anomalous pulmonary venous connection. Methods Retrospective analysis on 14 cases with anomalous pulmonary venous connection was performed using EBCT volume scan. The slice thickness and scan time were 3 mm and 100 ms respectively. Non-ionic contrast medium was applied. Three dimensional reconstruction of EBCT images were carried out on all cases. Meanwhile, ultrasound echocardiography was performed on all patients. Conventional cardiovascular angiography was performed on 8 patients and 2 cases received operation. Results Ten patients with total anomalous pulmonary venous connection, including 6 cases of supracardiac type and 4 cases of cardiac type, were proved by EBCT examination. Among them, 3 cases of abnormal pulmonary venous drainage were not revealed by conventional cardiovascular angiography. Among four patients with partial pulmonary venous connection, including cardiac type in 2 cases, supracardiac type and infracardiac type in 1 case respectively, only one of them was demonstrated by echocardiography. Conclusion EBCT has significant value in diagnosis of anomalous pulmonary venous connection which may not be detectable with echocardiography or even cardiovascular angiography.
, 百拇医药
【Key words】 Heart defects, congenital Tomography, X-ray computed Echocardiography Comparative study
肺静脉异位连接可以独立存在,也可以合并在其他先天性心脏病中,因此,是一种并不算罕见的先天性心脏畸形。X线平片、超声心动图是常用的检查手段,临床漏诊率较高,传统认为,确诊需要心血管造影。电子束CT(electron beam computed tomography,EBCT)因扫描速度快,消除了运动伪影,对先天性心血管畸形诊断有重要价值[1-4]。笔者通过对14例肺静脉异位连接的资料分析,探讨EBCT对本病的诊断价值。
材料与方法
回顾性分析经EBCT诊断为肺静脉异位连接的患者共14例,男9例,女5例,年龄最小者9个 月,最大者63岁。其中2例手术,8例行心血管造影。所有患者均作超声心动图检查。本组病例均因需进一步明确有无肺静脉异位连接或主动脉弓畸形等而申请EBCT检查。
, 百拇医药
临床情况:自幼发现心脏杂音13例,活动受限、喜蹲踞9例,6例有紫绀、杵状指。1例老年患者无明显心脏杂音,临床诊断为慢性支气管炎、肺气肿,肺动脉栓塞待除外。
X线检查:表现为肺血增多7例,肺血减少6例,1例肺血改变不明显,11例有心脏增大。X线诊断为紫绀属复杂先天性畸形6例,诊断为左向右分流先天性心脏病、房间隔缺损5例,其中2例考虑有心上型肺静脉异位连接。
超声心动图:诊断为单心室4例,右室双出口2例,大动脉错位2例,右位心1例,肺动脉瓣狭窄5例,主动脉瓣狭窄1例,房间隔缺损12例,完全型心内膜垫缺损2例。完全型肺静脉异位连接5例,部分型肺静脉异位连接2例。
