利用自旋回波平面成像T1加权序列提高肝脏实性病变的检出率
作者:杨正汉 谢敬霞 章跃武 莫洪波 王伟中 刘剑羽 范家栋
单位:杨正汉(卫生部北京医院放射科 100730);谢敬霞(北京医科大学第三临床医学院放射科 100083);刘剑羽(北京医科大学第三临床医学院放射科 100083);范家栋(北京医科大学第三临床医学院放射科 100083);章跃武(浙江省衢州市人民医院放射科);莫洪波(广西壮族自治区柳州市卫生学校);王伟中(广州军区广州总医院放射科)
关键词:磁共振成像;肝脏肿瘤;回波平面成像;对比研究
中华放射学杂志000702【摘要】目的 评价自旋回波平面成像(SE-EPI)T2W序列对肝脏实性病变的检出能力。方法74例病人(202个病灶)接受肝脏3种SE-EPI T2W序列磁共振扫描,评价其图像信噪比(SNR)、肝脾对比噪声比(L-S CNR)、病灶对比噪声比(CNR)及病变检出率,并与真实稳态进动快速成像(true-FISP)、快速自旋回波(TSE)及半傅立叶采集单次激发快速自旋回波(HASTE)等屏气T2W序列相比较。结果SE-EPI的SNR高于TSE(P<0.05),与true-FISP相近(P>0.05),但低于HASTE(P<0.01)。SE-EPI序列的L-S CNR及实性病变的CNR均显著高于true-FISP、HASTE及TSE(P<0.01)。对于囊性病变,各序列间的检出率无明显差异(P>0.05)。各序列均检出所有直径大于5 cm的实性病变。直径2~5 cm的实性病变,SE-EPI序列的检出率略高于true-FISP、HASTE及TSE,但无显著性差异(P>0.05)。直径小于2 cm的实性病灶,SE-EPI序列的检出率(93.9%)明显高于true-FISP(57.6%)、HASTE(71.2%)及TSE(68.2%)(P<0.01)。结论 与其他屏气T2W序列相比,SE-EPI T2WI有较高的病灶对比,能提高肝脏实性病变的检出率。
, http://www.100md.com
Improved detection of hepatic solid lesions with spin-echo echo-planar imaging(SE-EPI)T2-weighted sequences
YANG Zhenghan,XIE Jingxia,ZHANG Yuewu,et al.
(Department of Radiology,the Third Hospital of Beijing Medical University,Beijing 100083,China)
【Abstract】Objective To evaluate the role of SE-EPI T2W in the detection of hepatic solid lesions.Methods Three SE-EPI T2W sequences were performed in 74 patients with 202 lesions.The signal-to-noise ratio(SNR),liver-to-spleen contrast-to-noise ratio (L-S CNR),lesion CNR,and detection ratio of lesions were measured.The results were compared with those from true-FISP,TSE and HASTE T2WI.Results SNR of SE-EPI T2W sequences was higher than that of TSE(P<0.05),approaching that of true-FISP(P>0.05),but lower than that of HASTE(P<0.01).The L-S CNR and CNR of solid lesions in SE-EPI sequences were significantly higher than those in other T2W sequences (P<0.01).No differences existed between these sequences in detecting cystic lesions (P>0.05).Every sequence detected all solid lesions larger than 5 cm.SE-EPI just detected little more solid lesions between 2 and 5 cm than other sequences.For solid lesions smaller than 2 cm,SE-EPI showed higher detection rate (93.9%) than true-FISP (57.6%),HASTE (71.2%) or TSE (68.2%) (P<0.01).Conclusion Compared with other breath-hold T2W sequences,SE-EPI T2W has better lesion contrast,and can improve the detection of hepatic solid lesions.
, 百拇医药
【Key words】Magnetic resonance imaging;Liver tumor; Echo-planar imaging; Comparative study
在高场强的MR扫描仪中,T2WI是肝脏局灶病变特别是实性病变检出的主要手段[1-5]。自旋回波平面成像(spin-echo echo-planar imaging,SE-EPI)T2W可提高肝脏实性病变的检出率[4-7],笔者报告这方面的初步临床应用结果如下。
材料与方法
一、 病例选择
