子宫颈湿疣的病理变化与人乳头状瘤病毒的检测
作者:袁莉云 卞美璐 罗杰 李挺 范慕贞
单位:100029 北京,中日友好医院妇产科(袁莉云,卞美璐),病理科(罗杰,李挺),临床医学研究所生化室(范慕贞)
关键词:宫颈疾病;尖锐湿疣;乳头状瘤病毒;人
中华妇产科杂志990610 【摘要】 目的 了解宫颈湿疣病理变化与人乳头状瘤病毒(HPV)亚型关系。方法 对计算机辅助细胞检测(CCT)诊断的71例不典型鳞状细胞、65例低度鳞状上皮内病变、17例高度鳞状上皮内病变及5例鳞状上皮细胞癌患者,在阴道镜下行宫颈多点活体组织病理学检测,同时采用聚合酶链反应(PCR)技术对宫颈脱落细胞及分泌物进行HPV6/11、HPV16/18检测;对经病理检查证实的宫颈湿疣中的凹空细胞分为Ⅰ型和Ⅱ型。结果 73例宫颈湿疣中,Ⅱ型凹空细胞的HPV16/18感染率为86.0%,明显高于Ⅰ型凹空细胞的16.7%(P<0.01)。含有Ⅱ型凹空细胞的低度鳞状上皮内病变中,HPV16/18感染率及病理性核分裂相发生率均为85.7%,明显高于Ⅰ型凹空细胞或单纯宫颈上皮内瘤变Ⅰ级(P<0.01)。结论 根据组织病理检查发现有Ⅱ型凹空细胞,可以推测存在HPV16/18感染。含有Ⅱ型凹空细胞的低度鳞状上皮内病变与HPV16/18感染密切相关,核异型性显著,伴病理性核分裂相,在病理诊断上具有重要意义。
, 百拇医药
Relationship between Histopathologic Observation of Cervical Condyloma and Human Papillomavirus Infection
YUAN Liyun, BIAN Meilu, LUO Jie, et al. China-Japan Friendship Hospital,Beijing 100029
【Abstract】 Objective To study the relationship between histopathologic changes of cervical condyloma and different subtypes human papillomavirus (HPV) infection. Methods 158 women with abnormal Pap smears diagnosed by computer assisted cytologic technique (CCT) including 71 cases with atypical squamous cells of undetermined significance (ASCUS), 65 cases with low-grade squamous intraepithelial lesions (LSIL), 17 cases with high-grade squamous intraepithelial lesions (HSIL) and 5 cases with squamous cancers, underwent directed biopsies under colposcopy and were simultaneously detected for HPV6/11, HPV16/18 DNA by polymerase chain reaction (PCR). Koilocytotisis in 73 cases with pathologically proven cervical condyloma were grouped into type Ⅰ and Ⅱ according to its atypical degree of nuclei. Results HPV16/18 infection rate among condylomas cases was 86.0%, which was significantly higher than that of type Ⅰ (16.7%) (P<0.01). In LSIL with type Ⅱ koilocytotisis, HPV16/18 infection rate and abnormal mitotic figures (AMFs) occurrence were 85.7%, significantly higher than those in type Ⅰ koilocytotisis or cervical intraepithelial neoplasia Ⅰ. Conclusions Type Ⅱ koilocytotisis was correlated with HPV16/18 infection. LSIL with type Ⅱ koilocytotisises, distinct atypical nuclei, also associated with high HPV16/18 rate and AMFs, therefore treatment and follow-up should be more aggressive.