心血管造影:诊断为右室双出口2例,完全型心内膜垫2例,单心室3例,大动脉错位2例,肺动脉瓣狭窄3例,房间隔缺损7例,下腔静脉肝段缺如1例,完全型肺静脉异位连接3例,部分型肺静脉异位连接2例。
, 百拇医药
EBCT检查:利用Imatron C-150型EBCT扫描机,行增强单层容积扫描,范围自主动脉弓上直至上腹部,采用心电门控触发,每层于80% R-R间期开始扫描,层厚为3 mm,用非离子型对比剂自肘静脉用高压注射器以1.2~2.5 ml/s流速注入,扫描延迟时间为2~10秒(平均8秒),扫描时间为0.1秒。所有病例均作三维重建。采用ISG 工作站(Allegro 型,加拿大ISG公司产品),对增强容积扫描图像脱机后处理,以表面阴影显示法进行三维重建。
结果
EBCT诊断完全型肺静脉异位连接10例,其中心上型6例,心脏型4例,2例有肺静脉入口部狭窄。诊断部分型肺静脉异位连结4例,均累及右肺静脉,1例为单支型,3例为双支型;如以引流部位分,则心脏型2例,心上型及心下型各1例。
2例手术患者,完全型及部分型肺静脉异位连接各有1例。其中部分型肺静脉异位连接者EBCT显示右侧肺静脉引流入右心房,而左侧肺静脉正常回流入左心房,伴有II孔型房间隔缺损、肺动脉高压、下腔静脉肝段缺如。术前心血管造影检查及手术所见均与EBCT相同(图1~6)。1例完全型肺静脉异位连接,术前造影示单发右位心、右室双出口、肺动脉瓣及瓣下狭窄、房室间隔缺损、双上腔静脉,但心室造影未能明确肺静脉引流位置,遂行EBCT检查。EBCT除显示上述畸形外,尚显示右位主动脉弓及完全型肺静脉异位连接。



, 百拇医药
图1~6 为同一病例,部分型肺静脉异位连接(心脏型)。图1示右上肺静脉(短箭头)引流入右心房(RA),左上肺静脉(长箭头)引流入左心房(LA),房间隔缺损巨大。图2示两下肺静脉(箭头)分别引流入左右心房。RV:右心室;LV左心室。图3示下腔静脉肝段缺如:肝脏水平未见下腔静脉显影,半奇静脉粗大(箭头)。图4为表面阴影显示法三维重建,示右侧上下肺静脉(白箭头)均引流入右心房,左侧上下肺静脉(黑箭头)均引流入左心房。SVC:上腔静脉。图5为导管自下腔静脉经奇静脉入右心房经右心室至右肺动脉造影:右肺静脉(黑箭头)引流入右心房(白箭头)。图6为左肺动脉造影,示左肺静脉(白箭头)引流入左心房(白三角箭头),对比剂经房间隔缺损(黑箭头)分流入右心房
6例行心血管造影但未手术患者,均为完全型肺静脉异位连接,其中心上型5例,心脏型1例(图7~9)。2例合并房间隔缺损,4例合并单心室、右室双出口、肺动脉闭锁等复杂畸形(表1)。心血管造影未提出肺静脉引流异常者2例,其中心上型及心脏型各1例。尚有1例心上型肺静脉异位连接,心血管造影诊断为部分型。

, 百拇医药
图7,8 完全型肺静脉异位连接(心脏型),为同一病例。图7示右肺静脉(白三角),与左肺静脉(短箭头)合成一共同静脉干(长箭头)引流入右心房。图8示左肺静脉(箭头)经共同静脉干引流入右心房
图9 完全型肺静脉异位连接(心脏型)。表面阴影显示法三维重建,示两侧肺静脉(箭头)均引流入右心房。IVC:下腔静脉
表1 肺静脉异位连接合并畸形及各种影像学方法显示情况 合并畸形
例数
影像显示情况
EBCT
超声心动图
心血管造影
, 百拇医药
部分型
4
4(4)
2(4)
1(1)
房间隔缺损
1
1
1
1
主动脉缩窄
1
1
, 百拇医药 0
0
动脉导管未闭
1
1
1
0
二尖瓣及瓣上狭窄
1
1
1
0
主动脉瓣二瓣化
1
, 百拇医药
1
1
0
永存左上腔静脉
1
1
1
0
右肺发育不良
1
1
0
0
下腔静脉肝段缺如
, 百拇医药
1
1
0
1
完全型
10
10(10)
5(10)
3(7)
房间隔缺损
10
10
10
, http://www.100md.com 3
永存左上腔静脉
4
4
2
3
肺动脉瓣狭窄
5
4
5
3
肺动脉闭锁
1
1
, http://www.100md.com
1
0
完全型心内膜垫缺损
3
3
3
2
右室双出口
2
2
2
2
单心室
4
, 百拇医药
4
3
4
右位主动脉弓
5
5
0
4
心房异构(右房型)
3
3
0
1
右位心
, http://www.100md.com
1
1
1
1
左旋心
1
1
0
1
无脾
4
4
3
0
, 百拇医药
水平肝
3
3
2
0
误作部分型
2
0
1
1
注:括弧中数字为该项检查的例数。EBCT为电子束CT
