颅内巨大蛇形动脉瘤的影像学特征及血管内治疗(附四例报告并文献复习)
作者:王安顺 凌锋 王大明 张鸿祺 马大海 缪中荣 宋庆斌 李晓光 郝蔓春
单位:王安顺(大连市第二人民医院神经外科 116011);凌锋 王大明 张鸿祺 马大海 缪中荣 宋庆斌 李晓光 郝蔓春(100730 卫生部北京医院介入神经放射学研究中心)
关键词:脑动脉瘤;诊断显像;栓塞,治疗性
中华放射学杂志000915 【摘要】 目的 描述颅内巨大蛇形动脉瘤(giant serpentine aneurysm, GSA) CT、MRI和 DSA的典型特征,讨论血管内治疗方法的有效性。方法 回顾性研究过去2年中收治的4例GSA, 4例行DSA和CT检查,1例行MRI和MRA检查,2例接受载瘤动脉可脱球囊栓塞和栓塞前颅内-颅外动脉搭桥,结合文献进行讨论。结果 4例GSA临床表现为颅内高压、出血和占位效应。CT显示规则、不规则的球形或梨形巨大不均质高密度占位,可见周边蛋壳样钙化、占位效应、周围脑组织水肿,增强扫描显示瘤壁略强化,相对低密度区均一强化,呈靶征。MRI显示梨形或分叶状占位,内含不同时期的血栓、流空信号,周围脑组织水肿。MRA显示蛇形血管通道。DSA显示蛇形血管通道、流入口、流出口、正常远端动脉。2例血管内治疗辅以颅内-颅外搭桥,随访12~26个月,症状体征完全消失。结论 GSA具有特有的CT、MRI和DSA表现特征,构成颅内动脉瘤的亚型,预后差,必须积极治疗。血管内治疗结合颅外-颅内动脉搭桥手术是安全有效的治疗措施。
, 百拇医药
Radiographic features and endovascular treatment of giant serpentine aneurysms (report of 4 cases)
WANG Anshun
(Research Center of Interventional Neuroradiology, Beijing Hospital, Beijing 100730, China)(Now in Department of Neurosurgery, the Second Hospital of Dalian, Dalian 116011, China)
LING Feng, WANG Daming, et al.
【Abstract】 Objective To describe the typical CT, MRI and DSA features of intracranial giant serpentine aneurysm (GSA) and discuss the efficacy of it′s the endovascular treatment. Methods Retrograde study of 4 cases of GSA admitted and treated at the center of the present study over the last 2 years was conducted. The literature before June 1988 was reviewed. Results The findings of CT and MRI scans of GSA resembled those of intracranial neoplasms. Cerebral angiography remained the golden diagnostic criteria for GSA. Two of cases in the present study were treated with detachable balloon occlusion of the parent artery and pre-occlusion EC-IC bypass because of insufficient cross-filling through the Willis circle found on the cross-filling symmetry test. The symptoms and signs of the two patients disappeared on 1-2 year follow-up and follow-up CT study showed no obvious change in aneurysmal size. Conclusion The GSA is different from the intracranial giant sacular or fusiform aneurysms because it has distinctive features on CT, MRI and DSA studies. GSA constitutes a subgroup of the intracranial giant aneurysms. The natural history of GSA is poor so it is necessary to give GSA aggressive management. The endovascular occlusion of the parent artery with functional EC-IC bypass is safe and effective.
