当前位置: 首页 > 期刊 > 《中华放射医学与防护杂志》 > 2000年第8期
编号:10267793
颈部神经鞘瘤的CT表现及其病理基础
http://www.100md.com 《中华放射医学与防护杂志》 2000年第8期
     作者:顾雅佳 王玖华 陈彤箴

    单位:顾雅佳(200032 上海医科大学附属肿瘤医院放射诊断科);王玖华(200032 上海医科大学附属肿瘤医院放射诊断科);陈彤箴(上海医科大学附属肿瘤医院病理科)

    关键词:神经鞘瘤;头颈部肿瘤;体层摄影术,X线计算机;病理学

    中华放射学杂志000813 【摘要】 目的 比较颈部神经鞘瘤的CT表现与相应的病理组织切片,了解产生特殊CT影像表现的病理基础。方法 经手术、病理证实的颈部神经鞘瘤71例共72个肿瘤,增强扫描57个,平扫加增强扫描15个。观察CT表现并与病理组织切片对照。结果 增强扫描表现特殊:(1)均匀低密度背景伴团状高密度改变(24/72)。(2)弥漫点状改变(20/72)。(3)低密度环伴中央弥漫点状改变(5/72)。(4)中央低密度伴不同形态的厚环改变(8/72)。(5)均匀密度12个,其中等密度、低密度各5个,囊性变2个。(6)增强特别明显3个。平扫表现以均匀密度为主(10/15),如同时再行增强扫描,病灶又呈现出特征性的点状、团状改变(9/10)。上述现象和病理对照,低密度区由疏细胞区(Antoni B区)、陈旧性出血及囊性变组成;高密度区由富细胞区(Antoni A区)及胶原组成。不同的细胞区域构成形成不同的CT影像表现。增强扫描表现与Antoni A区容易增强有关。结论 颈部神经鞘瘤特殊的CT影像与其病理改变有关,掌握这些变化有助于正确诊断。
, http://www.100md.com
    The CT manifestations and corresponding pathologic basis of cervical neurilemmoma

    GU Yajia

    (Department of Radiology, the Affiliated Cancer Hospital of Shanghai Medical University, Shanghai 200032,China)

    WANG Jiuhua, CHEN Tongzhen.

    【Abstract】 Objective To compare the special CT manifestations with corresponding pathologic tissue slices of cervical neurilemmoma and to investigate the pathologic fundament of those special findings. Methods Seventy-two cervical neurilemmomas in 71 cases which were proved by operation and pathology from 1988,8 to 1999,3 were investigated.Of these tumors, 57 were scaned in enhancement, the other 15 tumors were examined with both unenhancement and enhancement. The manifestations of CT scans were compared with the results of pathology. Results The special manifestations of enhanced scans of cervical neurilemmoma were:(1) the high density corpses on the homogeneous low density background(24/72). (2)Diffuse spot changes which varied as high and low density(20/72).(3)Low density circle accompanied by diffuse spots in central area(5/72).(4)Different thick circles and the low density center(8/72).(5)12 tumors were homogeneous in density.Of them,5 cases were isodensity, 5 cases were low density, and 2 cases showed cystic changes.(6)3 cases were strongly enhanced. The main manifestations of unenhanced scans were homogeneous in density(10/15).The characteristic spots and crops enhancement was detected after the contrast was given(9/10). All of above CT manifestations were corresponding to pathology of cervical neurilemmoma. Antoni B, obsolete bleeding, and cystic changes showed the areas of low density. Antoni A and collagen were attributed to high density. Different cell distribution showed different CT image. There was a close relationship between Antoni A and enhanced scan. Conclusion The spacial CT manifestations of cervical neurilemmoma is due to its varied pathologic changes. The correct diagnosis could be established on the bases of understanding of pathology.
, 百拇医药
    【Key words】 Neurilemmoma; Head and neck neoplasms; Tomography,X-ray computed; Pathology

    笔者回顾性分析72个颈部神经鞘瘤的CT表现并与相应的病理组织切片比较,阐述颈部神经鞘瘤特殊影像表现的病理基础,从而充分了解此病变并帮助与其他疾病鉴别。

    材料与方法

    搜集1988年8月至1999年3月经本院手术、病理证实的颈部神经鞘瘤病例71例共72个肿瘤。男30例,女41例;年龄13~68岁,中位年龄41岁;肿瘤位于右侧31个,左侧41个;临床上多以无痛性肿块就诊,病史从1个月至30年不等。CT所见肿瘤大小为1.0 cm×1.5 cm~7.5 cm×9.0 cm,平均3.1 cm×4.6 cm,而临床扪诊往往大于CT所见。肿块质地中等偏硬,压之可有麻木感,沿神经方向活动度小而垂直神经方向活动度大。
, 百拇医药
    72个肿瘤中CT增强扫描57个,平扫加增强15个。采用美国GE 9800 CT扫描机和GE CT/i扫描机行常规颈部扫描,增强方式是从静脉内以2 ml/s的速度注入80 ml非离子型对比剂(优维显或欧乃派克),注入对比剂后35 s开始扫描,层隔、层厚采用5 mm或10 mm。观察CT表现并与病理组织切片对照,肿瘤密度高低以同层面肌肉密度为准,高于肌肉密度称高密度,低于或等于肌肉密度相应地称低密度或等密度。