超声心动图与EBCT结果对比,10例完全型肺静脉异位连接,心脏型中2例明确诊断,另2例未能做出诊断;心上型中3例明确诊断,2例漏诊,另有1例诊断为部分型肺静脉异位连接。4例部分型肺静脉异位连接中,心上型及心下型各1例未能作出诊断,而心脏型2例均诊断为部分型肺静脉异位连接,但其中1例不能明确具体引流部位是心内还是上腔静脉。
, 百拇医药
讨论
1.胚胎学及病理:肺静脉异位连接是指单支或多支肺静脉不引流入解剖学左房而直接或通过体静脉间接地异位引流入右心房。胚胎3周后,如肺静脉共同干早期闭锁使肺静脉不能与左房融合,肺静脉经原始内脏血管丛与主静脉或静脉卵黄系统的交通回流至右房,即形成完全型肺静脉异位连接。如仅为肺静脉共同干左侧或右侧部分闭锁,造成闭锁侧肺静脉与体静脉交通,则形成部分型肺静脉异位引流[5]。
肺静脉异位引流可并存于某些复杂先天畸形中,且易被漏诊。超声心动图或心血管造影常因注意复杂解剖畸形而忽略了并存的肺静脉异位引流的存在。尸检证明,部分型肺静脉异位连接的发生率高达0.6%~0.7%,远远高于其临床发生率,表明不少部分型肺静脉异位连接在临床未获确诊[6]。完全型肺静脉异位引流常合并的畸形必然合并房间隔缺损或卵圆孔未闭,其次还可合并室间隔缺损、房室通道畸形、肺动脉瓣狭窄、肺动脉闭锁、单心房、动脉导管未闭、二尖瓣闭锁、大动脉错位等。本组10例完全型肺静脉异位连接均有房间隔缺损,还见其并存于单心室、右室双出口、完全型心内膜垫缺损、心房异构等,较少见。部分型肺静脉异位连接多见于右侧,可以独立存在,但更常见合并II孔房间隔缺损、室间隔缺损、三房心、卵圆孔未闭。本组4例均累及右肺静脉,其中1例异位引流至下腔静脉且并存主动脉弓离断、二尖瓣及瓣上狭窄、主动脉二瓣畸形、动脉导管未闭、双上腔静脉等多种畸形,甚为少见。
, http://www.100md.com
2.EBCT诊断要点及征象:(1)诊断要点:①应逐层分析,注意肺静脉与左房的关系,即两者间有无连接,是否每支肺静脉都引流入左房。②注意肺静脉异位引流的部位及有无狭窄。③如发现患者无脾脏,则应警惕肺静脉异位连接的存在,因无脾综合征易并发该畸形。本组10例完全型肺静脉异位连接中4例无脾脏。④右侧心房异构均合并肺静脉异常连接,EBCT是心房异构最为准确的检查方法[7]。此外,应注意并发畸形的诊断,勿遗漏合并的复杂畸形。(2)肺静脉异位连接的征象:①直接征象:一支或所有肺静脉未与形态学左房连接,而直接或间接引流入右心房。②间接征象: 左房没有肺静脉流入或两侧肺静脉流入不全,房间隔缺损及肺动脉明显增粗等。
3.EBCT检查的价值和限度:横断面成像避免了影像的重叠,能很好地显示解剖学左右心房的位置,直观地显示异位引流肺静脉的数目及引流的部位。对于伴发的复杂心血管畸形可在1次注入对比剂后同时显示,与心血管造影相比,经济、少创、检查时间短、接受X线辐射少,可同时发现并发的肺部改变为其优点。因可同时观察胸腔及腹部脏器,故EBCT对内脏转位、复杂心血管畸形的节段分析,有重要价值。另外,EBCT密度分辨率高,故巨大房间隔缺损或肺静脉入口狭窄时亦可清楚显示解剖畸形。与心血管造影相比,不能提供心腔及大血管压力等血流动力学资料是其唯一缺点(表2)。
, 百拇医药
表2 电子束CT与超声心动图及心血管造影对肺静脉异位连接诊断价值的比较 比较项目
超声心动图
心血管造影
电子束CT
肺静脉引流位置
+
++
+++
肺静脉入口狭窄
+
++
+++
, http://www.100md.com
发现合并复杂畸形
++
++
+++
心房异构
+
+
+++
观察肺部改变
-
+
+++
血流动力学
, 百拇医药
+
+++
-
注:-为该检查无诊断价值。+~+++示诊断价值递增
4.与其他方法的比较:(1)心血管造影:与EBCT相比同样可确定异位引流血管的解剖变化及其他合并畸形,能提供心腔、大血管的压力等血流动力学资料为其优点。其不足之处是,对肺静脉异位连接的诊断一般是通过再循环判断肺静脉引流的位置,由于该方法密度分辨率较EBCT低,因而对于畸形的显示不如EBCT清晰,故此,心血管造影对肺静脉异位连接的显示对操作者的经验、造影方法正确与否要求较高。另外,其为有创检查,造影检查过程复杂,操作时间较长,需多次注药、多体位投照,医护人员及患者受X线辐射量较大,造影价格较昂贵等均是其缺点。本组有心血管造影的8例中3例未能显示肺静脉异位连接,原因为:① 心房转位,因未作心房造影,判断解剖学左右心房有一定困难,居左侧的形态学右房易被误作左房;②房间隔缺损巨大,再循环心房显影不佳,肺静脉及心房连接显示不清;③造影方法不当,以心室造影代替了肺动脉造影;④肺静脉入口狭窄,肺动脉造影显示解剖畸形不佳。