支气管三维重建和仿真内窥镜的应用价值和限度
作者:王伟中 钱民 谢敬霞 李向东
单位:王伟中、钱民、李向东 广州军区广州总医院放射科 510010;谢敬霞 北京医科大学附属第三医院放射科
关键词:支气管;体层摄影术,X线计算机;图像处理,计算机辅助
中华放射学杂志991211摘要:目的 研究CT支气管三维重建和仿真支气管内窥镜的临床应用价值和限度。方法10例正常志愿者和52例病人,行薄层双螺旋CT容积扫描后将图像传输至工作站并进行多层面/曲面重建(MPR/CPR)、最小密度投影加气管曲面断层(MinIP+CPR)、三维(3D)重建和仿真支气管内窥镜成像(VB),比较4种后处理方法对气道显示的差异和发现病变的敏感性及特异性等。结果 (1)4种后处理方法对气道显示均可达到3级或3级以下支气管。(2) 3D和VB对病变的显示直观,整体感好。(3) 对正常志愿者气道测量显示,3D和VB对2、3级气道的评估存在误差,且差异有显著性(P<0.05)。(4) MPR/CPR、 MinIP+CPR、3D和VB发现气道病变的敏感性分别为90.0%、80.0%、60.0%和55.0%,而特异性则分别为90.9%、81.8%、72.7%和63.6%。 结论 (1) 3D和VB对病变的显示直观,适合教学,有利于对病变的整体理解。(2)3D和VB存在失真和误差, 不能提高发现病变的敏感性和特异性。
, http://www.100md.com
Virtual bronchoscopy and bronchotracheal 3-dimensional reconstruction: value and limitation
WANG Weizhong, QIAN Min, XIE Jingxia, et al.
Department of Radiology, the General Hospital of Guangzhou Military Command, Guangzhou 510010
Abstract Objective To study the value and limitation of bronchotracheal 3-dimensional reconstruction(3D) and virtual bronchoscopy(VB). Methods Ten normal volunteers and 52 patients underwent thin-slice double helical CT scan. Images were transferred to Omnipro workstation and 4 kinds of postprocessing including multiple/curved planar reconstruction (MPR/CPR), minimum intensity projection plus MasterCut (MinIP+CPR), 3-dimensional reconstruction and virtual bronchoscopy were performed. The differences of airway appearances and measurements, diagnostic sensitivity and specificity for bronchotracheal lesions of the 4 methods were compared. Results (1)Four kinds of postprocessing were able to demonstrate segmental even subsegmental bronchial divisions. (2) 3D and VB presented the morphology of airway and airway lesions in a vivid way in a way similar to endoscopy. (3) There were inaccuracies in the measurement of lobar and segmental bronchi of normal volunteers with 3D and VB. (4) The sensitivities of MPR(CPR), MinIP+CPR, 3D and VB for detecting bronchotracheal lesions were 90.0%, 80.0%, 60.0% and 55.0%,and specificities were 90.9%, 81.8%, 72.7% and 63.6%, respectively. Conclusions (1) With direct, vivid and continuous display modes, 3D and VB are helpful in understanding of morphology of disorders and suitable for teaching. (2) There are inaccuracies in 3D and VB assessment, and the sensitivity and specificity for detection of bronchotracheal lesions are not improved by using 3D and VB.
