复杂先天性心脏病心血管数字造影和超声诊断的对比研究
作者:孙立军 江海寿 李军 刘建平 李敬邦 王锡海 苟永刚
单位:710032 西安,第四军医大学西京医院放射科(孙立军、江海寿、李敬邦、王锡海、苟永刚),超声科(李军),心脏外科(刘建平)
关键词:心脏缺损,先天性;心血管造影术;超声心动描记术;对比研究
中华放射学杂志991103
【摘要】 目的 评价心脏大血管数字造影和超声心动图在复杂性先天性心脏病(简称先心病)诊断中的作用。方法 选择1995年9月至1998年12月间有完整资料的复杂性先心病65例,全部进行了数字造影、二维超声心动图和彩色多普勒血流图检查。其中35例有手术结果的对照资料。经右股静脉及动脉分别行选择性右心室、肺动脉、左心室及主动脉多体位数字造影,其采集矩阵为512×512,显示矩阵为1024×1024。结果 血管数字造影与临床诊断符合率为89%(58/65),与手术符合率为89%(31/35);超声与临床诊断符合率为68%(44/65),超声与手术符合率为80%(28/35)。超声检查能准确清楚地显示心腔内结构,如瓣膜、瓣环、房室间隔的改变以及异常血流。数字造影技术能全面地显示心腔内外结构,尤其是大动脉、冠状动脉以及体肺侧支循环的改变。两种技术均存在一定程度的误诊率。结论 心脏超声心动图与数字造影有机结合,能大大提高复杂性先心病的诊断准确率。
, 百拇医药
Comparative study of cardiovascular digital imaging and echocardiography in the diagnosis of complex congenital heart diseases
SUN Lijun*, JIANG Haishou, LI Jun, et al.
*Department of Radiology, Xijing Hospital, the Fourth Military Medical University, Xi'an 710032
【Abstract】 Objective To evaluate the effect of cardiovascular digital imaging and echocardiography in the diagnosis of complex congenital heart diseases. Methods From September 1995 to December 1998, 65 cases of complex congenital heart diseases which had complete data were examined with cardiovascular digital imaging technique, two-dimensional echocardiography with color Doppler flow imaging,and 35 were proved by operation. Selective axial angiocardiography of right and left ventricle, pulmonary arteriography and aortography with digital imaging technique were performed respectively via right femoral artery and vein by means of Seldinger's method. Acquisition matrix of digital imaging was 512×512 with 1024×1024 display matrix. Results The rate of coincidence of digital imaging with clinical diagnosis in diagnosing complex congenital heart diseases was 89%(58/65) and with operation 89%(31/35) in comparison with 68%(44/65) of clinical diagnostic coincidence and 80%(28/35) coincidence with operation in echocardiography. Echocardiography could clearly display the structures within heart including atrioventricular and semilunar valves, valvular rings, atrial and ventricular septa and intracardiac abnormal blood flow such as shunts; cardiovascular digital imaging technique could completely demonstrate the changes of intra- and extra-cardiac structures, especially the alterations of great arteries, coronary arteries and systemic-pulmonary collateral circulations; however misdiagnosis was present with both techniques. Conclusion Combination of echocardiography with cardiovascular digital imaging technique can greatly increase the rate of diagnostic accuracy for complex congenital heart diseases.