, 百拇医药
【Key words】 Cervix diseases Condylomata acuminata Papillomavirus, human
大量的流行病学研究显示,宫颈湿疣、癌前病变、宫颈癌三者密切相关。宫颈湿疣多表现为扁平湿疣,常伴宫颈上皮内瘤变(CIN)。随着分子生物学技术的发展,目前已经克隆了70余种人乳头状瘤病毒(HPV)亚型,其中高危型HPV与宫颈癌的发生、发展密切相关。若能从病理改变区别HPV感染亚型,对患者的临床处理具有重要意义。国外一些学者从病理表现的不同角度对此作了研究,结论不一[1,2]。但尚未见从凹空细胞的异型程度来区别HPV感染亚型的研究。本研究从凹空细胞的异型程度分析73例宫颈湿疣的病理特点,与聚合酶链反应(PCR)技术检测HPV亚型进行对比,探讨宫颈湿疣病理改变与高危型HPV感染的关系。
资料和方法
一、研究对象
, http://www.100md.com
1996年9月至1998年2月,我院妇产科门诊行计算机辅助细胞检测(computer-assisted cytologic tech- nique, CCT)[3]6 005例,结果异常的患者158例为本研究对象,包括71例不典型鳞状细胞(ASCUS)、65例低度鳞状上皮内病变(LSIL)、17例高度鳞状上皮内病变(HSIL)及5例鳞状细胞癌,年龄22~60岁,平均(33±9)岁。
二、方法
1.病理标本取材:对158名患者均在阴道镜下行宫颈多点活检。活检组织用10%甲醛固定,石蜡包埋、切片、HE染色。病理片由有经验的3位病理医生共同阅片,最后诊断。
2.病理诊断标准:宫颈鳞状上皮非典型增生及原位癌以Richart的CIN 3级为诊断标准。宫颈尖锐湿疣病理表现为:表层过度角化,棘层细胞及基底层细胞增生,表皮呈乳头状增生、伸长向表面突起,中表层见灶性凹空细胞。宫颈扁平湿疣表皮增生、平坦,中表层散在或成片分布凹空细胞。宫颈湿疣表中层凹空细胞的特点是:核周胞浆空泡化,细胞边缘尚留带状胞浆,核大、深染、核结构不清、核形不规则,常伴双核、多核[4]。凹空细胞的核表现有两种形态。一种核增大,但不超过底层细胞核的1倍,核形不规则,染色深,结构不清,可见双核,偶见病理性核分裂相(AMFs),即以放大400倍为高倍视野,病理性核分裂相1~2个/5高倍视野(HPFs),该种凹空细胞我们称之为Ⅰ型凹空细胞;另一种核为底层细胞核的2~3倍,可见双核、多核、畸形核或巨核,有的核结构清晰、可见核仁,有的染色质浓聚呈团块状,结构不清,核膜增厚,不连续;核浆比例失调;常有病理性核分裂相1~6个/5 HPFs,我们称之为Ⅱ型凹空细胞。宫颈湿疣伴CIN的病理特点[4]:CIN病变基础上表层及中层有HPV感染的特征性凹空细胞。
, 百拇医药
3.HPV-DNA的检测:采用PCR方法。取患者宫颈脱落细胞和分泌物进行常规DNA提取。PCR反应管购自中山医科大学科技开发公司,扩增按下列条件:变性94℃ 45秒→退火55℃ 45秒→延伸72℃ 60秒,共35个循环,最后置于72℃保温5分钟。取10 μl扩增产物,用8%的聚丙烯酰胺凝胶电泳30分钟后,溴乙锭染色,紫外灯下观察照相。设PBR322/BSTN1作标记物,大小为438bp的扩增产物为HPV6/11阳性;294bp的扩增产物为HPV16/18阳性。HPV6/11引物1为5′-GTGGGGGAACCTGTGC- CTGA-3′,引物2为5′-TGTACCATTTGGGGGAGGCG-3′;HPV16/18引物1为5′-TGGTGCCATGGACTTTAC- TACA3′,引物2为5′-TCAGAGGTAACCATAGAGC- CAC-3′。
三、统计学方法
采用χ2检验。
, 百拇医药
结果
一、病理检查结果
158例中,73例为宫颈湿疣,其中单纯湿疣24例,宫颈湿疣伴CIN 49例,包括CINⅠ 15例、CINⅡ 20例、CINⅢ 14例。见表1。
表1 158名患者活体组织病理检查结果(例数) 类别
总例
数
炎症
增生
鳞化
单纯
宫颈
, http://www.100md.com
湿疣
CIN
宫颈湿疣伴
CIN
鳞状
细胞
癌
Ⅰ
Ⅱ
Ⅲ
Ⅰ
Ⅱ
Ⅲ
不典型鳞
