头颈部腺样囊性癌的CT影像分析
作者:顾雅佳 王玖华 王弘士 陈彤箴
单位:顾雅佳(200032 上海,复旦大学医学院附属肿瘤医院放射诊断科);王玖华(200032 上海,复旦大学医学院附属肿瘤医院放射诊断科);王弘士(复旦大学医学院附属肿瘤医院外科);陈彤箴(复旦大学医学院附属肿瘤医院病理科)
关键词:腺样囊性癌;头颈部肿瘤;体层摄影术,X线计算机
中华放射学杂志000907 【摘要】 目的 评价头颈部腺样囊性癌(ACC)的CT表现。方法 回顾性分析头颈部ACC 33例,其中22例手术、11例为病理穿刺活检证实并行放射治疗。结合临床及病理,观察CT表现。结果 肿瘤来源:腮腺、口底、鼻腔鼻咽各5例;舌4例;腭、气管各3例;颌下腺、扁桃体、上颌窦及颊部各2例。CT表现:(1)筛样改变21例,部分筛样改变5例。(2)肿瘤形态不规则呈无定形生长17例,边缘不清晰20例。(3)肿瘤常沿神经生长并侵犯神经,表现为颅底骨质破坏5例,咀嚼肌群萎缩3例以及面肌和(或)颊肌萎缩3例。结论 (1)头颈部ACC的CT影像有以下特征:低密度筛样改变;浸润性生长;沿神经生长并侵犯神经;黏膜下生长。其中又以筛样改变为最重要征象,CT凭此可以作出ACC的组织学诊断。(2)CT往往对肿瘤范围估计不足。(3)MRI能够显示肿瘤沿神经生长的情况。
, http://www.100md.com
The CT evaluation of cephalic and cervical adenoid cystic carcinoma
GU Yajia, WANG Jiuhua, WANG Hongshi, et al.
(Department of Radiology, the Affiliated Cancer Hospital of Shanghai Medical University, Shanghai 200032, China)
【Abstract】 Objective To evaluate the CT manifestations of cephalic and cervical adenoid cystic carcinoma (ACC). Methods Thirty-three cases of ACC were analyzed retrospectively. Of all cases, 22 cases underwent operation and 11 cases received radiotherapy. The manifestations of CT were evaluated and compared with the clinical and pathologic results. Results Tumors originated from parotid gland (5 cases), floor of mouth (5 cases), nasal cavity and nasopharynx (5 cases), tongue (4 cases), palate (3 cases), tracheas (3 cases), submandibular gland (2 cases), tonsilla (2 cases), maxillary sinus (2 cases), and cheek (2 cases), respectively. The CT manifestations included: (1)ethmoid density in 21 cases, partial ethmoid density in 5 cases. (2)the morphology of ACC was irregular and the growth of the tumor was amorphous in 17 cases, and the margin of the tumor was vague in 20 cases. (3)ACC often grew along the nerve with infiltration, which caused destruction of the skull base in 5 cases and atrophy of mastication muscles and/or buccinator in 3 cases. Conclusion (1)The characteristics of cephalic and cervical adenoid cystic carcinoma on CT scans were ethmoid density, infiltrated growth, growing along the nerve with infiltration, and submucous growth. Among them, the most important manifestation, which could lead to the histologic diagnosis on CT, was ethmoid density. (2)The range of ACC was usually underestimated on CT. (3)The manifestation of tumor growth along the nerve could be apparently displayed on MRI.
