使用磁共振成像技术在体测定正常人脑结合水和自由水质子密度
作者:李松柏 黄砚玲 高思佳 高振韬 赵宇东
单位:110001 沈阳,中国医科大学第一临床学院放射线科(李松柏、黄砚玲、高思佳);沈阳市第一人民医院放射线科(高振韬);中国医科大学公共卫生学院卫生统计教研室(赵宇东)
关键词:脑;诊断显像;磁共振成像;数据说明,统计
中华放射学杂志991115
【摘要】 目的 活体状态下测定人脑结合水和自由水密度。方法 将梯度回波序列信号强度公式代入磁化传递率计算公式中,推导出一个结合水和自由水密度的计算公式。测定7名正常人脑各种组织结构在式中的参数,包括质子密度、磁化传递率(MTR)及附加和不附加偏共振(off-resonance)射频脉冲时测定的两种T1弛豫时间。将这些参数代入新公式中计算出结合水和自由水质子密度。结果 脑灰质的结合水和自由水密度分别是565.7±115.9和811.5±111.0,高于脑白质的结合水密度512.3±102.3和自由水密度632.5±65.5(P<0.01),脑灰质MTR为0.263±0.029,低于脑白质的0.344±0.028 (P<0.01)。结论 结合水是区别于MTR的另一个分辨组织性状的参数,新公式在数学上指出了两者之间的联系。
, 百拇医药
In vivo measurement of bound and free water density in normal human brain by MRI
LI Songbai,HUANG Yanling,GAO Sijia,et al.
Department of Radiology,the First Affiliated Hospital, China Medical University, Shenyang 110001
【Abstract】 Objective To measure bound and free water density of human brain in vivo. Methods New formulas were developed to obtain bound and free water density. Some parameters in those formulas that can be measured are proton density, magnetization transfer ratio (MTR), T1 relaxation times both with and without off-resonance irradiation. Seven normal volunteers were studied using various pulse sequences. The bound and free water density in white matter, gray matter, and cerebrospinal fluid (CSF) were calculated. Results The bound and free water densities were 565.7±115.9 and 811.5±111.0 in gray matter, higher than those (512.3±102.3 and 632.5±65.5)in white mater (P<0.01). While MTR was 0.263±0.029 in gray matter lower than that (0.344±0.028)in white matter (P<0.01). Conclusion Bound water is another parameter for tissue characterization which is different from MTR. Our bound water formula indicated their relationship in mathematics.
, 百拇医药
【Key words】 Brain Diagnostic imaging Magnetic resonance imaging Data interpretation,statistical
水是活体组织中最重要的组成成分之一,水的存在状态决定着活体的所有机能和代谢。所以,很早就有学者进行结合水和自由水的定量研究[1,2]。然而,虽有一些方法用来测定各种组织的结合水和自由水含量,但都无法用于临床,因为这些方法都不是在活体上进行的。
1989年,Wolff等[3]证明:磁化传递技术可以间接地反映结合水质子和自由水的相互作用。在他们的实验中,结合水质子池(Hr)被选择性地用一个强力射频脉冲——远离自由水质子池(Hf)波谱的偏共振射频脉冲(off-resonance)激发,结果导致Hr磁性饱和,Hf磁性下降。这是由于Hr与Hf之间发生磁化传递(magnetization transfer,MT)的结果。磁性下降的程度用磁化传递率(MT ratio, MTR)来表示,可以定量评价组织的特性。已有报道MTR测量用于评价各种临床疾病如多发性硬化、脑缺血及梗死、Waller变性病程和脑肿瘤分型等[4-9]。但是,MTR与结合水、自由水之间的详细关系还不清楚。
, 百拇医药
笔者推导出一个结合水和自由水质子密度的计算公式,因为在MR领域,习惯上被称做结合水的实际上是广义的结合水质子,所以这个公式首次提供一种在活体上定量结合水和自由水的方法。笔者试图应用此公式,计算正常人脑各种组织结构的结合水和自由水密度,以了解MTR与结合水之间的量的关系。
推导公式
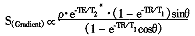
在一个矩形视野,对于所有翻转角θ,梯度回波序列的信号强度公式如下:
(公式1)
式中ρ是质子密度,TR是重复时间,TE是回波时间,T1是T1时间,T2*是梯度回波序列时的T2时间。
设定b是结合水密度,Son是偏共振射频脉冲激发、Soff是没有激发时的信号强度,T1′ , T2*′是偏共振射频脉冲激发时的T1、T2*,那么,因:
, 百拇医药
MTR=(Soff-Son)/Soff (公式2)
所以,将Soff 和 Son代入MTR计算式中就是:
(公式3)
式中(ρ-b)是偏共振射频脉冲激发后被饱和的质子密度。因为当激发偏共振射频脉冲后,只是结合水质子池被选择性地饱和。这时,磁化单方向地由自由水质子池向结合水质子池传递,测得的质子密度减低,减低的量相当于被饱和的结合水质子密度b。
