覆膜支架术治疗髂总动脉瘤破裂伴假性动脉瘤一例
作者:方淳 陈克敏 华佳 殷炎
单位:200001 上海第二医科大学附属仁济医院放射科
关键词:
中华放射学杂志000923
近年来,覆膜支架术治疗血管动脉瘤的方法开始运用于临床。主要是采用被膜支架将血流与动脉瘤隔开,使动脉瘤缩小、机化,可有效防止动脉瘤破裂,在有关血管外科文献中也称之为腔内隔绝术[1,2]。该方法运用于单纯性髂总动脉瘤的报道尚少见[3]。现将最近1例采用被膜支架治疗髂总动脉瘤的过程和体会报告如下。
患者 女,72岁。无明显诱因持续性发热1个月余,体温达38.5~40.0℃。右下腹部阵发性胀痛,并向腰背部放射。体检:右下腹可触及一6 cm×5 cm左右肿块,质硬,压痛明显,边界清楚,活动性差,可触及搏动,伴有收缩期杂音。患者有多年高血压及糖尿病史,同时患有多囊肝及多囊肾。
, http://www.100md.com
MRI检查:右侧髂总动脉周围可见一约6 cm×4 cm左右异常信号病灶,包裹髂总动脉,病灶呈长 T1、长 T2,信号欠均匀。MR血管造影(MRA)示右侧髂总动脉通畅,病变区管腔有狭窄,病灶包绕髂总动脉,与髂内动脉无明显关系,右髂外动脉有轻度扭曲表现(图1)。
图1 MRA示右髂总动脉管腔通畅,病灶包绕髂总动脉,边界清楚,髂外动脉明显扭曲
图2 DSA示右髂总动脉靠近髂内动脉处见一明显破口,对比剂由此溢出
图3 DSA示右髂总动脉管腔增宽,局部向腔外凸出,壁欠规则。溢出对比剂包绕右髂总动脉,形成假性动脉瘤
, 百拇医药
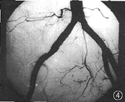
图4 覆膜支架术后,DSA示右髂总动脉管壁光整、通畅,管腔大小正常,原病变消失
DSA检查:腹主动脉管腔大小在正常范围,管壁光整,右侧髂总动脉有节段性管腔增宽,管壁欠规则,病变区见一明显破口,对比剂从破口溢出(图2),并在髂总动脉周围形成一巨大瘤腔(图3),可见其内对比剂完全充盈,边界清楚。病变段位于近髂内动脉开口处。
术前诊断:右髂总动脉瘤破裂伴假性动脉瘤。
手术经过:器械采用Boston 公司 Passeger 支架(直径1 cm,长度6 cm),为镍钛合金的温控记忆支架,由Cragg支架外覆一层人工血管制成。手术在Philips V3000型DSA机上进行,常规消毒铺巾,局麻下行左侧股动脉穿刺,并置入导管鞘,将 5 F Cobra导管选择性置于右侧髂内动脉(操作中避免损伤动脉瘤),先用弹簧圈(Boston)将右髂内动脉完全栓塞,再行右侧股动脉切开暴露,穿刺后置入血管鞘(Meadox-Passager introducer sheath),因考虑到所用Passeger支架推送装置为9 F直径,为避免穿刺后止血不佳,故采用小切口将右侧股动脉暴露,以便术后止血。做路径造影后在路径导引下达腹主动脉分叉处,再联接支架装置与管鞘,由推送导管(Pusher catheter)推顶支架至病变处,再释放 Passager支架,并予以球囊充分扩张。术后行造影,示右髂总动脉病变区消失,无内漏(图4)。
, http://www.100md.com
讨论 动脉瘤是常见老年性疾病,可发生突发破裂和栓塞,对病人生命造成极大的危险。以往采用剖腹术,阻断循环,用人造血管缝合的方法进行治疗,创伤性大,尤其对于年老体弱者,伴有其他脏器功能异常者手术危险性更大。髂总动脉瘤覆膜支架术治疗与之相比具有明显优越性:(1)微创性:覆膜支架术只需在局麻下行局部股动脉切开暴露或穿刺,伤口仅4 cm左右,即可完成整个手术。而且避免在手术过程中的麻醉等意外,手术时间只需1~2 h,术后4 d即可出院,无需长期住院,病人术后恢复快。(2)危险性低,适用范围广:覆膜支架术无需剖腹,阻断血流,手术时间短,只需局部麻醉。可适用于年老体弱者,及伴有其他疾病无法耐受手术的患者。术中并发症少,危险性低。(3)疗效好:手术过程在DSA导引下进行,定位十分准确,可完全覆盖病变区。并且术中随时可行血管造影观察疗效,并加以调整至最佳状态。因此腔内隔绝术是一种理想的血管瘤治疗方法。
参考文献
1,Parodi JC,Marin ML,Veith FJ. Transfemoral, endovascular stented graft repair of an abdominal aortic aneurysm. Arch Surg,1995,130:549-552.
2,Lumsden AB, Allen RC, Chaikof EL, et al. Delayed rupture of aortic aneurysms following endovascular stent grafting. Am J Surg, 1995, 170:174-178.
3,Kasirajan V, Hertzer NR, Beven EG. Management of isolated common iliac artery aneurysms. Curdiovasc Surg,1998,6:171-177.
