35 例肺结核的CT误诊分析
作者:李铁一 冀景玲 葛立
单位:100050 北京,首都医科大学附属北京友谊医院放射科
关键词:结核,肺;误诊;体层摄影术,X线计算机
中华放射学杂志000903 【摘要】 目的 分析35例肺结核误诊的原因,总结肺结核的CT表现。方法 35例误诊病例中男19例,女16例,年龄18~79岁。均做胸部CT平扫,由2位主任医师逐例回顾分析CT片,并与病理对照,找出误诊原因。结果 35例肺结核误诊为肺癌29例,肺炎4例,其他疾病2例。误诊病例中呈结节及肿块病灶14例,呈肺段、肺叶阴影19例,肺门及纵隔肿块2例。结论 CT表现不典型、CT检查不全面及胸部CT表现未与胸片表现综合分析是误诊的主要原因。
Analysis on misdiagnosis of 35 patients with pulmonary tuberculosis on CT films
, 百拇医药
LI Tieyi,JI Jingling,GE Li.
(Department of Radiology, Beijing Friendship Hospital,the Capital Medical College, Beijing 100050, China)
【Abstract】 Objective To investigate CT characteristics of pulmonary tuberculosis by analyzing the reasons of misdiagnosis in 35 patients with pulmonary tuberculosis. Methods The patients in this study included 19 men and 16 women, with ages ranging from 18 to 79 years old. Chest CT scans were performed in all patients. The CT films were reviewed retrospectively by two senior radiologists and were correlated with pathologic findings. The misdiagnosing reasons were analyzed. Results Misdiagnoses as lung cancer were made in 29 cases, pneumonia in 4 cases, and other diseases in 2 cases. The lesions on CT films appeared as nodules and masses in 14 cases, pulmonary segmental and lobar shadows in 19 cases ,and hilar and mediastinal masses in 2 cases. ConclusionThe main causes of misdiagnosis for pulmonary tuberculosis are atypical radiological appearance on CT films, inadequate visualized lesions, and lacking of combination of CT findings with that of chest radiography.
, 百拇医药
【Key words】 Tuberculosis, pulmonary; Diagnostic errors; Tomography, X-ray computed
近年胸部CT及MRI在肺结核鉴别诊断中的应用引起一些著者的重视[1-8],在寻找肺结核的CT和MRI征象方面进行了探讨,无疑提高了肺结核的诊断正确率,但误诊病例还时有发生。笔者通过回顾分析误诊病例,总结误诊的经验与教训。
材料与方法