, 百拇医药
Key words Bronchi Tomography, X-ray computed Imaging processing,computer-assisted
继多层面、曲面重建(multiple、curved planar reconstruction, MPR、CPR)、最大和最小密度投影(maximun,minimum intensity projection, Max、MinIP)、三维重建(3- dimensional reconstruction, 3D)等后处理技术以后,仿真内窥镜(virtual endoscopy, VE)近年来也开始应用于临床,并以其无创性和直观受到临床医生的欢迎[1-5]。在VE中应用较多的是仿真支气管内窥镜(virtual bronchoscopy, VB)。本研究的目的是探讨3D和VB支气管成像的应用价值和限度。
材料与方法
, 百拇医药
1.一般资料:10例正常志愿者, 年龄20~40岁,平均26.5岁。病人52例,男39例,女13例,平均46.5岁。其中中心型肺癌13例,周围型肺癌7例,支气管内膜结核3例,肺结核11例,支气管扩张4例,肺部炎症7例,淋巴瘤2例,支气管炎4例,后上纵隔神经纤维瘤1例。所有病人都经手术、活检或治疗随访等证实。30例在CT扫描前后2天行常规支气管内窥镜检查。
2.扫描方法:以1 mm层厚,0.6 mm重建间隔和(或)2.5 mm层厚,1.6 mm重建间隔自隆突上2 cm向下作容积扫描,螺距 (pitch)为1.0~1.5。视野250 mm×250 mm,重建矩阵340×340, 所用的机器为Elscent CT twin flash双螺旋CT机。后处理用Omnipro工作站。
3.后处理: (1) MPR 和CPR为实时重建。(2) MinIP得到气管支气管的投影像,可在MinIP的基础上进行CPR。(3) 3D成像:支气管的窗中心水平为-700~-1 000, 窗宽的阈值为145~200。(4) VB成像:进行适当扩展和适当缩小的支气管3D成像,2次结果相减就可得到空腔化的支气管树三维重建像。对于支气管内的病变等可进行单独重建,用不同的伪彩色显示。
, 百拇医药
结果
一、气道及病变显示
1.支气管显示率:在无呼吸运动伪影的42例病人和10例正常志愿者中,MPR(CPR)、MinIP+CPR和3D均能显示段支气管,显示率达到100%(图1~3),并可显示部分亚段(4级)以下的支气管。而VB对段支气管的显示率为83.3%~100%,平均94.4%。
图1 正常志愿者,显示沿气道的曲面重建(CPR)图像
图2 同图1病例。右中间段支气管VB图像,显示中叶和下叶支气管开口情况
, 百拇医药
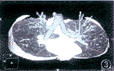
图3 气管支气管3D图像,可显示段和部分亚段支气管, 肺组织切面同时以MPR方式显示
2.组织特异性:MPR(CPR)和MinIP+CPR可显示支气管管腔内外的组织及比邻关系,具有较好的组织特异性。3D 和VB在单色显示的情况下对较小的病变或扁平的病变难于发现或肯定,对发现的病变也无组织特异性。用多种伪彩色的重建状态下,可将解剖结构和病变以不同的颜色重建显示,有利显示特异病变,如支气管内膜结核的钙化灶等(图4, 5)。
图4 左上肺癌3D像,紫色为肿瘤,经透明化处理后可显示被包埋受侵的左主支气管(白色)和左肺动脉(绿色)
图5 支气管内膜结核病人VB像,显示中间段和下叶支气管钙化灶(白色)
, 百拇医药
3.整体显示:3D显示的支气管树外表面即为支气管的内腔面,可旋转显示, 整体感和连续性好(图6)。VB观察支气管腔类似常规支气管内窥镜(图7, 8),还可对狭窄或闭塞远端的支气管进行观察,具有很好的整体感。MinIP是二维投影,支气管显示连续性好,可旋转多角度观察,避免重叠。沿支气管腔进行CPR可显示3级以下的支气管。相对来说,MPR(CPR)对支气管的显示连续性和整体性较差。
图6 后上纵隔神经纤维瘤3D像,箭头示肿瘤(紫红色)对气管(白色)侵犯情况
图7 与图6同一例病人的VB像,箭头示气管后方受压变窄情况
, 百拇医药
图8 左上肺癌病人,VB像示左主支气管受侵闭塞
二、志愿者组气管支气管的直径测量结果
随着支气管分级的增加,以3D和VB测量的支气管直径明显缩小甚至闭塞(图9)。以MPR(CPR)的测量结果为标准,并进行配对t检验,MinIP+CPR方法测量值3个部位均无显著性差异,3D在气管隆突上2 cm部位测量值也未见差异。而其余所有部位3D和VB方法均见有不同程度的差异,其中VB法测量值差异更大,详见表1。
图9 正常志愿者右上叶支气管VB图像,显示尖、后段支气管较小和闭塞表1 4种后处理方法对支气管直径测量差异比较 分组
气管(隆突上2 cm)
右上叶支气管主干
, 百拇医药
右下叶外侧段支气管
±s(cm)
