左侧肾上腺恶性黑色素瘤一例
作者:吴天 阎建华 孙俊杰 张翔 聂福华
单位:吴天 阎建华 孙俊杰 张翔(300170 天津,天津第三中心医院放射科);聂福华(天津第三中心医院外科)
关键词:
中华放射学杂志000824
患者 女,44岁。入院前5个月无明显诱因出现腹部及腰背部剧痛并向下肢放射,持续1 h余,无恶心、呕吐、发热、腹胀等症状;入院前2个月再次出现腹部及上半身剧痛,持续1 h 后自行缓解;入院前6 d患者第3次出现左上肢及左胸背部剧痛,持续40 min。体检:全身皮肤未见黑色素瘤瘤灶,无着色皮肤或眼区切除史。
影像学检查:B超示左侧肾上极处实性包块回声,有包膜回声,包膜回声尚光滑,内部回声光点分布欠均匀伴有部分无回声区,深吸气时肾与肿块有移位现象,双肾轮廓清晰,包膜回声光滑,双侧肾皮质光点分布均匀,双侧肾盂光带未见明显分离。B超诊断:腹膜后实性肿物(左侧肾上腺占位性病变)。CT检查:平扫示左侧肾上腺区软组织密度团块影,约4.7 cm×5.3 cm大小,边缘清楚,密度不均(其中可见小低密度区)。左侧肾上腺形态消失。左侧膈肌脚受压向内侧移位(图1)。右侧肾上腺未见异常。增强后该肿物有强化改变,与左侧肾上极相关连,且对左侧肾上极形成弧形压迫(图2)。增强前后腹腔内未见增大的淋巴结影,增强前后肝、胆、胰、脾未见异常。CT诊断:左侧肾上腺区肿物。
, http://www.100md.com
手术所见及病理:于左侧肾下极处分开肾脂肪囊显露出肾脏后探察此肿物约4 cm×5 cm×5 cm大小,质尚软,有中心坏死灶,与周围粘连不紧密,考虑肿物来源于左侧肾上腺。游离肾脏后于肾下级水平的脂肪囊向上剥离至肾上极及肿物,然后将肾脏向下拉,显露肿物上极,于膈下分离,沿肾被膜完整剥离肿物,将肿物连同周围脂肪结缔组织一并切除。左肾包膜完整未受累。病理诊断:左侧肾上腺恶性黑色素瘤(图3)。
图1 CT平扫示左侧肾上腺区软组织密度团块影,约4.7 cm×5.3 cm大小,边缘清楚,密度不均(其中可见小低密度区)。左侧肾上腺形态消失。左侧膈肌脚受压向内侧移位。右侧肾上腺未见异常
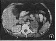
图2 增强后该肿物有强化改变,与左侧肾上极相关联,并对左侧肾上极形成弧形压迫
, 百拇医药
图3 病理切片见小上皮样细胞和大上皮样细胞,以及少数棱形细胞及单核或多核瘤巨细胞,胞浆内见色素性细颗粒(HE ×400)
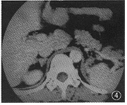
图4 术后5个月增强CT复查。强化后右侧肾上腺区软组织密度影
术后近5个月复查CT(增强扫描)时发现右侧肾上腺区软组织影(考虑转移)(图4)。1个多月后病人头痛,头颅CT检查发现颅内多个球形略高密度影(考虑转移),病人10 d之内死亡。
讨论 因为转移性肾上腺黑色素瘤常见,应该确立一个诊断原发性肾上腺黑色素瘤的严格指标。Carstens等[1]在1984年提出以下4条诊断原发性肾上腺黑色素瘤的标准:(1)原发性黑色素瘤应仅在一侧肾上腺,(2)其他部位以前和现在没有恶性黑色素瘤,(3)没有着色皮肤或眼区的切除史,(4)除外隐匿性原发区的存在,最好尸检。据本例的各项体检、影像学表现及术后到死亡疾病进展情况,笔者考虑此左肾上腺恶性黑色素瘤为原发性。
, http://www.100md.com
