MRI诊断先天性冠状动脉瘘二例
作者:罗叶旋 郑伟良 章士正 钱玉娥
单位:杭州,浙江医科大学邵逸夫医院放射科 310016
关键词:
中华放射学杂志991231 冠状动脉瘘是一种罕见的先天性疾病,以下2例为曾在我院行MRI检查且经手术证实的病例。
例1 女,31岁。因亚急性心内膜炎入院。体检:胸骨左缘2~4肋间闻及粗糙、连续性杂音。X线平片见两肺充血,心影向两侧扩大,心胸比率约0.67,右心室增大。超声心动图:见右冠状动脉增粗,内径达1.4 cm,与右心室相通。MRI采用GE Vectra Ⅱ 0.5 T磁共振成像仪。分别行横断位、冠状位及左前斜位T1WI扫描。显示右冠状动脉增粗、扩张,内径达1.5 cm。扫描全程连续显示了右冠状动脉自主动脉根部发出,沿右冠状动脉沟部迂曲右行,继而在心脏的膈面沿后室间沟下行,于后室间沟的下2/3部注入右心室的过程(图1)。右心室增大。另见流空的左、右心室内斑点状软组织信号影,与室壁相连。因患者白细胞仅为2.1×109/L ,故未行冠状动脉造影检查。心胸比率正常,各房室无明显增大。超声心动图疑为冠状动脉瘤。MRI:与例1用同一磁共振成像仪,相同体位T1WI成像,见右冠状动脉扩张、迂曲,内径约1.7 cm,瘘入右心室,瘘口近端冠状动脉呈瘤样膨大。继而选择瘘口部位进行横断位、左前斜位一个心动周期的MRI动态电影成像(cine MR),见整个心动周期在瘤样扩张的右冠状动脉末端及右心室可见湍流造成的低信号改变(图2~4)。测量估计瘘口直径约0.8 cm。冠状动脉DSA检查,见右冠状动脉增粗,末端呈瘤样膨大,但对于瘘入的房室结构因显影淡且持续时间短而难以区分清楚。
, 百拇医药
图1 例1,T1WI冠状位示右冠状动脉增粗,沿心右缘下行
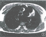
图2 例2,主动脉窦层面T1WI扫描,扩张的右冠状动脉自主动脉根部发出,内径达1.7 cm
图3 同图2病例,横断位电影MR显示瘘口近端右冠状动脉呈瘤样扩张,可见全心动周期“喷射”入右心室的低信号湍流
图4 同图2病例,左前斜位瘘口层面电影MR成像显示瘘口及湍流引起的信号丢失
手术所见:右冠状动脉明显增粗,内径约1.4 cm。右心室增大显著。近膈面处触及双期震颤,术后消失。瘘口直径约0.8 cm,通向右心室三尖瓣前后瓣交界部位。左、右心室壁上可见附壁血栓。
, 百拇医药
例2 女,25岁。心尖区杂音5年入院。体检:胸骨左缘4~5肋间连续性杂音,伴有震颤。X线平片见肺血增多,手术所见:右心室后壁可触及连续性震颤,右冠状动脉扩张,大约2.0 cm,瘘入右心室,瘘口约1.0 cm,右心室肥大,肺动脉明显增粗。
讨论 冠状动脉瘘的发病率约占先天性心脏病的1/50 000万。病因是胚胎期某些原因所致心肌局部区域发育停止,窦状隙持久存在而形成。表现为任何1支或多支冠状动脉与左心或右心结构、大的脉管之间的异常连接,以右冠状动脉右室瘘最常见[1,2]。
MRI是一种无创伤性检查,(1)T1WI血液呈流空信号,MRI能清晰显示各房室的大小、心肌的厚度及信号改变,以及瘤样扩张的冠状动脉起始、走行和注入部位。(2)增粗的冠状动脉远端变细,与心腔直接相通,MRI能显示瘘口的形态及大小,明确其所在部位。(3)左心室及瘘口所在心腔扩大[3]。(4)梯度回波序列(GRE)是小角度快速成像,血液呈现高信号。各种狭窄、关闭不全或缺损(包括瘘道)造成的涡流均可引起信号丢失,表现为低、无信号。心脏动态电影成像运用GRE成像方法,采集某一固定层面在1个心动周期的多幅连续图像,能够观察到整个心动周期由冠状动脉“喷射”入心腔的湍流低信号。同时可以观察各瓣膜的活动情况和心肌的收缩、舒张功能。(5)冠状动脉MRA的图像效果接近冠状动脉造影,较之更为优越的是,冠状动脉MRA可以进行图像的后期重建。按需要做不同方位、不同角度的旋转成像,将扭曲、重叠的冠状动脉充分暴露出来。(6)MRI检查同时能发现并存的其他畸型。
, http://www.100md.com
相信随着MRI技术的进一步发展,对于先天性冠状动脉瘘以及其他心血管疾病的诊断有着广阔的应用前景。
参考文献
1 Tkebuchava T,Von Segesser LK,Vogt PR,et al.Congenital&127;coronary fistulas in children and adults:diagnosis, surgical technique&127;and results.J Cardiovasc Surg(Torino),1996,37:29-34.
2 朱鲜阳,张玉威,韩秀敏.22例先天性冠状动脉瘘的诊断.沈阳部队医药,1995,8:526-527.
3 李坤成.心血管磁共振诊断学.北京:人民卫生出版社,1997.187-188.