t 值
P值
±s(cm)
t 值
P值
±s(cm)
t 值
P值
MPR(CPR)
1.91±0.18
, http://www.100md.com
—
—
0.77±0.09
—
—
0.56±0.07
—
—
MinIP+CPR
1.90±0.16
0.218 2
0.832 1
0.77±0.10
, http://www.100md.com
1.000 1
0.343 4
0.57±0.08
0.428 6
0.6783
3D
1.77±0.17
2.089 8
0.066 2
0.59±0.12
4.3314
0.001 9
, 百拇医药
0.39±0.10
4.8565
0.0009
VB
1.60±0.18
4.594 8
0.001 3
0.43±0.10
11.611 1
1×10-6
0.28±0.13
6.0125
, 百拇医药
0.0002
注:MPR、CPR分别为多层面与曲面重建,MinIP为最小密度投影,3D为二维重建,VB为仿真内窥镜。t值和P值为各组与MPR(CPR)组分别比较的结果
三、4种方法诊断支气管病变的结果
在42例无明显伪影的病例中,根据手术病理结果、常规支气管内窥镜所见和3位专家综合分析所有的影像手段判定20例有气管、支气管病变阳性征象(包括腔内肿块、气管支气管中断、狭窄或推移等),并以此为金标准,采用盲法,3位资深的放射科医师和1位呼吸内科医师联合以MPR(CPR)、MinIP+CPR、3D和VB 4种后处理手段诊断支气管病变。MPR(CPR)、 MinIP+CPR、3D和VB诊断支气管病变的敏感性分别为90.0%、80.0%、60.0%和55.0%,而特异性则分别为90.9%、81.8%、72.7%和63.6%。综合4种后处理手段对病变检出的敏感性和特异性分别为90.0%和95.5%。除了MPR(CPR)和VB在诊断敏感性上有显著性差异(χ2=4.514 1, P=0.033 6)外,其余组间差异均无显著性意义。
, 百拇医药
讨论
1.4种方法的特点:MPR(CPR)为实时多层面的重建,对支气管管腔内外的组织及比邻关系显示清晰,MinIP+CPR也具有相似的作用,对支气管的显示上与断层图像相比有更好的整体感。本组病例结果显示,此2种方法对段支气管的显示率为100%, 还可部分显示亚段支气管,比5 mm层厚的螺旋CT扫描支气管显示率高[6, 7]。
3D图像具有很好的整体感。新的重建技术需要对更多的图像资料和参数进行处理,它可对所选择的器官或结构进行透明度和平滑度的调节,原始断层图像还可以MPR的方式同时显示,以利显示或衬托出病变[8, 9]。
VB利用了最新的虚拟现实等图像处理技术,提供了一种和常规内窥镜相似的方式,对气管支气管进行观察。显示直观而生动,整体感好。通过改变管壁的透亮度,还可对管壁外的组织如气管、支气管外的淋巴结进行观察。同时,对狭窄或闭塞下方的腔道的观察也是可能的,据报道这点对于观察声门下的病变有价值[5]。
, http://www.100md.com
2.4种方法的限度:由于3D、 VB等技术采用的重建方式是基于CT值的差异,即通过调节CT值的阈值来选择描绘不同的组织结构,因此CT值在一定范围内的组织被代之于同一颜色的结构,使原来图像上该组织的细节和差异被掩盖,图像的信息受到损失。尽管可通过改变透亮度并同时显示原来断层图像等方式使3D和VB图像更接近真实,但在选择组织描绘过程中的失真和误差却仍不可避免。特别是2种组织间CT值差异较小时,失真和误差更大。也可以说,3D和VB对组织的特异性分辨是有限的,也是受到人工干预的,可以通过调节阈值等描绘参数,改变病变的大小和形态。如在VB的重建过程中,选择扩展选项可造成气道的扩大,反之则缩小。使用平滑化的选项也可对气道的小病变造成明显的影响,过度平滑可致小病变消失,而平滑度太小又可造成气道表面粗糙,影响对小病变的诊断。另外,在扫描和重建断层图像的过程中,参数改变也可造成后处理功能的失真和误差,这是因为参数的改变直接影响图像的信噪比和组织间的对比度。据我们这组志愿者的研究,可明显看出3D和VB气道成像的准确性有误差,具体体现在气道直径的测量上,气道越小,影响越大。其原因可能是因为较小的气道管壁较薄,加上有一定的部分容积效应,使气道与周围组织的CT值差异缩小所致。当然以上提及的有关扫描或重建参数都可能产生不同程度的影响。从病人组的研究发现,3D和VB对诊断气道阳性病变的敏感性和特异性均较低,由此可看出,3D和VB对疾病诊断的可靠性值得怀疑。 参考文献
, 百拇医药
1 Vining DJ, Gelfand DW, Bechtold RE, et al. Technical feasibility of colon imaging with helical CT and virtual reality [Abstract].AJR, 1994,162 Suppl:104.