符合下列条件的病例收入本组资料:(1)同时有本研究要求的6种序列的T2WI。(2)病灶经手术病理证实或活检证实。(3)如病灶未经病理学证实则:①海绵状血管瘤及肝囊肿有典型影像学表现,并有6个月以上的随访资料证明病灶无增大;②肝细胞癌符合临床诊断标准[7];③转移性肿瘤有明确原发病灶,转移灶有典型影像学表现或复查结果支持。(4)本研究的目的是评价肝脏实性病变的检出率,因而另外两类病灶也被收入:①影像学检查未能发现而手术发现的病变;②CT和MRI平扫及增强能确定为实性病变但未能符合条件1~3的病变。(5)肝内病灶数目太多不能准确计数的病例不予收入。这样共有74例202个病灶收入,包括原发性肝癌14例26个病灶、肝硬化不典型腺瘤样增生结节癌变1例1个病灶、转移性肿瘤22例78个病灶、肝内胆管细胞癌1例1个病灶、海绵状血管瘤15例23个病灶、肝囊肿23例56个病灶、未确诊实性病灶8例17个病灶。其中有9例同时有性质不同的2种以上病变。
, http://www.100md.com
二、 MRI检查技术
检查设备为西门子Magnetom Vision 1.5 T MRI扫描仪,用相控阵表面线圈采集信号。T2WI序列包括:(1)真实稳态进动快速成像(true-FISP) :TR 4.8 ms,TE 2.3 ms,激发角70°,矩阵140×256;(2)屏气快速自旋回波(TSE):TR 4 500 ms,TE 138 ms,回波链长(ETL)29,矩阵114×256;(3)半傅立叶转换单次激发快速自旋回波(HASTE):TR ∞,TE 64 ms,回波间期(ES)4.4 ms,ETL 128,矩阵240×256;(4)SE-EPI: TR 为∞,TE 72 ms,ES 0.6 ms,矩阵128×128,以下该序列简称epi;(5)低度弥散SE-EPI:TR为 ∞,TE 53 ms,ES 0.6 ms,矩阵128×128,在180°脉冲的两侧加上低度扩散敏感梯度,b值为55 mm2/s,以下该序列简称EPI-ld;(6)反转恢复低度弥散SE-EPI:在EPI-ld前加上1个180°反转预脉冲,反转时间(TI) 150~170 ms,其余参数同EPI-ld,以下该序列称IR-EPI-ld。T1WI为二维快速小角度激发(flash-2D):TR 117.4~130 ms,TE 4.1 ms,激发角80°,矩阵140×256,该序列还用于动态增强扫描。上述序列层厚均为8 mm,层间距为10%~20%层厚,采用6×8矩形视野(FOV)(300 mm×300 mm~380 mm×380 mm)扫描15~19层,扫描时间1~26 s。
, 百拇医药
三、图像分析及统计学处理
图像分析由2位放射科医生用盲法(不知病史和最后确诊结果)阅片共同进行,评价图像质量、记录伪影并判断病变是否检出,检出率以病人术中发现的病灶数目为准,在非手术的病人则以所有影像学资料的综合分析所能发现的病灶数为准。EPI序列的病变检出率与true-FISP 、HASTE及TSE序列比较,并进行卡方检验。
定量分析包括信噪比(SNR)(SNR=SH/SD,SH为肝脏平均信号强度值,SD为相位编码方向背景噪声的标准差)和肝脾对比噪声比(L-S CNR)(L-S CNR=[SS-SH]/SD,SS为脾实质平均信号值,SH和SD同前)。对直径在1.5 cm以上的病变,测量其信号值,并计算对比噪声比(CNR=[SM-SH]/SD,SM为肿块的信号强度),根据测量结果,我们发现CNR在1.0以上时,肉眼就可较清楚地辨认病变,因此,我们把某个序列上不能发现的病变的CNR定为0,隐约可见但边界不能确定的病灶CNR定为0.5。如同一病人同性质的病变超过4个,仅测量其中4个病灶。定量分析结果采用t检验,以P<0.05为有显著性差异的标准。
, http://www.100md.com
结果
8例(10.8%)病人屏气不佳,TSE T2WI有较严重的呼吸运动伪影。所有病人的true-FISP T2WI有轻微的条纹状伪影,但不影响病变的显示,13例(17.6%)在近膈面或胆囊窝处出现磁化敏感伪影,其中3例掩盖了病灶。epi T2WI与EPI-ld T2WI均有明显的化学位移伪影,在肥胖的病例尤为明显,移位的背部皮下脂肪影重叠于肝脏上,可掩盖肝内病灶(图1),而IR-EPI-ld T2WI上脂肪信号得到很好的抑制,可显示被掩盖的病变(图2)。在膈顶区,所有的EPI序列均出现肝脏的变形,但大多程度较轻,不影响病变的显示。本组所有病人的true-FISP、 HASTE及3个EPI序列T2WI均无明显的呼吸运动伪影。未见因为EPI图像有严重的N/2伪影(鬼影)而不能用于诊断。EPI序列对肝内外解剖结构的显示不及true-FISP及TSE。
, http://www.100md.com
SNR、L-S CNR及病灶的CNR在不同序列T2WI的测量结果见表1。epi及EPI-ld的SNR高于TSE (t值分别为2.247和2.371,P<0.05),与true-FISP相近(t值分别为0.914和1.326,P>0.05),但低于HASTE(t值分别为3.141和2.869,P<0.01),IR-EPI-ld的SNR略低于EPI-ld ,但L-S CNR及病灶的CNR与EPI-ld无差异(t值分别为1.214和0.763,P>0.05)。EPI序列的L-S CNR及实性病变的CNR均显著高于true-FISP(t值分别为3.391和3.368,P<0.01)、HASTE(t值分别为3.015和3.088,P<0.01)及TSE(t值分别为2.937和3.126,P<0.01)。
各个序列的病变检出率详见表2。对于囊性病变(肝囊肿与海绵状血管瘤),除epi外其他各序列间的检出率无明显差异(χ2=4.739,P>0.05)。各序列均检出所有大于5 cm的实性病变,但EPI序列的病灶与肝实质对比高于true-FISP、HASTE及TSE。直径2~5 cm的实性病变,IR-EPI-ld序列的检出率高于true-FISP(χ2=6.081,P<0.05)和TSE(χ2=3.888,P<0.05),略高于HASTE但无统计学差异(χ2=2.867,P>0.05)。对于直径小于2 cm的实性病灶,IR-EPI-ld序列的检出率明显高于true-FISP(χ2=23.76,P<0.001)、HASTE(χ2=11.85,P<0.001)及TSE(χ2=14.26,P<0.001)(图1~7)。1例肝硬化增生结节癌变,IR-EPI-ld T2WI清楚显示了结节内的癌变灶(图8~10)。在带有低度扩散梯度场的IR-EPI-ld与EPI-ld T2WI图像中,血管断面呈明显低信号,容易与小病灶区分(图11,12)。


, http://www.100md.com
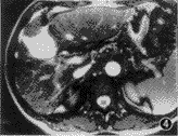