, http://www.100md.com
状细胞
71
35
7
6
2
1
7
10
3
0
低度鳞状上皮内病变
65
19
, http://www.100md.com
17
4
1
2
6
9
7
0
高度鳞状上
皮内病变
17
4
0
0
, 百拇医药
3
2
2
1
3
2
鳞状细胞癌
5
0
0
0
0
0
0
, 百拇医药
0
1
4
二、宫颈湿疣凹空细胞类型分布
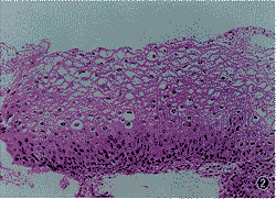
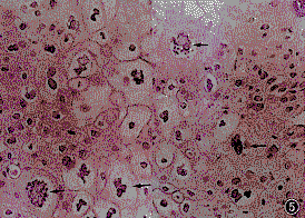
73例宫颈湿疣中,2例为尖锐湿疣,71例为扁平湿疣。根据核形态的差异,凹空细胞为Ⅰ型的有30例(图1,2),Ⅱ型的有43例(图3~6)。见表2。






, 百拇医药
图1 Ⅰ型凹空细胞核增大,核形不规则、染色深、结构不清,偶见双核。HE×300
图2 宫颈扁平湿疣伴CINⅠ,鳞状上皮增生、平坦,中表层可见Ⅰ型凹空细胞,基底层细胞轻度异型。HE×150
图 3Ⅱ型凹空细胞核增大、结构清晰,可见核仁,核膜不连续。HE×300
图4 Ⅱ型凹空细胞的畸形核。HE×150
图5 为图4中畸形核的放大(↑).HE×300
图6 Ⅱ型凹空细胞,核为底层细胞核的2~倍,可见双核、多核,伴病理性核分裂(↑)。HE×150
图7 鳞状上皮基底层出现CINⅠ,中表层可见Ⅱ型凹空细胞,伴病理性核分裂(↑)。HE×300
, 百拇医药
表2 73例宫颈湿疣的病理形态类型与
凹空细胞分型的关系(例数)
类别
总例数
Ⅰ型凹空细胞
Ⅱ型凹空细胞
单纯湿疣
24
19
5
湿疣伴CINⅠ
15
6
, 百拇医药
9
湿疣伴CINⅡ
20
5
15
湿疣伴CINⅢ
14
0
14
三、凹空细胞与HPV亚型的关系
30例含有Ⅰ型凹空细胞的宫颈湿疣病变中,5例HPV16/18阳性,占16.7%,6例HPV6/11阳性,占20.0%;43例含有Ⅱ型凹空细胞的宫颈湿疣病变中,37例HPV16/18阳性,占86.0%。见表3。
, http://www.100md.com
表3 凹空细胞类型与HPV亚型的关系(例数)
凹空
细胞类型
总例数
HPV6/11
(+)
HPV16/18
(+)
HPV6/11
HPV16/18(+)
Ⅰ型
30
, 百拇医药
6
5
0
Ⅱ型
43
1
32
5
四、低度鳞状上皮内病变病理性核分裂相与HPV16/18感染的分布
病理诊断为单纯宫颈湿疣、湿疣伴CINⅠ和单纯CINⅠ在TBS分类中归于低度鳞状上皮内病变,共有49例。25例含有Ⅰ型凹空细胞(图2),其中3例有病理性核分裂相(12.0%),4例HPV16/18阳性(16.0%)。14例有Ⅱ型凹空细胞(图7),其中12例有病理性核分裂相(85.7%),12例HPV16/18阳性(85.7%);10例无凹空细胞为单纯CINⅠ,1例有病理性核分裂相,1例HPV16/18阳性。
, 百拇医药
讨论
凹空细胞是HPV感染在病理和细胞学上的特征性表现。1985年Gross等[5]描述了6种凹空细胞,概括了不同组织、不同器官HPV感染所致的凹空细胞的特点。凹空细胞异型程度不一,Boon等[6]认为可用中表层细胞核浆比及中底层细胞核大小比来描述。我们根据凹空细胞的核异型程度,将凹空细胞分为Ⅰ型和Ⅱ型,试图以此来区分HPV6/11和HPV16/18型感染。本研究结果显示,Ⅱ型凹空细胞与HPV16/18感染密切相关。因此,当宫颈组织中表层出现Ⅱ型凹空细胞时可以推测有HPV16/18感染。而Ⅰ型凹空细胞的HPV6/11和HPV16/18感染率无显著差异(P>0.05),仅就Ⅰ型凹空细胞的表现,无法区分HPV感染类型。Ⅱ型凹空细胞常有畸形核和巨核(核大小超出底层细胞核的3倍以上,核染色深),可能是病毒的整合导致的非整倍体DNA细胞的形态表现。另外,Ⅱ型凹空细胞常伴病理性核分裂相,病理性核分裂相与高危型HPV感染密切相关[7,8],HPV16/18的E6蛋白与p53结合,促进p53蛋白的降解[9],导致损伤的DNA不能修复,细胞通过破坏纺锤体克服细胞周期调控点,从而表现出不对称的有丝分裂现象即病理性核分裂相。病理性核分裂相是病变恶性程度的标志,含有病理性核分裂相的良性病变易向恶性进展[10]。
