肥厚型心肌病心功能异常的磁共振电影成像分析
作者:梁波 江利 孔祥泉 彭振军 常时新 熊茵 肖学宏
单位:430022 武汉,同济医科大学附属协和医院MR室
关键词:心肌病,肥大性;心室功能,左;磁共振成像
中华放射学杂志000614 【摘要】 目的 应用磁共振电影成像(cine-MRI)方法探讨肥厚型心肌病的左心室功能的变化。方法 12例肥厚型心肌病患者,行MR快速自旋回波(TSE)多层面平扫和cine-MRI 检查,用ARGUS专用心功能分析软件分析射血分数、心肌增厚率、心腔(左心室)容积及时间-容积变化曲线等参数。结果 (1)肥厚型心肌病主要累及左心室前、侧壁及室间隔,肥厚心肌的心肌增厚率显著低于正常心肌(t=15.1,P<0.01)。(2)左心室心腔容积较正常降低,且舒张能力下降(t=25.4,P<0.01)。(3)左心室流出道狭窄明显,左心射血时限延长。结论 肥厚型心肌病左心功能不同程度下降,MRI能全面了解心脏形态及功能异常,具有重要的临床应用价值。
, http://www.100md.com
Evaluation of malfunction of left ventricle in hypertrophic myocardiopathy with cine-MR imaging
LIANG Bo JIANG Li KONG Xiangquan
(Department of Radiology, Xiehe Hospital, Tongji Medical University,Wuhan 430022,China)
【Abstract】 Objective To study the morphology and left ventricular function in patients with hypertrophic cardiomyopathy with cine-MRI. Methods Twelve patients with hypertrophic cardiomyopathy were studied with TSE-T1WI and cine-MRI, and some indices for the evaluation of cardiac function were measured using ARGUS auto- quantitation program. Results (1)The anterior and lateral wall of left ventricle and interventricular septum were often thickened in hypertrophic cardiomyopathy. The thickening rate of hypertrophic myocardium was less than that of normal significantly (t=15.1,P<0.01) at end systole. (2)Left ventricular volume was decreased (t=25.4, P<0.01) with low end-diastolic function in asymmetric hypertrophic cardiomyopathy. (3)The left ventricular outflow tract was narrow with longer ejection time. Conclusion The myocardial thickening with decreased left ventricular function is often observed in hypertrophic cardiomyopathy. Cardiac magnetic resonance imaging can provide useful morphologic and functional information.
, 百拇医药
【Key word】 Cardiomyopathy, hypertrophic; Ventricular function,left; Magnetic resonance imaging
肥厚型心肌病是一种较为常见的获得性心脏疾患,临床表现缺乏特异性,诊断有一定困难。影像学检查为该病的临床诊断提供了形态学的依据,但有关MRI评价心脏功能异常的报道不多[1-8]。笔者拟通过磁共振电影(cine-MRI)手段动态观察肥厚心肌的活动特点并结合心功能分析方法,探讨MRI评价肥厚型心肌病的作用。
材料与方法
