脑泡状棘球蚴病误诊一例分析
作者:楼海燕 文世宏 谭湘萍 张朋奇
单位:楼海燕、谭湘萍 新疆石河子,石河子大学医学院第一附属医院MRI室 832008,文世宏、张朋奇 神经外科
关键词:
中华放射学杂志991232 患者 女,26岁,汉族教师。1997年3月始右半身麻木、右侧肢体无力,5月作头颅CT示左颞顶区占位。同年9月因症状进行性加重入院。体检:心肺正常。右侧躯体感觉减退,右侧肌力4级,肌张力正常,无病理征。实验室检查:常规检查结果均在正常范围。血嗜酸粒细胞为0.08。包虫试验强阳性,即往有与狗接触史10年。B超发现肝囊性占位病变,即行手术摘除。术后5个月因右侧肢体轻偏瘫而复查头颅CT,1个月后再行手术摘除颅内占位病变。
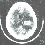
1. 影像学检查: 肝脏B超:左肝内见一约16.6 cm×8.7 cm无回声区,向上膨出,边缘欠光整,壁回声增强,底部见部分细光点沉积(图1),右肝无异常。诊断:左肝内囊性病变(肝包虫)。第1次CT检查:见左侧颞顶区脑髓质内有一稍高密度肿块影,CT值39~48CT, 周边脑组织中度水肿(图2),增强扫描病灶周边环状强化,CT值77 HU(图3),病灶周缘见境界尚清的小囊状影,CT值20 HU,无强化。诊断:左颞顶叶实质性占位,考虑炎性肉芽肿或胶质瘤。相隔9个月复查头颅CT示病灶明显增大,约3.5 cm×2.2 cm×4.0 cm(前片约 2.8 cm×1.8 cm×3.0 cm大小),强化特征同前,病灶边缘小囊影亦同步增大,周边脑组织水肿较前片明显,中线结构右移(图4,5)。诊断:考虑胶质瘤可能性大。
, http://www.100md.com
图1 左肝内巨大囊性占位,形态欠,其内后下方可见稍强回声细光点沉积
图2 第1次CT平扫示左颞顶叶脑髓质内稍高密度肿块,边缘有一欠规则的小囊泡,周围脑组织中度水肿
图3 图2增强扫描,病灶周边环状强化
图4 9个月后头颅CT复查显示病灶增大,边缘小囊状影增多、增大。周围脑组织水肿加重
图5 图4增强扫描,病灶周边环状强化,小囊状影无强化
, 百拇医药
2. 手术: 1997年9月行肝包虫摘除术,病理诊断:肝泡状棘球蚴病。1998年3月行脑包虫摘除术。于左颞顶叶脑髓质深部有一桑椹状肿物,边界清楚,与周边脑组织无粘连,约3.5 cm ×3.0 cm×2.0 cm大小,表面布满大小不一的小囊泡,切面边缘部分呈多个细小囊腔,囊壁灰白。病理诊断:脑泡状棘球蚴病。
讨论 脑泡状棘球蚴病(以下简称泡球蚴病)非常少见。泡球蚴病几乎100%原发于肝脏,脑、肺等其他部位的继发感染多由血循环转移而来[1]。 泡球蚴在寄生脏器内无限制地向外芽生繁殖,形成无数小子囊,呈蜂窝状,囊泡内含胶样物,周围组织发生慢性炎性肉芽肿,不形成纤维包膜。在受损的病灶中央可有坏死、钙盐沉着,被很多的小子囊带包绕,形成一薄的外膜,围绕的这些小囊具有头节,有生长发育的能力[2]。本例CT平扫显示软组织样稍高密度肿块, 周边水肿及增强后的强化特点与脑胶质瘤极为相似。但区别于后者的特征是多发小囊泡分布在病灶边缘,而胶质瘤的囊变区域形态欠规整,大多位于瘤内中心区域,少有这样既有实性软组织肿块又有边缘多发小囊泡分布。郭怀荣等[3]报道5例颅内泡球蚴病,其中1例CT诊断正确, 表现为脑内多发圆形低密度灶,葡萄状排列,无灶边水肿。误诊的4例CT均显示稍高密度肿块、灶边水肿、环状强化及有占位效应。而具有诊断价值的呈边缘分布的多发小囊泡及其有生长发育能力(即小囊泡的增大、增多)未提及。本例病灶增强后呈不规则环状强化,因而与脑组织分界清楚,这与肝泡球蚴浸润性生长与肝组织明显粘连不同。环状强化是否提示病灶区血脑屏障的破坏,以及周围正常脑组织对异物产生的炎性反应尚有待证实。在包虫病的高发地区,肝泡球蚴病需与肝癌鉴别,脑泡球蚴病同样需与脑肿瘤、尤其胶质瘤作鉴别。与颅内结核瘤、颅内肉芽肿性肿块(如颅内结节病)鉴别的关键也在于寻找泡球蚴在寄生过程中形成的无数泡球蚴小囊,其影像学表现具有特异性。而且后2种疾病的诊断往往是在已知结核病、结节病的基础上发现颅内肿块时才考虑。泡球蚴囊表面无角质层和纤维层,其代谢产物直接排泄到周围脑组织,刺激产生明显的反应性水肿,这种灶边水肿与脑转移瘤的指样水肿很难鉴别。
, 百拇医药
参考文献
1 陈佩惠,主编.人体寄生虫学.第4版.北京:人民卫生出版社,1995.146-147.
2 Aydin YN,Barlas OH, Yolas CK. Alveolar hydatid disease of the brain. J Neurosurg, 1986,65: 115-119.
3 郭怀荣,柳琛,苏来曼,等. 颅内泡状棘球蚴病5例. 中华神经外科杂志,1996, 12:384-385.
