穿孔素蛋白及基因在子宫内膜中的表达
作者:田秀珠 张丽珠 吴燕 张小为
单位:100083 北京医科大学第三临床医学院妇产科[田秀珠(现在山西医科大学第一医院妇产科),张丽珠,吴燕,张小为]
关键词:子宫内膜;膜糖蛋白类;基因表达;淋巴细胞
中华妇产科杂志/981004 【摘要】 目的 探讨穿孔素蛋白及基因在不同时期子宫内膜中表达的规律,及其在生殖系统中的作用。方法 采用免疫组化与原位杂交技术,观察10例增殖期、68例分泌各期、20例早孕期及4例绝经后子宫内膜中穿孔素蛋白的表达及基因阳性细胞的分布特点、表型特征和数量变化规律。结果 在各期子宫内膜中,产生穿孔素蛋白的细胞位于子宫内膜间质,此细胞表型特征为CD56+ 淋巴细胞(自然杀伤样细胞)。在各期子宫内膜中表达穿孔素蛋白的阳性细胞数量不同,从增殖期、分泌期至早孕期,此阳性细胞数量逐渐增多,各组间差异有显著性(P<0.05),绝经后子宫内膜中无穿孔素蛋白表达。在增殖期,穿孔素基因阳性细胞大多呈局灶状分布,与同期表达穿孔素蛋白的阳性细胞呈少量单细胞不一致分布,分泌期与早孕期子宫内膜中表达穿孔素基因的阳性细胞呈弥散状分布,并且早孕期此阳性细胞数量增多。结论 子宫内膜中穿孔素蛋白和基因表达,可能参与月经来潮的调节,利于胚胎着床和妊娠的顺利进行。
, http://www.100md.com
Perforin Protein and Gene Expression in the Different Phases of Endometrium Tian Xiuzhu, Zhang Lizhu, Wu Yan, et al. *The First Hospital of Shanxi Medical University, Taiyuan 030001
【Abstract】 Objective To study the expression of perforin protein and gene in the different phases of endometrium and the role of perforin in the reproductive system. Methods Immunohistochemical and in situ hybridization techniques were employed to demonstrate the population, phenotype of the perforin positive cell in endometrum of different phases of menstrual cycle, first-trimester decidua and postmenopausal endometrium. Results Perforin positive cells were found to be located in the endometrial stroma and expressed natural killer-like cell surface marker (CD56 antigen, also named NK-like cell or CD56+ lymphocyte). The quantitative analysis of perforin protein cells demonstrated an increase in number from proliferative endometrium to secretory endometrium through first-trimester decidua (P<0.05). These cells were absent in the postmenopausal endometrium. Perforin mRNA positive cells formed islands in proliferative endometrium stroma, but the perforin protein expression cells were scattered. There was difference between the perforin gene expression and protein expression in proliferative endometrium. In first-trimester decidua, perforin mRNA positive cells increased. Some perforin mRNA positive cells located around spiral arterioles were observed. Conclusions Expression of perforin in the different phases of endometrium is specific and plays an important role in the reproductive function. They probably exert some influence on embryo implantation and may be involved in endometrial stromal breakdown during menstruation.
