关注食管动力病变的造影检查
作者:尚克中
单位:200233 上海市第六人民医院放射科
关键词:
中华放射学杂志000920 食管动力病变(esophageal motility disorders,EMD)是消化道的常见病,包括失弛缓症(achalasia )、弛缓症(chalasia)、弥漫性痉挛(diffuse esophageal spasm ,DES)、非特异性食管动力病(nonspecific esophageal disorder, NEMD)等原发性病变和由胃食管返流、结缔组织病、糖尿病、肿瘤、结核等多种疾病引起的继发性病变,发病率有日益增加的趋势。多年来医学界认为此类病变因多不伴有结构形态的改变,应以食管腔内插管测压法为诊断的标准,造影诊断除对失弛缓症有较大作用外,甚少价值。
近年来胃肠放射学家和消化病学家对EMD的造影技术和表现进行了深入的研究[1-9],改进了造影的方法,通过造影与同步测压的对比观察,使造影诊断的地位大为提高,已被临床医师认为是诊断EMD可靠的首选方法[5,6],国外放射学教科书中亦将之作为主要内容[3,10]。
, http://www.100md.com
对EMD的造影检查应作食管动态造影(esophageal dynamic radiography,EDR)。EDR不需特殊设备,在普通胃肠X线机上用X线录像或及时的点片即可完成。但目前国内开展此项工作者甚少,应尽快予以重视。
临床的需要和胃肠造影的新重点
EMD的主要症状是吞咽障碍和非心源性胸痛,在美国成年人中曾有此种症状者达30%。EMD在内镜和常规胃肠钡检中不能直接查出或较难显示,腔内测压和24 h食管pH测定虽可作出“标准”的诊断,但设备复杂、费用昂贵、费时较多,病人不易接受。而EDR不需特殊设备、病人无不适感、费用较低,可以满足临床诊断的需要,临床医师选用此法检查者日多。据美国统计, 临床医师申请上胃肠道钡检的拟诊病变中,涉及吞咽障碍、吞咽不适、胃食管返流等EMD范围者占申请总数的46 %[11]。
胃肠放射学家认为,在胃肠溃疡、肿瘤等结构性病变诊断中,由于内镜的“竞争”等因素导致的胃肠钡检总数逐年下降的趋势已因动力病变造影检查的开展而得以回升,开展此类检查应成为胃肠钡剂造影的新重点[11,12]。
, http://www.100md.com
EDR的方法
1.病人仰卧或俯卧,头侧低30°~50°或不低(头侧低位可使蠕动收缩更明显),取右前斜位,口内含1 500~2 000 g/L(W/V)钡液15~20 ml,尽可能1次咽下(以下称咽钡1次),在X线电视下观察其引起食管蠕动及移动等情况。记录造影动态影像最佳的方法是X线录像;如原X线机无此配置,可用家用多制式录像机替代;或用每秒2~8张的缩影点片;有的医院仅用多次及时的点片记录,亦可取得较好效果。每次检查至少须咽钡5次,注意须待1次所咽的钡液完全通过食管后,或食管虽有钡液滞留但蠕动或钡液移动已完全停止后才能再次咽钡。否则下次的咽钡将干扰和抑制前次咽钡的蠕动和钡液移动及通过的时间。
2.因食管及贲门区的结构性病变常并发EMD,后者更常导致或并发咽部的病变和症状,其发生率高达32 %[7],故在作EDR时应同时进行食管的双对比造影和咽部的造影检查[2,6,7]。
, http://www.100md.com
主要观察项目
在EDR中有关EDM的主要异常表现有以下4项。
一、蠕动
食管的蠕动性收缩是推动食(钡)团移动至胃的动力。吞咽钡团后随即发生 起自食管上段持续向下的蠕动,为原发性蠕动。与吞咽无关,因食管内停滞或返流钡团的存在及其受呼吸、体位等压力影响而在食管某段(多在中段)发生的下行性蠕动称继发性蠕动。蠕动使充钡扩张食管的轮廓呈两侧对称的平缓自然的收缩波。蠕动波的近侧和远侧斜面分别代表环肌的收缩和舒张,即压力升高和降低的节段。较大的食团使食管扩张较大,形成蠕动波后的收缩较深,常致管腔完全闭合。
