纵隔精原细胞瘤一例
作者:颜世峰 刘曙光 郭亮
单位:颜世峰(271413 山东省新汶矿业集团华丰矿医院);刘曙光(271413 山东省新汶矿业集团华丰矿医院);郭亮(济南市天桥区第二人民医院放射科)
关键词:
中华放射学杂志000626
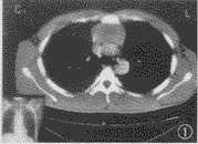
图1 CT增强扫描,示前纵隔一约4.0 cm×7.0 cm实性肿块,密度均质,边缘清楚,轻度增强
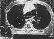
图2 MRI横断面,T1WI示前纵隔高信号病变
, http://www.100md.com
图3 MRI矢状面,T2WI示病变仍呈均质的高信号(CT与MRI扫描相距5 d)
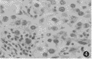
图4 瘤细胞胞浆透亮,胞界清楚,核大深染呈圆形,位于中央,核膜不规则,核分裂多见,瘤细胞排列成小巢状(HE ×400)
患者 男,27岁。因轻微前胸痛就诊,胸透发现前纵隔肿物。
胸部正侧位片示上纵隔向两侧增宽,病变位于前纵隔,密度均匀,无钙化。
CT扫描示前纵隔有一约4.0 cm×7.0 cm实性肿块,密度均匀,CT值42 HU;病灶形态尚规则,边缘清楚;增强后,病灶略有强化,CT值为51 HU(图1);CT诊断:胸腺瘤。
MRI示前中纵隔内可见约4.4 cm×6.7 cm×8.6 cm的短T1、长T2信号灶,病灶边缘模糊(图2,3)。MRI诊断:前纵隔占位病变,考虑:恶性胸腺瘤。
, 百拇医药
手术见肿瘤位于前纵隔,5 cm×7 cm×9 cm大小,形态不规则,其前壁及左侧壁尚有包膜,右壁侵及右侧纵隔胸膜,后壁上部与心包粘连。
病理检查:不规则组织,表面略呈结节状,切面呈实性、灰白色,有出血,局部有黏液样区,质脆。病理诊断:前上纵隔精原细胞瘤(图4)。
讨论 纵隔原发恶性生殖细胞瘤较少见,好发于前纵隔区域,与胸腺关系密切,易误认为胸腺瘤。本病多发于男性,女性极少见。发现时肿瘤常较大,症状多出现在病程晚期。本病恶性程度低,对放射线敏感。影像学表现:CT示前纵隔区域有分叶状、边缘略不规则的实性肿块,密度均匀,无钙化及脂肪密度,与邻近结构间脂肪层消失;MRI显示病变呈均质的短T1和长T2信号。因CT扫描示肿瘤内未见脂肪密度,考虑肿瘤的T1WI高信号可能为肿瘤内出血所致,而肿瘤的软组织成分和出血亦可在T2WI上呈高信号。综上所述,若前纵隔占位病变符合下列征象:均质的实性肿块、软组织密度、无钙化及脂肪密度、MRI呈短T1及长T2信号,则应考虑到精原细胞瘤的可能。
, http://www.100md.com
鉴别诊断:(1)胸腺瘤:前纵隔心脏与大血管交界处为其好发部位,位置略高,CT多呈圆形、卵圆形或分叶状,通常边界清楚,密度均匀,少数有点状、条状或弧形钙化。MRI信号通常是均质的,与肌肉的信号相似,比脂肪的信号低。若病变征象如上所示,或临床合并重症肌无力,则应考虑胸腺瘤。(2)畸胎类肿瘤:好发于前纵隔中部心脏与大血管交界处,CT示边界清楚、光滑,多为圆形、卵圆形有壁的肿块,多呈混杂密度,以及钙化和骨化的实体结节。MRI示信号不均匀,可出现脂肪、水和软组织的信号强度,钙化灶较大时,才能于T1、T2WI上表现为低信号得以识别。