, 百拇医药
【Key words】 Endrometrium Membrane glycoproteins Gene expression Lymphocyte
穿孔素(perforin)又称溶细胞的细胞毒介质,是在杀伤T细胞和自然杀伤(NK)细胞中发现的一种效应物质[1]。在生物体内,穿孔素的大量表达仅在一些病理状态下存在,如病毒感染、自身免疫性疾病、器官移植排斥反应。在生理状态下,穿孔素可在鼠类早孕蜕膜组织中大量存在[2]。有关人类子宫内膜中穿孔素蛋白和基因表达的研究,国内外均未见系统报道。本工作研究了人类不同时期子宫内膜中穿孔素蛋白和基因表达的规律,以探讨穿孔素在生殖系统功能活动中的作用。
资料与方法
一、子宫内膜标本来源
正常月经周期子宫内膜标本选自68例我院因输卵管不通而行体外受精-胚胎移植(IVF-ET)治疗的患者,其中增殖期组10份,分泌早期组15份,分泌中期组15份,分泌晚期组38份;早孕蜕膜组织来自计划生育室人工流产的20例患者(早孕期组,20份),孕周6~8周。患者年龄26~30岁,身体健康。绝经后子宫内膜取自4例因子宫脱垂行全子宫切除术、绝经5年后的患者(绝经后组,4份)。将各组子宫内膜取出,去除表面血迹,液氮内迅速冻存。
, 百拇医药
二、方法
1.子宫内膜穿孔素蛋白表达的测定:将各期子宫内膜组织冰冻切片进行免疫组化ABC法测定。I抗为鼠抗人CD56单克隆抗体(丹麦Dako公司生产),鼠抗人穿孔素单克隆抗体(美国迈阿密大学提供);Ⅱ抗为生物素化羊抗鼠IgG;Ⅲ抗为辣根酶标记的链霉卵白素(购自中山生物技术公司)。主要步骤均按ABC免疫组化试剂盒内说明。双重免疫组化法选用双ABC法,中间洗脱过程选用甘氨酸-盐酸洗脱液,0.5%焦亚硫酸还原。结果判定:光镜下穿孔素蛋白为棕黄色或蓝色颗粒,存在于子宫内膜间质细胞浆内,CD56+ 淋巴细胞为细胞膜着色为红色的内膜间质细胞。CD56+ 淋巴细胞和穿孔素阳性细胞半定量测定:每张切片随机选取5个高倍视野,计算阳性细胞占全部间质细胞的百分率。并设以磷酸盐缓冲液代替Ⅰ抗、Ⅱ抗、Ⅲ抗的阴性对照,阳性对照选自外周血淋巴细胞。
2.子宫内膜穿孔素基因表达的观察:(1)穿孔素探针的制备:人穿孔素质粒PTZ 19 u由美国迈阿密大学提供;人穿孔素质粒DNA转化、提取、酶切、鉴定与回收,采用碱裂解法与低溶点琼脂糖凝胶DNA片段回收技术[3]。(2)穿孔素mRNA表达的测定:采用原位杂交法,穿孔素cDNA探针标记采用非同位素地高辛检测试剂盒,冰冻切片8 μm。①杂交前处理与预杂交:切片经4%多聚甲醛固定,0.2当量盐酸与蛋白酶K消化,0.1 mol三乙醇胺乙酰化,加入预杂交液,42℃反应4小时;②杂交:将含有1 μg/ml探针的杂交液95℃变性,冰内骤冷后加入组织上,42℃杂交16~17小时;③杂交后处理与杂交信号的检测:切片均用缓冲盐液漂洗,加入1∶500地高辛抗体-4℃过夜,次日加入底物5-溴-4-氯-3吲哚磷酸(BCIP)与显色原硝基四氮唑蓝(NBT)显色液,镜下观察,阳性结果为细胞浆内出现紫蓝色mRNA颗粒,终止反应。并设阴性对照,拍摄照片。
, 百拇医药
三、统计学分析
实验数据均以
±s表示,并进行单因素方差分析。
结果
一、子宫内膜穿孔素蛋白的表达
正常月经周期和早孕期子宫内膜中穿孔素蛋白的表达位于部分子宫内膜间质细胞浆内,此阳性细胞数量随月经周期和妊娠期而变化,从增殖期、分泌早期、分泌中期、分泌晚期至早孕期,表达穿孔素蛋白的阳性细胞数量逐渐递增,各组间差异有显著性(P<0.05)。双重免疫组化法发现,子宫内膜产生穿孔素蛋白的细胞(胞浆内含有蓝色颗粒),同时也表达CD56细胞膜抗原(胞膜着色为红色),穿孔素蛋白在各期子宫内膜中的变化规律与CD56+ 淋巴细胞一致。绝经后子宫内膜中无穿孔素蛋白的存在。见图1~7,附表。
