着色霉菌病多器官侵犯一例
作者:李华灿 郑石芳 李铭山
单位:李华灿(352100 福建省宁德地区第二医院放射科);郑石芳(福建省肿瘤医院放射科);李铭山(南京军区福州总院放射科)
关键词:
中华放射学杂志000826 患者 女,44岁。 发热、咳嗽、盗汗20 d,胸部X线摄片示左肺中野见一大片状、边缘模糊影(图1)。拟诊为左肺炎,结核待除外。体检:双肺呼吸音粗,未闻及干、湿音。腹平软,肝脾未触及。双侧小腿及踝部见多个皮下结节,其间皮肤色素减退,触诊皮下结节有囊性感、无压痛。实验室检查:血、尿常规正常。血沉130 mm/1 h,痰检未找到结核菌,OT试验强阳性,初步诊断为肺结核。行异烟肼、利福平和乙胺丁醇联合抗痨治疗,20 d后临床症状好转出院,继续抗痨治疗。
1个月后复查胸片见左肺病灶部分吸收。4个月后复查胸片见左肺病灶吸收,肺门扩大,纵隔增宽。胸部CT扫描:纵隔淋巴结肿大伴中心坏死。两肺见多发性小结节影,左下肺呈间质性改变(图2,3)。纤维支气管镜见左右主支气管呈外压性改变。活检病理报告:肉芽肿性炎症。患者再次入院时除低热、咳嗽外还诉左上腹不适。B超检查示脾肿大,脾内见多发异常回声灶。腹部CT平扫:肝未见异常,脾脏明显肿大,密度不匀,其中见多发性大小不一、边缘模糊的低密度灶(图4)。先后作2次脾穿刺活检。病理报告:肉芽肿性炎症,何杰金病不能排除。此时开始不规则服用强的松治疗,但发热一直不退,患者自动出院。
, http://www.100md.com
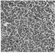
1年后患者仍有反复发热,并出现左手小指掌指关节肿痛,皮肤溃烂,遂第3次入院。胸腹部CT扫描示双肺及纵隔基本恢复正常。脾肿大,脾实质内低密度病灶增多。左手X线摄片示小指掌指关节软组织肿胀,指骨近掌指关节端见囊性骨破坏(图5)。指骨活检病理报告:化脓性肉芽肿。因发热不能控制,脾脏多发性病灶,患者同意作脾切除。术中见脾肿大,脾周广泛粘连,摘除脾脏,大小约20 cm×25 cm×22 cm。切开脾脏,见脾实质呈蜂窝状,其内充满黄绿色脓性分泌物。病理诊断:脾着色霉菌病(图6)。确诊后仔细追问病史,患者近5年来双下肢及手腕部常出现无痛性皮下小结节,时有增大破溃,溃口较长时间才愈合的病史。又将左手小指尚未愈口的皮肤溃烂面分泌物作涂片检查,见大量黄褐色圆形厚壁孢子,确诊为皮肤着色霉菌病。
讨论 着色霉菌病(chromomycosis)是由暗色孢科中某些种属的暗色真菌感染皮肤和皮下组织所引起的一种深部真菌病。多见于热带和亚热带地区,我国以山东章丘,河南荥阳地区发病率最高[1]。多见于男性,多侵犯下肢,国内资料统计以上肢多见,占71%以上[2]。主要通过皮肤损伤接种感染,病程常迁延不愈。Bayerl等[3]报道1例妇女,病程长达36年之久。本例病程长达5年。除皮肤病变外,偶可经血行或淋巴途径播散至脑和其他脏器。Silber等[4]报道1例皮肤着色霉菌侵犯肾脏。Diaz等[5]报道1例脑着色霉菌病。本例除手、脚病变外,还播散至肺、纵隔淋巴结和脾脏。实属少见。本例多器官侵犯的影像表现亦无特异性。造成本例长期误诊的原因:(1)对本病的认识不足;(2)长期发热,左肺病变和OT试验强阳性,导致误诊为结核;(3)最主要是忽视了皮肤的改变与多器官损害结合起来解释临床症状与影像学表现。治疗上比较困难,5-氟尿嘧啶有比较肯定的疗效。本病的诊断主要依据微生物检查。
, 百拇医药
图1 发病开始胸部平片示左肺3~4前肋间见大片高密度模糊影

图2,3 发病4个月肺CT检查示纵隔淋巴结肿大、并坏死形成,双肺结节性病变伴左下肺间质改变
图4 发病5个月脾CT检查示脾肿大、密度不均,脾实质区见多个1.5 cm×1.5 cm大小不等的低密度影,较弥散
图5 发病1年左手指平片示左手第5指近节骨干囊性破坏
, 百拇医药
图6 脾病理切片(HE ×40)见多个散在紫色霉菌孢子及坏死炎症改变
参考文献
1,陈锡唐,主编. 实用皮肤组织病理学. 广州:广东科学技术出版社,1994. 106.
2,吴绍熙,郭宁如,廖万清,主编. 现代真菌病诊断治疗学. 北京:北京医科大学 中国协和医科大学联合出版社,1997. 87.
3,Bayerl C, Fuhrmann E, Coelho CC, et al. Expression of heat shock protein 27 in chromomycosis. Mycoses, 1998, 41 : 447-452.
4,Silber JG, Gombert ME, Gree KM, et al. Treatment of chromomycosis with ketoconazole and 5-flurocylosine. J Am Acad Dermatol, 1983, 8 :236-238.
5,Diaz A, Pascal J, Monnin L, et al. Cerebral chromoblastomycosis, apropos of a case, review of the literature. Neurochirurgie, 1996, 42 :95-99.
