螺旋CT脑血管成像技术及临床应用价值
作者:李建生 李康印 陈虎义 李静 强海霞
单位:兰州军区兰州总医院CT室 730050
关键词:体层摄影术,X线计算机;脑血管造影;脑肿瘤;脑动静脉畸形;诊断显像
中华放射学杂志000715【摘要】目的 探讨螺旋CT脑血管成像(CTA)技术及其临床应用价值。方法 55例行脑CTA,其中正常人16例,脑动静脉畸形12例,动脉瘤2例,脑肿瘤19例,大脑中动脉栓塞3例,其他3例。快速团注对比剂的同时,行螺旋CT容积扫描;在工作站利用软件将图像处理后,得到脑血管立体图像。结果 (1)脑CTA图像好坏与扫描方法等密切相关。(2)CTA可清楚显示1~4级脑血管结构,观察Willis环以及大脑前、中、后动脉主干及其分支情况。(3)脑动静脉畸形者,可见异常增粗迂曲的血管或血管团,部分并可见增粗的引流血管;动脉瘤者可见瘤体大小、位置、形态,及与血管的关系。(4)脑肿瘤者,可见脑膜瘤瘤体强化,4例表面有异常血管,血管被推移或包裹;其他肿瘤可见血管有推移。(5)大脑中动脉栓塞者,可见栓塞部位及栓塞远端血管变细、变少。结论 脑CTA可以多方位观察脑内病变及与病变相连的血管情况,从二维及三维立体图像上获得更多诊断信息。可部分替代动脉造影并作为脑血管疾病的1种筛选手段。
, 百拇医药
Technique for cerebral artery spiral CT angiography and clinical application
LI Jiansheng,LI Kangyin,CHEN Huyi,et al.
(The Imaging Diagnostic Department of Lanzhou Military General Hospital,Lanzhou 730050,China)
【Abstract】Objective To discuss the technique for cerebral artery spiral CT angiography and the clinical application.Methods Fifty-five cases of cerebral angiography using spiral CT were studied,including 16 cases of healthy subjects,12 cases of arteriovenous malformation,2 cases of aneurysm,19 cases of cerebral neoplasm,3 cases of embolism,and 3 others.Three-dimensional images of cerebral artery were reconstructed.Results (1) The image quality of CTA was related to scanning methods.(2) CTA could clearly show 1~4 grades cerebral artery structures.(3) Enlarged and curved blood vessels were showed on the CTA images of AVM.Three-dimensional reconstructed images could demonstrate the location,shape,and size of aneurysm.(4) The CTA images of cerebral neoplasms showed clearly the displaced vessels and tumor vessels on the surface.(5) Location of the emboli could be seen.Conclusion CTA images can be rotated and viewed from different directions.Diagnostic information is attained from 2-dimensional and 3-dimensional images.CTA can possibly replace DSA and becomes the initial modality of choice in cerebral vessel diseases.
, 百拇医药
【Key words】Tomography,X-ray computed;Cerebral angiography;Brain neoplasms;Cerebral arteriovenous malformations;Diagnostic imaging
笔者将我院1998年9月至1999年1月55例行CT脑血管造影者做一分析,并讨论脑血管成像(CTA)技术及临床应用价值。
一、材料与方法
1.临床资料:共做55例脑CTA,其中正常人16例,脑动静脉畸形12例,动脉瘤2例,脑膜瘤9例,转移瘤4例,胶质瘤4例,室管膜瘤1例,三叉神经瘤1例,大脑中动脉栓塞3例,脑积水1例,脑脓肿1例,脑挫裂伤1例。均经手术病理和DSA证实或经临床治疗后病变减小或消失。正常人行CTA是为了解脑血管在CTA上的正常解剖结构;39例病人行CTA是因不明原因出血怀疑有脑动静脉畸形(AVM)、动脉瘤,或了解肿瘤血供情况、血管受压情况等。