, 百拇医药
【Key words】 Cerebral aneurysm; Diagnostic imaging; Embolization, therapeutic
1977年,Segal 和McLaurin[7]首先 提出颅内巨大蛇形动脉瘤(giant serpentine aneurysm, GSA )的概念,1995年,Aletich等[2]较完善地描述了GSA的定义,迄今为止文献共记载61例[1-12]。笔者报告4例GSA,就其主要影像学特征及血管内治疗结合文献进行描述和讨论。
病例报告
例1 男,27岁。40天前蛛网膜下腔出血1次,外院诊断为脑肿瘤出血,保守治疗,症状体征消失转来本中心。CT平扫(图1):左侧裂内2.0 cm×3.5 cm×2.5 cm高密度占位,边界清,周围脑组织受压水肿。增强CT示病变不均质强化(图2)。DSA示左大脑中动脉(MCA)蛇形血管通道,累及整段M1,3支正常远端MCA发自该动脉壁,血管通道内血流缓慢,静脉窦期仍见对比剂滞留。左颈内动脉球囊闭塞加强试验阴性,但交叉代偿循环充盈试验阳性,故先行左颞浅动脉-大脑中动脉搭桥,术后24 h内,左颈外动脉造影显示吻合口通畅,遂行载瘤动脉近端球囊闭塞。术后26个月随访,症状、体征消失,生活工作正常,CT复查:瘤周脑组织水肿消失,瘤体缩小。
, http://www.100md.com
例2 男,38岁。复视,右眼视力下降半年。外院诊断颅咽管瘤,来本中心求治。体检:右外展神经麻痹,右眼视力0.8。CT平扫(图3):鞍旁4.0 cm×3.0 cm×5.0 cm高密度占位,右侧裂内1.0 cm×0.8 cm×1.0 cm高密度占位,边界清,周边呈蛋壳样钙化。MRI示鞍区、鞍上混杂信号占位,边界清,内有流空信号和不同强度短T1、长T2信号,周围脑组织受压水肿(图4,5)。MRA示右颈内动脉蛇形血管通道,累及右大脑中和大脑前动脉(图6)。DSA示右颈内动脉自岩段起呈蛇形迂曲扩张, 累及右M1、A1段及右后交通动脉,血管通道内血流缓慢,静脉窦期仍见对比剂滞留(图7,8)。右颈内动脉球囊闭塞加强试验阴性,但交叉代偿循环充盈试验阳性,先行右颞浅动脉-大脑中动脉搭桥术,术后24 h内,右颈外动脉造影显示吻合口通畅,遂行载瘤动脉近端球囊闭塞术,载瘤动脉闭塞后右颈外动脉造影显示通过吻合口的血流增加(图9)。术后1年随访,症状、体征消失,生活工作正常,CT复查:瘤周脑组织水肿消失,大小无明显变化。
, http://www.100md.com
图1 CT平扫,示左外侧裂内椭圆形不均质高密度占位(↑),大小2.5 cm ×2.0 cm ×3.0 cm,脑组织受压
图2 加强CT,示左外侧裂占位(↑),相对低密度区均一强化
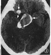
图3 CT平扫,示右鞍旁、鞍上不均质高密度占位,大小3.0 cm × 5.0 cm × 4.0 cm ,周边弹壳样钙化(↑)。右侧裂内不均质占位(Δ),部分钙化,大小1.0 cm × 0.8 cm×1.0 cm ,周围脑组织受压移位
图4 MRI T2WI,鞍上占位(↑),病变内不同时期的血栓(Δ),见流空效应、占位效应和脑水肿
, 百拇医药
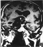
图5 MRI T1WI,示鞍上、右鞍旁分叶状占位(↑),病变内不同时期的血栓(Δ),见流空效应和占位效应
图6 MRA显示蛇形血管通道,示流入口和流出口(↑)
图7 DSA右颈内动脉造影正位,显示颈内动脉岩骨段扩张,累及右M1和A1,箭头示2个巨大的球形扩张
图8 DSA右颈内动脉造影侧位,显示颈内动脉迂曲扩张,累及右A1和后交通动脉,箭头示2个梨形扩张
, http://www.100md.com
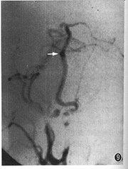
图9 右颈外动脉造影,显示右颞浅动脉-大脑中动脉吻合口通畅,箭头示吻合的位置
例3 男,22岁。诊断垂体瘤来本中心行术前DSA检查。体检:肢端肥大,智力差。CT平扫示左侧裂内3.5 cm×4.3 cm×3.0 cm高密度占位。DSA示左颈内动脉自床突上段始迂曲扩张,累及整段左M1,2支正常远端MCA发自该动脉壁,血管通道内血流缓慢,静脉窦期仍见对比剂滞留。患者家属拒绝进一步治疗。