, 百拇医药
【Key words】 Heart defects, congenital Angiocardiography Echocardiography Comparative study
在先天性心脏病(简称先心病)的诊断中,二维超声心动图(two-dimensional echocardiography, 2DE)、声学造影以及彩色多普勒技术已广泛应用于临床,并已成为先心病术前诊断的主要方法。MRI与超高速CT等技术的开发与应用,为先心病的诊断提供了新的检查手段,已逐步用于临床。随着心脏外科,尤其是小儿心脏外科的飞速发展,对术前诊断,特别是对复杂先心病诊断的要求越来越高[1,2]。因此,笔者通过与手术结果的对比,探讨心脏大血管数字造影与超声心动图在复杂先心病术前诊断中的作用。
材料与方法
一、 临床资料
, 百拇医药
选择1995年9月至1998年12月间,全部进行了心脏大血管数字造影和超声心动图检查、有完整资料的复杂先心病患者65例,其中35例有手术结果。65例中,男 44例,女 21例,年龄3个月至36岁。体重5~60 kg。患者主要以自幼发现心脏杂音、口唇紫绀、哭闹及活动后加重入院。疾病的诊断是以心脏超声、心血管数字造影以及手术结果作为依据,并以35例有手术证实者作为分析心血管数字造影和超声心动图诊断符合率的依据。复杂先心病的判断标准为:患者存在1个以上的病理生理改变[3]或几种心血管畸形同时存在[4]。65例先心病的病种分布及手术情况见表1。
表1 65例复杂先心病的病种及手术情况(例) 疾病种类
例数
手术
F4
, 百拇医药
11
8
DORV
12
8
SV
7
2
TGA
8
2
CECD
3
3
, http://www.100md.com
CoA
4
3
IoA
1
1
TAPVC
3
3
TA
3
1
DOLV
1
, http://www.100md.com
1
APW
1
1
TRU
8
1
PA+IVS
1
1
DCRV
1
-
EA
, 百拇医药
1
-
合计
65
35
注:F4:法乐四联症;DORV:右心室双出口;SV:单心室;TGA:大动脉转位;CECD:完全性心内膜垫缺损;CoA:主动脉缩窄;IoA:主动脉弓离断;TAPVC:完全性肺静脉异位引流;TA:三尖瓣闭锁;DOLV:左心室双出口;APW:主-肺动脉窗;TRU:共同动脉干;PA+IVS:肺动脉闭锁伴完整室间隔;DCRV:右室双腔心;EA:三尖瓣下移畸形
二、多体位心血管数字造影技术
使用西门子Polydoros 80A型X线心血管造影机,其中包括Hicor数字成像处理系统及Bicor双向“C”形臂摄像系统。常规采用Seldinger技术经右股静脉及动脉分别行选择性右心室、肺动脉、左心室及主动脉造影。对比剂均为非离子型,包括优维显、欧乃派克及安射力等,其用量为1.5~4.0 ml/kg,注射速度18~25 ml/s,注射压力70~ 85 kg/cm2,注射对比剂后0.1秒开始曝光。投照体位包括正侧位、双斜位(右前斜30°+左前斜位60°)、长轴斜位、延长右前斜位(右前斜30°+头向30°)以及四腔位。数字造影采集矩阵512×512,显示矩阵1024×1024,同时摄取常规35 mm电影胶卷,摄取速度为25帧/秒。
, http://www.100md.com
三、 超声心动图检查技术
2DE及彩色多普勒血流图(color Doppler flow imaging,CDFI)的使用仪器为ATL公司MK-600型超声诊断仪及HP-500或1500型彩色多普勒诊断仪,探头频率为2.5或3.5 MHz,所有病例均进行了2DE及CDFI检查。取平卧位或左(右)侧卧位,首先进行2DE多部位、多切面及多方向观察,以判断心房、心室及大血管的位置,心内结构,心脏大小和连接关系,再叠加CDFI观察心内及心外的血流动力学的改变。
结果
一、心血管数字造影、超声心动图及手术结果
本组65例临床诊断中,心血管数字造影诊断58例,诊断符合率89%;心脏超声诊断44例,诊断符合率68%。4例主动脉缩窄中,1例合并室间隔缺损+房间隔缺损;2例合并室间隔缺损+动脉导管未闭及1例合并室间隔缺损+房间隔缺损+动脉导管未闭及永存左上腔静脉。1例主动脉弓离断合并室间隔缺损+动脉导管未闭。1例主-肺动脉窗合并左冠状动脉、降主动脉-右冠状动脉-肺动脉瘘以及动脉导管未闭。65例中35例有手术结果证实,心血管数字造影(图1~5)和超声心动图诊断(图6)结果与手术证实的对比情况见表2。心血管数字造影的诊断符合率为89%(31/35), 心脏超声的诊断符合率为80%(28/35)。
, 百拇医药
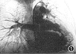
图1 法乐四联症合并解剖矫正型大动脉异位(右心室造影),延长右前斜位示右心室流出道、肺动脉瓣及主肺动脉狭窄
图2 右心室双出口侧位右心室造影,示2根大动脉均发自解剖右心室