, 百拇医药
附表 不同时期子宫内膜CD+56与穿孔素阳性
淋巴细胞的变化(%,
±s) 组别
总例数
CD+56淋巴细胞
百分率
穿孔素阳性细胞
百分率
增殖期组
10
3.4± 1.5
, 百拇医药
2.5± 0.8
分泌早期组
15
18.5± 8.2
11.5± 4.4
分泌中期组
15
31.0±11.4
27.4± 8.2
分泌晚期组
38
54.7±14.3
, 百拇医药
49.9±15.5
早孕期组
20
67.2±13.4
61.4±18.5
P值
<0.05
<0.05
二、子宫内膜穿孔素mRNA的表达
表达穿孔素mRNA的阳性细胞位于子宫内膜间质,在增殖期子宫内膜中,表达穿孔素mRNA的阳性细胞大多呈局灶状分布,而连续切片的同期子宫内膜组织中,表达穿孔素蛋白的阳性细胞与CD56+ 阳性淋巴细胞呈少量单细胞分布,即在增殖期子宫内膜中,穿孔素蛋白表达与基因表达不一致。在分泌期与早孕期子宫内膜中,表达穿孔素基因的阳性细胞呈弥散状分布,与其蛋白表达一致,并且在早孕期蜕膜中此阳性细胞数量明显增多,部分阳性细胞分布在血管周围(图8~9)。讨论
, 百拇医药
一、子宫内膜局部的免疫防御
本研究发现,在正常月经周期和早孕期子宫内膜中存在穿孔素蛋白,此蛋白表达随月经周期和妊娠期而变化,即从增殖期、分泌期到早孕期穿孔素蛋白含量逐渐增多,各组间存在显著差异(P<0.05),穿孔素蛋白存在于CD56+ 淋巴细胞内,因此认为穿孔素是CD56+ 淋巴细胞的效应产物之一。既往研究发现,此群细胞为非典型淋巴细胞(NK样细胞),子宫内膜中典型的T淋巴细胞分布较少,表明子宫内膜中局部免疫调节有其特殊规律。此结果与King等[4]报道的相似。子宫内膜中的NK样细胞是最原始的免疫细胞的一种,在二胚叶动物体内,此原始免疫细胞仅存在于二胚层的结缔组织内,以后随着生物体的进化,形成了特定的免疫器官,如脾脏、胸腺、淋巴结,而在生物体与外界交通的部位,如气管、胃肠道、生殖泌尿道上皮固有层内仍保留了原始的淋巴样组织,称为粘膜相关的淋巴样组织,子宫内膜中的淋巴组织属于此类。过去生殖免疫学家对胚胎不被母体免疫系统排斥现象,一直试图从脊椎动物的器官移植的免疫反应规律来解释,均未得到满意的结论。本研究结果与以往报道均提示子宫内膜局部免疫调节主要遵循着无脊椎动物的最原始的免疫防御规律,而不能完全用脊椎动物的器官移植规律来解释[5]。
, http://www.100md.com
二、穿孔素阳性细胞的来源及其作用
过去对子宫内膜中NK样细胞的来源一直存在争议[6] ,本研究发现,在增殖期子宫内膜中,表达穿孔素基因的阳性细胞呈局灶状分布,与免疫组化显示的表达穿孔素蛋白的阳性细胞和表达CD56 细胞膜抗原的淋巴细胞呈少量单细胞分布不一致。说明,在增殖期子宫内膜中此群细胞可能处于不成熟状态,此时尚未表达成熟的细胞膜标志,即CD56 抗原,也未能产生大量效应产物——穿孔素蛋白。在分泌期和早孕期,表达穿孔素基因的阳性细胞呈弥散状大量分布,并出现了其典型的细胞膜标志——CD56 抗原和其效应产物——穿孔素蛋白,可能是原不成熟的NK样细胞增殖、分化、成熟的结果。因此认为,子宫内膜中部分CD56+ 淋巴细胞是子宫内膜中原固有的,此观点与Jokhi等[7]的观点一致。
Hameed等[8]研究发现,在给不排卵的患者孕激素治疗后,其穿孔素阳性细胞的数量大量增加,因此认为此细胞为激素依赖性细胞。本研究发现了不同月经周期子宫内膜中穿孔素阳性细胞的递增规律,并且在绝经后子宫内膜中无穿孔素蛋白的存在,因此也支持上述观点。但目前有关穿孔素蛋白在生殖系统中的作用仍不很明确,将本实验结果结合以往的报道作一些推论:穿孔素在分泌晚期和早孕期子宫内膜中含量最多,可能与月经来潮、胚胎着床及胎盘的形成有关。月经来潮前子宫内膜中产生大量的穿孔素、松弛素,促进了子宫内膜的剥脱,参与月经来潮的调节。同时,穿孔素在调节胚胎着床、维持滋养层细胞与子宫内膜细胞的动态平衡方面,也起了重要作用,从而有利于胎盘的形成,使妊娠顺利进行[9]。有关穿孔素在生殖系统中的作用仍需进一步研究。
