顺铂诱导人卵巢癌AO 10/17细胞凋亡的实验研究
作者:刘勤 陈葳 李旭 李信民 杨玉琼 闫春芳 程小丽 任娟
单位:710061 西安医科大学第一附属医院妇产科[刘勤(现在浙江省绍兴市妇幼保健院),分子中心(陈葳,李旭,李信民,杨玉琼,闫春芳,程小丽,任娟)]
关键词:脱噬作用;顺铂;细胞周期;卵巢肿瘤
中华妇产科杂志980712 【摘要】 目的 探讨顺铂是否通过诱导肿瘤细胞凋亡而抑制肿瘤生长,以及细胞凋亡和细胞周期、细胞内外钙离子浓度的关系。方法 应用顺铂处理AO 10/17细胞,HE染色观察细胞形态学改变;琼脂糖凝胶电泳观察DNA降解,以及应用流式细胞仪观察细胞凋亡过程中细胞周期的改变及细胞内钙离子的变化。结果 在顺铂作用下,AO 10/17细胞呈凋亡改变,DNA琼脂糖凝胶电泳呈典型的凋亡特征。细胞凋亡的同时细胞周期发生特定的改变,细胞内钙离子升高,但用CaCl2与顺铂同时处理细胞,没有促进顺铂的作用。结论 顺铂通过细胞内钙离子变化,诱导人卵巢癌细胞凋亡,是顺铂抑制卵巢肿瘤生长的机理之一;顺铂诱导的细胞凋亡与细胞周期有关。
, 百拇医药
Experimental Study of Apoptosis Induced by Cisplatin in Human Ovarian Carcinoma AO 10/17 Cells Liu Qin, Chen Wei, Li Xu, et al. Hospital of Maternal and Child Health Care of Shao Xing City, Shao Xing 312000
【Abstract】 Objective Whether apoptosis induced by cisplatin resulted in tumor growth inhibition and the relationships between apoptosis and cell cycle, intracellular and extracellular Ca++ concentration were investi- gated. Methods AO 10/17 cells were treated with cisplatin. Morphological changes (HE stain) were observed under light microscope; DNA degradation was assayed by electrophoresis on agarose gel. The change of cell cycle was analyzed by flow cytometer and cytosolic Ca++ concentrations were monitored using probe of calcium ion fluo-3/AM. Results Under the influence of cisplatin, AO 10/17 cells exhibited changes of apotosis both in morphology and in the characteristics of electrophoresis. Meanwhile the cell cycle also showed special change and intracellular Ca++ concentration was increased. Increase in extracellular Ca++ concentration when AO 10/17 cells were treated with CaCl2 and cisplatin did not enhance the efficacy of cisplatin. Conclusion The results suggest that apoptosis followed by change of cytosolic Ca++ concentration is one of the mechanism of cisplatin in inhibition of ovarian tumor growth. It is closely related to cell cycle.