例4 男,5岁。头痛、癫痫。曾在外院诊断颅内血肿而行开颅手术,术后诊断为“血管性肿物”。CT 平扫示纵裂内3.7 cm×2.3 cm×2.0 cm高密度占位,边界清,周围脑组织受压水肿。DSA示右大脑前动脉蛇形血管扩张,延续为正常的皮层动脉,血管通道内血流缓慢。患者家属拒绝进一步治疗。
讨论
1.影像学特征及诊断:GSA是指巨大的(>25 mm)、部分血栓化的、其内有迂曲血管通道并有相互分离的流入口、流出口的颅内动脉瘤[1,2]。它不同于囊性和梭形动脉瘤,构成颅内巨大动脉瘤的亚型[1-9]。颅内GSA主要临床表现为颅内高压、占位效应和出血,CT和MRI表现类似新生物,误诊率高。本组4例未行DSA检查前均未正确诊断。综合本组病例和文献报道病例的影像学资料,CT平扫显示规则或不规则的球形、椭圆性或梨形巨大不均质高密度占位,可见周边蛋壳样钙化、占位效应、周围脑组织水肿,增强扫描显示瘤壁略强化,相对低密度区均一强化,呈靶征[2-6,8,9]。MRI显示梨形或分叶状占位,内含不同时期的血栓,流空效应,周围脑组织水肿[2-4]。MRA可显示蛇形血管通道。DSA显示蛇形血管通道、流入口的起始部位和流出口所供应的正常远端动脉,蛇形血管通道内缓慢的血流,周围脑血管的解剖关系,为治疗提供重要的信息,是确诊的金标准[1-9],但不能显示全貌,当CT和MRI如上述所见时,应做DSA,三者结合做出诊断,以防误诊。
, http://www.100md.com
2.病史:GSA的自然病程还没有完全阐明,Aletich等[2]报告1例GSA历时5个月,自发血栓形成,瘤腔闭塞,临床症状稳定,Kumabe等[9]报告1例GSA未经治疗,逐渐增大,1年后自发血栓形成,瘤腔闭塞,但患者死于颅内压增高。文献报告61例GSA中,13例观察到如不治疗或治疗不得当,动脉瘤进行性增大,临床表现恶化,18%(12/65,含本组病例)发生蛛网膜下腔出血,从文献及本组的经验看,积极的治疗是必要的[1-12]。
3.血管内治疗:GSA外科治疗的死亡率(19.4%)和致残率(33.3%)高[1-12]。单纯血管内治疗8例,3例有并发症。血管内治疗结合颅外-颅内动脉搭桥治疗4例,均获良好疗效。3例单纯血管内治疗出现并发症者,闭塞载瘤动脉前均未行球囊闭塞试验(balloon test occlusion,BTO)。 6例(包括本组2例)闭塞载瘤动脉前行BTO或球囊闭塞加强试验,4例阳性,先行颅外-颅内动脉搭桥,载瘤动脉闭塞后无并发症。血管内技术闭塞载瘤动脉主要并发症是载瘤动脉闭塞后,其远端缺血致脑梗死。因此,血管内技术闭塞载瘤动脉前,评价通过Willis环的脑血流重新分配代偿能力十分必要。本组的治疗程序如下:先行球囊闭塞加强试验,对阳性者行颅外-颅内动脉搭桥,再行载瘤动脉闭塞;对阴性者行交叉代偿循环充盈试验。交叉代偿循环充盈试验阴性者,直接行载瘤动脉闭塞,阳性者,先行颅外-颅内动脉搭桥,再行载瘤动脉闭塞。BTO是评价Willis环代偿循环的重要试验,阴性并不能完全排除载瘤动脉闭塞后脑缺血梗死的潜在危险,仍有4%~13%阴性者发生迟发脑梗死[10,11],并有3%的梗死相关死亡率[11],主要原因是BTO对脑灌注临界状态(23~30 ml*100g-1*min-1)不敏感,当闭塞的时间延长,尤其伴有低血糖、贫血、低氧血症时,临界状态的脑灌注继续降低,产生迟发脑缺血梗死,甚至死亡[10-12]。球囊闭塞加强试验的方法是在经典的BTO基础上,将基础血压降低1/3,历时30 min,判定标准同经典BTO。静态氙增强CT扫描可发现脑血流灌注处于临界状态者[11],但需要增加复杂昂贵的仪器,且需搬动病人,应用受到一定限制。本组使用交叉代偿循环充盈试验,方法是在球囊闭塞加强试验结束时,行对侧颈内动脉造影,观察双侧脑组织动脉分布、毛细血管染色及静脉出现是否对称,如不对称,尤其静脉出现延迟1.5 s以上,称交叉代偿循环充盈试验阳性,反之,则为阴性。Vazquez Anon等[12]证实一侧脑血流下降大于25% 时,脑血管造影交叉充盈出现不对称。
, http://www.100md.com
参考文献