, http://www.100md.com
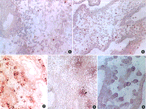
图1 增殖期子宫内膜CD+56淋巴细胞的分布,阳性细胞为细胞膜着色为红色的间质细胞。免疫组化ABC×100
图2 分泌晚期CD+56淋巴细胞数量增多。免疫组化ABC×100
图3 早孕期CD+56淋巴细胞数量增多。免疫组化ABC×100
图4 绝经后无CD+56淋巴细胞存在。免疫组化ABC×100
图5 增殖期极少的内膜间质细胞浆内含有穿孔素蛋白(棕色颗粒)。免疫组化ABC×200
, 百拇医药 图6 分泌晚期表达穿孔素蛋白的间质细胞数量增加。免疫组化ABC×200
图7 分泌晚期子宫内膜CD+56抗原与穿孔素蛋白共表达。双重免疫组化ABC×200
图8 增殖期子宫内膜表达穿孔素mRNA(紫蓝色颗粒)的细胞呈局灶状分布。原位杂交×100
图9 分泌晚期穿孔素mRNA阳性细胞呈分散状分布。原位杂交×400
参考文献
1 Liu CC, Walsh CM, Young JDE, et al. Perforin: structure and function. Immunol Today, 1995, 4:194-201.
2 Zheng LM, Joag SV, Parr MB, et al. Perforin expression in granulated metrial gland cells in murine deciduoma. J Exp Med, 1991, 174:1221-1226.
, 百拇医药
3 J. 萨姆鲁克主编.分子克隆实验指南.金冬雁,黎孟枫译.第2版.北京:科学出版社,1993.16-26.
4 King A, Loke YW. On the nature and function of human uterine granular lymphocytes. Immunol Today, 1991, 12:432-435.
5 Loke YW, King A. Immunology of human implantation: an evolutionary perspective. Human Reprod, 1996, 11:283-285.
6 Hunt JS. Immunologically relevant cells in the uterus. Biology Reprod, 1995, 50:461-466.
, 百拇医药
7 Jokhi PP, King A, Sharkey AM, et al. Screening for cytokine mRNAs in purified human decidual lymphocyte populations by the reverse transcriptase polymerase chain reaction (RT-PCR). J Immunol, 1994, 153:4472-4475.
8 Hameed A, Fox WM, Kurman RJ, et al. Perforin expression in endometrium during the menstrual cycle. Int J Gynecol Pathol, 1995, 14:143-150.
9 田秀珠,张丽珠,吴燕,等.早孕蜕膜组织淋巴细胞在妊娠中的作用.中华妇产科杂志,1998, 1:7-9.
