儿童白血病肾浸润的CT和B超表现
作者:李欣 李林 贾万英 杨志勇 彭文秀
单位:300074 天津市儿童医院CT室(李欣、杨志勇),超声室(李林、彭文秀),血液科(贾万英)
关键词:白血病;肾;淋巴细胞,肿瘤浸润;体层摄影术,X线计算机;超声检查
中华放射学杂志991113
【摘要】 目的 结合文献探讨白血病肾浸润的病理与典型CT、B超表现。方法 回顾分析11例经骨髓穿刺检查确诊的白血病肾浸润的CT、B超表现。急性淋巴细胞白血病(ALL) 8例,急性非淋巴细胞白血病(ANLL) 3例,其中5例同时行增强CT检查,6例同期行B超检查,5例化疗后行CT或B超复查。结果 11例中双肾浸润9例,其中ALL 8例、ANLL 1例,弥漫浸润4例,多发结节浸润5例。单肾浸润2例,均为ANLL。白血病肾浸润多为双肾同时受累,白血病肾浸润程度及多脏器受累的范围与白血病类型相关,与病程及患儿年龄无关。结论 CT、B超检查不仅可明确白血病肾浸润,而且可观察并发症与化疗后反应情况。双肾多发结节浸润表现最典型。急性淋巴细胞白血病浸润最显著。
, http://www.100md.com
Leukemic infiltration of the kidneys in children:CT、US manifestation
LI Xin*, LI Lin, JIA Wanying, et al.
*Department of CT, Tianjin Children's Hospital, Tianjin 300074
【Abstract】 Objective To discuss the CT、US manifestations correlated with the pathologic findings of leukemic infiltration of the kidneys. Methods The CT、US manifestations in 11 cases of leukemic infiltration of the kidneys proved by bone marrow examination were studied retrospectively, in which 8 cases were acute lymphocytic leukemia(ALL) and 3 cases were acute non-lymphocytic leukemia. All patients received plain scans, among which 5 cases had enhancement with intravenous contrast medium, and 6 cases also examined by ultrasonography(US). 5 cases were examined by CT or US after chemotherapy. Results 8 cases of ALL and 1 case of ANLL showed bilateral kidney infiltration, among which diffuse infiltration was seen in 4 cases and multiple nodules in 5 cases. In addition, 2 cases of ANLL showed single nodular infiltration. Leukemic infiltration of kidney frequently had bilateral involvement. The degree of renal infiltration and viseral involvement correlated with the type of leukemia, but not with the ages of patient and course of the disease. Conclusion CT、US is useful in demonstrating occult renal leukemic infiltration, response to treatment and complications of chemotherapy, such as bleeding or infection. The typical features of renal infiltration are bilateral multiple nodular involvement, renal infiltration has a peak incidence in ALL.
, 百拇医药
【Key words】 Leukemia Kidney Lyphocytes, tumor-infiltrating Tomography, X-ray computed Ultrasonography