    结果

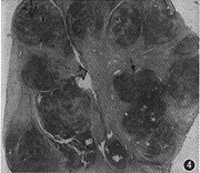
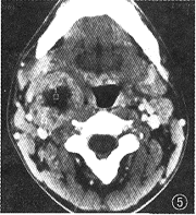
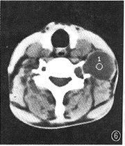
    1.肿瘤CT增强影像表现特殊,可分为以下几类:(1)低密度区中伴团状高密度改变24个(图1),病理改变为在比较广泛分布的疏细胞区(Antoni B区)组织中,有相对集中分布的富细胞区(Antoni A区)(图2)。(2)弥漫点状改变20个,点状大小从1~4 mm不等,其密度不等。高密度CT值为60~80 HU,低密度为40~45 HU,两者CT值相差约20 HU。其中呈低密度点状4个;高密度点状4个;高、低密度混杂点状12个(图3)。此20个肿瘤中8个伴有1~2个形态不规则的低密度裂隙样变。高低密度混杂点状分布的病理改变为的Antoni A区、Antoni B区相互交错,分布均匀(图4)。低密度点状改变为比较广泛分布的Antoni A区或胶原基础上出现的零星分布的Antoni B区或微囊集中处,Antomi B区或微囊分布较集中时,即表现为低密度裂隙样改变。较广泛分布的Antoni B区伴少量Antoni A区或胶原则呈高密度点状改变。(3)低密度环伴中央弥漫不同密度点状改变5个,其中单纯为低密度点状或单纯为高密度点状各1个。此低密度环在病理上由Antoni B区组成。(4)中央低密度伴有环形改变8个(图5),环壁厚,环表现各异,其中表现为高、低密度混杂点状分布的3个,单纯低密度点状或高密度点状各2个,环与肌肉呈等密度1个。肿瘤中央的低密度区病理上由Antoni B集中区和(或)陈旧性出血区组成。(5)密度均匀的12个肿瘤中,等密度与低密度各5个,囊性变2个。在病理上等密度多由Antoni A区及胶原组成,Antoni B区较少,分散在Antoni A区及胶原间;而低密度肿瘤(图6)为均匀一致的Antoni B区及部分陈旧性出血组成,几乎无Antoni A区细胞(图7)。囊性肿瘤巨检时见黄色液体流出,囊壁上仍见典型Antoni A、Antoni B区改变。(6)增强特别明显的肿瘤3个,其中2个为弥漫点状改变(图8),1个为厚环。病理显示此3个肿瘤由丰富的Antoni A区组成,夹杂有微囊,而Antoni B区少见(图9),其中仅2个血供比较丰富。
, 百拇医药
    图1 右颈神经鞘瘤。CT增强扫描,示中央偏内侧为高密度区(箭),周围以低密度区为主

    图2 图1肿瘤相应切面组织学表现:黑箭所指的间区为富细胞区(Antoni A区),相当于CT表现的高密度区,中间条形的空白区为切片时碎裂所致;空箭所指为疏细胞区(Antoni B区),相当于CT表现的低密度区

    图3 左颈神经鞘瘤增强扫描,示肿瘤呈弥漫相间分布的高低密度点状改变

    图4 图3肿瘤相应切面组织学表现。Antoni A区及Antoni B区相互交错分布。黑箭示Antoni A区;空箭示Antoni B区
, 百拇医药
    图5 右颈神经鞘瘤增强扫描,示肿瘤呈厚环改变

    图6 左颈神经鞘瘤增强扫描,肿瘤呈均匀低密度改变,CT值39 HU

    图7 肿瘤病理学(HE ×40)表现。肿瘤为均匀一致的Antoni B区(淡色区)及少量陈旧性出血(深色区),基本上无Antoni A区

    图8 左颈神经鞘瘤增强扫描,示明显强化,伴有小的低密度点状改变

    图9 图8肿瘤病理学(HE ×40)表现,示肿瘤主要为Antoni A区,CT所示点状低密度区为微囊(黑箭)及陈旧性出血(空箭)
, 百拇医药
    2.同时行平扫与增强扫描的15个肿瘤中,平扫上呈弥漫等、低密度点状改变3个,增强后呈弥漫高、低密度点状改变;平扫表现为低密度伴团状等密度改变2个,增强后呈低密度伴团状高密度改变;另外,平扫呈均匀密度的10个,增强扫描表现为低密度伴团状高密度4例,弥漫高、低密度点状改变4个,中央低密度伴厚环改变以及均匀低密度改变各1个。从平扫的等密度(CT值30~40 HU)到增强的高密度(CT值40~50 HU),CT值约相差10 HU。病理上这些肿瘤并无特别丰富的血供。

