动脉造影在创伤性血管损伤中的应用(附32例分析)
作者:彭晓新 屈辉
单位:100035 北京积水潭医院放射科
关键词:血管造影术;血管疾病;创伤和损伤
中华放射学杂志000914 【摘要】 目的 评价动脉造影在创伤性血管损伤中的诊断价值。方法 对32例怀疑有血管损伤的患者进行选择性动脉造影。损伤的原因包括钝挫伤、枪伤、刀刺伤、撕脱伤等。结果 血管造影1例阴性,其他31例共46条血管均有不同程度的损伤。阳性率为96.9% 。血管造影的表现为动脉闭塞16条血管、动脉腔内缺损3条、对比剂外渗6条、动脉狭窄5条、局部管腔扩张2条、动静脉瘘1条、动脉偏离3条、动脉血流速减低9条、局部动脉缺损处包块染色1条。结论 对怀疑有创伤性血管损伤的患者而言,选择性动脉血管造影是一种安全、准确而且有效的诊断方法。
Application of arteriography in traumatic vascular injury
, http://www.100md.com
(a report of 32 cases)
PENG Xiaoxin, QU Hui.
(Department of Radiology, Jishuitan Hospital, Beijing 100035, China)
【Abstract】 Objective To evaluate arteriography in traumatic vascular injury. Methods Selective arteriography was performed in 32 patients with trauma and suspected to be vascular injury. The causes of injury included blunt injury, shot gun injury, and knife injury, degloving injury etc. Results Arteriographies in all patients except 1 had positive findings, and the positive rate was 96.9%. Fourty-six arteries showed various degrees of vascular injury in the other 31 patients. The angiographic appearances included arterial occlusion(16 vessels), extravasation of contrast (6 vessels), intraluminal defects(3 vessels), arteriovenous fistula (1 vessel), arterial narrowing (5 vessels), and slow arterial flow (9 vessels), etc. Conclusion Selective arteriography is safe and effective to detect traumatic vascular injury.
, 百拇医药
【Key words】 Arteriography; Vascular diseases; Wound and injuries
动脉造影是血管损伤诊治中最重要的诊断工具。选择性地应用动脉造影,在不增加发病率的同时,明确诊断,可提高手术成功率[1]。
材料与方法
1998年4月至1999年12月,对32例外伤后疑有血管损伤的患者进行了血管造影检查。男30例,女2例,年龄18~49岁,平均32.4岁。损伤原因:车祸21例,枪伤3例,砸伤3例,挤压伤2例,刀刺伤1例,撕脱伤1例,绞伤1例。2例怀疑合并有医源性损伤。合并骨折、错位患者24例。22例患者有明显的血管损伤征象,10例血管损伤征象可疑。
32例患者中急诊动脉造影 23例,9例延期动脉造影。涉及髂总、髂内、髂外动脉6例,股动脉3例,动脉7例、胫前、胫后、腓动脉7例,锁骨下动脉、腋动脉4例,腋动脉、肱动脉3例,尺、桡动脉1例,肝动脉1例。
, http://www.100md.com
采用Philips公司D93数字X线机,2例于骨科手术室采用普通G形臂X线机,在X线监视下用Seldinger法经健侧股动脉穿刺,将5 F单弯或Cobra导管送至可疑损伤动脉近侧端造影,对比剂选用欧乃派克,浓度为350 mg I/ml ,高压注射器注射速率1.0~3.5 ml/s ,2例为手工推注。对于造影后示动脉闭塞患者,如局部没有血肿,采取于闭塞处插入导管约0.5 cm后手工缓慢推注对比剂2.0 ml,观察对比剂扩散方式,以鉴别因血管内膜损伤血栓形成或是血管破裂出血后血栓形成。
结果
32例患者行动脉造影,其中急诊23例,延期9例,均获得成功,无一例因动脉造影出现严重并发症。1例车祸致肩、腋部软组织撕脱伤的患者,动脉造影示锁骨下动脉、腋动脉及分支未见异常。其余31例共46条血管有不同程度动脉损伤表现,阳性率96.9% 。具体表现为:动脉闭塞16条血管、动脉腔内缺损3条、对比剂外渗6条、动脉狭窄5条、局部管腔扩张2条、动静脉瘘1条、动脉偏离3条、动脉血流速减低9条、局部动脉缺损处包块染色1条(图1~6)。3例闭塞动脉运用经导管尿激酶溶栓,2例血运恢复,1例溶栓后血运部分恢复,血管内充盈缺损,诊断为血管内膜损伤、血栓形成。对5例盆腔骨折,判断为血管损伤出血的患者,分

