用中心线重组新方法处理和显示血管三维图像
作者:何沙 戴汝平
单位:100037 北京,中国医学科学院 中国协和医科大学心血管病研究所 阜外心血管病医院放射科
关键词:血管造影术;体层摄影术,;X线计算机;图像处理,计算机辅助;冠状动脉
中华放射学杂志000917 【摘要】 目的 探讨中心线重组新方法处理和显示血管三维数据的能力。 方法 设计了中心线重组软件。中心线重组是对传统曲面重组方法的扩展,在准确提取血管的树状中心线后,生成贯穿中心线的曲截面,展开得到重组图像,并用电子束CT采集的冠状动脉三维数据来检验这一新方法。 结果 中心线重组严格贯穿血管轴线显示,从而保证反映血管最大径,避免了手工绘制曲线可能画偏引起的假阳性;可显示整个血管树,突破了曲面重组1次显示1支血管的局限;可任意改变观察方向,实时刷新图像;能准确测量血管长度和原数据的体素值。 结论 中心线重组是一种很有价值的血管三维数据处理和显示新技术。
, http://www.100md.com
Medial axis reformation: a new visualization method for vascular volume data
HE Sha, DAI Ruping.
(Cardiovascular Institute and Fuwai Hospital, Chinese Academy of Medical Sciences, Beijing Union Medical College, Beijing 100037,China)
【Abstract】 Objective To demonstrate visulization of three-dimensional(3-D) vascular data in CT angiography using a new method (medial axis reformation). Methods A software dedicated to medial axis reformation had been developed. Medial axis reformation was modified curved planar reformation, which accurately extracted tree-like medial axis of vessels before producing curved section , and therefore the false-positive results due to manually drawed curve had been avoided . The curved section then spreaded to obtain the reformed image. Volume data of coronary arteries from electron-beam CT was used to test our new visulization design. ResultsMedial axis reformation showed the vessel diameter objectively, because it always cut through the axis of the vessel. It could display the whole vessel trees, thus overcame the limitation of “once a vessel” with curved multiplanar reformation. The viewing direction could be altered arbitrarily. The length of vessel and the voxel values of original data could be measured accurately. Conclusion The new visulization design of medial axis reformation is valuable for processing 3-D vascular image in CT angiography.
, 百拇医药
【Key words】 Angiography; Tomography, X-ray computed; Image processing,computer-assisted; Coronary arteries
作为新兴的、无创性的血管成像技术,CT血管造影术(CTA)和磁共振血管造影术(MRA),正在日益受到重视[1,2]。作为CTA和MRA的要素,计算机三维图像处理显示技术主要有最大信号强度投影(maximum intensity projection, MIP)、表面阴影显示(shaded surface display, SSD)、容积再现(volume rendering, VR)、曲面重组(curved multiplanar reformation, CPR)。与前三者相比,曲面重组较少被采用。这是由于曲面重组方法需要操作者手工绘制曲线,难以做到贯穿血管轴心,从而难以客观反映血管径(图1)。曲面重组只能1次显示1支血管,对于分支的血管不能同时显示。然而,重组是把体素重新排列成所需的断面,这类方法具有其他三维重建方法所不具备的简单性、“剖开显示”特点和保持密度信息的能力[2]。如果能先找到血管的中心线,然后生成贯穿它的曲面,就能保证截得血管最大径(图2)。因此,我们对曲面重组进行了改进,发展成中心线重组(medial axis reformation, MAR)。