白血病居小儿恶性肿瘤首位,肿瘤细胞不仅影响骨髓还可广泛侵犯全身其他器官,白血病肾浸润主要见于儿童期,以往有关这方面的影像学报道较少,笔者回顾分析11例经骨髓穿刺检查确诊的白血病肾浸润的CT、B超表现,结合文献探讨白血病肾浸润的病理与典型CT、B超表现。
材料与方法
自1993年3月至1998年12月间,经骨髓穿刺检查确诊的白血病患儿11例,均由CT、B超检查明确肾受累,其中男6例,女5例,年龄10个月至12岁(平均6.5岁)。10例为初诊时行CT、B超检查,病程3天至1个月,另1例为确诊白血病后临床治疗缓解7年,再度复发时行CT检查。11例中急性淋巴细胞白血病(ALL)8例,急性非淋巴细胞白血病(ANLL)3例。主要临床表现为发热、淋巴结肿大、肝脾肿大、皮肤出血点和贫血等。
, http://www.100md.com
使用Picker IQ CT机,扫描范围自膈肌至肾下极,间隔10 mm、层厚10 mm,感兴趣区间隔5 mm、层厚5 mm。扫描野200~300 mm2,扫描时间2秒,检查前30分钟口服1%~2%泛影葡胺水溶液50~300 ml。11例中5例行增强检查,对比剂采用欧乃派克370,剂量为1.5~2.0 ml/kg,使用MCT311 MarkⅡ高压注射器,单一时相延时25秒,流率1.0 ml/s。同期B超检查6例,使用GE RT 3000或ATL Apogee 800。 超声显像仪,探头频率5 MHz或7~3 MHz,扫描双肾。
结果
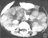
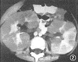
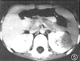
11例白血病肾浸润患儿中,9例为双肾浸润,其中双肾弥漫浸润4例,双肾多发结节浸润5例,9例中ALL 8例,ANLL 1例。CT平扫见弥漫浸润为两肾轮廓增大,肾包膜完整光滑,肾实质明显增厚,肾实质密度无异常,肾窦形态基本正常,增强后肾盂、肾盏显影轻度延迟。B超显示肾影增大、肾实质增厚的同时还显示回声均匀增强。 多发结节浸润的平扫CT见肾实质内多发的略高密度结节影,结节间可见线状低密度影将其分开(图1),结节突起使肾表面呈轻度分叶状。增强后肾实质内结节呈轻微强化,较平扫增长18 HU,密度均匀,结节内无低密度坏死区或出血,结节间见强化后受结节挤压变形的肾实质与集合系统,呈高密度分支状影(图2),肾实质强化程度较正常减低,在结节间自肾被膜下延伸至肾窦,肾盏变形拉长,肾盂显影明显延迟。B超显示肾实质回声增强,内见多发大小不等的结节(图3),中等强度回声,肾结构不清。化疗后复查,CT平扫显示双肾大小、形态基本恢复正常。本组2例呈单发结节浸润,均为ANLL。平扫CT见肾实质局限增厚,表面隆起,密度较正常肾实质略高,境界模糊(图4),增强后见肾实质内单发结节状影轻微强化,较平扫增长22HU,结节与正常肾实质间界限清楚(图5),肾被膜完整。B超显示肾实质内孤立中等强度回声结节(图6),肾结构受挤压变形。化疗后复查B超显示肾形态基本恢复正常。 本组化疗后5例复查CT与B超,显示肾轮廓明显缩小,肾实质厚度、密度或回声接近正常。11例患儿肝、脾均有不同程度增大。8例ALL患儿CT或B超检查同时显示胸腺浸润1例;肺及胸膜浸润4例;肾上腺浸润2例;腹膜后淋巴结浸润1例。3例ANLL患儿除肝、脾增大外CT或B超检查未显示其他脏器浸润。
, 百拇医药
图1 男,3岁。急性淋巴细胞白血病。双肾多发结节浸润。CT平扫显示两肾轮廓增大,肾实质内多发略高密度结节,结节间线状低密度影
图2 与图1同一病例。增强CT显示结节密度均匀,结节间残存肾实质呈分支状强化,肾盂显影延迟
图3 与图1同一病例。B超显示肾实质内多发中等强度均匀回声结节(M处),肾实质受挤压
图4 女,8岁。急性非淋巴细胞白血病。单发结节肾浸润。平扫显示左肾实质局限增厚,密度较正常肾实质略高,边界模糊
, http://www.100md.com
图5 与图4同一病例。增强CT显示左肾实质内单发结节影,密度均匀
图6 与图4同一病例。B超显示肾实质内孤立的中等强度回声结节
讨论
肿瘤细胞常浸润肝、脾、淋巴结等网状内皮系统,而尸检发现白血病肾浸润发生率可达52%~87%[1-3]。如此高的肾浸润发生率可能与肾脏在胚胎期也属造血组织有关。11例患儿除具有发热,肝、脾、淋巴结肿大,皮肤出血等症状外,均无高血压等肾损害症状,实验室检查仅1例尿蛋白(++);1例血尿素氮轻度异常,余者均在正常范围内。白血病肾浸润常处于亚临床状态,临床症状与实验室检查多不能提示肾浸润,因此影像学检查是明确白血病肾浸润的有效方法。