再者,T2*′ 不同于 T1′,因在偏共振射频脉冲激发下,Hf的纵向磁化向Hr传递,致使T1弛豫时间缩短(T1′1)。而T2*弛豫是由于质子互相作用的结果,在梯度回波序列,由质子间固有的去相位和磁场的不均一性决定。偏共振射频脉冲激发时,因为质子密度(对MRI信号有影响的质子)有所降低,质子间固有的去相位可能使T2*′和 T2*稍有不同,但是,磁场的不均一性对T2*′和 T2*的影响是相同的。并且,磁场的不均一性在梯度回波序列对横向弛豫的影响巨大,所以,被减低的质子对T2*的影响可以忽略,T2*′和 T2*可以认为基本相等。这样,公式2可以简化为:
, http://www.100md.com
导出结合水密度b的计算公式:
(公式4)
自由水质子密度是质子密度中去除结合水质子密度的部分:
(公式5)
活体测定
一、材料与方法
1.对象:健康志愿者7例,男4例,女3例;年龄:26~40岁(平均34.7岁)。无神经系统疾病和服用相关药物史。
2.MR信号采集:MR扫描使用GE Horizon 1.5 T MR装置及附属头线圈。测定T1和T1′使用三维稳态损毁梯度回返采集脉冲序列(three dimensional spoiled gradient recalled acquisition in the steady state,3D-SPGR),附加和不附加偏共振射频脉冲,行2次扫描。TR 65毫秒,TE 2.5毫秒;7次变换翻转角(分别为3°, 5°, 10°, 15°, 20°, 25°和30°);矩阵256×160;层厚5 mm;层数12层;激励次数1;视野20 mm×20 mm;总扫描时间39分40秒。测定质子密度使用SE序列4次回波技术,TR 3000毫秒, TE分别是 25、50、75 和100毫秒;激励次数1;层厚 3 mm;层间距2.5 mm,矩阵256×160; 视野20 mm×20 mm;扫描时间8分36秒。
, 百拇医药
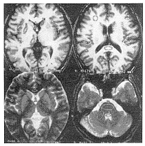
3.感兴趣区(ROI)设定:所有扫描均摄取横断面图像。ROI选择灰质12处,包括双侧额叶、颞叶、枕叶皮质、壳核、尾状核头和丘脑;白质9处,包括胼胝体的膝部和压部、双侧额叶深部白质、内囊后肢、小脑中脚和桥脑;脑脊液3处,包括双侧侧脑室前角和第4脑室。部分ROI如图1所示。所有的测量由1名医师在装置的操作台上利用ROI机完成。由于SPGR序列不同翻转角和SE序列不同TE图像上脑结构的对比度不同,笔者选择一个结构最清楚的图像设定ROI,回放其他层面,使相同的结构自动对齐这个ROI。
图1 三维稳态损毁梯度回返采集脉冲序列图像的感兴趣区(ROI)设定,TR 65毫秒,TE 2.5毫秒。上面2个小图为没有附加偏共振射频脉冲,翻转角30°,表现为T1WI;下面2个小图为附加偏共振射频脉冲,翻转角10°(左)和5°(右),表现为T2WI。测定时,首先选择脑组织构造显示清晰的图像固定ROI,然后回放其他扫描条件时的相同层面测定信号强度
, 百拇医药
4.公式中的参数计算:T1和T1′弛豫时间的计算使用最小二元法,使得到的SPGR序列7个翻转角的信号强度对应公式1。质子密度决定同样使用最小二元法,使得到的4回波SE序列的信号强度对应自旋回波序列信号公式:
S(SE)∝ρ(1-e-TR/T1).e-TR/T2。
MTR的计算使用3D-SPGR序列翻转角30°时的数据,以公式2计算。结合水和自由水质子密度分别以公式4和公式5计算。
5.统计分析:所有数据均以平均值±标准差表示。脑灰质、脑白质和脑脊液三组间及两两互相比较使用秩和检验中的Kruskal-Wallis检验(H检验),T1与T1′间的比较使用t检验,以P<0.05作为差异有显著性意义,P<0.01作为差异有非常显著性意义。
, 百拇医药
二、结果
1.各脑结构计算公式中参数的测定:表1显示7名健康志愿者的各脑结构的MTR、T1和T1′ 弛豫时间以及质子密度测定值。大脑皮质、尾状核头、壳核和丘脑作为灰质;胼胝体、额叶深部白质、内囊、小脑脚和桥脑作为白质;脑室前角和第4脑室作为脑脊液。各部位互相对比(见表1),MTR值是灰质小于白质,脑脊液最小(P<0.01);T1和 T1′ 弛豫时间是灰质高于白质,脑脊液最高(P<0.01)。质子密度是灰质高于白质,脑脊液最低(P<0.01)。另外,比较相同部位的T1和 T1′ 弛豫时间,无论白质和灰质均以T1大于T1′,差异有非常显著性意义(P<0.01),在脑脊液则差异无显著性意义(P>0.05)。
表1 7名志愿者脑内各部位ROI处MTR、T1及T1′弛豫时间和质子密度测定结果(均值±标准差) 部位
, http://www.100md.com
ROI数
MTR
T1弛豫时间(毫秒)
T1′弛豫时间(毫秒)
质子密度
脑灰质
大脑皮质
42
0.260±0.031
754±191
524±156
1334±158
, http://www.100md.com
尾状核头
14
0.252±0.027
744±128
491±66
1443±163
壳核
14
0.258±0.018
661±116
446±61
1483±164
, 百拇医药
丘脑
14
0.291±0.018
691±145
457±99
1325±131
合计
84
0.263±0.029
726±165
495±126
1377±166
, 百拇医药
脑白质
胼胝体
14
0.353±0.029
406± 82
269± 51
1145±131
额叶白质
14
0.333±0.025
423± 85
291± 57
, 百拇医药 1147± 87
内囊后肢
14
0.339±0.029
474± 65
319± 49
1075±100
小脑脚
14
0.348±0.033
323± 54
227± 31
, 百拇医药 1191±155
桥脑
7
0.351±0.031
345± 62
226± 33
1201±165
合计
63
0.344±0.030
400± 88
271± 58
, http://www.100md.com 1145±130
脑脊液
侧脑室前角
14
-0.031±0.100
3223±748
2852±713
816± 70
第4脑室
7
-0.002±0.038
2219±259
, http://www.100md.com
2171±432
855±128
合计
21
-0.021±0.085
2889±787
2625±703
829± 92
注:ROI为感兴趣区;MTR为磁化传递率