, 百拇医药
【Key words】 Apoptosis Cisplatin Cell cycle Ovarian neoplasms
顺铂在卵巢肿瘤化疗中的疗效已肯定,并发现顺铂可诱导肿瘤细胞凋亡。为探讨顺铂作用机理,充分发挥其抗肿瘤的作用,本实验研究了顺铂诱导人卵巢癌AO 10/17细胞凋亡的作用。现报道如下。
材料与方法
一、材料及仪器
人卵巢癌细胞系AO 10/17[1]购自中国科学院上海细胞生物研究所。顺铂(CDDP)由济南齐鲁制药厂生产。RPMI-1640培养基为美国Promega公司生产。使用前加小牛血清至10%,青霉素、链霉素至100 U/ml。DNA标记物PGEM也为美国Promega公司生产。流式细胞仪(FCM)为美国Coulter公司生产。钙离子探针fluo-3Am、碘化丙啶(PI)均为美国Sigma公司生产。主要试剂为:SEDTA [150 mmol NaCl加25 mmol 乙二胺四乙酸二钠(EDTA)];TBE缓冲液(89 mmol Tris 加80 mmol硼酸,再加2.5 mmol EDTA);2%琼脂糖凝胶(TBE缓冲液100 ml加入2 g琼脂糖加热融化)及10%十二烷基硫酸钠(SDS)(10 g SDS加水至100 ml)。
, http://www.100md.com
二、实验方法
1.细胞培养:人卵巢癌细胞AO 10/17培养于含有10%小牛血清,100 U/ml青霉素、链霉素的RPMI-1640培养基中,在37℃、5% CO2培养箱内常规传代培养。
2.观察细胞形态:取指数生长期细胞,分为对照组及实验组,用20 μmol顺铂处理实验组细胞2小时,于处理后36小时分别收集脱落细胞及附壁细胞,同时收集对照组附壁细胞,经HE染色,光镜下观察细胞形态。
3.DNA琼脂糖凝胶电泳:取指数生长期细胞,分为对照组及实验组,每份样本含1×107个细胞,用20 μmol顺铂处理实验组细胞2小时,更换培养液,24小时后收集细胞,提取DNA。具体方法为,于样本中加入0.25 μl 10% SDS, 10 μl蛋白酶K (5 mg/ml)和25 μl 生理盐水与EDTA混合物, 37℃水浴4小时,用饱和酚及氯仿-异戊醇(24∶1)分别提取2次,取上清液用NaCl及无水乙醇(冷)沉淀DNA,过夜。乙酸铵去除RNA,琼脂糖凝胶电泳,电压为60V,时间为1.5小时。
, http://www.100md.com
4.应用流式细胞仪分析DNA含量及细胞周期:取指数生长期细胞,分为对照组及实验组。实验组为3个亚组,即20 μmol顺铂组(Ⅰ组)、20 μmol顺铂+1 mmol CaCl2组(Ⅱ组)和1 mmol CaCl2组(Ⅲ组)。每组3个平行样本,药物处理2小时,更换培养基,6、12及24小时收集细胞,用碘化丙啶对DNA进行染色,采用流式细胞仪分析细胞周期及DNA含量。
5.检测细胞内钙离子变化[2]:按方法4处理细胞,每组3个平行样本,每份样本含2×106个细胞,12小时后收集细胞,用RPMI-1640培养基配成约每毫升含1×106细胞的浓度,参照文献[2]的方法,以fluo-3Am为探针,应用流式细胞仪检测细胞的荧光强度。
结果
一、AO 10/17细胞的形态学改变
, http://www.100md.com
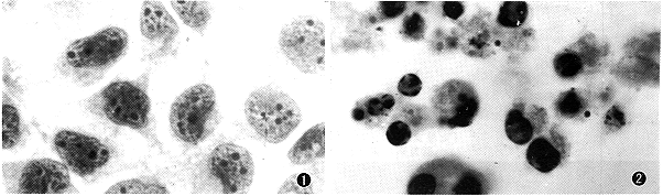
AO 10/17细胞为不规则形,呈铺路石状排列,核仁多为2~3个(图1)。20 μmol顺铂作用后36小时,细胞体积缩小,核染色质浓缩,沿核膜周围聚集,核膜卷曲,最后形成有膜包绕的凋亡小体(图2)。
二、DNA琼脂糖凝胶电泳
20 μmol顺铂作用后24小时,DNA琼脂糖凝胶电泳显示“梯形”条纹,即“ladder”(图3),DNA在核小体之间降解为以180~200 bp为基本单位的不同倍数的寡核苷酸片段。
三、DNA含量及细胞周期
图3 DNA琼脂糖凝胶电泳呈“梯形”条纹
经流式细胞仪分析,药物处理后12小时发生凋亡细胞的百分比见表1。经t检验,对照组与Ⅰ组比较,差异有极显著性(P<0.01);Ⅰ组与Ⅱ组及对照组与Ⅲ组比较,差异无显著性(P>0.05)。本研究结果说明,顺铂能诱导细胞凋亡;同时增加细胞外钙离子浓度,没有促进顺铂诱导凋亡的作用;单纯增加细胞外钙离子,不能诱导细胞凋亡。
, 百拇医药
表1 药物处理后12小时发生凋亡细胞的百分比 组别
细胞凋亡百分比(%,
±s)
P值
对照组
1.87±0.35
实验组
Ⅰ组
6.60±1.77
<0.01
Ⅱ组
4.77±0.61
, 百拇医药
>0.05
Ⅲ组
1.83±0.45
>0.05
由表2可见,20 μmol顺铂作用后6小时,细胞周期没有明显改变,作用后12小时,G1期细胞百分比升高,G2/M期百分比下降,S期无明显改变,作用后24小时细胞周期改变与12小时基本相同。表2 药物作用后细胞周期变化(%) 组别
