尿道异位并膀胱憩室及多发结石一例
作者:韩新巍 马南 康江
单位:河南医科大学第一附属医院放射科 郑州,450052
关键词:
中华放射学杂志000727 膀胱憩室、膀胱与憩室内多发结石并尿道畸形同时存在临床少见,笔者发现1例,报告如下。
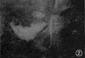
患者 女,7岁。因“排尿困难、阴道流液7年”就诊。体检:外阴未见尿道口,内窥镜发现尿道开口于阴道侧壁。行X线静脉肾盂造影(IVP)示双肾轻度积水,肾功能尚可,输尿管及膀胱显影淡,于腹部平片及造影片均可见膀胱内多发、散在如石榴籽样游离阳性结石影,随体位改变而移动(图1,2);同时于膀胱侧后方见一囊性结石包裹影。其位置相对恒定,而囊内结石随体位改变而有所变动(图1~3)。考虑为膀胱侧后方憩室并结石,B超检查符合上述诊断,并经手术证实。
讨论 (1)膀胱结石多为阳性结石,X线平片上即可见盆腔内耻骨联合上方单发或多发边缘相对清晰的高密度影,结合超声诊断较为明确。其形成一般有3个来源[1]:除肾、输尿管结石的下移外,还见于异物和感染所致,各种原因引起尿潴留进而结石形成者也不少见,如憩室、神经性膀胱等[2]。本例患儿即有形成尿潴留的2种因素:尿道开口异位致膀胱内尿潴留,憩室内尿潴留;加之患儿运动及膀胱舒缩形成多发散在结石。临床上,膀胱结石多见于10岁以下的男性患儿(因男性尿道较长且儿童者较细)及50岁以上患前列腺增生的患者[3,4]。本例为女性儿童,临床罕见。笔者考虑本例女患儿虽尿道短,但尿道异位开口导致长期排尿困难、尿潴留而形成结石。(2)膀胱憩室有先天和后天之分。前者多为单发,儿童多见;后者以多发更常见,且多好发于膀胱侧后壁膀胱三角区附近,或者说输尿管口附近[2]。本例患者即是发生于膀胱侧后壁的先天性憩室。由于膀胱与尿道同源,故考虑本例2种畸形均是胚胎发育异常。(3)膀胱憩室内结石多成形于憩室内且单发,较大结石可突向膀胱内,形成“哑铃状”。膀胱憩室并结石,国内近期仅有1例报道[5],其主要应与输尿管膀胱内囊肿并结石、近膀胱的尿道或输尿管憩室并结石鉴别,此类病人合并肾盂输尿管严重积水扩张,IVP见致密的结石影位于扩张的输尿管影内,可与膀胱憩室结石区别。CT尤其是多期扫描较X线平片或B超有诊断及鉴别诊断上的优势[5,6]。本例患者为膀胱和憩室内多发结石,立位平片显示多发阳性结石如石榴籽样堆集于耻骨联合上方,“结石堆”上缘近乎平面而下缘呈锥状与膀胱颈部轮廓相吻合,仰卧位结石堆集于盆腔中部,与膀胱的类圆形形状相吻合,不难诊断,B超进一步证实致密高回声影位于膀胱内而确诊。憩室内多发憩室结石位置较固定,不随体位变化,其形态和位置、患者年龄均有别于盆腔静脉石。憩室内结石可脱落于膀胱内(图4,5),本例憩室内结石多发性考虑与囊袋状憩室体积较大,儿童活动较多有关。


, 百拇医药
图1~3 分别为术前仰卧位、立位及左侧卧位照片,显示膀胱结石及膀胱左侧后方憩室并结石

图4,5 同一病例,为单纯膀胱内取石后1周及1个月余后照片,显示结石在憩室内形成并陆续落入膀胱,膀胱内结石明显增多。从侧面说明手术必须恢复尿道正常位置和通畅性,切除憩室,才能从根本上治疗结石
本例患者膀胱憩室和尿道出口异位于阴道,形成膀胱和憩室内多发结石。只有矫正畸形、恢复正常尿道出口和通畅性,彻底取石,切除憩室,从根本上解决尿潴留,方能达到根治目的[2,7]。
参考文献
1,裘法祖,主编.外科学.第4版,北京:人民卫生出版社,1984.663.
, http://www.100md.com
2,London RL.Diverticulum of the urinary bladder.Am Fam Physician,1984,30:4,151-153.
3,吴阶平,主编.泌尿外科.济南:山东科学技术出版社,1993.265, 324.
4,Haddad FS.Lower tract urolithiasis after protatectomy.J Urol,1986,136:123-126.
5,赵振国,吴剑波,青科.CT诊断膀胱憩室并结石1例报告.实用放射学杂志, 1999, 15: 213.
6,宦怡,郭庆林,陆军,等.大型膀胱憩室的CT诊断.实用放射学杂志, 1995, 11: 521.
7,Podesta ML,Medel R,Castera R,et al.Urethral duplication in children: surgical treatment and results.J Urol,1998,160:1830-1833.
