弥漫性肺疾病支气管血管束高分辨率CT表现及其病理基础
作者:聂永康 马大庆 李铁一
单位:首都医科大学附属北京友谊医院放射科 北京,100050
关键词:肺疾病,间质性;体层摄影术,X线计算机;病理学;对比研究
中华放射学杂志000709【摘要】目的 研究支气管血管束胸部高分辨率CT(HRCT)的正常、异常表现及其病理学基础,并评价其对弥漫性肺疾病的诊断价值。方法 对6例新鲜尸检肺脏标本及8例全肺或肺叶切除标本进行HRCT与病理对照研究。采用Heitzman法充气膨胀固定标本并行HRCT扫描,然后将标本切成10mm厚片摄取软X线片,进行影像、病理对照。对100例经病理或临床证实诊断为弥漫性肺疾病者行HRCT检查,并进行分析。结果 支气管血管束增粗及边缘毛糙不规则、扭曲变形者,其病理改变包括支气管血管周围间质及其肺实质炎症及纤维化;小叶中央支气管血管束异常、表现为小叶核影增大者,在煤工尘肺为小叶内支气管血管周围尘肺结节所致,在癌性淋巴管炎为小叶内以血管为中心的癌细胞结节所致;小叶核分支状影增多者,病理表现为小叶内细支气管扩张并见管壁及周围肺组织炎症细胞浸润。在80例以肺间质为主的病变中,支气管血管束增粗、边缘毛糙、扭曲变形主要见于慢性支气管炎合并间质纤维化及胶原病肺纤维化;支气管血管束增粗呈结节状征象者,在20例结节病病例中见8例,8例癌性淋巴管炎病例中见6例,5例淋巴瘤病例中见3例,15例煤工尘肺病例中见2例。在20例以支气管为主的病变中,小叶核分支状影增多者有14例(70%)。结论 根据支气管血管束异常的HRCT表现,可以缩小弥漫性肺疾病鉴别诊断的范围。
, 百拇医药
Bronchovascular bundle abnormalities and pathologic basis in diffuse pulmonary diseases on high resolution CT
NIE Yonkang,MA Daqing,LI Tieyi
(Department of Radiology,,Beijing Friendship Hospitial,Capital University of Medical Sciences,Beijing 1000050,China)
【Abstract】Objective To investigate CT appearances of the normal and abnormal bronchovascular bundles(BVB) and their corresponding pathologic basis,and to evaluate the role of these findings in diagnosing diffuse lung diseases.Methods 6 fresh lungs obtained at autopsy and 8 surgical lung lobe specimens were studied.All lung specimens were inflated and fixed by Heitzman′s method.HRCT with 10 mm thickness slice soft X-ray radiography was performed and HRCT-pathologic correlation was done.HRCT images of 100 cases with diffuse pulmonary disease were analyzed.Results Thickened BVB with coarse margin and distorted structure correlated pathologically with peribronchovascular pulmonary parenchyma inflammation and fibrosis,as well as peribronchovascular interstitial disorder.Abnormalities of centrilobular BVB were recognizable by an increase in prominence of centrilobular structure on HRCT.In pathology,there were centrilobular peribronchovascular dust-induced granuloma in coal-miner′s pneumoconiosis and centrilobular lymphangitic dilatation and filling with tumor cell in lymphangitic carcinomatosis.Increased centrilobular branching structures correlated pathologically with the presence of dilated intralobular bronchioles,inflammatory bronchiolar wall thickening,intraluminal secretions,and peribronchiolar inflammation.In 80 patients with predominant pulmonary interstitial diseases,thickened BVB with coarse margin or distortion were common in patients with pulmonary fibrosis.Nodular bronchovascular bundle thickening were seen in sarcoidosis,lymphangitic carcinomatosis,and lymphoma.These were demonstrated in 8 of 20 sarcoidosis,6 of 8 lymphangitic carcinomatosis,3 of 5 lymphoma,and 2 of 15 coal-miner′s pneumoconiosis.Increased centrilobular branching structures were seen in 14 of 20 patients with predominant bronchial diseases.Conclusion We can limit the differential diagnostic range of diffuse lung diseases according to the appearances of BVB.
