免疫损害患者肺结核的影像诊断
作者:马大庆 赵大伟 潘克梫
单位:马大庆(100050 首都医科大学附属北京友谊医院放射科);赵大伟(北京佑安医院放射科);潘克梫(北京胸科医院放射科)
关键词:免疫性疾病;结核,肺;放射摄影术;体层摄影术,X线计算机
中华放射学杂志000905 【摘要】 目的 探讨几种免疫损害疾病并发肺结核患者的X线和CT所见,包括糖尿病、肾移植术后及获得性免疫缺陷综合征(AIDS)。方法 回顾分析合并有肺结核的20例糖尿病患者的胸部CT所见、10例肾移植术后患者的胸部X线片及2例AIDS患者的CT片。结果 糖尿病并发肺结核的CT表现为:大片融合性肺实变(10例),在单一病变区内有多发小空洞(9例),病变不按肺段分布(2例),多数病变具有卫星灶。肾移植术后并发肺结核的胸部X线表现为:斑片及大片融合实变(6例)和粟粒型肺结核(4例)。AIDS病合并肺结核的CT表现为:纵隔淋巴结肿大(1例),肺内浸润(1例)及胸部以外的结核病变(2例),包括颈部及腹膜后淋巴结肿大。结论 3种免疫损害病变患者并发肺结核的主要CT及X线表现为大片融合病变、单一病变内的多发小空洞、粟粒型肺结核、纵隔淋巴结肿大及胸部以外的淋巴结肿大。
, 百拇医药
Imaging diagnosis of pulmonary tuberculosis in immunocompromised patients
MA Daqing
(Departement of Radiology, Beijing Friendship Hospital, the Capital Medical College, Beijing 100050,China)
ZHAO Dawei, PAN Keqin.
【Abstract】 Objective To evaluate CT and X-ray features of pulmonary tuberculosis in diabetic patients, patients post kidney transplantation, and patients with acquired immunodeficiency syndrome (AIDS). Methods We reviewed CT scans in 20 patients with diabetic patients, X-ray films in 10 cases after kidney transplantation, and CT scans in 2 patients with AIDS. Results CT features of pulmonary tuberculosis in diabetic diseases included larger confluent consolidation (10 cases ), multiple small cavities within any given lesion (9 cases ) and nonsegmental distribution (2 cases). Satellite lesions were found in most films. The X-ray appearances of pulmonary tuberculosis post kidney transplanation included patch and larger confluent consolidation (6 cases), and miliary tuberculosis(4 cases). The CT findings of pulmonary tuberculosis with AIDS were enlarged mediastinal lymph nodes (1 case), pulmonary infiltration (1 case), and extra chest lesions(2 cases) such as enlarged neck lymph nodes and postperitoneal lymph nodes. Conclusion The Main radiological findings of pulmonary tuberculosis in immunocompromised patients appear larger confluent consolidation, multiple small cavities within a given lesion, miliary tuberculosis, enlarged mediastinal lymph nodes, and extra chest enlarged lymph nodes.