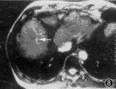
图1~3 女,56岁,胰腺囊腺癌,肝脏多发转移。图1为EPI-ld T2WI,肝左内叶肿块呈明显高信号,肝右叶见2个高信号结节灶(箭头),其中偏后方的结节灶被化学位移伪影掩盖;图2为IR-EPI-ld T2WI,化学位移伪影明显减轻,病灶充分暴露(箭头);图3为true-FISP T2WI,左内叶见一略高信号肿块(○),右肝未见病灶



图4~7 男,62岁,乙型肝炎肝硬化,右肝后叶小肝癌。图4为true-FISP T2WI,图5为HASTE T2WI,除显示肝实质信号不均匀外,两个序列均未能显示局灶性病变;图6为IR-EPI-ld T2WI,右肝后叶见一直径1.8 cm的高信号结节;图7为动态增强扫描动脉期,病灶明显强化


, http://www.100md.com
图8~10 男,59岁,乙型肝炎,肝硬化不典型腺瘤样增生结节癌变。图8为true-FISP T2WI,右肝近膈顶区见一略低信号病灶;图9为IR-EPI-ld T2WI,低信号病灶(长箭头)内见一略高信号结节(短箭头);图10为动态增强扫描动脉期,整个病灶强化不明显(长箭头),病灶内见一明显强化结节(短箭头)。手术病理证实为肝硬化不典型腺瘤样增生结节癌变

图11,12 男,47岁,结肠癌肝多发转移。图11为true-FISP T2WI,右肝近胆囊窝处见多个高信号结节影(箭头),难以区分是转移灶还是血管断面;图12为IR-EPI-ld T2WI,转移灶仍呈高信号(长箭头),血管断面变成低信号(短箭头)
, 百拇医药
表1 SNR、L-S CNR及病灶CNR在不同序列T2WI的测量结果 项目
true-FISP
TSE
HASTE
epi
EPI-ld
IR-EPI-ld
SNR(n=74)
7.9±2.7
5.6±2.9
13.4± 4.7
, http://www.100md.com
7.6± 3.1
8.8± 2.9
6.7± 2.1
L-S CNR(n=74)
3.6±2.2
5.9±4.7
5.1± 1.9
9.0± 4.8
8.9± 3.2
9.4± 4.1
实性病变CNR(n=76)
4.1±1.7
, http://www.100md.com
5.6±2.9
5.9± 3.2
9.6± 4.1
9.7± 3.9
9.9± 4.4
囊性病变CNR(n=51)
19.1±9.9
22.7±5.9
32.5±11.8
28.9±18.5
27.8±14.7
26.9±13.9
, 百拇医药
注:(1)表中数值以均数±标准差表示; (2)实性或囊性病变的n值为直径大于1.5 cm的病灶数表2 肝脏病灶于不同序列T2WI的检出率比较 肝脏病变
病灶数
(个)
true-FISP
TSE
HASTE
epi
EPI-ld
IR-EPI-ld
检出数
(个)
, 百拇医药
检出率
(%)
检出数
(个)
检出率
(%)
检出数
(个)
检出率
(%)
检出数
(个)
检出率
, 百拇医药
(%)
检出数
(个)
检出率
(%)
检出数
(个)
检出率
(%)
囊性病变
79
75
94.9
, 百拇医药
76
96.2
78
98.7
69
87.3
74
93.7
78
98.7
实性病变(>5 cm)
14
14
, 百拇医药
100.0
14
100.0
14
100.0
14
100.0
14
100.0
14
100.0
实性病变(2~5 cm)
43
, http://www.100md.com
35
81.4
37
86.0
38
88.4
41
95.3
41
95.3
42
97.7
实性病变(<2 cm)
, http://www.100md.com
66
38
57.6
45
68.2
47
71.2
56
84.8
59
89.4
62
93.9
, 百拇医药
合计
202
162
80.2
172
85.1
177
87.6
181
89.6
188
93.1
196
, 百拇医药
97.0
讨论
常规SE T2W序列有很好的信噪比和病灶对比,但扫描时间长,而且呼吸运动造成的伪影降低了图像质量,影响病变的检出。近年来应用于临床的TSE 序列是在1个90°脉冲激发后连续采集多个回波,明显缩短了信号采集时间,回波链较短的TSE T2W序列图像的对比接近SE,但采集时间仍需数分钟,为了减少呼吸伪影而采用的呼吸门控或呼吸激发技术不仅增加了扫描时间,而且在不少病人伪影的抑制效果并不理想[1-3]。长回波链的TSE T2WI可以在1次屏气完成全肝的信号采集,但其有效TE常在120 ms以上,对于肝脏来说T2权重太重,不利于实性病变的显示[2,3]。回波间隔很短的单次激发TSE序列,如HASTE,可将有效TE缩短到60~70 ms,适合于肝脏[8]。但和长回波链的TSE序列一样,由于连续180°脉冲造成的磁化转移效应,一方面加大了囊性病变与肝脏的对比,另一方面却减小了实性病变与肝实质的对比,影响实性病变特别是小病变的检出。
, 百拇医药
梯度回波T2WI序列很少应用于肝脏,文献上更少有报道,我院将true-FISP T2WI应用于临床,发现虽然该序列有良好的信噪比,能清晰显示肝内静脉及肝内外解剖结构,但其T2对比欠佳,对实性病变的检出甚至不及屏气的TSE和HASTE。
EPI技术是近年来MRI硬件及软件发展的成果,也是目前速度最快的MRI信号采集方式[5,6,10-12]。由于其极高的时间分辨率,建立在EPI基础上的MRI扩散及灌注成像技术已广泛应用于临床。利用不同的预脉冲与EPI结合,可获得EPI的T1W、T2W及自由感应衰减图像。
EPI T2WI常采用SE-EPI的方式[4-6],其序列结构为1个90°脉冲激发后由1个180°脉冲采集1个自旋回波,填充K空间中央,然后利用梯度场的快速切换,采集全部梯度回波,填充K空间的其余部分,为进一步节约采集时间,常采用半傅立叶采集的方法,仅需采集填充略多于K空间一半的相位编码线。K空间的中心相位编码线决定图像的对比,SE-EPI T2WI的K空间中心由自旋回波填充,其图像对比与常规SE序列相近,而且其有效TE可非常容易地进行调整,通常肝脏的SE-EPI T2WI有效TE调整为50~80 ms,以上特点非常有利于肝脏实性病变的显示,SE-EPI T2WI对肝脏实性病变的检出率高于其他快速或超快速T2WI序列,包括呼吸激发短回波链TSE序列[4,5]。本组资料的结果显示,SE-EPI T2WI序列的L-S CNR及病灶的CNR均高于true-FISP、TSE及HASTE序列,对直径2 cm以下的实性病变的检出率明显高于这些快速序列(图1~7)。