, 百拇医药
图1,2 男,37岁,收割机绞伤右侧腋部20 h,右上肢疼痛。图1为腋动脉造影,对比剂由一狭窄缝隙中通过。图2示腋动脉下部、肱动脉起始部有1条片状充盈缺损,远端血流速减慢,管径减小,诊断为血管内膜损伤,内膜瓣片形成

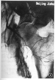
图3,4 男,43岁,车祸致骨盆骨折12 h。图3为左髂外动脉造影,见动脉中断、断端呈锥状。图4示髂外动脉断端内对比剂向左股内侧弥散,髂内动脉造影示股动脉依靠侧支循环供血。诊断为髂外动脉断裂,血栓形成,股动脉侧支循环建立

图5,6 男,35岁,左膝部钝性伤6 h,左下肢疼痛。图5为动脉造影,示动脉中断。图6示导管抵近中断处溶栓后远端血流恢复,动脉内充盈缺损,诊断内膜损伤、血栓形成
, http://www.100md.com
别用明胶海绵栓塞损伤血管(3例栓塞双侧髂内动脉),效果良好。
讨论
1.病例选择:大多数临床医师据患者肢体疼痛(pain)、苍白(paleness)、无搏动(no pulsation)、感觉异常(paresthesia)、麻痹瘫痪(paralysis)等“5 P”征来识别急性动脉损伤,但在急性创伤状态下,根据体征很难做出准确的判断。本组患者在术前根据体征和其他检查均未能做出准确的动脉局部和患肢远端血运情况的诊断而进行造影检查,并获得了明确的影像诊断。动脉造影是诊断血管损伤最可靠的方法[2,3]。动脉损伤征象分为明确的征象和可疑的征象,血管造影分为两类:(1)有明确征象的病人需对损伤定性、定位,观察血流是否中断及远端血流是否重建,即定性的血管造影。(2)有可疑征象的患者需排除血管损伤的存在,即排除性血管造影。在选择病例时,还应注意全身情况和局部损伤的关系。
2.仔细分析结果、合理地运用介入治疗方法:血管损伤的造影表现为管腔闭塞、充盈缺损、局限性扩张、动静脉瘘、对比剂外渗、动脉狭窄、动脉走行偏离、动脉血流速减慢。血管闭塞是由于动脉断裂继发血栓或内膜损伤继发血栓所致[4,5];管腔内充盈缺损可以是血栓或内膜损伤;长距离的动脉狭窄并外缘光滑,提示动脉痉挛或其外部压力增高,如伴有动脉血流减慢(停止注射对比剂后对比剂在动脉腔内停留时间超过20 s),则应怀疑腔隙综合征的存在;边缘不规则或串珠样动脉狭窄提示有内膜损伤,内膜与中膜分离或动脉痉挛。
, http://www.100md.com
本组病例中血管损伤表现较全面,创伤性血管损伤其机制复杂,几种损伤表现可出现于同一患者或同一条血管的造影结果中,同一血管可得到几个合并的血管损伤诊断。
筋膜间隙综合征是肢体创伤挤压后一个常见并发症,在以往的血管造影报道中较少见。本组3例小腿创伤后动脉造影,胫前、胫后、腓动脉血管管径变细、内膜光滑,仅见血流速减慢,提示血管外压力增高,诊断为筋膜间隙综合征。临床行筋膜切开减压术,证实诊断,挽救了患肢。
局部无血肿患者,通过于血栓内少量推注对比剂,观察其扩散方式的方法,可鉴别诊断血管内膜损伤后血栓形成或是血管破裂出血后血栓形成,前者可经导管进行局部尿激酶溶栓、药物扩张血管治疗,改善远端血运;但血管内膜损伤造成的血栓经导管溶栓后仍可能再次栓塞,一般需抗凝治疗观察或行手术血管移植。后者即可行经导管栓塞,防止再次出血。
盆腔外伤后大出血的患者血管造影时有对比剂外溢或仅能显示血管截断、血栓形成等血管异常现象,后者很难判断出血动脉,均应立即栓塞异常动脉甚至双侧髂内动脉[6]。
, http://www.100md.com
Geuder等[7]报道215例220条血管的治疗情况,应用血管造影使手术探查阴性率从84%降低到2.4%。在本组31例动脉造影阳性的患者中,根据造影情况进行的6例手术探查均证实造影诊断,提高了动脉损伤手术探查的阳性率。造影时观察血管闭塞远端侧支循环建立的情况非常重要,对侧支循环建立良好者可建议临床采取保守治疗,避免局部手术损坏已建立的侧支循环。
3.造影时机:为缩短术前诊断时间,血管造影不一定要到正规的放射科导管室。 Itani等[8]报道了1 882例急诊中心动脉造影(emergency center arteriography)的结果,即在急诊科穿刺可疑损伤动脉近侧,手工推注对比剂摄取动脉平片判断血管损伤,敏感性为95.5%,不能确诊者再行正规的动脉造影。Schlickewei等[2]提出术前和术中造影结合的方法,减少因缺血时间延长而造成的截肢。本组2例骨盆骨折患者于急诊骨科手术中发生出血性休克,即在骨科手术台上利用普通G形臂X线机透视下手推对比剂检查骨盆血管情况,顺利栓塞双侧髂内动脉,稳定了血压。
, 百拇医药
总之,在复杂创伤性血管损伤的诊断工作中,血管造影是目前最有价值的诊断手段,合理运用血管造影方法,可及时准确地做出较为可靠的诊断,为介入治疗和临床处理提供依据。
参考文献
1,O′Gorman RB, Feliciano DV, Bitondo CG, et al. Emergency center arteriography in the evaluation of suspected peripheral vascular injuries. Arch Surg, 1984,119:568-573.