, 百拇医药
【Key words】 Immunologic disease; Tuberculosis, pulmonary; Radiography; Tomography, X-ray computed
免疫损害患者容易发生肺部感染[1],肺结核为最常见的疾病之一[2,3]。免疫损害患者并发肺结核的临床表现、影像学特征、对治疗的反应及预后均与一般肺结核患者不同[2-4]。为提高对本病影像表现的认识,笔者对1组糖尿病、肾移植及获得性免疫缺陷综合征(AIDS)患者合并肺结核的影像表现进行分析。
材料与方法
笔者搜集合并肺结核的糖尿病患者20例,肾移植术后患者10例和AIDS患者2例。糖尿病合并肺结核患者中男12例,女8例。年龄27~70岁。临床诊断依据为有糖尿病临床症状,空腹血糖≥7.8 mmol/L,或任意时间血糖≥11.1 mmol/L,或糖耐量试验空腹口服葡萄糖75 g后测2 h血糖≥11.1 mmol/L。痰检结核菌或结核菌素试验阳性。20例均有X线正位和侧位胸片,并经CT检查。肾移植术后合并肺结核患者来自我院1973~1999年肾移植病例,术后发生肺内和(或)肺外结核者16例,其中肺结核10例,男6例,女4例。结核的发病时间为术后6个月至2年,平均为11.6个月。痰检结核菌阳性,并经抗结核治疗有效。所有患者均经X线胸片检查。AIDS患者男、女各1例,年龄为34及42岁。均因发热和颈淋巴结肿大入院。实验室检查人类免疫缺陷病毒(Human immunodeficiency virus, HIV)阳性。细胞分化抗原簇4 T淋巴细胞(CD4T)计数分别为0.173×109/L和0.205×109/L。影像检查包括X线胸片及颈、胸、腹部CT。经颈部淋巴结活检及抗结核治疗有效而证实合并结核的诊断。
, http://www.100md.com
图1 糖尿病合并肺结核,左上肺大片融合病变
图2 糖尿病合并肺结核,肺实变内有多发小空洞,并与支气管分支相连(↑)
图3 糖尿病合并肺结核,肺实变内的中部空洞与支气管分支相连(↑),外带的空洞边缘呈分叶弧状(▲)
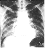
图4 肾移植后合并急性粟粒型肺结核
图5 AIDS合并肺结核,左上肺小斑片状影像
, 百拇医药
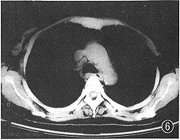
图6 AIDS合并肺结核,4R区淋巴结肿大
图7 同图5病例,左锁骨上淋巴结肿大(↑)
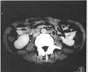
图8 同图5病例,腹膜后淋巴结肿大,有环形强化(↑)
结果
一、糖尿病合并肺结核
1. 病变部位:病变主要位于肺结核常见部位,如上叶尖、后段和下叶背段者18例,其中在其他部位有较多散在病灶者4例;位于中叶和舌叶者各1例。
2. 大片融合病灶(图1):表现为占据一个肺段或更大范围的病变,10例,多数病变周围有斑点状卫星灶。有2例病变不按肺段分布,此种改变表现为病变累及多个相邻的肺段,易位于肺段的边缘部,而病变肺段未完全实变。
, 百拇医药
3. 空洞:16例。在同一实变病变中有多发空洞者9例。6例空洞与外围的小支气管分支相连(图2,3),此型空洞位于肺野的中带。2例空洞呈多弧形的内缘,此型空洞多位于肺野的外围部(图3)。
二、肾移植合并肺结核
1.肺内斑片状病变:6例,主要位于上叶尖、后段及下叶背段。病变可累计多个肺段,并可发生大片实变。有2例合并空洞。
2.急性粟粒型肺结核:4例,为两肺弥漫分布的多发粟粒病变(图4)。
三、AIDS病合并结核
1.肺内斑片状影像:1例(图5)。
2.纵隔淋巴结肿大:1例。X线胸片见右上纵隔阴影增宽。胸部CT见2R、4R及7区淋巴结肿大,淋巴结最大直径为2 cm(图6)。
, http://www.100md.com
3. 胸部以外的影像表现:颈部淋巴结肿大2例,合并锁骨上淋巴结肿大(图7)。淋巴结融合肿块最大3.5 cm× 5.5 cm。腹膜后淋巴结肿大1例,腹部CT见后腹膜有多个肿大淋巴结,最大直径1.8 cm,增强扫描淋巴结边缘有环形强化(图8)。
讨论
近年来免疫损害患者并发肺结核的病例增多[1-3]。 轻度免疫缺陷的疾病有酒精中毒、糖尿病、肾功能衰竭及恶性肿瘤等;免疫功能严重损害的疾病为器官移植后接受免疫抑制剂治疗和AIDS等[3]。其中糖尿病、器官移植后及AIDS合并肺结核日益受到重视[2-9]。