通过与EBCT的对照,笔者认为,为进一步提高肺静脉异位连接造影的诊断准确率,正确的造影方法应是作选择性肺动脉造影,如怀疑肺静脉狭窄,则需再行选择性肺静脉造影[8]。(2)超声心动图:价格低廉是其优点, 其缺点是诊断的准确性依赖于操作者的经验, 对于并存的主动脉弓畸形及其他复杂心血管畸形诊断不如EBCT全面, 容易漏诊。一般而言,超声心动图对于完全型肺静脉异位连接有诊断价值,心上型者可在左房后方显示1个无声腔区,此无声腔为肺静脉总干,心内型者则可见无声腔开口于右房。对于部分型肺静脉异位连接,因其异位引流种类多、引流部位变化大,加之超声有时远场散射使影像不清楚,难以显示肺静脉入口处,所以超声心动图的诊断价值有限[6]。本组超声心动图对肺静脉异位连接诊断的准确率仅为50%,可能与病例数较少有关,但也反映了它对本病诊断的限度。
, http://www.100md.com
通过本研究,我们认为EBCT的临床应用可明显增加肺静脉异位连接的检出率,其在显示肺静脉异位引流的具体部位、有无狭窄及并发畸形方面,优于心血管造影及超声心动图,EBCT对于肺静脉异位连接有重要的诊断价值。
参考文献
1 戴汝平,白桦,吕滨,等.超高速CT在心血管病诊断中的应用.中华放射学杂志,1997,31:81-85.
2 金泽宁,谢若兰,戴汝平,等.先天性心脏病肺动脉发育情况的电子束CT与心血管造影对照研究. 中华放射学杂志,1998,32:515-518.
3 Brundage BH. Evaluation of cardiac anatomy and function using ultrafast CT in patients with congenital heart disease. In: Brundage BH,ed. Comparative cardiac imaging. Rockville: Aspen, 1990.481-492.
, 百拇医药
4 Eldredge WJ,Flicker S. Evaluation of congenital heart disease using cine-CT. Am J Cardiac Imaging,1987,1:38-50.
5 孙锟,周爱卿.肺静脉异位引流.见:周爱卿,主编.心导管术——先天性心脏病诊断与治疗. 济南:山东科技出版社,1997.277-286.
6 邓东安,侯传举.先心病影像诊断学. 沈阳:辽宁科技出版社,1988.134-144.
7 张岩,戴汝平,吕建华,等. 电子束CT对诊断心房异构畸形的评价. 中华放射学杂志,1999,33:139-140.
8 Yoo SJ. Angiocardiograms in congenital heart disease. New York: Oxford, 1991.155-167.
收稿:1999-06-15
修回:1999-07-20, 百拇医药
单位:100037 北京,中国医学科学院 中国协和医科大学心血管病研究所 阜外心血管病医院放射科
关键词:心脏缺损,先天性;体层摄影术,X线计算机;超声心动描记术;对比研究
中华放射学杂志991104
【摘要】 目的 探讨电子束CT(electron beam computed tomography,EBCT)对肺静脉异位连接的诊断价值。方法 对14例EBCT诊断的肺静脉异位连接进行回顾性分析。EBCT检查采用增强单层容积扫描,层厚为3 mm,扫描时间为100毫秒,所用对比剂为非离子型碘对比剂。所有患者均行表面阴影显示法进行三维重建。所有病例均行超声心动图检查。其中8例行心血管造影检查,有2例尚有手术病理对照。结果 EBCT诊断完全型肺静脉异位连接10例,其中心上型6例,心脏型4例;心血管造影漏诊3例,超声心动图漏诊5例。EBCT诊断部分型肺静脉异位连接4例,心上型及心下型各1例,心脏型2例,均未作心血管造影;超声心动图漏诊2例。完全型及部分型肺静脉异位连接各有1例行手术治疗,手术所见与EBCT结果完全相同。结论 EBCT较常规心血管造影及超声心动图可明显提高肺静脉异位连接的检出率,对本病有重要的诊断价值。
, 百拇医药
Comprehensive evaluation of anomalous pulmonary venous connection by electron beam computed tomography as compared with ultrasound
ZHANG Shaoxiong, DAI Ruping, BAI Hua, et al.