图3 完全性大动脉转位合并室间隔缺损、右位心。解剖左心室正位造影,左心室居右侧接肺动脉,室间隔缺损形成
图4 主动脉弓离断合并室间隔缺损及动脉导管未闭升主动脉正位造影,显示无名动脉及左颈总动脉显影,左锁骨下动脉未见显影
, http://www.100md.com
图5 共同动脉干Ⅳ型降主动脉正位造影,两侧肺动脉与降主动脉形成侧支循环
图6 完全型心内膜垫缺损超声检查,左侧图为心尖四腔切面,示房间隔下部及室间隔上部回声失落(箭头所示);右侧图为彩色多普勒血流显像:显示二尖瓣、三尖瓣返流。VSD:室间隔缺损;TR:三尖瓣返流;MR:二尖瓣返流
表2 35例心血管数字造影、超声心动图及手术诊断心脏畸形结果(例) 方法
F4
DORV
SV
TGA
CECD
, 百拇医药
CoA
IoA
TAPVC
TA
DOLV
APW
TRU
PA+IVS
手术
8
8
2
2
, http://www.100md.com 3
3
1
3
1
1
1
1
1
心血管数字造影
8
6
1
2
, 百拇医药
3
3
1
3
1
0
1
1
1
超声心动图
8
7
2
2
, 百拇医药
3
0
1
2
1
0
0
1
1
注:F4:法乐四联症;DORV:右心室双出口;SV:单心室;TGA:大动脉转位;CECD:完全性心内膜垫缺损;CoA:主动脉缩窄;IoA:主动脉弓离断;TAPVC:完全性肺静脉异位引流;TA:三尖瓣闭锁;DOLV:左心室双出口;APW:主-肺动脉窗;TRU:共同动脉干;PA+IVS:肺动脉闭锁伴完整室间隔
, http://www.100md.com
CDFI检查:显示心房水平右向左分流8例,左向右分流10例;肺动脉瓣上湍流21例;心室水平双向分流31例;心室水平左向右分流11例;房室水平双向分流4例;降主动脉向肺动脉分流6例;三尖瓣返流13例;肺动脉瓣返流10例;主动脉返流3例;永存动脉干向肺动脉分流1例;体肺侧支循环形成2例。
二、合并心内外畸形情况
本组病例合并15种其他畸形,每种病例除主要的病理改变外,均含2种或2种以上的畸形。两种检查技术显示的主要畸形及其例数见表3。
表3 心血管数字造影和心脏超声心动图显示的主要畸形及其例数 方法
VSD
ASD
PDA
, 百拇医药
体肺侧支形成
PS
右位心
TGA
右旋心
单心房
心脏超声心动图
39
18
10
7
7
4
, http://www.100md.com 5
4
1
心血管数字造影
21
10
10
7
7
4
4
4
1
注:VSD:室间隔缺损;ASD:房间隔缺损;PDA:动脉导管未闭;PS:肺动脉狭窄(含瓣及瓣上下狭窄);TGA:大动脉转位
, 百拇医药
2DE显示的房间隔缺损又进一步分为混合型7例,继发孔型6例,中央型5例;还发现卵圆孔未闭9例。超声发现的其他畸形包括部分肺静脉异位引流2例;永存左上腔静脉2例;共同房室瓣3例;左冠状动脉-肺动脉瘘1例;冠状静脉窦扩张1例;二尖瓣前叶裂2例以及三尖瓣大瓣裂4例。心血管数字成像显示的其他畸形还包括右弓右降6例;弓部血管镜像排列4例;主动脉缩窄1例;左肺动脉狭窄1例;下腔静脉异常连接1例;左肺下静脉囊状扩张及狭窄并存1例,垂直静脉、横静脉狭窄1例;左冠状动脉-右冠状动脉和降主动脉-右冠状动脉-肺动脉瘘1例;肺动脉闭锁1例以及三尖瓣闭锁1例。
三、病例的误诊情况
心脏超声检查将1例法乐四联症误诊Ⅲ型共同动脉干;2例右心室双出口分别误诊为完全性大动脉转位和室间隔缺损+肺动脉狭窄;3例单心室中的2例误诊为右心室双出口,1例误诊为矫正性大动脉转位;2例大动脉转位分别误诊为右心室双出口及三尖瓣闭锁;4例主动脉缩窄误诊为室间隔缺损+动脉导管未闭、室间隔缺损+房间隔缺损、室间隔缺损+房间隔缺损+动脉导管未闭及主动脉弓离断;4例Ⅳ型共同动脉干误诊为假性动脉干以及将1例主-肺动脉窗仅诊为右冠状动脉-肺动脉瘘。心血管数字造影将2例右心室双出口分别误诊为完全性大动脉转位和室间隔缺损+肺动脉狭窄;2例单心室分别误诊为右心室双出口和矫正性大动脉转位。另外,两种技术均将1例法乐四联症误诊为完全性大动脉转位合并右旋心+室间隔缺损+肺动脉狭窄。
, 百拇医药
讨论
一、心脏超声在先心病诊断中的作用
目前,在心脏疾病的诊断、疗效观察和实验研究中,特别是对先心病的诊断、治疗管理(treatment management)等方面,心脏超声已发展成为非常重要的检查方法。据报道2DE能准确地显示心腔、瓣膜、房室连接、心室大动脉连接的异常,其对心房位置异常确定的敏感性为100%,特异性为99%;对心室位置特异性以及心室与动脉连接类型的诊断结果与心血管造影符合率达98%[1,5,6]。本组65例患者都先做了超声心动图检查,为进一步检查提供了参考资料,其与手术的符合率达80%。超声心动图能准确清晰地观察瓣膜的改变,包括瓣膜的结构与活动、有无瓣膜的发育不良、下移、闭锁、关闭不全、脱垂及裂缺。本组资料显示超声心动图除发现重要的病理改变外,还进一步显示了共同房室瓣、二尖瓣和肺动脉瓣闭锁、二尖瓣前叶裂、三尖瓣大瓣裂、肺动脉瓣膜增厚、瓣口狭窄、三尖瓣下移以及乳头肌发育异常等多种合并畸形,为手术方式的选择及术后的疗效评价提供了重要依据。房间隔卵圆窝部位组织薄弱,当超声束与之平行时易发生中断的假象,尽管这样,其对房间隔的观察仍是比较清楚的,本组发现房间隔缺损18例,以混合型最多,还发现卵圆孔未闭9例。CDFI技术是2DE的重要补充,可以进一步发现心脏及大血管的血流动力学的异常,对决定是否手术及其类型无疑具有重要意义。
, 百拇医药
