同相位与反相位梯度回波T2WI在肝脏的应用价值
作者:徐海波 孔祥泉 刘定西 肖学宏 常时新 熊茵 于群 彭振军
单位:同济医科大学附属协和医院放射科 武汉,430022
关键词:磁共振成像;肝肿瘤;肝;诊断显像
中华放射学杂志000703【摘要】目的 评估同相位与反相位梯度回波T1WI在肝脏应用的价值,尤其是评估其对肝内脂肪变的检测能力。方法 76例病人采用屏气同相位与反相位T1W梯度回波序列对肝脏扫描。将76例病人分成3组分析:(1)肝内无占位病变组,8例;(2)肝癌组,34例;(3)血管瘤或囊肿组,共34例。对2种序列的图像进行了定量分析。结果 76例中发现14例肝脂肪变,62例无脂肪变。在14例肝脂肪变中,反相位MRI还显示了4 例低信号肿块周边环状高信号带,其中3例肝癌,1例血管瘤。在肝脂肪变的反相位上显示肝与脾和病灶信噪比或对比信噪比值较同相位低,但肝与脾和病灶间信噪比(SNR)或对比信噪比(CNR)在同相位与反相位上均无显著性差异(P>0.05)。结论 同相位与反相位对显示肝脏病变和对脂肪成分的诊断是有价值的。两者互补,缺一不可。为避免肝脏病变在T1WI上的误诊或漏诊,建议常规行同相位与反相位T1W扫描。
, 百拇医药
Evaluation on the value of in-phase and opposed-phase T1-weighted breath-hold FLASH sequences for hepatic imaging
XU Haibo,KONG Xiangquan,LIU Dingxi,et al.
(Department of Radiology,Xiehe Hospital,Tongji Medical University,Wuhan 430022,China)
【Abstract】Objective To evaluate the value of the combined in-phase (IP) and opposed-phase (OP) T1-weighted breath-hold FLASH sequences for hepatic imaging,particularly for fat content.Methods Non-contrast-enhanced IP and OP T1-W GRE breath-hold images were obtained in 76 patients refereed for liver MRI study at 1.5 T.Seventy-six patients were analyzed in three groups :(1) no liver mass (n=8);(2) liver with hepatoma (n=34);(3) liver with haemangioma or cyst (n=34).Liver/spleen and liver/lesion signal-to-noise (SNR) and contrast-to-noise ratio (CNR) were assessed for lesion detectability.Images between IP and OP sequences were compared quantitatively.Results There was no statistically significant difference when comparing IP and OP sequences for liver/spleen and liver/lesion SNR.In patients with fatty infiltration,the OP sequences yielded substantially lower values for liver/spleen and liver/lesion SNR than the IP sequences.Furthermore,OP imaging detected fatty infiltration in 14 cases and demonstrated hyperintense peritumorous rim in 4 cases.Also,in several cases with fatty infiltration,many more lesions were identified using IP images.Conclusion The use of IP and OP GRE sequences provides complementary diagnostic information.Focal liver lesions may be obscured in the presence of fatty infiltration if only OP sequences are employed.A complete assessment of the liver with MR should include both IP and OP imaging.