2,Schlickewei W, Kuner EH, Mullaji AB, et al. Upper and lower limb fractures with concomitant arterial injury. J Bone Joint Surg (Br), 1992,74:181-188.
, http://www.100md.com
3,Dhal A, Varghese M. Salvage of limbs with vascular trauma. J Bone Joint Surg(Br), 1992,74:189-194.
4,Rose SC, Moore EE. Angiography in patients with arterial trauma: correlation between angiographic abnormalities, operative findings, and clinical outcome. AJR, 1987, 149:613-619.
5,Sturm JT,Bodily KC, Rothenberger DA. Arterial trauma: diagnostic and therapeutic angiography. Radiology, 1986, 161:165-172.
, http://www.100md.com
6,李麟荪,王杰,冯耀良,等.盆腔及股部外伤性大出血的介入性处理.中华放射学杂志,1993,27:310-312.
7,Geuder JW, Hobson RW 2d, Padberg FT Jr,et al. The role of contrast arteriography in suspected arterial injuries of the extremities. Am Surg, 1985,51:89-93.
8,Itani KM,Burch JM,Spjut-Patrinely V, et al. Emergency center arteriography. J Trauma, 1992,32:302-307.
(收稿日期:2000-02-23), 百拇医药
单位:100035 北京积水潭医院放射科
关键词:血管造影术;血管疾病;创伤和损伤
中华放射学杂志000914 【摘要】 目的 评价动脉造影在创伤性血管损伤中的诊断价值。方法 对32例怀疑有血管损伤的患者进行选择性动脉造影。损伤的原因包括钝挫伤、枪伤、刀刺伤、撕脱伤等。结果 血管造影1例阴性,其他31例共46条血管均有不同程度的损伤。阳性率为96.9% 。血管造影的表现为动脉闭塞16条血管、动脉腔内缺损3条、对比剂外渗6条、动脉狭窄5条、局部管腔扩张2条、动静脉瘘1条、动脉偏离3条、动脉血流速减低9条、局部动脉缺损处包块染色1条。结论 对怀疑有创伤性血管损伤的患者而言,选择性动脉血管造影是一种安全、准确而且有效的诊断方法。
Application of arteriography in traumatic vascular injury
, http://www.100md.com
(a report of 32 cases)
PENG Xiaoxin, QU Hui.
(Department of Radiology, Jishuitan Hospital, Beijing 100035, China)
【Abstract】 Objective To evaluate arteriography in traumatic vascular injury. Methods Selective arteriography was performed in 32 patients with trauma and suspected to be vascular injury. The causes of injury included blunt injury, shot gun injury, and knife injury, degloving injury etc. Results Arteriographies in all patients except 1 had positive findings, and the positive rate was 96.9%. Fourty-six arteries showed various degrees of vascular injury in the other 31 patients. The angiographic appearances included arterial occlusion(16 vessels), extravasation of contrast (6 vessels), intraluminal defects(3 vessels), arteriovenous fistula (1 vessel), arterial narrowing (5 vessels), and slow arterial flow (9 vessels), etc. Conclusion Selective arteriography is safe and effective to detect traumatic vascular injury.