, 百拇医药
材料与方法
我们自行设计了中心线重组的专用计算机软件,对CT增强扫描所得到的三维数据进行处理和显示。MAR分为2个步骤,即先提取血管的中心线,再从中心线生成曲截面展开。
一、提取血管的中心线
我们的中心线提取算法在重心估算之后进行多尺度求精。这里概述其步骤:
1. 操作者对原图像进行识别,分割出包含血管的兴趣区,从而排除无关的高密度区域。
2. 在兴趣区内定义相邻体素间的距离,使CT值高的体素间有短的距离。然后利用Dijkstra最短通路搜索算法[3],计算兴趣区内每一体素到血管起点的路程,把体素按路程远近划分为K组。
3. 每组体素按CT值加权计算该组的重心,作为关键点。依次连接K个关键点,初步得到中心线。
, 百拇医药
4. 对中心线上的每个关键点及其周围点,计算多尺度的中心响应,作为“中心性”的度量。用中心响应最强的一点代替原来的关键点,对中心线进行求精。多尺度的中心响应函数是由Morse等[4]定义的。
对于树状分支的血管,第2步还要检测组的连通性。当发生分叉,1组体素会分为互不连通的2簇(或更多簇)。原中心线到此结束,同时开始生成2个(或更多个)中心线分支。由连通性发现分叉时重心往往已经落到血管外面了,表现为中心响应很低(一般为负),需要倒退到中心响应升高至合理程度才是正确的分叉点。这样,我们就能准确提取树状分支血管的中心线了。
二、从中心线生成曲截面展开
1支中心线,只要向任意的1个方向平移,它的轨迹就是1个柱面,可以无畸变地展开成平面显示。实际的显示算法是展开的逆过程:给定了一个显示平面,求得每个像素对应的曲面上的空间坐标,继而从周围体素经插值得到它的CT值。此算法递归调用,就可以把树状分支的中心线一支支展开在同一幅图像上,并规定每个像素由距离最近的那支中心线的柱面决定其值。于是,能在1幅图像上展开显示整个血管树。
, http://www.100md.com
为了检验这一新方法,我们在冠状动脉的电子束CT(electron-beam computed tomography, EBCT)造影中实行了中心线重组和其他重建方法。采像设备为Imatron公司的EBCT C-150 XP。采用步进2 mm、层厚3 mm的容积扫描模式,经静脉高压注射非离子型300 mg I/ml对比剂,总量130 ml,速率3.0 ml/s,注射17 s开始采像,在1次屏气下采集50层,心电门控在收缩末期或舒张中期采像。重建圆直径为15 cm,重建核为锐利,矩阵512×512。所有EBCT图像经数字接口传至工作站进行处理。MIP、SSD和CPR在加拿大ISG公司的Allegro工作站上进行,中心线重组用我们自行设计的基于微型计算机的软件进行。
结果
MAR和CPR处理的正常冠状动脉EBCT造影图像分别示于图3、4,1例病变冠状动脉的造影、MAR、CPR图像分别示于图5~7。从中可以看出MAR具有以下特点(图3~12)。
, http://www.100md.com
1.MAR能保证曲截面准确贯穿血管轴线,从而保证反映血管最大径。而CPR靠徒手画曲线,不易掌握,也不能保证客观性,一旦画偏,则造成狭窄伪像。
2.MAR能够1次显示整个血管树,突破了CPR 1次只能显示1支血管的局限。
3.在提取中心线后,MAR可以任意改变生成柱面的方向,实时刷新图像,可以交互式选择最佳方向。Achenbach等[5]指出,使曲面尽量平行于CT采像平面,能生成分辨率较高的图像。但在CPR中,生成曲面的方向是首先确定并不能更改的。
4.MAR将血管展开显示,在结果图像上能够准确测量弯曲血管的长度。而MIP、SSD、VR由于引入了投影,缩短了血管长度。
5.在MAR的结果图像上能准确测量原数据的体素值。
讨论
, 百拇医药
评价一种三维图像处理显示方法,可以考虑提供的信息量、灵活性、客观性、操作者的负担、算法复杂度等几方面。我们把MAR和几种传统方法在这几方面做一下比较。
一、提供的信息量
三维显示提供的信息包括空间信息和密度信息。由于仅仅显示曲截面的展开,CPR和MAR是集中显示密度信息的方法,它们提供的空间信息在各种方法中是最少的。而对密度信息,它们显示的像素值就等于原图像的密度值,这一点没有其他方法能够做到。在体数据中,血管中心线附近的体素往往比远处的体素具有更高诊断价值。MAR贯穿中心线进行显示,就是把诊断价值高的体素优先显示。从这个意义上说,MAR在所有方法中是显示密度信息最佳的。CT和MR由于采像设备的限度,三维数据的血管边界都是模糊的,在小血管成像时给自动判定血管边界和血管径造成很大困难。例如SSD用阈值明确地分割血管边界,小血管显示得不连续(图8),狭窄经常被夸大显示。所以合理的显示是保持原数据的模糊特性,而把判断边界和管径的问题留给医生。VR和MIP能保持数据的模糊特性,但它们在投影过程中都对体素值进行了非线性运算,使血管边界和管径受调控参数的影响很大。而MAR保留了原体素值,使显示的血管边界和管径与原断层图像一致。另外,在分割兴趣区后,MIP会把分割的界面也显示出来,造成对血管边界位置的错误提示(图9)。而MAR的分割只作用于中心线的提取,并不显示出来,不会对血管边界位置造成错误提示(图10)。对于冠状动脉,诊断关心的主要是血管径而非血管结构,所以集中显示密度信息、忽略空间信息的MAR就成为首选处理方法。
