椎管内硬膜外海绵状血管瘤二例
作者:王学建 李小宝 沈桂权 魏渝清 何常
单位:王学建、李小宝、沈桂权、魏渝清 贵阳,贵阳医学院附属医院放射科 550004,何常 病理科
关键词:
中华放射学杂志991234 单独起源于椎管内硬膜外的海绵状血管瘤(cavernous angioma ,CA)十分少见, 到目前为止,文献报道不足60例,而有关其 MRI 表现仅国外有13例报道,国内未见报道。笔者遇见 2例,均经手术病理证实,现报道如下。
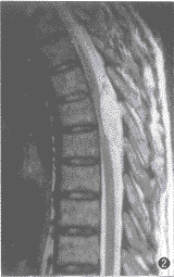
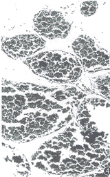
例1 男,65岁。下胸部束带感伴双下肢无力、行走不稳 4个月余。体检:T6以下浅感觉明显减退,双腹壁反射、提睾反射消失,双侧巴彬斯基征(+),双下肢肌力 IV级。脑脊液压力和常规检查正常。胸椎 X线片正常。 MRI扫描:T5~6水平椎管内脊髓后方硬膜外见一4.4 cm×1.5 cm大小的梭形病灶,基底靠后,最大处向两侧椎间孔方向生长。脊髓明显受压变细、前移。T1WI病灶与脊髓呈等信号(图1),T2WI上与脑脊液信号相似(图2)。注射钆喷替酸葡甲胺(Gd-DTPA)后,病灶呈明显均匀强化(图3)。MRI诊断:神经根瘤。手术所见:T5~6椎管内硬膜外见一肉红色梭形肿瘤,边界清楚,呈分叶状, 与硬脊膜有轻度粘连。未见明显增粗的供血动脉和引流静脉。邻近椎板和棘突骨质疏松,但无破坏。病理检查:肿瘤组织由大片壁薄、管腔扩大互相吻合、大小不一、外形不规则的血管间隙构成,壁为单层内皮细胞。血管间见散在的淋巴细胞和脂肪细胞(图4)。病理诊断:海绵状血管瘤。



, http://www.100md.com
图1~4 例1。 T1WI(图1)示 T5~6椎管内脊髓后方硬膜外梭形肿块与脊髓信号相等, 脊髓明显受压前移、变细,基底靠后。T2WI(图2)示病灶呈均匀高信号与脑脊液信号相似。注射钆喷替酸葡甲胺(Gd-DAPA)后(图3)病灶显著均匀强化。镜检(图4):肿瘤主要由扩张而大小不等的血管间隙构成,壁薄,由单层内皮细胞构成(HE 20×10)
例2 女, 66岁。双下肢麻木、僵硬伴运动受限1年,加重3个月伴小便失禁。体检:脐上三横指平面以下痛、触觉减弱,双腹壁反射、踝反射减弱,病理反射未引出。双下肢肌力 IV级。脑脊液压力和常规检查正常。胸椎 X线片正常。 MRI扫描:T8~9椎管内脊髓后方硬膜外见一4.1 cm× 1.1 cm大小的长梭形病灶,基底靠后。T1WI和T2WI均呈高信号,T1WI信号不均(图5,6)。脂肪抑制技术不能压制病灶高信号。注射Gd-DTPA后, 病灶呈轻度不均匀强化。脊髓受压变细前移。MRI诊断:海绵状血管瘤并出血。手术所见:T8~9水平椎管内硬膜外见一长梭形肿瘤,暗红色,轻度分叶,与硬膜有粘连。未见明显粗大的供血和引流血管。显微镜检查:肿瘤组织由壁薄而大小不等的窦状血管间隙组成,壁为单层内皮细胞,可见含铁血黄素颗粒。病理诊断:海绵状血管瘤并出血。

, 百拇医药
图5,6 例2。图5为T1WI、图6为T2WI。示T8~9 椎管内脊髓后方硬膜外长梭形病灶, 呈短T1、长T2信号,T1WI信号不均匀,脊髓明显受压变形、前移
讨论 CA可发生于任何器官。脊柱CA占所有脊柱血管畸形的5%~12%[5],它们中的大多数发生于椎体,并可向硬膜外生长。单独发生于硬膜外的CA十分少见,自 1929年Globus等首次报道以来,约有50余例报道[2]。本病多见于30~60岁成人,男略多于女。好发于中胸段,颈腰段少见[5]。本组 2例均在中胸段,与文献报道相符。病程进展缓慢,临床上以慢性进行性脊髓压迫症状最常见。
影像学表现:X线平片一般无阳性发现。但也有作者报道其阳性率达41%[6],如脊柱侧、后凸,椎间孔扩大,局部骨质吸收、钙化。呈哑铃状生长者,胸片可见后纵隔肿瘤征象[7]。CT呈等密度,多被碘剂强化。椎管造影和CT脊髓造影多可作出定位诊断,但不能定性。由于本病无明确的供血动脉和引流静脉,血管造影价值不大,一般不做。MRI 是目前公认的最佳的影像学检查手段。迄今仅国外有13例报道[1-4], 加本组共15例。本组及文献资料提示,硬膜外CA除具有一般硬膜外良性肿瘤的共同特征外, 自身也具有一定的特征。其信号强度与脊髓相比,T1WI多为等信号(10/14例),少数为低或高信号;T2WI上全部呈高信号(15/15例),与脑脊液信号相似或稍低。注射Gd-DTPA后,全部病灶(11/11例)均有强化,且多为明显强化(9/11例),但多不均匀( 7/11例) ,可能与其中的间质成分或含铁血黄素沉积有关。15例中,2例呈短T1、长T2信号,手术病理证实为病灶内出血,表现颇具特征。但与脑脊髓CA相比,硬膜外CA出血几率明显减少,且周边不易见到含铁血黄素沉积环,原因不明。据Zevgaridis等[4]推测可能是因为硬膜缺乏血脑屏障, 红细胞降解产物易被清除有关。