1.糖尿病合并肺结核:糖尿病患者易发生肺结核的原因,多数作者认为,糖尿病可引起血液中的胰岛素含量下降等改变,使糖代谢紊乱,组织内糖含量及血糖增高,为结核菌的孳生提供了条件。糖尿病还可使蛋白质和脂肪代谢紊乱,使肝脏受损,导致维生素A形成不足,降低了呼吸道上皮的防御功能。肝脏受损也可使蛋白质形成减少,致使抗体水平下降。糖尿病引起微循环障碍,影响血液与组织间的氧交换,机体的抵抗力则进一步降低。这些因素的综合作用是易发生肺结核的主要原因[4,5]。
, http://www.100md.com
糖尿病合并肺结核除具有一般肺结核的特征之外,还可出现其他的影像表现。病变可发生在肺结核的少见部位,如上叶前段、中叶、舌叶及下叶基底段。本组20例中有2例。有作者报道,糖尿病及免疫抑制患者肺结核病变发生于上述部位的发生率为18%,从发生率上与一般肺结核患者相似[4]。在病变形态上,大片融合病变及实变较多见。糖尿病合并肺结核的病变可不按肺段分布,据报告发生率为30%,比一般肺结核患者多见[4]。本组中此种改变2例,表现为病变累及多个相邻的肺段,易位于肺段的边缘部,而病变肺段未完全实变。据报告空洞占40%[4],以实变区内的多发空洞为其特点,空洞的形态因病变位置不同而有区别,位于肺脏外带病变可见空洞边缘呈分叶弧状,可能为空洞融合所致。位于肺脏中带的空洞可与外围的支气管小分支相连,此为Ikezoe等[4]首次报道,其发生机制为:首先发生支气管及细支气管结核,引起支气管的干酪性病变和管壁溃疡,病变累及周围肺组织,产生干酪性空洞。因空洞来自支气管,故与其外围分支相连。
, http://www.100md.com
2.肾移植术后合并肺结核:肾移植术后为防止排异反应须长期使用免疫抑制剂,如糖皮质激素、硫唑嘌呤和环孢霉素等。免疫抑制剂使T细胞免疫能力缺陷而易发生机遇性感染,肺结核是最易发生的肺内感染之一。肾移植术后并发肺结核的发生率为0.6%~8.0%不等[6]。肾移植术后免疫功能抑制最严重的时间是术后90~120 d,在此期间T细胞免疫能力严重缺陷。在肾移植术120 d后,免疫抑制状态逐渐减弱,病人的免疫系统开始恢复,结核等感染发生机会减少。但是为了预防排异反应,病人还需维持免疫抑制状态,因而仍然易发生肺结核。本组中肺结核发生在术后120 d后3例,最长为2年4个月。肾移植合并肺结核的肺内浸润病灶范围较大,可发生空洞。病变周围的卫星灶较少见。血行播散型肺结核在HRCT上显示清楚,肺内结节直径多为1~3 cm,5 cm以上结节约占5%~10%[10]。严重的合并症为急性呼吸窘迫综合征,在HRCT上表现为磨玻璃样密度、粟粒结节和肺泡实变[10]。
3.AIDS合并肺结核:AIDS患者中肺结核发病率为3.6%~3.8%,约60%的病人至少有1个肺外部位的结核[8,9]。本组的2例均合并颈部淋巴结肿大,1例腹膜后有多个肿大淋巴结。AIDS合并结核与病人T淋巴细胞的免疫功能损害有关。对于免疫功能完善的正常人,进入肺内的结核菌被巨嗜细胞吞噬后,产生作用于T淋巴细胞的抗原,使其敏感。敏感化的T淋巴细胞进一步激活巨嗜细胞使其将吞噬的结核菌消灭。其中CD4T细胞在结核免疫中起主导作用,HIV感染使CD4T细胞减少,故患者易感染结核并易播散[8]。
, http://www.100md.com
AIDS合并肺结核的影像表现与机体的免疫状态有关。在HIV感染的早期,CD4T细胞无明显减少,其影像所见与无免疫功能损害患者的肺结核相似。如病变易发生在上叶尖后段及下叶背段,有结节、浸润和空洞等。HIV感染的中期及后期,CD4T细胞明显至极度减少,机体处于中度及重度的免疫抑制状态,肺结核多为原发感染表现,即出现肺内实变和1个或多个肿大的肺门及纵隔淋巴结。据报道,HIV阳性的结核患者肺门和纵隔淋巴结肿大占17%~60%,而HIV阴性者仅为3%~23%[8]。本组中有1例有多组纵隔淋巴结肿大。CT检查约80%患者的肺门及纵隔肿大淋巴结有低密度的中心,增强扫描约25%的病人淋巴结边缘有明显的环行强化[11]。其他较常见的影像表现为下叶、中叶的实变,支气管播散、粟粒型肺结核和胸腔积液[9]。有的作者比较了CD4T细胞计数与影像表现的关系,在1组26例CD4T细胞小于0.2×109/L的AIDS病例中,具有肺结核的不典型胸部X 线表现者24例,而CD4T细胞大于0.2×109/L时仅有1例[12]。
, 百拇医药