(收稿:1997-12-12 修回:1998-06-11), http://www.100md.com
单位:100083 北京医科大学第三临床医学院妇产科[田秀珠(现在山西医科大学第一医院妇产科),张丽珠,吴燕,张小为]
关键词:子宫内膜;膜糖蛋白类;基因表达;淋巴细胞
中华妇产科杂志/981004 【摘要】 目的 探讨穿孔素蛋白及基因在不同时期子宫内膜中表达的规律,及其在生殖系统中的作用。方法 采用免疫组化与原位杂交技术,观察10例增殖期、68例分泌各期、20例早孕期及4例绝经后子宫内膜中穿孔素蛋白的表达及基因阳性细胞的分布特点、表型特征和数量变化规律。结果 在各期子宫内膜中,产生穿孔素蛋白的细胞位于子宫内膜间质,此细胞表型特征为CD56+ 淋巴细胞(自然杀伤样细胞)。在各期子宫内膜中表达穿孔素蛋白的阳性细胞数量不同,从增殖期、分泌期至早孕期,此阳性细胞数量逐渐增多,各组间差异有显著性(P<0.05),绝经后子宫内膜中无穿孔素蛋白表达。在增殖期,穿孔素基因阳性细胞大多呈局灶状分布,与同期表达穿孔素蛋白的阳性细胞呈少量单细胞不一致分布,分泌期与早孕期子宫内膜中表达穿孔素基因的阳性细胞呈弥散状分布,并且早孕期此阳性细胞数量增多。结论 子宫内膜中穿孔素蛋白和基因表达,可能参与月经来潮的调节,利于胚胎着床和妊娠的顺利进行。
, http://www.100md.com
Perforin Protein and Gene Expression in the Different Phases of Endometrium Tian Xiuzhu, Zhang Lizhu, Wu Yan, et al. *The First Hospital of Shanxi Medical University, Taiyuan 030001
【Abstract】 Objective To study the expression of perforin protein and gene in the different phases of endometrium and the role of perforin in the reproductive system. Methods Immunohistochemical and in situ hybridization techniques were employed to demonstrate the population, phenotype of the perforin positive cell in endometrum of different phases of menstrual cycle, first-trimester decidua and postmenopausal endometrium. Results Perforin positive cells were found to be located in the endometrial stroma and expressed natural killer-like cell surface marker (CD56 antigen, also named NK-like cell or CD56+ lymphocyte). The quantitative analysis of perforin protein cells demonstrated an increase in number from proliferative endometrium to secretory endometrium through first-trimester decidua (P<0.05). These cells were absent in the postmenopausal endometrium. Perforin mRNA positive cells formed islands in proliferative endometrium stroma, but the perforin protein expression cells were scattered. There was difference between the perforin gene expression and protein expression in proliferative endometrium. In first-trimester decidua, perforin mRNA positive cells increased. Some perforin mRNA positive cells located around spiral arterioles were observed. Conclusions Expression of perforin in the different phases of endometrium is specific and plays an important role in the reproductive function. They probably exert some influence on embryo implantation and may be involved in endometrial stromal breakdown during menstruation.