本组35例误诊病例中,男19例,女16例。年龄18~79岁,45岁以下17例。临床表现为低热及高热14例,咯痰及咯血各9例,咳嗽20例,胸痛7例,有6例为体检发现,无任何临床症状。病程在半年以下26 例。手术证实26例,支气管镜病理证实2例,肺穿刺活检证实2例,痰结核菌阳性5例。全部病例均摄有胸部X线平片。
, http://www.100md.com
使用CT设备PQ 2000 18 例,Somaton DR3 15例,Elscint 2000 Sprint 2例。35例均做常规胸部CT平扫,在常规胸部CT平扫基础上,5例增作病灶薄层扫描,3例作了增强扫描。上述病例由2位主任医师逐例回顾分析CT片,并与平片、病理对照,找出误诊原因。
结果
在误诊病例中误诊为肺癌29例,肺炎4例,支气管先天发育异常1例,结节病1例。表现为结节及肿块病灶14例,呈肺段、肺叶阴影19例,肺门及纵隔肿块2例。
1.呈结节和肿块形状:14例,直径3.0 cm以下8例,3.1~4.1 cm 6例(图1,2),结节和肿块影像的分叶征、毛刺征和胸膜线影是误诊为肺癌的主要征象,其中具有分叶征6例,毛刺征8例,胸膜线影7例,具有与周围型肺癌难鉴别的征象为分叶征、毛刺征。而有助于鉴别诊断征象的卫星灶只有6例,肺门淋巴结增大1例,纵隔淋巴结增大3例。
, 百拇医药
2.呈肺段和肺叶阴影:19例(图3,4),其中11例在病理上表现为支气管内膜结核,在CT上肺段、肺叶影像内见空气支气管征8例,支气管狭窄和梗阻11例,狭窄支气管壁增厚程度不同,多为轻度增厚。CT表现为肺段、肺叶阴影的,在病理上肺段、肺叶内见多发增殖和干酪病灶,这些病灶之间为慢性非特异性炎症。对切除的肺段、肺叶进行CT扫描,有多数病灶的肺段、肺叶的密度均匀,分辨不出肺段和肺叶内病灶的密度差。
图5 肺窗:右肺门部不规则高密度肿块,大小28 mm×40 mm,CT值68.7 HU,病灶前方邻近外侧隐约见少许散在小点状高密度灶
图6为图5纵隔窗:右中叶支气管壁增厚,管腔略窄
, 百拇医药
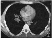
图7 为图5纵隔窗:分歧下淋巴结肿大,短径为20 cm。术前诊断:右侧中央型肺癌,纵隔淋巴结转移;术后病理诊断:干酪增殖性肺结核
图1 肺窗:右肺下叶背段胸膜下孤立结节,直径2 cm,边缘毛糙,CT值54 HU,病灶与胸膜间见多条线影
图2 为图1纵隔窗:病灶密度均匀,边缘光滑。术前诊断:周围型肺癌;术后病理诊断:干酪增殖性肺结核
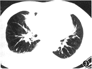
图3 肺窗:右肺中叶内侧段见不规则条片状高密度灶,边缘模糊,CT值47 HU
, http://www.100md.com
图4 为图3纵隔窗:于右中叶片状影内见空气支气管征,并见局限性胸膜病变。术前诊断:右中叶炎症;术后病理诊断:干酪增殖性肺结核
3.肺门及纵隔淋巴结增大:2例(图5~7),1例表现为血管前、左侧主动脉弓旁支气管分歧下及左肺门淋巴结均增大,并融合成巨块状。另1例表现为右肺门及支气管分歧下淋巴结增大,尤以右肺门淋巴结增大为明显。这2例中1例 22岁,另1例 66岁。
讨论
一、误诊原因
本组CT误诊病例中:(1)肺内孤立结节和肿块,肺段、肺叶实变影像及肺门和纵隔淋巴结增大表现不典型而误诊8例;(2)CT检查不全面16例,对肺内结节和肿块表现不典型的病例未补充做薄层、高分辨率和增强扫描。对于有肺段和肺叶实变影像者,未补充肺段和肺叶支气管薄层扫描;(3)胸部CT表现未与胸片表现结合11例,CT诊断医生诊断时不了解胸片表现,若两者结合可以正确判断病变形态。
, 百拇医药
肺内孤立结节和肿块影像中分叶征、毛刺征和胸膜线影在周围型肺癌多见,在3个征象中胸膜线影从CT上较难鉴别结核的粘连带和周围型肺癌的胸膜凹陷;边缘毛刺征的诊断价值取决于读片医生的经验;分叶征较容易掌握,若能够将CT上的分叶征和胸片上的分叶征相互印证,可减少误诊。
对于肺段、肺叶实变影像的肺叶、段支气管做补充薄层扫描,有助于与中央型肺癌的鉴别;两下叶的病变有时需要补充大气管体层与胸部CT扫描表现相互印证。
二、肺结核的CT诊断
病灶的好发部位和病灶的多形态是CT诊断继发性肺结核的依据,在病灶定位方面是胸片不能比拟的,在病灶形态方面CT可以准确区分结节、空洞和斑片状病灶影像。本组病例均为单一形态影像,此种表现比多灶、多形态病灶定性诊断困难。
