原发性肺巨大血管外皮肉瘤一例
作者:韩捧银 李智岗 张来燕 殷风华
单位:河北医科大学第四医院 石家庄,050011
关键词:
中华放射学杂志000731
患者 女,51岁。胸部不适1个月就诊。 X线表现:胸片正位于左肺下野内带与心脏重叠处可见一圆形、均匀密度增高影,大小约8 cm×8 cm,分叶,边界清楚;侧位片肿物位于后肋膈沟处(图1)。 CT表现:平扫于左下肺层面脊柱旁可见巨大软组织肿块,密度不均,中心密度较低,分叶,外缘清楚,未见钙化,纵隔淋巴结无肿大。增强扫描示肿块明显增强,但不均匀(图2)。
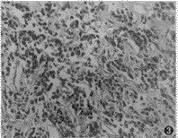
手术病理见肿瘤内血管丰富,围绕血管的瘤细胞呈漩涡状排列,瘤细胞呈圆形或梭形。报告为血管外皮肉瘤(图3,HE ×40)。


说明 原发性血管外皮肉瘤罕见,早期常无明显症状,可见于肺中心或外围,以肺外围多见。 根据本例影像学表现,结合文献复习本病具有以下特征:肿块一般较大,多发生在肺外围,边缘清晰,增强扫描时出现明显增强,且不均匀,无钙化。鉴于本病好发于肺外围且肿块巨大,应与其他肉瘤及胸膜间皮来源的肿瘤相鉴别。与胸壁呈钝角伴相邻肋骨骨质破坏、多发等特点有利于后者的诊断,必要时胸部穿刺活检有利于疾病的诊断。
收稿日期:1999-09-09, http://www.100md.com
单位:河北医科大学第四医院 石家庄,050011
关键词:
中华放射学杂志000731
患者 女,51岁。胸部不适1个月就诊。 X线表现:胸片正位于左肺下野内带与心脏重叠处可见一圆形、均匀密度增高影,大小约8 cm×8 cm,分叶,边界清楚;侧位片肿物位于后肋膈沟处(图1)。 CT表现:平扫于左下肺层面脊柱旁可见巨大软组织肿块,密度不均,中心密度较低,分叶,外缘清楚,未见钙化,纵隔淋巴结无肿大。增强扫描示肿块明显增强,但不均匀(图2)。
手术病理见肿瘤内血管丰富,围绕血管的瘤细胞呈漩涡状排列,瘤细胞呈圆形或梭形。报告为血管外皮肉瘤(图3,HE ×40)。
说明 原发性血管外皮肉瘤罕见,早期常无明显症状,可见于肺中心或外围,以肺外围多见。 根据本例影像学表现,结合文献复习本病具有以下特征:肿块一般较大,多发生在肺外围,边缘清晰,增强扫描时出现明显增强,且不均匀,无钙化。鉴于本病好发于肺外围且肿块巨大,应与其他肉瘤及胸膜间皮来源的肿瘤相鉴别。与胸壁呈钝角伴相邻肋骨骨质破坏、多发等特点有利于后者的诊断,必要时胸部穿刺活检有利于疾病的诊断。
收稿日期:1999-09-09, http://www.100md.com