, 百拇医药
【Key words】 Endrometrium Membrane glycoproteins Gene expression Lymphocyte
穿孔素(perforin)又称溶细胞的细胞毒介质,是在杀伤T细胞和自然杀伤(NK)细胞中发现的一种效应物质[1]。在生物体内,穿孔素的大量表达仅在一些病理状态下存在,如病毒感染、自身免疫性疾病、器官移植排斥反应。在生理状态下,穿孔素可在鼠类早孕蜕膜组织中大量存在[2]。有关人类子宫内膜中穿孔素蛋白和基因表达的研究,国内外均未见系统报道。本工作研究了人类不同时期子宫内膜中穿孔素蛋白和基因表达的规律,以探讨穿孔素在生殖系统功能活动中的作用。
资料与方法
一、子宫内膜标本来源
正常月经周期子宫内膜标本选自68例我院因输卵管不通而行体外受精-胚胎移植(IVF-ET)治疗的患者,其中增殖期组10份,分泌早期组15份,分泌中期组15份,分泌晚期组38份;早孕蜕膜组织来自计划生育室人工流产的20例患者(早孕期组,20份),孕周6~8周。患者年龄26~30岁,身体健康。绝经后子宫内膜取自4例因子宫脱垂行全子宫切除术、绝经5年后的患者(绝经后组,4份)。将各组子宫内膜取出,去除表面血迹,液氮内迅速冻存。
, 百拇医药
二、方法
1.子宫内膜穿孔素蛋白表达的测定:将各期子宫内膜组织冰冻切片进行免疫组化ABC法测定。I抗为鼠抗人CD56单克隆抗体(丹麦Dako公司生产),鼠抗人穿孔素单克隆抗体(美国迈阿密大学提供);Ⅱ抗为生物素化羊抗鼠IgG;Ⅲ抗为辣根酶标记的链霉卵白素(购自中山生物技术公司)。主要步骤均按ABC免疫组化试剂盒内说明。双重免疫组化法选用双ABC法,中间洗脱过程选用甘氨酸-盐酸洗脱液,0.5%焦亚硫酸还原。结果判定:光镜下穿孔素蛋白为棕黄色或蓝色颗粒,存在于子宫内膜间质细胞浆内,CD56+ 淋巴细胞为细胞膜着色为红色的内膜间质细胞。CD56+ 淋巴细胞和穿孔素阳性细胞半定量测定:每张切片随机选取5个高倍视野,计算阳性细胞占全部间质细胞的百分率。并设以磷酸盐缓冲液代替Ⅰ抗、Ⅱ抗、Ⅲ抗的阴性对照,阳性对照选自外周血淋巴细胞。
2.子宫内膜穿孔素基因表达的观察:(1)穿孔素探针的制备:人穿孔素质粒PTZ 19 u由美国迈阿密大学提供;人穿孔素质粒DNA转化、提取、酶切、鉴定与回收,采用碱裂解法与低溶点琼脂糖凝胶DNA片段回收技术[3]。(2)穿孔素mRNA表达的测定:采用原位杂交法,穿孔素cDNA探针标记采用非同位素地高辛检测试剂盒,冰冻切片8 μm。①杂交前处理与预杂交:切片经4%多聚甲醛固定,0.2当量盐酸与蛋白酶K消化,0.1 mol三乙醇胺乙酰化,加入预杂交液,42℃反应4小时;②杂交:将含有1 μg/ml探针的杂交液95℃变性,冰内骤冷后加入组织上,42℃杂交16~17小时;③杂交后处理与杂交信号的检测:切片均用缓冲盐液漂洗,加入1∶500地高辛抗体-4℃过夜,次日加入底物5-溴-4-氯-3吲哚磷酸(BCIP)与显色原硝基四氮唑蓝(NBT)显色液,镜下观察,阳性结果为细胞浆内出现紫蓝色mRNA颗粒,终止反应。并设阴性对照,拍摄照片。
, 百拇医药
三、统计学分析
实验数据均以
结果
一、子宫内膜穿孔素蛋白的表达
正常月经周期和早孕期子宫内膜中穿孔素蛋白的表达位于部分子宫内膜间质细胞浆内,此阳性细胞数量随月经周期和妊娠期而变化,从增殖期、分泌早期、分泌中期、分泌晚期至早孕期,表达穿孔素蛋白的阳性细胞数量逐渐递增,各组间差异有显著性(P<0.05)。双重免疫组化法发现,子宫内膜产生穿孔素蛋白的细胞(胞浆内含有蓝色颗粒),同时也表达CD56细胞膜抗原(胞膜着色为红色),穿孔素蛋白在各期子宫内膜中的变化规律与CD56+ 淋巴细胞一致。绝经后子宫内膜中无穿孔素蛋白的存在。见图1~7,附表。
