脾结核的CT诊断
作者:吴恩福 郑祥武 张建青 殷微微 胡之同
单位:325000 温州医学院附属第一医院影像科
关键词:结核,脾;体层摄影术,X线计算机
中华放射学杂志000616 【摘要】 目的 探讨脾结核的CT表现和诊断价值。方法 回顾性分析经手术及病理证实的12例脾结核的CT表现。结果 12例中10例表现为脾脏多发性大小不等的结节状低密度灶,1 例为单发类圆形低密度影,边缘不清,增强扫描病灶内部无强化;1 例为散在小点状钙化灶。8例伴后腹膜、脾门区等淋巴结肿大,7例伴其他脏器结核。结论 脾脏多发大小不等的结节状、低密度、无强化病灶是脾结核的主要征象,CT能对脾结核作出较准确的判断。
CT diagnosis of the splenic tuberculosis
, 百拇医药 WU Enfu ZHENG Xiangwu ZHANG Jianqing
(Department of Radiology, The First Affiliated Hospital of Wenzhou Medical College, Wenzhou 325000, China)
【Abstract】 Objective To discuss CT findings and evaluate the diagnostic value of splenic tuberculosis. Methods CT findings in 12 patients with splenic tuberculosis confirmed by surgery and pathology were retrospectively analyzed. Results In all 12 cases, 10 had multiple low-density, ill-defined outline and non-enhancement foci, 1 had pin point calcifications. 8 had lymphadenopathy in retroperitoneal and splenic hilum region,7 accompanied with tuberculous lesions of other visceral organs. Conclusion The CT appearances, including low-density, non-enhancement, ill-defined and varied size foci, were significant to the diagnosis of splenic tuberculosis.
, 百拇医药
【Key words】 Tuberculosis, splenic; Tomography, X-ray computed
脾结核临床发现率低, 国内外病例报道较少。 现将本院1989年5月至1998年5月间经CT扫描、手术病理证实的脾结核12例作一回顾性分析,并结合文献资料探讨其CT表现及诊断价值。
材料与方法
12例中,男8例,女4例。年龄22~36岁,平均26.8岁。临床表现为腹痛伴发热、盗汗6例,腹部肿块伴消瘦、纳差3例,无症状3例。5例行脾脏切除术,7例行穿刺病理证实。
12例均经B超检查,7例报告脾多发占位,4例误诊为脾肿瘤,1例提示脾内多发钙化灶。
患者空腹, 常规作胃肠道准备。 CT 机为Somatom CR 或Somatom Pluse 4, 层厚8 mm、间距8 mm连续扫描, 部分病例加扫4 mm薄层。11例平扫后静脉内团注60%泛影葡胺100 ml作增强扫描。
, 百拇医药
结果
脾结核常伴有其他脏器或淋巴结结核,其CT表现可分为脾内和脾外征象。
一、脾内征象
主要表现为脾内多发性或弥漫性结节状病变(本组11例),少数为单发球形病灶(1例)。
1.密度及边缘:平扫11例呈多发或弥漫性低或略低密度灶,CT值为35~55 HU,边缘欠清,增强后9例病灶无强化,表现为边缘清楚的低密度灶(图1~4)。2例见边缘环状强化。1例示脾内弥漫性小点状钙化影,直径约1~5 mm大小。
2.大小及分布:多为直径5~20 mm大小的结节状病灶, 不均匀分布于脾脏。其中2例因病灶弥漫,且融合成直径约40~50 mm大小的低密度块影。
3.形状:多呈圆形或类圆形结节状病灶,融合后可形成向外隆起的肿块影。
, 百拇医药