, http://www.100md.com
图1 偏离血管中心线的曲面不能保证截得最大径
图2 贯穿血管中心线的曲面能保证截得最大径
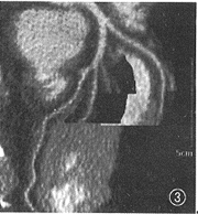
图3 中心线重组不会偏离血管中心,始终反映最大径,而且能显示整个血管树。此例为正常的左冠状动脉
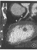
图4 与图3同一数据,曲面重组容易偏离血管中心线,造成酷似狭窄的伪像(箭头)
图5 常规冠状动脉造影显示左主干(箭标)和前降支(箭头)的重度狭窄
, 百拇医药
图6 与图5同一病人行EBCT检查,中心线重组显示左主干(箭标)和前降支(箭头)的重度狭窄
图7 与图6同一EBCT数据,曲面重组显示左主干(箭标)和前降支(箭头)的重度狭窄
图8 表面阴影显示细小血管不连续(箭头)
图9 与图8同一数据,冠状动脉走行于心肌内的一段(箭头),周围组织密度较高,在MIP图像上留下清晰的兴趣区分割界面
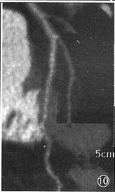
, http://www.100md.com 图10 与图8同一数据,中心线重组图像上不存在分割界面的干扰
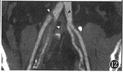
图11 中心线重组用于头臂动脉的CTA,箭头指示右颈总动脉的狭窄
图12 中心线重组用于髂动脉的CTA,此例为主动脉夹层累及髂总动脉,可见左髂总动脉的内膜片(黑箭头),以及右髂总、髂内动脉的内膜片和血栓(白箭头)
二、灵活性、客观性
灵活性与客观性互相制约。方法提供的调控参数越多,则方法本身的变化越灵活,同时处理结果越容易受操作者的主观影响。所有的方法都同样能调节观察方向,这在比较时可不予考虑。VR对体素分类的步骤可以任意改变阻光度曲线的形状,传统CPR的曲线也可以任意画,SSD可调节阈值,MIP可调节窗宽、窗位,这些参数对显示血管径的影响是很显著的。MAR虽然也可调节窗宽、窗位,但它们总是锁定在与原断层图像相同的值上,所以实质上除了观察方向外不再提供任何调控参数。于是,MAR是所有三维图像处理显示方法中最能保证客观性的。换言之,MAR不能普遍灵活使用,它只适用于长条状或树状分支的物体,也就适用于血管的显示。可是当血管过于迂曲回旋(如颅内血管),或者分支繁杂时(如肺动脉),会给显示带来混乱。所以MAR只适用于空间结构简单的血管,如冠状动脉、头臂动脉(图11)、髂动脉(图12)等的CT和MR三维图像显示。
, 百拇医药
三、操作者的负担
血管三维图像一般都存在周围高密度组织的干扰,如静脉、心腔、骨骼等,所以在除CPR以外的各种方法中,操作者的负担都集中在感兴趣区的分割。这一步骤是公共的,划分感兴趣区后,既可以做MAR,又可以做MIP、SSD、VR。MAR的整个处理过程只有分割兴趣区是人工操作,之后的所有步骤都是计算机自动完成的,所以不增加操作者的负担。
四、算法复杂度
算法复杂度决定了计算机的负担。复杂度越低,计算机刷新图像越容易做到实时。VR、MIP、SSD的复杂度较高,没有特殊加速硬件难以达到实时。SSD的加速硬件已经普及,但VR的加速硬件很昂贵。即使依靠特殊硬件能达到实时刷新显示,但调节参数后的重建步骤仍不是实时的。MAR的中心线提取步骤不能实时进行,然而显示步骤即曲截面展开的复杂度很低,这使得MAR的显示对硬件没有特殊要求,在微机上就能达到实时刷新图像,便于调节观察方向。
, 百拇医药
参考文献
1,Galanski M, Prokop M, Chavan A, et al. Renal arterial stenoses: spiral CT angiography. Radiology, 1993, 189: 185-192.
2,Knopp MV, Floemer F, Schoenberg SO, et al. Non-invasive assessment of renal artery stenosis: current concepts and future directions in magnetic resonance angiography. J Comput Assist Tomogr, 1999, 23: S111-S117.
3,鲁士文. 计算机网络原理与网络技术. 北京: 机械工业出版社,1996. 143-145.
, 百拇医药