正常蠕动应自近侧向远侧依序移动,无停滞、无中断,一次蠕动能将接近全部的钡团推送至胃;速度3~5 cm /s;近侧段较快,中段略慢,远段更慢;全部通过食管的时间约7~9 s。立位吞钡时因重力影响,连续吞钡时因快速冲击影响,均可干扰、抑制蠕动的频率及波形,甚至不发生蠕动,应注意避免。蠕动波至食管下扩约肌(LES)的中段即胃与食管的分界处(Z线或B环)停止。随蠕动下移钡柱的尾端呈倒V字形,为测压法压力曲线的最高峰(图1);至膈壶腹上缘,倒V字形的尖顶消失变钝。
, http://www.100md.com
吞咽后无蠕动(aperistalsis)或不符合上述情况的蠕动可能为异常,但亦可能为正常变异。在食管蠕动的造影表现上,正常变异包括的范围很广,特别在老年人。正常人并非每次吞咽均可引起食管蠕动,应以出现于“吞钡1次”总次数(5次以上)中的40 %以上为判断的依据(图2)。
二、非蠕动性收缩(nonperistalsis contracture)
又称无推进性收缩(nonpropulsive contracture),指出现于食管腔壁轮廓上的无推进移动的切迹状收缩,为判断EMD的重要标志。应注意其可能出现的各种情况:出现的部位(上、中、下段)、范围、数量(少数或多数);对称或不对称;收缩的深度,较深(分节状致管腔闭合)或较浅(轻微切迹);重复性(repititive,指“吞钡1次”后可多次出现)及其持续时间。早期文献中描述的第3收缩多指非蠕动性收缩的某些明显表现。非蠕动性收缩为异常表现,但随年龄增高,出现的机会亦随之增加,如无EMD症状,可视之为正常变异。因EMD而致的蠕动中断者,无推进性收缩的出现率达48 %[4]。多发性螺旋状非蠕动性收缩(图3),在青壮年中肯定为重要异常,见于老年人时则可能为“老年食管”,属正常变异。
, 百拇医药
三、钡柱移动
正常食管,钡团随原发或继发的蠕动而向下移动。钡团移动的异常包括无移动(停滞时间>18 s)、缓慢移动、胃-食管返流和(或)食管-咽返流时的逆向移动、往返(to and fro)性移动等。但以下情况可不视为异常:原发蠕动经主动脉弓水平时钡液可在该处停顿,继而钡团的大部分继续下移,小部分向咽侧返流,称近侧逃避现象(proximate escape phenomenon)(图4)。此现象可能因该处为食管上段的横纹肌与下段的平滑肌交错的过渡区,收缩力度相对较弱所致。因病变而蠕动中断时,近侧逃避的出现率可达79 %[4]。钡液自食管下段向近侧的移动称返流,不属逃避现象。但偶见的胃至食管的少量返流并可在3 min内被清除者属于正常范围。
四、括约肌开闭
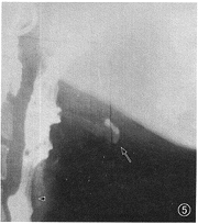
1.食管上括约肌(upper esophageal sphincter,UES):又称咽食管段或环咽部,由下咽缩肌及其远侧的食管环行肌组成,长2.5~4.0 cm。非吞咽时,UES处于闭合状态并保持约100 mm Hg(1 mm Hg=0.133 kPa)的高压。吞咽时,UES快速开放,持续0.2~0.3 s后关闭。开放的程度和时间因食(钡)团的大小、质地、到达的速度而不同。UES在EDR中常可清楚显示(图5)。除能直接观察其开放程度外,还可根据其近侧钡液滞留的数量和时间以及钡液进入气道(称aspiration,吸入)等情况,判断其开放的不适时和不适度性(图6),详见有关专著[9,13,14]。
, 百拇医药
图1 正常EDR,钡团远段正通过LES(箭头),钡团末端呈倒V字形,其近侧斜面相当于测压法原发蠕动的高峰波
图2 吞钡1次后食管无蠕动(2次点片间隔2 s), 吞钡5次中的3次蠕动正常,说明此种无蠕动属正常范围
图3 食管弥漫性痉挛,食管中下段见多发、重复、闭腔、分节的无蠕动性收缩,呈念珠状表现,注意在吞钡1次的2张点片中收缩的数量和程度可有不同
图4 正常EDR,近侧逃避现象的录像描摹,示钡团下移至食管中段时其近侧的一小部分与原钡团分离,向近侧逆向移动,原钡团的大部分继续下移至胃。横线自下方起,分别代表距贲门3、8、13 cm及18 cm的距离
, 百拇医药