, 百拇医药
【Key words】 Cystadenocarcinomas;Head and neck neoplasms;Tomography, X-ray computed
腺样囊性癌(adenoid cystic carcinoma , ACC)最常发生在涎腺组织,是常见的涎腺肿瘤之一,发病率居涎腺癌的第2位,是小涎腺最常见的恶性肿瘤[1-3]。
本研究旨在通过回顾性分析ACC的CT影像表现,并结合临床,对照手术及病理所见,就以下几点进行初步分析:(1)ACC的CT影像特征;(2)根据直接、间接影像表现提出肿瘤可能浸润的范围,为临床治疗提供参考;(3)对照观察CT影像与病理分型的相关性。
材料与方法
本院1988年8月至1999年6月近11年中经病理证实的ACC 106例,其中头颈部ACC 100例。笔者分析治疗前有完整CT资料的头颈部ACC 33例(25例为原发肿瘤,8例为1次或多次局部复发肿瘤),其中手术治疗22例,余11例经病理穿刺活检证实后行放射治疗(放疗)。男17例,女16例。年龄29~85岁,中位年龄52岁。临床症状常为肿块伴局部疼痛或麻木感,腮腺处肿瘤常伴有面瘫,自出现症状至就诊间隔时间为15 d至7年,中位时间14个月。
, 百拇医药
采用美国GE 9800 CT扫描机及GE CT/i扫描机,层间隔、层厚5 mm或10 mm。所有病例均行增强扫描,增强方式是从静脉内以2 ml/s的速度注入80 ml进口非离子型对比剂优维显或欧乃派克,注入对比剂后35 s开始扫描。1例行MRI检查。
观察CT影像表现,并根据1991年WHO组织学分型[4],将CT表现与病理组织切片进行对照。
结果
1.肿瘤分布情况:腮腺、口底及鼻腔鼻咽肿瘤各5例,舌4例,腭及气管各3例,颌下腺、扁桃体、上颌窦及颊部各2例。
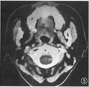
2.肿瘤CT表现:(1) 大小为1.5 cm×1.0 cm~6.7 cm×6.5 cm;(2) 密度为较密集的小囊状低密度改变组成的筛样结构21例(图1),均匀密度7例,部分筛样、部分均匀密度5例;(3) 形态无定形20例(图2),类圆形11例,长条形与多结节形各1例;(4) 边缘不清晰20例,清晰13例,是由于周围正常脂肪组织环绕对比所引起;(5) 特殊改变:发生在气管的3例中,均表现为肿瘤绕气管腔后壁及两侧壁生长,以后部为主,管腔受压变形,但气管黏膜面仍保持光整(手术证实),甲状腺向两侧推移并均有累及(图3)。腮腺5例,同侧面肌和(或)颊肌呈萎缩改变者3例。发生在腭、鼻腔鼻咽、上颌窦等处肿瘤易侵犯翼腭窝向颅内浸润且合并颅底骨质破坏(5/10),其中侵犯中颅窝卵圆孔3例,表现为卵圆孔扩大或局部骨质破坏,同侧翼肌及咬肌萎缩(图4,5)。本组仅1例作MRI检查,发现肿瘤沿神经侵犯,表现为神经增粗(图6),此改变在CT上无法表现。
, 百拇医药
3.手术病例病理情况:神经浸润11例(图7),横纹肌累及15例,脉管侵犯4例。病理分型为管状型2例、筛状型17例、筛管状型1例、实质型2例,病理分型与CT分型无明确对应关系。
讨论
ACC最常发生在涎腺组织,极少数可来源于其他腺组织,如乳腺[1]、前庭大腺、子宫、结肠。小涎腺ACC主要分布在腭、舌、鼻、口咽、鼻咽、鼻窦、喉、气管及泪腺;大涎腺ACC又以腮腺常见,其次为颌下腺,舌下腺少见。ACC的复发病变与原发灶常有相似的CT表现。
图1 舌体ACC,比较密集的小囊状低密度改变组成筛样结构
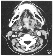
图2 口底ACC,形态不规则呈无定形,见隙就钻
, 百拇医药
图3 气管ACC,后部为主,绕两侧生长,气管腔形态不规则,黏膜面光整,肿瘤呈筛样改变,将甲状腺向两侧推移并累及之
图4 右侧卵圆孔扩大
图5 与图4同一病例,右侧翼肌及咬肌萎缩
图6 MRI T2WI示左侧长条形肿瘤位于下颌舌骨肌与舌骨舌肌之间,与舌神经走向一致
图7 病理示肿瘤包绕神经并浸润之
, 百拇医药