, 百拇医药
流行病学调查显示,低度鳞状上皮内病变中可检出所有嗜粘膜上皮类型的HPV,高危型HPV占相当比例。高危型HPV与病变进展密切相关,若能从病理上诊断出易发生进展的低度鳞状上皮内病变,则能对一些患者积极处理。我们着重分析病理诊断为低度鳞状上皮内病变的病理特点,含有Ⅱ型凹空细胞者HPV16/18型感染率和病理性核分裂相发生率显著高于含有Ⅰ型凹空细胞者及不含凹空细胞的单纯CINⅠ。含有Ⅱ型凹空细胞的低度鳞状上皮内病变具有3个特点:(1)与HPV16/18型感染密切相关;(2)凹空细胞异型性显著;(3)有病理性核分裂相。对含有Ⅱ型凹空细胞的低度鳞状上皮内病变患者,应积极治疗,密切随访。
参考文献
1 Fu SY, Huang I, Beaudenon S, et al. Correlative study of human papillomavirus DNA histopathology and morphometry in cervical condyloma and intraepithelial neoplasia. Int J Gynecol Pathol, 1988,7: 297-307.
, 百拇医药
2 Kadish AS, Hagan RJ, Ritter DB, et al. Biologic characteristic of specific human papillomavirus types predicted from morphology of cervical lesions. Hum Pathol, 1992, 23: 1262-1269.
3 Rosai J. Ackerman's surgical pathology. 7th ed. Washington DC: Mosby, 1989. 1023-1025.
4 Kurman RJ, Solomon D. The Bethesda system for reporting cervical/vaginal cytologic diagnosis. New York: Walsworth, 1994. 1-81.
, 百拇医药
5 Gross G, Ikenberg H, Grissmann L, et al. Papillomavirus infection of the anogenital region: correlation between histology clinical picture and virus type: proposal of a new nomenclature. J Invest Dermato, 1985, 85: 147-152.
6 Boon ME, Kok LP. Koilocytotic lesions of the cervix: the interrelation of morphometric features, the presence of papillomavirus antigens and the degree of koilocytosis. Histopathology, 1985, 9: 751-763.
, 百拇医药 7 Mittal K, Demopoulos RI, Tata M, et al. A comparison of proliferative activity and atypical mitoses in cervical condylomas with various HPV types. Int J Gyecol Pathol, 1998, 17: 24-28.
8 Willett GD, Kurman RJ, Reid R, et al. Correlation of the histologic appearance of intraepithelial neoplasia of the cervix with human papillomavirus types. Int J Gynecol Pathol, 1989, 8: 18-24.