图5 示UES开放(▲),钡剂正常通过时的表现。↑示舌骨位置
图6 UES(▲)功能紊乱,开放延迟,吞咽1次的钡剂不能1次完全通过,较多量钡剂在咽腔滞留,并有钡剂吸入气道(↑)
图7 返流性食管炎并发裂孔疝(△)及疝囊中溃疡(↑)。返流的钡剂停留时间延长,并可见食管下段多数较浅的无蠕动收缩(▲)
图8 皮肌炎病人,气管插管后作EDR,2次点片示食管各段均无蠕动,LES开放;食管下段黏膜皱襞粗大为返流性食管炎表现
, http://www.100md.com
图9食管下段无蠕动,呈枯枝状,为返流性食管炎的少见表现
图10 十二指肠癌化疗后,食管呈弛缓症表现,无蠕动、无收缩,LES亦呈扩张状态;伴有裂孔疝(△)。食管与胃黏膜连接处的贲门(指B环或Z线)环状结构影(↑)清楚显示
2.食管下括约肌(lower esophageal sphincter,LES): 位于食管末段,长2~4 cm,经常处于闭合状态并保持较胃(约10 mm Hg)为高(约30 mm Hg) 的压力,以防止胃内容向食管返流。LES随吞咽后食团的到达而开放(图1),其开放的幅度可较食管体部更大。
EDR的诊断价值
与结构性病变不同,EMD在EDR 中的表现除失弛缓症具有特殊表现外,几乎均是短暂的、多变的和非特征性的。因此,EDR的价值在很大程度上取决于以下3项:
, 百拇医药
1.规范仔细的检查和分析:检查可靠性的关键是卧位观察和5次以上的咽钡。
2.EMD病谱的种类和程度:EDR中一些病种与测压结果的符合情况,文献报道的差别较大:除胡桃夹食管(nutcracker esophagus)EDR常无异常表现外,原发EMD 总的敏感性为46%~97 %,特异性为95 %;失弛缓症、DES、NEMD的符合率分别为95%~100 %、75%和50%[2,3] 。笔者的结果与之接近[7]。
3.与临床症状和测压结果的结合:医师检查前应直接询问病人有无吞咽障碍、堵塞感、胸骨后痛、返酸等EMD症状,将之作为判定异常表现性质的参考,必要时建议临床作测压检查。
常见异常表现的评估与诊断
在EMD病谱的各个病种中常可同时出现上述的多种异常表现,应注意“抓住”其中具有决定意义的突出表现,结合临床资料,作出诊断。
, http://www.100md.com
1.UES开闭功能不协调:在443例吞咽障碍病人中的出现率达19.5 %,主要与颅脑、颈部、食管等的病变及外伤有关[14](图6)。
2.LES重度狭窄:狭窄段规则、光整,可短暂、轻度开放,伴食管高度扩张是失弛缓症的特征。
3.频发、多量的胃食管返流:多量返流伴远段蠕动微弱,清除力低是返流性食管炎的主要表现,重度者多导致糜烂、溃疡、管腔狭窄、裂孔疝等病变(图7)。
4.远段食管蠕动微弱,钡团停滞:主要见于累及平滑肌的疾病,如结缔组织病,以皮肌炎和硬皮病的表现最为明显和典型(图8,9)。
5.明显的、多数的无蠕动收缩:可见于多种EMD,是提示EMD的主要征象,大多位于中下段。但须与其他异常表现及临床结合才能作出最符合于某一病种的诊断。例如,中下段明显的可致管腔闭合的多数、重复的非蠕动性收缩,致食管呈串珠状或螺旋状,为DES(图3)、NEMD的常见表现;幅度较浅的非蠕动性收缩亦可见于失弛缓症的早期和“老年食管”,后两者无胸骨后痛症状,而DES的此种症状最重。如能看到食管壁的弥漫增厚,则为DES的特征性表现,已经CT观察证实[15]。
, 百拇医药
6.整体食管松弛扩张:食管呈囊袋状,无或仅有微弱蠕动,LES经常开放,极少闭合,胃内容可随体位自由流至食管,为弛缓症的典型表现。弛缓症原为小儿的罕见病,但笔者发现2例成年病人,1例在肿瘤化疗后(图10),1例为硬皮病患者,其食管表现均如上述,LES压力测定低于正常。此2例患者病前曾作食管造影未见异常。
参考文献