Department of Radiology, Cardiovascular Insitute and Fuwai Hospital,Chinese Academy of Medical Sciences and Peking Union Medical College,Beijing 100037
【Abstract】 Objective To investigate the clinical value of electron beam computed tomography (EBCT) in diagnosis of anomalous pulmonary venous connection. Methods Retrospective analysis on 14 cases with anomalous pulmonary venous connection was performed using EBCT volume scan. The slice thickness and scan time were 3 mm and 100 ms respectively. Non-ionic contrast medium was applied. Three dimensional reconstruction of EBCT images were carried out on all cases. Meanwhile, ultrasound echocardiography was performed on all patients. Conventional cardiovascular angiography was performed on 8 patients and 2 cases received operation. Results Ten patients with total anomalous pulmonary venous connection, including 6 cases of supracardiac type and 4 cases of cardiac type, were proved by EBCT examination. Among them, 3 cases of abnormal pulmonary venous drainage were not revealed by conventional cardiovascular angiography. Among four patients with partial pulmonary venous connection, including cardiac type in 2 cases, supracardiac type and infracardiac type in 1 case respectively, only one of them was demonstrated by echocardiography. Conclusion EBCT has significant value in diagnosis of anomalous pulmonary venous connection which may not be detectable with echocardiography or even cardiovascular angiography.
, 百拇医药
【Key words】 Heart defects, congenital Tomography, X-ray computed Echocardiography Comparative study
肺静脉异位连接可以独立存在,也可以合并在其他先天性心脏病中,因此,是一种并不算罕见的先天性心脏畸形。X线平片、超声心动图是常用的检查手段,临床漏诊率较高,传统认为,确诊需要心血管造影。电子束CT(electron beam computed tomography,EBCT)因扫描速度快,消除了运动伪影,对先天性心血管畸形诊断有重要价值[1-4]。笔者通过对14例肺静脉异位连接的资料分析,探讨EBCT对本病的诊断价值。
材料与方法
回顾性分析经EBCT诊断为肺静脉异位连接的患者共14例,男9例,女5例,年龄最小者9个 月,最大者63岁。其中2例手术,8例行心血管造影。所有患者均作超声心动图检查。本组病例均因需进一步明确有无肺静脉异位连接或主动脉弓畸形等而申请EBCT检查。