1.CT和B超表现的病理基础:本组双肾浸润病例中,8例为ALL,1例为ANLL,均合并多脏器浸润。另2例单发结节肾浸润为ANLL。白血病肾浸润多为双肾同时受累,以急性淋巴细胞白血病肾浸润最显著。白血病肾浸润CT与B超检查阳性者主要表现为双肾弥漫浸润、多发结节浸润和单发结节浸润3种表现。白血病细胞在皮髓质的间质内弥漫浸润,肾单位间隔增宽且轻度受挤压为弥漫浸润的病理变化[3,4],此时CT仅表现为肾实质均匀增厚,肾轮廓普遍增大,肾结构保存,肾实质密度可无明显改变,B超回声可均匀增强。随病变进一步发展,位于肾间质内的肿瘤细胞迅速增殖,融合成结节状肿块,结节大小不一,无包膜,为多发结节肾浸润,平扫CT呈等密度或略高密度,适当降低窗宽有利于结节显示。结节间的线状低密度影为受挤压的肾实质与集合系统。增强后,结节轻度强化,与肾实质相比呈低密度。肿瘤细胞可直接浸润肾单位,造成肾单位变性、萎缩和坏死,同时肿瘤细胞形成的肿块压迫肾小管移位,影响肾脏的微循环,继而导致肾结构破坏[ 4,5]。这些病理变化使增强后肾实质强化明显减弱,在双肾浸润的病例尤为显著。多发结节浸润者残存受挤压变形的肾实质与集合系统呈分支状高密度影,位于结节之间,其显影与排空时间均延迟。肾盂、肾盏受肿块挤压变形拉长,甚至肾窦变形或积水。B超可同时显示上述变化。2例单发结节肾浸润均为ANLL,且不伴随其他脏器的浸润。白血病肾浸润的程度及多脏器受累的范围与白血病类型相关,与病程及患儿年龄无关。
, http://www.100md.com
肿瘤细胞不仅对肾间质及实质浸润,也可以侵及肾血管、输尿管和肾周组织[3,6]。腹膜后淋巴结受浸润增大可压迫肾蒂造成肾缺血,压迫输尿管造成肾盂积水,CT与B超检查不仅可以明确白血病肾浸润,还可同时观察白血病的并发症与化疗后的反应情况,出血与感染是最常见的并发症。化疗后大量肿瘤细胞死亡,肾脏轮廓与肾实质病变可迅速恢复正常,再度复发时,肾仍可受浸润增大。
2.鉴别诊断:白血病肾浸润需要与儿童期多种累及肾脏的病变相鉴别,白血病弥漫浸润需与肝糖原累积症Ⅰ型、肝硬化后肾肿大、急性肾小球肾炎、糖尿病、淀粉样变性、血友病等相鉴别[3,7-9],这些病变均可造成肾弥漫性增大,临床表现与实验室检查是主要鉴别依据。双肾多发结节浸润需与淋巴瘤、肾母细胞瘤病等鉴别;单发结节浸润需与肾母细胞瘤鉴别,这些病变影像学表现相似,骨髓穿刺检查结合临床表现是主要鉴别依据。白血病肾浸润的多种表现中以双肾多发结节病变、残存肾实质增强与排空延迟最为典型,CT与B超不仅可提示诊断,还可作为临床观察治疗反应与并发症的有效方法之一。
, 百拇医药
参考文献
1 王叔咸,吴阶平,主编. 肾脏病学.北京:人民卫生出版社,1987.653-656.
2 董德长,主编. 内科各系统疾病与肾脏. 北京:人民卫生出版社,1996.443-447.
3 Pollack HM, Banner MP, Amendola MA. Other malignant neoplasms of the renal parenchyma. Semin Roentgenol, 1987, 22:260-274.
4 Takazoe K, Abe A, Kawamura T,et al. Persistent renal failure in acute myelomonocytic leukemia. Nephron,1996, 73: 728-729.
, 百拇医药
5 Dabbs DJ, Striker LMM, Mignom F, et al. Glomerular lesions in lymphomas and leukemias. Am J Med,1986, 80:63-70.
6 Castellino RA, Marglin S, Blank N. Hodgkin disease, the non-Hodgkin lymphomas, and the leukemias in the retroperitoneum. Semin Roentgenol, 1980, 15:188-301.
7 Buscarini L, Cavanna L. Ultrasound and ultrasonically guided biopsy in oncohematology. Haematologica,1991,76:53-64.
8 Bagg MD, Wettaufer JN, Willadsen DS, et al. Granulocytic sarcoma presenting as a diffuse renal mass before hematological manifestation of acute myelogenous leukemia. J Urol, 1994, 152:2092-2093.
9 Nishikubo C, Kunkel LA, Figlin R, et al. An association between renal cell carcinoma and lymphoid malignancies:a case series of eight patients. Cancer,1996,78:2421-2426.