1,Segal HD, McLaurin RL. Giant serpentine aneurysm: report of two cases. J Neurosurg, 1977,46:115-120.
2,Aletich VA, Debrun GM, Monsein LH, et al. Giant serpentine aneurysms: a review and presetation of five cases. AJNR, 1995,16: 1061-1072.
3,Mawad ME, Klucznik RP. Giant serpentine aneurysms: radiographic features and endovascular treatment. AJNR, 1995,16: 1053-1060.
, 百拇医药
4,Suzuki S, Takahashi T, Ohkuma H, et al. Management of giant serpentine aneurysms of the middle cerebral artery-review of literature and report of a case successfully treated by STA-MCA anastomosis only. Acta Neurchir (Wien), 1992, 117:23-29.
5,Anson JA, Lawton MT, Spetzler RF. Characteristics and surgical treatment of dolichoectatic and fusiform aneurysms. J Neurosurg, 1996, 84: 185-193.
6,Isla A, Alvarez F, Roda JM, et al. Serpentine aneurysm: regrowth after a superficial temporal artery-middle cerebral artery bypass and internal carotid ligation: case report. Neurosurgery, 1994,34: 1072-1074.
, http://www.100md.com
7,Tomasello F, Albanese V, Cioffi FA. Giant serpentine aneurysms: a separate entity. Surg Neurol, 1979,12: 429-432.
8,Fodstad H, Liliequist B, Wirell S, et al. Giant serpentine intracranial aneurysm after carotid ligation: case report. J Neurosurg, 1978,49: 903-909.
9,Kumabe T, Kaneko U, Ishibashi T, et al. Two cases of giant serpentine aneurysm. Neurosurgery, 1990,26: 1027-1032.
10,Guglielmi G. Embolization intracranial aneurysms with detachable coils and electrothrombosis. In: Vinuela F, Halbach VV, Dion JE,eds. Interventional neuroradiology. New York: Raven Press, 1992. 63-75.
, 百拇医药
11,Linskey ME, Jungreis CA, Yonas H, et al. Stroke risk after abrupt internal carotid artery sacrifice: accuracy of preoperative assessment with balloon test occlusion and stable xenon-enhanced CT. AJNR, 1994,15:829-843.