收稿日期:1999-07-08, http://www.100md.com
单位:河南医科大学第一附属医院放射科 郑州,450052
关键词:
中华放射学杂志000727 膀胱憩室、膀胱与憩室内多发结石并尿道畸形同时存在临床少见,笔者发现1例,报告如下。
患者 女,7岁。因“排尿困难、阴道流液7年”就诊。体检:外阴未见尿道口,内窥镜发现尿道开口于阴道侧壁。行X线静脉肾盂造影(IVP)示双肾轻度积水,肾功能尚可,输尿管及膀胱显影淡,于腹部平片及造影片均可见膀胱内多发、散在如石榴籽样游离阳性结石影,随体位改变而移动(图1,2);同时于膀胱侧后方见一囊性结石包裹影。其位置相对恒定,而囊内结石随体位改变而有所变动(图1~3)。考虑为膀胱侧后方憩室并结石,B超检查符合上述诊断,并经手术证实。
讨论 (1)膀胱结石多为阳性结石,X线平片上即可见盆腔内耻骨联合上方单发或多发边缘相对清晰的高密度影,结合超声诊断较为明确。其形成一般有3个来源[1]:除肾、输尿管结石的下移外,还见于异物和感染所致,各种原因引起尿潴留进而结石形成者也不少见,如憩室、神经性膀胱等[2]。本例患儿即有形成尿潴留的2种因素:尿道开口异位致膀胱内尿潴留,憩室内尿潴留;加之患儿运动及膀胱舒缩形成多发散在结石。临床上,膀胱结石多见于10岁以下的男性患儿(因男性尿道较长且儿童者较细)及50岁以上患前列腺增生的患者[3,4]。本例为女性儿童,临床罕见。笔者考虑本例女患儿虽尿道短,但尿道异位开口导致长期排尿困难、尿潴留而形成结石。(2)膀胱憩室有先天和后天之分。前者多为单发,儿童多见;后者以多发更常见,且多好发于膀胱侧后壁膀胱三角区附近,或者说输尿管口附近[2]。本例患者即是发生于膀胱侧后壁的先天性憩室。由于膀胱与尿道同源,故考虑本例2种畸形均是胚胎发育异常。(3)膀胱憩室内结石多成形于憩室内且单发,较大结石可突向膀胱内,形成“哑铃状”。膀胱憩室并结石,国内近期仅有1例报道[5],其主要应与输尿管膀胱内囊肿并结石、近膀胱的尿道或输尿管憩室并结石鉴别,此类病人合并肾盂输尿管严重积水扩张,IVP见致密的结石影位于扩张的输尿管影内,可与膀胱憩室结石区别。CT尤其是多期扫描较X线平片或B超有诊断及鉴别诊断上的优势[5,6]。本例患者为膀胱和憩室内多发结石,立位平片显示多发阳性结石如石榴籽样堆集于耻骨联合上方,“结石堆”上缘近乎平面而下缘呈锥状与膀胱颈部轮廓相吻合,仰卧位结石堆集于盆腔中部,与膀胱的类圆形形状相吻合,不难诊断,B超进一步证实致密高回声影位于膀胱内而确诊。憩室内多发憩室结石位置较固定,不随体位变化,其形态和位置、患者年龄均有别于盆腔静脉石。憩室内结石可脱落于膀胱内(图4,5),本例憩室内结石多发性考虑与囊袋状憩室体积较大,儿童活动较多有关。
, 百拇医药
图1~3 分别为术前仰卧位、立位及左侧卧位照片,显示膀胱结石及膀胱左侧后方憩室并结石
图4,5 同一病例,为单纯膀胱内取石后1周及1个月余后照片,显示结石在憩室内形成并陆续落入膀胱,膀胱内结石明显增多。从侧面说明手术必须恢复尿道正常位置和通畅性,切除憩室,才能从根本上治疗结石
本例患者膀胱憩室和尿道出口异位于阴道,形成膀胱和憩室内多发结石。只有矫正畸形、恢复正常尿道出口和通畅性,彻底取石,切除憩室,从根本上解决尿潴留,方能达到根治目的[2,7]。
参考文献
1,裘法祖,主编.外科学.第4版,北京:人民卫生出版社,1984.663.
, http://www.100md.com
2,London RL.Diverticulum of the urinary bladder.Am Fam Physician,1984,30:4,151-153.
3,吴阶平,主编.泌尿外科.济南:山东科学技术出版社,1993.265, 324.
4,Haddad FS.Lower tract urolithiasis after protatectomy.J Urol,1986,136:123-126.
5,赵振国,吴剑波,青科.CT诊断膀胱憩室并结石1例报告.实用放射学杂志, 1999, 15: 213.
6,宦怡,郭庆林,陆军,等.大型膀胱憩室的CT诊断.实用放射学杂志, 1995, 11: 521.
7,Podesta ML,Medel R,Castera R,et al.Urethral duplication in children: surgical treatment and results.J Urol,1998,160:1830-1833.
收稿日期:1999-07-08, http://www.100md.com