, http://www.100md.com
本病术前诊断较难,主要依靠手术病理确诊。本组2例中,例1术前误诊为“神经根瘤”。例2 MRI呈短T1、长T2信号,表现典型,因而术前得以确诊。
参考文献
1 Enomoto H, Goto H. Spinal epidural cavernous angioma: MRI findings. Neuroradiology, 1991, 12: 243-244.
2 Graziani N, Bouillot P, Figarella- Branger D, et al. Cavernous angiomas and arteriovenous malformations of the spinal epidural space: report of 11 cases. Neurosurgery, 1994, 35: 856-864.
, 百拇医药
3 Harrington JF, Khan A, Grunnet M. Spinal epidural angioma presenting as a lumber radiculopathy with analysis of magnetic resonance imaging characteristics: case report. Neurosurgery,1995,35:581-584.
4 Zevgaridis D, Buttner A, Veis S. et al. Spinal epidural cavernous hemangiomas. J Neurosurg, 1998, 88: 903-908.
5 Lee JP, Wang ADJ, Wai YY, et al. Spinal extradural cavernous hemangioma. Surg Neurol,1990, 34:345-351.
6 Padovani R, Tognetti F, Proiett D, et al. Extrathecal cavernous hemangioma. Surg Neurol,1982, 18: 463-465.
7 Morioka T, NakagaKi H, Matshuma T, et al. Dumbell shaped spinal epidural cavernous angioma. Surg Neurol, 1986, 25:144-142.
收稿:1999-06-24, http://www.100md.com
单位:王学建、李小宝、沈桂权、魏渝清 贵阳,贵阳医学院附属医院放射科 550004,何常 病理科
关键词:
中华放射学杂志991234 单独起源于椎管内硬膜外的海绵状血管瘤(cavernous angioma ,CA)十分少见, 到目前为止,文献报道不足60例,而有关其 MRI 表现仅国外有13例报道,国内未见报道。笔者遇见 2例,均经手术病理证实,现报道如下。
例1 男,65岁。下胸部束带感伴双下肢无力、行走不稳 4个月余。体检:T6以下浅感觉明显减退,双腹壁反射、提睾反射消失,双侧巴彬斯基征(+),双下肢肌力 IV级。脑脊液压力和常规检查正常。胸椎 X线片正常。 MRI扫描:T5~6水平椎管内脊髓后方硬膜外见一4.4 cm×1.5 cm大小的梭形病灶,基底靠后,最大处向两侧椎间孔方向生长。脊髓明显受压变细、前移。T1WI病灶与脊髓呈等信号(图1),T2WI上与脑脊液信号相似(图2)。注射钆喷替酸葡甲胺(Gd-DTPA)后,病灶呈明显均匀强化(图3)。MRI诊断:神经根瘤。手术所见:T5~6椎管内硬膜外见一肉红色梭形肿瘤,边界清楚,呈分叶状, 与硬脊膜有轻度粘连。未见明显增粗的供血动脉和引流静脉。邻近椎板和棘突骨质疏松,但无破坏。病理检查:肿瘤组织由大片壁薄、管腔扩大互相吻合、大小不一、外形不规则的血管间隙构成,壁为单层内皮细胞。血管间见散在的淋巴细胞和脂肪细胞(图4)。病理诊断:海绵状血管瘤。
, http://www.100md.com
图1~4 例1。 T1WI(图1)示 T5~6椎管内脊髓后方硬膜外梭形肿块与脊髓信号相等, 脊髓明显受压前移、变细,基底靠后。T2WI(图2)示病灶呈均匀高信号与脑脊液信号相似。注射钆喷替酸葡甲胺(Gd-DAPA)后(图3)病灶显著均匀强化。镜检(图4):肿瘤主要由扩张而大小不等的血管间隙构成,壁薄,由单层内皮细胞构成(HE 20×10)
