卵巢上皮性癌脑转移四例临床分析
作者:赵彦 钱和年 李蔚范 戴玲
单位:赵彦 钱和年 北京医科大学人民医院妇科肿瘤中心 100044;戴玲 病理科;蔚范 北京医科大学肿瘤医院
关键词:卵巢肿瘤;脑肿瘤;综合疗法
中华妇产科杂志990712 【摘要】 目的 探讨卵巢上皮性癌脑转移的发生率、相关因素、诊断和治疗方法。方法 分析1989年至1997年,卵巢上皮性癌132例,其中4例发生脑转移。结果 脑转移发生率为3%,脑转移发生与晚期癌和肿瘤分化程度有关,与肿瘤病理类型无关。晚期患者接受肿瘤细胞减灭术和系统化疗后生存时间延长;出现腹腔外转移者,脑转移发生率增高。结论 颅脑计算机体层摄影术和磁共振显像检查是确诊脑转移的重要手段。综合治疗包括手术、放疗、化疗和降颅压,可改善脑转移症状。
Cerebral Metastases in Patients with Epithelial Ovarian Carcinoma
, 百拇医药
ZHAO Yan, QIAN Henian, LI Weifan, et al.
Gynecologic Oncology Center, People's Hospital, Beijing Medical University, Beijing 100044
【Abstract】 Objective To detect the rate of occurrence, the relevant factors ,the diagnosis and treatment of cerebral metastases in patients with epithelial ovarian carcinoma. Methods The clinical data were analyzed in 4 cases of cerebral metastases from 132 cases of epithelial ovarian carcinoma after treatment between 1989~1997. Results The rate of cerebral metastases was 3%. The related factors were advanced stage, and tumor cells differentiation, but no related with the histologic type. More cases of cerebral metastasis were found because of the prolonged survival after cytoreductive surgery and systemic chemotherapy as well as the extraabdominal metastasis. Conclusions Computed tomography and magnetic resonance imaging were the important diagnostic methods. Combined treatments including surgery, radiotherapy and chemotherapy can improve the patients status and prolong their lives.
, 百拇医药
【Key words】 Ovarian neoplasms Brain neoplasms Combined modality therapy
卵巢上皮性癌(卵巢癌)发生脑转移的病例过去极为少见。随着肿瘤细胞减灭术的提高,和以铂类为主的联合化疗药物的应用,卵巢癌患者的生存期得以延长。近年来,陆续有卵巢癌发生脑转移[1-7]的报道。本研究复习了1989年至1997年间,在本院接收治疗的卵巢癌132例,其中发生脑转移4例。现将这4例患者的情况并复习有关文献总结分析如下。
临床资料
例1 患者49岁,因双侧卵巢混合性乳头状腺癌,于1989年5月30日接受子宫、双侧附件、大网膜切除和左侧髂外淋巴结活检。术后残留癌直径>2cm。临床病理分期为Ⅲb期,G3。术后采用顺铂、阿霉素、环磷酰胺(PAC)方案化疗6个疗程。二次探查术阴性。又巩固治疗4个疗程。此后,门诊随访和信访。第1次手术后临床无病变期26个月,至1991年8月,因头痛、眩晕、剧烈呕吐、不能行走和语言障碍2个月就诊,脑计算机体层摄影术(CT)检查提示右侧小脑占位性病变。于第1次术后28个月行开颅手术,切除右侧小脑肿物4cm×4cm×3cm。病理报告为卵巢癌脑转移。术后未接受其他辅助治疗,存活6个月后死亡。