1.结节和肿块影像:孤立结节和肿块的鉴别诊断经常徘徊在结核、炎症与周围型肺癌之间,将孤立结节和肿块表现误诊为周围型肺癌时有发生,从CT应用于胸部疾病诊断以来,一些著者探讨结核CT表现,认为病灶边缘光滑、灶内密度均匀、卫星灶及钙化是结核的特点[6]。近年来有些著者对于肺内孤立结节和肿块增强扫描感兴趣,认为结核瘤增强CT值小于10~20 HU[3,4],不增强或包膜样增强[5]。回顾观察误诊病例,笔者认为结节和肿块的形态对于定性诊断比较重要,未能准确分辨分叶征和不规则形态是导致误诊的主要原因。胸片与胸部CT表现对照表明,胸片和胸部CT均有分叶征时诊断较为可靠。毛刺征对于结核不是典型征象,将毛刺征象认错也是误诊的主要原因,在CT上毛刺征应是在结节和肿块周边部位排列较整齐的短线影,本组误诊病例中,将不典型毛刺误认为典型毛刺。
, 百拇医药
结节或肿块与胸膜之间的多条胸膜线影多见于结核,1条线影不易鉴别是结核粘连带还是周围型肺癌胸膜凹陷。
肺内孤立结节和肿块位于肺后部,形状规则、边缘清楚、病灶内有钙化灶,形成壁厚薄均匀的空洞,病灶密度不均匀,病灶中央较周围密度低以及病灶周围有卫星灶,病灶不增强等征象对于CT诊断结核有帮助。
2.肺段、肺叶实变影像:在CT上表现为肺段和肺叶阴影,在病理上可为支气管内膜结核引起的肺不张或浸润型肺结核。支气管内膜结核的CT征象为:肺段和肺叶阴影内多见空气支气管征,这是支气管狭窄的征象,支气管管腔可有不同程度的狭窄或支气管管壁可不同程度增厚。无空气支气管征、密度均匀为支气管梗阻或浸润型肺结核的表现。支气管内膜结核致管腔狭窄处的管壁轻度增厚,一般为2~3 mm。同时伴有肺门或纵隔淋巴结增大或增多时,与中央型肺癌鉴别困难,这是不典型肺结核的表现。呈肺段、肺叶阴影的浸润型肺结核在病理上可为肺段、肺叶内多发干酪及增殖性结核病灶和肺部非特异性炎症,在CT上肺段、肺叶支气管管腔无显著改变。
, http://www.100md.com
呈肺段、肺叶阴影的肺结核伴纵隔淋巴结增大时,以分歧下淋巴结增大较明显。
肺段、肺叶实变影像,特别是肺段影像;支气管管腔轻度狭窄、管壁轻度增厚;肺段、肺叶阴影内密度不均匀,可见钙化、空洞或支气管扩张所致的空腔;肺门及纵隔淋巴结轻度增大,可见钙化,纵隔淋巴结增大以分歧下为著时应考虑为结核。
三、肺结核CT诊断的限度
典型的肺结核根据CT表现不难作出诊断,结核病灶表现不典型时CT诊断比较困难。近年来由于老年肺结核增多,结核耐药性增加,给结核诊断带来困难。在误诊病例中有1例在CT上病灶呈肿块形状,在系统抗痨治疗下病灶增多、增大,颈淋巴结活检证实为颈淋巴结结核,继续抗痨不见效,开胸活检证明为肺结核。笔者认为,肺结核CT诊断有一定限度,对于诊断有困难的病例,因较长时间的动态观察可延误治疗,故应积极进行经胸穿刺活检或行纤维支气管镜检查。
, 百拇医药
参考文献
1,罗斗强, 石木兰,吴宁. 拟似肺癌的不典型肺结核.临床放射学杂志, 1993, 121: 158-160.
2,Choe KQ, Jeong HJ, Sohn HY. Tuberculous bronchial stenosis: CT fingings in 28 cases. AJR, 1990, 155: 971-976.
3,Lee KS, Kim YH, Kim WS, et al. Endobronchial tuberculosis: CT features. J Comput Assist Tomogr, 1991,13: 424-428.
4,曾纪珍,夏宇. 周围型肺癌与肺结核瘤胸部动态增强CT扫描鉴别及机理的研究. 中华放射学杂志, 1998,32增刊:39-42.
5,肖国文,李铁一,李辉. CT增强扫描鉴别诊断肺内孤立小结节价值. 中国医学影像学杂志, 2000,8:27-29.
6,李铁一. 肺结核的影像诊断. 中华放射学杂志, 1997,31:717.
7,彭光明. 直径3 cm的肺癌和肺结核瘤的鉴别. 中华结核和呼吸杂志, 1995,18:218.
8, 曾庆思,谢念危,邹韶铭,等.动态CT扫描对肺部孤立结节的评价.中华放射学杂志,1997,31:164-167.