1,Aksglaede K, Funch-Jensen P,Vestergaard H, et al. Diagnosis of esophageal motor disorders: a prospective study camparing barium swallow, food barium mixture and continuous swallows and menometry. Gastrointestinal Radiol, 1992,17: 1-4.
2,Ott DJ.Motility disorders of the esophagus.Radiol Clin North Am,1994, 32:1117-1133.
, 百拇医药
3,Ott JD. Esophagus: motility disorders. In: Gore RM, Levine MS, Laufer I, eds . Textbook of gastrointestinal radiology. Philadelphia : Saunders, 1994. 346-359.
4,Grishaw EK, Ott DJ, Frederick MG,et al. Functional abnomalities of the esophagus : a prospective analysis of radiographic findings relative to age and symptoms. AJR, 1996,167:719-723.
5,Fuller L, Huprich JE, Theisen J, et al. Abnomal esophageal body function: radiographic-menometric correlation. Am Surg, 1999,65: 911-914.
, http://www.100md.com
6,柯美云.食管运动生理和运动功能检查方法.见:潘国宗,曹世植,主编.现代胃肠病学.北京: 科学出版社,1994.693-706.
7,尚克中,程英升,吴春根,等.吞咽障碍患者的咽和食管动态造影.世界华人消化杂志,1999,7:52-54.
8,尚克中.食管动力病变及其造影诊断.中华放射学杂志,1996,30:709-712.
9,尚克中.吞咽障碍的咽部动态造影和双对比造影检查.中华放射学杂志, 1996,30:354-357.
10,Mendelson R . 胃肠道.王仪生,王正颜,兰宝森,等,译.见:Peterson H,主编.放射学综合性教科书(中文版).香港:Institute Corporate Information Services, 1995.891-1026.
, http://www.100md.com
11,Einstein DM, Lieberman JM, Paushter DM, et al. Gastrointestinal radiology: current indications and referral patterns . Abdom Imaging, 1993, 18:2-5.
12,尚克中,齐雨根.胃肠道钡剂造影数量下降的趋势与对策.中华放射学杂志, 1997,31:857-858.
13,赵景涛.环咽部运动障碍.见:潘国宗,曹世植,主编.现代胃肠病学.北京:科学出版社,1994.707-710.
14,Baredes S, Shah CS, Kaufman R. The frequency of cricopharyngeal dysfunction on videofluoroscopic swallowing studies in patients with dysphagia. Am J Otolaryngol,1997,18:185-189.
15,Nino Murcia M, Stark P, Triadafilopoalos G. Esophageal wall thickening: a CT finding in diffuse esophageal spasm. J Comput Assist Tomogr, 1997,21:218-221.