, 百拇医药
【Key words】Magnetic resonance imaging;Liver neoplasms;Liver;Diagnostic imaging
T1WI是应用MRI诊断肝脏病变不可分割的一个重要部分。由于在肝脏应用T1W SE序列采集时间较长,其时间量级为分钟,且呼吸、胃肠蠕动和某些自主运动所致的伪影,使图像质量降低。随磁共振硬软件的改进和发展,梯度回波序列(GRE)T1WI在肝脏的应用,可采用单次屏气采集快速成像,其图像质量和诊断可信度足以与SE序列相媲美,可取代常规SE序列在肝脏的应用[1] 。
梯度回波序列中的TE,与常规SE序列中的TE对图像对比度的控制略有不同,在后者中,TE轻微改变对图像信号强度影响不明显;而在前者中,TE轻微改变,信号强度变化明显,尤其对含有脂肪成分的组织信号强度影响明显。并且常规SE和GRE序列T1WI对肝内脂肪成分显示不敏感或较困难[1,2]。鉴于此,本研究旨在探讨同相位与反相位梯度回波在肝脏应用的价值,尤其是评估其对肝内脂肪的显示能力。
, http://www.100md.com
材料与方法
1. 对象:76例肝脏做过超声和(或)CT检查的患者,进行了肝脏同相位与反相位梯度回波T1W MR扫描。男 67例,女9 例,年龄11~78岁(平均44岁)。其中肝癌34例,血管瘤 22例,囊肿12 例,无占位病变8 例。肝癌、血管瘤和囊肿的诊断根据临床资料,如甲胎蛋白水平、超声和(或)CT以及MRI综合资料得出诊断,其中6例肝癌和2例血管瘤得到手术证实。
2. 肝脏常规MR扫描:本组患者MR检查均在1.5 T磁共振成像仪(Magnetom Vision,Siemens,Germany)上进行,用体部阵列线圈。常规轴面、冠状面扫描,采用T1W快速小角度激发(fast low angle shot,FLSAH)序列(TR 155 ms,TE 4.8 ms,翻转角 70°),T2W半傅立叶转换单次激发快速自旋回波(half fourier acquisition single shot turbo spin echo,HASTE)序列(TR 4.4 ms,TE 90 ms,此处TR为回波链上相邻两回波之间的间隔),层厚8 mm,间隔2 mm,视野(FOV)为32 cm×24 cm~38 cm×28.5 cm,矩阵128×256~192×256,均屏气采集。
, http://www.100md.com
3. 同相位、反相位梯度回波MR扫描:轴面,T1W FLSAH序列。其中36 例用不同带宽的同相位、反相位梯度回波MR扫描。 同相位参数为TR 133 ms,TE 4.4 ms,翻转角 70°,带宽260 Hz/像素;反相位参数为TR 133 ms,TE 2.2 ms,翻转角 70°,带宽488 Hz/像素。 层厚8 mm,间隔2 mm,视野(FOV)为32 cm×24 cm~38 cm×28.5 cm,矩阵128×256~192×256,均单次屏气采集,扫描16 层,成像时间为17 s。另 40例用相同带宽(488 Hz/像素),同相位TE 5.3 ms,反相位TE 2.7 ms,余参数相同。即TR 128 ms,翻转角 70°,层厚8 mm,间隔2 mm,视野(FOV)为32 cm×24 cm~38 cm×28.5 cm,矩阵128×256~192×256,单次屏气同时完成同、反相位扫描,共16 层,成像时间为21 s。
4. 图像分析:利用手动操作的兴趣区(ROI),分别测量同相位、反相位T1WI上同一层面正常肝实质、肝占位病变、脂肪肝、脾和背景噪声的信号强度(SI)。正常肝的ROI选择在无血管、胆管区和无呼吸伪影干扰的肝右叶,背景噪声均选择在腹部右前外方。利用公式算出相应的肝、脾和病灶间信噪比值(SNR)或对比信噪比值(CNR)。公式为:
, 百拇医药
(SIliv-SIsp)/N及(SIliv-SIles)/N
式中SIliv=肝信号强度,SIsp=脾信号强度,SIles =肝病灶信号强度,N=噪声标准差。
5. 统计方法:对上述同相位、反相位的肝、脾和肝、病灶间信噪比(SNR)或对比信噪比(CNR)的平均值,采用Excel软件中的单因素方差分析法进行两两比较统计,并设定P<0.05存在显著性差异。
结果
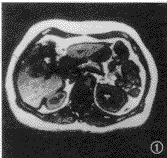
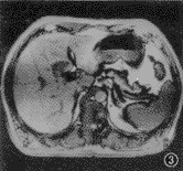
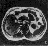
本研究中肝脂肪变的诊断依据为在同相位与肝实质呈等或稍高信号,而反相位呈低信号。据此,76例病人中发现肝脂肪变有14例,无肝脂肪浸润62例。14例肝脂肪变中7 例肝癌,2例血管瘤,1例囊肿,4例肝硬化;弥漫型脂肪浸润4 例(图 1,2),局灶型脂肪浸润10 例(图3,4);并在反相位MRI上可见4 例低信号肿块周边环状高信号带(图5,6),其中3例肝癌,1例血管瘤。