2 Vining DJ, Liu K, Choplin RH, et al. Virtual bronchoscopy: relationships of virtual reality endobronchial simulations to actual bronchoscopic findings. Chest, 1996,109:549-553.
3 Davis CP, Ladd ME, Romanowski BJ, et al. Human aorta: preliminary results with virtual endoscopy based on three-dimensional MR imaging data sets. Radiology, 1996, 199:37-40.
, 百拇医药
4 Dachman AH, Lieberman J, Osnis RB, et al. Small simulated polyps in pig colon: sensitivity of CT virtual colography. Radiology, 1997,203:427-430.
5 李子平,许达生,孟俊非.CT仿真内窥镜成像技术临床应用的初步探讨.中华放射学杂志,1998, 32:104-107.
6 Naidich DP, Lee JJ, Garay SM, et al. Comparison of CT and fiberoptic bronchoscopy in the evaluation of bronchial disease. AJR 1987, 148:1-7.
7 Costello P, Kruskal J, Dupuy D, et al. Evaluation of tacheobronchial tree with spiral CT(abstract). Radiology, 1992,185:355.
, 百拇医药
8 Rubin GD, Beaulieu CF, Argiro V, et al. Perspective volume rendering of CT and MR images: applications for endoscopic imaging. Radiology, 1996,199:321-330.
9 Hu X, Alperin N, Levin DN, et al. Visualization of MR angiographic data with segmentation and volume-rendering techniques. J Magn Reson Imaging, 1991, 1: 539-546.
收稿:1999-02-08
修回:1999-07-30, 百拇医药
单位:王伟中、钱民、李向东 广州军区广州总医院放射科 510010;谢敬霞 北京医科大学附属第三医院放射科
关键词:支气管;体层摄影术,X线计算机;图像处理,计算机辅助
中华放射学杂志991211摘要:目的 研究CT支气管三维重建和仿真支气管内窥镜的临床应用价值和限度。方法10例正常志愿者和52例病人,行薄层双螺旋CT容积扫描后将图像传输至工作站并进行多层面/曲面重建(MPR/CPR)、最小密度投影加气管曲面断层(MinIP+CPR)、三维(3D)重建和仿真支气管内窥镜成像(VB),比较4种后处理方法对气道显示的差异和发现病变的敏感性及特异性等。结果 (1)4种后处理方法对气道显示均可达到3级或3级以下支气管。(2) 3D和VB对病变的显示直观,整体感好。(3) 对正常志愿者气道测量显示,3D和VB对2、3级气道的评估存在误差,且差异有显著性(P<0.05)。(4) MPR/CPR、 MinIP+CPR、3D和VB发现气道病变的敏感性分别为90.0%、80.0%、60.0%和55.0%,而特异性则分别为90.9%、81.8%、72.7%和63.6%。 结论 (1) 3D和VB对病变的显示直观,适合教学,有利于对病变的整体理解。(2)3D和VB存在失真和误差, 不能提高发现病变的敏感性和特异性。
, http://www.100md.com
Virtual bronchoscopy and bronchotracheal 3-dimensional reconstruction: value and limitation
WANG Weizhong, QIAN Min, XIE Jingxia, et al.