收稿:1999-01-28
修回:1999-06-10, 百拇医药
单位:300074 天津市儿童医院CT室(李欣、杨志勇),超声室(李林、彭文秀),血液科(贾万英)
关键词:白血病;肾;淋巴细胞,肿瘤浸润;体层摄影术,X线计算机;超声检查
中华放射学杂志991113
【摘要】 目的 结合文献探讨白血病肾浸润的病理与典型CT、B超表现。方法 回顾分析11例经骨髓穿刺检查确诊的白血病肾浸润的CT、B超表现。急性淋巴细胞白血病(ALL) 8例,急性非淋巴细胞白血病(ANLL) 3例,其中5例同时行增强CT检查,6例同期行B超检查,5例化疗后行CT或B超复查。结果 11例中双肾浸润9例,其中ALL 8例、ANLL 1例,弥漫浸润4例,多发结节浸润5例。单肾浸润2例,均为ANLL。白血病肾浸润多为双肾同时受累,白血病肾浸润程度及多脏器受累的范围与白血病类型相关,与病程及患儿年龄无关。结论 CT、B超检查不仅可明确白血病肾浸润,而且可观察并发症与化疗后反应情况。双肾多发结节浸润表现最典型。急性淋巴细胞白血病浸润最显著。
, http://www.100md.com
Leukemic infiltration of the kidneys in children:CT、US manifestation
LI Xin*, LI Lin, JIA Wanying, et al.
*Department of CT, Tianjin Children's Hospital, Tianjin 300074
【Abstract】 Objective To discuss the CT、US manifestations correlated with the pathologic findings of leukemic infiltration of the kidneys. Methods The CT、US manifestations in 11 cases of leukemic infiltration of the kidneys proved by bone marrow examination were studied retrospectively, in which 8 cases were acute lymphocytic leukemia(ALL) and 3 cases were acute non-lymphocytic leukemia. All patients received plain scans, among which 5 cases had enhancement with intravenous contrast medium, and 6 cases also examined by ultrasonography(US). 5 cases were examined by CT or US after chemotherapy. Results 8 cases of ALL and 1 case of ANLL showed bilateral kidney infiltration, among which diffuse infiltration was seen in 4 cases and multiple nodules in 5 cases. In addition, 2 cases of ANLL showed single nodular infiltration. Leukemic infiltration of kidney frequently had bilateral involvement. The degree of renal infiltration and viseral involvement correlated with the type of leukemia, but not with the ages of patient and course of the disease. Conclusion CT、US is useful in demonstrating occult renal leukemic infiltration, response to treatment and complications of chemotherapy, such as bleeding or infection. The typical features of renal infiltration are bilateral multiple nodular involvement, renal infiltration has a peak incidence in ALL.
, 百拇医药
【Key words】 Leukemia Kidney Lyphocytes, tumor-infiltrating Tomography, X-ray computed Ultrasonography