, http://www.100md.com
在肝脂肪变的反相位上显示肝与脾和病灶信噪比或相对信噪比值较同相位低。图像上显示无脂肪变的肝实质与低信号的肝局灶性病变的对比在反相位和同相位上无明显差异(图7,8)。带宽相同、不同和混合的同相位、反相位上,两组肝、脾或肝病灶的相对信噪比和信噪比在统计学上均无显著差异性(P>0.05),详见表1。
表1 同相位与反相位图像在3组中的定量分析 分析项目
无占位病变组(8例)
肝癌组(34例)
血管瘤或囊肿组(34例)
所有病例(8例)
脂肪浸润(4例)
所有病例(34例)
, http://www.100md.com
脂肪浸润(7例)
所有病例(34例)
脂肪浸润(3例)
同相位L/N
17.52±4.35①
15.92±1.4②
16.38±6.51③
14.68±1.6④
21.77±2.94⑤
19.48±0.12⑥
, http://www.100md.com
反相位L/N
14.86±4.75
13.46±1.6
12.74±5.69
10.31±2.6
15.03±3.80
16.30±1.32
同相位(SIl-SIsp)/N
4.87±2.73⑦
3.98±0.21⑧
5.55±2.43⑨
, 百拇医药
4.01±0.01B10
3.13±0.3B11
-2.86±1.95B12
反相位(SIl-SIsp)/N
3.51±2.14
2.45±0.34
3.57±2.79
1.86±0.55
1.65±0.2
-3.07±0.98
, http://www.100md.com 同相位(SIl-SIles)/N
无
无
5.29±3.89B13
5.56±1.51B14
5.95±3.57B15
6.24±1.41B16
反相位(SIl-SIles)/N
无
无
3.86±3.07
, http://www.100md.com
2.72±1.97
5.37±2.50
3.20±1.89
注:上述值均为平均值±标准差;L/N为肝信噪比;(SIl-SIsp)/N为肝与脾相对信噪比;(SIl-SIles)/N为肝与病灶相对信噪比。上述同相位、反相位测得的比值经统计学处理(同相位与反相位进行比较):①t=2.12;②t=2.39;③t=1.97;④t=2.13;⑤t=1.94;⑥t=2.64;⑦t=1.86;⑧t=2.21;⑨t=1.82;B10t=2.01;B11t=1.83;B12t=2.36;B13t=1.76;B14t=1.99;B15t=1.69;B16t=2.72。均无显著性差异(P>0.05)

, http://www.100md.com
图1,2 患者 男,50岁。肝右叶大片脂肪浸润,不伴有占位病变。反相位序列(TR 128 ms,TE 2.7 ms,翻转角70°)示肝右叶下段低信号片状脂肪浸润(图1),而在同相位(TR 128 ms,TE 5.3 ms,翻转角70°)上呈等信号,无法区别(图2)

图3,4 患者 男,47岁。肝右叶局灶结节状脂肪浸润,但无占位病变。反相位序列(TR 128 ms,TE 2.7 ms,翻转角70°)示肝右叶低信号结节状脂肪浸润(图3),而在同相位(TR 128 ms,TE 5.3 ms,翻转角70°)上呈等信号(图4)

, 百拇医药
图5,6 患者 女,43岁。右叶血管瘤。反相位序列(TR 128 ms,TE 2.7 ms,翻转角70°)示低信号血管瘤周边环状高信号带(图5),而在同相位(TR 128 ms,TE 5.3 ms,翻转角70°)上病变周边呈等信号(图6)

图7,8 患者 男,34岁。肝右叶肝癌而不伴有脂肪浸润。肝癌病灶在同相位(图7)和反相位(图8)序列上均显示非常清楚。肝与脾和病灶信噪比和对比信噪比在2种序列上均无显著差异(P>0.05)
讨论
目前超声、CT和常规MRI序列对肝结节内或肝内脂肪性成分的显示以及与其他病变的鉴别仍较困难[1-4],了解和显示肝结节病变内是否含有脂肪成分对病灶定性诊断具有很大帮助。众所周知,肝内含 有脂肪成分的病灶并不多见,主要有脂肪瘤、血管肌脂瘤、肝细胞癌伴有脂肪变、腺瘤、假性结节脂肪浸润以及某些肝内转移性肿瘤[5,6]。另外,肝结节内脂肪变性被认为是癌前病灶转化成肝癌的1个重要恶变标志,是肝癌演变中的1个偶然发生的过程[5,6],因而早期发现肝内结节的脂肪变性并与其他病变的鉴别在临床诊断和追踪评估中非常重要。
, http://www.100md.com