, 百拇医药
临床情况:自幼发现心脏杂音13例,活动受限、喜蹲踞9例,6例有紫绀、杵状指。1例老年患者无明显心脏杂音,临床诊断为慢性支气管炎、肺气肿,肺动脉栓塞待除外。
X线检查:表现为肺血增多7例,肺血减少6例,1例肺血改变不明显,11例有心脏增大。X线诊断为紫绀属复杂先天性畸形6例,诊断为左向右分流先天性心脏病、房间隔缺损5例,其中2例考虑有心上型肺静脉异位连接。
超声心动图:诊断为单心室4例,右室双出口2例,大动脉错位2例,右位心1例,肺动脉瓣狭窄5例,主动脉瓣狭窄1例,房间隔缺损12例,完全型心内膜垫缺损2例。完全型肺静脉异位连接5例,部分型肺静脉异位连接2例。
心血管造影:诊断为右室双出口2例,完全型心内膜垫2例,单心室3例,大动脉错位2例,肺动脉瓣狭窄3例,房间隔缺损7例,下腔静脉肝段缺如1例,完全型肺静脉异位连接3例,部分型肺静脉异位连接2例。
, 百拇医药
EBCT检查:利用Imatron C-150型EBCT扫描机,行增强单层容积扫描,范围自主动脉弓上直至上腹部,采用心电门控触发,每层于80% R-R间期开始扫描,层厚为3 mm,用非离子型对比剂自肘静脉用高压注射器以1.2~2.5 ml/s流速注入,扫描延迟时间为2~10秒(平均8秒),扫描时间为0.1秒。所有病例均作三维重建。采用ISG 工作站(Allegro 型,加拿大ISG公司产品),对增强容积扫描图像脱机后处理,以表面阴影显示法进行三维重建。
结果
EBCT诊断完全型肺静脉异位连接10例,其中心上型6例,心脏型4例,2例有肺静脉入口部狭窄。诊断部分型肺静脉异位连结4例,均累及右肺静脉,1例为单支型,3例为双支型;如以引流部位分,则心脏型2例,心上型及心下型各1例。
2例手术患者,完全型及部分型肺静脉异位连接各有1例。其中部分型肺静脉异位连接者EBCT显示右侧肺静脉引流入右心房,而左侧肺静脉正常回流入左心房,伴有II孔型房间隔缺损、肺动脉高压、下腔静脉肝段缺如。术前心血管造影检查及手术所见均与EBCT相同(图1~6)。1例完全型肺静脉异位连接,术前造影示单发右位心、右室双出口、肺动脉瓣及瓣下狭窄、房室间隔缺损、双上腔静脉,但心室造影未能明确肺静脉引流位置,遂行EBCT检查。EBCT除显示上述畸形外,尚显示右位主动脉弓及完全型肺静脉异位连接。
, 百拇医药
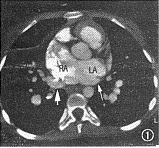
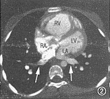
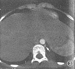
图1~6 为同一病例,部分型肺静脉异位连接(心脏型)。图1示右上肺静脉(短箭头)引流入右心房(RA),左上肺静脉(长箭头)引流入左心房(LA),房间隔缺损巨大。图2示两下肺静脉(箭头)分别引流入左右心房。RV:右心室;LV左心室。图3示下腔静脉肝段缺如:肝脏水平未见下腔静脉显影,半奇静脉粗大(箭头)。图4为表面阴影显示法三维重建,示右侧上下肺静脉(白箭头)均引流入右心房,左侧上下肺静脉(黑箭头)均引流入左心房。SVC:上腔静脉。图5为导管自下腔静脉经奇静脉入右心房经右心室至右肺动脉造影:右肺静脉(黑箭头)引流入右心房(白箭头)。图6为左肺动脉造影,示左肺静脉(白箭头)引流入左心房(白三角箭头),对比剂经房间隔缺损(黑箭头)分流入右心房
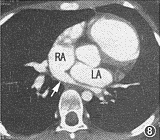
6例行心血管造影但未手术患者,均为完全型肺静脉异位连接,其中心上型5例,心脏型1例(图7~9)。2例合并房间隔缺损,4例合并单心室、右室双出口、肺动脉闭锁等复杂畸形(表1)。心血管造影未提出肺静脉引流异常者2例,其中心上型及心脏型各1例。尚有1例心上型肺静脉异位连接,心血管造影诊断为部分型。
, 百拇医药
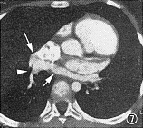
图7,8 完全型肺静脉异位连接(心脏型),为同一病例。图7示右肺静脉(白三角),与左肺静脉(短箭头)合成一共同静脉干(长箭头)引流入右心房。图8示左肺静脉(箭头)经共同静脉干引流入右心房
图9 完全型肺静脉异位连接(心脏型)。表面阴影显示法三维重建,示两侧肺静脉(箭头)均引流入右心房。IVC:下腔静脉
表1 肺静脉异位连接合并畸形及各种影像学方法显示情况 合并畸形