(收稿日期:2000-03-15), http://www.100md.com
单位:100050 北京,首都医科大学附属北京友谊医院放射科
关键词:结核,肺;误诊;体层摄影术,X线计算机
中华放射学杂志000903 【摘要】 目的 分析35例肺结核误诊的原因,总结肺结核的CT表现。方法 35例误诊病例中男19例,女16例,年龄18~79岁。均做胸部CT平扫,由2位主任医师逐例回顾分析CT片,并与病理对照,找出误诊原因。结果 35例肺结核误诊为肺癌29例,肺炎4例,其他疾病2例。误诊病例中呈结节及肿块病灶14例,呈肺段、肺叶阴影19例,肺门及纵隔肿块2例。结论 CT表现不典型、CT检查不全面及胸部CT表现未与胸片表现综合分析是误诊的主要原因。
Analysis on misdiagnosis of 35 patients with pulmonary tuberculosis on CT films
, 百拇医药
LI Tieyi,JI Jingling,GE Li.
(Department of Radiology, Beijing Friendship Hospital,the Capital Medical College, Beijing 100050, China)
【Abstract】 Objective To investigate CT characteristics of pulmonary tuberculosis by analyzing the reasons of misdiagnosis in 35 patients with pulmonary tuberculosis. Methods The patients in this study included 19 men and 16 women, with ages ranging from 18 to 79 years old. Chest CT scans were performed in all patients. The CT films were reviewed retrospectively by two senior radiologists and were correlated with pathologic findings. The misdiagnosing reasons were analyzed. Results Misdiagnoses as lung cancer were made in 29 cases, pneumonia in 4 cases, and other diseases in 2 cases. The lesions on CT films appeared as nodules and masses in 14 cases, pulmonary segmental and lobar shadows in 19 cases ,and hilar and mediastinal masses in 2 cases. ConclusionThe main causes of misdiagnosis for pulmonary tuberculosis are atypical radiological appearance on CT films, inadequate visualized lesions, and lacking of combination of CT findings with that of chest radiography.
, 百拇医药
【Key words】 Tuberculosis, pulmonary; Diagnostic errors; Tomography, X-ray computed
近年胸部CT及MRI在肺结核鉴别诊断中的应用引起一些著者的重视[1-8],在寻找肺结核的CT和MRI征象方面进行了探讨,无疑提高了肺结核的诊断正确率,但误诊病例还时有发生。笔者通过回顾分析误诊病例,总结误诊的经验与教训。
材料与方法