(收稿日期:2000-02-14), 百拇医药
单位:200233 上海市第六人民医院放射科
关键词:
中华放射学杂志000920 食管动力病变(esophageal motility disorders,EMD)是消化道的常见病,包括失弛缓症(achalasia )、弛缓症(chalasia)、弥漫性痉挛(diffuse esophageal spasm ,DES)、非特异性食管动力病(nonspecific esophageal disorder, NEMD)等原发性病变和由胃食管返流、结缔组织病、糖尿病、肿瘤、结核等多种疾病引起的继发性病变,发病率有日益增加的趋势。多年来医学界认为此类病变因多不伴有结构形态的改变,应以食管腔内插管测压法为诊断的标准,造影诊断除对失弛缓症有较大作用外,甚少价值。
近年来胃肠放射学家和消化病学家对EMD的造影技术和表现进行了深入的研究[1-9],改进了造影的方法,通过造影与同步测压的对比观察,使造影诊断的地位大为提高,已被临床医师认为是诊断EMD可靠的首选方法[5,6],国外放射学教科书中亦将之作为主要内容[3,10]。
, http://www.100md.com
对EMD的造影检查应作食管动态造影(esophageal dynamic radiography,EDR)。EDR不需特殊设备,在普通胃肠X线机上用X线录像或及时的点片即可完成。但目前国内开展此项工作者甚少,应尽快予以重视。
临床的需要和胃肠造影的新重点
EMD的主要症状是吞咽障碍和非心源性胸痛,在美国成年人中曾有此种症状者达30%。EMD在内镜和常规胃肠钡检中不能直接查出或较难显示,腔内测压和24 h食管pH测定虽可作出“标准”的诊断,但设备复杂、费用昂贵、费时较多,病人不易接受。而EDR不需特殊设备、病人无不适感、费用较低,可以满足临床诊断的需要,临床医师选用此法检查者日多。据美国统计, 临床医师申请上胃肠道钡检的拟诊病变中,涉及吞咽障碍、吞咽不适、胃食管返流等EMD范围者占申请总数的46 %[11]。
胃肠放射学家认为,在胃肠溃疡、肿瘤等结构性病变诊断中,由于内镜的“竞争”等因素导致的胃肠钡检总数逐年下降的趋势已因动力病变造影检查的开展而得以回升,开展此类检查应成为胃肠钡剂造影的新重点[11,12]。
, http://www.100md.com
EDR的方法
1.病人仰卧或俯卧,头侧低30°~50°或不低(头侧低位可使蠕动收缩更明显),取右前斜位,口内含1 500~2 000 g/L(W/V)钡液15~20 ml,尽可能1次咽下(以下称咽钡1次),在X线电视下观察其引起食管蠕动及移动等情况。记录造影动态影像最佳的方法是X线录像;如原X线机无此配置,可用家用多制式录像机替代;或用每秒2~8张的缩影点片;有的医院仅用多次及时的点片记录,亦可取得较好效果。每次检查至少须咽钡5次,注意须待1次所咽的钡液完全通过食管后,或食管虽有钡液滞留但蠕动或钡液移动已完全停止后才能再次咽钡。否则下次的咽钡将干扰和抑制前次咽钡的蠕动和钡液移动及通过的时间。
2.因食管及贲门区的结构性病变常并发EMD,后者更常导致或并发咽部的病变和症状,其发生率高达32 %[7],故在作EDR时应同时进行食管的双对比造影和咽部的造影检查[2,6,7]。
, http://www.100md.com
主要观察项目
在EDR中有关EDM的主要异常表现有以下4项。
一、蠕动
食管的蠕动性收缩是推动食(钡)团移动至胃的动力。吞咽钡团后随即发生 起自食管上段持续向下的蠕动,为原发性蠕动。与吞咽无关,因食管内停滞或返流钡团的存在及其受呼吸、体位等压力影响而在食管某段(多在中段)发生的下行性蠕动称继发性蠕动。蠕动使充钡扩张食管的轮廓呈两侧对称的平缓自然的收缩波。蠕动波的近侧和远侧斜面分别代表环肌的收缩和舒张,即压力升高和降低的节段。较大的食团使食管扩张较大,形成蠕动波后的收缩较深,常致管腔完全闭合。