6小时
12小时
24小时
G1
, http://www.100md.com
S
G2/M
G1
S
G2/M
G1
S
G2/M
对照组
43.3
14.5
43.2
, 百拇医药
30.4
10.6
59.0
39.9
24.9
35.2
实验组
Ⅰ组
35.7
20.3
44.8
58.4
13.4
, 百拇医药
27.8
52.5
27.7
19.8
Ⅱ组
35.8
22.8
41.4
61.3
12.7
26.0
50.8
27.2
, 百拇医药
22.0
Ⅲ组
36.8
18.0
44.2
24.9
6.2
68.9
43.6
26.3
30.1
四、细胞内钙离子变化
20 μmol顺铂作用后12小时,细胞内钙离子明显增加,同时细胞外液钙离子浓度也增加,高钙离子区细胞百分比增加到66.97%±0.35%,但较单纯用顺铂降低,见表3(P<0.01)。本研究结果说明,细胞外钙离子对顺铂有拮抗作用;单纯增加细胞外液钙离子,细胞内钙离子较对照组增加(P<0.01),说明细胞膜对钙离子有通透性。经t检验,对照组与Ⅰ组,Ⅰ组与Ⅱ组,及对照组与Ⅲ组比较,差异均有极显著性(P<0.01)。表3 药物处理后12小时细胞内钙离子变化 组别
, http://www.100md.com
高钙离子区细胞(%,±s)
P值
对照组
38.43±1.2
实验组
Ⅰ组
83.00±0.45
<0.01
Ⅱ组
66.97±0.35
Ⅲ组
52.43±0.61
, http://www.100md.com <0.01
讨论
一、顺铂对人卵巢癌AO 10/17细胞的作用
在顺铂的作用下,AO 10/17细胞发生凋亡,细胞凋亡的主要生化改变之一,是胞浆内钙离子升高,激活内源性核酸内切酶,导致DNA在核小体间降解,在琼脂糖凝胶电泳上呈梯形条纹,此为目前判断细胞凋亡的主要指标。实验中AO 10/17细胞的DNA降解符合此特征。
二、钙离子在细胞凋亡中的作用和意义
1984年,Cohen等提出,细胞凋亡是由于钙离子转运系统将钙离子转运到细胞核内,导致DNA降解的结果。许多研究表明,细胞在发生凋亡之前,胞浆内钙离子持续升高。如果预先用钙离子螯合剂处理细胞,可阻断DNA降解和细胞凋亡[3]。这些研究提示,钙离子在凋亡中起着重要的作用。由此设想,单纯增加细胞外钙离子是否能引起凋亡。本实验结果表明,单纯增加细胞外钙离子,能使钙离子进入细胞内,但不能诱导细胞凋亡,可见钙离子单独作用不足以激活核酸内切酶,导致DNA降解,还需要有其它机制的参与。
, http://www.100md.com
顺铂诱导AO 10/17细胞凋亡时,细胞内钙离子升高,但增加细胞外钙离子,没有促进顺铂的这种作用,也没有促进细胞凋亡,反而使细胞内钙离子较顺铂单独作用时降低,这可能是外界钙离子影响了顺铂的作用。顺铂的结构中有两个氯离子,外界的钙离子可能争夺顺铂中的氯离子,所以顺铂的作用受到影响。如果实验中选择顺铂作用后某一时间加入CaCl2,或许能避免二者的相互影响,促进顺铂的作用。
钙离子在细胞凋亡中的作用,可因细胞种类各异。在一些情况下,即使细胞内钙离子浓度很高,细胞也不发生凋亡[4]。这方面值得深入研究,以便指导临床应用顺铂时,可参考血清钙离子浓度,使顺铂更好地发挥作用。
三、细胞凋亡与细胞周期
曾有人提出,顺铂作用于细胞周期无特异性。但许多研究表明,顺铂诱导细胞凋亡的同时,细胞周期发生改变[5]。本研究中,AO 10/17细胞在顺铂作用下,细胞周期发生特定的改变,表明顺铂诱导细胞凋亡与细胞周期有关。进一步提示二者之间的关系,此对于化疗时选择周期特异性药物,促进诱导肿瘤细胞凋亡,具有重要的意义。
, http://www.100md.com
(本文图1,2见插页第10页)
参考文献
1 牟瀚舟,许沈华,张奕荫,等.人卵巢癌细胞系HO-8910的建立及其生物学特性.中华妇产科杂志,1994,29:16-164.
2 钱玉昆主编.实用免疫学新技术.北京:北京医科大学-中国协和医科大学联合出版社,1994.19.
3 Tak Yee AW, Nicotera P, Manzo L, et al. Tributyltin stimulates apoptosis in rat thymocytes. Arch Biochem Biophy, 1990, 283:46-50.
4 Mcconkey DJ. Inhibition of DNA fragmention in thymocytes and isolated thymocyte nuclei by agents that stimulate protein kinase C. J Biol Chem, 1989, 264:13399-13402.