4. 脾脏增大:10例,其中轻中度增大(脾周约5~7个肋单元)8例,显著增大(脾周大于7个肋单元)2例。
二、脾外征象
1.淋巴结肿大:6例见后腹膜腹主动脉周围、 肠系膜根部及胰头、肝门区淋巴结肿大,最大为30 mm×45 mm(图2,5,6),2例仅见脾门淋巴结肿大,3例见斑点状或环状淋巴结钙化,5例见淋巴结环状强化(图6)。
2.其他器官结核:伴两肺及椎体结核3例,伴肠、肝、 胰及肾上腺结核各1例。
三、CT检查结果
12例中,CT诊断正确6例,误诊为脾肿瘤4例,仅报告脾脏占位及脾内多发点状钙化灶各1例。
讨论
, 百拇医药
一、脾结核的CT表现及其病理基础
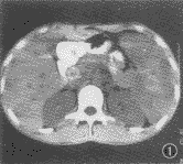
图1 CT平扫。脾脏显著肿大,脾内见多发性低密度灶,边界不清,后腹膜、腹主动脉周围多个淋巴结肿大,下腔静脉前方见淋巴结环状钙化
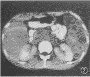
图2 同图1病例,CT增强。见病灶无强化,边界清楚

图3,4 CT增强。脾脏肿大,脾内见多发低密度无强化灶,CT值为50 HU左右,边界清楚,大小均在20 mm以内
, 百拇医药
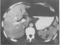
图5 CT平扫。示腹主动脉周围多个淋巴结肿大,并见多发斑点灶钙化灶
图6 CT增强。示后腹膜、腹主动脉周围、肝门区等多个淋巴结肿大,并呈环状强化
脾结核在我国并非罕见,因其临床表现缺乏特征性,术前诊断较困难[1]。近年来已报道10多例[2-9]。现根据本组CT 资料及有关文献,将脾结核的CT表现及其病理基础归纳为以下几型。
1.粟粒型脾结核:脾结核与其他脏器结核一样多通过血行播散。最初产生渗出性病变,病灶广泛即形成“粟粒型脾结核”,由于病灶多在2 mm内,CT难以显示, 或仅表现为脾脏的轻中度肿大,密度稍低或不均[10,11]。
2.结节型脾结核:渗出性病灶如不吸收,可发展成结核性肉芽肿,并发生干酪样坏死,直径多在5~20 mm大小, 形成“结节型脾结核”,即文献中的大结节[11,12]。该型CT显示率较高,本组11例属于此型,CT表现为边界不清、大小不等的多发低或等密度灶,增强后病灶多无强化,边界清楚,少数可见环状强化(肉芽组织)。
, 百拇医药
3.结核性脾脓肿:当结节性病灶相互融合或孤立性病灶发展增大,并液化形成“结核性脾脓肿”。表现为脾内单发或多发较大类圆形低密度灶,增强后见边缘强化而内部无强化[4]。
4.脾结核钙化:钙化灶大多在干酪性病灶的愈合过程中产生。钙化表现与脾结核的时期有关,多表现为脾内1~5 mm大小斑点状高密度影[10],结节型脾结核愈合钙化可表现为花冠状或羊毛状钙化[7]。
二、脾结核的诊断要点及鉴别诊断
随着B超、CT广泛应用于临床,脾结核的术前诊断成为可能。根据本组资料,结合国内外文献,我们认为以下几点为脾结核的诊断要点:(1)好发于20~50岁,多数伴结核毒血症状。(2)CT平扫见脾内弥漫性低密度灶,直径多在20 mm以内,增强后病灶无强化。(3)多伴有后腹膜、肝门区等淋巴结肿大、钙化或周边环状强化。(4)常伴其他脏器结核。(5)脾内散在斑点样钙化灶,直径1~5 mm大小。
, 百拇医药
根据以上诊断要点,脾结核多数可作出正确诊断。但正如文献所述,脾结核常被误诊为脾脏肿瘤[3,4,8],本组12例中,6例诊断正确,4例误诊为脾脏肿瘤。 分析误诊原因有(1)临床表现无特征性,B超拟诊脾肿瘤。(2)对脾结核的CT表现缺乏认识,经验不足。(3)病灶多发且融合成较大团块,类似脾肿瘤。
因此,应特别注意与脾肿瘤的鉴别。(1)淋巴瘤:是脾脏最常见的原发性肿瘤,临床表现与脾结核无明显区别;但淋巴瘤常单发或多发,很少为弥漫性病变,增强后病灶轻度强化,肿大淋巴结多无环状强化,再结合临床表现、骨髓象、血象等作出诊断。(2)转移瘤:多有原发肿瘤史,表现为脾内单发或多发低密度灶,少有弥漫性,病灶相对较大,可出现“牛眼征”或“靶心征”,淋巴结多无环状强化等有助于诊断。(3)脾脓肿:临床表现为寒战、高热,白细胞计数明显升高,CT表现为单发或多发较大低密度灶,脓肿壁强化明显,内壁光整,壁外可见水肿带等可资鉴别。
虽然脾结核有上述CT诊断要点,但孤立性球形脾结核仍较难与脾脏恶性肿瘤鉴别,误诊率较高,应予重视。
, 百拇医药
参考文献
1,罗绍凯,何伟雄,洪文德. 13例脾结核的诊断和治疗分析.中华内科杂志,1996, 36:832-833.
