外阴尖锐湿疣组织人乳头瘤病毒、p53、bcl-2和增殖细胞核抗原的测定
作者:武昕 高兴华 常文庆 王雅坤
单位:110001 沈阳,中国医科大学第一临床学院妇产科(武昕,常文庆),皮肤科(高兴华,王雅坤)
关键词:
中华妇产科杂志/981020 外阴尖锐湿疣是人乳头瘤病毒(HPV)感染所致的一种性传播疾病。为探讨HPV与细胞周期相关蛋白之间的关系,我们采用聚合酶链反应(PCR)和免疫组化技术对外阴尖锐湿疣组织中HPV的6,11,16,18型DNA,HPV的16,18型E6蛋白,p53,bcl-2和增殖细胞核抗原(PCNA)的表达进行检测。
一、资料与方法
1.对象:15例,为1996年4月至1997年2月在我院妇科门诊行活检初诊为外阴尖锐湿疣的患者。取其蜡块标本,5例为外阴正常皮肤者。
, http://www.100md.com
2.方法:(1)PCR检测HPV DNA:寡核苷酸引物,由上海复生生物技术研究所提供,包括扩增HPV6,11型基因的两对引物,扩增HPV16,18型两对引物。DNA制备:取10 μm厚组织切片4~8张,经脱蜡洗涤后在消化裂解液中50℃孵育24~48小时,即得所需样品DNA。PCR反应:50 μl总反应体系在PTC-100PCR扩增仪内扩增,分别设立阴性、阳性对照,扩增后的产物电泳参照阳性对照的泳动位置,确定扩增产物的相对泳动位置及型别。(2)免疫组化ABC法检测:单克隆抗体p53(突变型)、bcl-2、PCNA及HPV16,18E6系美国Santa Cruz公司产品。结果判定:p53、PCNA、E6阳性细胞为胞核出现棕黄色颗粒;bcl-2阳性细胞为胞浆出现棕黄色颗粒,依据阳性细胞数的多少,将阳性分为4个等级。
3.统计学分析:采用χ2检验计算。
二、结果
, 百拇医药
1.HPV DNA检测:15例外阴尖锐湿疣均阳性,其中HPV6,11型为10例(67%),HPV16,18型为5例(33%)。正常皮肤均阴性。
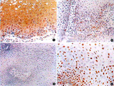
2.HPV16,18E6蛋白表达:4例外阴尖锐湿疣(27%)阳性,均为HPV16,18型,阳性角朊细胞多散在位于棘层的中、上部(图1)。正常皮肤者阴性。
3.突变型p53蛋白表达:3例(20%)外阴尖锐湿疣阳性, 其中2例为HPV16,18型者(HPV16,18 E6均为阳性),1例为HPV6,11型者,阳性角朊细胞多位于表皮的棘层下部和基底层(图2)。正常皮肤者阴性。
4. bcl-2蛋白表达:外阴尖锐湿疣全部阴性(图3)。正常皮肤者bcl-2表达于表皮的基底层细胞。
, http://www.100md.com
5. PCNA蛋白表达:外阴尖锐湿疣与正常皮肤均阳性,阳性细胞多位于棘层和基底层(图4)。外阴尖锐湿疣中阳性角朊细胞占表皮全层细胞的74%,而正常皮肤仅占12%,两者之间差异有极显著性(P<0.01)。
三、讨论
结果提示,外阴尖锐湿疣与HPV6,11,16,18感染有关,主要以HPV6,11为主。
本实验检测的p53蛋白为突变型,3例阳性者有2例伴HPV16,18E6蛋白阳性。Werness等[1]提出,HPV16,18的E6蛋白可与细胞内野生型p53蛋白结合形成复合物,导致p53的降解和失活。而从本实验结果看,E6蛋白多分布在表皮的中、上部,而突变型p53蛋白多位于表皮中、下部,这进一步提示E6表达与突变型p53表达之间可能并无必然联系。但Nagano等[2]提出,在日光暴露处,突变型p53的表达是上皮细胞恶性转化的早期表现,在外阴部位是否也类似,值得考虑。因此,对这些病例应进行随访。
, 百拇医药
bcl-2是一广义的抗凋亡癌基因,表达于正常皮肤表皮的基底层细胞[3]。本实验结果与其相同。但在皮肤肿瘤中的表达情况报道不一,基底细胞癌几乎全部表达[4],鳞癌阴性或只在10%病例中表达[3,4]。本实验均未检出bcl-2蛋白,可能是由于组织起源不同,bcl-2在不同组织中抑制凋亡的作用表现也不同。在棘细胞为主的良、恶性增殖病变中,细胞凋亡的抑制主要不是bcl-2起作用。
PCNA能有效地反映细胞增殖功能。外阴尖锐湿疣和正常皮肤均有细胞增殖,但PCNA蛋白表达的阳性细胞率不同。外阴尖锐湿疣为74%,而正常皮肤则为12%,两者差异非常显著,说明外阴尖锐湿疣的细胞增殖非常活跃。