5 Sorenson CM, Barry MA, Eastman A. Analysi of events associated with cell cycle arrest at G2 phase a cell death induced by cisplatin. Journal National Cancer Institute, 1990, 82:749-755.
(收稿:1997-07-24 修回:1998-02-17), http://www.100md.com
单位:710061 西安医科大学第一附属医院妇产科[刘勤(现在浙江省绍兴市妇幼保健院),分子中心(陈葳,李旭,李信民,杨玉琼,闫春芳,程小丽,任娟)]
关键词:脱噬作用;顺铂;细胞周期;卵巢肿瘤
中华妇产科杂志980712 【摘要】 目的 探讨顺铂是否通过诱导肿瘤细胞凋亡而抑制肿瘤生长,以及细胞凋亡和细胞周期、细胞内外钙离子浓度的关系。方法 应用顺铂处理AO 10/17细胞,HE染色观察细胞形态学改变;琼脂糖凝胶电泳观察DNA降解,以及应用流式细胞仪观察细胞凋亡过程中细胞周期的改变及细胞内钙离子的变化。结果 在顺铂作用下,AO 10/17细胞呈凋亡改变,DNA琼脂糖凝胶电泳呈典型的凋亡特征。细胞凋亡的同时细胞周期发生特定的改变,细胞内钙离子升高,但用CaCl2与顺铂同时处理细胞,没有促进顺铂的作用。结论 顺铂通过细胞内钙离子变化,诱导人卵巢癌细胞凋亡,是顺铂抑制卵巢肿瘤生长的机理之一;顺铂诱导的细胞凋亡与细胞周期有关。
, 百拇医药
Experimental Study of Apoptosis Induced by Cisplatin in Human Ovarian Carcinoma AO 10/17 Cells Liu Qin, Chen Wei, Li Xu, et al. Hospital of Maternal and Child Health Care of Shao Xing City, Shao Xing 312000
【Abstract】 Objective Whether apoptosis induced by cisplatin resulted in tumor growth inhibition and the relationships between apoptosis and cell cycle, intracellular and extracellular Ca++ concentration were investi- gated. Methods AO 10/17 cells were treated with cisplatin. Morphological changes (HE stain) were observed under light microscope; DNA degradation was assayed by electrophoresis on agarose gel. The change of cell cycle was analyzed by flow cytometer and cytosolic Ca++ concentrations were monitored using probe of calcium ion fluo-3/AM. Results Under the influence of cisplatin, AO 10/17 cells exhibited changes of apotosis both in morphology and in the characteristics of electrophoresis. Meanwhile the cell cycle also showed special change and intracellular Ca++ concentration was increased. Increase in extracellular Ca++ concentration when AO 10/17 cells were treated with CaCl2 and cisplatin did not enhance the efficacy of cisplatin. Conclusion The results suggest that apoptosis followed by change of cytosolic Ca++ concentration is one of the mechanism of cisplatin in inhibition of ovarian tumor growth. It is closely related to cell cycle.