2,王锐,郭绍纶. 肝脾胰结核二例报告. 中华放射学杂志,1991,25:313.
3,李美玲,蔡厚珍,黄才保,等. 脾结核二例的CT所见.中华放射学杂志,1993, 27:641.
4,许合周,王克成,雷声,等. 脾巨大寒性脓肿一例报告. 中华结核和呼吸杂志,1987,10:63.
5,Wilde CC, Kueh YK. Case report: tuberculous hepatic and splenic abscess.Clin Radiol, 1991, 43: 215-216.
, http://www.100md.com
6,Denton T, Hossain J. A radiological study of abdominal tuberculosis in a Saudi population, with special reference to ultrasound and computed tomography. Clin Radiol, 1993, 47:409-414.
7,李平. 罕见脾原发结核花冠型钙化一例. 中华放射学杂志,1987,21:19.
8,李曙光. 脾脏结核、腹腔淋巴结结核误诊为恶性淋巴瘤二例. 中华结核和呼吸杂志,1996, 19:177.
9,胡梅,李军. 脾结核一例报告. 中华结核和呼吸杂志,1995,17:293.
10,周康荣,唐敖荣,王滨,等,主编. 腹部CT. 上海:上海医科大学出版社,1993.93-94.
11,Ha HK, Jung JI, Lee MS, et al. CT differentiation of tuberculous peritonitis and peritoneal carcinomatosis. AJR ,1996,167:743-748.
12,Suri R ,Gupta S ,Gupta SK, et al. Ultrasound guided fine needle aspiration cytology in abdominal tuberculosis. Br J Radiol, 1998,71:723-727.
(收稿日期:1999-09-30), 百拇医药
单位:325000 温州医学院附属第一医院影像科
关键词:结核,脾;体层摄影术,X线计算机
中华放射学杂志000616 【摘要】 目的 探讨脾结核的CT表现和诊断价值。方法 回顾性分析经手术及病理证实的12例脾结核的CT表现。结果 12例中10例表现为脾脏多发性大小不等的结节状低密度灶,1 例为单发类圆形低密度影,边缘不清,增强扫描病灶内部无强化;1 例为散在小点状钙化灶。8例伴后腹膜、脾门区等淋巴结肿大,7例伴其他脏器结核。结论 脾脏多发大小不等的结节状、低密度、无强化病灶是脾结核的主要征象,CT能对脾结核作出较准确的判断。
CT diagnosis of the splenic tuberculosis
, 百拇医药 WU Enfu ZHENG Xiangwu ZHANG Jianqing
(Department of Radiology, The First Affiliated Hospital of Wenzhou Medical College, Wenzhou 325000, China)
【Abstract】 Objective To discuss CT findings and evaluate the diagnostic value of splenic tuberculosis. Methods CT findings in 12 patients with splenic tuberculosis confirmed by surgery and pathology were retrospectively analyzed. Results In all 12 cases, 10 had multiple low-density, ill-defined outline and non-enhancement foci, 1 had pin point calcifications. 8 had lymphadenopathy in retroperitoneal and splenic hilum region,7 accompanied with tuberculous lesions of other visceral organs. Conclusion The CT appearances, including low-density, non-enhancement, ill-defined and varied size foci, were significant to the diagnosis of splenic tuberculosis.