(HE ×40)
1.低密度筛样改变:ACC在增强扫描时密度不均匀,呈筛样改变,本组33例中完全或部分呈此种改变的占26例(79%)。病理显示ACC不管其为何种病理分型,肿瘤细胞都成堆分布,其间夹杂不同比例的基质,这就是CT上筛样改变的病理基础,这种影像改变特征性强,可据此作出组织学诊断。
2.浸润性生长: 肿瘤大部分形态极不规则呈无定形,有见隙就“钻”的特点(图2),并浸润周围组织,因此边界常不清晰,可伴骨质浸润破坏[5]。如肿瘤比较小,局限于大涎腺内,则不表现此种特点;如生长在舌上的肿瘤,虽有浸润性生长,但因与周围肌肉对比较差,故CT上表现不甚明显,肿瘤常呈类圆形。不管影像上肿瘤形态如何不同,在病理上肿瘤均表现为浸润性生长,侵犯局部横纹肌或脉管,因此临床决定手术范围常感困难。文献报道,ACC易在首次治疗后的10~20年复发,一些作者认为无论这些病人有多长的无瘤期,最终将死于ACC[2,3]。
, 百拇医药
3.沿神经生长并侵犯神经:肿瘤容易沿着神经生长,可延伸至距主要瘤块相当长的距离,此改变CT表现有时不明确,而MRI则可比较清楚地反映此特点,表现为神经顺行或逆行增粗[6]。此种改变很少见于其他肿瘤,特征性强。如果肿瘤沿颅神经逆行生长,就易侵犯到颅内,并侵犯该神经(图7),引起神经症状(疼痛、麻木感)或相应神经支配的肌肉萎缩,从而间接显示神经受侵的改变,肿瘤侵犯颅神经提示预后不良[2]。
4.黏膜下生长:小涎腺通常分布于头颈部的黏膜下,肿瘤容易向深部组织浸润而很少穿破黏膜,也为特点之一(图1),如发生在舌、腭部、口底、颊等部位的ACC与发生在此处较常见的鳞状细胞癌不同,后者局部黏膜常被破坏,以此也可作为鉴别。
5.气管ACC的特殊表现:33例ACC中,以发生在气管的表现最具特征,肿瘤绕着气管向腔外深部生长,后部为主,管腔受压变形而黏膜保持光整不受侵犯,并呈典型的低密度筛样改变,将甲状腺两叶向两侧推移且累及之。局部因为结构较多,常需与发生在甲状腺、食管的肿瘤,甚至气管食管沟淋巴结作出鉴别。要点如下:(1)ACC容易侵犯甲状腺,影像上以推移甲状腺向两侧为主,并侵犯甲状腺的内侧(贴近气管处),表现为甲状腺与气管间的距离增宽。而不同于甲状腺本身的恶性肿瘤,甲状腺癌一般发生在单侧,肿瘤中心较气管ACC更偏外,常伴有颈淋巴结转移[7]。(2)气管食管沟淋巴结肿大,尤其在右侧常引起气管受压变形,黏膜面光整,与气管ACC有类似之处,但气管食管沟淋巴结从不绕气管生长,也无ACC典型的筛样低密度改变[8]。(3)食管开口处癌位于气管后方,为局限性软组织块影,密度均匀,无筛样结构。(4)起源于气管的其他肿瘤如腺瘤或类癌,常表现为突向腔内的占位。因此,就气管ACC而言,因其形态特殊,CT足以作出定位、定性诊断。
, 百拇医药
6.分型根据1991年WHO组织学分型[4],ACC分3型:管状型、筛状型及实质型。文献报道病理分型与预后有明显相关性,实质型的预后较差。但病理上的筛状型不等于CT影像上的筛样改变,CT上的筛样改变与肿瘤细胞堆大小及其间夹杂基质的比例多少有关,而与病理分型无关。所以,笔者认为CT表现不能反映病理分型。
总之,头颈部肿瘤如呈筛样改变,或绕气管腔生长伴筛样改变,且气管黏膜面光整,则可以作出ACC的组织学诊断。头颈部肿瘤不伴有筛样改变,但形态不规则呈浸润性无定形生长表现,或伴有受侵部位分布的神经症状(如疼痛、麻木感),或相应神经支配的肌肉萎缩,要考虑为ACC。 小涎腺所在处肿瘤如以向深部浸润生长为主而黏膜面保持光整者,要高度怀疑ACC。由于ACC有浸润性生长以及沿神经生长的特点,CT往往对肿瘤范围估计不足,MRI对显示肿瘤沿神经生长的情况有一定帮助。
参考文献
1,Tsuboi N, Ogawa YO, Inomate T, et al. Dynamic MR appearance of adenoid cystic carcinoma of the breast in a 67-year-old female. Radiat Med,1998,16:225-228.