2.各脑结构结合水和自由水密度的计算:各脑结构以公式4和公式5计算的结合水与自由水质子密度见表2,相互比较见图2。它们显示灰质的结合水密度是565.7±115.9, 高于白质的512.3±102.3 (P<0.01), 脑脊液的结合水质子密度最低,为46.4±81.4,与白质、灰质比较P值均<0.01。脑灰质的自由水质子密度(811.5±111.0)高于脑白质(632.5±65.5)(P<0.01), 而与脑脊液(782.6±120.9)比较,差异无显著性意义(P>0.05);脑白质与脑脊液的自由水质子密度相比较P<0.01。
, 百拇医药
表2 7名健康志愿者脑内结合水和自由水质子密度计算结果(
±s) 部位
ROI数
结合水质子密度
自由水质子密度
脑灰质
大脑皮质
42
536.9±118.6
797.1±119.3
尾状核头
14
, 百拇医药
599.9±120.1
853.9± 92.0
壳核
14
600.4±111.7
882.2± 90.0
丘脑
14
583.5± 94.3
741.9± 64.0
合计
84
, http://www.100md.com
565.7±115.9
811.5±111.0
脑白质
胼胝体
14
528.2±110.7
616.4± 59.7
额叶白质
14
502.6± 88.7
644.7± 34.1
内囊后肢
, 百拇医药
14
487.9± 89.6
587.2± 60.6
小脑脚
14
513.7±112.9
670.3± 74.9
桥脑
7
546.0±126.7
655.4± 65.6
合计
, http://www.100md.com
63
512.3±102.3
632.5± 65.5
脑脊液
侧脑室前角
14
59.4± 76.0
756.7± 92.3
第4脑室
7
20.4± 90.7
834.4±159.8
, 百拇医药
合计
21
46.4± 81.4
782.6±120.9
注:ROI为感兴趣区
图2 7名健康志愿者脑组织结合水和自由水质子密度。显示脑灰质的结合水和自由水质子密度均高于脑白质(P<0.01)。脑脊液结合水明显少于脑灰质和脑白质(P<0.01),自由水高于脑白质(P<0.01),与脑灰质无明显差异(P>0.05)
讨论
一、MR的组织性状测定
, 百拇医药 质子根据周围的物理环境以各种运动状态存在于机体组织中。因此,许多研究寄希望于以弛豫时间区别组织性状[10-13]。然而,一些报告却没有确认弛豫时间的临床诊断价值[14]。MT图像依靠热运动活跃质子(广义的自由水)和热运动受限质子(广义的结合水)的相互作用[3],可提供一种新的影像信息。文献认为MTR取决于高分子表面的化学和生物物理学动态变化以及高分子浓度本身[15,16]。由于MTR提供生物化学和生物物理学信息,因此有人认为MT效果区别各种组织的敏感性可能高于T1弛豫时间[8]。然而,迄今为止,MT效果、组织的结合水和自由水含量,以及弛豫时间之间关系的详细情况尚不明了。
二、新公式可反映组织性状各参数间的关系
在MR领域,所谓的结合水即是结合水质子,我们的结合水质子密度公式(公式5)用数学式指出了组织弛豫时间、MTR以及结合水之间的关系。结果显示,在不同的脑组织间T1 和 T1′ 弛豫时间以及MTR均有明显不同。但是,在式中关于T1 和 T1′ 的部分,即公式4的{(1-e-TR/T1) (1-e-TR/T1′ cosθ)/(1-e-TR/T1′ ) /(1-e-TR/T1cosθ)}部分,在这些组织之间却无太大的变化,说明T1弛豫时间反映结合水含量不甚敏感。而另一方面,MTR值却可明显地影响结合水的计算值。这表明MTR值反映组织中质子的状态比弛豫时间更敏感,公式有助于我们理解前人关于MT效果和T1弛豫时间的研究结果。
, http://www.100md.com
三、关于公式中的翻转角θ
公式4、5中的θ根据使用情况是一个可以变化的量,它的变化导致测得的MTR值发生变化。但是,式中关于T1 和 T1′ 的部分也相应变化,只要SPGR序列的翻转角选用合理,就会使结合水和自由水质子密度的计算结果保持恒定。
四、根据新公式计算结合水和自由水质子密度
前人已经证实脑白质的MTR值高于脑灰质[17]。而且脑白质的髓鞘成分,如磷脂酰胆碱、胆固醇等MT效果被体外实验所强调[18-20]。本研究的结果(表1)显示白质的MTR高于灰质,与前人的结果一致。然而,本研究同时显示灰质的结合水密度高于白质(表2,图2),与上述体外实验的结论相矛盾。笔者认为本研究的结果基于灰白质不同的构造,可能有两方面的理由。首先,在活体状态下,活体的膜构造-脂质镶嵌膜对应细胞内、外液的是疏水面,在膜与水界面,产生结合水的机制可能是通过活体膜上的蛋白通道,而髓鞘的膜几乎没有蛋白通道。第二,在灰质,尤其是在基底节和丘脑,存在着大量的神经元和突起,他们紧密接触,向各个方向均匀地分布。不像在脑白质,髓鞘的膜紧密结合,互相平行走行,髓鞘与髓鞘之间有较大的细胞外液空间。这就等于说水在白质较在灰质自由。这样,我们的结果即脑灰质的结合水高于脑白质就可以理解。前人所做的体外实验不能反映活体构造的真实情况。笔者推测,脑白质的MTR值高的主要原因是脑白质自由水含量低(表2,图2)。
, 百拇医药
五、关于脑脊液(CSF)
由于没有多少高分子蛋白,CSF几乎等于自由水(图2)。本研究的结果显示,CSF的MTR和结合水都低(表1,图2)(由于测量误差,MTR显示了负值),与事实相符。另外,显示CSF质子密度明显低于脑白质和脑灰质(表1),笔者认为这主要是因为我们测量时采用的SE序列重复时间是3秒,相对于测量组织,这可能会丢失一些T1弛豫时间较长的质子。也可能是同样的原因,CSF的自由水密度没有高过脑灰质(图2)。
综上所述,笔者提出一个在活体状态下测量结合水和自由水质子密度的计算公式。应用此公式实际测定结果提示:尽管MTR值白质高于灰质,但脑灰质结合水质子密度高于自由水。因此,笔者认为结合水是一个新的定量组织性状的参数,活体定量结合水密度有希望在将来用于临床鉴别诊断。此外,结合水质子密度计算公式在数学关系上显示了MTR、结合水和T1弛豫时间的联系,指出MTR并非是结合水和自由水的简单比值。
, http://www.100md.com
资助项目:本研究得到国家教委归国留学人员科研启动基金资助[教外司留(98)679号]
参考文献
1 Cameron IL, Contreras E, Fullerton GD, et al. Extent and properties of nonbulk “bound” water in crystalline lens cells. J Cell Physiol, 1988, 137: 125-132.