, 百拇医药
【Key words】 Tuberculosis, splenic; Tomography, X-ray computed
脾结核临床发现率低, 国内外病例报道较少。 现将本院1989年5月至1998年5月间经CT扫描、手术病理证实的脾结核12例作一回顾性分析,并结合文献资料探讨其CT表现及诊断价值。
材料与方法
12例中,男8例,女4例。年龄22~36岁,平均26.8岁。临床表现为腹痛伴发热、盗汗6例,腹部肿块伴消瘦、纳差3例,无症状3例。5例行脾脏切除术,7例行穿刺病理证实。
12例均经B超检查,7例报告脾多发占位,4例误诊为脾肿瘤,1例提示脾内多发钙化灶。
患者空腹, 常规作胃肠道准备。 CT 机为Somatom CR 或Somatom Pluse 4, 层厚8 mm、间距8 mm连续扫描, 部分病例加扫4 mm薄层。11例平扫后静脉内团注60%泛影葡胺100 ml作增强扫描。
, 百拇医药
结果
脾结核常伴有其他脏器或淋巴结结核,其CT表现可分为脾内和脾外征象。
一、脾内征象
主要表现为脾内多发性或弥漫性结节状病变(本组11例),少数为单发球形病灶(1例)。
1.密度及边缘:平扫11例呈多发或弥漫性低或略低密度灶,CT值为35~55 HU,边缘欠清,增强后9例病灶无强化,表现为边缘清楚的低密度灶(图1~4)。2例见边缘环状强化。1例示脾内弥漫性小点状钙化影,直径约1~5 mm大小。
2.大小及分布:多为直径5~20 mm大小的结节状病灶, 不均匀分布于脾脏。其中2例因病灶弥漫,且融合成直径约40~50 mm大小的低密度块影。
3.形状:多呈圆形或类圆形结节状病灶,融合后可形成向外隆起的肿块影。
, 百拇医药
4. 脾脏增大:10例,其中轻中度增大(脾周约5~7个肋单元)8例,显著增大(脾周大于7个肋单元)2例。
二、脾外征象
1.淋巴结肿大:6例见后腹膜腹主动脉周围、 肠系膜根部及胰头、肝门区淋巴结肿大,最大为30 mm×45 mm(图2,5,6),2例仅见脾门淋巴结肿大,3例见斑点状或环状淋巴结钙化,5例见淋巴结环状强化(图6)。
2.其他器官结核:伴两肺及椎体结核3例,伴肠、肝、 胰及肾上腺结核各1例。
三、CT检查结果
12例中,CT诊断正确6例,误诊为脾肿瘤4例,仅报告脾脏占位及脾内多发点状钙化灶各1例。
讨论
, 百拇医药
一、脾结核的CT表现及其病理基础
图1 CT平扫。脾脏显著肿大,脾内见多发性低密度灶,边界不清,后腹膜、腹主动脉周围多个淋巴结肿大,下腔静脉前方见淋巴结环状钙化
图2 同图1病例,CT增强。见病灶无强化,边界清楚
图3,4 CT增强。脾脏肿大,脾内见多发低密度无强化灶,CT值为50 HU左右,边界清楚,大小均在20 mm以内
, 百拇医药
图5 CT平扫。示腹主动脉周围多个淋巴结肿大,并见多发斑点灶钙化灶
图6 CT增强。示后腹膜、腹主动脉周围、肝门区等多个淋巴结肿大,并呈环状强化
脾结核在我国并非罕见,因其临床表现缺乏特征性,术前诊断较困难[1]。近年来已报道10多例[2-9]。现根据本组CT 资料及有关文献,将脾结核的CT表现及其病理基础归纳为以下几型。
1.粟粒型脾结核:脾结核与其他脏器结核一样多通过血行播散。最初产生渗出性病变,病灶广泛即形成“粟粒型脾结核”,由于病灶多在2 mm内,CT难以显示, 或仅表现为脾脏的轻中度肿大,密度稍低或不均[10,11]。
2.结节型脾结核:渗出性病灶如不吸收,可发展成结核性肉芽肿,并发生干酪样坏死,直径多在5~20 mm大小, 形成“结节型脾结核”,即文献中的大结节[11,12]。该型CT显示率较高,本组11例属于此型,CT表现为边界不清、大小不等的多发低或等密度灶,增强后病灶多无强化,边界清楚,少数可见环状强化(肉芽组织)。
, 百拇医药
3.结核性脾脓肿:当结节性病灶相互融合或孤立性病灶发展增大,并液化形成“结核性脾脓肿”。表现为脾内单发或多发较大类圆形低密度灶,增强后见边缘强化而内部无强化[4]。
4.脾结核钙化:钙化灶大多在干酪性病灶的愈合过程中产生。钙化表现与脾结核的时期有关,多表现为脾内1~5 mm大小斑点状高密度影[10],结节型脾结核愈合钙化可表现为花冠状或羊毛状钙化[7]。