, 百拇医药
2.扫描方法及后处理技术:采用PQ 6000 V型高档螺旋CT扫描机。扫描条件为120 kV,200~250 mA,层厚2~3 mm,螺距(pitch)1.5,重建间隔1~1.5 mm,对比剂用量为100~150 ml,采用高压注射器经外周静脉注射,团注速度为3.0~3.5 ml/s,延迟时间15~20 s;自颅底至顶部进行容积扫描,覆盖长度为10 cm,扫描时间30~35 s左右。将压缩后图像传至工作站,对二维原始图像进行编辑,以去除颅骨和钙化脉络丛等非血管影像干扰;然后做血管成像(angiography),即最大信号强度投影(MIP)来显示轴面、矢状面、冠状面或任意旋转角度的脑血管立体构像图。采用四维血管成像,即根据不同CT密度值范围来设置不同透视感,显示血管与病变之间的毗邻关系。用三维重建即表面遮蔽法(SSD)来显示重叠的血管和血管的外部轮廓。
二、结果
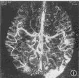
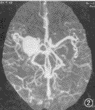
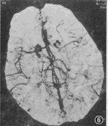
脑血管成像示:(1)55例CTA均可清楚显示1~4级脑血管结构、Willis环和大脑前、中、后动脉主干及其分支情况。(2)脑动静脉畸形12例,其中枕叶3例,颞叶5例,额叶3例,顶叶1例。可见异常增粗迂曲的血管,9例血管呈团状,5例可见增粗的引流血管,5例部分血管有钙化,均可清楚地观察到畸形血管的位置和范围(图1)。(3)动脉瘤2例,清楚地观察到瘤体大小、位置、形态,以及与血管的关系(图2,3)。(4)脑肿瘤19例,其中9例脑膜瘤可见肿瘤邻近血管被推移或包裹,4例可见肿瘤表面有异常血管(图4)。4例胶质瘤和4例转移瘤可见瘤体呈不均匀强化,或不强化,周围有不同程度水肿,肿瘤附近血管被推移(图5);位于第4脑室的室管膜瘤和位于中颅窝蝶骨翼旁的三叉神经瘤可见瘤体呈不同程度强化,室管膜瘤有血管推移。(5)大脑中动脉及分支栓塞3例,2例大脑中动脉主干变窄、变细,远侧方血管变细、变少(图6);1例大脑中动脉顶后分支变细,变窄,远侧方血管较少;(6)脑挫裂伤及脑脓肿可见局部血管有不同程度推移,脑积水以两侧大脑前、中动脉抬高较为明显。
, 百拇医药
图1 AVM CTA,可见左颞枕叶及右枕叶多发畸形血管
图2 动脉瘤CTA,可见右中颅凹鞍旁有一球形病灶
图3 同上,矢状面可见动脉瘤瘤蒂
图4 右颞叶脑膜瘤CTA,可见右颞叶有一巨大肿瘤,大脑中动脉向前推移,肿瘤表面有异常血管
图5 右颞顶星形细胞瘤CTA,可见肿瘤呈低密度影,周围血管明显推移
, 百拇医药
图6 左侧大脑中动脉栓塞CTA,可见左侧大脑中动脉自起始部变细,分支变少
三、讨论
1.脑血管成像技术:脑CTA是1种新的无创性技术。延迟时间设定十分重要,根据文献和我们的实际经验,将延迟时间设定在18 s。如欲精确掌握对比剂到达靶血管近端的峰值时间,预试验注射不失为1种可靠方法,但易给病人带来对比剂过多负荷。延迟时间较长时,脑内静脉显影较多,而动脉内对比剂浓度不够,影响图像效果。层面较厚易出现锯齿状台阶。窗宽、窗位及亮度、对比度的选择十分重要;对病人具体的靶血管,先依据软件设定CT阈值,然后利用窗宽、窗位、亮度及对比度作小范围调节,可清晰显示靶血管,并应避免一些需要的组织结构被遮盖,造成病变丢失。
2.脑CTA的临床应用价值:各部位CTA报道已有一些[1-4]。脑CTA适于脑AVM、动脉瘤、肿瘤、动脉主干或主要分支栓塞等。CTA较DSA及MRA检查时间短,适于不能行长时间检查者;无动脉损伤及中风危险;可很好显示钙化,不受金属夹限制。Katz等[5]报道,CTA与MRA相比在显示大脑前、中、后及前交通动脉方面,CTA敏感性更高(89.8%~100.0%)。三维重建图像可以多方位地观察血管、肿瘤及病变周围血管情况,提供血管内外的影像信息,显示血管与邻近结构的关系;显示出动静脉畸形的主要供血动脉与引流静脉,有助于手术及放射治疗计划的制定[6];了解肿瘤血供情况对鉴别诊断很有帮助,并可以作俯视观察,这对于外科制定从顶部入路的计划有重要意义[7]。CTA可作为血管疾病的筛选方法,尤其适用于不能做动脉造影的病人[8]。CTA可以获得与DSA相似的检查结果,并以其独特的成像技术提供了DSA所不能显示的一些信息但尚不能取代DSA。CTA也有不足:对碘过敏及心肾功能不全者不宜检查;图像处理时需去掉骨及静脉,易导致信息丢失或扭曲,三维成像需时长;只能观察血管解剖而不能了解血流情况;不能替代DSA显示末梢小血管。
, 百拇医药
参考文献
1,Rubin GD,Dake MD,Napel SA,et al.Three-dimensional spiral CT angiography of the abdomen:initial clinical experience.Radiology,1993,186:147-152.