4.免疫损害患者肺结核的影像鉴别诊断: 免疫损害患者易发生多种病原感染,包括革兰阴性杆菌、霉菌、病毒及原虫。此外还可发生基础病变的肺浸润、肺水肿及出血等。由于免疫损害患者肺结核可缺乏典型肺结核的影像表现,临床表现也可不典型,痰结核菌检出及结核菌素试验阳性率低[8],故诊断正确性较低。为提高本病的诊断水平,对于具有免疫损害性疾病的患者,当出现肺内病变时应当想到肺结核的可能。当出现大片实变、空洞、粟粒结节、淋巴结肿大及胸腔积液时应把肺结核的诊断置于首位。本病的诊断须与临床表现及实验室检查相结合,取得细菌学或组织学证据。颈部淋巴结活检及纤维支气管镜活检是重要的诊断手段。
参考文献
1,Twigg HL 3rd. Pulmonary host defenses. J Thorac Imaging, 1998,13:221-233.
2,Davis SD, Yankelevitz DF, Williams T,et al. Pulmonary tuberculosis in immunocompromised hosts: epidemiological, clinical, and radiological assessment. Semin Roentgenol, 1993,28:119-130.
, http://www.100md.com
3,Washington L , Miller WT Jr. Mycobacterial infection in immunocompromised patients. J Thorac Imaging, 1998,13:271-281.
4,Ikezoe J, Takeuchi N,Johkoh T, et al. CT appearance of pulmonary tuberculosis in diabetic and immunocompromised patients: comparison with patients who had no underlying disease.AJR,1992,159:1175-1179.
5,彭卫生,王英年,肖成志,主编.新编结核病学. 北京: 中国医药科技出版社,1994. 223-225.
6,何礼贤. 免疫损害患者并发肺结核的若干临床问题.中华结核和呼吸杂志,1996,19:5-6.
, 百拇医药
7,Conces DJ Jr. Pulmonary infections in immunocompromised patients who do not have acquired immunodeficiency syndrome : a systematic approach. J Thorac Imaging, 1998,13:234-246.
8,Logan PM, Finnegan MM. Pulmonary complications in AIDS: CT appearances .Clin Radiol, 1998, 53: 567-573.
9,Richards PJ, Armstrong P, Parkin JM, et al .Chest imaging in AIDS. Clin Radiol, 1998, 53:554-566.
10,Hong SH, Im JG, Lee JS, et al. High resolution CT findings of miliary tuberculosis. J Comput Assist Tomogr,1998,22:220-224.
, 百拇医药
11,Pastores SM, Naidich DP, Aranda CP, et al.Intrathoracic adenopathy associated with pulmonary tuberculosis in patients with human immunodeficiency virus infection. Chest, 1993,103:1433-1437.
12,Keiper MD, Beumont M, Elshami A, et al. CD4T lymphocyde count and the radiographic presentation of pulmonary tuberculosis: a study of the relationship between these factors in patients with human immunodeficiency virus infection. Chest, 1995,107:74-80.