, 百拇医药
【Key words】 Apoptosis Cisplatin Cell cycle Ovarian neoplasms
顺铂在卵巢肿瘤化疗中的疗效已肯定,并发现顺铂可诱导肿瘤细胞凋亡。为探讨顺铂作用机理,充分发挥其抗肿瘤的作用,本实验研究了顺铂诱导人卵巢癌AO 10/17细胞凋亡的作用。现报道如下。
材料与方法
一、材料及仪器
人卵巢癌细胞系AO 10/17[1]购自中国科学院上海细胞生物研究所。顺铂(CDDP)由济南齐鲁制药厂生产。RPMI-1640培养基为美国Promega公司生产。使用前加小牛血清至10%,青霉素、链霉素至100 U/ml。DNA标记物PGEM也为美国Promega公司生产。流式细胞仪(FCM)为美国Coulter公司生产。钙离子探针fluo-3Am、碘化丙啶(PI)均为美国Sigma公司生产。主要试剂为:SEDTA [150 mmol NaCl加25 mmol 乙二胺四乙酸二钠(EDTA)];TBE缓冲液(89 mmol Tris 加80 mmol硼酸,再加2.5 mmol EDTA);2%琼脂糖凝胶(TBE缓冲液100 ml加入2 g琼脂糖加热融化)及10%十二烷基硫酸钠(SDS)(10 g SDS加水至100 ml)。
, http://www.100md.com
二、实验方法
1.细胞培养:人卵巢癌细胞AO 10/17培养于含有10%小牛血清,100 U/ml青霉素、链霉素的RPMI-1640培养基中,在37℃、5% CO2培养箱内常规传代培养。
2.观察细胞形态:取指数生长期细胞,分为对照组及实验组,用20 μmol顺铂处理实验组细胞2小时,于处理后36小时分别收集脱落细胞及附壁细胞,同时收集对照组附壁细胞,经HE染色,光镜下观察细胞形态。
3.DNA琼脂糖凝胶电泳:取指数生长期细胞,分为对照组及实验组,每份样本含1×107个细胞,用20 μmol顺铂处理实验组细胞2小时,更换培养液,24小时后收集细胞,提取DNA。具体方法为,于样本中加入0.25 μl 10% SDS, 10 μl蛋白酶K (5 mg/ml)和25 μl 生理盐水与EDTA混合物, 37℃水浴4小时,用饱和酚及氯仿-异戊醇(24∶1)分别提取2次,取上清液用NaCl及无水乙醇(冷)沉淀DNA,过夜。乙酸铵去除RNA,琼脂糖凝胶电泳,电压为60V,时间为1.5小时。
, http://www.100md.com
4.应用流式细胞仪分析DNA含量及细胞周期:取指数生长期细胞,分为对照组及实验组。实验组为3个亚组,即20 μmol顺铂组(Ⅰ组)、20 μmol顺铂+1 mmol CaCl2组(Ⅱ组)和1 mmol CaCl2组(Ⅲ组)。每组3个平行样本,药物处理2小时,更换培养基,6、12及24小时收集细胞,用碘化丙啶对DNA进行染色,采用流式细胞仪分析细胞周期及DNA含量。
5.检测细胞内钙离子变化[2]:按方法4处理细胞,每组3个平行样本,每份样本含2×106个细胞,12小时后收集细胞,用RPMI-1640培养基配成约每毫升含1×106细胞的浓度,参照文献[2]的方法,以fluo-3Am为探针,应用流式细胞仪检测细胞的荧光强度。
结果
一、AO 10/17细胞的形态学改变
, http://www.100md.com