9 Crooke T, Tidy JA, Vousden KH. Degradation of p53 can be targeted by HPV E6 sequences distinct from those required for p53 binding and trans-activation. Cell, 1991, 67: 547-556.
10 Rubio CA. Atypical mitoses in colorectal adenomas. Pathol Res Pract, 1991, 187: 508-513.
收稿:1998-06-12
修回:1999-04-01, 百拇医药
单位:100029 北京,中日友好医院妇产科(袁莉云,卞美璐),病理科(罗杰,李挺),临床医学研究所生化室(范慕贞)
关键词:宫颈疾病;尖锐湿疣;乳头状瘤病毒;人
中华妇产科杂志990610 【摘要】 目的 了解宫颈湿疣病理变化与人乳头状瘤病毒(HPV)亚型关系。方法 对计算机辅助细胞检测(CCT)诊断的71例不典型鳞状细胞、65例低度鳞状上皮内病变、17例高度鳞状上皮内病变及5例鳞状上皮细胞癌患者,在阴道镜下行宫颈多点活体组织病理学检测,同时采用聚合酶链反应(PCR)技术对宫颈脱落细胞及分泌物进行HPV6/11、HPV16/18检测;对经病理检查证实的宫颈湿疣中的凹空细胞分为Ⅰ型和Ⅱ型。结果 73例宫颈湿疣中,Ⅱ型凹空细胞的HPV16/18感染率为86.0%,明显高于Ⅰ型凹空细胞的16.7%(P<0.01)。含有Ⅱ型凹空细胞的低度鳞状上皮内病变中,HPV16/18感染率及病理性核分裂相发生率均为85.7%,明显高于Ⅰ型凹空细胞或单纯宫颈上皮内瘤变Ⅰ级(P<0.01)。结论 根据组织病理检查发现有Ⅱ型凹空细胞,可以推测存在HPV16/18感染。含有Ⅱ型凹空细胞的低度鳞状上皮内病变与HPV16/18感染密切相关,核异型性显著,伴病理性核分裂相,在病理诊断上具有重要意义。
, 百拇医药
Relationship between Histopathologic Observation of Cervical Condyloma and Human Papillomavirus Infection
YUAN Liyun, BIAN Meilu, LUO Jie, et al. China-Japan Friendship Hospital,Beijing 100029
【Abstract】 Objective To study the relationship between histopathologic changes of cervical condyloma and different subtypes human papillomavirus (HPV) infection. Methods 158 women with abnormal Pap smears diagnosed by computer assisted cytologic technique (CCT) including 71 cases with atypical squamous cells of undetermined significance (ASCUS), 65 cases with low-grade squamous intraepithelial lesions (LSIL), 17 cases with high-grade squamous intraepithelial lesions (HSIL) and 5 cases with squamous cancers, underwent directed biopsies under colposcopy and were simultaneously detected for HPV6/11, HPV16/18 DNA by polymerase chain reaction (PCR). Koilocytotisis in 73 cases with pathologically proven cervical condyloma were grouped into type Ⅰ and Ⅱ according to its atypical degree of nuclei. Results HPV16/18 infection rate among condylomas cases was 86.0%, which was significantly higher than that of type Ⅰ (16.7%) (P<0.01). In LSIL with type Ⅱ koilocytotisis, HPV16/18 infection rate and abnormal mitotic figures (AMFs) occurrence were 85.7%, significantly higher than those in type Ⅰ koilocytotisis or cervical intraepithelial neoplasia Ⅰ. Conclusions Type Ⅱ koilocytotisis was correlated with HPV16/18 infection. LSIL with type Ⅱ koilocytotisises, distinct atypical nuclei, also associated with high HPV16/18 rate and AMFs, therefore treatment and follow-up should be more aggressive.