(收稿日期:1999-09-13), 百拇医药
单位:200001 上海第二医科大学附属仁济医院放射科
关键词:
中华放射学杂志000923
近年来,覆膜支架术治疗血管动脉瘤的方法开始运用于临床。主要是采用被膜支架将血流与动脉瘤隔开,使动脉瘤缩小、机化,可有效防止动脉瘤破裂,在有关血管外科文献中也称之为腔内隔绝术[1,2]。该方法运用于单纯性髂总动脉瘤的报道尚少见[3]。现将最近1例采用被膜支架治疗髂总动脉瘤的过程和体会报告如下。
患者 女,72岁。无明显诱因持续性发热1个月余,体温达38.5~40.0℃。右下腹部阵发性胀痛,并向腰背部放射。体检:右下腹可触及一6 cm×5 cm左右肿块,质硬,压痛明显,边界清楚,活动性差,可触及搏动,伴有收缩期杂音。患者有多年高血压及糖尿病史,同时患有多囊肝及多囊肾。
, http://www.100md.com
MRI检查:右侧髂总动脉周围可见一约6 cm×4 cm左右异常信号病灶,包裹髂总动脉,病灶呈长 T1、长 T2,信号欠均匀。MR血管造影(MRA)示右侧髂总动脉通畅,病变区管腔有狭窄,病灶包绕髂总动脉,与髂内动脉无明显关系,右髂外动脉有轻度扭曲表现(图1)。
图1 MRA示右髂总动脉管腔通畅,病灶包绕髂总动脉,边界清楚,髂外动脉明显扭曲
图2 DSA示右髂总动脉靠近髂内动脉处见一明显破口,对比剂由此溢出
图3 DSA示右髂总动脉管腔增宽,局部向腔外凸出,壁欠规则。溢出对比剂包绕右髂总动脉,形成假性动脉瘤
, 百拇医药
图4 覆膜支架术后,DSA示右髂总动脉管壁光整、通畅,管腔大小正常,原病变消失
DSA检查:腹主动脉管腔大小在正常范围,管壁光整,右侧髂总动脉有节段性管腔增宽,管壁欠规则,病变区见一明显破口,对比剂从破口溢出(图2),并在髂总动脉周围形成一巨大瘤腔(图3),可见其内对比剂完全充盈,边界清楚。病变段位于近髂内动脉开口处。
术前诊断:右髂总动脉瘤破裂伴假性动脉瘤。
手术经过:器械采用Boston 公司 Passeger 支架(直径1 cm,长度6 cm),为镍钛合金的温控记忆支架,由Cragg支架外覆一层人工血管制成。手术在Philips V3000型DSA机上进行,常规消毒铺巾,局麻下行左侧股动脉穿刺,并置入导管鞘,将 5 F Cobra导管选择性置于右侧髂内动脉(操作中避免损伤动脉瘤),先用弹簧圈(Boston)将右髂内动脉完全栓塞,再行右侧股动脉切开暴露,穿刺后置入血管鞘(Meadox-Passager introducer sheath),因考虑到所用Passeger支架推送装置为9 F直径,为避免穿刺后止血不佳,故采用小切口将右侧股动脉暴露,以便术后止血。做路径造影后在路径导引下达腹主动脉分叉处,再联接支架装置与管鞘,由推送导管(Pusher catheter)推顶支架至病变处,再释放 Passager支架,并予以球囊充分扩张。术后行造影,示右髂总动脉病变区消失,无内漏(图4)。
, http://www.100md.com
讨论 动脉瘤是常见老年性疾病,可发生突发破裂和栓塞,对病人生命造成极大的危险。以往采用剖腹术,阻断循环,用人造血管缝合的方法进行治疗,创伤性大,尤其对于年老体弱者,伴有其他脏器功能异常者手术危险性更大。髂总动脉瘤覆膜支架术治疗与之相比具有明显优越性:(1)微创性:覆膜支架术只需在局麻下行局部股动脉切开暴露或穿刺,伤口仅4 cm左右,即可完成整个手术。而且避免在手术过程中的麻醉等意外,手术时间只需1~2 h,术后4 d即可出院,无需长期住院,病人术后恢复快。(2)危险性低,适用范围广:覆膜支架术无需剖腹,阻断血流,手术时间短,只需局部麻醉。可适用于年老体弱者,及伴有其他疾病无法耐受手术的患者。术中并发症少,危险性低。(3)疗效好:手术过程在DSA导引下进行,定位十分准确,可完全覆盖病变区。并且术中随时可行血管造影观察疗效,并加以调整至最佳状态。因此腔内隔绝术是一种理想的血管瘤治疗方法。
参考文献
1,Parodi JC,Marin ML,Veith FJ. Transfemoral, endovascular stented graft repair of an abdominal aortic aneurysm. Arch Surg,1995,130:549-552.
2,Lumsden AB, Allen RC, Chaikof EL, et al. Delayed rupture of aortic aneurysms following endovascular stent grafting. Am J Surg, 1995, 170:174-178.
3,Kasirajan V, Hertzer NR, Beven EG. Management of isolated common iliac artery aneurysms. Curdiovasc Surg,1998,6:171-177.
(收稿日期:1999-09-13), 百拇医药