(收稿日期:2000-03-21), 百拇医药
单位:马大庆(100050 首都医科大学附属北京友谊医院放射科);赵大伟(北京佑安医院放射科);潘克梫(北京胸科医院放射科)
关键词:免疫性疾病;结核,肺;放射摄影术;体层摄影术,X线计算机
中华放射学杂志000905 【摘要】 目的 探讨几种免疫损害疾病并发肺结核患者的X线和CT所见,包括糖尿病、肾移植术后及获得性免疫缺陷综合征(AIDS)。方法 回顾分析合并有肺结核的20例糖尿病患者的胸部CT所见、10例肾移植术后患者的胸部X线片及2例AIDS患者的CT片。结果 糖尿病并发肺结核的CT表现为:大片融合性肺实变(10例),在单一病变区内有多发小空洞(9例),病变不按肺段分布(2例),多数病变具有卫星灶。肾移植术后并发肺结核的胸部X线表现为:斑片及大片融合实变(6例)和粟粒型肺结核(4例)。AIDS病合并肺结核的CT表现为:纵隔淋巴结肿大(1例),肺内浸润(1例)及胸部以外的结核病变(2例),包括颈部及腹膜后淋巴结肿大。结论 3种免疫损害病变患者并发肺结核的主要CT及X线表现为大片融合病变、单一病变内的多发小空洞、粟粒型肺结核、纵隔淋巴结肿大及胸部以外的淋巴结肿大。
, 百拇医药
Imaging diagnosis of pulmonary tuberculosis in immunocompromised patients
MA Daqing
(Departement of Radiology, Beijing Friendship Hospital, the Capital Medical College, Beijing 100050,China)
ZHAO Dawei, PAN Keqin.
【Abstract】 Objective To evaluate CT and X-ray features of pulmonary tuberculosis in diabetic patients, patients post kidney transplantation, and patients with acquired immunodeficiency syndrome (AIDS). Methods We reviewed CT scans in 20 patients with diabetic patients, X-ray films in 10 cases after kidney transplantation, and CT scans in 2 patients with AIDS. Results CT features of pulmonary tuberculosis in diabetic diseases included larger confluent consolidation (10 cases ), multiple small cavities within any given lesion (9 cases ) and nonsegmental distribution (2 cases). Satellite lesions were found in most films. The X-ray appearances of pulmonary tuberculosis post kidney transplanation included patch and larger confluent consolidation (6 cases), and miliary tuberculosis(4 cases). The CT findings of pulmonary tuberculosis with AIDS were enlarged mediastinal lymph nodes (1 case), pulmonary infiltration (1 case), and extra chest lesions(2 cases) such as enlarged neck lymph nodes and postperitoneal lymph nodes. Conclusion The Main radiological findings of pulmonary tuberculosis in immunocompromised patients appear larger confluent consolidation, multiple small cavities within a given lesion, miliary tuberculosis, enlarged mediastinal lymph nodes, and extra chest enlarged lymph nodes.