图1 外阴尖锐湿疣表皮中胞核呈棕黄色着色的为HPV16,18E6蛋白阳性细胞。免疫组化ABC×400
, http://www.100md.com
图2 外阴尖锐显疣表皮中胞核呈棕黄色着色的为突变型p53蛋白阳性细胞。免疫组化ABC×200
图3 外阴尖锐湿疣表皮中无bcl-2蛋白表达。免疫组化ABC×200
图4 外阴尖锐湿疣表皮中胞核呈棕黄色着色的为PCNA蛋白阳性细胞。免疫组化ABC×400
参考文献
1 Werness BA,Levine AJ,Howley PM.Association of human papillomavirus types 16 and 18 E6 proteins with p53. Science ,1990,248:76-79.
2 Nagano T, Ueda M, Ichihashi M, et al. Expression of p53 is an early event in ultroviolet light-induced cutaneous squamous cell carcinogenesis. Arch Dermatol, 1993,129:1157-1161.
, http://www.100md.com
3 Rodriguez VJ,Colome MI,Brisbay S,et al.The expression and localization of bcl-2 protein in normal skin and in non-melanoma skin cancers. Pathol Res Pract,1995,191:39-43.
4 Morales-Ducret CRJ ,Van de Rijn M,LeBrun DP,et al.bcl-2 expression in primary malignancies of the skin .Arch Dermatol ,1995,131:909-913.
(收稿:1997-11-24 修回:1998-07-24), http://www.100md.com
单位:110001 沈阳,中国医科大学第一临床学院妇产科(武昕,常文庆),皮肤科(高兴华,王雅坤)
关键词:
中华妇产科杂志/981020 外阴尖锐湿疣是人乳头瘤病毒(HPV)感染所致的一种性传播疾病。为探讨HPV与细胞周期相关蛋白之间的关系,我们采用聚合酶链反应(PCR)和免疫组化技术对外阴尖锐湿疣组织中HPV的6,11,16,18型DNA,HPV的16,18型E6蛋白,p53,bcl-2和增殖细胞核抗原(PCNA)的表达进行检测。
一、资料与方法
1.对象:15例,为1996年4月至1997年2月在我院妇科门诊行活检初诊为外阴尖锐湿疣的患者。取其蜡块标本,5例为外阴正常皮肤者。
, http://www.100md.com
2.方法:(1)PCR检测HPV DNA:寡核苷酸引物,由上海复生生物技术研究所提供,包括扩增HPV6,11型基因的两对引物,扩增HPV16,18型两对引物。DNA制备:取10 μm厚组织切片4~8张,经脱蜡洗涤后在消化裂解液中50℃孵育24~48小时,即得所需样品DNA。PCR反应:50 μl总反应体系在PTC-100PCR扩增仪内扩增,分别设立阴性、阳性对照,扩增后的产物电泳参照阳性对照的泳动位置,确定扩增产物的相对泳动位置及型别。(2)免疫组化ABC法检测:单克隆抗体p53(突变型)、bcl-2、PCNA及HPV16,18E6系美国Santa Cruz公司产品。结果判定:p53、PCNA、E6阳性细胞为胞核出现棕黄色颗粒;bcl-2阳性细胞为胞浆出现棕黄色颗粒,依据阳性细胞数的多少,将阳性分为4个等级。
3.统计学分析:采用χ2检验计算。
二、结果
, 百拇医药
1.HPV DNA检测:15例外阴尖锐湿疣均阳性,其中HPV6,11型为10例(67%),HPV16,18型为5例(33%)。正常皮肤均阴性。
2.HPV16,18E6蛋白表达:4例外阴尖锐湿疣(27%)阳性,均为HPV16,18型,阳性角朊细胞多散在位于棘层的中、上部(图1)。正常皮肤者阴性。