AO 10/17细胞为不规则形,呈铺路石状排列,核仁多为2~3个(图1)。20 μmol顺铂作用后36小时,细胞体积缩小,核染色质浓缩,沿核膜周围聚集,核膜卷曲,最后形成有膜包绕的凋亡小体(图2)。
二、DNA琼脂糖凝胶电泳
20 μmol顺铂作用后24小时,DNA琼脂糖凝胶电泳显示“梯形”条纹,即“ladder”(图3),DNA在核小体之间降解为以180~200 bp为基本单位的不同倍数的寡核苷酸片段。
三、DNA含量及细胞周期
图3 DNA琼脂糖凝胶电泳呈“梯形”条纹
经流式细胞仪分析,药物处理后12小时发生凋亡细胞的百分比见表1。经t检验,对照组与Ⅰ组比较,差异有极显著性(P<0.01);Ⅰ组与Ⅱ组及对照组与Ⅲ组比较,差异无显著性(P>0.05)。本研究结果说明,顺铂能诱导细胞凋亡;同时增加细胞外钙离子浓度,没有促进顺铂诱导凋亡的作用;单纯增加细胞外钙离子,不能诱导细胞凋亡。
, 百拇医药
表1 药物处理后12小时发生凋亡细胞的百分比 组别
细胞凋亡百分比(%,
P值
对照组
1.87±0.35
实验组
Ⅰ组
6.60±1.77
<0.01
Ⅱ组
4.77±0.61
, 百拇医药
>0.05
Ⅲ组
1.83±0.45
>0.05
由表2可见,20 μmol顺铂作用后6小时,细胞周期没有明显改变,作用后12小时,G1期细胞百分比升高,G2/M期百分比下降,S期无明显改变,作用后24小时细胞周期改变与12小时基本相同。表2 药物作用后细胞周期变化(%) 组别
6小时
12小时
24小时
G1
, http://www.100md.com
S
G2/M
G1
S
G2/M
G1
S
G2/M
对照组
43.3
14.5
43.2
, 百拇医药
30.4
10.6
59.0
39.9
24.9
35.2
实验组
Ⅰ组
35.7
20.3
44.8
58.4
13.4
, 百拇医药
27.8
52.5
27.7
19.8
Ⅱ组
35.8
22.8
41.4
61.3
12.7
26.0
50.8
27.2
, 百拇医药
22.0
Ⅲ组
36.8
18.0
44.2
24.9
6.2
68.9
43.6
26.3
30.1
四、细胞内钙离子变化
20 μmol顺铂作用后12小时,细胞内钙离子明显增加,同时细胞外液钙离子浓度也增加,高钙离子区细胞百分比增加到66.97%±0.35%,但较单纯用顺铂降低,见表3(P<0.01)。本研究结果说明,细胞外钙离子对顺铂有拮抗作用;单纯增加细胞外液钙离子,细胞内钙离子较对照组增加(P<0.01),说明细胞膜对钙离子有通透性。经t检验,对照组与Ⅰ组,Ⅰ组与Ⅱ组,及对照组与Ⅲ组比较,差异均有极显著性(P<0.01)。表3 药物处理后12小时细胞内钙离子变化 组别
, http://www.100md.com
高钙离子区细胞(%,±s)
P值
对照组
38.43±1.2
实验组
Ⅰ组
83.00±0.45
<0.01
Ⅱ组
66.97±0.35
Ⅲ组
52.43±0.61
, http://www.100md.com <0.01
讨论
一、顺铂对人卵巢癌AO 10/17细胞的作用
在顺铂的作用下,AO 10/17细胞发生凋亡,细胞凋亡的主要生化改变之一,是胞浆内钙离子升高,激活内源性核酸内切酶,导致DNA在核小体间降解,在琼脂糖凝胶电泳上呈梯形条纹,此为目前判断细胞凋亡的主要指标。实验中AO 10/17细胞的DNA降解符合此特征。