, 百拇医药
【Key words】 Arteriography; Vascular diseases; Wound and injuries
动脉造影是血管损伤诊治中最重要的诊断工具。选择性地应用动脉造影,在不增加发病率的同时,明确诊断,可提高手术成功率[1]。
材料与方法
1998年4月至1999年12月,对32例外伤后疑有血管损伤的患者进行了血管造影检查。男30例,女2例,年龄18~49岁,平均32.4岁。损伤原因:车祸21例,枪伤3例,砸伤3例,挤压伤2例,刀刺伤1例,撕脱伤1例,绞伤1例。2例怀疑合并有医源性损伤。合并骨折、错位患者24例。22例患者有明显的血管损伤征象,10例血管损伤征象可疑。
32例患者中急诊动脉造影 23例,9例延期动脉造影。涉及髂总、髂内、髂外动脉6例,股动脉3例,动脉7例、胫前、胫后、腓动脉7例,锁骨下动脉、腋动脉4例,腋动脉、肱动脉3例,尺、桡动脉1例,肝动脉1例。
, http://www.100md.com
采用Philips公司D93数字X线机,2例于骨科手术室采用普通G形臂X线机,在X线监视下用Seldinger法经健侧股动脉穿刺,将5 F单弯或Cobra导管送至可疑损伤动脉近侧端造影,对比剂选用欧乃派克,浓度为350 mg I/ml ,高压注射器注射速率1.0~3.5 ml/s ,2例为手工推注。对于造影后示动脉闭塞患者,如局部没有血肿,采取于闭塞处插入导管约0.5 cm后手工缓慢推注对比剂2.0 ml,观察对比剂扩散方式,以鉴别因血管内膜损伤血栓形成或是血管破裂出血后血栓形成。
结果
32例患者行动脉造影,其中急诊23例,延期9例,均获得成功,无一例因动脉造影出现严重并发症。1例车祸致肩、腋部软组织撕脱伤的患者,动脉造影示锁骨下动脉、腋动脉及分支未见异常。其余31例共46条血管有不同程度动脉损伤表现,阳性率96.9% 。具体表现为:动脉闭塞16条血管、动脉腔内缺损3条、对比剂外渗6条、动脉狭窄5条、局部管腔扩张2条、动静脉瘘1条、动脉偏离3条、动脉血流速减低9条、局部动脉缺损处包块染色1条(图1~6)。3例闭塞动脉运用经导管尿激酶溶栓,2例血运恢复,1例溶栓后血运部分恢复,血管内充盈缺损,诊断为血管内膜损伤、血栓形成。对5例盆腔骨折,判断为血管损伤出血的患者,分
, 百拇医药
图1,2 男,37岁,收割机绞伤右侧腋部20 h,右上肢疼痛。图1为腋动脉造影,对比剂由一狭窄缝隙中通过。图2示腋动脉下部、肱动脉起始部有1条片状充盈缺损,远端血流速减慢,管径减小,诊断为血管内膜损伤,内膜瓣片形成
图3,4 男,43岁,车祸致骨盆骨折12 h。图3为左髂外动脉造影,见动脉中断、断端呈锥状。图4示髂外动脉断端内对比剂向左股内侧弥散,髂内动脉造影示股动脉依靠侧支循环供血。诊断为髂外动脉断裂,血栓形成,股动脉侧支循环建立
图5,6 男,35岁,左膝部钝性伤6 h,左下肢疼痛。图5为动脉造影,示动脉中断。图6示导管抵近中断处溶栓后远端血流恢复,动脉内充盈缺损,诊断内膜损伤、血栓形成
, http://www.100md.com
别用明胶海绵栓塞损伤血管(3例栓塞双侧髂内动脉),效果良好。
讨论
1.病例选择:大多数临床医师据患者肢体疼痛(pain)、苍白(paleness)、无搏动(no pulsation)、感觉异常(paresthesia)、麻痹瘫痪(paralysis)等“5 P”征来识别急性动脉损伤,但在急性创伤状态下,根据体征很难做出准确的判断。本组患者在术前根据体征和其他检查均未能做出准确的动脉局部和患肢远端血运情况的诊断而进行造影检查,并获得了明确的影像诊断。动脉造影是诊断血管损伤最可靠的方法[2,3]。动脉损伤征象分为明确的征象和可疑的征象,血管造影分为两类:(1)有明确征象的病人需对损伤定性、定位,观察血流是否中断及远端血流是否重建,即定性的血管造影。(2)有可疑征象的患者需排除血管损伤的存在,即排除性血管造影。在选择病例时,还应注意全身情况和局部损伤的关系。
2.仔细分析结果、合理地运用介入治疗方法:血管损伤的造影表现为管腔闭塞、充盈缺损、局限性扩张、动静脉瘘、对比剂外渗、动脉狭窄、动脉走行偏离、动脉血流速减慢。血管闭塞是由于动脉断裂继发血栓或内膜损伤继发血栓所致[4,5];管腔内充盈缺损可以是血栓或内膜损伤;长距离的动脉狭窄并外缘光滑,提示动脉痉挛或其外部压力增高,如伴有动脉血流减慢(停止注射对比剂后对比剂在动脉腔内停留时间超过20 s),则应怀疑腔隙综合征的存在;边缘不规则或串珠样动脉狭窄提示有内膜损伤,内膜与中膜分离或动脉痉挛。
, http://www.100md.com
本组病例中血管损伤表现较全面,创伤性血管损伤其机制复杂,几种损伤表现可出现于同一患者或同一条血管的造影结果中,同一血管可得到几个合并的血管损伤诊断。