尽管超声心动图具有安全、便携、实时及多功能的特点,但是,在实际应用中由于心脏大部分及大血管被骨骼(如胸骨)及肺组织遮盖,超声波受到肺内气体反射及胸骨等的影响,使超声检查受到限制[1,5],特别是心脏超声检查具有明显的操作者依赖性,因而使其临床诊断准确率及其与手术符合率下降。本组临床及手术符合率分别仅为68%和80%。2DE对心房与心室的定位较容易,而对大血管的起源位置的判断由于受患者心脏位置、房间隔缺损大小和室间隔的位置以及检查部位和切面选择等因素的影响,易造成判断的难度。本组有2例大动脉转位因房间隔缺损较大(缺损口径大于2.0 cm)而误诊为右心室双出口;对主动脉及主动脉弓病变诊断也存在一定限度,较难区分肺动脉闭锁+房间隔缺损与共同动脉干,国内以前未见超声诊断共干Ⅳ型的报道[7],对严重的主动脉缩窄易误诊为主动脉弓离断。本组超声对3例主动脉缩窄均发生误诊,4例Ⅳ型共干误诊为假性共干。
二、心血管数字造影在复杂先心病诊断中的作用
, http://www.100md.com
常规X线心血管电影造影技术一直被认为是评价复杂先心病的重要手段,它可以全面、详细、直观地显示心脏及大血管的解剖异常和血流动力学的改变,对冠状动脉解剖的评价作用仍是其他影像技术不能取代的[8,9]。但是,它也存在着某些缺点,如造影图像不能立刻阅读,必须要等至少15~20分钟后才可应用,这对于心脏介入工作的开展是不利的;另外,还存在密度测量非线性及定量分析不方便等缺点。而数字血管造影技术的优点是图像清晰,可以实时显示、回放及长期储存[9,10]。它克服了X线大片造影不能动态观察以及常规X线电影造影图像不能即刻阅读的缺点,这对于先心病的全面检查、提高诊断符合率以及广泛开展心血管介入治疗无疑是有用的。本组65例数字造影的临床诊断准确率为89%,与手术的诊断符合率为89%,两项指标均高于超声检查。在实际应用中,这项技术除可以全面显示心脏和大血管的结构、大小、形状、瓣环、瓣膜、冠状动脉解剖以及心脏与瓣膜的功能外,还可以清晰显示大血管的起源、体肺侧支的起源、走行、形态以及远端的情况。本组资料显示,心血管数字造影技术除证实了主要病变如主-肺动脉窗外,还进一步清楚显示了左冠状动脉-右冠状动脉和降主动脉-右冠状动脉-肺动脉瘘及其瘘口,而超声心动图仅发现右冠状动脉-肺动脉瘘,未显示瘘口;数字造影技术较容易区分主动脉弓的病变,如主动脉缩窄与主动脉弓离断,而超声则将1例重度主动脉缩窄误诊为主动脉弓离断;体肺侧支的评价对于决定手术方式、减少术中出血是有帮助的,本研究显示超声仅能发现体肺侧支的存在,不能进行全面观察,数字造影技术较容易确定体肺侧支的全部情况;另外,数字造影技术较容易诊断共同动脉干及其类型,能清楚显示心室流出道、房室瓣以及肺动脉主干及其分支。借助定量分析软件可进一步确定血管病变的性状以及心脏的功能。当然,数字造影技术也存在一些缺点。如有创,对比剂对人体有害,检查设备价格昂贵等,其所显示的是复合图像,解剖结构间存在着相互重叠,不能进行横断面显示,也存在着操作者依赖性。
, 百拇医药
三、两种检查技术的配合应用
目前,复杂先心病的外科治疗进步很快,且日益向难度大、过去认为是“绝症”的病种发展,手术年龄也明显提前[11]。因此,对复杂先心病术前诊断的准确性要求越来越高,对主要病变及其合并畸形的观察也应清楚全面。在实际工作中,笔者认为心脏超声检查是基础,可提出初步诊断,再根据要求有选择性地实施心血管数字造影检查。心脏超声在评价心内结构上具有优势,而数字造影技术在观察心外大血管及冠状动脉更具优势,两种检查技术的有机组合必将大大提高诊断准确率。
参考文献
1 王惠玲,主编.小儿先天性心脏病学.北京:北京出版社,1998.259-271.
2 Boxt LM,Reagan K,Katz J.Angiocardiography in the diagnosis of congenital heart disease. Radiol Clin North Am , 1994,32:435-460.
, http://www.100md.com
3 王惠玲,主编.小儿先天性心脏病学.北京:北京出版社,1998.1.
4 陈灏珠,主编.中国医学百科全书 心脏病学.上海:上海科学技术出版社,1982.7.
5 Geiser EA.Echocardiography.In: Marcus ML, Schelbert HR, Skorton DJ, eds. Cardiac imaging.Philadelphia: Saunders,1991.348-364.
6 Hartnell GG. Developments in echocardiography. Radiol Clin North Am, 1994,32:461-475.
7 姜宏,李越,赵金华,等.超声心动图诊断共同动脉干Ⅳ型二例报告.中华超声影像学杂志,1999,8:57.
, 百拇医药
8 刘玉清.心脏病影像学综合诊断.中国循环杂志,1992,7:226-227.
9 Whiting JS.Digital angiography.In: Marcus ML, Schelbert HR,Skorton DJ,eds. Cardiac imaging.Philadelphia: Saunders,1991.281-290.
10 王溶泉,主编.医用大型X线机系统.北京:人民军医出版社,1995.388-395.
11 于存涛,刘迎龙.重症复杂先天性心脏畸形的治疗进展(综述).国外医学心血管疾病分册,1999,26:96-99.