本组35例误诊病例中,男19例,女16例。年龄18~79岁,45岁以下17例。临床表现为低热及高热14例,咯痰及咯血各9例,咳嗽20例,胸痛7例,有6例为体检发现,无任何临床症状。病程在半年以下26 例。手术证实26例,支气管镜病理证实2例,肺穿刺活检证实2例,痰结核菌阳性5例。全部病例均摄有胸部X线平片。
, http://www.100md.com
使用CT设备PQ 2000 18 例,Somaton DR3 15例,Elscint 2000 Sprint 2例。35例均做常规胸部CT平扫,在常规胸部CT平扫基础上,5例增作病灶薄层扫描,3例作了增强扫描。上述病例由2位主任医师逐例回顾分析CT片,并与平片、病理对照,找出误诊原因。
结果
在误诊病例中误诊为肺癌29例,肺炎4例,支气管先天发育异常1例,结节病1例。表现为结节及肿块病灶14例,呈肺段、肺叶阴影19例,肺门及纵隔肿块2例。
1.呈结节和肿块形状:14例,直径3.0 cm以下8例,3.1~4.1 cm 6例(图1,2),结节和肿块影像的分叶征、毛刺征和胸膜线影是误诊为肺癌的主要征象,其中具有分叶征6例,毛刺征8例,胸膜线影7例,具有与周围型肺癌难鉴别的征象为分叶征、毛刺征。而有助于鉴别诊断征象的卫星灶只有6例,肺门淋巴结增大1例,纵隔淋巴结增大3例。
, 百拇医药
2.呈肺段和肺叶阴影:19例(图3,4),其中11例在病理上表现为支气管内膜结核,在CT上肺段、肺叶影像内见空气支气管征8例,支气管狭窄和梗阻11例,狭窄支气管壁增厚程度不同,多为轻度增厚。CT表现为肺段、肺叶阴影的,在病理上肺段、肺叶内见多发增殖和干酪病灶,这些病灶之间为慢性非特异性炎症。对切除的肺段、肺叶进行CT扫描,有多数病灶的肺段、肺叶的密度均匀,分辨不出肺段和肺叶内病灶的密度差。
图5 肺窗:右肺门部不规则高密度肿块,大小28 mm×40 mm,CT值68.7 HU,病灶前方邻近外侧隐约见少许散在小点状高密度灶
图6为图5纵隔窗:右中叶支气管壁增厚,管腔略窄
, 百拇医药
图7 为图5纵隔窗:分歧下淋巴结肿大,短径为20 cm。术前诊断:右侧中央型肺癌,纵隔淋巴结转移;术后病理诊断:干酪增殖性肺结核
图1 肺窗:右肺下叶背段胸膜下孤立结节,直径2 cm,边缘毛糙,CT值54 HU,病灶与胸膜间见多条线影
图2 为图1纵隔窗:病灶密度均匀,边缘光滑。术前诊断:周围型肺癌;术后病理诊断:干酪增殖性肺结核
图3 肺窗:右肺中叶内侧段见不规则条片状高密度灶,边缘模糊,CT值47 HU
, http://www.100md.com
图4 为图3纵隔窗:于右中叶片状影内见空气支气管征,并见局限性胸膜病变。术前诊断:右中叶炎症;术后病理诊断:干酪增殖性肺结核
3.肺门及纵隔淋巴结增大:2例(图5~7),1例表现为血管前、左侧主动脉弓旁支气管分歧下及左肺门淋巴结均增大,并融合成巨块状。另1例表现为右肺门及支气管分歧下淋巴结增大,尤以右肺门淋巴结增大为明显。这2例中1例 22岁,另1例 66岁。
讨论
一、误诊原因
本组CT误诊病例中:(1)肺内孤立结节和肿块,肺段、肺叶实变影像及肺门和纵隔淋巴结增大表现不典型而误诊8例;(2)CT检查不全面16例,对肺内结节和肿块表现不典型的病例未补充做薄层、高分辨率和增强扫描。对于有肺段和肺叶实变影像者,未补充肺段和肺叶支气管薄层扫描;(3)胸部CT表现未与胸片表现结合11例,CT诊断医生诊断时不了解胸片表现,若两者结合可以正确判断病变形态。
, 百拇医药
肺内孤立结节和肿块影像中分叶征、毛刺征和胸膜线影在周围型肺癌多见,在3个征象中胸膜线影从CT上较难鉴别结核的粘连带和周围型肺癌的胸膜凹陷;边缘毛刺征的诊断价值取决于读片医生的经验;分叶征较容易掌握,若能够将CT上的分叶征和胸片上的分叶征相互印证,可减少误诊。
对于肺段、肺叶实变影像的肺叶、段支气管做补充薄层扫描,有助于与中央型肺癌的鉴别;两下叶的病变有时需要补充大气管体层与胸部CT扫描表现相互印证。
二、肺结核的CT诊断
病灶的好发部位和病灶的多形态是CT诊断继发性肺结核的依据,在病灶定位方面是胸片不能比拟的,在病灶形态方面CT可以准确区分结节、空洞和斑片状病灶影像。本组病例均为单一形态影像,此种表现比多灶、多形态病灶定性诊断困难。