正常蠕动应自近侧向远侧依序移动,无停滞、无中断,一次蠕动能将接近全部的钡团推送至胃;速度3~5 cm /s;近侧段较快,中段略慢,远段更慢;全部通过食管的时间约7~9 s。立位吞钡时因重力影响,连续吞钡时因快速冲击影响,均可干扰、抑制蠕动的频率及波形,甚至不发生蠕动,应注意避免。蠕动波至食管下扩约肌(LES)的中段即胃与食管的分界处(Z线或B环)停止。随蠕动下移钡柱的尾端呈倒V字形,为测压法压力曲线的最高峰(图1);至膈壶腹上缘,倒V字形的尖顶消失变钝。
, http://www.100md.com
吞咽后无蠕动(aperistalsis)或不符合上述情况的蠕动可能为异常,但亦可能为正常变异。在食管蠕动的造影表现上,正常变异包括的范围很广,特别在老年人。正常人并非每次吞咽均可引起食管蠕动,应以出现于“吞钡1次”总次数(5次以上)中的40 %以上为判断的依据(图2)。
二、非蠕动性收缩(nonperistalsis contracture)
又称无推进性收缩(nonpropulsive contracture),指出现于食管腔壁轮廓上的无推进移动的切迹状收缩,为判断EMD的重要标志。应注意其可能出现的各种情况:出现的部位(上、中、下段)、范围、数量(少数或多数);对称或不对称;收缩的深度,较深(分节状致管腔闭合)或较浅(轻微切迹);重复性(repititive,指“吞钡1次”后可多次出现)及其持续时间。早期文献中描述的第3收缩多指非蠕动性收缩的某些明显表现。非蠕动性收缩为异常表现,但随年龄增高,出现的机会亦随之增加,如无EMD症状,可视之为正常变异。因EMD而致的蠕动中断者,无推进性收缩的出现率达48 %[4]。多发性螺旋状非蠕动性收缩(图3),在青壮年中肯定为重要异常,见于老年人时则可能为“老年食管”,属正常变异。
, 百拇医药
三、钡柱移动
正常食管,钡团随原发或继发的蠕动而向下移动。钡团移动的异常包括无移动(停滞时间>18 s)、缓慢移动、胃-食管返流和(或)食管-咽返流时的逆向移动、往返(to and fro)性移动等。但以下情况可不视为异常:原发蠕动经主动脉弓水平时钡液可在该处停顿,继而钡团的大部分继续下移,小部分向咽侧返流,称近侧逃避现象(proximate escape phenomenon)(图4)。此现象可能因该处为食管上段的横纹肌与下段的平滑肌交错的过渡区,收缩力度相对较弱所致。因病变而蠕动中断时,近侧逃避的出现率可达79 %[4]。钡液自食管下段向近侧的移动称返流,不属逃避现象。但偶见的胃至食管的少量返流并可在3 min内被清除者属于正常范围。
四、括约肌开闭
1.食管上括约肌(upper esophageal sphincter,UES):又称咽食管段或环咽部,由下咽缩肌及其远侧的食管环行肌组成,长2.5~4.0 cm。非吞咽时,UES处于闭合状态并保持约100 mm Hg(1 mm Hg=0.133 kPa)的高压。吞咽时,UES快速开放,持续0.2~0.3 s后关闭。开放的程度和时间因食(钡)团的大小、质地、到达的速度而不同。UES在EDR中常可清楚显示(图5)。除能直接观察其开放程度外,还可根据其近侧钡液滞留的数量和时间以及钡液进入气道(称aspiration,吸入)等情况,判断其开放的不适时和不适度性(图6),详见有关专著[9,13,14]。
, 百拇医药
图1 正常EDR,钡团远段正通过LES(箭头),钡团末端呈倒V字形,其近侧斜面相当于测压法原发蠕动的高峰波
图2 吞钡1次后食管无蠕动(2次点片间隔2 s), 吞钡5次中的3次蠕动正常,说明此种无蠕动属正常范围
图3 食管弥漫性痉挛,食管中下段见多发、重复、闭腔、分节的无蠕动性收缩,呈念珠状表现,注意在吞钡1次的2张点片中收缩的数量和程度可有不同
图4 正常EDR,近侧逃避现象的录像描摹,示钡团下移至食管中段时其近侧的一小部分与原钡团分离,向近侧逆向移动,原钡团的大部分继续下移至胃。横线自下方起,分别代表距贲门3、8、13 cm及18 cm的距离
, 百拇医药
图5 示UES开放(▲),钡剂正常通过时的表现。↑示舌骨位置