应用MRI 检查肝脏,T1WI是不可缺少的。梯度回波中的FLASH序列采用单次屏气快速采集数据,较常规SE序列成像时间明显缩短,消除或减少了与呼吸运动相关的运动伪影,能提供较好的图像质量,故已在临床上广泛应用。此外,随MR硬软件的改善和发展,在给定的TR时间内,缩短TE时间,能获取更多的扫描层数,T2权重减少,改善了T1图像对比度,提高了信噪比。 在临床上应用仅对水或脂肪以及脂肪饱和的MR成像技术亦可检测脂肪,但成像时间长,扫描层数少,对磁场、射频场不均匀较敏感[1]。而梯度回波中FLASH T1加权同相位、反相位序列检测脂肪及其图像对比度的变化主要依据梯度回波的相位效应。与常规SE序列不同的是梯度回波序列没有180°聚相位脉冲,因此,水和脂肪中氢质子的相位随TE改变而成同方向或反方向。这样在同相位上两者矢量相加,信号强度增高;反相位上两者矢量相减,信号强度减低。由此可见反相位序列显示有脂肪的组织信号强度减低是通过水和脂肪中氢质子的去相位作用而形成的,故在理论上其显示混有脂肪和水的组织信号强度的减低较脂肪饱和成像技术更明显[7,8]。 在1.5 T MR扫描仪上,水和脂肪中氢质子同相位TE为0 ms、4.5 ms、9.0 ms、13.5 ms…;反相位TE为2.3 ms、6.8 ms、11.3 ms…。
, 百拇医药
肝与病灶信噪比和相对信噪比是检测肝病变能力的重要参数,因而肝信号强度改变直接影响病灶的显示。无肝脂肪变的病例中,同相位、反相位上肝与病灶信噪比和对比信噪比在统计学上无显著性差异,显示肝内占位病变能力相似,故选择两者之一进行T1W扫描即可,但我们倾向首选同相位T1WI。然而,在肝脂肪变的病例中,肝脂肪变在反相位上呈低信号,与其他低信号病灶如肝癌或血管瘤等易混淆,导致误诊或漏诊;在同相位上肝脂肪变与正常肝实质呈等或稍高信号,常难以诊断而漏诊,此时两者缺一不可。因此,对肝脏T1加权扫描,应行常规同相位、反相位梯度回波T1加权扫描。此外,在肝脂肪变的病例中,反相位MRI上有时可见肝癌或血管瘤周边环状高信号带,而在同相位上肿块周边无此环状高信号带,可能是由肿块与浸润脂肪间存在正常肝实质所致。
小结:(1) 同、反相位T1WI对肝脏病变显示的评估,尤其对脂肪成分的诊断是有价值的,两者互补,缺一不可。为避免肝脏病变在T1WI上的误诊或漏诊,建议常规行同、反相位T1加权扫描。(2) 肝脂肪变在同相位上与正常肝实质呈等或稍高信号,在反相位上呈低信号。(3) 在反相位上,肝脂肪变的病例中肝癌或血管瘤周边有时可见环状高信号带。
, 百拇医药
参考文献
1,Martin J,Sentis M,Puig J,et al.Comparison of in-phase and opposed-phase GRE and conventional SE MR pulse sequences in T1-weighted imaging of liver lesions.J Comput Assist Tomogr,1996,20:890-897.
2,Yoshikawa J,Matsui O,Takashima T,et al.Fatty metamorphisis in hepatocellular carcinoma:radiologic features in 10 cases.AJR,1988,151:717-720.
3,Freeny PC,Baron RL,Teefey SA.Hepatocellular carcinoma:reduced frequency of typical findings with dynamic contrast-enhanced CT in non-Asian population.Radiology,1992,182:143-148.
, http://www.100md.com
4,Stevens WR,Johnson CD,Stephens DH,et al.CT findings in hepatocellular carcinoma:correlation of tumor characteristics with causative factors,tumor size,and histologic tumor grade.Radiology,1994,191:531-537.
5,Martin J,Sentis M,Zidan A,et al.Fatty metamorphosis of hepatocellular carcinoma:detection with chemical shift gradient-echo MR imaging.Radiology,1995,195:125-130.
6,Eguchi A,Nakashima O,Okudaira S,et al.Adenomatous hyperplasia in the vicinity of small hepatocellular carcinoma.Hepatology,1992,15:843-848.
, 百拇医药
7,Mitchell DG,Crovello M,Matteucci T,et al.Benign adrenocortical masses:diagnosis with chemical shift MR imaging.Radiology,1992,185:345-351.