2 Tamaki N, Yamashita H, Kimura M, et al. Changes in the components and content of biological water in the brain of experimental hydrocephalic rabbits. J Neurosurg, 1990, 73: 274-278.
, http://www.100md.com
3 Wolff SD, Balaban RS. Magnetization transfer contrast (MTC) and tissue water proton relaxation in vivo. Magn Reson Med, 1989, 10:135-144.
4 Dousset V, Grossman RI, Ramer KN, et al. Experimental allergic encephalomyelitis and multiple sclerosis: lesion characterization with magnetization transfer imaging. Radiology, 1992, 182: 483-491.
5 Tomiak MM, Rosenblum JD, Prager JM, et al. Magnetization transfer: a potential method to determine the age of multiple sclerosis lesions. AJNR, 1994, 15: 1569 -1574.
, http://www.100md.com
6 Prager JM, Rosenblum JD, Huddle DC, et al. The magnetization transfer effect in cerebral infarction. AJNR 15: 1994, 1497-1500.
7 Lexa FJ, Grossman RI, Rosenquist AC. MR of wallerian degeneration in the feline visual system: characterization by magnetization transfer rate with histopathologic correlation. AJNR, 1994, 15:201-212.
8 Lundbom N. Determination of magnetization transfer contrast in tissue: an MR imaging study of brain tumors. AJR, 1992, 159:1279-1285.
, 百拇医药
9 Kurki T, Lundbom N, Kalimo H, et al. MR classification of brain gliomas: value of magnetization transfer and conventional imaging. Magn Reson Imaging, 1995, 13: 501-511.
10 Jezernik M, Sentjurc M, Schara M. Proton magnetic resonance characterization of brain tumours. Acta Neurochirurgica, 1983, 67(1-2):1-9.
11 Thomsen C, Jensen KE, Giwercman A, et al. Magnetic resonance: in vivo tissue characterization of the testes in patients with carcinoma-in- situ of the testis and healthy subjects. Int J Androl, 1987, 10: 191-198.
, 百拇医药
12 Tennvall J, Olsson M, Moller T, et al. Thyroid tissue characterization by proton magnetic resonance relaxation time determination. Acta Oncol, 1987, 26: 27-32.
13 Thomsen C, Sorensen PG, Karle H, et al. Prolonged bone marrow T1-relaxation in acute leukaemia: in vivo tissue characterization by magnetic resonance imaging. Magn Reson Imaging, 1987, 5: 251-257.
14 Just M, Thelen M. Tissue characterization with T1, T2 and proton density values: results in 160 patients with brain tumors. Radiology, 1988, 169: 779-785.
, http://www.100md.com
15 Ceckler TL, Wolff SD, Yip V, et al. Dynamic and chemical factors affecting water proton relaxation by macromolecules. J Magn Reson, 1992, 98:637-645.
16 Scholz TD, Ceckler TL, Balaban RS. Magnetization transfer characterization of hypertensive cardiomyopathy: significance of tissue water content. Magn Reson Med, 1993, 29: 352-357.
17 Mehta RC, Pike GB, Enzmann DR. Magnetization transfer MR of the normal adult brain. AJNR, 1995, 16: 2085-2091.
, 百拇医药
18 Fralix TA, Ceckler TL, Wolff SD,et al. Lipid bilayer and water proton magnetization transfer: effect of cholesterol. Magn Reson Med, 1991, 18: 214-223.