, http://www.100md.com
在肝脏快速及超快速T2WI图像上,血管断面常呈高信号,肝脏小病灶即使显示也不易与之区分,容易造成漏诊。在SE-EPI序列中,沿层面选择方向加上1对扩散敏感梯度可有利于两者的区分。这里加上的扩散敏感梯度尽管与水分子扩散加权成像的方法相同,但我们的目的是为了抑制来自血管的信号,由于采用小b值,造成信号衰减的主要是明显的血流,而肝实质及病灶内水分子扩散引起的信号丢失非常轻微[4,5],在加上低度扩散敏感梯度的2个EPI序列中(EPI-ld和IR-EPI-ld),血管断面变成低信号,容易与肝内病灶区分(图12)。
SE-EPI的信号采集速度很快,我们所用的3种序列全肝扫描时间都在4 s以内,EPI图像几乎没有呼吸运动伪影,这对于不能配合屏气的病人非常有利。但由于SE-EPI T2WI以梯度回波的方式采集大部分信号,因而在膈顶区常出现磁化敏感性伪影引起的结构变形,我们所用的3个序列均有不同程度的变形,但程度较轻,一般不影响诊断。SE-EPI不仅大部分为梯度回波成分,而且采用连续低幅梯度进行相位编码,这势必造成明显的化学位移伪影[6],尽管EPI序列都采用频率选择脂肪抑制技术,但由于成像速度很快,这种脂肪抑制方法难以奏效,我们的2个序列(epi和EPI-ld)图像中背部脂肪位移伪影仍比较明显,并造成一些病灶的掩盖(图1)。在SE-EPI序列前加上1个180°反转预脉冲,TI为150~170 ms,可有效地抑制脂肪信号,明显减轻化学位移伪影[6],这虽然同时也轻度降低了信噪比,但图像的T2对比并未降低,而且有利于被掩盖病变的显示(图2)。
, 百拇医药
小结
通过对77例202个病灶的多序列对照分析,结果表明SE-EPI T2W有较好的T2对比,对肝脏实性病变特别是小病变的检出率明显高于其他快速序列;加上低度的扩散加权梯度有利于小病灶与血管断面的鉴别;利用反转恢复预脉冲可有效抑制SE-EPI图像的化学位移伪影。我们认为在肝脏快速及超快速T2WI序列中,为提高实性病变的检出率,SE-EPI特别是IR-EPI-ld可作为首选序列。
参考文献
1,Gaa J,Hatabu H,Jenkins RL,et al.Liver masses:replacement of conventional T2-weighted spin-echo MR imaging with breath-hold MR imaging.Radiology,1996,200:459-464.
, 百拇医药
2,Mitchell DG.Fast MR imaging techniques:impact in the abdomen.J Magn Reson Imaging,1996,6:812-821.
3,Fujita T,Ito K,Honjo K,et al.Detection of hepatocellular carcinoma:comparison of T2-weighted breath-hold fast spin-echo sequences and high-resolution dynamic MR imaging with a phased-array body coil.J Magn Reson Imaging,1999,9:274-279.
4,Ichikawa T,Haradome H,Hachiya J,et al.Diffusion-weighted MR imaging with a single-shot echoplanar sequence:detection and characterization of focal hepatic lesions.AJR,1998,170:397-402.
, 百拇医药
5,Okada Y,Ohtomo K,Kiryu S,et al.Breath-hold T2-weighted MRI of hepatic tumors:value of echo-planar imaging with diffusion-sensitizing gradient.J Comput Assist Tomogr,1998,22:364-371.
6,Yamashita Y,Tang Y,Takahashi M.Ultrafast MR imaging of the abdomen:echo planar imaging and diffusion-weighted imaging.J Magn Reson Imaging,1998,8:367-374.
7,孙宏训,主编.肝脏病学.南京:江苏科学技术出版社,1990.701-702.
8,Laing AD,Gibson RN.MRI of the liver (Review).J Magn Reson Imaging,1998,8:337-345.
, 百拇医药
9,Nitz W.Imaging sequences in magnetic resonance tomography and their clinical application (Part 2).Electromedica,1996,64:48-51.
10,Reimer P,Saini S,Hahn PF,et al.Clinical application of abdominal echoplanar imaging (EPI):optimization using a retrofitted EPI system.J Comput Assist Tomogr,1994,18:673-679.
11,Jung G,Krahe T,Kugel H,et al.Prospective comparison of fast SE and GRASE sequences and echo planar imaging with conventional SE sequences in the detection of focal liver lesions at 1.0T.J Comput Assist Tomogr,1997,21:341-347.