8,Hooper LD,Mergo PJ,Ros PR.Multiple hepatorenal angiomyolipomas:diagnosis with fat suppression,gadolinium-enhanced MRI.Abdom Imaging,1994,19:549-551.
收稿日期:1999-09-27, 百拇医药
单位:同济医科大学附属协和医院放射科 武汉,430022
关键词:磁共振成像;肝肿瘤;肝;诊断显像
中华放射学杂志000703【摘要】目的 评估同相位与反相位梯度回波T1WI在肝脏应用的价值,尤其是评估其对肝内脂肪变的检测能力。方法 76例病人采用屏气同相位与反相位T1W梯度回波序列对肝脏扫描。将76例病人分成3组分析:(1)肝内无占位病变组,8例;(2)肝癌组,34例;(3)血管瘤或囊肿组,共34例。对2种序列的图像进行了定量分析。结果 76例中发现14例肝脂肪变,62例无脂肪变。在14例肝脂肪变中,反相位MRI还显示了4 例低信号肿块周边环状高信号带,其中3例肝癌,1例血管瘤。在肝脂肪变的反相位上显示肝与脾和病灶信噪比或对比信噪比值较同相位低,但肝与脾和病灶间信噪比(SNR)或对比信噪比(CNR)在同相位与反相位上均无显著性差异(P>0.05)。结论 同相位与反相位对显示肝脏病变和对脂肪成分的诊断是有价值的。两者互补,缺一不可。为避免肝脏病变在T1WI上的误诊或漏诊,建议常规行同相位与反相位T1W扫描。
, 百拇医药
Evaluation on the value of in-phase and opposed-phase T1-weighted breath-hold FLASH sequences for hepatic imaging
XU Haibo,KONG Xiangquan,LIU Dingxi,et al.
(Department of Radiology,Xiehe Hospital,Tongji Medical University,Wuhan 430022,China)
【Abstract】Objective To evaluate the value of the combined in-phase (IP) and opposed-phase (OP) T1-weighted breath-hold FLASH sequences for hepatic imaging,particularly for fat content.Methods Non-contrast-enhanced IP and OP T1-W GRE breath-hold images were obtained in 76 patients refereed for liver MRI study at 1.5 T.Seventy-six patients were analyzed in three groups :(1) no liver mass (n=8);(2) liver with hepatoma (n=34);(3) liver with haemangioma or cyst (n=34).Liver/spleen and liver/lesion signal-to-noise (SNR) and contrast-to-noise ratio (CNR) were assessed for lesion detectability.Images between IP and OP sequences were compared quantitatively.Results There was no statistically significant difference when comparing IP and OP sequences for liver/spleen and liver/lesion SNR.In patients with fatty infiltration,the OP sequences yielded substantially lower values for liver/spleen and liver/lesion SNR than the IP sequences.Furthermore,OP imaging detected fatty infiltration in 14 cases and demonstrated hyperintense peritumorous rim in 4 cases.Also,in several cases with fatty infiltration,many more lesions were identified using IP images.Conclusion The use of IP and OP GRE sequences provides complementary diagnostic information.Focal liver lesions may be obscured in the presence of fatty infiltration if only OP sequences are employed.A complete assessment of the liver with MR should include both IP and OP imaging.