19 Koenig SH. Cholesterol of myelin is the determinant of gray-white contrast in MRI of brain. Magn Reson Med, 1991, 20: 285-291.
20 Kucharczyk W, Macdonald PM, Stanisz GJ, et al. Relaxivity and magnetization transfer of white matter lipids at MR imaging: importance of cerebrosides and pH. Radiology, 1994, 192: 521-529.
收稿:1998-12-22
修回:1999-06-24, 百拇医药
单位:110001 沈阳,中国医科大学第一临床学院放射线科(李松柏、黄砚玲、高思佳);沈阳市第一人民医院放射线科(高振韬);中国医科大学公共卫生学院卫生统计教研室(赵宇东)
关键词:脑;诊断显像;磁共振成像;数据说明,统计
中华放射学杂志991115
【摘要】 目的 活体状态下测定人脑结合水和自由水密度。方法 将梯度回波序列信号强度公式代入磁化传递率计算公式中,推导出一个结合水和自由水密度的计算公式。测定7名正常人脑各种组织结构在式中的参数,包括质子密度、磁化传递率(MTR)及附加和不附加偏共振(off-resonance)射频脉冲时测定的两种T1弛豫时间。将这些参数代入新公式中计算出结合水和自由水质子密度。结果 脑灰质的结合水和自由水密度分别是565.7±115.9和811.5±111.0,高于脑白质的结合水密度512.3±102.3和自由水密度632.5±65.5(P<0.01),脑灰质MTR为0.263±0.029,低于脑白质的0.344±0.028 (P<0.01)。结论 结合水是区别于MTR的另一个分辨组织性状的参数,新公式在数学上指出了两者之间的联系。
, 百拇医药
In vivo measurement of bound and free water density in normal human brain by MRI
LI Songbai,HUANG Yanling,GAO Sijia,et al.
Department of Radiology,the First Affiliated Hospital, China Medical University, Shenyang 110001
【Abstract】 Objective To measure bound and free water density of human brain in vivo. Methods New formulas were developed to obtain bound and free water density. Some parameters in those formulas that can be measured are proton density, magnetization transfer ratio (MTR), T1 relaxation times both with and without off-resonance irradiation. Seven normal volunteers were studied using various pulse sequences. The bound and free water density in white matter, gray matter, and cerebrospinal fluid (CSF) were calculated. Results The bound and free water densities were 565.7±115.9 and 811.5±111.0 in gray matter, higher than those (512.3±102.3 and 632.5±65.5)in white mater (P<0.01). While MTR was 0.263±0.029 in gray matter lower than that (0.344±0.028)in white matter (P<0.01). Conclusion Bound water is another parameter for tissue characterization which is different from MTR. Our bound water formula indicated their relationship in mathematics.
, 百拇医药
【Key words】 Brain Diagnostic imaging Magnetic resonance imaging Data interpretation,statistical
水是活体组织中最重要的组成成分之一,水的存在状态决定着活体的所有机能和代谢。所以,很早就有学者进行结合水和自由水的定量研究[1,2]。然而,虽有一些方法用来测定各种组织的结合水和自由水含量,但都无法用于临床,因为这些方法都不是在活体上进行的。
1989年,Wolff等[3]证明:磁化传递技术可以间接地反映结合水质子和自由水的相互作用。在他们的实验中,结合水质子池(Hr)被选择性地用一个强力射频脉冲——远离自由水质子池(Hf)波谱的偏共振射频脉冲(off-resonance)激发,结果导致Hr磁性饱和,Hf磁性下降。这是由于Hr与Hf之间发生磁化传递(magnetization transfer,MT)的结果。磁性下降的程度用磁化传递率(MT ratio, MTR)来表示,可以定量评价组织的特性。已有报道MTR测量用于评价各种临床疾病如多发性硬化、脑缺血及梗死、Waller变性病程和脑肿瘤分型等[4-9]。但是,MTR与结合水、自由水之间的详细关系还不清楚。
, 百拇医药
笔者推导出一个结合水和自由水质子密度的计算公式,因为在MR领域,习惯上被称做结合水的实际上是广义的结合水质子,所以这个公式首次提供一种在活体上定量结合水和自由水的方法。笔者试图应用此公式,计算正常人脑各种组织结构的结合水和自由水密度,以了解MTR与结合水之间的量的关系。
推导公式
在一个矩形视野,对于所有翻转角θ,梯度回波序列的信号强度公式如下:
式中ρ是质子密度,TR是重复时间,TE是回波时间,T1是T1时间,T2*是梯度回波序列时的T2时间。