收稿:1999-01-28
修回:1999-05-16, 百拇医药
单位:杭州,浙江医科大学邵逸夫医院放射科 310016
关键词:
中华放射学杂志991231 冠状动脉瘘是一种罕见的先天性疾病,以下2例为曾在我院行MRI检查且经手术证实的病例。
例1 女,31岁。因亚急性心内膜炎入院。体检:胸骨左缘2~4肋间闻及粗糙、连续性杂音。X线平片见两肺充血,心影向两侧扩大,心胸比率约0.67,右心室增大。超声心动图:见右冠状动脉增粗,内径达1.4 cm,与右心室相通。MRI采用GE Vectra Ⅱ 0.5 T磁共振成像仪。分别行横断位、冠状位及左前斜位T1WI扫描。显示右冠状动脉增粗、扩张,内径达1.5 cm。扫描全程连续显示了右冠状动脉自主动脉根部发出,沿右冠状动脉沟部迂曲右行,继而在心脏的膈面沿后室间沟下行,于后室间沟的下2/3部注入右心室的过程(图1)。右心室增大。另见流空的左、右心室内斑点状软组织信号影,与室壁相连。因患者白细胞仅为2.1×109/L ,故未行冠状动脉造影检查。心胸比率正常,各房室无明显增大。超声心动图疑为冠状动脉瘤。MRI:与例1用同一磁共振成像仪,相同体位T1WI成像,见右冠状动脉扩张、迂曲,内径约1.7 cm,瘘入右心室,瘘口近端冠状动脉呈瘤样膨大。继而选择瘘口部位进行横断位、左前斜位一个心动周期的MRI动态电影成像(cine MR),见整个心动周期在瘤样扩张的右冠状动脉末端及右心室可见湍流造成的低信号改变(图2~4)。测量估计瘘口直径约0.8 cm。冠状动脉DSA检查,见右冠状动脉增粗,末端呈瘤样膨大,但对于瘘入的房室结构因显影淡且持续时间短而难以区分清楚。
, 百拇医药
图1 例1,T1WI冠状位示右冠状动脉增粗,沿心右缘下行
图2 例2,主动脉窦层面T1WI扫描,扩张的右冠状动脉自主动脉根部发出,内径达1.7 cm
图3 同图2病例,横断位电影MR显示瘘口近端右冠状动脉呈瘤样扩张,可见全心动周期“喷射”入右心室的低信号湍流
图4 同图2病例,左前斜位瘘口层面电影MR成像显示瘘口及湍流引起的信号丢失
手术所见:右冠状动脉明显增粗,内径约1.4 cm。右心室增大显著。近膈面处触及双期震颤,术后消失。瘘口直径约0.8 cm,通向右心室三尖瓣前后瓣交界部位。左、右心室壁上可见附壁血栓。
, 百拇医药
例2 女,25岁。心尖区杂音5年入院。体检:胸骨左缘4~5肋间连续性杂音,伴有震颤。X线平片见肺血增多,手术所见:右心室后壁可触及连续性震颤,右冠状动脉扩张,大约2.0 cm,瘘入右心室,瘘口约1.0 cm,右心室肥大,肺动脉明显增粗。
讨论 冠状动脉瘘的发病率约占先天性心脏病的1/50 000万。病因是胚胎期某些原因所致心肌局部区域发育停止,窦状隙持久存在而形成。表现为任何1支或多支冠状动脉与左心或右心结构、大的脉管之间的异常连接,以右冠状动脉右室瘘最常见[1,2]。
MRI是一种无创伤性检查,(1)T1WI血液呈流空信号,MRI能清晰显示各房室的大小、心肌的厚度及信号改变,以及瘤样扩张的冠状动脉起始、走行和注入部位。(2)增粗的冠状动脉远端变细,与心腔直接相通,MRI能显示瘘口的形态及大小,明确其所在部位。(3)左心室及瘘口所在心腔扩大[3]。(4)梯度回波序列(GRE)是小角度快速成像,血液呈现高信号。各种狭窄、关闭不全或缺损(包括瘘道)造成的涡流均可引起信号丢失,表现为低、无信号。心脏动态电影成像运用GRE成像方法,采集某一固定层面在1个心动周期的多幅连续图像,能够观察到整个心动周期由冠状动脉“喷射”入心腔的湍流低信号。同时可以观察各瓣膜的活动情况和心肌的收缩、舒张功能。(5)冠状动脉MRA的图像效果接近冠状动脉造影,较之更为优越的是,冠状动脉MRA可以进行图像的后期重建。按需要做不同方位、不同角度的旋转成像,将扭曲、重叠的冠状动脉充分暴露出来。(6)MRI检查同时能发现并存的其他畸型。
, http://www.100md.com
相信随着MRI技术的进一步发展,对于先天性冠状动脉瘘以及其他心血管疾病的诊断有着广阔的应用前景。
参考文献
1 Tkebuchava T,Von Segesser LK,Vogt PR,et al.Congenital&127;coronary fistulas in children and adults:diagnosis, surgical technique&127;and results.J Cardiovasc Surg(Torino),1996,37:29-34.
2 朱鲜阳,张玉威,韩秀敏.22例先天性冠状动脉瘘的诊断.沈阳部队医药,1995,8:526-527.
3 李坤成.心血管磁共振诊断学.北京:人民卫生出版社,1997.187-188.
收稿:1999-01-28
修回:1999-05-16, 百拇医药