Department of Radiology, the General Hospital of Guangzhou Military Command, Guangzhou 510010
Abstract Objective To study the value and limitation of bronchotracheal 3-dimensional reconstruction(3D) and virtual bronchoscopy(VB). Methods Ten normal volunteers and 52 patients underwent thin-slice double helical CT scan. Images were transferred to Omnipro workstation and 4 kinds of postprocessing including multiple/curved planar reconstruction (MPR/CPR), minimum intensity projection plus MasterCut (MinIP+CPR), 3-dimensional reconstruction and virtual bronchoscopy were performed. The differences of airway appearances and measurements, diagnostic sensitivity and specificity for bronchotracheal lesions of the 4 methods were compared. Results (1)Four kinds of postprocessing were able to demonstrate segmental even subsegmental bronchial divisions. (2) 3D and VB presented the morphology of airway and airway lesions in a vivid way in a way similar to endoscopy. (3) There were inaccuracies in the measurement of lobar and segmental bronchi of normal volunteers with 3D and VB. (4) The sensitivities of MPR(CPR), MinIP+CPR, 3D and VB for detecting bronchotracheal lesions were 90.0%, 80.0%, 60.0% and 55.0%,and specificities were 90.9%, 81.8%, 72.7% and 63.6%, respectively. Conclusions (1) With direct, vivid and continuous display modes, 3D and VB are helpful in understanding of morphology of disorders and suitable for teaching. (2) There are inaccuracies in 3D and VB assessment, and the sensitivity and specificity for detection of bronchotracheal lesions are not improved by using 3D and VB.
, 百拇医药
Key words Bronchi Tomography, X-ray computed Imaging processing,computer-assisted
继多层面、曲面重建(multiple、curved planar reconstruction, MPR、CPR)、最大和最小密度投影(maximun,minimum intensity projection, Max、MinIP)、三维重建(3- dimensional reconstruction, 3D)等后处理技术以后,仿真内窥镜(virtual endoscopy, VE)近年来也开始应用于临床,并以其无创性和直观受到临床医生的欢迎[1-5]。在VE中应用较多的是仿真支气管内窥镜(virtual bronchoscopy, VB)。本研究的目的是探讨3D和VB支气管成像的应用价值和限度。
材料与方法
, 百拇医药
1.一般资料:10例正常志愿者, 年龄20~40岁,平均26.5岁。病人52例,男39例,女13例,平均46.5岁。其中中心型肺癌13例,周围型肺癌7例,支气管内膜结核3例,肺结核11例,支气管扩张4例,肺部炎症7例,淋巴瘤2例,支气管炎4例,后上纵隔神经纤维瘤1例。所有病人都经手术、活检或治疗随访等证实。30例在CT扫描前后2天行常规支气管内窥镜检查。
2.扫描方法:以1 mm层厚,0.6 mm重建间隔和(或)2.5 mm层厚,1.6 mm重建间隔自隆突上2 cm向下作容积扫描,螺距 (pitch)为1.0~1.5。视野250 mm×250 mm,重建矩阵340×340, 所用的机器为Elscent CT twin flash双螺旋CT机。后处理用Omnipro工作站。