, 百拇医药
【Key words】Magnetic resonance imaging;Liver neoplasms;Liver;Diagnostic imaging
T1WI是应用MRI诊断肝脏病变不可分割的一个重要部分。由于在肝脏应用T1W SE序列采集时间较长,其时间量级为分钟,且呼吸、胃肠蠕动和某些自主运动所致的伪影,使图像质量降低。随磁共振硬软件的改进和发展,梯度回波序列(GRE)T1WI在肝脏的应用,可采用单次屏气采集快速成像,其图像质量和诊断可信度足以与SE序列相媲美,可取代常规SE序列在肝脏的应用[1] 。
梯度回波序列中的TE,与常规SE序列中的TE对图像对比度的控制略有不同,在后者中,TE轻微改变对图像信号强度影响不明显;而在前者中,TE轻微改变,信号强度变化明显,尤其对含有脂肪成分的组织信号强度影响明显。并且常规SE和GRE序列T1WI对肝内脂肪成分显示不敏感或较困难[1,2]。鉴于此,本研究旨在探讨同相位与反相位梯度回波在肝脏应用的价值,尤其是评估其对肝内脂肪的显示能力。
, http://www.100md.com
材料与方法
1. 对象:76例肝脏做过超声和(或)CT检查的患者,进行了肝脏同相位与反相位梯度回波T1W MR扫描。男 67例,女9 例,年龄11~78岁(平均44岁)。其中肝癌34例,血管瘤 22例,囊肿12 例,无占位病变8 例。肝癌、血管瘤和囊肿的诊断根据临床资料,如甲胎蛋白水平、超声和(或)CT以及MRI综合资料得出诊断,其中6例肝癌和2例血管瘤得到手术证实。
2. 肝脏常规MR扫描:本组患者MR检查均在1.5 T磁共振成像仪(Magnetom Vision,Siemens,Germany)上进行,用体部阵列线圈。常规轴面、冠状面扫描,采用T1W快速小角度激发(fast low angle shot,FLSAH)序列(TR 155 ms,TE 4.8 ms,翻转角 70°),T2W半傅立叶转换单次激发快速自旋回波(half fourier acquisition single shot turbo spin echo,HASTE)序列(TR 4.4 ms,TE 90 ms,此处TR为回波链上相邻两回波之间的间隔),层厚8 mm,间隔2 mm,视野(FOV)为32 cm×24 cm~38 cm×28.5 cm,矩阵128×256~192×256,均屏气采集。
, http://www.100md.com
3. 同相位、反相位梯度回波MR扫描:轴面,T1W FLSAH序列。其中36 例用不同带宽的同相位、反相位梯度回波MR扫描。 同相位参数为TR 133 ms,TE 4.4 ms,翻转角 70°,带宽260 Hz/像素;反相位参数为TR 133 ms,TE 2.2 ms,翻转角 70°,带宽488 Hz/像素。 层厚8 mm,间隔2 mm,视野(FOV)为32 cm×24 cm~38 cm×28.5 cm,矩阵128×256~192×256,均单次屏气采集,扫描16 层,成像时间为17 s。另 40例用相同带宽(488 Hz/像素),同相位TE 5.3 ms,反相位TE 2.7 ms,余参数相同。即TR 128 ms,翻转角 70°,层厚8 mm,间隔2 mm,视野(FOV)为32 cm×24 cm~38 cm×28.5 cm,矩阵128×256~192×256,单次屏气同时完成同、反相位扫描,共16 层,成像时间为21 s。
4. 图像分析:利用手动操作的兴趣区(ROI),分别测量同相位、反相位T1WI上同一层面正常肝实质、肝占位病变、脂肪肝、脾和背景噪声的信号强度(SI)。正常肝的ROI选择在无血管、胆管区和无呼吸伪影干扰的肝右叶,背景噪声均选择在腹部右前外方。利用公式算出相应的肝、脾和病灶间信噪比值(SNR)或对比信噪比值(CNR)。公式为:
, 百拇医药
(SIliv-SIsp)/N及(SIliv-SIles)/N
式中SIliv=肝信号强度,SIsp=脾信号强度,SIles =肝病灶信号强度,N=噪声标准差。
5. 统计方法:对上述同相位、反相位的肝、脾和肝、病灶间信噪比(SNR)或对比信噪比(CNR)的平均值,采用Excel软件中的单因素方差分析法进行两两比较统计,并设定P<0.05存在显著性差异。
结果
本研究中肝脂肪变的诊断依据为在同相位与肝实质呈等或稍高信号,而反相位呈低信号。据此,76例病人中发现肝脂肪变有14例,无肝脂肪浸润62例。14例肝脂肪变中7 例肝癌,2例血管瘤,1例囊肿,4例肝硬化;弥漫型脂肪浸润4 例(图 1,2),局灶型脂肪浸润10 例(图3,4);并在反相位MRI上可见4 例低信号肿块周边环状高信号带(图5,6),其中3例肝癌,1例血管瘤。
, http://www.100md.com
在肝脂肪变的反相位上显示肝与脾和病灶信噪比或相对信噪比值较同相位低。图像上显示无脂肪变的肝实质与低信号的肝局灶性病变的对比在反相位和同相位上无明显差异(图7,8)。带宽相同、不同和混合的同相位、反相位上,两组肝、脾或肝病灶的相对信噪比和信噪比在统计学上均无显著差异性(P>0.05),详见表1。