4,Morse BS, Pizer SM, Liu A. Multiscale medial analysis of medical images. In:Barret WH, Gamiro AF,eds. Information processing in medical imaging: 13th international conference. Berlin: Springer-Verlag, 1993. 112-131.
5,Achenbach S, Moshage W, Ropers D, et al. Curved multiplanar reconstructions for the evaluation of contrast-enhanced electron beam CT of the coronary arteries. AJR, 1998, 170:895-899.
(收稿日期:1999-11-16), 百拇医药
单位:100037 北京,中国医学科学院 中国协和医科大学心血管病研究所 阜外心血管病医院放射科
关键词:血管造影术;体层摄影术,;X线计算机;图像处理,计算机辅助;冠状动脉
中华放射学杂志000917 【摘要】 目的 探讨中心线重组新方法处理和显示血管三维数据的能力。 方法 设计了中心线重组软件。中心线重组是对传统曲面重组方法的扩展,在准确提取血管的树状中心线后,生成贯穿中心线的曲截面,展开得到重组图像,并用电子束CT采集的冠状动脉三维数据来检验这一新方法。 结果 中心线重组严格贯穿血管轴线显示,从而保证反映血管最大径,避免了手工绘制曲线可能画偏引起的假阳性;可显示整个血管树,突破了曲面重组1次显示1支血管的局限;可任意改变观察方向,实时刷新图像;能准确测量血管长度和原数据的体素值。 结论 中心线重组是一种很有价值的血管三维数据处理和显示新技术。
, http://www.100md.com
Medial axis reformation: a new visualization method for vascular volume data
HE Sha, DAI Ruping.
(Cardiovascular Institute and Fuwai Hospital, Chinese Academy of Medical Sciences, Beijing Union Medical College, Beijing 100037,China)
【Abstract】 Objective To demonstrate visulization of three-dimensional(3-D) vascular data in CT angiography using a new method (medial axis reformation). Methods A software dedicated to medial axis reformation had been developed. Medial axis reformation was modified curved planar reformation, which accurately extracted tree-like medial axis of vessels before producing curved section , and therefore the false-positive results due to manually drawed curve had been avoided . The curved section then spreaded to obtain the reformed image. Volume data of coronary arteries from electron-beam CT was used to test our new visulization design. ResultsMedial axis reformation showed the vessel diameter objectively, because it always cut through the axis of the vessel. It could display the whole vessel trees, thus overcame the limitation of “once a vessel” with curved multiplanar reformation. The viewing direction could be altered arbitrarily. The length of vessel and the voxel values of original data could be measured accurately. Conclusion The new visulization design of medial axis reformation is valuable for processing 3-D vascular image in CT angiography.