二、钙离子在细胞凋亡中的作用和意义
1984年,Cohen等提出,细胞凋亡是由于钙离子转运系统将钙离子转运到细胞核内,导致DNA降解的结果。许多研究表明,细胞在发生凋亡之前,胞浆内钙离子持续升高。如果预先用钙离子螯合剂处理细胞,可阻断DNA降解和细胞凋亡[3]。这些研究提示,钙离子在凋亡中起着重要的作用。由此设想,单纯增加细胞外钙离子是否能引起凋亡。本实验结果表明,单纯增加细胞外钙离子,能使钙离子进入细胞内,但不能诱导细胞凋亡,可见钙离子单独作用不足以激活核酸内切酶,导致DNA降解,还需要有其它机制的参与。
, http://www.100md.com
顺铂诱导AO 10/17细胞凋亡时,细胞内钙离子升高,但增加细胞外钙离子,没有促进顺铂的这种作用,也没有促进细胞凋亡,反而使细胞内钙离子较顺铂单独作用时降低,这可能是外界钙离子影响了顺铂的作用。顺铂的结构中有两个氯离子,外界的钙离子可能争夺顺铂中的氯离子,所以顺铂的作用受到影响。如果实验中选择顺铂作用后某一时间加入CaCl2,或许能避免二者的相互影响,促进顺铂的作用。
钙离子在细胞凋亡中的作用,可因细胞种类各异。在一些情况下,即使细胞内钙离子浓度很高,细胞也不发生凋亡[4]。这方面值得深入研究,以便指导临床应用顺铂时,可参考血清钙离子浓度,使顺铂更好地发挥作用。
三、细胞凋亡与细胞周期
曾有人提出,顺铂作用于细胞周期无特异性。但许多研究表明,顺铂诱导细胞凋亡的同时,细胞周期发生改变[5]。本研究中,AO 10/17细胞在顺铂作用下,细胞周期发生特定的改变,表明顺铂诱导细胞凋亡与细胞周期有关。进一步提示二者之间的关系,此对于化疗时选择周期特异性药物,促进诱导肿瘤细胞凋亡,具有重要的意义。
, http://www.100md.com
(本文图1,2见插页第10页)
参考文献
1 牟瀚舟,许沈华,张奕荫,等.人卵巢癌细胞系HO-8910的建立及其生物学特性.中华妇产科杂志,1994,29:16-164.
2 钱玉昆主编.实用免疫学新技术.北京:北京医科大学-中国协和医科大学联合出版社,1994.19.
3 Tak Yee AW, Nicotera P, Manzo L, et al. Tributyltin stimulates apoptosis in rat thymocytes. Arch Biochem Biophy, 1990, 283:46-50.
4 Mcconkey DJ. Inhibition of DNA fragmention in thymocytes and isolated thymocyte nuclei by agents that stimulate protein kinase C. J Biol Chem, 1989, 264:13399-13402.
5 Sorenson CM, Barry MA, Eastman A. Analysi of events associated with cell cycle arrest at G2 phase a cell death induced by cisplatin. Journal National Cancer Institute, 1990, 82:749-755.
(收稿:1997-07-24 修回:1998-02-17), http://www.100md.com