, 百拇医药
【Key words】 Immunologic disease; Tuberculosis, pulmonary; Radiography; Tomography, X-ray computed
免疫损害患者容易发生肺部感染[1],肺结核为最常见的疾病之一[2,3]。免疫损害患者并发肺结核的临床表现、影像学特征、对治疗的反应及预后均与一般肺结核患者不同[2-4]。为提高对本病影像表现的认识,笔者对1组糖尿病、肾移植及获得性免疫缺陷综合征(AIDS)患者合并肺结核的影像表现进行分析。
材料与方法
笔者搜集合并肺结核的糖尿病患者20例,肾移植术后患者10例和AIDS患者2例。糖尿病合并肺结核患者中男12例,女8例。年龄27~70岁。临床诊断依据为有糖尿病临床症状,空腹血糖≥7.8 mmol/L,或任意时间血糖≥11.1 mmol/L,或糖耐量试验空腹口服葡萄糖75 g后测2 h血糖≥11.1 mmol/L。痰检结核菌或结核菌素试验阳性。20例均有X线正位和侧位胸片,并经CT检查。肾移植术后合并肺结核患者来自我院1973~1999年肾移植病例,术后发生肺内和(或)肺外结核者16例,其中肺结核10例,男6例,女4例。结核的发病时间为术后6个月至2年,平均为11.6个月。痰检结核菌阳性,并经抗结核治疗有效。所有患者均经X线胸片检查。AIDS患者男、女各1例,年龄为34及42岁。均因发热和颈淋巴结肿大入院。实验室检查人类免疫缺陷病毒(Human immunodeficiency virus, HIV)阳性。细胞分化抗原簇4 T淋巴细胞(CD4T)计数分别为0.173×109/L和0.205×109/L。影像检查包括X线胸片及颈、胸、腹部CT。经颈部淋巴结活检及抗结核治疗有效而证实合并结核的诊断。
, http://www.100md.com
图1 糖尿病合并肺结核,左上肺大片融合病变
图2 糖尿病合并肺结核,肺实变内有多发小空洞,并与支气管分支相连(↑)
图3 糖尿病合并肺结核,肺实变内的中部空洞与支气管分支相连(↑),外带的空洞边缘呈分叶弧状(▲)
图4 肾移植后合并急性粟粒型肺结核
图5 AIDS合并肺结核,左上肺小斑片状影像
, 百拇医药
图6 AIDS合并肺结核,4R区淋巴结肿大
图7 同图5病例,左锁骨上淋巴结肿大(↑)
图8 同图5病例,腹膜后淋巴结肿大,有环形强化(↑)
结果
一、糖尿病合并肺结核
1. 病变部位:病变主要位于肺结核常见部位,如上叶尖、后段和下叶背段者18例,其中在其他部位有较多散在病灶者4例;位于中叶和舌叶者各1例。
2. 大片融合病灶(图1):表现为占据一个肺段或更大范围的病变,10例,多数病变周围有斑点状卫星灶。有2例病变不按肺段分布,此种改变表现为病变累及多个相邻的肺段,易位于肺段的边缘部,而病变肺段未完全实变。
, 百拇医药
3. 空洞:16例。在同一实变病变中有多发空洞者9例。6例空洞与外围的小支气管分支相连(图2,3),此型空洞位于肺野的中带。2例空洞呈多弧形的内缘,此型空洞多位于肺野的外围部(图3)。
二、肾移植合并肺结核
1.肺内斑片状病变:6例,主要位于上叶尖、后段及下叶背段。病变可累计多个肺段,并可发生大片实变。有2例合并空洞。
2.急性粟粒型肺结核:4例,为两肺弥漫分布的多发粟粒病变(图4)。
三、AIDS病合并结核
1.肺内斑片状影像:1例(图5)。
2.纵隔淋巴结肿大:1例。X线胸片见右上纵隔阴影增宽。胸部CT见2R、4R及7区淋巴结肿大,淋巴结最大直径为2 cm(图6)。
, http://www.100md.com
3. 胸部以外的影像表现:颈部淋巴结肿大2例,合并锁骨上淋巴结肿大(图7)。淋巴结融合肿块最大3.5 cm× 5.5 cm。腹膜后淋巴结肿大1例,腹部CT见后腹膜有多个肿大淋巴结,最大直径1.8 cm,增强扫描淋巴结边缘有环形强化(图8)。
讨论
近年来免疫损害患者并发肺结核的病例增多[1-3]。 轻度免疫缺陷的疾病有酒精中毒、糖尿病、肾功能衰竭及恶性肿瘤等;免疫功能严重损害的疾病为器官移植后接受免疫抑制剂治疗和AIDS等[3]。其中糖尿病、器官移植后及AIDS合并肺结核日益受到重视[2-9]。