1.结节和肿块影像:孤立结节和肿块的鉴别诊断经常徘徊在结核、炎症与周围型肺癌之间,将孤立结节和肿块表现误诊为周围型肺癌时有发生,从CT应用于胸部疾病诊断以来,一些著者探讨结核CT表现,认为病灶边缘光滑、灶内密度均匀、卫星灶及钙化是结核的特点[6]。近年来有些著者对于肺内孤立结节和肿块增强扫描感兴趣,认为结核瘤增强CT值小于10~20 HU[3,4],不增强或包膜样增强[5]。回顾观察误诊病例,笔者认为结节和肿块的形态对于定性诊断比较重要,未能准确分辨分叶征和不规则形态是导致误诊的主要原因。胸片与胸部CT表现对照表明,胸片和胸部CT均有分叶征时诊断较为可靠。毛刺征对于结核不是典型征象,将毛刺征象认错也是误诊的主要原因,在CT上毛刺征应是在结节和肿块周边部位排列较整齐的短线影,本组误诊病例中,将不典型毛刺误认为典型毛刺。
, 百拇医药
结节或肿块与胸膜之间的多条胸膜线影多见于结核,1条线影不易鉴别是结核粘连带还是周围型肺癌胸膜凹陷。
肺内孤立结节和肿块位于肺后部,形状规则、边缘清楚、病灶内有钙化灶,形成壁厚薄均匀的空洞,病灶密度不均匀,病灶中央较周围密度低以及病灶周围有卫星灶,病灶不增强等征象对于CT诊断结核有帮助。
2.肺段、肺叶实变影像:在CT上表现为肺段和肺叶阴影,在病理上可为支气管内膜结核引起的肺不张或浸润型肺结核。支气管内膜结核的CT征象为:肺段和肺叶阴影内多见空气支气管征,这是支气管狭窄的征象,支气管管腔可有不同程度的狭窄或支气管管壁可不同程度增厚。无空气支气管征、密度均匀为支气管梗阻或浸润型肺结核的表现。支气管内膜结核致管腔狭窄处的管壁轻度增厚,一般为2~3 mm。同时伴有肺门或纵隔淋巴结增大或增多时,与中央型肺癌鉴别困难,这是不典型肺结核的表现。呈肺段、肺叶阴影的浸润型肺结核在病理上可为肺段、肺叶内多发干酪及增殖性结核病灶和肺部非特异性炎症,在CT上肺段、肺叶支气管管腔无显著改变。
, http://www.100md.com
呈肺段、肺叶阴影的肺结核伴纵隔淋巴结增大时,以分歧下淋巴结增大较明显。
肺段、肺叶实变影像,特别是肺段影像;支气管管腔轻度狭窄、管壁轻度增厚;肺段、肺叶阴影内密度不均匀,可见钙化、空洞或支气管扩张所致的空腔;肺门及纵隔淋巴结轻度增大,可见钙化,纵隔淋巴结增大以分歧下为著时应考虑为结核。
三、肺结核CT诊断的限度
典型的肺结核根据CT表现不难作出诊断,结核病灶表现不典型时CT诊断比较困难。近年来由于老年肺结核增多,结核耐药性增加,给结核诊断带来困难。在误诊病例中有1例在CT上病灶呈肿块形状,在系统抗痨治疗下病灶增多、增大,颈淋巴结活检证实为颈淋巴结结核,继续抗痨不见效,开胸活检证明为肺结核。笔者认为,肺结核CT诊断有一定限度,对于诊断有困难的病例,因较长时间的动态观察可延误治疗,故应积极进行经胸穿刺活检或行纤维支气管镜检查。
, 百拇医药
参考文献
1,罗斗强, 石木兰,吴宁. 拟似肺癌的不典型肺结核.临床放射学杂志, 1993, 121: 158-160.
2,Choe KQ, Jeong HJ, Sohn HY. Tuberculous bronchial stenosis: CT fingings in 28 cases. AJR, 1990, 155: 971-976.
3,Lee KS, Kim YH, Kim WS, et al. Endobronchial tuberculosis: CT features. J Comput Assist Tomogr, 1991,13: 424-428.
4,曾纪珍,夏宇. 周围型肺癌与肺结核瘤胸部动态增强CT扫描鉴别及机理的研究. 中华放射学杂志, 1998,32增刊:39-42.
5,肖国文,李铁一,李辉. CT增强扫描鉴别诊断肺内孤立小结节价值. 中国医学影像学杂志, 2000,8:27-29.
6,李铁一. 肺结核的影像诊断. 中华放射学杂志, 1997,31:717.
7,彭光明. 直径3 cm的肺癌和肺结核瘤的鉴别. 中华结核和呼吸杂志, 1995,18:218.
8, 曾庆思,谢念危,邹韶铭,等.动态CT扫描对肺部孤立结节的评价.中华放射学杂志,1997,31:164-167.
(收稿日期:2000-03-15), http://www.100md.com