例数
影像显示情况
EBCT
超声心动图
心血管造影
, 百拇医药
部分型
4
4(4)
2(4)
1(1)
房间隔缺损
1
1
1
1
主动脉缩窄
1
1
, 百拇医药 0
0
动脉导管未闭
1
1
1
0
二尖瓣及瓣上狭窄
1
1
1
0
主动脉瓣二瓣化
1
, 百拇医药
1
1
0
永存左上腔静脉
1
1
1
0
右肺发育不良
1
1
0
0
下腔静脉肝段缺如
, 百拇医药
1
1
0
1
完全型
10
10(10)
5(10)
3(7)
房间隔缺损
10
10
10
, http://www.100md.com 3
永存左上腔静脉
4
4
2
3
肺动脉瓣狭窄
5
4
5
3
肺动脉闭锁
1
1
, http://www.100md.com
1
0
完全型心内膜垫缺损
3
3
3
2
右室双出口
2
2
2
2
单心室
4
, 百拇医药
4
3
4
右位主动脉弓
5
5
0
4
心房异构(右房型)
3
3
0
1
右位心
, http://www.100md.com
1
1
1
1
左旋心
1
1
0
1
无脾
4
4
3
0
, 百拇医药
水平肝
3
3
2
0
误作部分型
2
0
1
1
注:括弧中数字为该项检查的例数。EBCT为电子束CT
超声心动图与EBCT结果对比,10例完全型肺静脉异位连接,心脏型中2例明确诊断,另2例未能做出诊断;心上型中3例明确诊断,2例漏诊,另有1例诊断为部分型肺静脉异位连接。4例部分型肺静脉异位连接中,心上型及心下型各1例未能作出诊断,而心脏型2例均诊断为部分型肺静脉异位连接,但其中1例不能明确具体引流部位是心内还是上腔静脉。
, 百拇医药
讨论
1.胚胎学及病理:肺静脉异位连接是指单支或多支肺静脉不引流入解剖学左房而直接或通过体静脉间接地异位引流入右心房。胚胎3周后,如肺静脉共同干早期闭锁使肺静脉不能与左房融合,肺静脉经原始内脏血管丛与主静脉或静脉卵黄系统的交通回流至右房,即形成完全型肺静脉异位连接。如仅为肺静脉共同干左侧或右侧部分闭锁,造成闭锁侧肺静脉与体静脉交通,则形成部分型肺静脉异位引流[5]。
肺静脉异位引流可并存于某些复杂先天畸形中,且易被漏诊。超声心动图或心血管造影常因注意复杂解剖畸形而忽略了并存的肺静脉异位引流的存在。尸检证明,部分型肺静脉异位连接的发生率高达0.6%~0.7%,远远高于其临床发生率,表明不少部分型肺静脉异位连接在临床未获确诊[6]。完全型肺静脉异位引流常合并的畸形必然合并房间隔缺损或卵圆孔未闭,其次还可合并室间隔缺损、房室通道畸形、肺动脉瓣狭窄、肺动脉闭锁、单心房、动脉导管未闭、二尖瓣闭锁、大动脉错位等。本组10例完全型肺静脉异位连接均有房间隔缺损,还见其并存于单心室、右室双出口、完全型心内膜垫缺损、心房异构等,较少见。部分型肺静脉异位连接多见于右侧,可以独立存在,但更常见合并II孔房间隔缺损、室间隔缺损、三房心、卵圆孔未闭。本组4例均累及右肺静脉,其中1例异位引流至下腔静脉且并存主动脉弓离断、二尖瓣及瓣上狭窄、主动脉二瓣畸形、动脉导管未闭、双上腔静脉等多种畸形,甚为少见。
, http://www.100md.com
2.EBCT诊断要点及征象:(1)诊断要点:①应逐层分析,注意肺静脉与左房的关系,即两者间有无连接,是否每支肺静脉都引流入左房。②注意肺静脉异位引流的部位及有无狭窄。③如发现患者无脾脏,则应警惕肺静脉异位连接的存在,因无脾综合征易并发该畸形。本组10例完全型肺静脉异位连接中4例无脾脏。④右侧心房异构均合并肺静脉异常连接,EBCT是心房异构最为准确的检查方法[7]。此外,应注意并发畸形的诊断,勿遗漏合并的复杂畸形。(2)肺静脉异位连接的征象:①直接征象:一支或所有肺静脉未与形态学左房连接,而直接或间接引流入右心房。②间接征象: 左房没有肺静脉流入或两侧肺静脉流入不全,房间隔缺损及肺动脉明显增粗等。
3.EBCT检查的价值和限度:横断面成像避免了影像的重叠,能很好地显示解剖学左右心房的位置,直观地显示异位引流肺静脉的数目及引流的部位。对于伴发的复杂心血管畸形可在1次注入对比剂后同时显示,与心血管造影相比,经济、少创、检查时间短、接受X线辐射少,可同时发现并发的肺部改变为其优点。因可同时观察胸腔及腹部脏器,故EBCT对内脏转位、复杂心血管畸形的节段分析,有重要价值。另外,EBCT密度分辨率高,故巨大房间隔缺损或肺静脉入口狭窄时亦可清楚显示解剖畸形。与心血管造影相比,不能提供心腔及大血管压力等血流动力学资料是其唯一缺点(表2)。