设定b是结合水密度,Son是偏共振射频脉冲激发、Soff是没有激发时的信号强度,T1′ , T2*′是偏共振射频脉冲激发时的T1、T2*,那么,因:
, 百拇医药
MTR=(Soff-Son)/Soff (公式2)
所以,将Soff 和 Son代入MTR计算式中就是:
式中(ρ-b)是偏共振射频脉冲激发后被饱和的质子密度。因为当激发偏共振射频脉冲后,只是结合水质子池被选择性地饱和。这时,磁化单方向地由自由水质子池向结合水质子池传递,测得的质子密度减低,减低的量相当于被饱和的结合水质子密度b。
再者,T2*′ 不同于 T1′,因在偏共振射频脉冲激发下,Hf的纵向磁化向Hr传递,致使T1弛豫时间缩短(T1′
, http://www.100md.com
导出结合水密度b的计算公式:
自由水质子密度是质子密度中去除结合水质子密度的部分:
活体测定
一、材料与方法
1.对象:健康志愿者7例,男4例,女3例;年龄:26~40岁(平均34.7岁)。无神经系统疾病和服用相关药物史。
2.MR信号采集:MR扫描使用GE Horizon 1.5 T MR装置及附属头线圈。测定T1和T1′使用三维稳态损毁梯度回返采集脉冲序列(three dimensional spoiled gradient recalled acquisition in the steady state,3D-SPGR),附加和不附加偏共振射频脉冲,行2次扫描。TR 65毫秒,TE 2.5毫秒;7次变换翻转角(分别为3°, 5°, 10°, 15°, 20°, 25°和30°);矩阵256×160;层厚5 mm;层数12层;激励次数1;视野20 mm×20 mm;总扫描时间39分40秒。测定质子密度使用SE序列4次回波技术,TR 3000毫秒, TE分别是 25、50、75 和100毫秒;激励次数1;层厚 3 mm;层间距2.5 mm,矩阵256×160; 视野20 mm×20 mm;扫描时间8分36秒。
, 百拇医药
3.感兴趣区(ROI)设定:所有扫描均摄取横断面图像。ROI选择灰质12处,包括双侧额叶、颞叶、枕叶皮质、壳核、尾状核头和丘脑;白质9处,包括胼胝体的膝部和压部、双侧额叶深部白质、内囊后肢、小脑中脚和桥脑;脑脊液3处,包括双侧侧脑室前角和第4脑室。部分ROI如图1所示。所有的测量由1名医师在装置的操作台上利用ROI机完成。由于SPGR序列不同翻转角和SE序列不同TE图像上脑结构的对比度不同,笔者选择一个结构最清楚的图像设定ROI,回放其他层面,使相同的结构自动对齐这个ROI。
图1 三维稳态损毁梯度回返采集脉冲序列图像的感兴趣区(ROI)设定,TR 65毫秒,TE 2.5毫秒。上面2个小图为没有附加偏共振射频脉冲,翻转角30°,表现为T1WI;下面2个小图为附加偏共振射频脉冲,翻转角10°(左)和5°(右),表现为T2WI。测定时,首先选择脑组织构造显示清晰的图像固定ROI,然后回放其他扫描条件时的相同层面测定信号强度
, 百拇医药
4.公式中的参数计算:T1和T1′弛豫时间的计算使用最小二元法,使得到的SPGR序列7个翻转角的信号强度对应公式1。质子密度决定同样使用最小二元法,使得到的4回波SE序列的信号强度对应自旋回波序列信号公式:
S(SE)∝ρ(1-e-TR/T1).e-TR/T2。
MTR的计算使用3D-SPGR序列翻转角30°时的数据,以公式2计算。结合水和自由水质子密度分别以公式4和公式5计算。
5.统计分析:所有数据均以平均值±标准差表示。脑灰质、脑白质和脑脊液三组间及两两互相比较使用秩和检验中的Kruskal-Wallis检验(H检验),T1与T1′间的比较使用t检验,以P<0.05作为差异有显著性意义,P<0.01作为差异有非常显著性意义。
, 百拇医药
二、结果
1.各脑结构计算公式中参数的测定:表1显示7名健康志愿者的各脑结构的MTR、T1和T1′ 弛豫时间以及质子密度测定值。大脑皮质、尾状核头、壳核和丘脑作为灰质;胼胝体、额叶深部白质、内囊、小脑脚和桥脑作为白质;脑室前角和第4脑室作为脑脊液。各部位互相对比(见表1),MTR值是灰质小于白质,脑脊液最小(P<0.01);T1和 T1′ 弛豫时间是灰质高于白质,脑脊液最高(P<0.01)。质子密度是灰质高于白质,脑脊液最低(P<0.01)。另外,比较相同部位的T1和 T1′ 弛豫时间,无论白质和灰质均以T1大于T1′,差异有非常显著性意义(P<0.01),在脑脊液则差异无显著性意义(P>0.05)。
表1 7名志愿者脑内各部位ROI处MTR、T1及T1′弛豫时间和质子密度测定结果(均值±标准差) 部位
, http://www.100md.com
ROI数
MTR
T1弛豫时间(毫秒)
T1′弛豫时间(毫秒)
质子密度
脑灰质
大脑皮质
42
0.260±0.031
754±191
524±156
1334±158
, http://www.100md.com
尾状核头
14
0.252±0.027
744±128
491±66
1443±163
壳核
14
0.258±0.018
661±116
446±61
1483±164
, 百拇医药
丘脑
14
0.291±0.018
691±145
457±99
1325±131
合计
84
0.263±0.029
726±165
495±126
1377±166
, 百拇医药
脑白质
胼胝体
14
0.353±0.029
406± 82
269± 51
1145±131
额叶白质
14
0.333±0.025
423± 85
291± 57
, 百拇医药 1147± 87
内囊后肢
14
0.339±0.029
474± 65
319± 49
1075±100
小脑脚
14
0.348±0.033
323± 54
227± 31
, 百拇医药 1191±155
桥脑
7
0.351±0.031
345± 62
226± 33
1201±165
合计
63
0.344±0.030
400± 88
271± 58
, http://www.100md.com 1145±130
脑脊液
侧脑室前角
14
-0.031±0.100
3223±748
2852±713
816± 70
第4脑室
7
-0.002±0.038
2219±259
, http://www.100md.com
2171±432
855±128
合计
21
-0.021±0.085
2889±787
2625±703
829± 92
注:ROI为感兴趣区;MTR为磁化传递率