, 百拇医药
例2 患者66岁,因双侧卵巢子宫内膜样癌,于1990年9月27日接受子宫、双侧附件、大网膜切除和左侧髂总、髂外淋巴结活检。术后残留癌直径<2cm。临床病理分期为Ⅲc期,G2。术后采用PAC方案化疗12个疗程。第1次手术后临床无病变期64个月,至1996年2月因双侧肺多发性转移和左侧锁骨上淋巴结肿大,采用泰素、顺铂方案化疗9个疗程。第5个疗程后复查,左侧锁骨上淋巴结缩小,胸部CT检查,肺转移灶大部分消失,仍有纵隔淋巴结肿大。1997年12月,患者突然发生偏瘫,并反复发作,记忆力减退,CT检查显示右侧颞叶占位性病变。于第1次术后87个月行开颅手术,切除右侧顶叶肿物8cm×7cm×7cm,病理报告为卵巢癌脑转移。术后采用威猛26 100mg(第1、2天),甲基环己亚硝脲200mg(第3天),治疗1个疗程。1个月后,患者接受“γ刀”治疗左侧颞叶转移瘤。开颅术后8个月,患者又出现神经系统症状和大小便失禁,CT和磁共振显像(MRI)检查显示颅内多发性转移灶,经治疗无效死亡。该患者脑转移后存活10个月。
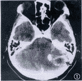
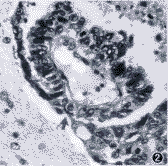
例3 患者44岁, 因双侧卵巢浆液性乳头状囊腺癌,于1993年4月6日接受子宫、双侧附件、大网膜切除和阑尾切除术。术后残留癌直径>2cm。临床病理分期为Ⅲc期,G2。术后采用PAC方案化疗9个疗程。化疗后行二次探查术和盆腔淋巴结清扫术,又行化疗3个疗程。第1次手术后临床无病变期26个月,1993年8月可疑盆腔复发,给予顺铂、吡喃阿霉素和环磷酰胺方案化疗3个疗程。第1次术后38个月因卵巢癌结肠转移(直径2.5cm),行第3次手术,切除部分乙状结肠和直肠。术后残留癌直径<2cm。化疗方案选择泰素和卡铂治疗6个疗程。此后定期随诊。1997年9月患者因剧烈头痛渐进性加重3周,行CT检查,发现小脑转移灶(图1)。于第1次术后53个月,行开颅手术切除小脑延髓池肿瘤6cm×6cm×5cm,病理报告为卵巢癌脑转移(图2)。术后采用威猛26 和甲基环己亚硝脲方案化疗11个疗程(剂量同例2,间隔6周1次)。化疗第1,2疗程之间患者接受了全颅照射,化疗半年和1年后再次行脑CT检查,无转移灶存在(图3)。脑转移后存活19个月。
, 百拇医药
图1 脑CT检查显示,左侧小脑转移灶3 cm×2 cm,转移灶周围脑组织水肿
图2 卵巢浆液性乳头状囊腺癌脑组织光镜下形态,肿瘤细胞排列紊乱,细胞核大小不等、深染、呈异形性。HE×400
图3 脑CT检查显示,颅内无转移病灶
例4 患者41岁, 因双侧卵巢粘液性腺癌,合并头顶部久治不愈的“疖肿”, 左侧颈部淋巴结肿大和左侧胫骨痛性结节,于1997年10月15日接受子宫、双侧附件、大网膜、阑尾切除和盆腔淋巴结清扫术。术后残留癌直径>2cm。头部“疖肿”渗出物涂片可见恶性肿瘤细胞,临床病理分期为Ⅳ期,G2~G3。术后采用PAC方案化疗3个疗程。第3个疗程后10天(即手术后3个月)患者出现头痛、恶心、呕吐,失语和肢体运动障碍,左侧锁骨上和颈部淋巴结肿大,头皮转移结节增多,盆腔断端有3cm×4cm×2cm结节,脑CT和MRI均显示脑内多发性转移灶和左侧顶骨转移。因患者病情逐渐加重,意识不清,只给予1次威猛26 100mg(第1~2天)和顺铂100mg静脉化疗(第3天)。此后采用降颅压和补液等维持治疗,2个月后患者死于脑转移和全身重要器官功能衰竭。
, 百拇医药
讨论
一、 卵巢癌脑转移的发生率
恶性实体肿瘤发生脑转移多见于肺癌、前列腺癌、软组织肉瘤和淋巴瘤。卵巢癌脑转移的病例报告很少。1978年,Mayer等[1]复习了567例卵巢癌资料,发现5例合并中枢神经系统转移,占0.9%。此后,相继报告卵巢癌脑转移的发生率为1.0%~11.6%[2-4]。Larson等[5]报道的发生率仅为0.3% (13/4 456)。截止到1996年,国外文献报道卵巢癌发生脑转移病例只有101例[6]。本组脑转移4例,占同期我院初治卵巢癌患者的3.0%(4/132),与上述报道一致。