2,杜湘珂,朱锡旭,沈复兴,等.螺旋CT血管造影(综述).中华放射学杂志,1995,29:202-203.
3,彭颖,唐光健.脑CT血管成像的基本方法及临床应用(综述).国外医学临床放射学分册,1998,4:218-220.
4,漆剑频,肖明,王承缘.脑动脉瘤CTA与DSA对比检查研究.放射学实践,1998,13:16-19.
5,Katz DA,Marks MP,Napel SA,et al.Circle of Willis:evaluation with spiral CT angiography,MR angiography,and conventional angiography.Radiology,1995,195:445-449.
, 百拇医药
6,Tanaka H,Numaguchi Y,Konno S,et al.Initial experience with helical CT and 3D reconstruction in therapentic planning of cerebral AVMs:comparison with 3D time-of-flight MRA and digital subtraction angiography.J Comput Assist Tomogr,1997,21:811-817.
7,Tsuchiya K,Hachiya J,Mizutani Y,et al.Three-dimensional helical CT angiography of skull base meningiomas.AJNR,1996,17:933-936.
8,Harbaugh RE,Schlusselberg DS,Jeffery R,et al.Three-dimensional computerized tomography angiography in the diagnosis of cerebrovascular disease.J Neurosurg,1992,76:408-414.
收稿日期:1999-12-16, 百拇医药
单位:兰州军区兰州总医院CT室 730050
关键词:体层摄影术,X线计算机;脑血管造影;脑肿瘤;脑动静脉畸形;诊断显像
中华放射学杂志000715【摘要】目的 探讨螺旋CT脑血管成像(CTA)技术及其临床应用价值。方法 55例行脑CTA,其中正常人16例,脑动静脉畸形12例,动脉瘤2例,脑肿瘤19例,大脑中动脉栓塞3例,其他3例。快速团注对比剂的同时,行螺旋CT容积扫描;在工作站利用软件将图像处理后,得到脑血管立体图像。结果 (1)脑CTA图像好坏与扫描方法等密切相关。(2)CTA可清楚显示1~4级脑血管结构,观察Willis环以及大脑前、中、后动脉主干及其分支情况。(3)脑动静脉畸形者,可见异常增粗迂曲的血管或血管团,部分并可见增粗的引流血管;动脉瘤者可见瘤体大小、位置、形态,及与血管的关系。(4)脑肿瘤者,可见脑膜瘤瘤体强化,4例表面有异常血管,血管被推移或包裹;其他肿瘤可见血管有推移。(5)大脑中动脉栓塞者,可见栓塞部位及栓塞远端血管变细、变少。结论 脑CTA可以多方位观察脑内病变及与病变相连的血管情况,从二维及三维立体图像上获得更多诊断信息。可部分替代动脉造影并作为脑血管疾病的1种筛选手段。
, 百拇医药
Technique for cerebral artery spiral CT angiography and clinical application
LI Jiansheng,LI Kangyin,CHEN Huyi,et al.