收稿:1999-05-07
修回:1999-07-01, 百拇医药
单位:710032 西安,第四军医大学西京医院放射科(孙立军、江海寿、李敬邦、王锡海、苟永刚),超声科(李军),心脏外科(刘建平)
关键词:心脏缺损,先天性;心血管造影术;超声心动描记术;对比研究
中华放射学杂志991103
【摘要】 目的 评价心脏大血管数字造影和超声心动图在复杂性先天性心脏病(简称先心病)诊断中的作用。方法 选择1995年9月至1998年12月间有完整资料的复杂性先心病65例,全部进行了数字造影、二维超声心动图和彩色多普勒血流图检查。其中35例有手术结果的对照资料。经右股静脉及动脉分别行选择性右心室、肺动脉、左心室及主动脉多体位数字造影,其采集矩阵为512×512,显示矩阵为1024×1024。结果 血管数字造影与临床诊断符合率为89%(58/65),与手术符合率为89%(31/35);超声与临床诊断符合率为68%(44/65),超声与手术符合率为80%(28/35)。超声检查能准确清楚地显示心腔内结构,如瓣膜、瓣环、房室间隔的改变以及异常血流。数字造影技术能全面地显示心腔内外结构,尤其是大动脉、冠状动脉以及体肺侧支循环的改变。两种技术均存在一定程度的误诊率。结论 心脏超声心动图与数字造影有机结合,能大大提高复杂性先心病的诊断准确率。
, 百拇医药
Comparative study of cardiovascular digital imaging and echocardiography in the diagnosis of complex congenital heart diseases
SUN Lijun*, JIANG Haishou, LI Jun, et al.
*Department of Radiology, Xijing Hospital, the Fourth Military Medical University, Xi'an 710032
【Abstract】 Objective To evaluate the effect of cardiovascular digital imaging and echocardiography in the diagnosis of complex congenital heart diseases. Methods From September 1995 to December 1998, 65 cases of complex congenital heart diseases which had complete data were examined with cardiovascular digital imaging technique, two-dimensional echocardiography with color Doppler flow imaging,and 35 were proved by operation. Selective axial angiocardiography of right and left ventricle, pulmonary arteriography and aortography with digital imaging technique were performed respectively via right femoral artery and vein by means of Seldinger's method. Acquisition matrix of digital imaging was 512×512 with 1024×1024 display matrix. Results The rate of coincidence of digital imaging with clinical diagnosis in diagnosing complex congenital heart diseases was 89%(58/65) and with operation 89%(31/35) in comparison with 68%(44/65) of clinical diagnostic coincidence and 80%(28/35) coincidence with operation in echocardiography. Echocardiography could clearly display the structures within heart including atrioventricular and semilunar valves, valvular rings, atrial and ventricular septa and intracardiac abnormal blood flow such as shunts; cardiovascular digital imaging technique could completely demonstrate the changes of intra- and extra-cardiac structures, especially the alterations of great arteries, coronary arteries and systemic-pulmonary collateral circulations; however misdiagnosis was present with both techniques. Conclusion Combination of echocardiography with cardiovascular digital imaging technique can greatly increase the rate of diagnostic accuracy for complex congenital heart diseases.