, 百拇医药
【Key words】 Angiography; Tomography, X-ray computed; Image processing,computer-assisted; Coronary arteries
作为新兴的、无创性的血管成像技术,CT血管造影术(CTA)和磁共振血管造影术(MRA),正在日益受到重视[1,2]。作为CTA和MRA的要素,计算机三维图像处理显示技术主要有最大信号强度投影(maximum intensity projection, MIP)、表面阴影显示(shaded surface display, SSD)、容积再现(volume rendering, VR)、曲面重组(curved multiplanar reformation, CPR)。与前三者相比,曲面重组较少被采用。这是由于曲面重组方法需要操作者手工绘制曲线,难以做到贯穿血管轴心,从而难以客观反映血管径(图1)。曲面重组只能1次显示1支血管,对于分支的血管不能同时显示。然而,重组是把体素重新排列成所需的断面,这类方法具有其他三维重建方法所不具备的简单性、“剖开显示”特点和保持密度信息的能力[2]。如果能先找到血管的中心线,然后生成贯穿它的曲面,就能保证截得血管最大径(图2)。因此,我们对曲面重组进行了改进,发展成中心线重组(medial axis reformation, MAR)。
, 百拇医药
材料与方法
我们自行设计了中心线重组的专用计算机软件,对CT增强扫描所得到的三维数据进行处理和显示。MAR分为2个步骤,即先提取血管的中心线,再从中心线生成曲截面展开。
一、提取血管的中心线
我们的中心线提取算法在重心估算之后进行多尺度求精。这里概述其步骤:
1. 操作者对原图像进行识别,分割出包含血管的兴趣区,从而排除无关的高密度区域。
2. 在兴趣区内定义相邻体素间的距离,使CT值高的体素间有短的距离。然后利用Dijkstra最短通路搜索算法[3],计算兴趣区内每一体素到血管起点的路程,把体素按路程远近划分为K组。
3. 每组体素按CT值加权计算该组的重心,作为关键点。依次连接K个关键点,初步得到中心线。
, 百拇医药
4. 对中心线上的每个关键点及其周围点,计算多尺度的中心响应,作为“中心性”的度量。用中心响应最强的一点代替原来的关键点,对中心线进行求精。多尺度的中心响应函数是由Morse等[4]定义的。
对于树状分支的血管,第2步还要检测组的连通性。当发生分叉,1组体素会分为互不连通的2簇(或更多簇)。原中心线到此结束,同时开始生成2个(或更多个)中心线分支。由连通性发现分叉时重心往往已经落到血管外面了,表现为中心响应很低(一般为负),需要倒退到中心响应升高至合理程度才是正确的分叉点。这样,我们就能准确提取树状分支血管的中心线了。
二、从中心线生成曲截面展开
1支中心线,只要向任意的1个方向平移,它的轨迹就是1个柱面,可以无畸变地展开成平面显示。实际的显示算法是展开的逆过程:给定了一个显示平面,求得每个像素对应的曲面上的空间坐标,继而从周围体素经插值得到它的CT值。此算法递归调用,就可以把树状分支的中心线一支支展开在同一幅图像上,并规定每个像素由距离最近的那支中心线的柱面决定其值。于是,能在1幅图像上展开显示整个血管树。
, http://www.100md.com
为了检验这一新方法,我们在冠状动脉的电子束CT(electron-beam computed tomography, EBCT)造影中实行了中心线重组和其他重建方法。采像设备为Imatron公司的EBCT C-150 XP。采用步进2 mm、层厚3 mm的容积扫描模式,经静脉高压注射非离子型300 mg I/ml对比剂,总量130 ml,速率3.0 ml/s,注射17 s开始采像,在1次屏气下采集50层,心电门控在收缩末期或舒张中期采像。重建圆直径为15 cm,重建核为锐利,矩阵512×512。所有EBCT图像经数字接口传至工作站进行处理。MIP、SSD和CPR在加拿大ISG公司的Allegro工作站上进行,中心线重组用我们自行设计的基于微型计算机的软件进行。