筋膜间隙综合征是肢体创伤挤压后一个常见并发症,在以往的血管造影报道中较少见。本组3例小腿创伤后动脉造影,胫前、胫后、腓动脉血管管径变细、内膜光滑,仅见血流速减慢,提示血管外压力增高,诊断为筋膜间隙综合征。临床行筋膜切开减压术,证实诊断,挽救了患肢。
局部无血肿患者,通过于血栓内少量推注对比剂,观察其扩散方式的方法,可鉴别诊断血管内膜损伤后血栓形成或是血管破裂出血后血栓形成,前者可经导管进行局部尿激酶溶栓、药物扩张血管治疗,改善远端血运;但血管内膜损伤造成的血栓经导管溶栓后仍可能再次栓塞,一般需抗凝治疗观察或行手术血管移植。后者即可行经导管栓塞,防止再次出血。
盆腔外伤后大出血的患者血管造影时有对比剂外溢或仅能显示血管截断、血栓形成等血管异常现象,后者很难判断出血动脉,均应立即栓塞异常动脉甚至双侧髂内动脉[6]。
, http://www.100md.com
Geuder等[7]报道215例220条血管的治疗情况,应用血管造影使手术探查阴性率从84%降低到2.4%。在本组31例动脉造影阳性的患者中,根据造影情况进行的6例手术探查均证实造影诊断,提高了动脉损伤手术探查的阳性率。造影时观察血管闭塞远端侧支循环建立的情况非常重要,对侧支循环建立良好者可建议临床采取保守治疗,避免局部手术损坏已建立的侧支循环。
3.造影时机:为缩短术前诊断时间,血管造影不一定要到正规的放射科导管室。 Itani等[8]报道了1 882例急诊中心动脉造影(emergency center arteriography)的结果,即在急诊科穿刺可疑损伤动脉近侧,手工推注对比剂摄取动脉平片判断血管损伤,敏感性为95.5%,不能确诊者再行正规的动脉造影。Schlickewei等[2]提出术前和术中造影结合的方法,减少因缺血时间延长而造成的截肢。本组2例骨盆骨折患者于急诊骨科手术中发生出血性休克,即在骨科手术台上利用普通G形臂X线机透视下手推对比剂检查骨盆血管情况,顺利栓塞双侧髂内动脉,稳定了血压。
, 百拇医药
总之,在复杂创伤性血管损伤的诊断工作中,血管造影是目前最有价值的诊断手段,合理运用血管造影方法,可及时准确地做出较为可靠的诊断,为介入治疗和临床处理提供依据。
参考文献
1,O′Gorman RB, Feliciano DV, Bitondo CG, et al. Emergency center arteriography in the evaluation of suspected peripheral vascular injuries. Arch Surg, 1984,119:568-573.
2,Schlickewei W, Kuner EH, Mullaji AB, et al. Upper and lower limb fractures with concomitant arterial injury. J Bone Joint Surg (Br), 1992,74:181-188.
, http://www.100md.com
3,Dhal A, Varghese M. Salvage of limbs with vascular trauma. J Bone Joint Surg(Br), 1992,74:189-194.
4,Rose SC, Moore EE. Angiography in patients with arterial trauma: correlation between angiographic abnormalities, operative findings, and clinical outcome. AJR, 1987, 149:613-619.
5,Sturm JT,Bodily KC, Rothenberger DA. Arterial trauma: diagnostic and therapeutic angiography. Radiology, 1986, 161:165-172.
, http://www.100md.com
6,李麟荪,王杰,冯耀良,等.盆腔及股部外伤性大出血的介入性处理.中华放射学杂志,1993,27:310-312.
7,Geuder JW, Hobson RW 2d, Padberg FT Jr,et al. The role of contrast arteriography in suspected arterial injuries of the extremities. Am Surg, 1985,51:89-93.
8,Itani KM,Burch JM,Spjut-Patrinely V, et al. Emergency center arteriography. J Trauma, 1992,32:302-307.
(收稿日期:2000-02-23), 百拇医药