(志谢 山东省医学影像研究所柳澄教授和山东省立医院病理科王维屏教授给予的指导)
(收稿日期:1999-08-23), 百拇医药
单位:颜世峰(271413 山东省新汶矿业集团华丰矿医院);刘曙光(271413 山东省新汶矿业集团华丰矿医院);郭亮(济南市天桥区第二人民医院放射科)
关键词:
中华放射学杂志000626
图1 CT增强扫描,示前纵隔一约4.0 cm×7.0 cm实性肿块,密度均质,边缘清楚,轻度增强
图2 MRI横断面,T1WI示前纵隔高信号病变
, http://www.100md.com
图3 MRI矢状面,T2WI示病变仍呈均质的高信号(CT与MRI扫描相距5 d)
图4 瘤细胞胞浆透亮,胞界清楚,核大深染呈圆形,位于中央,核膜不规则,核分裂多见,瘤细胞排列成小巢状(HE ×400)
患者 男,27岁。因轻微前胸痛就诊,胸透发现前纵隔肿物。
胸部正侧位片示上纵隔向两侧增宽,病变位于前纵隔,密度均匀,无钙化。
CT扫描示前纵隔有一约4.0 cm×7.0 cm实性肿块,密度均匀,CT值42 HU;病灶形态尚规则,边缘清楚;增强后,病灶略有强化,CT值为51 HU(图1);CT诊断:胸腺瘤。
MRI示前中纵隔内可见约4.4 cm×6.7 cm×8.6 cm的短T1、长T2信号灶,病灶边缘模糊(图2,3)。MRI诊断:前纵隔占位病变,考虑:恶性胸腺瘤。
, 百拇医药
手术见肿瘤位于前纵隔,5 cm×7 cm×9 cm大小,形态不规则,其前壁及左侧壁尚有包膜,右壁侵及右侧纵隔胸膜,后壁上部与心包粘连。
病理检查:不规则组织,表面略呈结节状,切面呈实性、灰白色,有出血,局部有黏液样区,质脆。病理诊断:前上纵隔精原细胞瘤(图4)。
讨论 纵隔原发恶性生殖细胞瘤较少见,好发于前纵隔区域,与胸腺关系密切,易误认为胸腺瘤。本病多发于男性,女性极少见。发现时肿瘤常较大,症状多出现在病程晚期。本病恶性程度低,对放射线敏感。影像学表现:CT示前纵隔区域有分叶状、边缘略不规则的实性肿块,密度均匀,无钙化及脂肪密度,与邻近结构间脂肪层消失;MRI显示病变呈均质的短T1和长T2信号。因CT扫描示肿瘤内未见脂肪密度,考虑肿瘤的T1WI高信号可能为肿瘤内出血所致,而肿瘤的软组织成分和出血亦可在T2WI上呈高信号。综上所述,若前纵隔占位病变符合下列征象:均质的实性肿块、软组织密度、无钙化及脂肪密度、MRI呈短T1及长T2信号,则应考虑到精原细胞瘤的可能。
, http://www.100md.com
鉴别诊断:(1)胸腺瘤:前纵隔心脏与大血管交界处为其好发部位,位置略高,CT多呈圆形、卵圆形或分叶状,通常边界清楚,密度均匀,少数有点状、条状或弧形钙化。MRI信号通常是均质的,与肌肉的信号相似,比脂肪的信号低。若病变征象如上所示,或临床合并重症肌无力,则应考虑胸腺瘤。(2)畸胎类肿瘤:好发于前纵隔中部心脏与大血管交界处,CT示边界清楚、光滑,多为圆形、卵圆形有壁的肿块,多呈混杂密度,以及钙化和骨化的实体结节。MRI示信号不均匀,可出现脂肪、水和软组织的信号强度,钙化灶较大时,才能于T1、T2WI上表现为低信号得以识别。
(志谢 山东省医学影像研究所柳澄教授和山东省立医院病理科王维屏教授给予的指导)
(收稿日期:1999-08-23), 百拇医药