12,Reimer P,Ladebeck R,Rummeny EJ,et al.Initial feasibility studies using single-shot EPI for the detection of focal liver lesions.Magn Reson Med,1994,32:733-737.
收稿日期:2000-03-10, 百拇医药
单位:杨正汉(卫生部北京医院放射科 100730);谢敬霞(北京医科大学第三临床医学院放射科 100083);刘剑羽(北京医科大学第三临床医学院放射科 100083);范家栋(北京医科大学第三临床医学院放射科 100083);章跃武(浙江省衢州市人民医院放射科);莫洪波(广西壮族自治区柳州市卫生学校);王伟中(广州军区广州总医院放射科)
关键词:磁共振成像;肝脏肿瘤;回波平面成像;对比研究
中华放射学杂志000702【摘要】目的 评价自旋回波平面成像(SE-EPI)T2W序列对肝脏实性病变的检出能力。方法74例病人(202个病灶)接受肝脏3种SE-EPI T2W序列磁共振扫描,评价其图像信噪比(SNR)、肝脾对比噪声比(L-S CNR)、病灶对比噪声比(CNR)及病变检出率,并与真实稳态进动快速成像(true-FISP)、快速自旋回波(TSE)及半傅立叶采集单次激发快速自旋回波(HASTE)等屏气T2W序列相比较。结果SE-EPI的SNR高于TSE(P<0.05),与true-FISP相近(P>0.05),但低于HASTE(P<0.01)。SE-EPI序列的L-S CNR及实性病变的CNR均显著高于true-FISP、HASTE及TSE(P<0.01)。对于囊性病变,各序列间的检出率无明显差异(P>0.05)。各序列均检出所有直径大于5 cm的实性病变。直径2~5 cm的实性病变,SE-EPI序列的检出率略高于true-FISP、HASTE及TSE,但无显著性差异(P>0.05)。直径小于2 cm的实性病灶,SE-EPI序列的检出率(93.9%)明显高于true-FISP(57.6%)、HASTE(71.2%)及TSE(68.2%)(P<0.01)。结论 与其他屏气T2W序列相比,SE-EPI T2WI有较高的病灶对比,能提高肝脏实性病变的检出率。
, http://www.100md.com
Improved detection of hepatic solid lesions with spin-echo echo-planar imaging(SE-EPI)T2-weighted sequences
YANG Zhenghan,XIE Jingxia,ZHANG Yuewu,et al.
(Department of Radiology,the Third Hospital of Beijing Medical University,Beijing 100083,China)
【Abstract】Objective To evaluate the role of SE-EPI T2W in the detection of hepatic solid lesions.Methods Three SE-EPI T2W sequences were performed in 74 patients with 202 lesions.The signal-to-noise ratio(SNR),liver-to-spleen contrast-to-noise ratio (L-S CNR),lesion CNR,and detection ratio of lesions were measured.The results were compared with those from true-FISP,TSE and HASTE T2WI.Results SNR of SE-EPI T2W sequences was higher than that of TSE(P<0.05),approaching that of true-FISP(P>0.05),but lower than that of HASTE(P<0.01).The L-S CNR and CNR of solid lesions in SE-EPI sequences were significantly higher than those in other T2W sequences (P<0.01).No differences existed between these sequences in detecting cystic lesions (P>0.05).Every sequence detected all solid lesions larger than 5 cm.SE-EPI just detected little more solid lesions between 2 and 5 cm than other sequences.For solid lesions smaller than 2 cm,SE-EPI showed higher detection rate (93.9%) than true-FISP (57.6%),HASTE (71.2%) or TSE (68.2%) (P<0.01).Conclusion Compared with other breath-hold T2W sequences,SE-EPI T2W has better lesion contrast,and can improve the detection of hepatic solid lesions.
, 百拇医药
【Key words】Magnetic resonance imaging;Liver tumor; Echo-planar imaging; Comparative study
在高场强的MR扫描仪中,T2WI是肝脏局灶病变特别是实性病变检出的主要手段[1-5]。自旋回波平面成像(spin-echo echo-planar imaging,SE-EPI)T2W可提高肝脏实性病变的检出率[4-7],笔者报告这方面的初步临床应用结果如下。
材料与方法
一、 病例选择