(The Imaging Diagnostic Department of Lanzhou Military General Hospital,Lanzhou 730050,China)
【Abstract】Objective To discuss the technique for cerebral artery spiral CT angiography and the clinical application.Methods Fifty-five cases of cerebral angiography using spiral CT were studied,including 16 cases of healthy subjects,12 cases of arteriovenous malformation,2 cases of aneurysm,19 cases of cerebral neoplasm,3 cases of embolism,and 3 others.Three-dimensional images of cerebral artery were reconstructed.Results (1) The image quality of CTA was related to scanning methods.(2) CTA could clearly show 1~4 grades cerebral artery structures.(3) Enlarged and curved blood vessels were showed on the CTA images of AVM.Three-dimensional reconstructed images could demonstrate the location,shape,and size of aneurysm.(4) The CTA images of cerebral neoplasms showed clearly the displaced vessels and tumor vessels on the surface.(5) Location of the emboli could be seen.Conclusion CTA images can be rotated and viewed from different directions.Diagnostic information is attained from 2-dimensional and 3-dimensional images.CTA can possibly replace DSA and becomes the initial modality of choice in cerebral vessel diseases.
, 百拇医药
【Key words】Tomography,X-ray computed;Cerebral angiography;Brain neoplasms;Cerebral arteriovenous malformations;Diagnostic imaging
笔者将我院1998年9月至1999年1月55例行CT脑血管造影者做一分析,并讨论脑血管成像(CTA)技术及临床应用价值。
一、材料与方法
1.临床资料:共做55例脑CTA,其中正常人16例,脑动静脉畸形12例,动脉瘤2例,脑膜瘤9例,转移瘤4例,胶质瘤4例,室管膜瘤1例,三叉神经瘤1例,大脑中动脉栓塞3例,脑积水1例,脑脓肿1例,脑挫裂伤1例。均经手术病理和DSA证实或经临床治疗后病变减小或消失。正常人行CTA是为了解脑血管在CTA上的正常解剖结构;39例病人行CTA是因不明原因出血怀疑有脑动静脉畸形(AVM)、动脉瘤,或了解肿瘤血供情况、血管受压情况等。
, 百拇医药
2.扫描方法及后处理技术:采用PQ 6000 V型高档螺旋CT扫描机。扫描条件为120 kV,200~250 mA,层厚2~3 mm,螺距(pitch)1.5,重建间隔1~1.5 mm,对比剂用量为100~150 ml,采用高压注射器经外周静脉注射,团注速度为3.0~3.5 ml/s,延迟时间15~20 s;自颅底至顶部进行容积扫描,覆盖长度为10 cm,扫描时间30~35 s左右。将压缩后图像传至工作站,对二维原始图像进行编辑,以去除颅骨和钙化脉络丛等非血管影像干扰;然后做血管成像(angiography),即最大信号强度投影(MIP)来显示轴面、矢状面、冠状面或任意旋转角度的脑血管立体构像图。采用四维血管成像,即根据不同CT密度值范围来设置不同透视感,显示血管与病变之间的毗邻关系。用三维重建即表面遮蔽法(SSD)来显示重叠的血管和血管的外部轮廓。
二、结果
脑血管成像示:(1)55例CTA均可清楚显示1~4级脑血管结构、Willis环和大脑前、中、后动脉主干及其分支情况。(2)脑动静脉畸形12例,其中枕叶3例,颞叶5例,额叶3例,顶叶1例。可见异常增粗迂曲的血管,9例血管呈团状,5例可见增粗的引流血管,5例部分血管有钙化,均可清楚地观察到畸形血管的位置和范围(图1)。(3)动脉瘤2例,清楚地观察到瘤体大小、位置、形态,以及与血管的关系(图2,3)。(4)脑肿瘤19例,其中9例脑膜瘤可见肿瘤邻近血管被推移或包裹,4例可见肿瘤表面有异常血管(图4)。4例胶质瘤和4例转移瘤可见瘤体呈不均匀强化,或不强化,周围有不同程度水肿,肿瘤附近血管被推移(图5);位于第4脑室的室管膜瘤和位于中颅窝蝶骨翼旁的三叉神经瘤可见瘤体呈不同程度强化,室管膜瘤有血管推移。(5)大脑中动脉及分支栓塞3例,2例大脑中动脉主干变窄、变细,远侧方血管变细、变少(图6);1例大脑中动脉顶后分支变细,变窄,远侧方血管较少;(6)脑挫裂伤及脑脓肿可见局部血管有不同程度推移,脑积水以两侧大脑前、中动脉抬高较为明显。