(收稿日期:1999-12-16), 百拇医药
单位:李华灿(352100 福建省宁德地区第二医院放射科);郑石芳(福建省肿瘤医院放射科);李铭山(南京军区福州总院放射科)
关键词:
中华放射学杂志000826 患者 女,44岁。 发热、咳嗽、盗汗20 d,胸部X线摄片示左肺中野见一大片状、边缘模糊影(图1)。拟诊为左肺炎,结核待除外。体检:双肺呼吸音粗,未闻及干、湿音。腹平软,肝脾未触及。双侧小腿及踝部见多个皮下结节,其间皮肤色素减退,触诊皮下结节有囊性感、无压痛。实验室检查:血、尿常规正常。血沉130 mm/1 h,痰检未找到结核菌,OT试验强阳性,初步诊断为肺结核。行异烟肼、利福平和乙胺丁醇联合抗痨治疗,20 d后临床症状好转出院,继续抗痨治疗。
1个月后复查胸片见左肺病灶部分吸收。4个月后复查胸片见左肺病灶吸收,肺门扩大,纵隔增宽。胸部CT扫描:纵隔淋巴结肿大伴中心坏死。两肺见多发性小结节影,左下肺呈间质性改变(图2,3)。纤维支气管镜见左右主支气管呈外压性改变。活检病理报告:肉芽肿性炎症。患者再次入院时除低热、咳嗽外还诉左上腹不适。B超检查示脾肿大,脾内见多发异常回声灶。腹部CT平扫:肝未见异常,脾脏明显肿大,密度不匀,其中见多发性大小不一、边缘模糊的低密度灶(图4)。先后作2次脾穿刺活检。病理报告:肉芽肿性炎症,何杰金病不能排除。此时开始不规则服用强的松治疗,但发热一直不退,患者自动出院。
, http://www.100md.com
1年后患者仍有反复发热,并出现左手小指掌指关节肿痛,皮肤溃烂,遂第3次入院。胸腹部CT扫描示双肺及纵隔基本恢复正常。脾肿大,脾实质内低密度病灶增多。左手X线摄片示小指掌指关节软组织肿胀,指骨近掌指关节端见囊性骨破坏(图5)。指骨活检病理报告:化脓性肉芽肿。因发热不能控制,脾脏多发性病灶,患者同意作脾切除。术中见脾肿大,脾周广泛粘连,摘除脾脏,大小约20 cm×25 cm×22 cm。切开脾脏,见脾实质呈蜂窝状,其内充满黄绿色脓性分泌物。病理诊断:脾着色霉菌病(图6)。确诊后仔细追问病史,患者近5年来双下肢及手腕部常出现无痛性皮下小结节,时有增大破溃,溃口较长时间才愈合的病史。又将左手小指尚未愈口的皮肤溃烂面分泌物作涂片检查,见大量黄褐色圆形厚壁孢子,确诊为皮肤着色霉菌病。
讨论 着色霉菌病(chromomycosis)是由暗色孢科中某些种属的暗色真菌感染皮肤和皮下组织所引起的一种深部真菌病。多见于热带和亚热带地区,我国以山东章丘,河南荥阳地区发病率最高[1]。多见于男性,多侵犯下肢,国内资料统计以上肢多见,占71%以上[2]。主要通过皮肤损伤接种感染,病程常迁延不愈。Bayerl等[3]报道1例妇女,病程长达36年之久。本例病程长达5年。除皮肤病变外,偶可经血行或淋巴途径播散至脑和其他脏器。Silber等[4]报道1例皮肤着色霉菌侵犯肾脏。Diaz等[5]报道1例脑着色霉菌病。本例除手、脚病变外,还播散至肺、纵隔淋巴结和脾脏。实属少见。本例多器官侵犯的影像表现亦无特异性。造成本例长期误诊的原因:(1)对本病的认识不足;(2)长期发热,左肺病变和OT试验强阳性,导致误诊为结核;(3)最主要是忽视了皮肤的改变与多器官损害结合起来解释临床症状与影像学表现。治疗上比较困难,5-氟尿嘧啶有比较肯定的疗效。本病的诊断主要依据微生物检查。
, 百拇医药
图1 发病开始胸部平片示左肺3~4前肋间见大片高密度模糊影
图2,3 发病4个月肺CT检查示纵隔淋巴结肿大、并坏死形成,双肺结节性病变伴左下肺间质改变
图4 发病5个月脾CT检查示脾肿大、密度不均,脾实质区见多个1.5 cm×1.5 cm大小不等的低密度影,较弥散
图5 发病1年左手指平片示左手第5指近节骨干囊性破坏
, 百拇医药
图6 脾病理切片(HE ×40)见多个散在紫色霉菌孢子及坏死炎症改变
参考文献
1,陈锡唐,主编. 实用皮肤组织病理学. 广州:广东科学技术出版社,1994. 106.
2,吴绍熙,郭宁如,廖万清,主编. 现代真菌病诊断治疗学. 北京:北京医科大学 中国协和医科大学联合出版社,1997. 87.
3,Bayerl C, Fuhrmann E, Coelho CC, et al. Expression of heat shock protein 27 in chromomycosis. Mycoses, 1998, 41 : 447-452.
4,Silber JG, Gombert ME, Gree KM, et al. Treatment of chromomycosis with ketoconazole and 5-flurocylosine. J Am Acad Dermatol, 1983, 8 :236-238.
5,Diaz A, Pascal J, Monnin L, et al. Cerebral chromoblastomycosis, apropos of a case, review of the literature. Neurochirurgie, 1996, 42 :95-99.
(收稿日期:1999-12-16), 百拇医药