2.各脑结构结合水和自由水密度的计算:各脑结构以公式4和公式5计算的结合水与自由水质子密度见表2,相互比较见图2。它们显示灰质的结合水密度是565.7±115.9, 高于白质的512.3±102.3 (P<0.01), 脑脊液的结合水质子密度最低,为46.4±81.4,与白质、灰质比较P值均<0.01。脑灰质的自由水质子密度(811.5±111.0)高于脑白质(632.5±65.5)(P<0.01), 而与脑脊液(782.6±120.9)比较,差异无显著性意义(P>0.05);脑白质与脑脊液的自由水质子密度相比较P<0.01。
, 百拇医药
表2 7名健康志愿者脑内结合水和自由水质子密度计算结果(
ROI数
结合水质子密度
自由水质子密度
脑灰质
大脑皮质
42
536.9±118.6
797.1±119.3
尾状核头
14
, 百拇医药
599.9±120.1
853.9± 92.0
壳核
14
600.4±111.7
882.2± 90.0
丘脑
14
583.5± 94.3
741.9± 64.0
合计
84
, http://www.100md.com
565.7±115.9
811.5±111.0
脑白质
胼胝体
14
528.2±110.7
616.4± 59.7
额叶白质
14
502.6± 88.7
644.7± 34.1
内囊后肢
, 百拇医药
14
487.9± 89.6
587.2± 60.6
小脑脚
14
513.7±112.9
670.3± 74.9
桥脑
7
546.0±126.7
655.4± 65.6
合计
, http://www.100md.com
63
512.3±102.3
632.5± 65.5
脑脊液
侧脑室前角
14
59.4± 76.0
756.7± 92.3
第4脑室
7
20.4± 90.7
834.4±159.8
, 百拇医药
合计
21
46.4± 81.4
782.6±120.9
注:ROI为感兴趣区
图2 7名健康志愿者脑组织结合水和自由水质子密度。显示脑灰质的结合水和自由水质子密度均高于脑白质(P<0.01)。脑脊液结合水明显少于脑灰质和脑白质(P<0.01),自由水高于脑白质(P<0.01),与脑灰质无明显差异(P>0.05)
讨论
一、MR的组织性状测定
, 百拇医药 质子根据周围的物理环境以各种运动状态存在于机体组织中。因此,许多研究寄希望于以弛豫时间区别组织性状[10-13]。然而,一些报告却没有确认弛豫时间的临床诊断价值[14]。MT图像依靠热运动活跃质子(广义的自由水)和热运动受限质子(广义的结合水)的相互作用[3],可提供一种新的影像信息。文献认为MTR取决于高分子表面的化学和生物物理学动态变化以及高分子浓度本身[15,16]。由于MTR提供生物化学和生物物理学信息,因此有人认为MT效果区别各种组织的敏感性可能高于T1弛豫时间[8]。然而,迄今为止,MT效果、组织的结合水和自由水含量,以及弛豫时间之间关系的详细情况尚不明了。
二、新公式可反映组织性状各参数间的关系
在MR领域,所谓的结合水即是结合水质子,我们的结合水质子密度公式(公式5)用数学式指出了组织弛豫时间、MTR以及结合水之间的关系。结果显示,在不同的脑组织间T1 和 T1′ 弛豫时间以及MTR均有明显不同。但是,在式中关于T1 和 T1′ 的部分,即公式4的{(1-e-TR/T1) (1-e-TR/T1′ cosθ)/(1-e-TR/T1′ ) /(1-e-TR/T1cosθ)}部分,在这些组织之间却无太大的变化,说明T1弛豫时间反映结合水含量不甚敏感。而另一方面,MTR值却可明显地影响结合水的计算值。这表明MTR值反映组织中质子的状态比弛豫时间更敏感,公式有助于我们理解前人关于MT效果和T1弛豫时间的研究结果。
, http://www.100md.com
三、关于公式中的翻转角θ
公式4、5中的θ根据使用情况是一个可以变化的量,它的变化导致测得的MTR值发生变化。但是,式中关于T1 和 T1′ 的部分也相应变化,只要SPGR序列的翻转角选用合理,就会使结合水和自由水质子密度的计算结果保持恒定。
四、根据新公式计算结合水和自由水质子密度
前人已经证实脑白质的MTR值高于脑灰质[17]。而且脑白质的髓鞘成分,如磷脂酰胆碱、胆固醇等MT效果被体外实验所强调[18-20]。本研究的结果(表1)显示白质的MTR高于灰质,与前人的结果一致。然而,本研究同时显示灰质的结合水密度高于白质(表2,图2),与上述体外实验的结论相矛盾。笔者认为本研究的结果基于灰白质不同的构造,可能有两方面的理由。首先,在活体状态下,活体的膜构造-脂质镶嵌膜对应细胞内、外液的是疏水面,在膜与水界面,产生结合水的机制可能是通过活体膜上的蛋白通道,而髓鞘的膜几乎没有蛋白通道。第二,在灰质,尤其是在基底节和丘脑,存在着大量的神经元和突起,他们紧密接触,向各个方向均匀地分布。不像在脑白质,髓鞘的膜紧密结合,互相平行走行,髓鞘与髓鞘之间有较大的细胞外液空间。这就等于说水在白质较在灰质自由。这样,我们的结果即脑灰质的结合水高于脑白质就可以理解。前人所做的体外实验不能反映活体构造的真实情况。笔者推测,脑白质的MTR值高的主要原因是脑白质自由水含量低(表2,图2)。
, 百拇医药
五、关于脑脊液(CSF)
由于没有多少高分子蛋白,CSF几乎等于自由水(图2)。本研究的结果显示,CSF的MTR和结合水都低(表1,图2)(由于测量误差,MTR显示了负值),与事实相符。另外,显示CSF质子密度明显低于脑白质和脑灰质(表1),笔者认为这主要是因为我们测量时采用的SE序列重复时间是3秒,相对于测量组织,这可能会丢失一些T1弛豫时间较长的质子。也可能是同样的原因,CSF的自由水密度没有高过脑灰质(图2)。
综上所述,笔者提出一个在活体状态下测量结合水和自由水质子密度的计算公式。应用此公式实际测定结果提示:尽管MTR值白质高于灰质,但脑灰质结合水质子密度高于自由水。因此,笔者认为结合水是一个新的定量组织性状的参数,活体定量结合水密度有希望在将来用于临床鉴别诊断。此外,结合水质子密度计算公式在数学关系上显示了MTR、结合水和T1弛豫时间的联系,指出MTR并非是结合水和自由水的简单比值。
, http://www.100md.com
资助项目:本研究得到国家教委归国留学人员科研启动基金资助[教外司留(98)679号]
参考文献
1 Cameron IL, Contreras E, Fullerton GD, et al. Extent and properties of nonbulk “bound” water in crystalline lens cells. J Cell Physiol, 1988, 137: 125-132.