, 百拇医药
图1 AVM CTA,可见左颞枕叶及右枕叶多发畸形血管
图2 动脉瘤CTA,可见右中颅凹鞍旁有一球形病灶
图3 同上,矢状面可见动脉瘤瘤蒂
图4 右颞叶脑膜瘤CTA,可见右颞叶有一巨大肿瘤,大脑中动脉向前推移,肿瘤表面有异常血管
图5 右颞顶星形细胞瘤CTA,可见肿瘤呈低密度影,周围血管明显推移
, 百拇医药
图6 左侧大脑中动脉栓塞CTA,可见左侧大脑中动脉自起始部变细,分支变少
三、讨论
1.脑血管成像技术:脑CTA是1种新的无创性技术。延迟时间设定十分重要,根据文献和我们的实际经验,将延迟时间设定在18 s。如欲精确掌握对比剂到达靶血管近端的峰值时间,预试验注射不失为1种可靠方法,但易给病人带来对比剂过多负荷。延迟时间较长时,脑内静脉显影较多,而动脉内对比剂浓度不够,影响图像效果。层面较厚易出现锯齿状台阶。窗宽、窗位及亮度、对比度的选择十分重要;对病人具体的靶血管,先依据软件设定CT阈值,然后利用窗宽、窗位、亮度及对比度作小范围调节,可清晰显示靶血管,并应避免一些需要的组织结构被遮盖,造成病变丢失。
2.脑CTA的临床应用价值:各部位CTA报道已有一些[1-4]。脑CTA适于脑AVM、动脉瘤、肿瘤、动脉主干或主要分支栓塞等。CTA较DSA及MRA检查时间短,适于不能行长时间检查者;无动脉损伤及中风危险;可很好显示钙化,不受金属夹限制。Katz等[5]报道,CTA与MRA相比在显示大脑前、中、后及前交通动脉方面,CTA敏感性更高(89.8%~100.0%)。三维重建图像可以多方位地观察血管、肿瘤及病变周围血管情况,提供血管内外的影像信息,显示血管与邻近结构的关系;显示出动静脉畸形的主要供血动脉与引流静脉,有助于手术及放射治疗计划的制定[6];了解肿瘤血供情况对鉴别诊断很有帮助,并可以作俯视观察,这对于外科制定从顶部入路的计划有重要意义[7]。CTA可作为血管疾病的筛选方法,尤其适用于不能做动脉造影的病人[8]。CTA可以获得与DSA相似的检查结果,并以其独特的成像技术提供了DSA所不能显示的一些信息但尚不能取代DSA。CTA也有不足:对碘过敏及心肾功能不全者不宜检查;图像处理时需去掉骨及静脉,易导致信息丢失或扭曲,三维成像需时长;只能观察血管解剖而不能了解血流情况;不能替代DSA显示末梢小血管。
, 百拇医药
参考文献
1,Rubin GD,Dake MD,Napel SA,et al.Three-dimensional spiral CT angiography of the abdomen:initial clinical experience.Radiology,1993,186:147-152.
2,杜湘珂,朱锡旭,沈复兴,等.螺旋CT血管造影(综述).中华放射学杂志,1995,29:202-203.
3,彭颖,唐光健.脑CT血管成像的基本方法及临床应用(综述).国外医学临床放射学分册,1998,4:218-220.
4,漆剑频,肖明,王承缘.脑动脉瘤CTA与DSA对比检查研究.放射学实践,1998,13:16-19.
5,Katz DA,Marks MP,Napel SA,et al.Circle of Willis:evaluation with spiral CT angiography,MR angiography,and conventional angiography.Radiology,1995,195:445-449.
, 百拇医药
6,Tanaka H,Numaguchi Y,Konno S,et al.Initial experience with helical CT and 3D reconstruction in therapentic planning of cerebral AVMs:comparison with 3D time-of-flight MRA and digital subtraction angiography.J Comput Assist Tomogr,1997,21:811-817.
7,Tsuchiya K,Hachiya J,Mizutani Y,et al.Three-dimensional helical CT angiography of skull base meningiomas.AJNR,1996,17:933-936.
8,Harbaugh RE,Schlusselberg DS,Jeffery R,et al.Three-dimensional computerized tomography angiography in the diagnosis of cerebrovascular disease.J Neurosurg,1992,76:408-414.
收稿日期:1999-12-16, 百拇医药