12,Vazquez Anon V, Aymard A, Gobin YP, et al. Balloon occlusion of the internal carotid artery in 40 cases of giant intracavernous aneurysm: technical aspects,cerebral monitoring, and results. Neurosurgery, 1992, 34:245-251.
(收稿日期:1999-11-19), 百拇医药
单位:王安顺(大连市第二人民医院神经外科 116011);凌锋 王大明 张鸿祺 马大海 缪中荣 宋庆斌 李晓光 郝蔓春(100730 卫生部北京医院介入神经放射学研究中心)
关键词:脑动脉瘤;诊断显像;栓塞,治疗性
中华放射学杂志000915 【摘要】 目的 描述颅内巨大蛇形动脉瘤(giant serpentine aneurysm, GSA) CT、MRI和 DSA的典型特征,讨论血管内治疗方法的有效性。方法 回顾性研究过去2年中收治的4例GSA, 4例行DSA和CT检查,1例行MRI和MRA检查,2例接受载瘤动脉可脱球囊栓塞和栓塞前颅内-颅外动脉搭桥,结合文献进行讨论。结果 4例GSA临床表现为颅内高压、出血和占位效应。CT显示规则、不规则的球形或梨形巨大不均质高密度占位,可见周边蛋壳样钙化、占位效应、周围脑组织水肿,增强扫描显示瘤壁略强化,相对低密度区均一强化,呈靶征。MRI显示梨形或分叶状占位,内含不同时期的血栓、流空信号,周围脑组织水肿。MRA显示蛇形血管通道。DSA显示蛇形血管通道、流入口、流出口、正常远端动脉。2例血管内治疗辅以颅内-颅外搭桥,随访12~26个月,症状体征完全消失。结论 GSA具有特有的CT、MRI和DSA表现特征,构成颅内动脉瘤的亚型,预后差,必须积极治疗。血管内治疗结合颅外-颅内动脉搭桥手术是安全有效的治疗措施。
, 百拇医药
Radiographic features and endovascular treatment of giant serpentine aneurysms (report of 4 cases)
WANG Anshun
(Research Center of Interventional Neuroradiology, Beijing Hospital, Beijing 100730, China)(Now in Department of Neurosurgery, the Second Hospital of Dalian, Dalian 116011, China)
LING Feng, WANG Daming, et al.
【Abstract】 Objective To describe the typical CT, MRI and DSA features of intracranial giant serpentine aneurysm (GSA) and discuss the efficacy of it′s the endovascular treatment. Methods Retrograde study of 4 cases of GSA admitted and treated at the center of the present study over the last 2 years was conducted. The literature before June 1988 was reviewed. Results The findings of CT and MRI scans of GSA resembled those of intracranial neoplasms. Cerebral angiography remained the golden diagnostic criteria for GSA. Two of cases in the present study were treated with detachable balloon occlusion of the parent artery and pre-occlusion EC-IC bypass because of insufficient cross-filling through the Willis circle found on the cross-filling symmetry test. The symptoms and signs of the two patients disappeared on 1-2 year follow-up and follow-up CT study showed no obvious change in aneurysmal size. Conclusion The GSA is different from the intracranial giant sacular or fusiform aneurysms because it has distinctive features on CT, MRI and DSA studies. GSA constitutes a subgroup of the intracranial giant aneurysms. The natural history of GSA is poor so it is necessary to give GSA aggressive management. The endovascular occlusion of the parent artery with functional EC-IC bypass is safe and effective.