, 百拇医药
【Key words】Lung diseases,interstitial;Tomography,X-ray computed;Pathology;Comparative study
从CT应用于胸部疾病诊断以来,特别是高分辨率CT(HRCT)及电子束CT(EBCT)的应用,支气管血管束异常在胸部疾病诊断中的价值引起一些作者重视[1-5]。但对支气管血管束HRCT-病理对照研究,由于受标本来源的限制,尚需进一步研究。笔者对6例尸检肺标本及8例全肺或肺叶手术切除标本进行影像、病理对照,并分析100例弥漫性肺疾病HRCT支气管血管束表现。
材料与方法
为了研究支气管血管束异常的病理学基础,对6例新鲜尸检肺标本(正常肺2例,煤工尘肺3例,癌性淋巴管炎1例)及8例全肺或肺叶切除标本(慢性支气管炎4例,阻塞性肺炎2例,支气管扩张2例)进行影像与病理对照研究。采用Heitzman法[6]对新鲜肺标本充气膨胀固定。使用PQ 2000 CT机对充气膨胀标本进行轴面及冠状面CT扫描,层厚10 mm,层间隔10 mm;HRCT层厚2 mm,层间隔10 mm,然后按扫描线将标本切成10 mm厚片,用Contour型乳腺机摄肺标本厚切片软X线片,在此基础上对支气管血管束取材镜检。采用标本HRCT影像,标本10 mm切片软X线影像与病理切片进行对照。
, http://www.100md.com
对100例弥漫性肺疾病HRCT影像进行分析,包括肺间质为主的病变80例,支气管为主的病变20例。其中男54例,女46例,平均年龄48.7岁(16~82岁)。肺间质病变包括慢性支气管炎合并间质纤维化25例,胶原病7例(类风湿4例,干燥综合征2例,皮肌炎1例),结节病20例,癌性淋巴管炎8例,淋巴瘤肺浸润5例,煤工尘肺15例。支气管为主病变包括弥漫性泛毛细支气管炎7例,支气管播散性肺结核8例,支气管扩张5例。所有诊断均经临床或病理证实。
结果
一、支气管血管束异常的HRCT影像及其病理表现
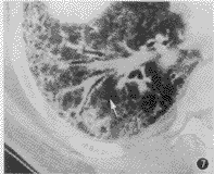
1.支气管血管束边缘毛糙:具有此种表现者4例,其中慢性支气管炎2例,阻塞性肺炎2例。慢性支气管炎除支气管壁炎症细胞浸润,还可见支气管周围肺组织纤维化、肺泡壁炎性细胞浸润。阻塞性肺炎见1个肺叶内支气管血管束增粗、边缘模糊,在病理上为肺叶支气管梗阻,其远侧支气管内黏液潴留,支气管血管束周围肺组织炎性改变(图1~3)。

, 百拇医药
病变
例数
支气管血管束表现(例数)
小叶核
影增大
(例数)
正常
边缘
毛糙
扭曲
变形
呈结
节状
, http://www.100md.com
慢性支气管炎合并
25
8
14
10
0
0
间质纤维化
胶原病
7
2
4
4
0
, http://www.100md.com
0
结节病
20
6
2
2
8
6
淋巴瘤
5
0
0
0
3
, 百拇医药
5
癌性淋巴管炎
8
0
2
0
6
4
煤工尘肺
15
7
6
4
2
, 百拇医药
5
合计
80
23
28
20
19
20
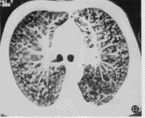
在20例以支气管为主的病变中,小叶核分支状影增多最多见,共14例,其中毛细支气管炎7例,均有小叶核分支影增多;8例支气管播散性肺结核中5例有小叶核分支状影增多(图12);5例支气管扩张均显示支气管内径较相邻肺动脉增粗,2例见小叶核分支状影增多。
, http://www.100md.com
图7 慢性支气管炎合并间质纤维化。支气管血管束增粗、边缘毛糙
图8 类风湿性肺间质纤维化。支气管血管束扭曲,其周围见磨玻璃状影
图9 癌性淋巴管炎。支气管血管束呈串珠状增粗
图10 结节病。支气管血管束呈串珠状,双肺门淋巴结增大