白血病居小儿恶性肿瘤首位,肿瘤细胞不仅影响骨髓还可广泛侵犯全身其他器官,白血病肾浸润主要见于儿童期,以往有关这方面的影像学报道较少,笔者回顾分析11例经骨髓穿刺检查确诊的白血病肾浸润的CT、B超表现,结合文献探讨白血病肾浸润的病理与典型CT、B超表现。
材料与方法
自1993年3月至1998年12月间,经骨髓穿刺检查确诊的白血病患儿11例,均由CT、B超检查明确肾受累,其中男6例,女5例,年龄10个月至12岁(平均6.5岁)。10例为初诊时行CT、B超检查,病程3天至1个月,另1例为确诊白血病后临床治疗缓解7年,再度复发时行CT检查。11例中急性淋巴细胞白血病(ALL)8例,急性非淋巴细胞白血病(ANLL)3例。主要临床表现为发热、淋巴结肿大、肝脾肿大、皮肤出血点和贫血等。
, http://www.100md.com
使用Picker IQ CT机,扫描范围自膈肌至肾下极,间隔10 mm、层厚10 mm,感兴趣区间隔5 mm、层厚5 mm。扫描野200~300 mm2,扫描时间2秒,检查前30分钟口服1%~2%泛影葡胺水溶液50~300 ml。11例中5例行增强检查,对比剂采用欧乃派克370,剂量为1.5~2.0 ml/kg,使用MCT311 MarkⅡ高压注射器,单一时相延时25秒,流率1.0 ml/s。同期B超检查6例,使用GE RT 3000或ATL Apogee 800。 超声显像仪,探头频率5 MHz或7~3 MHz,扫描双肾。
结果
11例白血病肾浸润患儿中,9例为双肾浸润,其中双肾弥漫浸润4例,双肾多发结节浸润5例,9例中ALL 8例,ANLL 1例。CT平扫见弥漫浸润为两肾轮廓增大,肾包膜完整光滑,肾实质明显增厚,肾实质密度无异常,肾窦形态基本正常,增强后肾盂、肾盏显影轻度延迟。B超显示肾影增大、肾实质增厚的同时还显示回声均匀增强。 多发结节浸润的平扫CT见肾实质内多发的略高密度结节影,结节间可见线状低密度影将其分开(图1),结节突起使肾表面呈轻度分叶状。增强后肾实质内结节呈轻微强化,较平扫增长18 HU,密度均匀,结节内无低密度坏死区或出血,结节间见强化后受结节挤压变形的肾实质与集合系统,呈高密度分支状影(图2),肾实质强化程度较正常减低,在结节间自肾被膜下延伸至肾窦,肾盏变形拉长,肾盂显影明显延迟。B超显示肾实质回声增强,内见多发大小不等的结节(图3),中等强度回声,肾结构不清。化疗后复查,CT平扫显示双肾大小、形态基本恢复正常。本组2例呈单发结节浸润,均为ANLL。平扫CT见肾实质局限增厚,表面隆起,密度较正常肾实质略高,境界模糊(图4),增强后见肾实质内单发结节状影轻微强化,较平扫增长22HU,结节与正常肾实质间界限清楚(图5),肾被膜完整。B超显示肾实质内孤立中等强度回声结节(图6),肾结构受挤压变形。化疗后复查B超显示肾形态基本恢复正常。 本组化疗后5例复查CT与B超,显示肾轮廓明显缩小,肾实质厚度、密度或回声接近正常。11例患儿肝、脾均有不同程度增大。8例ALL患儿CT或B超检查同时显示胸腺浸润1例;肺及胸膜浸润4例;肾上腺浸润2例;腹膜后淋巴结浸润1例。3例ANLL患儿除肝、脾增大外CT或B超检查未显示其他脏器浸润。
, 百拇医药
图1 男,3岁。急性淋巴细胞白血病。双肾多发结节浸润。CT平扫显示两肾轮廓增大,肾实质内多发略高密度结节,结节间线状低密度影
图2 与图1同一病例。增强CT显示结节密度均匀,结节间残存肾实质呈分支状强化,肾盂显影延迟
图3 与图1同一病例。B超显示肾实质内多发中等强度均匀回声结节(M处),肾实质受挤压
图4 女,8岁。急性非淋巴细胞白血病。单发结节肾浸润。平扫显示左肾实质局限增厚,密度较正常肾实质略高,边界模糊
, http://www.100md.com
图5 与图4同一病例。增强CT显示左肾实质内单发结节影,密度均匀
图6 与图4同一病例。B超显示肾实质内孤立的中等强度回声结节
讨论
肿瘤细胞常浸润肝、脾、淋巴结等网状内皮系统,而尸检发现白血病肾浸润发生率可达52%~87%[1-3]。如此高的肾浸润发生率可能与肾脏在胚胎期也属造血组织有关。11例患儿除具有发热,肝、脾、淋巴结肿大,皮肤出血等症状外,均无高血压等肾损害症状,实验室检查仅1例尿蛋白(++);1例血尿素氮轻度异常,余者均在正常范围内。白血病肾浸润常处于亚临床状态,临床症状与实验室检查多不能提示肾浸润,因此影像学检查是明确白血病肾浸润的有效方法。