搜集我院1998年期间经各种检查综合诊断为肥厚型心肌病的患者12例,其中男8例,女4例,年龄16~49岁,平均39.4岁。主要临床表现为劳累后胸闷、气短,其中2例有偶发晕厥症状;部分患者于胸骨左缘可闻及收缩期杂音; 3例行心电图检查,其中2例有心肌缺血改变,1例有提示心肌肥厚的异常Q波改变,所有12例均行心脏B超检查。
, 百拇医药
1. MR检查:使用德国Siemens 1.5 T MR扫描仪,体部相控阵表面线圈,采用胸前导联心电门控技术,快速自旋回波(TSE)序列T1WI、T2WI平扫。cine-MRI采用梯度回波序列。采集矩阵126×256,视野25 cm×35 cm,像素大小为2.0 mm×1.3 mm,扫描层厚为6~8 mm。电影每层采集11个心动周期,平均1次,连续多层,层间距5~10 mm,用于进行心功能分析。平扫常规取轴面、冠状面和心长轴四腔面。电影取垂直于心室间隔的短轴面,部分加做长轴四腔面。整个检查需时约0.5~1.0 h。
2. 数据分析:电影资料的动态分析(左心室):(1)心壁分区:自心底二尖瓣口层面向心尖层面连续切层扫描5~8层,以心长轴为中心放射状将左心室前、侧、后壁和室间隔分为8~12段,共约40~96个节段(图1)。(2)自动勾画出每幅图像心壁的内外缘(ARGUS软件自动完成),手动修正。(3)启动分析软件(ARGUS),主要分析内容包括:①各节段心肌的增厚率[ΔT=(TS-TD)/TD×100%]。ΔT为心肌增厚率;TS为收缩末期心室壁厚度;TD为舒张末期心室壁厚度],并给出各部分心壁厚度及增厚率之间的灰阶差异直观对比示意图,即所谓“牛眼”图(图2)。②心腔容积:包括舒张末期容积(EDV)和收缩末期容积(ESV)(V=πD2L/6 ≈D3;D为左室短轴)。③自动画出左室容积-时间变化曲线图。④每搏心输出量(SV)。⑤心室射血分数[EF=(EDV-ESV)/EDV×100%][1]。⑥心肌收缩持续时间。
, 百拇医药
图1 以心腔为中心,于短轴面将左心室各壁放射状分为8~12等份
图2 牛眼图。由5~8层同心圆组成,分别表示自心尖到心底的连续心室切层,被8~12条线划分为40~96个扇区。REF为参考范围,Apex为心尖
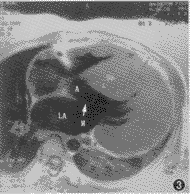
图3 非匀称型肥厚型心肌病。横轴面T1WI, 示室间隔及左心室前、侧壁显著肥厚,左心室腔缩小,室间隔左心室面与二尖瓣前叶(箭头)构成狭窄的流出道。LA为左心房,A为主动脉,SP为室间隔

, http://www.100md.com
图4,5 非匀称型肥厚型心肌病短轴面电影MRI,图4为舒张末期,图5为收缩末期,可见左室前壁及室间隔增厚,且增厚率下降
表1 肥厚型心肌病左心功能与正常参考值的比较(
±s) 分型
心肌增厚率(%)
舒张末期容积(ml)
收缩末期容积(ml)
每搏输出量(ml)
射血分数(%)
非均称型
22.1± 8.9②
, http://www.100md.com
44.7± 6.8②
17.1± 2.3②
39.1±9.6③
69.6±6.8
心尖肥厚型
52.8± 6.6
66.3± 5.5②
30.5±11.0
41.5±9.5③
63.3±5.9
, 百拇医药 正常①
73.0±18.0
113.3±14.6
39.6± 7.9
73.7±8.3
65.1
注:①参考文献[2,4,6];②t=15.1~25.4,P<0.01;③t=5.68~8.83,P<0.05 将ARGUS自动心功能分析结果分类处理,分别比较各类型心肌病及正常人的心肌增厚率、左心室容积、射血分数等,结果进行t检验。
结果
非匀称型肥厚型心肌病7例,心尖肥厚型4例,均匀肥厚型1例。
, http://www.100md.com
肥厚型心肌病心肌肥厚主要累及左心室前侧壁 (图3)和室间隔,肥厚显著者常常伴有心室流出道的梗阻,心室后壁不易受累。与正常心肌相比,肥厚心肌增厚率下降(图4,5);心腔容积不同程度减少,以舒张末期为主;左心室泵血功能下降,表现为心肌收缩时限延长,每搏输出量下降,其程度似与心肌肥厚程度呈正比,但射血分数并未下降(表1)。
伴有血流动力学梗阻者见于非匀称型心肌病,表现为左心室流出道狭窄,舒张末期平均前后径为(1.3±0.4) cm[非梗阻型为(2.0±0.1) cm]。长轴四腔面cine-MRI示左心室收缩时,室间隔肥厚,心肌凸向左心室面,二尖瓣前叶向前移,使流出道进一步狭窄,并可见由于高速射血引起血流信号丢失而出现的“涡流”征。
图6 左心室容量-时间变化图
讨论
, http://www.100md.com