图11 煤工尘肺。右下叶支气管血管束呈串珠状,其周围见较多小结节
, 百拇医药
图12 弥漫性泛毛细支气管炎。支气管血管束增粗,但以小叶核分支状影增多为主
讨论
一、支气管血管束的检查方法与正常表现
支气管血管束在解剖上为结缔组织鞘包绕的支气管及同级肺动脉,属中轴间质,需采用HRCT技术显示其详细结构。在实际工作中一般不常规使用HRCT连续扫描,普通CT可较好显示支气管血管走行,应将两者结合起来使用。
选择适当的窗宽和窗位,尤其是窗宽范围,对支气管血管束的显示较为重要,窗宽过窄(<1 000 HU),可过高估计其大小,将正常误认为增粗。一般选择窗位-700 HU,窗宽1 000~1 500 HU[7]。
HRCT可显示肺动脉及其伴行的支气管,周围结缔组织不能显示,4级以下主要为肺动脉影像。正常支气管血管束边缘光滑清楚,逐渐分级变细,在小叶中央部呈点状或分支状影,称小叶核影,为小叶中央动脉影像,距小叶间隔或胸膜5~10 mm,其伴随的小叶中央细支气管正常时不能显示。
, http://www.100md.com
二、支气管血管束异常的CT影像及病理基础
由于支气管、肺动脉及周围间质的解剖关系密切,其病变常互相牵连。支气管壁炎症或肿瘤浸润常累及相伴随的肺动脉,而且容易侵及周围结缔组织;同样,中轴间质病变(炎症、肿瘤、水肿)也可引起支气管壁增厚,形成“支气管袖口征”,相应肺动脉也不规则增粗,导致支气管血管束粗糙、不规则。支气管血管束异常表示支气管、肺血管、淋巴管及中轴间质病变,还包括邻近肺实质病变。
支气管血管束增粗、边缘毛糙、扭曲变形多见于肺间质纤维化。本组影像与病理对照表明,支气管血管束异常不只是支气管血管周围结缔组织病变,而主要反映了其周围肺组织病理变化。
支气管血管束增粗呈结节状多见于结节病及癌性淋巴管炎。Bergin等[8]报道1组结节病,75%的病例见支气管血管束不均匀增粗,有串珠状改变;而Muller等[9]报道25例结节病,68%可见此征象。多数作者认为其病理基础为非干酪样肉芽组织结节沿支气管血管周围淋巴管分布,可伴有或不伴有间质纤维化。Munk等[3]报道21例癌性淋巴管炎,可见支气管血管束不均匀增粗,呈结节状表现,认为其病理基础主要为支气管血管束周围淋巴管内肿瘤细胞生长。
, 百拇医药
支气管血管束末梢显示率增加主要为小叶核支气管血管束异常所致。Gruden等[4]认为,小叶核分支状影增多,病理基础为细支气管扩张,腔内充满黏液;而小叶核不规则结节或磨玻璃状密度结节为细支气管周围炎性病变或支气管血管束周围结节所致。我们在小叶核影增大的病理对照中,慢性支气管炎、癌性淋巴管炎及煤工尘肺均可见小叶核影增大,但有不同的病理基础,仅根据此征象鉴别诊断困难。而小叶核分支状影增多的病理基础为细支气管扩张及其周围炎,为小叶细支气管及其周围病变表现。
三、支气管血管束异常的鉴别诊断
中轴间质病变常有支气管血管束异常,若伴随有周围间质病变,一般容易诊断,然而一些病变(结节病、淋巴瘤、淋巴管转移癌等)倾向于或仅累及中轴间质,如果不仔细评价支气管血管束结构,即便有明显的病理改变,也易被漏诊。尤其是病变弥漫或对称时,细微的中轴间质增厚很难判断。正确认识支气管血管束异常表现及分布,对中轴间质病变的诊断非常重要。
, http://www.100md.com
在肺间质性炎性病变,支气管血管束异常表现主要为边缘改变,包括边缘模糊、毛糙、不规则等,仅根据这些改变,不能区别支气管血管周围间质纤维化与其周围肺实质炎症,二者鉴别需结合CT其他征象。支气管血管束走行异常,如支气管血管束扭曲变形、走行僵直,反映了支气管血管周围肺组织纤维化及肺结构破坏,是周围肺组织牵拉的结果。本组慢性支气管炎合并间质纤维化的病例中,边缘毛糙占56%,扭曲变形占40%。虽然支气管血管束异常为肺间质纤维化的常见表现,但并不是诊断的主要依据,肺间质纤维化的诊断必须结合肺周围间质改变的征象,如小叶间隔增厚、小叶内间质增厚等。