    3.本组神经鞘瘤中伴钙化5个,点状钙化4个,不连续环状钙化1个。

    讨论

    神经鞘瘤可发生在任何年龄,常见于20~50岁,无性别差异。易发生在头颈和上、下肢的屈侧。是一种生长缓慢、起源于神经鞘膜许旺细胞的良性肿瘤。病理上主要有Antoni A区和Antoni B区组成。Antoni A区细胞紧密排列成栅状结构,呈束状交叉成漩涡结构,或洋葱皮样结构。Antoni B区细胞呈星芒状,排列疏松而零乱,细胞内和细胞间有许多空泡或水样液体,形成微囊或较大的囊腔。各神经鞘瘤此2种细胞区的构成比可完全不同,从完全Antoni A区逐渐过渡到Antoni A、Antoni B区交错,甚至完全为Antoni B区所占,更有甚者可完全退变而形成一个大囊。在Antoni A、Antoni B区内都可夹有胶原、出血、微囊、钙化等改变[1,2]。病理改变的特殊性致神经鞘瘤的CT表现也颇具特征,且两者有明显相关性[3-5]
, http://www.100md.com
    通过CT影像、大体标本及病理切片的相互对照比较,在CT增强影像上Antoni A区集中处呈高密度改变,而Antoni B区为低密度改变。

    低密度区中伴团状高密度改变为颈部神经鞘瘤最具特征的CT增强影像表现之一,本组占33.3%(24/72)。点状改变为颈部神经鞘瘤又一特征性CT增强表现,点状大小1~4 mm不等,又有高、低密度之分,可在肿瘤内弥漫分布,也可位于肿瘤的中心或厚环上。这些特征改变是由于其Antoni A和Antoni B区以及伴随的胶原、陈旧性出血、囊性变分布不一致,使其密度不同所引起的。CT增强影像上低密度可小至点状、大至裂隙,甚至呈均匀低密度改变,其病理基础由Antoni B区与陈旧性出血、囊变。高密度可小至点状、大至团状,甚至呈均匀等密度改变,此病理基础由Antoni A区与胶原组成。

    在增强扫描密度均匀的12个肿瘤中,5个等密度由Antoni A区及胶原组成,Antoni B区较少分散在Antoni A区及胶原间,以致影像上不能明确表现出来。而5个低密度的肿瘤为均匀一致的Antoni B区及部分陈旧性出血组成,几乎无Antoni A区细胞。囊性肿瘤囊壁上仍见典型Antoni A、Antoni B区改变。
, http://www.100md.com
    本组3个肿瘤增强表现尤为明显,病理显示为丰富的Antoni A区组成,夹杂有微囊,而Antoni B区少见,其中仅2个血供比较丰富。由此可推测,肿瘤增强明显除与血供有关外,更与富细胞区的特性密切相关。

    15个同时行平扫与增强扫描的颈部神经鞘瘤中,5个平扫呈等密度团状、点状改变,但不明显。经增强扫描,此点状、团状有强化(CT值相差约10 HU),改变更趋明显。10个在平扫上呈均匀等密度或低密度者,9个肿瘤增强扫描后表现出特异的点状、团状改变。这15个肿瘤经镜下观察,Antoni A区与Antoni B区的血管分布并无数量上的区别,因此,笔者推测富细胞区之所以增强明显,可能和对比剂弥散程度及滞留时间有关,富细胞区较疏细胞区容易增强,从而形成CT影像上的对比,呈现特殊改变。

    本组有5个肿瘤见钙化,表现无特征性。

    颈部神经鞘瘤由于其特殊的细胞构成,反映在CT图像上、特别是增强图像上有其特殊表现,再加上其特殊的生长位置,即沿神经走向的梭形生长方式,边缘光整、清晰,均与淋巴结不同,可据此作出比较正确的诊断[6-8]
, 百拇医药
    参考文献

    1,Enzinger FM, Weiss SW. Soft tissue tumors. St Louis: Mosby, 1994.719-735.

    2,陈忠年,沈铭昌,郭慕依, 主编. 实用外科病理学. 上海:上海医科大学出版社,1997.657-667.

    3,Cohen LM, Schwartz AM, Rockoff SD. Benign schwannomas: pathologic basis for CT inhomogeneities. AJR, 1986,147:141-143.

    4,Ko SF, Lee TY, Lin JW, et al. Thoracic neurilemomas: an analysis of computed tomography findings in 36 patients. J Thorac Imaging, 1998,13 : 21-26.
, http://www.100md.com
    5,Suh JS, Abenoza P, Galloway HR, et al. Peripheral (extracranial) nerve tumors : correlation of MR imaging and histologic findings. Radiology, 1992,183 : 341-346.

    6,Furukawa M,Furukawa MK,Katoh K,et al. Differentiation between schwannoma of the vagus nerve and schwannoma of the cervical sympathetic chain by imaging diagnosis. Laryngoscope, 1996,106 : 1548-1552.

    7,王玖华,杨天锡,刘邦令. 颈部周围神经源性肿瘤的CT诊断. 中华放射学杂志,1992,26:458-461.

    8,王弘士,杨天锡, 顾雅佳. 颈动脉间隙肿瘤的CT诊断. 中华放射学杂志,1994,28 : 677-681.

    (收稿日期:1999-11-11), 百拇医药