肾脏原发性恶性纤维组织细胞瘤一例
作者:陈涓 韦嘉瑚
单位:北京医院放射科 北京,100730
关键词:
中华放射学杂志000726 恶性纤维组织细胞瘤临床上并不多见,发生在肾脏的则更为罕见。现将我院收治的1例报告如下。
患者 男,17岁。右侧腰部酸胀、全身无力1个月。无尿路刺激症状,无血尿、畏寒发热。专科检查:双肾区无叩击痛,平卧时双肾不能触及,立位及深呼吸时右肾下极达脐表面,表面平滑,无压痛。输尿管走行区无包块。
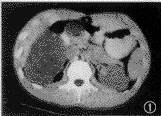
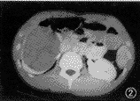
B超:右肾下极见一9.8 cm×8.4 cm×6.9 cm 的中等回声区,其内回声均匀,边界清楚,包膜完整,肾盂部分受侵。彩色多普勒超声显像(CDFI):肿物内部见点状血流。诊断:右肾下极实性占位,恶性肿瘤可能性大。CT检查:右肾中下极可见一巨大椭圆形肿块,边缘光滑,大小约10 cm×8 cm×8 cm ,其内密度较均匀,平扫时CT值为19~26 HU(图1),增强后为45~65 HU(图2),肾实质平扫时的CT值41.5 HU,增强后为145 HU。右肾后部实质弧形受压,肾盂变扁,向后内侧移位,肿块压迫下腔静脉向外移位。诊断:右肾中下极实性占位病变,肿瘤可能性大。
, 百拇医药
手术及病理:右肾中下极可见一大小约10 cm×8 cm×8 cm的肿块,表面血管丰富,静脉怒张,与周围组织轻度粘连,边界清楚,较容易分离,肾门未见肿大淋巴结,右肾静脉、下腔静脉无瘤栓。病理:肿物9.7 cm×7.0 cm×7.0 cm 大小,切面灰白色,质硬,界限清楚,表面光滑。免疫组织化学:波形蛋白(Vimentin)(+),抗糜蛋白酶(ACT)(+),神经特异性烯化酶(NSE)(-),肌动蛋白(Actin)(-),HMB45(-)。诊断:(右肾)恶性纤维组织细胞瘤,低度恶性(图3)。
图1 右肾中下极可见一巨大椭圆形肿块,边缘光滑,密度较均匀
图2 增强后右肾实质均匀强化,病灶呈相对低密度区
, http://www.100md.com
图3 肿瘤细胞呈梭形,细胞密度较大。但异型性不明显,细胞界限不清,呈典型的车辐状排列(HE ×200)
讨论 恶性纤维组织细胞瘤(MFH)是中老年人较常见的软组织肉瘤[1],发生于青年人并不常见,发病年龄平均为55.3岁,多发生于50~70岁。关于其组织来源,电镜观察证实恶性纤维组织细胞瘤中含有多种细胞成分,最主要的细胞成分有5种:成纤维细胞、组织细胞、原始间叶细胞、多核瘤巨细胞及黄色瘤细胞[1]。病变绝大多数发生在下肢及腹膜后[1],原发于肾脏的非常少见,文献报告仅有7例[2]。发生在左肾的几率明显高于右肾,其原因不明。本例患者为17岁的男性,发病年龄小,病灶位于右肾为其特殊之处。
肾脏的恶性纤维组织细胞瘤以腹痛、腹部肿块及体重减轻为主要症状。其肿瘤通常长得很大,在临床表现及血管造影方面很难与肾细胞癌鉴别。最后的诊断主要靠肾切除后的组织学检查。显微镜下肾脏恶性纤维组织细胞瘤的特征性表现为:肿瘤细胞呈梭形,细胞密度较大,呈典型的车辐状排列。而肾细胞癌的表现为:癌细胞排列成实体团块,细胞轮廓清楚,核形不规则,染色质增多、增粗[3]。
, http://www.100md.com
发生在肾脏的恶性纤维组织细胞瘤临床上很少见,对其治疗效果不太好下结论。目前用手术切除的方法治疗肾脏的恶性纤维组织细胞瘤似乎是最佳选择。
参考文献
1,董郡,主编.病理学.第2版.北京:人民卫生出版社,1996.956-957.
2,Scriven RR,Thrasher TV,Smith DC,et al.Primary renal malignant fibrous histiocytoma a case report and literature review.J Urol,1984,131:948-949.
3,Singh EO,Barrett DM,Adams VI.Synchronously occurring malignant fibrous histiocytoma of the kidney with contralateral renal cell carcinonma.J Urol,1982,128:586-588.
