新型隐球菌肺脑合并感染一例
作者:刘军波 郭勇 高建英
单位:山东省济宁医学院第二附属医院放射科 272051
关键词:
中华放射学杂志991228 患者 女,34岁。因发热、咳嗽、头痛并呕吐1周就诊。
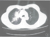
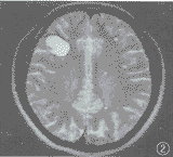
胸片示右肺门增大,上野见斑片状模糊阴影。CT扫描见:右肺上叶不规则斑片状病灶,有毛刺及纤维条索(图1)。小脑上蚓部见一边界清楚的低密度灶,无水肿区,右额顶叶见一大片状低密度区,其内见弧带状出血灶,右侧脑室略受压变形,右枕叶和左额叶各见一小圆形低密度灶。1个月后再次CT检查:颅内病灶仍存在,病灶囊变,右额顶叶病灶内出血影消失,病灶增强后不强化。5个月后胸片检查,右肺病灶消失;颅脑磁共振检查示原囊性灶仍存在,皮质下区及脑深部见多个小病灶(图2)。8个月时CT平扫:不见囊性灶,脑实质内见多发大小不一略高密度结节性病灶,占位不明显,以小脑半球居多(图3)。
, 百拇医药
图1 CT扫描,示右肺上叶不规则斑片状病灶,有毛刺及纤维条索
图2 颅脑磁共振扫描,示原囊性灶仍存在,皮质下区及脑深部见多个小病灶
图3 8个月时CT平扫:不见囊性灶,脑实质内见多发大小不一略高密度结节性病灶,占位不明显,以小脑半球居多
治疗经过:先后以结核、肺癌并脑转移、脑囊虫病误诊误治1年。1998年3月行脑立体定向穿刺活检证实为隐球菌肉芽肿;脑脊液墨汁染色和隐球菌培养阳性。最终诊断:新型隐球菌肺脑合并感染。
追溯病史:1997年3月患者左手虎口处刀伤后化脓感染,经多种抗生素治疗1个月余痊愈。
, 百拇医药
讨论 新型隐球菌感染文献报道不多,肺脑同时发病笔者尚未见报道。其感染的形成多有基础病变,国外报道艾滋病患者发病率高[1], 国内报道多继发于严重感染、恶性肿瘤、白血病、系统性红斑狼疮和肾移植术后[2,3]。本例发病前有化脓感染及滥用抗生素史,推测由此而引起。新型隐球菌经呼吸道侵入人体,首先在肺内形成病灶,然后经血液循环播散至全身各脏器,中枢神经系统尤易受累。本例肺脑同时发病,感染来源于手部创口感染后新型隐球菌的血行播散。导致本例长期误诊误治的原因有三:一是只注重影像诊断而缺乏系统的问诊和查体。患者诊前有感染病史,在病后1年才问及,可谓教训深刻;二是多数影像医师对新型隐球菌病的影像了解不多,缺乏感性认识;三是多层次医院重复检查,缺乏系统追踪随访,也是导致反复误诊的因素之一。新型隐球菌病的肺内表现为上叶单发斑片病灶,有毛刺及胸膜凹陷症,与结核、肺癌不易区分,其病程呈慢性经过,临床症状少,经治疗后病灶消失为其特点。新型隐球菌病的脑内表现亦呈慢性经过,在不同时期影像各异,其演变过程较具特征性:低密度灶→假性囊肿→肉芽肿→隐球菌瘤。病灶大小不一,分布以大脑皮层下区及小脑居多,边界较清,水肿轻,占位不明显。
, http://www.100md.com
参考文献
1 Popovich MJ,Arthur RH,Helmer E.CT of intracranial cryptococcosis. AJR,1990,154:603-606.
2 韩再德,彭仁罗,杨秀军,等.隐球菌性脑膜炎的CT分析.临床放射学杂志,1995, 14:331-333.
3 张爱莲,贾秀珍,高育.肺霉菌病影像诊断的探讨.中国医学影像学杂志,1998,6:112-114.