表1 同相位与反相位图像在3组中的定量分析 分析项目
无占位病变组(8例)
肝癌组(34例)
血管瘤或囊肿组(34例)
所有病例(8例)
脂肪浸润(4例)
所有病例(34例)
, http://www.100md.com
脂肪浸润(7例)
所有病例(34例)
脂肪浸润(3例)
同相位L/N
17.52±4.35①
15.92±1.4②
16.38±6.51③
14.68±1.6④
21.77±2.94⑤
19.48±0.12⑥
, http://www.100md.com
反相位L/N
14.86±4.75
13.46±1.6
12.74±5.69
10.31±2.6
15.03±3.80
16.30±1.32
同相位(SIl-SIsp)/N
4.87±2.73⑦
3.98±0.21⑧
5.55±2.43⑨
, 百拇医药
4.01±0.01B10
3.13±0.3B11
-2.86±1.95B12
反相位(SIl-SIsp)/N
3.51±2.14
2.45±0.34
3.57±2.79
1.86±0.55
1.65±0.2
-3.07±0.98
, http://www.100md.com 同相位(SIl-SIles)/N
无
无
5.29±3.89B13
5.56±1.51B14
5.95±3.57B15
6.24±1.41B16
反相位(SIl-SIles)/N
无
无
3.86±3.07
, http://www.100md.com
2.72±1.97
5.37±2.50
3.20±1.89
注:上述值均为平均值±标准差;L/N为肝信噪比;(SIl-SIsp)/N为肝与脾相对信噪比;(SIl-SIles)/N为肝与病灶相对信噪比。上述同相位、反相位测得的比值经统计学处理(同相位与反相位进行比较):①t=2.12;②t=2.39;③t=1.97;④t=2.13;⑤t=1.94;⑥t=2.64;⑦t=1.86;⑧t=2.21;⑨t=1.82;B10t=2.01;B11t=1.83;B12t=2.36;B13t=1.76;B14t=1.99;B15t=1.69;B16t=2.72。均无显著性差异(P>0.05)
, http://www.100md.com
图1,2 患者 男,50岁。肝右叶大片脂肪浸润,不伴有占位病变。反相位序列(TR 128 ms,TE 2.7 ms,翻转角70°)示肝右叶下段低信号片状脂肪浸润(图1),而在同相位(TR 128 ms,TE 5.3 ms,翻转角70°)上呈等信号,无法区别(图2)
图3,4 患者 男,47岁。肝右叶局灶结节状脂肪浸润,但无占位病变。反相位序列(TR 128 ms,TE 2.7 ms,翻转角70°)示肝右叶低信号结节状脂肪浸润(图3),而在同相位(TR 128 ms,TE 5.3 ms,翻转角70°)上呈等信号(图4)
, 百拇医药
图5,6 患者 女,43岁。右叶血管瘤。反相位序列(TR 128 ms,TE 2.7 ms,翻转角70°)示低信号血管瘤周边环状高信号带(图5),而在同相位(TR 128 ms,TE 5.3 ms,翻转角70°)上病变周边呈等信号(图6)
图7,8 患者 男,34岁。肝右叶肝癌而不伴有脂肪浸润。肝癌病灶在同相位(图7)和反相位(图8)序列上均显示非常清楚。肝与脾和病灶信噪比和对比信噪比在2种序列上均无显著差异(P>0.05)
讨论
目前超声、CT和常规MRI序列对肝结节内或肝内脂肪性成分的显示以及与其他病变的鉴别仍较困难[1-4],了解和显示肝结节病变内是否含有脂肪成分对病灶定性诊断具有很大帮助。众所周知,肝内含 有脂肪成分的病灶并不多见,主要有脂肪瘤、血管肌脂瘤、肝细胞癌伴有脂肪变、腺瘤、假性结节脂肪浸润以及某些肝内转移性肿瘤[5,6]。另外,肝结节内脂肪变性被认为是癌前病灶转化成肝癌的1个重要恶变标志,是肝癌演变中的1个偶然发生的过程[5,6],因而早期发现肝内结节的脂肪变性并与其他病变的鉴别在临床诊断和追踪评估中非常重要。
, http://www.100md.com
应用MRI 检查肝脏,T1WI是不可缺少的。梯度回波中的FLASH序列采用单次屏气快速采集数据,较常规SE序列成像时间明显缩短,消除或减少了与呼吸运动相关的运动伪影,能提供较好的图像质量,故已在临床上广泛应用。此外,随MR硬软件的改善和发展,在给定的TR时间内,缩短TE时间,能获取更多的扫描层数,T2权重减少,改善了T1图像对比度,提高了信噪比。 在临床上应用仅对水或脂肪以及脂肪饱和的MR成像技术亦可检测脂肪,但成像时间长,扫描层数少,对磁场、射频场不均匀较敏感[1]。而梯度回波中FLASH T1加权同相位、反相位序列检测脂肪及其图像对比度的变化主要依据梯度回波的相位效应。与常规SE序列不同的是梯度回波序列没有180°聚相位脉冲,因此,水和脂肪中氢质子的相位随TE改变而成同方向或反方向。这样在同相位上两者矢量相加,信号强度增高;反相位上两者矢量相减,信号强度减低。由此可见反相位序列显示有脂肪的组织信号强度减低是通过水和脂肪中氢质子的去相位作用而形成的,故在理论上其显示混有脂肪和水的组织信号强度的减低较脂肪饱和成像技术更明显[7,8]。 在1.5 T MR扫描仪上,水和脂肪中氢质子同相位TE为0 ms、4.5 ms、9.0 ms、13.5 ms…;反相位TE为2.3 ms、6.8 ms、11.3 ms…。