例2 女, 66岁。双下肢麻木、僵硬伴运动受限1年,加重3个月伴小便失禁。体检:脐上三横指平面以下痛、触觉减弱,双腹壁反射、踝反射减弱,病理反射未引出。双下肢肌力 IV级。脑脊液压力和常规检查正常。胸椎 X线片正常。 MRI扫描:T8~9椎管内脊髓后方硬膜外见一4.1 cm× 1.1 cm大小的长梭形病灶,基底靠后。T1WI和T2WI均呈高信号,T1WI信号不均(图5,6)。脂肪抑制技术不能压制病灶高信号。注射Gd-DTPA后, 病灶呈轻度不均匀强化。脊髓受压变细前移。MRI诊断:海绵状血管瘤并出血。手术所见:T8~9水平椎管内硬膜外见一长梭形肿瘤,暗红色,轻度分叶,与硬膜有粘连。未见明显粗大的供血和引流血管。显微镜检查:肿瘤组织由壁薄而大小不等的窦状血管间隙组成,壁为单层内皮细胞,可见含铁血黄素颗粒。病理诊断:海绵状血管瘤并出血。
, 百拇医药
图5,6 例2。图5为T1WI、图6为T2WI。示T8~9 椎管内脊髓后方硬膜外长梭形病灶, 呈短T1、长T2信号,T1WI信号不均匀,脊髓明显受压变形、前移
讨论 CA可发生于任何器官。脊柱CA占所有脊柱血管畸形的5%~12%[5],它们中的大多数发生于椎体,并可向硬膜外生长。单独发生于硬膜外的CA十分少见,自 1929年Globus等首次报道以来,约有50余例报道[2]。本病多见于30~60岁成人,男略多于女。好发于中胸段,颈腰段少见[5]。本组 2例均在中胸段,与文献报道相符。病程进展缓慢,临床上以慢性进行性脊髓压迫症状最常见。
影像学表现:X线平片一般无阳性发现。但也有作者报道其阳性率达41%[6],如脊柱侧、后凸,椎间孔扩大,局部骨质吸收、钙化。呈哑铃状生长者,胸片可见后纵隔肿瘤征象[7]。CT呈等密度,多被碘剂强化。椎管造影和CT脊髓造影多可作出定位诊断,但不能定性。由于本病无明确的供血动脉和引流静脉,血管造影价值不大,一般不做。MRI 是目前公认的最佳的影像学检查手段。迄今仅国外有13例报道[1-4], 加本组共15例。本组及文献资料提示,硬膜外CA除具有一般硬膜外良性肿瘤的共同特征外, 自身也具有一定的特征。其信号强度与脊髓相比,T1WI多为等信号(10/14例),少数为低或高信号;T2WI上全部呈高信号(15/15例),与脑脊液信号相似或稍低。注射Gd-DTPA后,全部病灶(11/11例)均有强化,且多为明显强化(9/11例),但多不均匀( 7/11例) ,可能与其中的间质成分或含铁血黄素沉积有关。15例中,2例呈短T1、长T2信号,手术病理证实为病灶内出血,表现颇具特征。但与脑脊髓CA相比,硬膜外CA出血几率明显减少,且周边不易见到含铁血黄素沉积环,原因不明。据Zevgaridis等[4]推测可能是因为硬膜缺乏血脑屏障, 红细胞降解产物易被清除有关。
, http://www.100md.com
本病术前诊断较难,主要依靠手术病理确诊。本组2例中,例1术前误诊为“神经根瘤”。例2 MRI呈短T1、长T2信号,表现典型,因而术前得以确诊。
参考文献
1 Enomoto H, Goto H. Spinal epidural cavernous angioma: MRI findings. Neuroradiology, 1991, 12: 243-244.
2 Graziani N, Bouillot P, Figarella- Branger D, et al. Cavernous angiomas and arteriovenous malformations of the spinal epidural space: report of 11 cases. Neurosurgery, 1994, 35: 856-864.
, 百拇医药
3 Harrington JF, Khan A, Grunnet M. Spinal epidural angioma presenting as a lumber radiculopathy with analysis of magnetic resonance imaging characteristics: case report. Neurosurgery,1995,35:581-584.
4 Zevgaridis D, Buttner A, Veis S. et al. Spinal epidural cavernous hemangiomas. J Neurosurg, 1998, 88: 903-908.
5 Lee JP, Wang ADJ, Wai YY, et al. Spinal extradural cavernous hemangioma. Surg Neurol,1990, 34:345-351.
6 Padovani R, Tognetti F, Proiett D, et al. Extrathecal cavernous hemangioma. Surg Neurol,1982, 18: 463-465.
7 Morioka T, NakagaKi H, Matshuma T, et al. Dumbell shaped spinal epidural cavernous angioma. Surg Neurol, 1986, 25:144-142.
收稿:1999-06-24, http://www.100md.com