收稿:1999-01-21
修回:1999-07-02, http://www.100md.com
单位:山东省济宁医学院第二附属医院放射科 272051
关键词:
中华放射学杂志991228 患者 女,34岁。因发热、咳嗽、头痛并呕吐1周就诊。
胸片示右肺门增大,上野见斑片状模糊阴影。CT扫描见:右肺上叶不规则斑片状病灶,有毛刺及纤维条索(图1)。小脑上蚓部见一边界清楚的低密度灶,无水肿区,右额顶叶见一大片状低密度区,其内见弧带状出血灶,右侧脑室略受压变形,右枕叶和左额叶各见一小圆形低密度灶。1个月后再次CT检查:颅内病灶仍存在,病灶囊变,右额顶叶病灶内出血影消失,病灶增强后不强化。5个月后胸片检查,右肺病灶消失;颅脑磁共振检查示原囊性灶仍存在,皮质下区及脑深部见多个小病灶(图2)。8个月时CT平扫:不见囊性灶,脑实质内见多发大小不一略高密度结节性病灶,占位不明显,以小脑半球居多(图3)。
, 百拇医药
图1 CT扫描,示右肺上叶不规则斑片状病灶,有毛刺及纤维条索
图2 颅脑磁共振扫描,示原囊性灶仍存在,皮质下区及脑深部见多个小病灶
图3 8个月时CT平扫:不见囊性灶,脑实质内见多发大小不一略高密度结节性病灶,占位不明显,以小脑半球居多
治疗经过:先后以结核、肺癌并脑转移、脑囊虫病误诊误治1年。1998年3月行脑立体定向穿刺活检证实为隐球菌肉芽肿;脑脊液墨汁染色和隐球菌培养阳性。最终诊断:新型隐球菌肺脑合并感染。
追溯病史:1997年3月患者左手虎口处刀伤后化脓感染,经多种抗生素治疗1个月余痊愈。
, 百拇医药
讨论 新型隐球菌感染文献报道不多,肺脑同时发病笔者尚未见报道。其感染的形成多有基础病变,国外报道艾滋病患者发病率高[1], 国内报道多继发于严重感染、恶性肿瘤、白血病、系统性红斑狼疮和肾移植术后[2,3]。本例发病前有化脓感染及滥用抗生素史,推测由此而引起。新型隐球菌经呼吸道侵入人体,首先在肺内形成病灶,然后经血液循环播散至全身各脏器,中枢神经系统尤易受累。本例肺脑同时发病,感染来源于手部创口感染后新型隐球菌的血行播散。导致本例长期误诊误治的原因有三:一是只注重影像诊断而缺乏系统的问诊和查体。患者诊前有感染病史,在病后1年才问及,可谓教训深刻;二是多数影像医师对新型隐球菌病的影像了解不多,缺乏感性认识;三是多层次医院重复检查,缺乏系统追踪随访,也是导致反复误诊的因素之一。新型隐球菌病的肺内表现为上叶单发斑片病灶,有毛刺及胸膜凹陷症,与结核、肺癌不易区分,其病程呈慢性经过,临床症状少,经治疗后病灶消失为其特点。新型隐球菌病的脑内表现亦呈慢性经过,在不同时期影像各异,其演变过程较具特征性:低密度灶→假性囊肿→肉芽肿→隐球菌瘤。病灶大小不一,分布以大脑皮层下区及小脑居多,边界较清,水肿轻,占位不明显。
, http://www.100md.com
参考文献
1 Popovich MJ,Arthur RH,Helmer E.CT of intracranial cryptococcosis. AJR,1990,154:603-606.
2 韩再德,彭仁罗,杨秀军,等.隐球菌性脑膜炎的CT分析.临床放射学杂志,1995, 14:331-333.
3 张爱莲,贾秀珍,高育.肺霉菌病影像诊断的探讨.中国医学影像学杂志,1998,6:112-114.
收稿:1999-01-21
修回:1999-07-02, http://www.100md.com