1.糖尿病合并肺结核:糖尿病患者易发生肺结核的原因,多数作者认为,糖尿病可引起血液中的胰岛素含量下降等改变,使糖代谢紊乱,组织内糖含量及血糖增高,为结核菌的孳生提供了条件。糖尿病还可使蛋白质和脂肪代谢紊乱,使肝脏受损,导致维生素A形成不足,降低了呼吸道上皮的防御功能。肝脏受损也可使蛋白质形成减少,致使抗体水平下降。糖尿病引起微循环障碍,影响血液与组织间的氧交换,机体的抵抗力则进一步降低。这些因素的综合作用是易发生肺结核的主要原因[4,5]。
, http://www.100md.com
糖尿病合并肺结核除具有一般肺结核的特征之外,还可出现其他的影像表现。病变可发生在肺结核的少见部位,如上叶前段、中叶、舌叶及下叶基底段。本组20例中有2例。有作者报道,糖尿病及免疫抑制患者肺结核病变发生于上述部位的发生率为18%,从发生率上与一般肺结核患者相似[4]。在病变形态上,大片融合病变及实变较多见。糖尿病合并肺结核的病变可不按肺段分布,据报告发生率为30%,比一般肺结核患者多见[4]。本组中此种改变2例,表现为病变累及多个相邻的肺段,易位于肺段的边缘部,而病变肺段未完全实变。据报告空洞占40%[4],以实变区内的多发空洞为其特点,空洞的形态因病变位置不同而有区别,位于肺脏外带病变可见空洞边缘呈分叶弧状,可能为空洞融合所致。位于肺脏中带的空洞可与外围的支气管小分支相连,此为Ikezoe等[4]首次报道,其发生机制为:首先发生支气管及细支气管结核,引起支气管的干酪性病变和管壁溃疡,病变累及周围肺组织,产生干酪性空洞。因空洞来自支气管,故与其外围分支相连。
, http://www.100md.com
2.肾移植术后合并肺结核:肾移植术后为防止排异反应须长期使用免疫抑制剂,如糖皮质激素、硫唑嘌呤和环孢霉素等。免疫抑制剂使T细胞免疫能力缺陷而易发生机遇性感染,肺结核是最易发生的肺内感染之一。肾移植术后并发肺结核的发生率为0.6%~8.0%不等[6]。肾移植术后免疫功能抑制最严重的时间是术后90~120 d,在此期间T细胞免疫能力严重缺陷。在肾移植术120 d后,免疫抑制状态逐渐减弱,病人的免疫系统开始恢复,结核等感染发生机会减少。但是为了预防排异反应,病人还需维持免疫抑制状态,因而仍然易发生肺结核。本组中肺结核发生在术后120 d后3例,最长为2年4个月。肾移植合并肺结核的肺内浸润病灶范围较大,可发生空洞。病变周围的卫星灶较少见。血行播散型肺结核在HRCT上显示清楚,肺内结节直径多为1~3 cm,5 cm以上结节约占5%~10%[10]。严重的合并症为急性呼吸窘迫综合征,在HRCT上表现为磨玻璃样密度、粟粒结节和肺泡实变[10]。
3.AIDS合并肺结核:AIDS患者中肺结核发病率为3.6%~3.8%,约60%的病人至少有1个肺外部位的结核[8,9]。本组的2例均合并颈部淋巴结肿大,1例腹膜后有多个肿大淋巴结。AIDS合并结核与病人T淋巴细胞的免疫功能损害有关。对于免疫功能完善的正常人,进入肺内的结核菌被巨嗜细胞吞噬后,产生作用于T淋巴细胞的抗原,使其敏感。敏感化的T淋巴细胞进一步激活巨嗜细胞使其将吞噬的结核菌消灭。其中CD4T细胞在结核免疫中起主导作用,HIV感染使CD4T细胞减少,故患者易感染结核并易播散[8]。
, http://www.100md.com
AIDS合并肺结核的影像表现与机体的免疫状态有关。在HIV感染的早期,CD4T细胞无明显减少,其影像所见与无免疫功能损害患者的肺结核相似。如病变易发生在上叶尖后段及下叶背段,有结节、浸润和空洞等。HIV感染的中期及后期,CD4T细胞明显至极度减少,机体处于中度及重度的免疫抑制状态,肺结核多为原发感染表现,即出现肺内实变和1个或多个肿大的肺门及纵隔淋巴结。据报道,HIV阳性的结核患者肺门和纵隔淋巴结肿大占17%~60%,而HIV阴性者仅为3%~23%[8]。本组中有1例有多组纵隔淋巴结肿大。CT检查约80%患者的肺门及纵隔肿大淋巴结有低密度的中心,增强扫描约25%的病人淋巴结边缘有明显的环行强化[11]。其他较常见的影像表现为下叶、中叶的实变,支气管播散、粟粒型肺结核和胸腔积液[9]。有的作者比较了CD4T细胞计数与影像表现的关系,在1组26例CD4T细胞小于0.2×109/L的AIDS病例中,具有肺结核的不典型胸部X 线表现者24例,而CD4T细胞大于0.2×109/L时仅有1例[12]。
, 百拇医药