, 百拇医药
2,Garden AS, Weber RS, Morrison WH, et al. The influence of positive margins and nerve invasion in adenoid cystic carcinoma of the head and neck treated with surgery and radiation. Int J Radiat Oncol Biol Phys, 1995,32:619-626.
3,Som PM, Bergeron RT, eds. Head and neck imaging. 2nd ed. St Louis: Mosby, 1991.181-183, 335-336, 450-451, 810, 1026, 1096.
4,俞光岩.涎腺上皮性肿瘤. 见:俞光岩,主编. 涎腺疾病.北京: 北京医科大学中国协和医科大学联合出版社,1994.163-170.
, 百拇医药
5,李根柱, 石木兰. 鼻腔和鼻窦腺样囊腺癌的CT诊断. 中华放射学杂志, 1998,32:165-168.
6,Sigal R, Monnet O, de Baere T, et al. Adenoid cystic carcinoma of the head and neck: evaluation with MR imaging and clinical-pathologic correlation in 27 patients. Radiology, 1992,184:95-101.
7,Nan DG, Han MH, Kim KH, et al. Primary adenoid cystic carcinoma of the cervical trachea mimicking thyroid tumor:CT evaluation. J Comput Assisted Tomogr, 1995,19:559-563.
8,顾雅佳, 王玖华, 杨天锡, 等. 食管癌气管食管沟淋巴结转移. 中华放射学杂志, 1998,32:684-686.
(收稿日期:1999-11-19), 百拇医药
单位:顾雅佳(200032 上海,复旦大学医学院附属肿瘤医院放射诊断科);王玖华(200032 上海,复旦大学医学院附属肿瘤医院放射诊断科);王弘士(复旦大学医学院附属肿瘤医院外科);陈彤箴(复旦大学医学院附属肿瘤医院病理科)
关键词:腺样囊性癌;头颈部肿瘤;体层摄影术,X线计算机
中华放射学杂志000907 【摘要】 目的 评价头颈部腺样囊性癌(ACC)的CT表现。方法 回顾性分析头颈部ACC 33例,其中22例手术、11例为病理穿刺活检证实并行放射治疗。结合临床及病理,观察CT表现。结果 肿瘤来源:腮腺、口底、鼻腔鼻咽各5例;舌4例;腭、气管各3例;颌下腺、扁桃体、上颌窦及颊部各2例。CT表现:(1)筛样改变21例,部分筛样改变5例。(2)肿瘤形态不规则呈无定形生长17例,边缘不清晰20例。(3)肿瘤常沿神经生长并侵犯神经,表现为颅底骨质破坏5例,咀嚼肌群萎缩3例以及面肌和(或)颊肌萎缩3例。结论 (1)头颈部ACC的CT影像有以下特征:低密度筛样改变;浸润性生长;沿神经生长并侵犯神经;黏膜下生长。其中又以筛样改变为最重要征象,CT凭此可以作出ACC的组织学诊断。(2)CT往往对肿瘤范围估计不足。(3)MRI能够显示肿瘤沿神经生长的情况。
, http://www.100md.com
The CT evaluation of cephalic and cervical adenoid cystic carcinoma
GU Yajia, WANG Jiuhua, WANG Hongshi, et al.