收稿日期:1999-12-17, http://www.100md.com
单位:北京医院放射科 北京,100730
关键词:
中华放射学杂志000726 恶性纤维组织细胞瘤临床上并不多见,发生在肾脏的则更为罕见。现将我院收治的1例报告如下。
患者 男,17岁。右侧腰部酸胀、全身无力1个月。无尿路刺激症状,无血尿、畏寒发热。专科检查:双肾区无叩击痛,平卧时双肾不能触及,立位及深呼吸时右肾下极达脐表面,表面平滑,无压痛。输尿管走行区无包块。
B超:右肾下极见一9.8 cm×8.4 cm×6.9 cm 的中等回声区,其内回声均匀,边界清楚,包膜完整,肾盂部分受侵。彩色多普勒超声显像(CDFI):肿物内部见点状血流。诊断:右肾下极实性占位,恶性肿瘤可能性大。CT检查:右肾中下极可见一巨大椭圆形肿块,边缘光滑,大小约10 cm×8 cm×8 cm ,其内密度较均匀,平扫时CT值为19~26 HU(图1),增强后为45~65 HU(图2),肾实质平扫时的CT值41.5 HU,增强后为145 HU。右肾后部实质弧形受压,肾盂变扁,向后内侧移位,肿块压迫下腔静脉向外移位。诊断:右肾中下极实性占位病变,肿瘤可能性大。
, 百拇医药
手术及病理:右肾中下极可见一大小约10 cm×8 cm×8 cm的肿块,表面血管丰富,静脉怒张,与周围组织轻度粘连,边界清楚,较容易分离,肾门未见肿大淋巴结,右肾静脉、下腔静脉无瘤栓。病理:肿物9.7 cm×7.0 cm×7.0 cm 大小,切面灰白色,质硬,界限清楚,表面光滑。免疫组织化学:波形蛋白(Vimentin)(+),抗糜蛋白酶(ACT)(+),神经特异性烯化酶(NSE)(-),肌动蛋白(Actin)(-),HMB45(-)。诊断:(右肾)恶性纤维组织细胞瘤,低度恶性(图3)。
图1 右肾中下极可见一巨大椭圆形肿块,边缘光滑,密度较均匀
图2 增强后右肾实质均匀强化,病灶呈相对低密度区
, http://www.100md.com
图3 肿瘤细胞呈梭形,细胞密度较大。但异型性不明显,细胞界限不清,呈典型的车辐状排列(HE ×200)
讨论 恶性纤维组织细胞瘤(MFH)是中老年人较常见的软组织肉瘤[1],发生于青年人并不常见,发病年龄平均为55.3岁,多发生于50~70岁。关于其组织来源,电镜观察证实恶性纤维组织细胞瘤中含有多种细胞成分,最主要的细胞成分有5种:成纤维细胞、组织细胞、原始间叶细胞、多核瘤巨细胞及黄色瘤细胞[1]。病变绝大多数发生在下肢及腹膜后[1],原发于肾脏的非常少见,文献报告仅有7例[2]。发生在左肾的几率明显高于右肾,其原因不明。本例患者为17岁的男性,发病年龄小,病灶位于右肾为其特殊之处。
肾脏的恶性纤维组织细胞瘤以腹痛、腹部肿块及体重减轻为主要症状。其肿瘤通常长得很大,在临床表现及血管造影方面很难与肾细胞癌鉴别。最后的诊断主要靠肾切除后的组织学检查。显微镜下肾脏恶性纤维组织细胞瘤的特征性表现为:肿瘤细胞呈梭形,细胞密度较大,呈典型的车辐状排列。而肾细胞癌的表现为:癌细胞排列成实体团块,细胞轮廓清楚,核形不规则,染色质增多、增粗[3]。
, http://www.100md.com
发生在肾脏的恶性纤维组织细胞瘤临床上很少见,对其治疗效果不太好下结论。目前用手术切除的方法治疗肾脏的恶性纤维组织细胞瘤似乎是最佳选择。
参考文献
1,董郡,主编.病理学.第2版.北京:人民卫生出版社,1996.956-957.
2,Scriven RR,Thrasher TV,Smith DC,et al.Primary renal malignant fibrous histiocytoma a case report and literature review.J Urol,1984,131:948-949.
3,Singh EO,Barrett DM,Adams VI.Synchronously occurring malignant fibrous histiocytoma of the kidney with contralateral renal cell carcinonma.J Urol,1982,128:586-588.
收稿日期:1999-12-17, http://www.100md.com