恶性黑色素瘤是一种产生黑色素的高度恶性肿瘤,少数为无色素的恶性黑色素瘤,可为原发性,也可为转移性,发病年龄多在中年到老年,青春期前很少发生。发生在妊娠期的恶性黑色素瘤发展迅速,提示恶性黑色素瘤可能与内分泌有关[2]。黑色素细胞分布在皮肤、眼、黏膜和神经系统,因此黑色素瘤可发于皮肤、口腔、消化道、呼吸道、生殖系统的黏膜、眼球的睫状体、虹膜、脉络膜以及脑膜的脉络膜处。发生在肾上腺的原发性恶性黑色素瘤十分罕见,被认为是在肾上腺髓质中由神经嵴衍化的细胞发展而来[3]。Dao等[4]于1993年报道2例,认为此病源于肾上腺髓质的嗜铬细胞,故称其为恶性黑色嗜铬细胞瘤(melanotic malignant pheochromacytoma),此瘤恶性度非常高,手术切除后2年内死亡率达100%。
结合本例笔者注意道CT对诊断恶性黑色素瘤无特异性,但恶性黑色素瘤在MRI上很有特征:T1WI上呈高信号,T2WI上呈低信号,这是因为黑色素能分泌出一种稳定的游离根所致[5]。
, 百拇医药
参考文献
1,Carstens PH, Kuhns JG, Ghazi C. Primary malignant melanomas of the lung and adrenal. Hum Pathol, 1984,15:910-914.
2,实用肿瘤学编辑委员会.实用肿瘤学.北京:人民卫生出版社,1975.658.
3,汤钊猷,主编.现代肿瘤学. 上海:上海医科大学出版社,1993.1075.
4,Dao AH, Page DL, Reynolds VH, et al. Primary malignant melanoma of the adrenal gland:a report of two cases and review of the literature. Am Surg, 1990,56:199-203.
5,陈星荣,沈天真,段承祥,等主编.全身CT和MRI. 上海:上海医科大学出版社,1994.245.
(收稿日期:1999-09-13), 百拇医药
单位:吴天 阎建华 孙俊杰 张翔(300170 天津,天津第三中心医院放射科);聂福华(天津第三中心医院外科)
关键词:
中华放射学杂志000824
患者 女,44岁。入院前5个月无明显诱因出现腹部及腰背部剧痛并向下肢放射,持续1 h余,无恶心、呕吐、发热、腹胀等症状;入院前2个月再次出现腹部及上半身剧痛,持续1 h 后自行缓解;入院前6 d患者第3次出现左上肢及左胸背部剧痛,持续40 min。体检:全身皮肤未见黑色素瘤瘤灶,无着色皮肤或眼区切除史。
影像学检查:B超示左侧肾上极处实性包块回声,有包膜回声,包膜回声尚光滑,内部回声光点分布欠均匀伴有部分无回声区,深吸气时肾与肿块有移位现象,双肾轮廓清晰,包膜回声光滑,双侧肾皮质光点分布均匀,双侧肾盂光带未见明显分离。B超诊断:腹膜后实性肿物(左侧肾上腺占位性病变)。CT检查:平扫示左侧肾上腺区软组织密度团块影,约4.7 cm×5.3 cm大小,边缘清楚,密度不均(其中可见小低密度区)。左侧肾上腺形态消失。左侧膈肌脚受压向内侧移位(图1)。右侧肾上腺未见异常。增强后该肿物有强化改变,与左侧肾上极相关连,且对左侧肾上极形成弧形压迫(图2)。增强前后腹腔内未见增大的淋巴结影,增强前后肝、胆、胰、脾未见异常。CT诊断:左侧肾上腺区肿物。
, http://www.100md.com
手术所见及病理:于左侧肾下极处分开肾脂肪囊显露出肾脏后探察此肿物约4 cm×5 cm×5 cm大小,质尚软,有中心坏死灶,与周围粘连不紧密,考虑肿物来源于左侧肾上腺。游离肾脏后于肾下级水平的脂肪囊向上剥离至肾上极及肿物,然后将肾脏向下拉,显露肿物上极,于膈下分离,沿肾被膜完整剥离肿物,将肿物连同周围脂肪结缔组织一并切除。左肾包膜完整未受累。病理诊断:左侧肾上腺恶性黑色素瘤(图3)。