, 百拇医药
【Key words】 Cervix diseases Condylomata acuminata Papillomavirus, human
大量的流行病学研究显示,宫颈湿疣、癌前病变、宫颈癌三者密切相关。宫颈湿疣多表现为扁平湿疣,常伴宫颈上皮内瘤变(CIN)。随着分子生物学技术的发展,目前已经克隆了70余种人乳头状瘤病毒(HPV)亚型,其中高危型HPV与宫颈癌的发生、发展密切相关。若能从病理改变区别HPV感染亚型,对患者的临床处理具有重要意义。国外一些学者从病理表现的不同角度对此作了研究,结论不一[1,2]。但尚未见从凹空细胞的异型程度来区别HPV感染亚型的研究。本研究从凹空细胞的异型程度分析73例宫颈湿疣的病理特点,与聚合酶链反应(PCR)技术检测HPV亚型进行对比,探讨宫颈湿疣病理改变与高危型HPV感染的关系。
资料和方法
一、研究对象
, http://www.100md.com
1996年9月至1998年2月,我院妇产科门诊行计算机辅助细胞检测(computer-assisted cytologic tech- nique, CCT)[3]6 005例,结果异常的患者158例为本研究对象,包括71例不典型鳞状细胞(ASCUS)、65例低度鳞状上皮内病变(LSIL)、17例高度鳞状上皮内病变(HSIL)及5例鳞状细胞癌,年龄22~60岁,平均(33±9)岁。
二、方法
1.病理标本取材:对158名患者均在阴道镜下行宫颈多点活检。活检组织用10%甲醛固定,石蜡包埋、切片、HE染色。病理片由有经验的3位病理医生共同阅片,最后诊断。
2.病理诊断标准:宫颈鳞状上皮非典型增生及原位癌以Richart的CIN 3级为诊断标准。宫颈尖锐湿疣病理表现为:表层过度角化,棘层细胞及基底层细胞增生,表皮呈乳头状增生、伸长向表面突起,中表层见灶性凹空细胞。宫颈扁平湿疣表皮增生、平坦,中表层散在或成片分布凹空细胞。宫颈湿疣表中层凹空细胞的特点是:核周胞浆空泡化,细胞边缘尚留带状胞浆,核大、深染、核结构不清、核形不规则,常伴双核、多核[4]。凹空细胞的核表现有两种形态。一种核增大,但不超过底层细胞核的1倍,核形不规则,染色深,结构不清,可见双核,偶见病理性核分裂相(AMFs),即以放大400倍为高倍视野,病理性核分裂相1~2个/5高倍视野(HPFs),该种凹空细胞我们称之为Ⅰ型凹空细胞;另一种核为底层细胞核的2~3倍,可见双核、多核、畸形核或巨核,有的核结构清晰、可见核仁,有的染色质浓聚呈团块状,结构不清,核膜增厚,不连续;核浆比例失调;常有病理性核分裂相1~6个/5 HPFs,我们称之为Ⅱ型凹空细胞。宫颈湿疣伴CIN的病理特点[4]:CIN病变基础上表层及中层有HPV感染的特征性凹空细胞。
, 百拇医药
3.HPV-DNA的检测:采用PCR方法。取患者宫颈脱落细胞和分泌物进行常规DNA提取。PCR反应管购自中山医科大学科技开发公司,扩增按下列条件:变性94℃ 45秒→退火55℃ 45秒→延伸72℃ 60秒,共35个循环,最后置于72℃保温5分钟。取10 μl扩增产物,用8%的聚丙烯酰胺凝胶电泳30分钟后,溴乙锭染色,紫外灯下观察照相。设PBR322/BSTN1作标记物,大小为438bp的扩增产物为HPV6/11阳性;294bp的扩增产物为HPV16/18阳性。HPV6/11引物1为5′-GTGGGGGAACCTGTGC- CTGA-3′,引物2为5′-TGTACCATTTGGGGGAGGCG-3′;HPV16/18引物1为5′-TGGTGCCATGGACTTTAC- TACA3′,引物2为5′-TCAGAGGTAACCATAGAGC- CAC-3′。
三、统计学方法
采用χ2检验。
, 百拇医药
结果
一、病理检查结果
158例中,73例为宫颈湿疣,其中单纯湿疣24例,宫颈湿疣伴CIN 49例,包括CINⅠ 15例、CINⅡ 20例、CINⅢ 14例。见表1。
表1 158名患者活体组织病理检查结果(例数) 类别
总例
数
炎症
增生
鳞化
单纯
宫颈
, http://www.100md.com
湿疣
CIN
宫颈湿疣伴
CIN
鳞状
细胞
癌
Ⅰ
Ⅱ
Ⅲ
Ⅰ
Ⅱ
Ⅲ
不典型鳞
, http://www.100md.com
状细胞
71
35
7
6
2
1
7
10
3
0
低度鳞状上皮内病变
65
19