4.免疫损害患者肺结核的影像鉴别诊断: 免疫损害患者易发生多种病原感染,包括革兰阴性杆菌、霉菌、病毒及原虫。此外还可发生基础病变的肺浸润、肺水肿及出血等。由于免疫损害患者肺结核可缺乏典型肺结核的影像表现,临床表现也可不典型,痰结核菌检出及结核菌素试验阳性率低[8],故诊断正确性较低。为提高本病的诊断水平,对于具有免疫损害性疾病的患者,当出现肺内病变时应当想到肺结核的可能。当出现大片实变、空洞、粟粒结节、淋巴结肿大及胸腔积液时应把肺结核的诊断置于首位。本病的诊断须与临床表现及实验室检查相结合,取得细菌学或组织学证据。颈部淋巴结活检及纤维支气管镜活检是重要的诊断手段。
参考文献
1,Twigg HL 3rd. Pulmonary host defenses. J Thorac Imaging, 1998,13:221-233.
2,Davis SD, Yankelevitz DF, Williams T,et al. Pulmonary tuberculosis in immunocompromised hosts: epidemiological, clinical, and radiological assessment. Semin Roentgenol, 1993,28:119-130.
, http://www.100md.com
3,Washington L , Miller WT Jr. Mycobacterial infection in immunocompromised patients. J Thorac Imaging, 1998,13:271-281.
4,Ikezoe J, Takeuchi N,Johkoh T, et al. CT appearance of pulmonary tuberculosis in diabetic and immunocompromised patients: comparison with patients who had no underlying disease.AJR,1992,159:1175-1179.
5,彭卫生,王英年,肖成志,主编.新编结核病学. 北京: 中国医药科技出版社,1994. 223-225.
6,何礼贤. 免疫损害患者并发肺结核的若干临床问题.中华结核和呼吸杂志,1996,19:5-6.
, 百拇医药
7,Conces DJ Jr. Pulmonary infections in immunocompromised patients who do not have acquired immunodeficiency syndrome : a systematic approach. J Thorac Imaging, 1998,13:234-246.
8,Logan PM, Finnegan MM. Pulmonary complications in AIDS: CT appearances .Clin Radiol, 1998, 53: 567-573.
9,Richards PJ, Armstrong P, Parkin JM, et al .Chest imaging in AIDS. Clin Radiol, 1998, 53:554-566.
10,Hong SH, Im JG, Lee JS, et al. High resolution CT findings of miliary tuberculosis. J Comput Assist Tomogr,1998,22:220-224.
, 百拇医药
11,Pastores SM, Naidich DP, Aranda CP, et al.Intrathoracic adenopathy associated with pulmonary tuberculosis in patients with human immunodeficiency virus infection. Chest, 1993,103:1433-1437.
12,Keiper MD, Beumont M, Elshami A, et al. CD4T lymphocyde count and the radiographic presentation of pulmonary tuberculosis: a study of the relationship between these factors in patients with human immunodeficiency virus infection. Chest, 1995,107:74-80.
(收稿日期:2000-03-21), 百拇医药