符合下列条件的病例收入本组资料:(1)同时有本研究要求的6种序列的T2WI。(2)病灶经手术病理证实或活检证实。(3)如病灶未经病理学证实则:①海绵状血管瘤及肝囊肿有典型影像学表现,并有6个月以上的随访资料证明病灶无增大;②肝细胞癌符合临床诊断标准[7];③转移性肿瘤有明确原发病灶,转移灶有典型影像学表现或复查结果支持。(4)本研究的目的是评价肝脏实性病变的检出率,因而另外两类病灶也被收入:①影像学检查未能发现而手术发现的病变;②CT和MRI平扫及增强能确定为实性病变但未能符合条件1~3的病变。(5)肝内病灶数目太多不能准确计数的病例不予收入。这样共有74例202个病灶收入,包括原发性肝癌14例26个病灶、肝硬化不典型腺瘤样增生结节癌变1例1个病灶、转移性肿瘤22例78个病灶、肝内胆管细胞癌1例1个病灶、海绵状血管瘤15例23个病灶、肝囊肿23例56个病灶、未确诊实性病灶8例17个病灶。其中有9例同时有性质不同的2种以上病变。
, http://www.100md.com
二、 MRI检查技术
检查设备为西门子Magnetom Vision 1.5 T MRI扫描仪,用相控阵表面线圈采集信号。T2WI序列包括:(1)真实稳态进动快速成像(true-FISP) :TR 4.8 ms,TE 2.3 ms,激发角70°,矩阵140×256;(2)屏气快速自旋回波(TSE):TR 4 500 ms,TE 138 ms,回波链长(ETL)29,矩阵114×256;(3)半傅立叶转换单次激发快速自旋回波(HASTE):TR ∞,TE 64 ms,回波间期(ES)4.4 ms,ETL 128,矩阵240×256;(4)SE-EPI: TR 为∞,TE 72 ms,ES 0.6 ms,矩阵128×128,以下该序列简称epi;(5)低度弥散SE-EPI:TR为 ∞,TE 53 ms,ES 0.6 ms,矩阵128×128,在180°脉冲的两侧加上低度扩散敏感梯度,b值为55 mm2/s,以下该序列简称EPI-ld;(6)反转恢复低度弥散SE-EPI:在EPI-ld前加上1个180°反转预脉冲,反转时间(TI) 150~170 ms,其余参数同EPI-ld,以下该序列称IR-EPI-ld。T1WI为二维快速小角度激发(flash-2D):TR 117.4~130 ms,TE 4.1 ms,激发角80°,矩阵140×256,该序列还用于动态增强扫描。上述序列层厚均为8 mm,层间距为10%~20%层厚,采用6×8矩形视野(FOV)(300 mm×300 mm~380 mm×380 mm)扫描15~19层,扫描时间1~26 s。
, 百拇医药
三、图像分析及统计学处理
图像分析由2位放射科医生用盲法(不知病史和最后确诊结果)阅片共同进行,评价图像质量、记录伪影并判断病变是否检出,检出率以病人术中发现的病灶数目为准,在非手术的病人则以所有影像学资料的综合分析所能发现的病灶数为准。EPI序列的病变检出率与true-FISP 、HASTE及TSE序列比较,并进行卡方检验。
定量分析包括信噪比(SNR)(SNR=SH/SD,SH为肝脏平均信号强度值,SD为相位编码方向背景噪声的标准差)和肝脾对比噪声比(L-S CNR)(L-S CNR=[SS-SH]/SD,SS为脾实质平均信号值,SH和SD同前)。对直径在1.5 cm以上的病变,测量其信号值,并计算对比噪声比(CNR=[SM-SH]/SD,SM为肿块的信号强度),根据测量结果,我们发现CNR在1.0以上时,肉眼就可较清楚地辨认病变,因此,我们把某个序列上不能发现的病变的CNR定为0,隐约可见但边界不能确定的病灶CNR定为0.5。如同一病人同性质的病变超过4个,仅测量其中4个病灶。定量分析结果采用t检验,以P<0.05为有显著性差异的标准。
, http://www.100md.com
结果
8例(10.8%)病人屏气不佳,TSE T2WI有较严重的呼吸运动伪影。所有病人的true-FISP T2WI有轻微的条纹状伪影,但不影响病变的显示,13例(17.6%)在近膈面或胆囊窝处出现磁化敏感伪影,其中3例掩盖了病灶。epi T2WI与EPI-ld T2WI均有明显的化学位移伪影,在肥胖的病例尤为明显,移位的背部皮下脂肪影重叠于肝脏上,可掩盖肝内病灶(图1),而IR-EPI-ld T2WI上脂肪信号得到很好的抑制,可显示被掩盖的病变(图2)。在膈顶区,所有的EPI序列均出现肝脏的变形,但大多程度较轻,不影响病变的显示。本组所有病人的true-FISP、 HASTE及3个EPI序列T2WI均无明显的呼吸运动伪影。未见因为EPI图像有严重的N/2伪影(鬼影)而不能用于诊断。EPI序列对肝内外解剖结构的显示不及true-FISP及TSE。
, http://www.100md.com
SNR、L-S CNR及病灶的CNR在不同序列T2WI的测量结果见表1。epi及EPI-ld的SNR高于TSE (t值分别为2.247和2.371,P<0.05),与true-FISP相近(t值分别为0.914和1.326,P>0.05),但低于HASTE(t值分别为3.141和2.869,P<0.01),IR-EPI-ld的SNR略低于EPI-ld ,但L-S CNR及病灶的CNR与EPI-ld无差异(t值分别为1.214和0.763,P>0.05)。EPI序列的L-S CNR及实性病变的CNR均显著高于true-FISP(t值分别为3.391和3.368,P<0.01)、HASTE(t值分别为3.015和3.088,P<0.01)及TSE(t值分别为2.937和3.126,P<0.01)。
各个序列的病变检出率详见表2。对于囊性病变(肝囊肿与海绵状血管瘤),除epi外其他各序列间的检出率无明显差异(χ2=4.739,P>0.05)。各序列均检出所有大于5 cm的实性病变,但EPI序列的病灶与肝实质对比高于true-FISP、HASTE及TSE。直径2~5 cm的实性病变,IR-EPI-ld序列的检出率高于true-FISP(χ2=6.081,P<0.05)和TSE(χ2=3.888,P<0.05),略高于HASTE但无统计学差异(χ2=2.867,P>0.05)。对于直径小于2 cm的实性病灶,IR-EPI-ld序列的检出率明显高于true-FISP(χ2=23.76,P<0.001)、HASTE(χ2=11.85,P<0.001)及TSE(χ2=14.26,P<0.001)(图1~7)。1例肝硬化增生结节癌变,IR-EPI-ld T2WI清楚显示了结节内的癌变灶(图8~10)。在带有低度扩散梯度场的IR-EPI-ld与EPI-ld T2WI图像中,血管断面呈明显低信号,容易与小病灶区分(图11,12)。
, http://www.100md.com