图6 UES(▲)功能紊乱,开放延迟,吞咽1次的钡剂不能1次完全通过,较多量钡剂在咽腔滞留,并有钡剂吸入气道(↑)
图7 返流性食管炎并发裂孔疝(△)及疝囊中溃疡(↑)。返流的钡剂停留时间延长,并可见食管下段多数较浅的无蠕动收缩(▲)
图8 皮肌炎病人,气管插管后作EDR,2次点片示食管各段均无蠕动,LES开放;食管下段黏膜皱襞粗大为返流性食管炎表现
, http://www.100md.com
图9食管下段无蠕动,呈枯枝状,为返流性食管炎的少见表现
图10 十二指肠癌化疗后,食管呈弛缓症表现,无蠕动、无收缩,LES亦呈扩张状态;伴有裂孔疝(△)。食管与胃黏膜连接处的贲门(指B环或Z线)环状结构影(↑)清楚显示
2.食管下括约肌(lower esophageal sphincter,LES): 位于食管末段,长2~4 cm,经常处于闭合状态并保持较胃(约10 mm Hg)为高(约30 mm Hg) 的压力,以防止胃内容向食管返流。LES随吞咽后食团的到达而开放(图1),其开放的幅度可较食管体部更大。
EDR的诊断价值
与结构性病变不同,EMD在EDR 中的表现除失弛缓症具有特殊表现外,几乎均是短暂的、多变的和非特征性的。因此,EDR的价值在很大程度上取决于以下3项:
, 百拇医药
1.规范仔细的检查和分析:检查可靠性的关键是卧位观察和5次以上的咽钡。
2.EMD病谱的种类和程度:EDR中一些病种与测压结果的符合情况,文献报道的差别较大:除胡桃夹食管(nutcracker esophagus)EDR常无异常表现外,原发EMD 总的敏感性为46%~97 %,特异性为95 %;失弛缓症、DES、NEMD的符合率分别为95%~100 %、75%和50%[2,3] 。笔者的结果与之接近[7]。
3.与临床症状和测压结果的结合:医师检查前应直接询问病人有无吞咽障碍、堵塞感、胸骨后痛、返酸等EMD症状,将之作为判定异常表现性质的参考,必要时建议临床作测压检查。
常见异常表现的评估与诊断
在EMD病谱的各个病种中常可同时出现上述的多种异常表现,应注意“抓住”其中具有决定意义的突出表现,结合临床资料,作出诊断。
, http://www.100md.com
1.UES开闭功能不协调:在443例吞咽障碍病人中的出现率达19.5 %,主要与颅脑、颈部、食管等的病变及外伤有关[14](图6)。
2.LES重度狭窄:狭窄段规则、光整,可短暂、轻度开放,伴食管高度扩张是失弛缓症的特征。
3.频发、多量的胃食管返流:多量返流伴远段蠕动微弱,清除力低是返流性食管炎的主要表现,重度者多导致糜烂、溃疡、管腔狭窄、裂孔疝等病变(图7)。
4.远段食管蠕动微弱,钡团停滞:主要见于累及平滑肌的疾病,如结缔组织病,以皮肌炎和硬皮病的表现最为明显和典型(图8,9)。
5.明显的、多数的无蠕动收缩:可见于多种EMD,是提示EMD的主要征象,大多位于中下段。但须与其他异常表现及临床结合才能作出最符合于某一病种的诊断。例如,中下段明显的可致管腔闭合的多数、重复的非蠕动性收缩,致食管呈串珠状或螺旋状,为DES(图3)、NEMD的常见表现;幅度较浅的非蠕动性收缩亦可见于失弛缓症的早期和“老年食管”,后两者无胸骨后痛症状,而DES的此种症状最重。如能看到食管壁的弥漫增厚,则为DES的特征性表现,已经CT观察证实[15]。
, 百拇医药
6.整体食管松弛扩张:食管呈囊袋状,无或仅有微弱蠕动,LES经常开放,极少闭合,胃内容可随体位自由流至食管,为弛缓症的典型表现。弛缓症原为小儿的罕见病,但笔者发现2例成年病人,1例在肿瘤化疗后(图10),1例为硬皮病患者,其食管表现均如上述,LES压力测定低于正常。此2例患者病前曾作食管造影未见异常。
参考文献
1,Aksglaede K, Funch-Jensen P,Vestergaard H, et al. Diagnosis of esophageal motor disorders: a prospective study camparing barium swallow, food barium mixture and continuous swallows and menometry. Gastrointestinal Radiol, 1992,17: 1-4.