, http://www.100md.com
17
4
1
2
6
9
7
0
高度鳞状上
皮内病变
17
4
0
0
, 百拇医药
3
2
2
1
3
2
鳞状细胞癌
5
0
0
0
0
0
0
, 百拇医药
0
1
4
二、宫颈湿疣凹空细胞类型分布
73例宫颈湿疣中,2例为尖锐湿疣,71例为扁平湿疣。根据核形态的差异,凹空细胞为Ⅰ型的有30例(图1,2),Ⅱ型的有43例(图3~6)。见表2。
, 百拇医药
图1 Ⅰ型凹空细胞核增大,核形不规则、染色深、结构不清,偶见双核。HE×300
图2 宫颈扁平湿疣伴CINⅠ,鳞状上皮增生、平坦,中表层可见Ⅰ型凹空细胞,基底层细胞轻度异型。HE×150
图 3Ⅱ型凹空细胞核增大、结构清晰,可见核仁,核膜不连续。HE×300
图4 Ⅱ型凹空细胞的畸形核。HE×150
图5 为图4中畸形核的放大(↑).HE×300
图6 Ⅱ型凹空细胞,核为底层细胞核的2~倍,可见双核、多核,伴病理性核分裂(↑)。HE×150
图7 鳞状上皮基底层出现CINⅠ,中表层可见Ⅱ型凹空细胞,伴病理性核分裂(↑)。HE×300
, 百拇医药
表2 73例宫颈湿疣的病理形态类型与
凹空细胞分型的关系(例数)
类别
总例数
Ⅰ型凹空细胞
Ⅱ型凹空细胞
单纯湿疣
24
19
5
湿疣伴CINⅠ
15
6
, 百拇医药
9
湿疣伴CINⅡ
20
5
15
湿疣伴CINⅢ
14
0
14
三、凹空细胞与HPV亚型的关系
30例含有Ⅰ型凹空细胞的宫颈湿疣病变中,5例HPV16/18阳性,占16.7%,6例HPV6/11阳性,占20.0%;43例含有Ⅱ型凹空细胞的宫颈湿疣病变中,37例HPV16/18阳性,占86.0%。见表3。
, http://www.100md.com
表3 凹空细胞类型与HPV亚型的关系(例数)
凹空
细胞类型
总例数
HPV6/11
(+)
HPV16/18
(+)
HPV6/11
HPV16/18(+)
Ⅰ型
30
, 百拇医药
6
5
0
Ⅱ型
43
1
32
5
四、低度鳞状上皮内病变病理性核分裂相与HPV16/18感染的分布
病理诊断为单纯宫颈湿疣、湿疣伴CINⅠ和单纯CINⅠ在TBS分类中归于低度鳞状上皮内病变,共有49例。25例含有Ⅰ型凹空细胞(图2),其中3例有病理性核分裂相(12.0%),4例HPV16/18阳性(16.0%)。14例有Ⅱ型凹空细胞(图7),其中12例有病理性核分裂相(85.7%),12例HPV16/18阳性(85.7%);10例无凹空细胞为单纯CINⅠ,1例有病理性核分裂相,1例HPV16/18阳性。
, 百拇医药
讨论
凹空细胞是HPV感染在病理和细胞学上的特征性表现。1985年Gross等[5]描述了6种凹空细胞,概括了不同组织、不同器官HPV感染所致的凹空细胞的特点。凹空细胞异型程度不一,Boon等[6]认为可用中表层细胞核浆比及中底层细胞核大小比来描述。我们根据凹空细胞的核异型程度,将凹空细胞分为Ⅰ型和Ⅱ型,试图以此来区分HPV6/11和HPV16/18型感染。本研究结果显示,Ⅱ型凹空细胞与HPV16/18感染密切相关。因此,当宫颈组织中表层出现Ⅱ型凹空细胞时可以推测有HPV16/18感染。而Ⅰ型凹空细胞的HPV6/11和HPV16/18感染率无显著差异(P>0.05),仅就Ⅰ型凹空细胞的表现,无法区分HPV感染类型。Ⅱ型凹空细胞常有畸形核和巨核(核大小超出底层细胞核的3倍以上,核染色深),可能是病毒的整合导致的非整倍体DNA细胞的形态表现。另外,Ⅱ型凹空细胞常伴病理性核分裂相,病理性核分裂相与高危型HPV感染密切相关[7,8],HPV16/18的E6蛋白与p53结合,促进p53蛋白的降解[9],导致损伤的DNA不能修复,细胞通过破坏纺锤体克服细胞周期调控点,从而表现出不对称的有丝分裂现象即病理性核分裂相。病理性核分裂相是病变恶性程度的标志,含有病理性核分裂相的良性病变易向恶性进展[10]。
, 百拇医药
流行病学调查显示,低度鳞状上皮内病变中可检出所有嗜粘膜上皮类型的HPV,高危型HPV占相当比例。高危型HPV与病变进展密切相关,若能从病理上诊断出易发生进展的低度鳞状上皮内病变,则能对一些患者积极处理。我们着重分析病理诊断为低度鳞状上皮内病变的病理特点,含有Ⅱ型凹空细胞者HPV16/18型感染率和病理性核分裂相发生率显著高于含有Ⅰ型凹空细胞者及不含凹空细胞的单纯CINⅠ。含有Ⅱ型凹空细胞的低度鳞状上皮内病变具有3个特点:(1)与HPV16/18型感染密切相关;(2)凹空细胞异型性显著;(3)有病理性核分裂相。对含有Ⅱ型凹空细胞的低度鳞状上皮内病变患者,应积极治疗,密切随访。