对累及中轴间质的肉芽肿病变及肿瘤性病变,支气管血管束异常表现为结节状增粗。本组病例中,支气管血管束结节状增粗见于结节病、癌性淋巴管炎、淋巴瘤肺浸润及煤工尘肺,后者常有职业病史,对于前两者的鉴别,结节病常合并有纵隔肺门淋巴结增大,结节主要沿较大支气管血管束分布,以肺门部支气管血管束改变为主要表现,在胸膜下或小叶间隔较少见,可合并或不合并肺间质纤维化;而癌性淋巴管炎,结节除分布于中轴间质外,还多见分布于周围间质的多发结节,表现为胸膜下多个结节及小叶间隔串珠状增厚,很少合并肺纤维化及小叶形状不改变为其特点。本组结节病均合并有纵隔及(或)肺门淋巴结增大,8例癌性淋巴管炎中,6例有胸膜下结节影。
, 百拇医药
沿支气管血管束分布的支气管或肺实质病变,表现为沿支气管血管束分布的小斑片状影,支气管可较相邻肺动脉增粗。支气管壁增厚而相邻肺动脉正常,多提示不合并有周围肺间质异常。在伴随有细支气管病变时,小叶核分支状影明显增多,本组以支气管为主的弥漫性肺疾病患者中,70%有此征象。
总之,对支气管血管束的观察应在普通CT检查的基础上选择性地应用HRCT,根据支气管血管束的异常表现,可以缩小鉴别诊断范围,但在诊断中应结合其他CT征象。
参考文献
1,Murata K,Takahashi M,Mori M,et al.Peribronchovascular interstitum of the pulmonary hilum:normal and abnormal findings on thin-section electron-beam CT.AJR,1996,166:309-312.
, http://www.100md.com
2,Nishimura K,Itoh H,Kitaichi M,et al.CT and pathological correlation of pulmonary sarcoidosis.Semin Ultrasound CT MR,1995,16:361-370.
3,Munk PL,Muller NL,Miller RR,et al.Pulmonary lymphangitic carcinomatosis:CT and pathologic findings.Radiology,1988,166:705-709.
4,Gruden JF,Webb WR.Identification and evaluation of centrilobular opacities on high-resolution CT.Semin Ultrasound CT MR,1995,16:435-449.
, http://www.100md.com
5,李铁一,冀景玲.支气管血管束异常在肺弥漫性病变诊断中的价值.中华放射学杂志,1997,31:384-387.
6,Heitzman ER,ed.The hung:radiologic-pathologic correlation.St Louis:Mosby,1984.162-163.
7,Bankier AA,Fleischmann D,Mallek R,et al.Bronchial wall thickness:appropriate window settings for thin-section CT and radiologic-anatomic correlation.Radiology,1996,199:831-836.
8,Bergin CJ,Muller RR.CT of interstitial lung disease:diagnostic approach.AJR,1987,148:8-10.