ARGUS自动心功能分析软件能自动测量出左室各节段心壁收缩末期和舒张末期心肌厚度,以及心肌增厚率,前者能精确反映心肌肥厚的部位和肥厚程度,后者可反映心肌收缩功能。另外,对肥厚心肌以室间隔、左心室前壁好发,不均匀分布的特点,以及心肌收缩增厚的情况,可以从软件所描绘的各节段心壁间心肌厚度和心肌增厚率差异的黑白灰阶对比示意图上,直观、整体地显示出来(图2)。统计结果显示:肥厚部位舒张末期心壁厚度的绝对值均≥15 mm,其与左心室后壁同期厚度比值≥1.5。心肌增厚率下降,其中非匀称型肥厚型心肌病患者的心肌增厚率显著低于心尖肥厚型和正常组(t=15.1,P<0.01)。与正常组相比,心尖肥厚型心肌病心肌增厚率虽低于正常组,但两者差异无显著性意义(t=1.65,P>0.05)。与Richard等统计结果一致[1-4]。
对由于心肌肥厚导致的心室腔容积缩小、尤其是EDV缩小的情况。ARGUS 自动心功能分析软件既可直接测量各时相左心室容积并算出SV,又可自动描绘出容积-时间变化曲线图(图6)。统计结果显示:两种类型心肌病EDV均显著缩小(t=15.3~25.4,P<0.01),以非匀称型肥厚性心肌病为甚。SV值与正常值间亦存在显著性差异(t=5.86~8.83,P<0.05)。与正常容积-时间变化曲线比较显示:肥厚型心肌病左心室收缩早期射血迅速,曲线走势较陡,但随后迅即变缓,收缩中期容积变化不明显,曲线呈“平台”样改变,且持续时间较长,收缩末期曲线逐渐恢复快速射血趋势;曲线呈口宽、底浅低容量泵血特征改变。正常心脏则表现为窄口、深底抛物线形高容量泵血曲线特征改变。伴有左心室流出道梗阻患者的左心室容量-时间变化曲线图上的曲线“平台”样改变尤为明显。
, 百拇医药
EF是反映左心室功能的一项重要指标,与正常相比,本组统计肥厚型心肌病EF值偏高,说明肥厚的心肌通过增强心肌收缩力和延长收缩持续时间,以克服心腔容积缩小和(或)流出道梗阻所导致的SV下降来维持体循环,即所谓“高动力状态”,但差异无显著性意义。
cine-MRI是观察心脏活动的有效方法,通过四腔面动态MRI电影既可观察到流出道由于肥厚部位外凸所致狭窄和高速射血产生的“涡流征象”(turbulent flow)。又可直观显示收缩早期流出道高速血流使二尖瓣前移,并“吸入”流出道造成“动态”梗阻的过程,以及二尖瓣前移造成二尖瓣关闭时对位不良,二尖瓣轻度返流、左房轻度扩大征象。一般认为左心室流出道狭窄是由于不匀称肥厚的室间隔凸向流出道和二尖瓣前移共同所致,但后者是主要原因[5]。另外,垂直于室间隔的心短轴面cine-MRI可观察泵血时心壁的不均匀运动,直观、动态地了解心轴缩短和肥厚心肌的增厚及活动情况。
心脏MRI检查具有大视野、任意切面、图像清晰、直观等特点,尤其显示局限性和心尖肥厚较敏感和准确,有利于分型诊断。cine-MRI显示心壁与心池界面较平扫更清晰,能直观、准确显示各型心肌肥厚情况,可动态了解心脏各壁活动情况,同时又可做心功能分析,是诊断肥厚型心肌病的一种理想的方法。
, 百拇医药
参考文献
1,李坤成,主编. 心血管磁共振成像诊断学. 北京:人民卫生出版社,1997.97-102.
2,Park JH, Kim YM, Chung JW, et al. MR imaging of hypertrophic cardiomyopathy. Radiology ,1992,185:441-446.
3,庞志显,李坤成,刘苏英,等.肥厚型心肌病的磁共振成像研究. 中华放射学杂志,1995,29:672-675.
4,Semelka RC, Tomei E, Wagner S, et al. Normal left ventricular dimensions and function: interstudy reproducibility of measurements with cine MR imaging. Radiology ,1990,174:763-768.
, http://www.100md.com
5,Dong SJ, MacGregor JH, Crawley AP, et al. Left ventricular wall thickness and regional systolic function in patients with hypertrophic cardiomyopathy. Circulation ,1994,90:1200-1209.
6,谢道海,丁乙,陈学仁,等.电影磁共振对正常人左心功能的测定.中华放射学杂志,1994,28:444-447.
7,Higgins CB, Sakuma H. Heart disease: functional evaluation with MR imaging. Radiology, 1996,199:307-315.