图1 CT平扫示左侧肾上腺区软组织密度团块影,约4.7 cm×5.3 cm大小,边缘清楚,密度不均(其中可见小低密度区)。左侧肾上腺形态消失。左侧膈肌脚受压向内侧移位。右侧肾上腺未见异常
图2 增强后该肿物有强化改变,与左侧肾上极相关联,并对左侧肾上极形成弧形压迫
, 百拇医药
图3 病理切片见小上皮样细胞和大上皮样细胞,以及少数棱形细胞及单核或多核瘤巨细胞,胞浆内见色素性细颗粒(HE ×400)
图4 术后5个月增强CT复查。强化后右侧肾上腺区软组织密度影
术后近5个月复查CT(增强扫描)时发现右侧肾上腺区软组织影(考虑转移)(图4)。1个多月后病人头痛,头颅CT检查发现颅内多个球形略高密度影(考虑转移),病人10 d之内死亡。
讨论 因为转移性肾上腺黑色素瘤常见,应该确立一个诊断原发性肾上腺黑色素瘤的严格指标。Carstens等[1]在1984年提出以下4条诊断原发性肾上腺黑色素瘤的标准:(1)原发性黑色素瘤应仅在一侧肾上腺,(2)其他部位以前和现在没有恶性黑色素瘤,(3)没有着色皮肤或眼区的切除史,(4)除外隐匿性原发区的存在,最好尸检。据本例的各项体检、影像学表现及术后到死亡疾病进展情况,笔者考虑此左肾上腺恶性黑色素瘤为原发性。
, http://www.100md.com
恶性黑色素瘤是一种产生黑色素的高度恶性肿瘤,少数为无色素的恶性黑色素瘤,可为原发性,也可为转移性,发病年龄多在中年到老年,青春期前很少发生。发生在妊娠期的恶性黑色素瘤发展迅速,提示恶性黑色素瘤可能与内分泌有关[2]。黑色素细胞分布在皮肤、眼、黏膜和神经系统,因此黑色素瘤可发于皮肤、口腔、消化道、呼吸道、生殖系统的黏膜、眼球的睫状体、虹膜、脉络膜以及脑膜的脉络膜处。发生在肾上腺的原发性恶性黑色素瘤十分罕见,被认为是在肾上腺髓质中由神经嵴衍化的细胞发展而来[3]。Dao等[4]于1993年报道2例,认为此病源于肾上腺髓质的嗜铬细胞,故称其为恶性黑色嗜铬细胞瘤(melanotic malignant pheochromacytoma),此瘤恶性度非常高,手术切除后2年内死亡率达100%。
结合本例笔者注意道CT对诊断恶性黑色素瘤无特异性,但恶性黑色素瘤在MRI上很有特征:T1WI上呈高信号,T2WI上呈低信号,这是因为黑色素能分泌出一种稳定的游离根所致[5]。
, 百拇医药
参考文献
1,Carstens PH, Kuhns JG, Ghazi C. Primary malignant melanomas of the lung and adrenal. Hum Pathol, 1984,15:910-914.
2,实用肿瘤学编辑委员会.实用肿瘤学.北京:人民卫生出版社,1975.658.
3,汤钊猷,主编.现代肿瘤学. 上海:上海医科大学出版社,1993.1075.
4,Dao AH, Page DL, Reynolds VH, et al. Primary malignant melanoma of the adrenal gland:a report of two cases and review of the literature. Am Surg, 1990,56:199-203.
5,陈星荣,沈天真,段承祥,等主编.全身CT和MRI. 上海:上海医科大学出版社,1994.245.
(收稿日期:1999-09-13), 百拇医药