(Department of Radiology, the Affiliated Cancer Hospital of Shanghai Medical University, Shanghai 200032, China)
【Abstract】 Objective To evaluate the CT manifestations of cephalic and cervical adenoid cystic carcinoma (ACC). Methods Thirty-three cases of ACC were analyzed retrospectively. Of all cases, 22 cases underwent operation and 11 cases received radiotherapy. The manifestations of CT were evaluated and compared with the clinical and pathologic results. Results Tumors originated from parotid gland (5 cases), floor of mouth (5 cases), nasal cavity and nasopharynx (5 cases), tongue (4 cases), palate (3 cases), tracheas (3 cases), submandibular gland (2 cases), tonsilla (2 cases), maxillary sinus (2 cases), and cheek (2 cases), respectively. The CT manifestations included: (1)ethmoid density in 21 cases, partial ethmoid density in 5 cases. (2)the morphology of ACC was irregular and the growth of the tumor was amorphous in 17 cases, and the margin of the tumor was vague in 20 cases. (3)ACC often grew along the nerve with infiltration, which caused destruction of the skull base in 5 cases and atrophy of mastication muscles and/or buccinator in 3 cases. Conclusion (1)The characteristics of cephalic and cervical adenoid cystic carcinoma on CT scans were ethmoid density, infiltrated growth, growing along the nerve with infiltration, and submucous growth. Among them, the most important manifestation, which could lead to the histologic diagnosis on CT, was ethmoid density. (2)The range of ACC was usually underestimated on CT. (3)The manifestation of tumor growth along the nerve could be apparently displayed on MRI.
, 百拇医药
【Key words】 Cystadenocarcinomas;Head and neck neoplasms;Tomography, X-ray computed
腺样囊性癌(adenoid cystic carcinoma , ACC)最常发生在涎腺组织,是常见的涎腺肿瘤之一,发病率居涎腺癌的第2位,是小涎腺最常见的恶性肿瘤[1-3]。
本研究旨在通过回顾性分析ACC的CT影像表现,并结合临床,对照手术及病理所见,就以下几点进行初步分析:(1)ACC的CT影像特征;(2)根据直接、间接影像表现提出肿瘤可能浸润的范围,为临床治疗提供参考;(3)对照观察CT影像与病理分型的相关性。
材料与方法