结果
MAR和CPR处理的正常冠状动脉EBCT造影图像分别示于图3、4,1例病变冠状动脉的造影、MAR、CPR图像分别示于图5~7。从中可以看出MAR具有以下特点(图3~12)。
, http://www.100md.com
1.MAR能保证曲截面准确贯穿血管轴线,从而保证反映血管最大径。而CPR靠徒手画曲线,不易掌握,也不能保证客观性,一旦画偏,则造成狭窄伪像。
2.MAR能够1次显示整个血管树,突破了CPR 1次只能显示1支血管的局限。
3.在提取中心线后,MAR可以任意改变生成柱面的方向,实时刷新图像,可以交互式选择最佳方向。Achenbach等[5]指出,使曲面尽量平行于CT采像平面,能生成分辨率较高的图像。但在CPR中,生成曲面的方向是首先确定并不能更改的。
4.MAR将血管展开显示,在结果图像上能够准确测量弯曲血管的长度。而MIP、SSD、VR由于引入了投影,缩短了血管长度。
5.在MAR的结果图像上能准确测量原数据的体素值。
讨论
, 百拇医药
评价一种三维图像处理显示方法,可以考虑提供的信息量、灵活性、客观性、操作者的负担、算法复杂度等几方面。我们把MAR和几种传统方法在这几方面做一下比较。
一、提供的信息量
三维显示提供的信息包括空间信息和密度信息。由于仅仅显示曲截面的展开,CPR和MAR是集中显示密度信息的方法,它们提供的空间信息在各种方法中是最少的。而对密度信息,它们显示的像素值就等于原图像的密度值,这一点没有其他方法能够做到。在体数据中,血管中心线附近的体素往往比远处的体素具有更高诊断价值。MAR贯穿中心线进行显示,就是把诊断价值高的体素优先显示。从这个意义上说,MAR在所有方法中是显示密度信息最佳的。CT和MR由于采像设备的限度,三维数据的血管边界都是模糊的,在小血管成像时给自动判定血管边界和血管径造成很大困难。例如SSD用阈值明确地分割血管边界,小血管显示得不连续(图8),狭窄经常被夸大显示。所以合理的显示是保持原数据的模糊特性,而把判断边界和管径的问题留给医生。VR和MIP能保持数据的模糊特性,但它们在投影过程中都对体素值进行了非线性运算,使血管边界和管径受调控参数的影响很大。而MAR保留了原体素值,使显示的血管边界和管径与原断层图像一致。另外,在分割兴趣区后,MIP会把分割的界面也显示出来,造成对血管边界位置的错误提示(图9)。而MAR的分割只作用于中心线的提取,并不显示出来,不会对血管边界位置造成错误提示(图10)。对于冠状动脉,诊断关心的主要是血管径而非血管结构,所以集中显示密度信息、忽略空间信息的MAR就成为首选处理方法。
, http://www.100md.com
图1 偏离血管中心线的曲面不能保证截得最大径
图2 贯穿血管中心线的曲面能保证截得最大径
图3 中心线重组不会偏离血管中心,始终反映最大径,而且能显示整个血管树。此例为正常的左冠状动脉
图4 与图3同一数据,曲面重组容易偏离血管中心线,造成酷似狭窄的伪像(箭头)
图5 常规冠状动脉造影显示左主干(箭标)和前降支(箭头)的重度狭窄
, 百拇医药
图6 与图5同一病人行EBCT检查,中心线重组显示左主干(箭标)和前降支(箭头)的重度狭窄
图7 与图6同一EBCT数据,曲面重组显示左主干(箭标)和前降支(箭头)的重度狭窄
图8 表面阴影显示细小血管不连续(箭头)
图9 与图8同一数据,冠状动脉走行于心肌内的一段(箭头),周围组织密度较高,在MIP图像上留下清晰的兴趣区分割界面
, http://www.100md.com 图10 与图8同一数据,中心线重组图像上不存在分割界面的干扰
图11 中心线重组用于头臂动脉的CTA,箭头指示右颈总动脉的狭窄