8,刘玉清,杨浣宜,李坤成. 原发性心肌病的进展及影像学诊断的评价. 中华放射学杂志, 1997,16:51-54.
(收稿日期:1999-08-06), 百拇医药
单位:430022 武汉,同济医科大学附属协和医院MR室
关键词:心肌病,肥大性;心室功能,左;磁共振成像
中华放射学杂志000614 【摘要】 目的 应用磁共振电影成像(cine-MRI)方法探讨肥厚型心肌病的左心室功能的变化。方法 12例肥厚型心肌病患者,行MR快速自旋回波(TSE)多层面平扫和cine-MRI 检查,用ARGUS专用心功能分析软件分析射血分数、心肌增厚率、心腔(左心室)容积及时间-容积变化曲线等参数。结果 (1)肥厚型心肌病主要累及左心室前、侧壁及室间隔,肥厚心肌的心肌增厚率显著低于正常心肌(t=15.1,P<0.01)。(2)左心室心腔容积较正常降低,且舒张能力下降(t=25.4,P<0.01)。(3)左心室流出道狭窄明显,左心射血时限延长。结论 肥厚型心肌病左心功能不同程度下降,MRI能全面了解心脏形态及功能异常,具有重要的临床应用价值。
, http://www.100md.com
Evaluation of malfunction of left ventricle in hypertrophic myocardiopathy with cine-MR imaging
LIANG Bo JIANG Li KONG Xiangquan
(Department of Radiology, Xiehe Hospital, Tongji Medical University,Wuhan 430022,China)
【Abstract】 Objective To study the morphology and left ventricular function in patients with hypertrophic cardiomyopathy with cine-MRI. Methods Twelve patients with hypertrophic cardiomyopathy were studied with TSE-T1WI and cine-MRI, and some indices for the evaluation of cardiac function were measured using ARGUS auto- quantitation program. Results (1)The anterior and lateral wall of left ventricle and interventricular septum were often thickened in hypertrophic cardiomyopathy. The thickening rate of hypertrophic myocardium was less than that of normal significantly (t=15.1,P<0.01) at end systole. (2)Left ventricular volume was decreased (t=25.4, P<0.01) with low end-diastolic function in asymmetric hypertrophic cardiomyopathy. (3)The left ventricular outflow tract was narrow with longer ejection time. Conclusion The myocardial thickening with decreased left ventricular function is often observed in hypertrophic cardiomyopathy. Cardiac magnetic resonance imaging can provide useful morphologic and functional information.
, 百拇医药
【Key word】 Cardiomyopathy, hypertrophic; Ventricular function,left; Magnetic resonance imaging
肥厚型心肌病是一种较为常见的获得性心脏疾患,临床表现缺乏特异性,诊断有一定困难。影像学检查为该病的临床诊断提供了形态学的依据,但有关MRI评价心脏功能异常的报道不多[1-8]。笔者拟通过磁共振电影(cine-MRI)手段动态观察肥厚心肌的活动特点并结合心功能分析方法,探讨MRI评价肥厚型心肌病的作用。
材料与方法