参考文献
1 Fu SY, Huang I, Beaudenon S, et al. Correlative study of human papillomavirus DNA histopathology and morphometry in cervical condyloma and intraepithelial neoplasia. Int J Gynecol Pathol, 1988,7: 297-307.
, 百拇医药
2 Kadish AS, Hagan RJ, Ritter DB, et al. Biologic characteristic of specific human papillomavirus types predicted from morphology of cervical lesions. Hum Pathol, 1992, 23: 1262-1269.
3 Rosai J. Ackerman's surgical pathology. 7th ed. Washington DC: Mosby, 1989. 1023-1025.
4 Kurman RJ, Solomon D. The Bethesda system for reporting cervical/vaginal cytologic diagnosis. New York: Walsworth, 1994. 1-81.
, 百拇医药
5 Gross G, Ikenberg H, Grissmann L, et al. Papillomavirus infection of the anogenital region: correlation between histology clinical picture and virus type: proposal of a new nomenclature. J Invest Dermato, 1985, 85: 147-152.
6 Boon ME, Kok LP. Koilocytotic lesions of the cervix: the interrelation of morphometric features, the presence of papillomavirus antigens and the degree of koilocytosis. Histopathology, 1985, 9: 751-763.
, 百拇医药 7 Mittal K, Demopoulos RI, Tata M, et al. A comparison of proliferative activity and atypical mitoses in cervical condylomas with various HPV types. Int J Gyecol Pathol, 1998, 17: 24-28.
8 Willett GD, Kurman RJ, Reid R, et al. Correlation of the histologic appearance of intraepithelial neoplasia of the cervix with human papillomavirus types. Int J Gynecol Pathol, 1989, 8: 18-24.
9 Crooke T, Tidy JA, Vousden KH. Degradation of p53 can be targeted by HPV E6 sequences distinct from those required for p53 binding and trans-activation. Cell, 1991, 67: 547-556.
10 Rubio CA. Atypical mitoses in colorectal adenomas. Pathol Res Pract, 1991, 187: 508-513.
收稿:1998-06-12
修回:1999-04-01, 百拇医药