二、 卵巢癌发生脑转移的有关因素
1. 卵巢癌发生脑转移与患者治疗卵巢癌后生存期的延长有关:Hardy等[3]报道,1981~1984年,52例卵巢癌的平均生存期为28~38个月,而1955~1964年,5 240例卵巢癌的平均生存期只有17个月。本组4例患者自手术确诊卵巢癌至发生脑转移的平均时间为42个月(3~87个月),如果除外例4(Ⅳ期患者),3例Ⅲ期患者的平均生存时间更长,为55个月(26~87个月)。这4例患者在脑转移前均接受了较彻底的手术和术后化疗。其中例2术后残留癌直径<2cm,化疗后无病变生存时间长达64个月。因此,彻底的细胞减灭术和术后有效的化疗将会使患者生存期延长。为什么生存期延长会增加脑转移发生,很多学者认为,大分子化疗药物很难通过血-脑屏障进入脑组织[5]。因此,化疗药物只能杀灭脑组织以外的癌细胞,不能防止脑转移的发生。此机理已在白血病、非霍奇金淋巴瘤、肺癌和肉瘤等报道中描述[6-8]。
, http://www.100md.com
2. 脑转移常继发于卵巢癌以后的腹腔外转移:如肺转移,淋巴结转移和肝转移一样,卵巢癌发生脑转移一般出现较晚[3,4,9]。Sood等[9]认为,脑转移可能是癌细胞经Virchow-Robin 外周血管间隙血行播撒,或随淋巴逆流使脑膜受累,或通过受侵犯的骨骼直接侵入脑组织。本组例2和例4均有类似发展过程。例2于卵巢癌后64个月出现肺转移和锁骨上淋巴结转移,87个月发生脑转移。例4为术后病情不断进展,出现头皮转移灶增多,锁骨上和颈部淋巴结增大,继而发生脑转移和颅骨转移。
3. 脑转移与卵巢癌晚期和组织学分级有关:Sood等[9]指出,Ⅲ、Ⅳ期卵巢癌患者发生脑转移的危险性更高,低分化癌比高、中分化癌更可能出现脑转移。Hardy等[3]分析6例患者中,浆液性癌1例、粘液性癌1例、子宫内膜样癌2例、乳头状腺癌1例、苗勒管肉瘤1例,其中3例为低分化,1例为未分化癌。本组也有相似情况,4例患者中,浆液性、粘液性、子宫内膜样癌和混合性癌各1例,其中3例Ⅲ期、1例Ⅳ期;中、低分化癌各2例。
, 百拇医药
三、卵巢癌脑转移的诊断
卵巢癌脑转移很难早期诊断。因此,重视患者的主诉,仔细的全身检查,特别注意患者有无头痛、抽搐、语言障碍、记忆力丧失和肢体运动失常等神经系统的症状和体征,可帮助早期发现脑转移。CT和MRI检查是重要的诊断手段。Larson等[5]指出,如果CT未提供脑实质转移的依据,又无颅内压升高的表现,应行腰脊穿刺,抽取脑积液进行细胞学检查,在获得阳性结果前,可多次抽取检查。本组4例均有明显症状,例2并出现偏瘫,均能及时诊断。
四、卵巢癌脑转移的治疗
治疗卵巢癌脑转移应采用综合措施,包括手术、放疗、化疗和降颅压。要根据患者的病情、颅内转移灶的位置和数量而定。放疗可控制颅内多发性转移和微小转移灶,使头痛、肢体运动障碍、小脑功能异常等症状好转,但是单纯放疗的平均生存期大约只有4个月[5]。手术适用于颅内单发和较大转移灶,术后需加全脑照射。Galicich等采用这种方法治疗29例患者,其中28例在治疗野无复发。平均存活8个月,44%的患者存活1年以上。如果手术时没有身体其他部位转移,则患者能存活更长。1例术后存活48个月,另外2例分别存活10~34个月。而81%的患者在颅内病灶切除后存活1年。如果同时存在身体其他部位的转移,则还应采用化疗。这种患者的主要死亡原因是中枢神经系统以外的病变进展。化疗方案的选择尚无肯定。Cooper等[2]报道1例采用大剂量卡铂(800mg/m2),治疗后得到完全缓解。本组选用的化疗方案为静脉点滴威猛26和口服甲基环己亚硝脲,考虑这两种药物容易通过血-脑屏障。对于有颅内压高的患者,应常规给予降颅压治疗,以减轻脑水肿。多数学者认为,多种形式的综合治疗,如手术+全颅照射或者放疗+手术+化疗,效果均优于单纯放疗,这对于改善患者症状,控制腹腔外转移病变,延长患者寿命均有好处[5,10]。本组例3在脑转移前已有肠转移,而脑转移后应用手术、放疗及化疗综合治疗,现已存活19个月。
, 百拇医药
参考文献
1 Mayer RJ, Ross S, Berkowitz C, et al. Central nervous system involvement by ovarian carcinoma. Cancer, 1978, 41:776-783.