, 百拇医药
【Key words】 Heart defects, congenital Angiocardiography Echocardiography Comparative study
在先天性心脏病(简称先心病)的诊断中,二维超声心动图(two-dimensional echocardiography, 2DE)、声学造影以及彩色多普勒技术已广泛应用于临床,并已成为先心病术前诊断的主要方法。MRI与超高速CT等技术的开发与应用,为先心病的诊断提供了新的检查手段,已逐步用于临床。随着心脏外科,尤其是小儿心脏外科的飞速发展,对术前诊断,特别是对复杂先心病诊断的要求越来越高[1,2]。因此,笔者通过与手术结果的对比,探讨心脏大血管数字造影与超声心动图在复杂先心病术前诊断中的作用。
材料与方法
一、 临床资料
, 百拇医药
选择1995年9月至1998年12月间,全部进行了心脏大血管数字造影和超声心动图检查、有完整资料的复杂先心病患者65例,其中35例有手术结果。65例中,男 44例,女 21例,年龄3个月至36岁。体重5~60 kg。患者主要以自幼发现心脏杂音、口唇紫绀、哭闹及活动后加重入院。疾病的诊断是以心脏超声、心血管数字造影以及手术结果作为依据,并以35例有手术证实者作为分析心血管数字造影和超声心动图诊断符合率的依据。复杂先心病的判断标准为:患者存在1个以上的病理生理改变[3]或几种心血管畸形同时存在[4]。65例先心病的病种分布及手术情况见表1。
表1 65例复杂先心病的病种及手术情况(例) 疾病种类
例数
手术
F4
, 百拇医药
11
8
DORV
12
8
SV
7
2
TGA
8
2
CECD
3
3
, http://www.100md.com
CoA
4
3
IoA
1
1
TAPVC
3
3
TA
3
1
DOLV
1
, http://www.100md.com
1
APW
1
1
TRU
8
1
PA+IVS
1
1
DCRV
1
-
EA
, 百拇医药
1
-
合计
65
35
注:F4:法乐四联症;DORV:右心室双出口;SV:单心室;TGA:大动脉转位;CECD:完全性心内膜垫缺损;CoA:主动脉缩窄;IoA:主动脉弓离断;TAPVC:完全性肺静脉异位引流;TA:三尖瓣闭锁;DOLV:左心室双出口;APW:主-肺动脉窗;TRU:共同动脉干;PA+IVS:肺动脉闭锁伴完整室间隔;DCRV:右室双腔心;EA:三尖瓣下移畸形
二、多体位心血管数字造影技术
使用西门子Polydoros 80A型X线心血管造影机,其中包括Hicor数字成像处理系统及Bicor双向“C”形臂摄像系统。常规采用Seldinger技术经右股静脉及动脉分别行选择性右心室、肺动脉、左心室及主动脉造影。对比剂均为非离子型,包括优维显、欧乃派克及安射力等,其用量为1.5~4.0 ml/kg,注射速度18~25 ml/s,注射压力70~ 85 kg/cm2,注射对比剂后0.1秒开始曝光。投照体位包括正侧位、双斜位(右前斜30°+左前斜位60°)、长轴斜位、延长右前斜位(右前斜30°+头向30°)以及四腔位。数字造影采集矩阵512×512,显示矩阵1024×1024,同时摄取常规35 mm电影胶卷,摄取速度为25帧/秒。
, http://www.100md.com
三、 超声心动图检查技术
2DE及彩色多普勒血流图(color Doppler flow imaging,CDFI)的使用仪器为ATL公司MK-600型超声诊断仪及HP-500或1500型彩色多普勒诊断仪,探头频率为2.5或3.5 MHz,所有病例均进行了2DE及CDFI检查。取平卧位或左(右)侧卧位,首先进行2DE多部位、多切面及多方向观察,以判断心房、心室及大血管的位置,心内结构,心脏大小和连接关系,再叠加CDFI观察心内及心外的血流动力学的改变。
结果
一、心血管数字造影、超声心动图及手术结果
本组65例临床诊断中,心血管数字造影诊断58例,诊断符合率89%;心脏超声诊断44例,诊断符合率68%。4例主动脉缩窄中,1例合并室间隔缺损+房间隔缺损;2例合并室间隔缺损+动脉导管未闭及1例合并室间隔缺损+房间隔缺损+动脉导管未闭及永存左上腔静脉。1例主动脉弓离断合并室间隔缺损+动脉导管未闭。1例主-肺动脉窗合并左冠状动脉、降主动脉-右冠状动脉-肺动脉瘘以及动脉导管未闭。65例中35例有手术结果证实,心血管数字造影(图1~5)和超声心动图诊断(图6)结果与手术证实的对比情况见表2。心血管数字造影的诊断符合率为89%(31/35), 心脏超声的诊断符合率为80%(28/35)。
, 百拇医药
图1 法乐四联症合并解剖矫正型大动脉异位(右心室造影),延长右前斜位示右心室流出道、肺动脉瓣及主肺动脉狭窄
图2 右心室双出口侧位右心室造影,示2根大动脉均发自解剖右心室
图3 完全性大动脉转位合并室间隔缺损、右位心。解剖左心室正位造影,左心室居右侧接肺动脉,室间隔缺损形成