图12 中心线重组用于髂动脉的CTA,此例为主动脉夹层累及髂总动脉,可见左髂总动脉的内膜片(黑箭头),以及右髂总、髂内动脉的内膜片和血栓(白箭头)
二、灵活性、客观性
灵活性与客观性互相制约。方法提供的调控参数越多,则方法本身的变化越灵活,同时处理结果越容易受操作者的主观影响。所有的方法都同样能调节观察方向,这在比较时可不予考虑。VR对体素分类的步骤可以任意改变阻光度曲线的形状,传统CPR的曲线也可以任意画,SSD可调节阈值,MIP可调节窗宽、窗位,这些参数对显示血管径的影响是很显著的。MAR虽然也可调节窗宽、窗位,但它们总是锁定在与原断层图像相同的值上,所以实质上除了观察方向外不再提供任何调控参数。于是,MAR是所有三维图像处理显示方法中最能保证客观性的。换言之,MAR不能普遍灵活使用,它只适用于长条状或树状分支的物体,也就适用于血管的显示。可是当血管过于迂曲回旋(如颅内血管),或者分支繁杂时(如肺动脉),会给显示带来混乱。所以MAR只适用于空间结构简单的血管,如冠状动脉、头臂动脉(图11)、髂动脉(图12)等的CT和MR三维图像显示。
, 百拇医药
三、操作者的负担
血管三维图像一般都存在周围高密度组织的干扰,如静脉、心腔、骨骼等,所以在除CPR以外的各种方法中,操作者的负担都集中在感兴趣区的分割。这一步骤是公共的,划分感兴趣区后,既可以做MAR,又可以做MIP、SSD、VR。MAR的整个处理过程只有分割兴趣区是人工操作,之后的所有步骤都是计算机自动完成的,所以不增加操作者的负担。
四、算法复杂度
算法复杂度决定了计算机的负担。复杂度越低,计算机刷新图像越容易做到实时。VR、MIP、SSD的复杂度较高,没有特殊加速硬件难以达到实时。SSD的加速硬件已经普及,但VR的加速硬件很昂贵。即使依靠特殊硬件能达到实时刷新显示,但调节参数后的重建步骤仍不是实时的。MAR的中心线提取步骤不能实时进行,然而显示步骤即曲截面展开的复杂度很低,这使得MAR的显示对硬件没有特殊要求,在微机上就能达到实时刷新图像,便于调节观察方向。
, 百拇医药
参考文献
1,Galanski M, Prokop M, Chavan A, et al. Renal arterial stenoses: spiral CT angiography. Radiology, 1993, 189: 185-192.
2,Knopp MV, Floemer F, Schoenberg SO, et al. Non-invasive assessment of renal artery stenosis: current concepts and future directions in magnetic resonance angiography. J Comput Assist Tomogr, 1999, 23: S111-S117.
3,鲁士文. 计算机网络原理与网络技术. 北京: 机械工业出版社,1996. 143-145.
, 百拇医药
4,Morse BS, Pizer SM, Liu A. Multiscale medial analysis of medical images. In:Barret WH, Gamiro AF,eds. Information processing in medical imaging: 13th international conference. Berlin: Springer-Verlag, 1993. 112-131.
5,Achenbach S, Moshage W, Ropers D, et al. Curved multiplanar reconstructions for the evaluation of contrast-enhanced electron beam CT of the coronary arteries. AJR, 1998, 170:895-899.
(收稿日期:1999-11-16), 百拇医药