2,Ott DJ.Motility disorders of the esophagus.Radiol Clin North Am,1994, 32:1117-1133.
, 百拇医药
3,Ott JD. Esophagus: motility disorders. In: Gore RM, Levine MS, Laufer I, eds . Textbook of gastrointestinal radiology. Philadelphia : Saunders, 1994. 346-359.
4,Grishaw EK, Ott DJ, Frederick MG,et al. Functional abnomalities of the esophagus : a prospective analysis of radiographic findings relative to age and symptoms. AJR, 1996,167:719-723.
5,Fuller L, Huprich JE, Theisen J, et al. Abnomal esophageal body function: radiographic-menometric correlation. Am Surg, 1999,65: 911-914.
, http://www.100md.com
6,柯美云.食管运动生理和运动功能检查方法.见:潘国宗,曹世植,主编.现代胃肠病学.北京: 科学出版社,1994.693-706.
7,尚克中,程英升,吴春根,等.吞咽障碍患者的咽和食管动态造影.世界华人消化杂志,1999,7:52-54.
8,尚克中.食管动力病变及其造影诊断.中华放射学杂志,1996,30:709-712.
9,尚克中.吞咽障碍的咽部动态造影和双对比造影检查.中华放射学杂志, 1996,30:354-357.
10,Mendelson R . 胃肠道.王仪生,王正颜,兰宝森,等,译.见:Peterson H,主编.放射学综合性教科书(中文版).香港:Institute Corporate Information Services, 1995.891-1026.
, http://www.100md.com
11,Einstein DM, Lieberman JM, Paushter DM, et al. Gastrointestinal radiology: current indications and referral patterns . Abdom Imaging, 1993, 18:2-5.
12,尚克中,齐雨根.胃肠道钡剂造影数量下降的趋势与对策.中华放射学杂志, 1997,31:857-858.
13,赵景涛.环咽部运动障碍.见:潘国宗,曹世植,主编.现代胃肠病学.北京:科学出版社,1994.707-710.
14,Baredes S, Shah CS, Kaufman R. The frequency of cricopharyngeal dysfunction on videofluoroscopic swallowing studies in patients with dysphagia. Am J Otolaryngol,1997,18:185-189.
15,Nino Murcia M, Stark P, Triadafilopoalos G. Esophageal wall thickening: a CT finding in diffuse esophageal spasm. J Comput Assist Tomogr, 1997,21:218-221.
(收稿日期:2000-02-14), 百拇医药