图4 主动脉弓离断合并室间隔缺损及动脉导管未闭升主动脉正位造影,显示无名动脉及左颈总动脉显影,左锁骨下动脉未见显影
, http://www.100md.com
图5 共同动脉干Ⅳ型降主动脉正位造影,两侧肺动脉与降主动脉形成侧支循环
图6 完全型心内膜垫缺损超声检查,左侧图为心尖四腔切面,示房间隔下部及室间隔上部回声失落(箭头所示);右侧图为彩色多普勒血流显像:显示二尖瓣、三尖瓣返流。VSD:室间隔缺损;TR:三尖瓣返流;MR:二尖瓣返流
表2 35例心血管数字造影、超声心动图及手术诊断心脏畸形结果(例) 方法
F4
DORV
SV
TGA
CECD
, 百拇医药
CoA
IoA
TAPVC
TA
DOLV
APW
TRU
PA+IVS
手术
8
8
2
2
, http://www.100md.com 3
3
1
3
1
1
1
1
1
心血管数字造影
8
6
1
2
, 百拇医药
3
3
1
3
1
0
1
1
1
超声心动图
8
7
2
2
, 百拇医药
3
0
1
2
1
0
0
1
1
注:F4:法乐四联症;DORV:右心室双出口;SV:单心室;TGA:大动脉转位;CECD:完全性心内膜垫缺损;CoA:主动脉缩窄;IoA:主动脉弓离断;TAPVC:完全性肺静脉异位引流;TA:三尖瓣闭锁;DOLV:左心室双出口;APW:主-肺动脉窗;TRU:共同动脉干;PA+IVS:肺动脉闭锁伴完整室间隔
, http://www.100md.com
CDFI检查:显示心房水平右向左分流8例,左向右分流10例;肺动脉瓣上湍流21例;心室水平双向分流31例;心室水平左向右分流11例;房室水平双向分流4例;降主动脉向肺动脉分流6例;三尖瓣返流13例;肺动脉瓣返流10例;主动脉返流3例;永存动脉干向肺动脉分流1例;体肺侧支循环形成2例。
二、合并心内外畸形情况
本组病例合并15种其他畸形,每种病例除主要的病理改变外,均含2种或2种以上的畸形。两种检查技术显示的主要畸形及其例数见表3。
表3 心血管数字造影和心脏超声心动图显示的主要畸形及其例数 方法
VSD
ASD
PDA
, 百拇医药
体肺侧支形成
PS
右位心
TGA
右旋心
单心房
心脏超声心动图
39
18
10
7
7
4
, http://www.100md.com 5
4
1
心血管数字造影
21
10
10
7
7
4
4
4
1
注:VSD:室间隔缺损;ASD:房间隔缺损;PDA:动脉导管未闭;PS:肺动脉狭窄(含瓣及瓣上下狭窄);TGA:大动脉转位
, 百拇医药
2DE显示的房间隔缺损又进一步分为混合型7例,继发孔型6例,中央型5例;还发现卵圆孔未闭9例。超声发现的其他畸形包括部分肺静脉异位引流2例;永存左上腔静脉2例;共同房室瓣3例;左冠状动脉-肺动脉瘘1例;冠状静脉窦扩张1例;二尖瓣前叶裂2例以及三尖瓣大瓣裂4例。心血管数字成像显示的其他畸形还包括右弓右降6例;弓部血管镜像排列4例;主动脉缩窄1例;左肺动脉狭窄1例;下腔静脉异常连接1例;左肺下静脉囊状扩张及狭窄并存1例,垂直静脉、横静脉狭窄1例;左冠状动脉-右冠状动脉和降主动脉-右冠状动脉-肺动脉瘘1例;肺动脉闭锁1例以及三尖瓣闭锁1例。
三、病例的误诊情况
心脏超声检查将1例法乐四联症误诊Ⅲ型共同动脉干;2例右心室双出口分别误诊为完全性大动脉转位和室间隔缺损+肺动脉狭窄;3例单心室中的2例误诊为右心室双出口,1例误诊为矫正性大动脉转位;2例大动脉转位分别误诊为右心室双出口及三尖瓣闭锁;4例主动脉缩窄误诊为室间隔缺损+动脉导管未闭、室间隔缺损+房间隔缺损、室间隔缺损+房间隔缺损+动脉导管未闭及主动脉弓离断;4例Ⅳ型共同动脉干误诊为假性动脉干以及将1例主-肺动脉窗仅诊为右冠状动脉-肺动脉瘘。心血管数字造影将2例右心室双出口分别误诊为完全性大动脉转位和室间隔缺损+肺动脉狭窄;2例单心室分别误诊为右心室双出口和矫正性大动脉转位。另外,两种技术均将1例法乐四联症误诊为完全性大动脉转位合并右旋心+室间隔缺损+肺动脉狭窄。
, 百拇医药
讨论
一、心脏超声在先心病诊断中的作用
目前,在心脏疾病的诊断、疗效观察和实验研究中,特别是对先心病的诊断、治疗管理(treatment management)等方面,心脏超声已发展成为非常重要的检查方法。据报道2DE能准确地显示心腔、瓣膜、房室连接、心室大动脉连接的异常,其对心房位置异常确定的敏感性为100%,特异性为99%;对心室位置特异性以及心室与动脉连接类型的诊断结果与心血管造影符合率达98%[1,5,6]。本组65例患者都先做了超声心动图检查,为进一步检查提供了参考资料,其与手术的符合率达80%。超声心动图能准确清晰地观察瓣膜的改变,包括瓣膜的结构与活动、有无瓣膜的发育不良、下移、闭锁、关闭不全、脱垂及裂缺。本组资料显示超声心动图除发现重要的病理改变外,还进一步显示了共同房室瓣、二尖瓣和肺动脉瓣闭锁、二尖瓣前叶裂、三尖瓣大瓣裂、肺动脉瓣膜增厚、瓣口狭窄、三尖瓣下移以及乳头肌发育异常等多种合并畸形,为手术方式的选择及术后的疗效评价提供了重要依据。房间隔卵圆窝部位组织薄弱,当超声束与之平行时易发生中断的假象,尽管这样,其对房间隔的观察仍是比较清楚的,本组发现房间隔缺损18例,以混合型最多,还发现卵圆孔未闭9例。CDFI技术是2DE的重要补充,可以进一步发现心脏及大血管的血流动力学的异常,对决定是否手术及其类型无疑具有重要意义。
, 百拇医药
