子宫体浆肌层妊娠一例
作者:李大庆
单位:411101 湖南省湘潭市第一医院妇产科
关键词:
中华妇产科杂志/981027 患者38岁,孕3产1,人工流产2次。因停经46天,口服药物流产药后伴腹痛20小时、晕厥5次,于1996年10月22日入院。患者末次月经1996年9月6日。停经40天出现乳胀、择食,无恶心呕吐,无阴道流血及腹痛。3天前在外院行尿妊娠试验阳性,诊断为宫内早孕,口服米非司酮片25 mg,1日2次,连服3天,第3天加服米索前列醇600 μg之后6小时后出现持续性下腹疼痛,有少许阴道流血,无胚胎组织及凝血块排出,自觉下腹疼痛逐渐加重伴有肛门坠胀及头晕,先后晕倒5次。急转本院行B超检查,考虑为异位妊娠破裂,腹腔内出血入院。既往月经规律,经期无腹痛,经量中等、色较暗无凝血块。足月分娩于14年前,产后1年放置宫内节育器(IUD)。放置IUD后近2年因妊娠于人工流产术时将IUD取出。人工流产后采用避孕套和安全期避孕。身体检查:体温37.2℃,脉搏118次,血压12/8.5 kPa(1 kPa=7.5 mmHg)。神志清楚,贫血貌。腹平略有肌紧张,全腹压痛反跳痛,以下腹部为著,移动性浊音阳性。外阴有血迹无结节,阴道壁光滑,内有少量积血,子宫颈正常略有着色,宫颈口关闭,举痛阳性,穹窿饱满无结节。子宫大小如孕40天,中位、活动差,质地较软,均匀,双侧附件未触及明显包块。后穹窿穿刺抽出不凝血液5 ml。初步诊断为输卵管妊娠,不除外破裂;腹腔内出血失血性贫血。住院后2小时在连续硬膜外麻醉下行剖腹探查术。术中见盆腔积血及凝血块约有1 500 ml。子宫体8.0 cm×6.0 cm×5.0 cm,质地较软、均匀。双侧输卵管无增粗,无破裂口,伞端无流血,输卵管系膜正常。右侧卵巢3.5 cm×3.0 cm×1.0 cm,表面无结节、无破裂口。左侧卵巢4.0 cm×3.0 cm×2.0 cm,部分呈黄体囊肿样改变,表面无破裂口。大网膜、肠系膜、阔韧带无包块,无破裂口。子宫直肠窝无结节,宫骶韧带正常。子宫体后壁浆肌层有一直径0.8 cm紫红色缺损病灶,上有凝血块样组织附着,有活动性出血,与宫腔不通。楔形切除子宫后壁病灶及部分肌壁层组织,送冰冻病理检查。1号羊肠线分两层间断缝合子宫肌壁切口,彻底止血,检查盆腹腔未见异常。冰冻病理检查示:标本组织大部分为平滑肌组织,周边伴出血炎性坏死,有内膜腺体、蜕膜组织、细胞滋养细胞及绒毛组织。符合子宫浆肌层妊娠。术后诊断:子宫体浆肌层妊娠。术后第5天阴道流血自净,第7天、14天、21天查尿β-hCG为1 200 IU/L、30 IU/L、 8 IU/L(小于15 IU/L为阴性)。术后10天B超检查:子宫体大小同住院时,内膜线清楚,宫腔及肌壁层无结节回声,双侧附件正常,盆底无液体。胸片检查正常,妇科检查无异常包块,痊愈出院。
, http://www.100md.com
讨论 异位妊娠95%以上发生在输卵管[1],少数发生宫颈、卵巢、腹腔及子宫残角等,发生于子宫体浆肌层的异位子宫内膜处的妊娠罕见。异位妊娠诊治应及时准确。随异位妊娠发病率渐增,药物流产广泛开展,治疗前应明确宫内妊娠,除常规妇科检查尿β-hCG外,还需行B超检查。
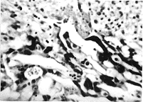
附图 平滑肌组织间有细胞滋养细胞(郎罕细胞)与合体滋养细胞。HE ×300
参考文献
1 戴钟英.异位妊娠与IUD.实用妇产科杂志,1996,4:181-183.