, 百拇医药
【Key words】 Cerebral aneurysm; Diagnostic imaging; Embolization, therapeutic
1977年,Segal 和McLaurin[7]首先 提出颅内巨大蛇形动脉瘤(giant serpentine aneurysm, GSA )的概念,1995年,Aletich等[2]较完善地描述了GSA的定义,迄今为止文献共记载61例[1-12]。笔者报告4例GSA,就其主要影像学特征及血管内治疗结合文献进行描述和讨论。
病例报告
例1 男,27岁。40天前蛛网膜下腔出血1次,外院诊断为脑肿瘤出血,保守治疗,症状体征消失转来本中心。CT平扫(图1):左侧裂内2.0 cm×3.5 cm×2.5 cm高密度占位,边界清,周围脑组织受压水肿。增强CT示病变不均质强化(图2)。DSA示左大脑中动脉(MCA)蛇形血管通道,累及整段M1,3支正常远端MCA发自该动脉壁,血管通道内血流缓慢,静脉窦期仍见对比剂滞留。左颈内动脉球囊闭塞加强试验阴性,但交叉代偿循环充盈试验阳性,故先行左颞浅动脉-大脑中动脉搭桥,术后24 h内,左颈外动脉造影显示吻合口通畅,遂行载瘤动脉近端球囊闭塞。术后26个月随访,症状、体征消失,生活工作正常,CT复查:瘤周脑组织水肿消失,瘤体缩小。
, http://www.100md.com
例2 男,38岁。复视,右眼视力下降半年。外院诊断颅咽管瘤,来本中心求治。体检:右外展神经麻痹,右眼视力0.8。CT平扫(图3):鞍旁4.0 cm×3.0 cm×5.0 cm高密度占位,右侧裂内1.0 cm×0.8 cm×1.0 cm高密度占位,边界清,周边呈蛋壳样钙化。MRI示鞍区、鞍上混杂信号占位,边界清,内有流空信号和不同强度短T1、长T2信号,周围脑组织受压水肿(图4,5)。MRA示右颈内动脉蛇形血管通道,累及右大脑中和大脑前动脉(图6)。DSA示右颈内动脉自岩段起呈蛇形迂曲扩张, 累及右M1、A1段及右后交通动脉,血管通道内血流缓慢,静脉窦期仍见对比剂滞留(图7,8)。右颈内动脉球囊闭塞加强试验阴性,但交叉代偿循环充盈试验阳性,先行右颞浅动脉-大脑中动脉搭桥术,术后24 h内,右颈外动脉造影显示吻合口通畅,遂行载瘤动脉近端球囊闭塞术,载瘤动脉闭塞后右颈外动脉造影显示通过吻合口的血流增加(图9)。术后1年随访,症状、体征消失,生活工作正常,CT复查:瘤周脑组织水肿消失,大小无明显变化。
, http://www.100md.com
图1 CT平扫,示左外侧裂内椭圆形不均质高密度占位(↑),大小2.5 cm ×2.0 cm ×3.0 cm,脑组织受压
图2 加强CT,示左外侧裂占位(↑),相对低密度区均一强化
图3 CT平扫,示右鞍旁、鞍上不均质高密度占位,大小3.0 cm × 5.0 cm × 4.0 cm ,周边弹壳样钙化(↑)。右侧裂内不均质占位(Δ),部分钙化,大小1.0 cm × 0.8 cm×1.0 cm ,周围脑组织受压移位
图4 MRI T2WI,鞍上占位(↑),病变内不同时期的血栓(Δ),见流空效应、占位效应和脑水肿
, 百拇医药
图5 MRI T1WI,示鞍上、右鞍旁分叶状占位(↑),病变内不同时期的血栓(Δ),见流空效应和占位效应
图6 MRA显示蛇形血管通道,示流入口和流出口(↑)
图7 DSA右颈内动脉造影正位,显示颈内动脉岩骨段扩张,累及右M1和A1,箭头示2个巨大的球形扩张
图8 DSA右颈内动脉造影侧位,显示颈内动脉迂曲扩张,累及右A1和后交通动脉,箭头示2个梨形扩张
, http://www.100md.com
图9 右颈外动脉造影,显示右颞浅动脉-大脑中动脉吻合口通畅,箭头示吻合的位置
例3 男,22岁。诊断垂体瘤来本中心行术前DSA检查。体检:肢端肥大,智力差。CT平扫示左侧裂内3.5 cm×4.3 cm×3.0 cm高密度占位。DSA示左颈内动脉自床突上段始迂曲扩张,累及整段左M1,2支正常远端MCA发自该动脉壁,血管通道内血流缓慢,静脉窦期仍见对比剂滞留。患者家属拒绝进一步治疗。
例4 男,5岁。头痛、癫痫。曾在外院诊断颅内血肿而行开颅手术,术后诊断为“血管性肿物”。CT 平扫示纵裂内3.7 cm×2.3 cm×2.0 cm高密度占位,边界清,周围脑组织受压水肿。DSA示右大脑前动脉蛇形血管扩张,延续为正常的皮层动脉,血管通道内血流缓慢。患者家属拒绝进一步治疗。