1.CT和B超表现的病理基础:本组双肾浸润病例中,8例为ALL,1例为ANLL,均合并多脏器浸润。另2例单发结节肾浸润为ANLL。白血病肾浸润多为双肾同时受累,以急性淋巴细胞白血病肾浸润最显著。白血病肾浸润CT与B超检查阳性者主要表现为双肾弥漫浸润、多发结节浸润和单发结节浸润3种表现。白血病细胞在皮髓质的间质内弥漫浸润,肾单位间隔增宽且轻度受挤压为弥漫浸润的病理变化[3,4],此时CT仅表现为肾实质均匀增厚,肾轮廓普遍增大,肾结构保存,肾实质密度可无明显改变,B超回声可均匀增强。随病变进一步发展,位于肾间质内的肿瘤细胞迅速增殖,融合成结节状肿块,结节大小不一,无包膜,为多发结节肾浸润,平扫CT呈等密度或略高密度,适当降低窗宽有利于结节显示。结节间的线状低密度影为受挤压的肾实质与集合系统。增强后,结节轻度强化,与肾实质相比呈低密度。肿瘤细胞可直接浸润肾单位,造成肾单位变性、萎缩和坏死,同时肿瘤细胞形成的肿块压迫肾小管移位,影响肾脏的微循环,继而导致肾结构破坏[ 4,5]。这些病理变化使增强后肾实质强化明显减弱,在双肾浸润的病例尤为显著。多发结节浸润者残存受挤压变形的肾实质与集合系统呈分支状高密度影,位于结节之间,其显影与排空时间均延迟。肾盂、肾盏受肿块挤压变形拉长,甚至肾窦变形或积水。B超可同时显示上述变化。2例单发结节肾浸润均为ANLL,且不伴随其他脏器的浸润。白血病肾浸润的程度及多脏器受累的范围与白血病类型相关,与病程及患儿年龄无关。
, http://www.100md.com
肿瘤细胞不仅对肾间质及实质浸润,也可以侵及肾血管、输尿管和肾周组织[3,6]。腹膜后淋巴结受浸润增大可压迫肾蒂造成肾缺血,压迫输尿管造成肾盂积水,CT与B超检查不仅可以明确白血病肾浸润,还可同时观察白血病的并发症与化疗后的反应情况,出血与感染是最常见的并发症。化疗后大量肿瘤细胞死亡,肾脏轮廓与肾实质病变可迅速恢复正常,再度复发时,肾仍可受浸润增大。
2.鉴别诊断:白血病肾浸润需要与儿童期多种累及肾脏的病变相鉴别,白血病弥漫浸润需与肝糖原累积症Ⅰ型、肝硬化后肾肿大、急性肾小球肾炎、糖尿病、淀粉样变性、血友病等相鉴别[3,7-9],这些病变均可造成肾弥漫性增大,临床表现与实验室检查是主要鉴别依据。双肾多发结节浸润需与淋巴瘤、肾母细胞瘤病等鉴别;单发结节浸润需与肾母细胞瘤鉴别,这些病变影像学表现相似,骨髓穿刺检查结合临床表现是主要鉴别依据。白血病肾浸润的多种表现中以双肾多发结节病变、残存肾实质增强与排空延迟最为典型,CT与B超不仅可提示诊断,还可作为临床观察治疗反应与并发症的有效方法之一。
, 百拇医药
参考文献
1 王叔咸,吴阶平,主编. 肾脏病学.北京:人民卫生出版社,1987.653-656.
2 董德长,主编. 内科各系统疾病与肾脏. 北京:人民卫生出版社,1996.443-447.
3 Pollack HM, Banner MP, Amendola MA. Other malignant neoplasms of the renal parenchyma. Semin Roentgenol, 1987, 22:260-274.
4 Takazoe K, Abe A, Kawamura T,et al. Persistent renal failure in acute myelomonocytic leukemia. Nephron,1996, 73: 728-729.
, 百拇医药
5 Dabbs DJ, Striker LMM, Mignom F, et al. Glomerular lesions in lymphomas and leukemias. Am J Med,1986, 80:63-70.
6 Castellino RA, Marglin S, Blank N. Hodgkin disease, the non-Hodgkin lymphomas, and the leukemias in the retroperitoneum. Semin Roentgenol, 1980, 15:188-301.
7 Buscarini L, Cavanna L. Ultrasound and ultrasonically guided biopsy in oncohematology. Haematologica,1991,76:53-64.
8 Bagg MD, Wettaufer JN, Willadsen DS, et al. Granulocytic sarcoma presenting as a diffuse renal mass before hematological manifestation of acute myelogenous leukemia. J Urol, 1994, 152:2092-2093.
9 Nishikubo C, Kunkel LA, Figlin R, et al. An association between renal cell carcinoma and lymphoid malignancies:a case series of eight patients. Cancer,1996,78:2421-2426.
收稿:1999-01-28
修回:1999-06-10, 百拇医药