9,Muller NL,Kullning P,Miller RR.CT findings of pulmonary sarcoidosis:analysis of 25 patients.AJR,1989,152:1179-1182.
收稿日期:1999-07-29, http://www.100md.com
单位:首都医科大学附属北京友谊医院放射科 北京,100050
关键词:肺疾病,间质性;体层摄影术,X线计算机;病理学;对比研究
中华放射学杂志000709【摘要】目的 研究支气管血管束胸部高分辨率CT(HRCT)的正常、异常表现及其病理学基础,并评价其对弥漫性肺疾病的诊断价值。方法 对6例新鲜尸检肺脏标本及8例全肺或肺叶切除标本进行HRCT与病理对照研究。采用Heitzman法充气膨胀固定标本并行HRCT扫描,然后将标本切成10mm厚片摄取软X线片,进行影像、病理对照。对100例经病理或临床证实诊断为弥漫性肺疾病者行HRCT检查,并进行分析。结果 支气管血管束增粗及边缘毛糙不规则、扭曲变形者,其病理改变包括支气管血管周围间质及其肺实质炎症及纤维化;小叶中央支气管血管束异常、表现为小叶核影增大者,在煤工尘肺为小叶内支气管血管周围尘肺结节所致,在癌性淋巴管炎为小叶内以血管为中心的癌细胞结节所致;小叶核分支状影增多者,病理表现为小叶内细支气管扩张并见管壁及周围肺组织炎症细胞浸润。在80例以肺间质为主的病变中,支气管血管束增粗、边缘毛糙、扭曲变形主要见于慢性支气管炎合并间质纤维化及胶原病肺纤维化;支气管血管束增粗呈结节状征象者,在20例结节病病例中见8例,8例癌性淋巴管炎病例中见6例,5例淋巴瘤病例中见3例,15例煤工尘肺病例中见2例。在20例以支气管为主的病变中,小叶核分支状影增多者有14例(70%)。结论 根据支气管血管束异常的HRCT表现,可以缩小弥漫性肺疾病鉴别诊断的范围。
, 百拇医药
Bronchovascular bundle abnormalities and pathologic basis in diffuse pulmonary diseases on high resolution CT
NIE Yonkang,MA Daqing,LI Tieyi
(Department of Radiology,,Beijing Friendship Hospitial,Capital University of Medical Sciences,Beijing 1000050,China)
【Abstract】Objective To investigate CT appearances of the normal and abnormal bronchovascular bundles(BVB) and their corresponding pathologic basis,and to evaluate the role of these findings in diagnosing diffuse lung diseases.Methods 6 fresh lungs obtained at autopsy and 8 surgical lung lobe specimens were studied.All lung specimens were inflated and fixed by Heitzman′s method.HRCT with 10 mm thickness slice soft X-ray radiography was performed and HRCT-pathologic correlation was done.HRCT images of 100 cases with diffuse pulmonary disease were analyzed.Results Thickened BVB with coarse margin and distorted structure correlated pathologically with peribronchovascular pulmonary parenchyma inflammation and fibrosis,as well as peribronchovascular interstitial disorder.Abnormalities of centrilobular BVB were recognizable by an increase in prominence of centrilobular structure on HRCT.In pathology,there were centrilobular peribronchovascular dust-induced granuloma in coal-miner′s pneumoconiosis and centrilobular lymphangitic dilatation and filling with tumor cell in lymphangitic carcinomatosis.Increased centrilobular branching structures correlated pathologically with the presence of dilated intralobular bronchioles,inflammatory bronchiolar wall thickening,intraluminal secretions,and peribronchiolar inflammation.In 80 patients with predominant pulmonary interstitial diseases,thickened BVB with coarse margin or distortion were common in patients with pulmonary fibrosis.Nodular bronchovascular bundle thickening were seen in sarcoidosis,lymphangitic carcinomatosis,and lymphoma.These were demonstrated in 8 of 20 sarcoidosis,6 of 8 lymphangitic carcinomatosis,3 of 5 lymphoma,and 2 of 15 coal-miner′s pneumoconiosis.Increased centrilobular branching structures were seen in 14 of 20 patients with predominant bronchial diseases.Conclusion We can limit the differential diagnostic range of diffuse lung diseases according to the appearances of BVB.