二、脾结核的诊断要点及鉴别诊断
随着B超、CT广泛应用于临床,脾结核的术前诊断成为可能。根据本组资料,结合国内外文献,我们认为以下几点为脾结核的诊断要点:(1)好发于20~50岁,多数伴结核毒血症状。(2)CT平扫见脾内弥漫性低密度灶,直径多在20 mm以内,增强后病灶无强化。(3)多伴有后腹膜、肝门区等淋巴结肿大、钙化或周边环状强化。(4)常伴其他脏器结核。(5)脾内散在斑点样钙化灶,直径1~5 mm大小。
, 百拇医药
根据以上诊断要点,脾结核多数可作出正确诊断。但正如文献所述,脾结核常被误诊为脾脏肿瘤[3,4,8],本组12例中,6例诊断正确,4例误诊为脾脏肿瘤。 分析误诊原因有(1)临床表现无特征性,B超拟诊脾肿瘤。(2)对脾结核的CT表现缺乏认识,经验不足。(3)病灶多发且融合成较大团块,类似脾肿瘤。
因此,应特别注意与脾肿瘤的鉴别。(1)淋巴瘤:是脾脏最常见的原发性肿瘤,临床表现与脾结核无明显区别;但淋巴瘤常单发或多发,很少为弥漫性病变,增强后病灶轻度强化,肿大淋巴结多无环状强化,再结合临床表现、骨髓象、血象等作出诊断。(2)转移瘤:多有原发肿瘤史,表现为脾内单发或多发低密度灶,少有弥漫性,病灶相对较大,可出现“牛眼征”或“靶心征”,淋巴结多无环状强化等有助于诊断。(3)脾脓肿:临床表现为寒战、高热,白细胞计数明显升高,CT表现为单发或多发较大低密度灶,脓肿壁强化明显,内壁光整,壁外可见水肿带等可资鉴别。
虽然脾结核有上述CT诊断要点,但孤立性球形脾结核仍较难与脾脏恶性肿瘤鉴别,误诊率较高,应予重视。
, 百拇医药
参考文献
1,罗绍凯,何伟雄,洪文德. 13例脾结核的诊断和治疗分析.中华内科杂志,1996, 36:832-833.
2,王锐,郭绍纶. 肝脾胰结核二例报告. 中华放射学杂志,1991,25:313.
3,李美玲,蔡厚珍,黄才保,等. 脾结核二例的CT所见.中华放射学杂志,1993, 27:641.
4,许合周,王克成,雷声,等. 脾巨大寒性脓肿一例报告. 中华结核和呼吸杂志,1987,10:63.
5,Wilde CC, Kueh YK. Case report: tuberculous hepatic and splenic abscess.Clin Radiol, 1991, 43: 215-216.
, http://www.100md.com
6,Denton T, Hossain J. A radiological study of abdominal tuberculosis in a Saudi population, with special reference to ultrasound and computed tomography. Clin Radiol, 1993, 47:409-414.
7,李平. 罕见脾原发结核花冠型钙化一例. 中华放射学杂志,1987,21:19.
8,李曙光. 脾脏结核、腹腔淋巴结结核误诊为恶性淋巴瘤二例. 中华结核和呼吸杂志,1996, 19:177.
9,胡梅,李军. 脾结核一例报告. 中华结核和呼吸杂志,1995,17:293.
10,周康荣,唐敖荣,王滨,等,主编. 腹部CT. 上海:上海医科大学出版社,1993.93-94.
11,Ha HK, Jung JI, Lee MS, et al. CT differentiation of tuberculous peritonitis and peritoneal carcinomatosis. AJR ,1996,167:743-748.
12,Suri R ,Gupta S ,Gupta SK, et al. Ultrasound guided fine needle aspiration cytology in abdominal tuberculosis. Br J Radiol, 1998,71:723-727.
(收稿日期:1999-09-30), 百拇医药