2 Cooper KG, Mrcog CHB, Kitchener HC ,et al. Case report cerebral metastases from epithelial ovarian carcinoma treated with carboplatin. Gynecol Oncol, 1994, 55:318-323.
3 Hardy JR, Harrey VJ. Cerebral metastases in patients with ovarian cancer treated with chemotherapy. Gynecol Oncol, 1989, 33:296-300.
, http://www.100md.com
4 Bruzzone M, Campora E, Chiara S,et al. Cerebral metastasis secondary to ovarian cancer: still an unusual event. Gynecol Oncol, 1993, 49: 37-40.
5 Larson DM, Copeland LJ, Moser RP, et al. Central nervous system metastases in epithelial ovarian carcinoma. Obstet Gynecol, 1986, 68:746-750.
6 Mackintosh FR, Colby TV, Podolsky WJ, et al. Central nervous system involvement in non-Hodgkin′s lymphoma: an analysis of 105 cases. Cancer, 1982, 49: 586-595.
, 百拇医药
7 Bunn PA. Ceentral nervous system complications in patients with diffuse histocytic and undifferentiated lymphoma: Leukemia revisited. Blood, 1976, 47: 3-9.
8 Newmen SF. Frequency diagnosis and treatment of brain metastases in 247 consecutive patients with bronchogenic carcinoma. Cancer, 1974, 33: 492-496.
9 Sood A, Kumar L, Sood R, et al. Case report epithelial ovarian carcinoma metastatic to the central nervous system: a report on two cases with review of literature. Gynecol Oncol, 1996, 62:113-118.
10 Rodriguez JT, Berchuch A, Oleson J, et al. Improved palliation of cerebral metastases in epithelial ovarian cancer using a combined modality approach including radiation therapy, chemotherapy, and surgery. J Clin Oncol, 1992, 10:1553-1560.
(收稿:1998-08-17 修回:1999-04-27), 百拇医药
单位:赵彦 钱和年 北京医科大学人民医院妇科肿瘤中心 100044;戴玲 病理科;蔚范 北京医科大学肿瘤医院
关键词:卵巢肿瘤;脑肿瘤;综合疗法
中华妇产科杂志990712 【摘要】 目的 探讨卵巢上皮性癌脑转移的发生率、相关因素、诊断和治疗方法。方法 分析1989年至1997年,卵巢上皮性癌132例,其中4例发生脑转移。结果 脑转移发生率为3%,脑转移发生与晚期癌和肿瘤分化程度有关,与肿瘤病理类型无关。晚期患者接受肿瘤细胞减灭术和系统化疗后生存时间延长;出现腹腔外转移者,脑转移发生率增高。结论 颅脑计算机体层摄影术和磁共振显像检查是确诊脑转移的重要手段。综合治疗包括手术、放疗、化疗和降颅压,可改善脑转移症状。
Cerebral Metastases in Patients with Epithelial Ovarian Carcinoma
, 百拇医药
ZHAO Yan, QIAN Henian, LI Weifan, et al.
Gynecologic Oncology Center, People's Hospital, Beijing Medical University, Beijing 100044
【Abstract】 Objective To detect the rate of occurrence, the relevant factors ,the diagnosis and treatment of cerebral metastases in patients with epithelial ovarian carcinoma. Methods The clinical data were analyzed in 4 cases of cerebral metastases from 132 cases of epithelial ovarian carcinoma after treatment between 1989~1997. Results The rate of cerebral metastases was 3%. The related factors were advanced stage, and tumor cells differentiation, but no related with the histologic type. More cases of cerebral metastasis were found because of the prolonged survival after cytoreductive surgery and systemic chemotherapy as well as the extraabdominal metastasis. Conclusions Computed tomography and magnetic resonance imaging were the important diagnostic methods. Combined treatments including surgery, radiotherapy and chemotherapy can improve the patients status and prolong their lives.