, 百拇医药
【Key words】Lung diseases,interstitial;Tomography,X-ray computed;Pathology;Comparative study
从CT应用于胸部疾病诊断以来,特别是高分辨率CT(HRCT)及电子束CT(EBCT)的应用,支气管血管束异常在胸部疾病诊断中的价值引起一些作者重视[1-5]。但对支气管血管束HRCT-病理对照研究,由于受标本来源的限制,尚需进一步研究。笔者对6例尸检肺标本及8例全肺或肺叶手术切除标本进行影像、病理对照,并分析100例弥漫性肺疾病HRCT支气管血管束表现。
材料与方法
为了研究支气管血管束异常的病理学基础,对6例新鲜尸检肺标本(正常肺2例,煤工尘肺3例,癌性淋巴管炎1例)及8例全肺或肺叶切除标本(慢性支气管炎4例,阻塞性肺炎2例,支气管扩张2例)进行影像与病理对照研究。采用Heitzman法[6]对新鲜肺标本充气膨胀固定。使用PQ 2000 CT机对充气膨胀标本进行轴面及冠状面CT扫描,层厚10 mm,层间隔10 mm;HRCT层厚2 mm,层间隔10 mm,然后按扫描线将标本切成10 mm厚片,用Contour型乳腺机摄肺标本厚切片软X线片,在此基础上对支气管血管束取材镜检。采用标本HRCT影像,标本10 mm切片软X线影像与病理切片进行对照。
, http://www.100md.com
对100例弥漫性肺疾病HRCT影像进行分析,包括肺间质为主的病变80例,支气管为主的病变20例。其中男54例,女46例,平均年龄48.7岁(16~82岁)。肺间质病变包括慢性支气管炎合并间质纤维化25例,胶原病7例(类风湿4例,干燥综合征2例,皮肌炎1例),结节病20例,癌性淋巴管炎8例,淋巴瘤肺浸润5例,煤工尘肺15例。支气管为主病变包括弥漫性泛毛细支气管炎7例,支气管播散性肺结核8例,支气管扩张5例。所有诊断均经临床或病理证实。
结果
一、支气管血管束异常的HRCT影像及其病理表现
1.支气管血管束边缘毛糙:具有此种表现者4例,其中慢性支气管炎2例,阻塞性肺炎2例。慢性支气管炎除支气管壁炎症细胞浸润,还可见支气管周围肺组织纤维化、肺泡壁炎性细胞浸润。阻塞性肺炎见1个肺叶内支气管血管束增粗、边缘模糊,在病理上为肺叶支气管梗阻,其远侧支气管内黏液潴留,支气管血管束周围肺组织炎性改变(图1~3)。
, 百拇医药
病变
例数
支气管血管束表现(例数)
小叶核
影增大
(例数)
正常
边缘
毛糙
扭曲
变形
呈结
节状
, http://www.100md.com
慢性支气管炎合并
25
8
14
10
0
0
间质纤维化
胶原病
7
2
4
4
0
, http://www.100md.com
0
结节病
20
6
2
2
8
6
淋巴瘤
5
0
0
0
3
, 百拇医药
5
癌性淋巴管炎
8
0
2
0
6
4
煤工尘肺
15
7
6
4
2
, 百拇医药
5
合计
80
23
28
20
19
20
在20例以支气管为主的病变中,小叶核分支状影增多最多见,共14例,其中毛细支气管炎7例,均有小叶核分支影增多;8例支气管播散性肺结核中5例有小叶核分支状影增多(图12);5例支气管扩张均显示支气管内径较相邻肺动脉增粗,2例见小叶核分支状影增多。
, http://www.100md.com
图7 慢性支气管炎合并间质纤维化。支气管血管束增粗、边缘毛糙
图8 类风湿性肺间质纤维化。支气管血管束扭曲,其周围见磨玻璃状影
图9 癌性淋巴管炎。支气管血管束呈串珠状增粗
图10 结节病。支气管血管束呈串珠状,双肺门淋巴结增大
图11 煤工尘肺。右下叶支气管血管束呈串珠状,其周围见较多小结节
, 百拇医药
图12 弥漫性泛毛细支气管炎。支气管血管束增粗,但以小叶核分支状影增多为主
讨论
一、支气管血管束的检查方法与正常表现