图1~3 女,56岁,胰腺囊腺癌,肝脏多发转移。图1为EPI-ld T2WI,肝左内叶肿块呈明显高信号,肝右叶见2个高信号结节灶(箭头),其中偏后方的结节灶被化学位移伪影掩盖;图2为IR-EPI-ld T2WI,化学位移伪影明显减轻,病灶充分暴露(箭头);图3为true-FISP T2WI,左内叶见一略高信号肿块(○),右肝未见病灶
图4~7 男,62岁,乙型肝炎肝硬化,右肝后叶小肝癌。图4为true-FISP T2WI,图5为HASTE T2WI,除显示肝实质信号不均匀外,两个序列均未能显示局灶性病变;图6为IR-EPI-ld T2WI,右肝后叶见一直径1.8 cm的高信号结节;图7为动态增强扫描动脉期,病灶明显强化
, http://www.100md.com
图8~10 男,59岁,乙型肝炎,肝硬化不典型腺瘤样增生结节癌变。图8为true-FISP T2WI,右肝近膈顶区见一略低信号病灶;图9为IR-EPI-ld T2WI,低信号病灶(长箭头)内见一略高信号结节(短箭头);图10为动态增强扫描动脉期,整个病灶强化不明显(长箭头),病灶内见一明显强化结节(短箭头)。手术病理证实为肝硬化不典型腺瘤样增生结节癌变
图11,12 男,47岁,结肠癌肝多发转移。图11为true-FISP T2WI,右肝近胆囊窝处见多个高信号结节影(箭头),难以区分是转移灶还是血管断面;图12为IR-EPI-ld T2WI,转移灶仍呈高信号(长箭头),血管断面变成低信号(短箭头)
, 百拇医药
表1 SNR、L-S CNR及病灶CNR在不同序列T2WI的测量结果 项目
true-FISP
TSE
HASTE
epi
EPI-ld
IR-EPI-ld
SNR(n=74)
7.9±2.7
5.6±2.9
13.4± 4.7
, http://www.100md.com
7.6± 3.1
8.8± 2.9
6.7± 2.1
L-S CNR(n=74)
3.6±2.2
5.9±4.7
5.1± 1.9
9.0± 4.8
8.9± 3.2
9.4± 4.1
实性病变CNR(n=76)
4.1±1.7
, http://www.100md.com
5.6±2.9
5.9± 3.2
9.6± 4.1
9.7± 3.9
9.9± 4.4
囊性病变CNR(n=51)
19.1±9.9
22.7±5.9
32.5±11.8
28.9±18.5
27.8±14.7
26.9±13.9
, 百拇医药
注:(1)表中数值以均数±标准差表示; (2)实性或囊性病变的n值为直径大于1.5 cm的病灶数表2 肝脏病灶于不同序列T2WI的检出率比较 肝脏病变
病灶数
(个)
true-FISP
TSE
HASTE
epi
EPI-ld
IR-EPI-ld
检出数
(个)
, 百拇医药
检出率
(%)
检出数
(个)
检出率
(%)
检出数
(个)
检出率
(%)
检出数
(个)
检出率
, 百拇医药
(%)
检出数
(个)
检出率
(%)
检出数
(个)
检出率
(%)
囊性病变
79
75
94.9
, 百拇医药
76
96.2
78
98.7
69
87.3
74
93.7
78
98.7
实性病变(>5 cm)
14
14
, 百拇医药
100.0
14
100.0
14
100.0
14
100.0
14
100.0
14
100.0
实性病变(2~5 cm)
43
, http://www.100md.com
35
81.4
37
86.0
38
88.4
41
95.3
41
95.3
42
97.7
实性病变(<2 cm)
, http://www.100md.com
66
38
57.6
45
68.2
47
71.2
56
84.8
59
89.4
62
93.9
, 百拇医药
合计
202
162
80.2
172
85.1
177
87.6
181
89.6
188
93.1
196
, 百拇医药
97.0
讨论
常规SE T2W序列有很好的信噪比和病灶对比,但扫描时间长,而且呼吸运动造成的伪影降低了图像质量,影响病变的检出。近年来应用于临床的TSE 序列是在1个90°脉冲激发后连续采集多个回波,明显缩短了信号采集时间,回波链较短的TSE T2W序列图像的对比接近SE,但采集时间仍需数分钟,为了减少呼吸伪影而采用的呼吸门控或呼吸激发技术不仅增加了扫描时间,而且在不少病人伪影的抑制效果并不理想[1-3]。长回波链的TSE T2WI可以在1次屏气完成全肝的信号采集,但其有效TE常在120 ms以上,对于肝脏来说T2权重太重,不利于实性病变的显示[2,3]。回波间隔很短的单次激发TSE序列,如HASTE,可将有效TE缩短到60~70 ms,适合于肝脏[8]。但和长回波链的TSE序列一样,由于连续180°脉冲造成的磁化转移效应,一方面加大了囊性病变与肝脏的对比,另一方面却减小了实性病变与肝实质的对比,影响实性病变特别是小病变的检出。
, 百拇医药
梯度回波T2WI序列很少应用于肝脏,文献上更少有报道,我院将true-FISP T2WI应用于临床,发现虽然该序列有良好的信噪比,能清晰显示肝内静脉及肝内外解剖结构,但其T2对比欠佳,对实性病变的检出甚至不及屏气的TSE和HASTE。
EPI技术是近年来MRI硬件及软件发展的成果,也是目前速度最快的MRI信号采集方式[5,6,10-12]。由于其极高的时间分辨率,建立在EPI基础上的MRI扩散及灌注成像技术已广泛应用于临床。利用不同的预脉冲与EPI结合,可获得EPI的T1W、T2W及自由感应衰减图像。
EPI T2WI常采用SE-EPI的方式[4-6],其序列结构为1个90°脉冲激发后由1个180°脉冲采集1个自旋回波,填充K空间中央,然后利用梯度场的快速切换,采集全部梯度回波,填充K空间的其余部分,为进一步节约采集时间,常采用半傅立叶采集的方法,仅需采集填充略多于K空间一半的相位编码线。K空间的中心相位编码线决定图像的对比,SE-EPI T2WI的K空间中心由自旋回波填充,其图像对比与常规SE序列相近,而且其有效TE可非常容易地进行调整,通常肝脏的SE-EPI T2WI有效TE调整为50~80 ms,以上特点非常有利于肝脏实性病变的显示,SE-EPI T2WI对肝脏实性病变的检出率高于其他快速或超快速T2WI序列,包括呼吸激发短回波链TSE序列[4,5]。本组资料的结果显示,SE-EPI T2WI序列的L-S CNR及病灶的CNR均高于true-FISP、TSE及HASTE序列,对直径2 cm以下的实性病变的检出率明显高于这些快速序列(图1~7)。
, http://www.100md.com