, 百拇医药
肝与病灶信噪比和相对信噪比是检测肝病变能力的重要参数,因而肝信号强度改变直接影响病灶的显示。无肝脂肪变的病例中,同相位、反相位上肝与病灶信噪比和对比信噪比在统计学上无显著性差异,显示肝内占位病变能力相似,故选择两者之一进行T1W扫描即可,但我们倾向首选同相位T1WI。然而,在肝脂肪变的病例中,肝脂肪变在反相位上呈低信号,与其他低信号病灶如肝癌或血管瘤等易混淆,导致误诊或漏诊;在同相位上肝脂肪变与正常肝实质呈等或稍高信号,常难以诊断而漏诊,此时两者缺一不可。因此,对肝脏T1加权扫描,应行常规同相位、反相位梯度回波T1加权扫描。此外,在肝脂肪变的病例中,反相位MRI上有时可见肝癌或血管瘤周边环状高信号带,而在同相位上肿块周边无此环状高信号带,可能是由肿块与浸润脂肪间存在正常肝实质所致。
小结:(1) 同、反相位T1WI对肝脏病变显示的评估,尤其对脂肪成分的诊断是有价值的,两者互补,缺一不可。为避免肝脏病变在T1WI上的误诊或漏诊,建议常规行同、反相位T1加权扫描。(2) 肝脂肪变在同相位上与正常肝实质呈等或稍高信号,在反相位上呈低信号。(3) 在反相位上,肝脂肪变的病例中肝癌或血管瘤周边有时可见环状高信号带。
, 百拇医药
参考文献
1,Martin J,Sentis M,Puig J,et al.Comparison of in-phase and opposed-phase GRE and conventional SE MR pulse sequences in T1-weighted imaging of liver lesions.J Comput Assist Tomogr,1996,20:890-897.
2,Yoshikawa J,Matsui O,Takashima T,et al.Fatty metamorphisis in hepatocellular carcinoma:radiologic features in 10 cases.AJR,1988,151:717-720.
3,Freeny PC,Baron RL,Teefey SA.Hepatocellular carcinoma:reduced frequency of typical findings with dynamic contrast-enhanced CT in non-Asian population.Radiology,1992,182:143-148.
, http://www.100md.com
4,Stevens WR,Johnson CD,Stephens DH,et al.CT findings in hepatocellular carcinoma:correlation of tumor characteristics with causative factors,tumor size,and histologic tumor grade.Radiology,1994,191:531-537.
5,Martin J,Sentis M,Zidan A,et al.Fatty metamorphosis of hepatocellular carcinoma:detection with chemical shift gradient-echo MR imaging.Radiology,1995,195:125-130.
6,Eguchi A,Nakashima O,Okudaira S,et al.Adenomatous hyperplasia in the vicinity of small hepatocellular carcinoma.Hepatology,1992,15:843-848.
, 百拇医药
7,Mitchell DG,Crovello M,Matteucci T,et al.Benign adrenocortical masses:diagnosis with chemical shift MR imaging.Radiology,1992,185:345-351.
8,Hooper LD,Mergo PJ,Ros PR.Multiple hepatorenal angiomyolipomas:diagnosis with fat suppression,gadolinium-enhanced MRI.Abdom Imaging,1994,19:549-551.
收稿日期:1999-09-27, 百拇医药