支气管血管束在解剖上为结缔组织鞘包绕的支气管及同级肺动脉,属中轴间质,需采用HRCT技术显示其详细结构。在实际工作中一般不常规使用HRCT连续扫描,普通CT可较好显示支气管血管走行,应将两者结合起来使用。
选择适当的窗宽和窗位,尤其是窗宽范围,对支气管血管束的显示较为重要,窗宽过窄(<1 000 HU),可过高估计其大小,将正常误认为增粗。一般选择窗位-700 HU,窗宽1 000~1 500 HU[7]。
HRCT可显示肺动脉及其伴行的支气管,周围结缔组织不能显示,4级以下主要为肺动脉影像。正常支气管血管束边缘光滑清楚,逐渐分级变细,在小叶中央部呈点状或分支状影,称小叶核影,为小叶中央动脉影像,距小叶间隔或胸膜5~10 mm,其伴随的小叶中央细支气管正常时不能显示。
, http://www.100md.com
二、支气管血管束异常的CT影像及病理基础
由于支气管、肺动脉及周围间质的解剖关系密切,其病变常互相牵连。支气管壁炎症或肿瘤浸润常累及相伴随的肺动脉,而且容易侵及周围结缔组织;同样,中轴间质病变(炎症、肿瘤、水肿)也可引起支气管壁增厚,形成“支气管袖口征”,相应肺动脉也不规则增粗,导致支气管血管束粗糙、不规则。支气管血管束异常表示支气管、肺血管、淋巴管及中轴间质病变,还包括邻近肺实质病变。
支气管血管束增粗、边缘毛糙、扭曲变形多见于肺间质纤维化。本组影像与病理对照表明,支气管血管束异常不只是支气管血管周围结缔组织病变,而主要反映了其周围肺组织病理变化。
支气管血管束增粗呈结节状多见于结节病及癌性淋巴管炎。Bergin等[8]报道1组结节病,75%的病例见支气管血管束不均匀增粗,有串珠状改变;而Muller等[9]报道25例结节病,68%可见此征象。多数作者认为其病理基础为非干酪样肉芽组织结节沿支气管血管周围淋巴管分布,可伴有或不伴有间质纤维化。Munk等[3]报道21例癌性淋巴管炎,可见支气管血管束不均匀增粗,呈结节状表现,认为其病理基础主要为支气管血管束周围淋巴管内肿瘤细胞生长。
, 百拇医药
支气管血管束末梢显示率增加主要为小叶核支气管血管束异常所致。Gruden等[4]认为,小叶核分支状影增多,病理基础为细支气管扩张,腔内充满黏液;而小叶核不规则结节或磨玻璃状密度结节为细支气管周围炎性病变或支气管血管束周围结节所致。我们在小叶核影增大的病理对照中,慢性支气管炎、癌性淋巴管炎及煤工尘肺均可见小叶核影增大,但有不同的病理基础,仅根据此征象鉴别诊断困难。而小叶核分支状影增多的病理基础为细支气管扩张及其周围炎,为小叶细支气管及其周围病变表现。
三、支气管血管束异常的鉴别诊断
中轴间质病变常有支气管血管束异常,若伴随有周围间质病变,一般容易诊断,然而一些病变(结节病、淋巴瘤、淋巴管转移癌等)倾向于或仅累及中轴间质,如果不仔细评价支气管血管束结构,即便有明显的病理改变,也易被漏诊。尤其是病变弥漫或对称时,细微的中轴间质增厚很难判断。正确认识支气管血管束异常表现及分布,对中轴间质病变的诊断非常重要。
, http://www.100md.com
在肺间质性炎性病变,支气管血管束异常表现主要为边缘改变,包括边缘模糊、毛糙、不规则等,仅根据这些改变,不能区别支气管血管周围间质纤维化与其周围肺实质炎症,二者鉴别需结合CT其他征象。支气管血管束走行异常,如支气管血管束扭曲变形、走行僵直,反映了支气管血管周围肺组织纤维化及肺结构破坏,是周围肺组织牵拉的结果。本组慢性支气管炎合并间质纤维化的病例中,边缘毛糙占56%,扭曲变形占40%。虽然支气管血管束异常为肺间质纤维化的常见表现,但并不是诊断的主要依据,肺间质纤维化的诊断必须结合肺周围间质改变的征象,如小叶间隔增厚、小叶内间质增厚等。