搜集我院1998年期间经各种检查综合诊断为肥厚型心肌病的患者12例,其中男8例,女4例,年龄16~49岁,平均39.4岁。主要临床表现为劳累后胸闷、气短,其中2例有偶发晕厥症状;部分患者于胸骨左缘可闻及收缩期杂音; 3例行心电图检查,其中2例有心肌缺血改变,1例有提示心肌肥厚的异常Q波改变,所有12例均行心脏B超检查。
, 百拇医药
1. MR检查:使用德国Siemens 1.5 T MR扫描仪,体部相控阵表面线圈,采用胸前导联心电门控技术,快速自旋回波(TSE)序列T1WI、T2WI平扫。cine-MRI采用梯度回波序列。采集矩阵126×256,视野25 cm×35 cm,像素大小为2.0 mm×1.3 mm,扫描层厚为6~8 mm。电影每层采集11个心动周期,平均1次,连续多层,层间距5~10 mm,用于进行心功能分析。平扫常规取轴面、冠状面和心长轴四腔面。电影取垂直于心室间隔的短轴面,部分加做长轴四腔面。整个检查需时约0.5~1.0 h。
2. 数据分析:电影资料的动态分析(左心室):(1)心壁分区:自心底二尖瓣口层面向心尖层面连续切层扫描5~8层,以心长轴为中心放射状将左心室前、侧、后壁和室间隔分为8~12段,共约40~96个节段(图1)。(2)自动勾画出每幅图像心壁的内外缘(ARGUS软件自动完成),手动修正。(3)启动分析软件(ARGUS),主要分析内容包括:①各节段心肌的增厚率[ΔT=(TS-TD)/TD×100%]。ΔT为心肌增厚率;TS为收缩末期心室壁厚度;TD为舒张末期心室壁厚度],并给出各部分心壁厚度及增厚率之间的灰阶差异直观对比示意图,即所谓“牛眼”图(图2)。②心腔容积:包括舒张末期容积(EDV)和收缩末期容积(ESV)(V=πD2L/6 ≈D3;D为左室短轴)。③自动画出左室容积-时间变化曲线图。④每搏心输出量(SV)。⑤心室射血分数[EF=(EDV-ESV)/EDV×100%][1]。⑥心肌收缩持续时间。
, 百拇医药
图1 以心腔为中心,于短轴面将左心室各壁放射状分为8~12等份
图2 牛眼图。由5~8层同心圆组成,分别表示自心尖到心底的连续心室切层,被8~12条线划分为40~96个扇区。REF为参考范围,Apex为心尖
图3 非匀称型肥厚型心肌病。横轴面T1WI, 示室间隔及左心室前、侧壁显著肥厚,左心室腔缩小,室间隔左心室面与二尖瓣前叶(箭头)构成狭窄的流出道。LA为左心房,A为主动脉,SP为室间隔
, http://www.100md.com
图4,5 非匀称型肥厚型心肌病短轴面电影MRI,图4为舒张末期,图5为收缩末期,可见左室前壁及室间隔增厚,且增厚率下降
表1 肥厚型心肌病左心功能与正常参考值的比较(
心肌增厚率(%)
舒张末期容积(ml)
收缩末期容积(ml)
每搏输出量(ml)
射血分数(%)
非均称型
22.1± 8.9②
, http://www.100md.com
44.7± 6.8②
17.1± 2.3②
39.1±9.6③
69.6±6.8
心尖肥厚型
52.8± 6.6
66.3± 5.5②
30.5±11.0
41.5±9.5③
63.3±5.9
, 百拇医药 正常①
73.0±18.0
113.3±14.6
39.6± 7.9
73.7±8.3
65.1
注:①参考文献[2,4,6];②t=15.1~25.4,P<0.01;③t=5.68~8.83,P<0.05 将ARGUS自动心功能分析结果分类处理,分别比较各类型心肌病及正常人的心肌增厚率、左心室容积、射血分数等,结果进行t检验。
结果
非匀称型肥厚型心肌病7例,心尖肥厚型4例,均匀肥厚型1例。
, http://www.100md.com
肥厚型心肌病心肌肥厚主要累及左心室前侧壁 (图3)和室间隔,肥厚显著者常常伴有心室流出道的梗阻,心室后壁不易受累。与正常心肌相比,肥厚心肌增厚率下降(图4,5);心腔容积不同程度减少,以舒张末期为主;左心室泵血功能下降,表现为心肌收缩时限延长,每搏输出量下降,其程度似与心肌肥厚程度呈正比,但射血分数并未下降(表1)。
伴有血流动力学梗阻者见于非匀称型心肌病,表现为左心室流出道狭窄,舒张末期平均前后径为(1.3±0.4) cm[非梗阻型为(2.0±0.1) cm]。长轴四腔面cine-MRI示左心室收缩时,室间隔肥厚,心肌凸向左心室面,二尖瓣前叶向前移,使流出道进一步狭窄,并可见由于高速射血引起血流信号丢失而出现的“涡流”征。
图6 左心室容量-时间变化图
讨论
, http://www.100md.com