在肝脏快速及超快速T2WI图像上,血管断面常呈高信号,肝脏小病灶即使显示也不易与之区分,容易造成漏诊。在SE-EPI序列中,沿层面选择方向加上1对扩散敏感梯度可有利于两者的区分。这里加上的扩散敏感梯度尽管与水分子扩散加权成像的方法相同,但我们的目的是为了抑制来自血管的信号,由于采用小b值,造成信号衰减的主要是明显的血流,而肝实质及病灶内水分子扩散引起的信号丢失非常轻微[4,5],在加上低度扩散敏感梯度的2个EPI序列中(EPI-ld和IR-EPI-ld),血管断面变成低信号,容易与肝内病灶区分(图12)。
SE-EPI的信号采集速度很快,我们所用的3种序列全肝扫描时间都在4 s以内,EPI图像几乎没有呼吸运动伪影,这对于不能配合屏气的病人非常有利。但由于SE-EPI T2WI以梯度回波的方式采集大部分信号,因而在膈顶区常出现磁化敏感性伪影引起的结构变形,我们所用的3个序列均有不同程度的变形,但程度较轻,一般不影响诊断。SE-EPI不仅大部分为梯度回波成分,而且采用连续低幅梯度进行相位编码,这势必造成明显的化学位移伪影[6],尽管EPI序列都采用频率选择脂肪抑制技术,但由于成像速度很快,这种脂肪抑制方法难以奏效,我们的2个序列(epi和EPI-ld)图像中背部脂肪位移伪影仍比较明显,并造成一些病灶的掩盖(图1)。在SE-EPI序列前加上1个180°反转预脉冲,TI为150~170 ms,可有效地抑制脂肪信号,明显减轻化学位移伪影[6],这虽然同时也轻度降低了信噪比,但图像的T2对比并未降低,而且有利于被掩盖病变的显示(图2)。
, 百拇医药
小结
通过对77例202个病灶的多序列对照分析,结果表明SE-EPI T2W有较好的T2对比,对肝脏实性病变特别是小病变的检出率明显高于其他快速序列;加上低度的扩散加权梯度有利于小病灶与血管断面的鉴别;利用反转恢复预脉冲可有效抑制SE-EPI图像的化学位移伪影。我们认为在肝脏快速及超快速T2WI序列中,为提高实性病变的检出率,SE-EPI特别是IR-EPI-ld可作为首选序列。
参考文献
1,Gaa J,Hatabu H,Jenkins RL,et al.Liver masses:replacement of conventional T2-weighted spin-echo MR imaging with breath-hold MR imaging.Radiology,1996,200:459-464.
, 百拇医药
2,Mitchell DG.Fast MR imaging techniques:impact in the abdomen.J Magn Reson Imaging,1996,6:812-821.
3,Fujita T,Ito K,Honjo K,et al.Detection of hepatocellular carcinoma:comparison of T2-weighted breath-hold fast spin-echo sequences and high-resolution dynamic MR imaging with a phased-array body coil.J Magn Reson Imaging,1999,9:274-279.
4,Ichikawa T,Haradome H,Hachiya J,et al.Diffusion-weighted MR imaging with a single-shot echoplanar sequence:detection and characterization of focal hepatic lesions.AJR,1998,170:397-402.
, 百拇医药
5,Okada Y,Ohtomo K,Kiryu S,et al.Breath-hold T2-weighted MRI of hepatic tumors:value of echo-planar imaging with diffusion-sensitizing gradient.J Comput Assist Tomogr,1998,22:364-371.
6,Yamashita Y,Tang Y,Takahashi M.Ultrafast MR imaging of the abdomen:echo planar imaging and diffusion-weighted imaging.J Magn Reson Imaging,1998,8:367-374.
7,孙宏训,主编.肝脏病学.南京:江苏科学技术出版社,1990.701-702.
8,Laing AD,Gibson RN.MRI of the liver (Review).J Magn Reson Imaging,1998,8:337-345.
, 百拇医药
9,Nitz W.Imaging sequences in magnetic resonance tomography and their clinical application (Part 2).Electromedica,1996,64:48-51.
10,Reimer P,Saini S,Hahn PF,et al.Clinical application of abdominal echoplanar imaging (EPI):optimization using a retrofitted EPI system.J Comput Assist Tomogr,1994,18:673-679.
11,Jung G,Krahe T,Kugel H,et al.Prospective comparison of fast SE and GRASE sequences and echo planar imaging with conventional SE sequences in the detection of focal liver lesions at 1.0T.J Comput Assist Tomogr,1997,21:341-347.
12,Reimer P,Ladebeck R,Rummeny EJ,et al.Initial feasibility studies using single-shot EPI for the detection of focal liver lesions.Magn Reson Med,1994,32:733-737.
收稿日期:2000-03-10, 百拇医药