本院1988年8月至1999年6月近11年中经病理证实的ACC 106例,其中头颈部ACC 100例。笔者分析治疗前有完整CT资料的头颈部ACC 33例(25例为原发肿瘤,8例为1次或多次局部复发肿瘤),其中手术治疗22例,余11例经病理穿刺活检证实后行放射治疗(放疗)。男17例,女16例。年龄29~85岁,中位年龄52岁。临床症状常为肿块伴局部疼痛或麻木感,腮腺处肿瘤常伴有面瘫,自出现症状至就诊间隔时间为15 d至7年,中位时间14个月。
, 百拇医药
采用美国GE 9800 CT扫描机及GE CT/i扫描机,层间隔、层厚5 mm或10 mm。所有病例均行增强扫描,增强方式是从静脉内以2 ml/s的速度注入80 ml进口非离子型对比剂优维显或欧乃派克,注入对比剂后35 s开始扫描。1例行MRI检查。
观察CT影像表现,并根据1991年WHO组织学分型[4],将CT表现与病理组织切片进行对照。
结果
1.肿瘤分布情况:腮腺、口底及鼻腔鼻咽肿瘤各5例,舌4例,腭及气管各3例,颌下腺、扁桃体、上颌窦及颊部各2例。
2.肿瘤CT表现:(1) 大小为1.5 cm×1.0 cm~6.7 cm×6.5 cm;(2) 密度为较密集的小囊状低密度改变组成的筛样结构21例(图1),均匀密度7例,部分筛样、部分均匀密度5例;(3) 形态无定形20例(图2),类圆形11例,长条形与多结节形各1例;(4) 边缘不清晰20例,清晰13例,是由于周围正常脂肪组织环绕对比所引起;(5) 特殊改变:发生在气管的3例中,均表现为肿瘤绕气管腔后壁及两侧壁生长,以后部为主,管腔受压变形,但气管黏膜面仍保持光整(手术证实),甲状腺向两侧推移并均有累及(图3)。腮腺5例,同侧面肌和(或)颊肌呈萎缩改变者3例。发生在腭、鼻腔鼻咽、上颌窦等处肿瘤易侵犯翼腭窝向颅内浸润且合并颅底骨质破坏(5/10),其中侵犯中颅窝卵圆孔3例,表现为卵圆孔扩大或局部骨质破坏,同侧翼肌及咬肌萎缩(图4,5)。本组仅1例作MRI检查,发现肿瘤沿神经侵犯,表现为神经增粗(图6),此改变在CT上无法表现。
, 百拇医药
3.手术病例病理情况:神经浸润11例(图7),横纹肌累及15例,脉管侵犯4例。病理分型为管状型2例、筛状型17例、筛管状型1例、实质型2例,病理分型与CT分型无明确对应关系。
讨论
ACC最常发生在涎腺组织,极少数可来源于其他腺组织,如乳腺[1]、前庭大腺、子宫、结肠。小涎腺ACC主要分布在腭、舌、鼻、口咽、鼻咽、鼻窦、喉、气管及泪腺;大涎腺ACC又以腮腺常见,其次为颌下腺,舌下腺少见。ACC的复发病变与原发灶常有相似的CT表现。
图1 舌体ACC,比较密集的小囊状低密度改变组成筛样结构
图2 口底ACC,形态不规则呈无定形,见隙就钻
, 百拇医药
图3 气管ACC,后部为主,绕两侧生长,气管腔形态不规则,黏膜面光整,肿瘤呈筛样改变,将甲状腺向两侧推移并累及之
图4 右侧卵圆孔扩大
图5 与图4同一病例,右侧翼肌及咬肌萎缩
图6 MRI T2WI示左侧长条形肿瘤位于下颌舌骨肌与舌骨舌肌之间,与舌神经走向一致
图7 病理示肿瘤包绕神经并浸润之
, 百拇医药
(HE ×40)
1.低密度筛样改变:ACC在增强扫描时密度不均匀,呈筛样改变,本组33例中完全或部分呈此种改变的占26例(79%)。病理显示ACC不管其为何种病理分型,肿瘤细胞都成堆分布,其间夹杂不同比例的基质,这就是CT上筛样改变的病理基础,这种影像改变特征性强,可据此作出组织学诊断。
2.浸润性生长: 肿瘤大部分形态极不规则呈无定形,有见隙就“钻”的特点(图2),并浸润周围组织,因此边界常不清晰,可伴骨质浸润破坏[5]。如肿瘤比较小,局限于大涎腺内,则不表现此种特点;如生长在舌上的肿瘤,虽有浸润性生长,但因与周围肌肉对比较差,故CT上表现不甚明显,肿瘤常呈类圆形。不管影像上肿瘤形态如何不同,在病理上肿瘤均表现为浸润性生长,侵犯局部横纹肌或脉管,因此临床决定手术范围常感困难。文献报道,ACC易在首次治疗后的10~20年复发,一些作者认为无论这些病人有多长的无瘤期,最终将死于ACC[2,3]。
, 百拇医药
3.沿神经生长并侵犯神经:肿瘤容易沿着神经生长,可延伸至距主要瘤块相当长的距离,此改变CT表现有时不明确,而MRI则可比较清楚地反映此特点,表现为神经顺行或逆行增粗[6]。此种改变很少见于其他肿瘤,特征性强。如果肿瘤沿颅神经逆行生长,就易侵犯到颅内,并侵犯该神经(图7),引起神经症状(疼痛、麻木感)或相应神经支配的肌肉萎缩,从而间接显示神经受侵的改变,肿瘤侵犯颅神经提示预后不良[2]。
4.黏膜下生长:小涎腺通常分布于头颈部的黏膜下,肿瘤容易向深部组织浸润而很少穿破黏膜,也为特点之一(图1),如发生在舌、腭部、口底、颊等部位的ACC与发生在此处较常见的鳞状细胞癌不同,后者局部黏膜常被破坏,以此也可作为鉴别。