2 Tamaki N, Yamashita H, Kimura M, et al. Changes in the components and content of biological water in the brain of experimental hydrocephalic rabbits. J Neurosurg, 1990, 73: 274-278.
, http://www.100md.com
3 Wolff SD, Balaban RS. Magnetization transfer contrast (MTC) and tissue water proton relaxation in vivo. Magn Reson Med, 1989, 10:135-144.
4 Dousset V, Grossman RI, Ramer KN, et al. Experimental allergic encephalomyelitis and multiple sclerosis: lesion characterization with magnetization transfer imaging. Radiology, 1992, 182: 483-491.
5 Tomiak MM, Rosenblum JD, Prager JM, et al. Magnetization transfer: a potential method to determine the age of multiple sclerosis lesions. AJNR, 1994, 15: 1569 -1574.
, http://www.100md.com
6 Prager JM, Rosenblum JD, Huddle DC, et al. The magnetization transfer effect in cerebral infarction. AJNR 15: 1994, 1497-1500.
7 Lexa FJ, Grossman RI, Rosenquist AC. MR of wallerian degeneration in the feline visual system: characterization by magnetization transfer rate with histopathologic correlation. AJNR, 1994, 15:201-212.
8 Lundbom N. Determination of magnetization transfer contrast in tissue: an MR imaging study of brain tumors. AJR, 1992, 159:1279-1285.
, 百拇医药
9 Kurki T, Lundbom N, Kalimo H, et al. MR classification of brain gliomas: value of magnetization transfer and conventional imaging. Magn Reson Imaging, 1995, 13: 501-511.
10 Jezernik M, Sentjurc M, Schara M. Proton magnetic resonance characterization of brain tumours. Acta Neurochirurgica, 1983, 67(1-2):1-9.
11 Thomsen C, Jensen KE, Giwercman A, et al. Magnetic resonance: in vivo tissue characterization of the testes in patients with carcinoma-in- situ of the testis and healthy subjects. Int J Androl, 1987, 10: 191-198.
, 百拇医药
12 Tennvall J, Olsson M, Moller T, et al. Thyroid tissue characterization by proton magnetic resonance relaxation time determination. Acta Oncol, 1987, 26: 27-32.
13 Thomsen C, Sorensen PG, Karle H, et al. Prolonged bone marrow T1-relaxation in acute leukaemia: in vivo tissue characterization by magnetic resonance imaging. Magn Reson Imaging, 1987, 5: 251-257.
14 Just M, Thelen M. Tissue characterization with T1, T2 and proton density values: results in 160 patients with brain tumors. Radiology, 1988, 169: 779-785.
, http://www.100md.com
15 Ceckler TL, Wolff SD, Yip V, et al. Dynamic and chemical factors affecting water proton relaxation by macromolecules. J Magn Reson, 1992, 98:637-645.
16 Scholz TD, Ceckler TL, Balaban RS. Magnetization transfer characterization of hypertensive cardiomyopathy: significance of tissue water content. Magn Reson Med, 1993, 29: 352-357.
17 Mehta RC, Pike GB, Enzmann DR. Magnetization transfer MR of the normal adult brain. AJNR, 1995, 16: 2085-2091.
, 百拇医药
18 Fralix TA, Ceckler TL, Wolff SD,et al. Lipid bilayer and water proton magnetization transfer: effect of cholesterol. Magn Reson Med, 1991, 18: 214-223.
19 Koenig SH. Cholesterol of myelin is the determinant of gray-white contrast in MRI of brain. Magn Reson Med, 1991, 20: 285-291.
20 Kucharczyk W, Macdonald PM, Stanisz GJ, et al. Relaxivity and magnetization transfer of white matter lipids at MR imaging: importance of cerebrosides and pH. Radiology, 1994, 192: 521-529.
收稿:1998-12-22
修回:1999-06-24, 百拇医药