3.突变型p53蛋白表达:3例(20%)外阴尖锐湿疣阳性, 其中2例为HPV16,18型者(HPV16,18 E6均为阳性),1例为HPV6,11型者,阳性角朊细胞多位于表皮的棘层下部和基底层(图2)。正常皮肤者阴性。
4. bcl-2蛋白表达:外阴尖锐湿疣全部阴性(图3)。正常皮肤者bcl-2表达于表皮的基底层细胞。
, http://www.100md.com
5. PCNA蛋白表达:外阴尖锐湿疣与正常皮肤均阳性,阳性细胞多位于棘层和基底层(图4)。外阴尖锐湿疣中阳性角朊细胞占表皮全层细胞的74%,而正常皮肤仅占12%,两者之间差异有极显著性(P<0.01)。
三、讨论
结果提示,外阴尖锐湿疣与HPV6,11,16,18感染有关,主要以HPV6,11为主。
本实验检测的p53蛋白为突变型,3例阳性者有2例伴HPV16,18E6蛋白阳性。Werness等[1]提出,HPV16,18的E6蛋白可与细胞内野生型p53蛋白结合形成复合物,导致p53的降解和失活。而从本实验结果看,E6蛋白多分布在表皮的中、上部,而突变型p53蛋白多位于表皮中、下部,这进一步提示E6表达与突变型p53表达之间可能并无必然联系。但Nagano等[2]提出,在日光暴露处,突变型p53的表达是上皮细胞恶性转化的早期表现,在外阴部位是否也类似,值得考虑。因此,对这些病例应进行随访。
, 百拇医药
bcl-2是一广义的抗凋亡癌基因,表达于正常皮肤表皮的基底层细胞[3]。本实验结果与其相同。但在皮肤肿瘤中的表达情况报道不一,基底细胞癌几乎全部表达[4],鳞癌阴性或只在10%病例中表达[3,4]。本实验均未检出bcl-2蛋白,可能是由于组织起源不同,bcl-2在不同组织中抑制凋亡的作用表现也不同。在棘细胞为主的良、恶性增殖病变中,细胞凋亡的抑制主要不是bcl-2起作用。
PCNA能有效地反映细胞增殖功能。外阴尖锐湿疣和正常皮肤均有细胞增殖,但PCNA蛋白表达的阳性细胞率不同。外阴尖锐湿疣为74%,而正常皮肤则为12%,两者差异非常显著,说明外阴尖锐湿疣的细胞增殖非常活跃。
图1 外阴尖锐湿疣表皮中胞核呈棕黄色着色的为HPV16,18E6蛋白阳性细胞。免疫组化ABC×400
, http://www.100md.com
图2 外阴尖锐显疣表皮中胞核呈棕黄色着色的为突变型p53蛋白阳性细胞。免疫组化ABC×200
图3 外阴尖锐湿疣表皮中无bcl-2蛋白表达。免疫组化ABC×200
图4 外阴尖锐湿疣表皮中胞核呈棕黄色着色的为PCNA蛋白阳性细胞。免疫组化ABC×400
参考文献
1 Werness BA,Levine AJ,Howley PM.Association of human papillomavirus types 16 and 18 E6 proteins with p53. Science ,1990,248:76-79.
2 Nagano T, Ueda M, Ichihashi M, et al. Expression of p53 is an early event in ultroviolet light-induced cutaneous squamous cell carcinogenesis. Arch Dermatol, 1993,129:1157-1161.
, http://www.100md.com
3 Rodriguez VJ,Colome MI,Brisbay S,et al.The expression and localization of bcl-2 protein in normal skin and in non-melanoma skin cancers. Pathol Res Pract,1995,191:39-43.
4 Morales-Ducret CRJ ,Van de Rijn M,LeBrun DP,et al.bcl-2 expression in primary malignancies of the skin .Arch Dermatol ,1995,131:909-913.
(收稿:1997-11-24 修回:1998-07-24), http://www.100md.com