5.气管ACC的特殊表现:33例ACC中,以发生在气管的表现最具特征,肿瘤绕着气管向腔外深部生长,后部为主,管腔受压变形而黏膜保持光整不受侵犯,并呈典型的低密度筛样改变,将甲状腺两叶向两侧推移且累及之。局部因为结构较多,常需与发生在甲状腺、食管的肿瘤,甚至气管食管沟淋巴结作出鉴别。要点如下:(1)ACC容易侵犯甲状腺,影像上以推移甲状腺向两侧为主,并侵犯甲状腺的内侧(贴近气管处),表现为甲状腺与气管间的距离增宽。而不同于甲状腺本身的恶性肿瘤,甲状腺癌一般发生在单侧,肿瘤中心较气管ACC更偏外,常伴有颈淋巴结转移[7]。(2)气管食管沟淋巴结肿大,尤其在右侧常引起气管受压变形,黏膜面光整,与气管ACC有类似之处,但气管食管沟淋巴结从不绕气管生长,也无ACC典型的筛样低密度改变[8]。(3)食管开口处癌位于气管后方,为局限性软组织块影,密度均匀,无筛样结构。(4)起源于气管的其他肿瘤如腺瘤或类癌,常表现为突向腔内的占位。因此,就气管ACC而言,因其形态特殊,CT足以作出定位、定性诊断。
, 百拇医药
6.分型根据1991年WHO组织学分型[4],ACC分3型:管状型、筛状型及实质型。文献报道病理分型与预后有明显相关性,实质型的预后较差。但病理上的筛状型不等于CT影像上的筛样改变,CT上的筛样改变与肿瘤细胞堆大小及其间夹杂基质的比例多少有关,而与病理分型无关。所以,笔者认为CT表现不能反映病理分型。
总之,头颈部肿瘤如呈筛样改变,或绕气管腔生长伴筛样改变,且气管黏膜面光整,则可以作出ACC的组织学诊断。头颈部肿瘤不伴有筛样改变,但形态不规则呈浸润性无定形生长表现,或伴有受侵部位分布的神经症状(如疼痛、麻木感),或相应神经支配的肌肉萎缩,要考虑为ACC。 小涎腺所在处肿瘤如以向深部浸润生长为主而黏膜面保持光整者,要高度怀疑ACC。由于ACC有浸润性生长以及沿神经生长的特点,CT往往对肿瘤范围估计不足,MRI对显示肿瘤沿神经生长的情况有一定帮助。
参考文献
1,Tsuboi N, Ogawa YO, Inomate T, et al. Dynamic MR appearance of adenoid cystic carcinoma of the breast in a 67-year-old female. Radiat Med,1998,16:225-228.
, 百拇医药
2,Garden AS, Weber RS, Morrison WH, et al. The influence of positive margins and nerve invasion in adenoid cystic carcinoma of the head and neck treated with surgery and radiation. Int J Radiat Oncol Biol Phys, 1995,32:619-626.
3,Som PM, Bergeron RT, eds. Head and neck imaging. 2nd ed. St Louis: Mosby, 1991.181-183, 335-336, 450-451, 810, 1026, 1096.
4,俞光岩.涎腺上皮性肿瘤. 见:俞光岩,主编. 涎腺疾病.北京: 北京医科大学中国协和医科大学联合出版社,1994.163-170.
, 百拇医药
5,李根柱, 石木兰. 鼻腔和鼻窦腺样囊腺癌的CT诊断. 中华放射学杂志, 1998,32:165-168.
6,Sigal R, Monnet O, de Baere T, et al. Adenoid cystic carcinoma of the head and neck: evaluation with MR imaging and clinical-pathologic correlation in 27 patients. Radiology, 1992,184:95-101.
7,Nan DG, Han MH, Kim KH, et al. Primary adenoid cystic carcinoma of the cervical trachea mimicking thyroid tumor:CT evaluation. J Comput Assisted Tomogr, 1995,19:559-563.
8,顾雅佳, 王玖华, 杨天锡, 等. 食管癌气管食管沟淋巴结转移. 中华放射学杂志, 1998,32:684-686.
(收稿日期:1999-11-19), 百拇医药