(收稿:1997-08-15 修回:1998-05-21), 百拇医药
单位:411101 湖南省湘潭市第一医院妇产科
关键词:
中华妇产科杂志/981027 患者38岁,孕3产1,人工流产2次。因停经46天,口服药物流产药后伴腹痛20小时、晕厥5次,于1996年10月22日入院。患者末次月经1996年9月6日。停经40天出现乳胀、择食,无恶心呕吐,无阴道流血及腹痛。3天前在外院行尿妊娠试验阳性,诊断为宫内早孕,口服米非司酮片25 mg,1日2次,连服3天,第3天加服米索前列醇600 μg之后6小时后出现持续性下腹疼痛,有少许阴道流血,无胚胎组织及凝血块排出,自觉下腹疼痛逐渐加重伴有肛门坠胀及头晕,先后晕倒5次。急转本院行B超检查,考虑为异位妊娠破裂,腹腔内出血入院。既往月经规律,经期无腹痛,经量中等、色较暗无凝血块。足月分娩于14年前,产后1年放置宫内节育器(IUD)。放置IUD后近2年因妊娠于人工流产术时将IUD取出。人工流产后采用避孕套和安全期避孕。身体检查:体温37.2℃,脉搏118次,血压12/8.5 kPa(1 kPa=7.5 mmHg)。神志清楚,贫血貌。腹平略有肌紧张,全腹压痛反跳痛,以下腹部为著,移动性浊音阳性。外阴有血迹无结节,阴道壁光滑,内有少量积血,子宫颈正常略有着色,宫颈口关闭,举痛阳性,穹窿饱满无结节。子宫大小如孕40天,中位、活动差,质地较软,均匀,双侧附件未触及明显包块。后穹窿穿刺抽出不凝血液5 ml。初步诊断为输卵管妊娠,不除外破裂;腹腔内出血失血性贫血。住院后2小时在连续硬膜外麻醉下行剖腹探查术。术中见盆腔积血及凝血块约有1 500 ml。子宫体8.0 cm×6.0 cm×5.0 cm,质地较软、均匀。双侧输卵管无增粗,无破裂口,伞端无流血,输卵管系膜正常。右侧卵巢3.5 cm×3.0 cm×1.0 cm,表面无结节、无破裂口。左侧卵巢4.0 cm×3.0 cm×2.0 cm,部分呈黄体囊肿样改变,表面无破裂口。大网膜、肠系膜、阔韧带无包块,无破裂口。子宫直肠窝无结节,宫骶韧带正常。子宫体后壁浆肌层有一直径0.8 cm紫红色缺损病灶,上有凝血块样组织附着,有活动性出血,与宫腔不通。楔形切除子宫后壁病灶及部分肌壁层组织,送冰冻病理检查。1号羊肠线分两层间断缝合子宫肌壁切口,彻底止血,检查盆腹腔未见异常。冰冻病理检查示:标本组织大部分为平滑肌组织,周边伴出血炎性坏死,有内膜腺体、蜕膜组织、细胞滋养细胞及绒毛组织。符合子宫浆肌层妊娠。术后诊断:子宫体浆肌层妊娠。术后第5天阴道流血自净,第7天、14天、21天查尿β-hCG为1 200 IU/L、30 IU/L、 8 IU/L(小于15 IU/L为阴性)。术后10天B超检查:子宫体大小同住院时,内膜线清楚,宫腔及肌壁层无结节回声,双侧附件正常,盆底无液体。胸片检查正常,妇科检查无异常包块,痊愈出院。
, http://www.100md.com
讨论 异位妊娠95%以上发生在输卵管[1],少数发生宫颈、卵巢、腹腔及子宫残角等,发生于子宫体浆肌层的异位子宫内膜处的妊娠罕见。异位妊娠诊治应及时准确。随异位妊娠发病率渐增,药物流产广泛开展,治疗前应明确宫内妊娠,除常规妇科检查尿β-hCG外,还需行B超检查。
附图 平滑肌组织间有细胞滋养细胞(郎罕细胞)与合体滋养细胞。HE ×300
参考文献
1 戴钟英.异位妊娠与IUD.实用妇产科杂志,1996,4:181-183.
(收稿:1997-08-15 修回:1998-05-21), 百拇医药