3.后处理: (1) MPR 和CPR为实时重建。(2) MinIP得到气管支气管的投影像,可在MinIP的基础上进行CPR。(3) 3D成像:支气管的窗中心水平为-700~-1 000, 窗宽的阈值为145~200。(4) VB成像:进行适当扩展和适当缩小的支气管3D成像,2次结果相减就可得到空腔化的支气管树三维重建像。对于支气管内的病变等可进行单独重建,用不同的伪彩色显示。
, 百拇医药
结果
一、气道及病变显示
1.支气管显示率:在无呼吸运动伪影的42例病人和10例正常志愿者中,MPR(CPR)、MinIP+CPR和3D均能显示段支气管,显示率达到100%(图1~3),并可显示部分亚段(4级)以下的支气管。而VB对段支气管的显示率为83.3%~100%,平均94.4%。
图1 正常志愿者,显示沿气道的曲面重建(CPR)图像
图2 同图1病例。右中间段支气管VB图像,显示中叶和下叶支气管开口情况
, 百拇医药
图3 气管支气管3D图像,可显示段和部分亚段支气管, 肺组织切面同时以MPR方式显示
2.组织特异性:MPR(CPR)和MinIP+CPR可显示支气管管腔内外的组织及比邻关系,具有较好的组织特异性。3D 和VB在单色显示的情况下对较小的病变或扁平的病变难于发现或肯定,对发现的病变也无组织特异性。用多种伪彩色的重建状态下,可将解剖结构和病变以不同的颜色重建显示,有利显示特异病变,如支气管内膜结核的钙化灶等(图4, 5)。
图4 左上肺癌3D像,紫色为肿瘤,经透明化处理后可显示被包埋受侵的左主支气管(白色)和左肺动脉(绿色)
图5 支气管内膜结核病人VB像,显示中间段和下叶支气管钙化灶(白色)
, 百拇医药
3.整体显示:3D显示的支气管树外表面即为支气管的内腔面,可旋转显示, 整体感和连续性好(图6)。VB观察支气管腔类似常规支气管内窥镜(图7, 8),还可对狭窄或闭塞远端的支气管进行观察,具有很好的整体感。MinIP是二维投影,支气管显示连续性好,可旋转多角度观察,避免重叠。沿支气管腔进行CPR可显示3级以下的支气管。相对来说,MPR(CPR)对支气管的显示连续性和整体性较差。
图6 后上纵隔神经纤维瘤3D像,箭头示肿瘤(紫红色)对气管(白色)侵犯情况
图7 与图6同一例病人的VB像,箭头示气管后方受压变窄情况
, 百拇医药
图8 左上肺癌病人,VB像示左主支气管受侵闭塞
二、志愿者组气管支气管的直径测量结果
随着支气管分级的增加,以3D和VB测量的支气管直径明显缩小甚至闭塞(图9)。以MPR(CPR)的测量结果为标准,并进行配对t检验,MinIP+CPR方法测量值3个部位均无显著性差异,3D在气管隆突上2 cm部位测量值也未见差异。而其余所有部位3D和VB方法均见有不同程度的差异,其中VB法测量值差异更大,详见表1。
图9 正常志愿者右上叶支气管VB图像,显示尖、后段支气管较小和闭塞表1 4种后处理方法对支气管直径测量差异比较 分组
气管(隆突上2 cm)
右上叶支气管主干
, 百拇医药
右下叶外侧段支气管
t 值
P值
t 值
P值
t 值
P值
MPR(CPR)
1.91±0.18
, http://www.100md.com
—
—
0.77±0.09
—
—
0.56±0.07
—
—
MinIP+CPR
1.90±0.16
0.218 2
0.832 1
0.77±0.10
, http://www.100md.com
1.000 1
0.343 4
0.57±0.08
0.428 6
0.6783
3D
1.77±0.17
2.089 8
0.066 2
0.59±0.12
4.3314
0.001 9
, 百拇医药
0.39±0.10
4.8565
0.0009
VB
1.60±0.18
4.594 8
0.001 3
0.43±0.10
11.611 1
1×10-6
0.28±0.13
6.0125
, 百拇医药
0.0002
注:MPR、CPR分别为多层面与曲面重建,MinIP为最小密度投影,3D为二维重建,VB为仿真内窥镜。t值和P值为各组与MPR(CPR)组分别比较的结果
三、4种方法诊断支气管病变的结果
在42例无明显伪影的病例中,根据手术病理结果、常规支气管内窥镜所见和3位专家综合分析所有的影像手段判定20例有气管、支气管病变阳性征象(包括腔内肿块、气管支气管中断、狭窄或推移等),并以此为金标准,采用盲法,3位资深的放射科医师和1位呼吸内科医师联合以MPR(CPR)、MinIP+CPR、3D和VB 4种后处理手段诊断支气管病变。MPR(CPR)、 MinIP+CPR、3D和VB诊断支气管病变的敏感性分别为90.0%、80.0%、60.0%和55.0%,而特异性则分别为90.9%、81.8%、72.7%和63.6%。综合4种后处理手段对病变检出的敏感性和特异性分别为90.0%和95.5%。除了MPR(CPR)和VB在诊断敏感性上有显著性差异(χ2=4.514 1, P=0.033 6)外,其余组间差异均无显著性意义。
, 百拇医药
讨论
1.4种方法的特点:MPR(CPR)为实时多层面的重建,对支气管管腔内外的组织及比邻关系显示清晰,MinIP+CPR也具有相似的作用,对支气管的显示上与断层图像相比有更好的整体感。本组病例结果显示,此2种方法对段支气管的显示率为100%, 还可部分显示亚段支气管,比5 mm层厚的螺旋CT扫描支气管显示率高[6, 7]。