, 百拇医药
表2 电子束CT与超声心动图及心血管造影对肺静脉异位连接诊断价值的比较 比较项目
超声心动图
心血管造影
电子束CT
肺静脉引流位置
+
++
+++
肺静脉入口狭窄
+
++
+++
, http://www.100md.com
发现合并复杂畸形
++
++
+++
心房异构
+
+
+++
观察肺部改变
-
+
+++
血流动力学
, 百拇医药
+
+++
-
注:-为该检查无诊断价值。+~+++示诊断价值递增
4.与其他方法的比较:(1)心血管造影:与EBCT相比同样可确定异位引流血管的解剖变化及其他合并畸形,能提供心腔、大血管的压力等血流动力学资料为其优点。其不足之处是,对肺静脉异位连接的诊断一般是通过再循环判断肺静脉引流的位置,由于该方法密度分辨率较EBCT低,因而对于畸形的显示不如EBCT清晰,故此,心血管造影对肺静脉异位连接的显示对操作者的经验、造影方法正确与否要求较高。另外,其为有创检查,造影检查过程复杂,操作时间较长,需多次注药、多体位投照,医护人员及患者受X线辐射量较大,造影价格较昂贵等均是其缺点。本组有心血管造影的8例中3例未能显示肺静脉异位连接,原因为:① 心房转位,因未作心房造影,判断解剖学左右心房有一定困难,居左侧的形态学右房易被误作左房;②房间隔缺损巨大,再循环心房显影不佳,肺静脉及心房连接显示不清;③造影方法不当,以心室造影代替了肺动脉造影;④肺静脉入口狭窄,肺动脉造影显示解剖畸形不佳。通过与EBCT的对照,笔者认为,为进一步提高肺静脉异位连接造影的诊断准确率,正确的造影方法应是作选择性肺动脉造影,如怀疑肺静脉狭窄,则需再行选择性肺静脉造影[8]。(2)超声心动图:价格低廉是其优点, 其缺点是诊断的准确性依赖于操作者的经验, 对于并存的主动脉弓畸形及其他复杂心血管畸形诊断不如EBCT全面, 容易漏诊。一般而言,超声心动图对于完全型肺静脉异位连接有诊断价值,心上型者可在左房后方显示1个无声腔区,此无声腔为肺静脉总干,心内型者则可见无声腔开口于右房。对于部分型肺静脉异位连接,因其异位引流种类多、引流部位变化大,加之超声有时远场散射使影像不清楚,难以显示肺静脉入口处,所以超声心动图的诊断价值有限[6]。本组超声心动图对肺静脉异位连接诊断的准确率仅为50%,可能与病例数较少有关,但也反映了它对本病诊断的限度。
, http://www.100md.com
通过本研究,我们认为EBCT的临床应用可明显增加肺静脉异位连接的检出率,其在显示肺静脉异位引流的具体部位、有无狭窄及并发畸形方面,优于心血管造影及超声心动图,EBCT对于肺静脉异位连接有重要的诊断价值。
参考文献
1 戴汝平,白桦,吕滨,等.超高速CT在心血管病诊断中的应用.中华放射学杂志,1997,31:81-85.
2 金泽宁,谢若兰,戴汝平,等.先天性心脏病肺动脉发育情况的电子束CT与心血管造影对照研究. 中华放射学杂志,1998,32:515-518.
3 Brundage BH. Evaluation of cardiac anatomy and function using ultrafast CT in patients with congenital heart disease. In: Brundage BH,ed. Comparative cardiac imaging. Rockville: Aspen, 1990.481-492.
, 百拇医药
4 Eldredge WJ,Flicker S. Evaluation of congenital heart disease using cine-CT. Am J Cardiac Imaging,1987,1:38-50.
5 孙锟,周爱卿.肺静脉异位引流.见:周爱卿,主编.心导管术——先天性心脏病诊断与治疗. 济南:山东科技出版社,1997.277-286.
6 邓东安,侯传举.先心病影像诊断学. 沈阳:辽宁科技出版社,1988.134-144.
7 张岩,戴汝平,吕建华,等. 电子束CT对诊断心房异构畸形的评价. 中华放射学杂志,1999,33:139-140.
8 Yoo SJ. Angiocardiograms in congenital heart disease. New York: Oxford, 1991.155-167.
收稿:1999-06-15
修回:1999-07-20, 百拇医药