, 百拇医药
附表 不同时期子宫内膜CD+56与穿孔素阳性
淋巴细胞的变化(%,
总例数
CD+56淋巴细胞
百分率
穿孔素阳性细胞
百分率
增殖期组
10
3.4± 1.5
, 百拇医药
2.5± 0.8
分泌早期组
15
18.5± 8.2
11.5± 4.4
分泌中期组
15
31.0±11.4
27.4± 8.2
分泌晚期组
38
54.7±14.3
, 百拇医药
49.9±15.5
早孕期组
20
67.2±13.4
61.4±18.5
P值
<0.05
<0.05
二、子宫内膜穿孔素mRNA的表达
表达穿孔素mRNA的阳性细胞位于子宫内膜间质,在增殖期子宫内膜中,表达穿孔素mRNA的阳性细胞大多呈局灶状分布,而连续切片的同期子宫内膜组织中,表达穿孔素蛋白的阳性细胞与CD56+ 阳性淋巴细胞呈少量单细胞分布,即在增殖期子宫内膜中,穿孔素蛋白表达与基因表达不一致。在分泌期与早孕期子宫内膜中,表达穿孔素基因的阳性细胞呈弥散状分布,与其蛋白表达一致,并且在早孕期蜕膜中此阳性细胞数量明显增多,部分阳性细胞分布在血管周围(图8~9)。讨论
, 百拇医药
一、子宫内膜局部的免疫防御
本研究发现,在正常月经周期和早孕期子宫内膜中存在穿孔素蛋白,此蛋白表达随月经周期和妊娠期而变化,即从增殖期、分泌期到早孕期穿孔素蛋白含量逐渐增多,各组间存在显著差异(P<0.05),穿孔素蛋白存在于CD56+ 淋巴细胞内,因此认为穿孔素是CD56+ 淋巴细胞的效应产物之一。既往研究发现,此群细胞为非典型淋巴细胞(NK样细胞),子宫内膜中典型的T淋巴细胞分布较少,表明子宫内膜中局部免疫调节有其特殊规律。此结果与King等[4]报道的相似。子宫内膜中的NK样细胞是最原始的免疫细胞的一种,在二胚叶动物体内,此原始免疫细胞仅存在于二胚层的结缔组织内,以后随着生物体的进化,形成了特定的免疫器官,如脾脏、胸腺、淋巴结,而在生物体与外界交通的部位,如气管、胃肠道、生殖泌尿道上皮固有层内仍保留了原始的淋巴样组织,称为粘膜相关的淋巴样组织,子宫内膜中的淋巴组织属于此类。过去生殖免疫学家对胚胎不被母体免疫系统排斥现象,一直试图从脊椎动物的器官移植的免疫反应规律来解释,均未得到满意的结论。本研究结果与以往报道均提示子宫内膜局部免疫调节主要遵循着无脊椎动物的最原始的免疫防御规律,而不能完全用脊椎动物的器官移植规律来解释[5]。
, http://www.100md.com
二、穿孔素阳性细胞的来源及其作用
过去对子宫内膜中NK样细胞的来源一直存在争议[6] ,本研究发现,在增殖期子宫内膜中,表达穿孔素基因的阳性细胞呈局灶状分布,与免疫组化显示的表达穿孔素蛋白的阳性细胞和表达CD56 细胞膜抗原的淋巴细胞呈少量单细胞分布不一致。说明,在增殖期子宫内膜中此群细胞可能处于不成熟状态,此时尚未表达成熟的细胞膜标志,即CD56 抗原,也未能产生大量效应产物——穿孔素蛋白。在分泌期和早孕期,表达穿孔素基因的阳性细胞呈弥散状大量分布,并出现了其典型的细胞膜标志——CD56 抗原和其效应产物——穿孔素蛋白,可能是原不成熟的NK样细胞增殖、分化、成熟的结果。因此认为,子宫内膜中部分CD56+ 淋巴细胞是子宫内膜中原固有的,此观点与Jokhi等[7]的观点一致。
Hameed等[8]研究发现,在给不排卵的患者孕激素治疗后,其穿孔素阳性细胞的数量大量增加,因此认为此细胞为激素依赖性细胞。本研究发现了不同月经周期子宫内膜中穿孔素阳性细胞的递增规律,并且在绝经后子宫内膜中无穿孔素蛋白的存在,因此也支持上述观点。但目前有关穿孔素蛋白在生殖系统中的作用仍不很明确,将本实验结果结合以往的报道作一些推论:穿孔素在分泌晚期和早孕期子宫内膜中含量最多,可能与月经来潮、胚胎着床及胎盘的形成有关。月经来潮前子宫内膜中产生大量的穿孔素、松弛素,促进了子宫内膜的剥脱,参与月经来潮的调节。同时,穿孔素在调节胚胎着床、维持滋养层细胞与子宫内膜细胞的动态平衡方面,也起了重要作用,从而有利于胎盘的形成,使妊娠顺利进行[9]。有关穿孔素在生殖系统中的作用仍需进一步研究。