讨论
1.影像学特征及诊断:GSA是指巨大的(>25 mm)、部分血栓化的、其内有迂曲血管通道并有相互分离的流入口、流出口的颅内动脉瘤[1,2]。它不同于囊性和梭形动脉瘤,构成颅内巨大动脉瘤的亚型[1-9]。颅内GSA主要临床表现为颅内高压、占位效应和出血,CT和MRI表现类似新生物,误诊率高。本组4例未行DSA检查前均未正确诊断。综合本组病例和文献报道病例的影像学资料,CT平扫显示规则或不规则的球形、椭圆性或梨形巨大不均质高密度占位,可见周边蛋壳样钙化、占位效应、周围脑组织水肿,增强扫描显示瘤壁略强化,相对低密度区均一强化,呈靶征[2-6,8,9]。MRI显示梨形或分叶状占位,内含不同时期的血栓,流空效应,周围脑组织水肿[2-4]。MRA可显示蛇形血管通道。DSA显示蛇形血管通道、流入口的起始部位和流出口所供应的正常远端动脉,蛇形血管通道内缓慢的血流,周围脑血管的解剖关系,为治疗提供重要的信息,是确诊的金标准[1-9],但不能显示全貌,当CT和MRI如上述所见时,应做DSA,三者结合做出诊断,以防误诊。
, http://www.100md.com
2.病史:GSA的自然病程还没有完全阐明,Aletich等[2]报告1例GSA历时5个月,自发血栓形成,瘤腔闭塞,临床症状稳定,Kumabe等[9]报告1例GSA未经治疗,逐渐增大,1年后自发血栓形成,瘤腔闭塞,但患者死于颅内压增高。文献报告61例GSA中,13例观察到如不治疗或治疗不得当,动脉瘤进行性增大,临床表现恶化,18%(12/65,含本组病例)发生蛛网膜下腔出血,从文献及本组的经验看,积极的治疗是必要的[1-12]。
3.血管内治疗:GSA外科治疗的死亡率(19.4%)和致残率(33.3%)高[1-12]。单纯血管内治疗8例,3例有并发症。血管内治疗结合颅外-颅内动脉搭桥治疗4例,均获良好疗效。3例单纯血管内治疗出现并发症者,闭塞载瘤动脉前均未行球囊闭塞试验(balloon test occlusion,BTO)。 6例(包括本组2例)闭塞载瘤动脉前行BTO或球囊闭塞加强试验,4例阳性,先行颅外-颅内动脉搭桥,载瘤动脉闭塞后无并发症。血管内技术闭塞载瘤动脉主要并发症是载瘤动脉闭塞后,其远端缺血致脑梗死。因此,血管内技术闭塞载瘤动脉前,评价通过Willis环的脑血流重新分配代偿能力十分必要。本组的治疗程序如下:先行球囊闭塞加强试验,对阳性者行颅外-颅内动脉搭桥,再行载瘤动脉闭塞;对阴性者行交叉代偿循环充盈试验。交叉代偿循环充盈试验阴性者,直接行载瘤动脉闭塞,阳性者,先行颅外-颅内动脉搭桥,再行载瘤动脉闭塞。BTO是评价Willis环代偿循环的重要试验,阴性并不能完全排除载瘤动脉闭塞后脑缺血梗死的潜在危险,仍有4%~13%阴性者发生迟发脑梗死[10,11],并有3%的梗死相关死亡率[11],主要原因是BTO对脑灌注临界状态(23~30 ml*100g-1*min-1)不敏感,当闭塞的时间延长,尤其伴有低血糖、贫血、低氧血症时,临界状态的脑灌注继续降低,产生迟发脑缺血梗死,甚至死亡[10-12]。球囊闭塞加强试验的方法是在经典的BTO基础上,将基础血压降低1/3,历时30 min,判定标准同经典BTO。静态氙增强CT扫描可发现脑血流灌注处于临界状态者[11],但需要增加复杂昂贵的仪器,且需搬动病人,应用受到一定限制。本组使用交叉代偿循环充盈试验,方法是在球囊闭塞加强试验结束时,行对侧颈内动脉造影,观察双侧脑组织动脉分布、毛细血管染色及静脉出现是否对称,如不对称,尤其静脉出现延迟1.5 s以上,称交叉代偿循环充盈试验阳性,反之,则为阴性。Vazquez Anon等[12]证实一侧脑血流下降大于25% 时,脑血管造影交叉充盈出现不对称。
, http://www.100md.com
参考文献
1,Segal HD, McLaurin RL. Giant serpentine aneurysm: report of two cases. J Neurosurg, 1977,46:115-120.
2,Aletich VA, Debrun GM, Monsein LH, et al. Giant serpentine aneurysms: a review and presetation of five cases. AJNR, 1995,16: 1061-1072.