ARGUS自动心功能分析软件能自动测量出左室各节段心壁收缩末期和舒张末期心肌厚度,以及心肌增厚率,前者能精确反映心肌肥厚的部位和肥厚程度,后者可反映心肌收缩功能。另外,对肥厚心肌以室间隔、左心室前壁好发,不均匀分布的特点,以及心肌收缩增厚的情况,可以从软件所描绘的各节段心壁间心肌厚度和心肌增厚率差异的黑白灰阶对比示意图上,直观、整体地显示出来(图2)。统计结果显示:肥厚部位舒张末期心壁厚度的绝对值均≥15 mm,其与左心室后壁同期厚度比值≥1.5。心肌增厚率下降,其中非匀称型肥厚型心肌病患者的心肌增厚率显著低于心尖肥厚型和正常组(t=15.1,P<0.01)。与正常组相比,心尖肥厚型心肌病心肌增厚率虽低于正常组,但两者差异无显著性意义(t=1.65,P>0.05)。与Richard等统计结果一致[1-4]。
对由于心肌肥厚导致的心室腔容积缩小、尤其是EDV缩小的情况。ARGUS 自动心功能分析软件既可直接测量各时相左心室容积并算出SV,又可自动描绘出容积-时间变化曲线图(图6)。统计结果显示:两种类型心肌病EDV均显著缩小(t=15.3~25.4,P<0.01),以非匀称型肥厚性心肌病为甚。SV值与正常值间亦存在显著性差异(t=5.86~8.83,P<0.05)。与正常容积-时间变化曲线比较显示:肥厚型心肌病左心室收缩早期射血迅速,曲线走势较陡,但随后迅即变缓,收缩中期容积变化不明显,曲线呈“平台”样改变,且持续时间较长,收缩末期曲线逐渐恢复快速射血趋势;曲线呈口宽、底浅低容量泵血特征改变。正常心脏则表现为窄口、深底抛物线形高容量泵血曲线特征改变。伴有左心室流出道梗阻患者的左心室容量-时间变化曲线图上的曲线“平台”样改变尤为明显。
, 百拇医药
EF是反映左心室功能的一项重要指标,与正常相比,本组统计肥厚型心肌病EF值偏高,说明肥厚的心肌通过增强心肌收缩力和延长收缩持续时间,以克服心腔容积缩小和(或)流出道梗阻所导致的SV下降来维持体循环,即所谓“高动力状态”,但差异无显著性意义。
cine-MRI是观察心脏活动的有效方法,通过四腔面动态MRI电影既可观察到流出道由于肥厚部位外凸所致狭窄和高速射血产生的“涡流征象”(turbulent flow)。又可直观显示收缩早期流出道高速血流使二尖瓣前移,并“吸入”流出道造成“动态”梗阻的过程,以及二尖瓣前移造成二尖瓣关闭时对位不良,二尖瓣轻度返流、左房轻度扩大征象。一般认为左心室流出道狭窄是由于不匀称肥厚的室间隔凸向流出道和二尖瓣前移共同所致,但后者是主要原因[5]。另外,垂直于室间隔的心短轴面cine-MRI可观察泵血时心壁的不均匀运动,直观、动态地了解心轴缩短和肥厚心肌的增厚及活动情况。
心脏MRI检查具有大视野、任意切面、图像清晰、直观等特点,尤其显示局限性和心尖肥厚较敏感和准确,有利于分型诊断。cine-MRI显示心壁与心池界面较平扫更清晰,能直观、准确显示各型心肌肥厚情况,可动态了解心脏各壁活动情况,同时又可做心功能分析,是诊断肥厚型心肌病的一种理想的方法。
, 百拇医药
参考文献
1,李坤成,主编. 心血管磁共振成像诊断学. 北京:人民卫生出版社,1997.97-102.
2,Park JH, Kim YM, Chung JW, et al. MR imaging of hypertrophic cardiomyopathy. Radiology ,1992,185:441-446.
3,庞志显,李坤成,刘苏英,等.肥厚型心肌病的磁共振成像研究. 中华放射学杂志,1995,29:672-675.
4,Semelka RC, Tomei E, Wagner S, et al. Normal left ventricular dimensions and function: interstudy reproducibility of measurements with cine MR imaging. Radiology ,1990,174:763-768.
, http://www.100md.com
5,Dong SJ, MacGregor JH, Crawley AP, et al. Left ventricular wall thickness and regional systolic function in patients with hypertrophic cardiomyopathy. Circulation ,1994,90:1200-1209.
6,谢道海,丁乙,陈学仁,等.电影磁共振对正常人左心功能的测定.中华放射学杂志,1994,28:444-447.
7,Higgins CB, Sakuma H. Heart disease: functional evaluation with MR imaging. Radiology, 1996,199:307-315.
8,刘玉清,杨浣宜,李坤成. 原发性心肌病的进展及影像学诊断的评价. 中华放射学杂志, 1997,16:51-54.
(收稿日期:1999-08-06), 百拇医药