, http://www.100md.com
图1 增殖期子宫内膜CD+56淋巴细胞的分布,阳性细胞为细胞膜着色为红色的间质细胞。免疫组化ABC×100
图2 分泌晚期CD+56淋巴细胞数量增多。免疫组化ABC×100
图3 早孕期CD+56淋巴细胞数量增多。免疫组化ABC×100
图4 绝经后无CD+56淋巴细胞存在。免疫组化ABC×100
图5 增殖期极少的内膜间质细胞浆内含有穿孔素蛋白(棕色颗粒)。免疫组化ABC×200
, 百拇医药 图6 分泌晚期表达穿孔素蛋白的间质细胞数量增加。免疫组化ABC×200
图7 分泌晚期子宫内膜CD+56抗原与穿孔素蛋白共表达。双重免疫组化ABC×200
图8 增殖期子宫内膜表达穿孔素mRNA(紫蓝色颗粒)的细胞呈局灶状分布。原位杂交×100
图9 分泌晚期穿孔素mRNA阳性细胞呈分散状分布。原位杂交×400
参考文献
1 Liu CC, Walsh CM, Young JDE, et al. Perforin: structure and function. Immunol Today, 1995, 4:194-201.
2 Zheng LM, Joag SV, Parr MB, et al. Perforin expression in granulated metrial gland cells in murine deciduoma. J Exp Med, 1991, 174:1221-1226.
, 百拇医药
3 J. 萨姆鲁克主编.分子克隆实验指南.金冬雁,黎孟枫译.第2版.北京:科学出版社,1993.16-26.
4 King A, Loke YW. On the nature and function of human uterine granular lymphocytes. Immunol Today, 1991, 12:432-435.
5 Loke YW, King A. Immunology of human implantation: an evolutionary perspective. Human Reprod, 1996, 11:283-285.
6 Hunt JS. Immunologically relevant cells in the uterus. Biology Reprod, 1995, 50:461-466.
, 百拇医药
7 Jokhi PP, King A, Sharkey AM, et al. Screening for cytokine mRNAs in purified human decidual lymphocyte populations by the reverse transcriptase polymerase chain reaction (RT-PCR). J Immunol, 1994, 153:4472-4475.
8 Hameed A, Fox WM, Kurman RJ, et al. Perforin expression in endometrium during the menstrual cycle. Int J Gynecol Pathol, 1995, 14:143-150.
9 田秀珠,张丽珠,吴燕,等.早孕蜕膜组织淋巴细胞在妊娠中的作用.中华妇产科杂志,1998, 1:7-9.
(收稿:1997-12-12 修回:1998-06-11), http://www.100md.com