3D图像具有很好的整体感。新的重建技术需要对更多的图像资料和参数进行处理,它可对所选择的器官或结构进行透明度和平滑度的调节,原始断层图像还可以MPR的方式同时显示,以利显示或衬托出病变[8, 9]。
VB利用了最新的虚拟现实等图像处理技术,提供了一种和常规内窥镜相似的方式,对气管支气管进行观察。显示直观而生动,整体感好。通过改变管壁的透亮度,还可对管壁外的组织如气管、支气管外的淋巴结进行观察。同时,对狭窄或闭塞下方的腔道的观察也是可能的,据报道这点对于观察声门下的病变有价值[5]。
, http://www.100md.com
2.4种方法的限度:由于3D、 VB等技术采用的重建方式是基于CT值的差异,即通过调节CT值的阈值来选择描绘不同的组织结构,因此CT值在一定范围内的组织被代之于同一颜色的结构,使原来图像上该组织的细节和差异被掩盖,图像的信息受到损失。尽管可通过改变透亮度并同时显示原来断层图像等方式使3D和VB图像更接近真实,但在选择组织描绘过程中的失真和误差却仍不可避免。特别是2种组织间CT值差异较小时,失真和误差更大。也可以说,3D和VB对组织的特异性分辨是有限的,也是受到人工干预的,可以通过调节阈值等描绘参数,改变病变的大小和形态。如在VB的重建过程中,选择扩展选项可造成气道的扩大,反之则缩小。使用平滑化的选项也可对气道的小病变造成明显的影响,过度平滑可致小病变消失,而平滑度太小又可造成气道表面粗糙,影响对小病变的诊断。另外,在扫描和重建断层图像的过程中,参数改变也可造成后处理功能的失真和误差,这是因为参数的改变直接影响图像的信噪比和组织间的对比度。据我们这组志愿者的研究,可明显看出3D和VB气道成像的准确性有误差,具体体现在气道直径的测量上,气道越小,影响越大。其原因可能是因为较小的气道管壁较薄,加上有一定的部分容积效应,使气道与周围组织的CT值差异缩小所致。当然以上提及的有关扫描或重建参数都可能产生不同程度的影响。从病人组的研究发现,3D和VB对诊断气道阳性病变的敏感性和特异性均较低,由此可看出,3D和VB对疾病诊断的可靠性值得怀疑。 参考文献
, 百拇医药
1 Vining DJ, Gelfand DW, Bechtold RE, et al. Technical feasibility of colon imaging with helical CT and virtual reality [Abstract].AJR, 1994,162 Suppl:104.
2 Vining DJ, Liu K, Choplin RH, et al. Virtual bronchoscopy: relationships of virtual reality endobronchial simulations to actual bronchoscopic findings. Chest, 1996,109:549-553.
3 Davis CP, Ladd ME, Romanowski BJ, et al. Human aorta: preliminary results with virtual endoscopy based on three-dimensional MR imaging data sets. Radiology, 1996, 199:37-40.
, 百拇医药
4 Dachman AH, Lieberman J, Osnis RB, et al. Small simulated polyps in pig colon: sensitivity of CT virtual colography. Radiology, 1997,203:427-430.
5 李子平,许达生,孟俊非.CT仿真内窥镜成像技术临床应用的初步探讨.中华放射学杂志,1998, 32:104-107.
6 Naidich DP, Lee JJ, Garay SM, et al. Comparison of CT and fiberoptic bronchoscopy in the evaluation of bronchial disease. AJR 1987, 148:1-7.
7 Costello P, Kruskal J, Dupuy D, et al. Evaluation of tacheobronchial tree with spiral CT(abstract). Radiology, 1992,185:355.
, 百拇医药
8 Rubin GD, Beaulieu CF, Argiro V, et al. Perspective volume rendering of CT and MR images: applications for endoscopic imaging. Radiology, 1996,199:321-330.
9 Hu X, Alperin N, Levin DN, et al. Visualization of MR angiographic data with segmentation and volume-rendering techniques. J Magn Reson Imaging, 1991, 1: 539-546.
收稿:1999-02-08
修回:1999-07-30, 百拇医药