收稿:1999-03-23
修回:1999-04-25, 百拇医药
单位:楼海燕、谭湘萍 新疆石河子,石河子大学医学院第一附属医院MRI室 832008,文世宏、张朋奇 神经外科
关键词:
中华放射学杂志991232 患者 女,26岁,汉族教师。1997年3月始右半身麻木、右侧肢体无力,5月作头颅CT示左颞顶区占位。同年9月因症状进行性加重入院。体检:心肺正常。右侧躯体感觉减退,右侧肌力4级,肌张力正常,无病理征。实验室检查:常规检查结果均在正常范围。血嗜酸粒细胞为0.08。包虫试验强阳性,即往有与狗接触史10年。B超发现肝囊性占位病变,即行手术摘除。术后5个月因右侧肢体轻偏瘫而复查头颅CT,1个月后再行手术摘除颅内占位病变。
1. 影像学检查: 肝脏B超:左肝内见一约16.6 cm×8.7 cm无回声区,向上膨出,边缘欠光整,壁回声增强,底部见部分细光点沉积(图1),右肝无异常。诊断:左肝内囊性病变(肝包虫)。第1次CT检查:见左侧颞顶区脑髓质内有一稍高密度肿块影,CT值39~48CT, 周边脑组织中度水肿(图2),增强扫描病灶周边环状强化,CT值77 HU(图3),病灶周缘见境界尚清的小囊状影,CT值20 HU,无强化。诊断:左颞顶叶实质性占位,考虑炎性肉芽肿或胶质瘤。相隔9个月复查头颅CT示病灶明显增大,约3.5 cm×2.2 cm×4.0 cm(前片约 2.8 cm×1.8 cm×3.0 cm大小),强化特征同前,病灶边缘小囊影亦同步增大,周边脑组织水肿较前片明显,中线结构右移(图4,5)。诊断:考虑胶质瘤可能性大。
, http://www.100md.com
图1 左肝内巨大囊性占位,形态欠,其内后下方可见稍强回声细光点沉积
图2 第1次CT平扫示左颞顶叶脑髓质内稍高密度肿块,边缘有一欠规则的小囊泡,周围脑组织中度水肿
图3 图2增强扫描,病灶周边环状强化
图4 9个月后头颅CT复查显示病灶增大,边缘小囊状影增多、增大。周围脑组织水肿加重
图5 图4增强扫描,病灶周边环状强化,小囊状影无强化
, 百拇医药
2. 手术: 1997年9月行肝包虫摘除术,病理诊断:肝泡状棘球蚴病。1998年3月行脑包虫摘除术。于左颞顶叶脑髓质深部有一桑椹状肿物,边界清楚,与周边脑组织无粘连,约3.5 cm ×3.0 cm×2.0 cm大小,表面布满大小不一的小囊泡,切面边缘部分呈多个细小囊腔,囊壁灰白。病理诊断:脑泡状棘球蚴病。
讨论 脑泡状棘球蚴病(以下简称泡球蚴病)非常少见。泡球蚴病几乎100%原发于肝脏,脑、肺等其他部位的继发感染多由血循环转移而来[1]。 泡球蚴在寄生脏器内无限制地向外芽生繁殖,形成无数小子囊,呈蜂窝状,囊泡内含胶样物,周围组织发生慢性炎性肉芽肿,不形成纤维包膜。在受损的病灶中央可有坏死、钙盐沉着,被很多的小子囊带包绕,形成一薄的外膜,围绕的这些小囊具有头节,有生长发育的能力[2]。本例CT平扫显示软组织样稍高密度肿块, 周边水肿及增强后的强化特点与脑胶质瘤极为相似。但区别于后者的特征是多发小囊泡分布在病灶边缘,而胶质瘤的囊变区域形态欠规整,大多位于瘤内中心区域,少有这样既有实性软组织肿块又有边缘多发小囊泡分布。郭怀荣等[3]报道5例颅内泡球蚴病,其中1例CT诊断正确, 表现为脑内多发圆形低密度灶,葡萄状排列,无灶边水肿。误诊的4例CT均显示稍高密度肿块、灶边水肿、环状强化及有占位效应。而具有诊断价值的呈边缘分布的多发小囊泡及其有生长发育能力(即小囊泡的增大、增多)未提及。本例病灶增强后呈不规则环状强化,因而与脑组织分界清楚,这与肝泡球蚴浸润性生长与肝组织明显粘连不同。环状强化是否提示病灶区血脑屏障的破坏,以及周围正常脑组织对异物产生的炎性反应尚有待证实。在包虫病的高发地区,肝泡球蚴病需与肝癌鉴别,脑泡球蚴病同样需与脑肿瘤、尤其胶质瘤作鉴别。与颅内结核瘤、颅内肉芽肿性肿块(如颅内结节病)鉴别的关键也在于寻找泡球蚴在寄生过程中形成的无数泡球蚴小囊,其影像学表现具有特异性。而且后2种疾病的诊断往往是在已知结核病、结节病的基础上发现颅内肿块时才考虑。泡球蚴囊表面无角质层和纤维层,其代谢产物直接排泄到周围脑组织,刺激产生明显的反应性水肿,这种灶边水肿与脑转移瘤的指样水肿很难鉴别。
, 百拇医药
参考文献
1 陈佩惠,主编.人体寄生虫学.第4版.北京:人民卫生出版社,1995.146-147.
2 Aydin YN,Barlas OH, Yolas CK. Alveolar hydatid disease of the brain. J Neurosurg, 1986,65: 115-119.
3 郭怀荣,柳琛,苏来曼,等. 颅内泡状棘球蚴病5例. 中华神经外科杂志,1996, 12:384-385.
收稿:1999-03-23
修回:1999-04-25, 百拇医药