尽管超声心动图具有安全、便携、实时及多功能的特点,但是,在实际应用中由于心脏大部分及大血管被骨骼(如胸骨)及肺组织遮盖,超声波受到肺内气体反射及胸骨等的影响,使超声检查受到限制[1,5],特别是心脏超声检查具有明显的操作者依赖性,因而使其临床诊断准确率及其与手术符合率下降。本组临床及手术符合率分别仅为68%和80%。2DE对心房与心室的定位较容易,而对大血管的起源位置的判断由于受患者心脏位置、房间隔缺损大小和室间隔的位置以及检查部位和切面选择等因素的影响,易造成判断的难度。本组有2例大动脉转位因房间隔缺损较大(缺损口径大于2.0 cm)而误诊为右心室双出口;对主动脉及主动脉弓病变诊断也存在一定限度,较难区分肺动脉闭锁+房间隔缺损与共同动脉干,国内以前未见超声诊断共干Ⅳ型的报道[7],对严重的主动脉缩窄易误诊为主动脉弓离断。本组超声对3例主动脉缩窄均发生误诊,4例Ⅳ型共干误诊为假性共干。
二、心血管数字造影在复杂先心病诊断中的作用
, http://www.100md.com
常规X线心血管电影造影技术一直被认为是评价复杂先心病的重要手段,它可以全面、详细、直观地显示心脏及大血管的解剖异常和血流动力学的改变,对冠状动脉解剖的评价作用仍是其他影像技术不能取代的[8,9]。但是,它也存在着某些缺点,如造影图像不能立刻阅读,必须要等至少15~20分钟后才可应用,这对于心脏介入工作的开展是不利的;另外,还存在密度测量非线性及定量分析不方便等缺点。而数字血管造影技术的优点是图像清晰,可以实时显示、回放及长期储存[9,10]。它克服了X线大片造影不能动态观察以及常规X线电影造影图像不能即刻阅读的缺点,这对于先心病的全面检查、提高诊断符合率以及广泛开展心血管介入治疗无疑是有用的。本组65例数字造影的临床诊断准确率为89%,与手术的诊断符合率为89%,两项指标均高于超声检查。在实际应用中,这项技术除可以全面显示心脏和大血管的结构、大小、形状、瓣环、瓣膜、冠状动脉解剖以及心脏与瓣膜的功能外,还可以清晰显示大血管的起源、体肺侧支的起源、走行、形态以及远端的情况。本组资料显示,心血管数字造影技术除证实了主要病变如主-肺动脉窗外,还进一步清楚显示了左冠状动脉-右冠状动脉和降主动脉-右冠状动脉-肺动脉瘘及其瘘口,而超声心动图仅发现右冠状动脉-肺动脉瘘,未显示瘘口;数字造影技术较容易区分主动脉弓的病变,如主动脉缩窄与主动脉弓离断,而超声则将1例重度主动脉缩窄误诊为主动脉弓离断;体肺侧支的评价对于决定手术方式、减少术中出血是有帮助的,本研究显示超声仅能发现体肺侧支的存在,不能进行全面观察,数字造影技术较容易确定体肺侧支的全部情况;另外,数字造影技术较容易诊断共同动脉干及其类型,能清楚显示心室流出道、房室瓣以及肺动脉主干及其分支。借助定量分析软件可进一步确定血管病变的性状以及心脏的功能。当然,数字造影技术也存在一些缺点。如有创,对比剂对人体有害,检查设备价格昂贵等,其所显示的是复合图像,解剖结构间存在着相互重叠,不能进行横断面显示,也存在着操作者依赖性。
, 百拇医药
三、两种检查技术的配合应用
目前,复杂先心病的外科治疗进步很快,且日益向难度大、过去认为是“绝症”的病种发展,手术年龄也明显提前[11]。因此,对复杂先心病术前诊断的准确性要求越来越高,对主要病变及其合并畸形的观察也应清楚全面。在实际工作中,笔者认为心脏超声检查是基础,可提出初步诊断,再根据要求有选择性地实施心血管数字造影检查。心脏超声在评价心内结构上具有优势,而数字造影技术在观察心外大血管及冠状动脉更具优势,两种检查技术的有机组合必将大大提高诊断准确率。
参考文献
1 王惠玲,主编.小儿先天性心脏病学.北京:北京出版社,1998.259-271.
2 Boxt LM,Reagan K,Katz J.Angiocardiography in the diagnosis of congenital heart disease. Radiol Clin North Am , 1994,32:435-460.
, http://www.100md.com
3 王惠玲,主编.小儿先天性心脏病学.北京:北京出版社,1998.1.
4 陈灏珠,主编.中国医学百科全书 心脏病学.上海:上海科学技术出版社,1982.7.
5 Geiser EA.Echocardiography.In: Marcus ML, Schelbert HR, Skorton DJ, eds. Cardiac imaging.Philadelphia: Saunders,1991.348-364.
6 Hartnell GG. Developments in echocardiography. Radiol Clin North Am, 1994,32:461-475.
7 姜宏,李越,赵金华,等.超声心动图诊断共同动脉干Ⅳ型二例报告.中华超声影像学杂志,1999,8:57.
, 百拇医药
8 刘玉清.心脏病影像学综合诊断.中国循环杂志,1992,7:226-227.
9 Whiting JS.Digital angiography.In: Marcus ML, Schelbert HR,Skorton DJ,eds. Cardiac imaging.Philadelphia: Saunders,1991.281-290.
10 王溶泉,主编.医用大型X线机系统.北京:人民军医出版社,1995.388-395.
11 于存涛,刘迎龙.重症复杂先天性心脏畸形的治疗进展(综述).国外医学心血管疾病分册,1999,26:96-99.
收稿:1999-05-07
修回:1999-07-01, 百拇医药