对累及中轴间质的肉芽肿病变及肿瘤性病变,支气管血管束异常表现为结节状增粗。本组病例中,支气管血管束结节状增粗见于结节病、癌性淋巴管炎、淋巴瘤肺浸润及煤工尘肺,后者常有职业病史,对于前两者的鉴别,结节病常合并有纵隔肺门淋巴结增大,结节主要沿较大支气管血管束分布,以肺门部支气管血管束改变为主要表现,在胸膜下或小叶间隔较少见,可合并或不合并肺间质纤维化;而癌性淋巴管炎,结节除分布于中轴间质外,还多见分布于周围间质的多发结节,表现为胸膜下多个结节及小叶间隔串珠状增厚,很少合并肺纤维化及小叶形状不改变为其特点。本组结节病均合并有纵隔及(或)肺门淋巴结增大,8例癌性淋巴管炎中,6例有胸膜下结节影。
, 百拇医药
沿支气管血管束分布的支气管或肺实质病变,表现为沿支气管血管束分布的小斑片状影,支气管可较相邻肺动脉增粗。支气管壁增厚而相邻肺动脉正常,多提示不合并有周围肺间质异常。在伴随有细支气管病变时,小叶核分支状影明显增多,本组以支气管为主的弥漫性肺疾病患者中,70%有此征象。
总之,对支气管血管束的观察应在普通CT检查的基础上选择性地应用HRCT,根据支气管血管束的异常表现,可以缩小鉴别诊断范围,但在诊断中应结合其他CT征象。
参考文献
1,Murata K,Takahashi M,Mori M,et al.Peribronchovascular interstitum of the pulmonary hilum:normal and abnormal findings on thin-section electron-beam CT.AJR,1996,166:309-312.
, http://www.100md.com
2,Nishimura K,Itoh H,Kitaichi M,et al.CT and pathological correlation of pulmonary sarcoidosis.Semin Ultrasound CT MR,1995,16:361-370.
3,Munk PL,Muller NL,Miller RR,et al.Pulmonary lymphangitic carcinomatosis:CT and pathologic findings.Radiology,1988,166:705-709.
4,Gruden JF,Webb WR.Identification and evaluation of centrilobular opacities on high-resolution CT.Semin Ultrasound CT MR,1995,16:435-449.
, http://www.100md.com
5,李铁一,冀景玲.支气管血管束异常在肺弥漫性病变诊断中的价值.中华放射学杂志,1997,31:384-387.
6,Heitzman ER,ed.The hung:radiologic-pathologic correlation.St Louis:Mosby,1984.162-163.
7,Bankier AA,Fleischmann D,Mallek R,et al.Bronchial wall thickness:appropriate window settings for thin-section CT and radiologic-anatomic correlation.Radiology,1996,199:831-836.
8,Bergin CJ,Muller RR.CT of interstitial lung disease:diagnostic approach.AJR,1987,148:8-10.
9,Muller NL,Kullning P,Miller RR.CT findings of pulmonary sarcoidosis:analysis of 25 patients.AJR,1989,152:1179-1182.
收稿日期:1999-07-29, http://www.100md.com