3,Mawad ME, Klucznik RP. Giant serpentine aneurysms: radiographic features and endovascular treatment. AJNR, 1995,16: 1053-1060.
, 百拇医药
4,Suzuki S, Takahashi T, Ohkuma H, et al. Management of giant serpentine aneurysms of the middle cerebral artery-review of literature and report of a case successfully treated by STA-MCA anastomosis only. Acta Neurchir (Wien), 1992, 117:23-29.
5,Anson JA, Lawton MT, Spetzler RF. Characteristics and surgical treatment of dolichoectatic and fusiform aneurysms. J Neurosurg, 1996, 84: 185-193.
6,Isla A, Alvarez F, Roda JM, et al. Serpentine aneurysm: regrowth after a superficial temporal artery-middle cerebral artery bypass and internal carotid ligation: case report. Neurosurgery, 1994,34: 1072-1074.
, http://www.100md.com
7,Tomasello F, Albanese V, Cioffi FA. Giant serpentine aneurysms: a separate entity. Surg Neurol, 1979,12: 429-432.
8,Fodstad H, Liliequist B, Wirell S, et al. Giant serpentine intracranial aneurysm after carotid ligation: case report. J Neurosurg, 1978,49: 903-909.
9,Kumabe T, Kaneko U, Ishibashi T, et al. Two cases of giant serpentine aneurysm. Neurosurgery, 1990,26: 1027-1032.
10,Guglielmi G. Embolization intracranial aneurysms with detachable coils and electrothrombosis. In: Vinuela F, Halbach VV, Dion JE,eds. Interventional neuroradiology. New York: Raven Press, 1992. 63-75.
, 百拇医药
11,Linskey ME, Jungreis CA, Yonas H, et al. Stroke risk after abrupt internal carotid artery sacrifice: accuracy of preoperative assessment with balloon test occlusion and stable xenon-enhanced CT. AJNR, 1994,15:829-843.
12,Vazquez Anon V, Aymard A, Gobin YP, et al. Balloon occlusion of the internal carotid artery in 40 cases of giant intracavernous aneurysm: technical aspects,cerebral monitoring, and results. Neurosurgery, 1992, 34:245-251.
(收稿日期:1999-11-19), 百拇医药