, 百拇医药
【Key words】 Ovarian neoplasms Brain neoplasms Combined modality therapy
卵巢上皮性癌(卵巢癌)发生脑转移的病例过去极为少见。随着肿瘤细胞减灭术的提高,和以铂类为主的联合化疗药物的应用,卵巢癌患者的生存期得以延长。近年来,陆续有卵巢癌发生脑转移[1-7]的报道。本研究复习了1989年至1997年间,在本院接收治疗的卵巢癌132例,其中发生脑转移4例。现将这4例患者的情况并复习有关文献总结分析如下。
临床资料
例1 患者49岁,因双侧卵巢混合性乳头状腺癌,于1989年5月30日接受子宫、双侧附件、大网膜切除和左侧髂外淋巴结活检。术后残留癌直径>2cm。临床病理分期为Ⅲb期,G3。术后采用顺铂、阿霉素、环磷酰胺(PAC)方案化疗6个疗程。二次探查术阴性。又巩固治疗4个疗程。此后,门诊随访和信访。第1次手术后临床无病变期26个月,至1991年8月,因头痛、眩晕、剧烈呕吐、不能行走和语言障碍2个月就诊,脑计算机体层摄影术(CT)检查提示右侧小脑占位性病变。于第1次术后28个月行开颅手术,切除右侧小脑肿物4cm×4cm×3cm。病理报告为卵巢癌脑转移。术后未接受其他辅助治疗,存活6个月后死亡。
, 百拇医药
例2 患者66岁,因双侧卵巢子宫内膜样癌,于1990年9月27日接受子宫、双侧附件、大网膜切除和左侧髂总、髂外淋巴结活检。术后残留癌直径<2cm。临床病理分期为Ⅲc期,G2。术后采用PAC方案化疗12个疗程。第1次手术后临床无病变期64个月,至1996年2月因双侧肺多发性转移和左侧锁骨上淋巴结肿大,采用泰素、顺铂方案化疗9个疗程。第5个疗程后复查,左侧锁骨上淋巴结缩小,胸部CT检查,肺转移灶大部分消失,仍有纵隔淋巴结肿大。1997年12月,患者突然发生偏瘫,并反复发作,记忆力减退,CT检查显示右侧颞叶占位性病变。于第1次术后87个月行开颅手术,切除右侧顶叶肿物8cm×7cm×7cm,病理报告为卵巢癌脑转移。术后采用威猛26 100mg(第1、2天),甲基环己亚硝脲200mg(第3天),治疗1个疗程。1个月后,患者接受“γ刀”治疗左侧颞叶转移瘤。开颅术后8个月,患者又出现神经系统症状和大小便失禁,CT和磁共振显像(MRI)检查显示颅内多发性转移灶,经治疗无效死亡。该患者脑转移后存活10个月。
例3 患者44岁, 因双侧卵巢浆液性乳头状囊腺癌,于1993年4月6日接受子宫、双侧附件、大网膜切除和阑尾切除术。术后残留癌直径>2cm。临床病理分期为Ⅲc期,G2。术后采用PAC方案化疗9个疗程。化疗后行二次探查术和盆腔淋巴结清扫术,又行化疗3个疗程。第1次手术后临床无病变期26个月,1993年8月可疑盆腔复发,给予顺铂、吡喃阿霉素和环磷酰胺方案化疗3个疗程。第1次术后38个月因卵巢癌结肠转移(直径2.5cm),行第3次手术,切除部分乙状结肠和直肠。术后残留癌直径<2cm。化疗方案选择泰素和卡铂治疗6个疗程。此后定期随诊。1997年9月患者因剧烈头痛渐进性加重3周,行CT检查,发现小脑转移灶(图1)。于第1次术后53个月,行开颅手术切除小脑延髓池肿瘤6cm×6cm×5cm,病理报告为卵巢癌脑转移(图2)。术后采用威猛26 和甲基环己亚硝脲方案化疗11个疗程(剂量同例2,间隔6周1次)。化疗第1,2疗程之间患者接受了全颅照射,化疗半年和1年后再次行脑CT检查,无转移灶存在(图3)。脑转移后存活19个月。
, 百拇医药
图1 脑CT检查显示,左侧小脑转移灶3 cm×2 cm,转移灶周围脑组织水肿
图2 卵巢浆液性乳头状囊腺癌脑组织光镜下形态,肿瘤细胞排列紊乱,细胞核大小不等、深染、呈异形性。HE×400
图3 脑CT检查显示,颅内无转移病灶
例4 患者41岁, 因双侧卵巢粘液性腺癌,合并头顶部久治不愈的“疖肿”, 左侧颈部淋巴结肿大和左侧胫骨痛性结节,于1997年10月15日接受子宫、双侧附件、大网膜、阑尾切除和盆腔淋巴结清扫术。术后残留癌直径>2cm。头部“疖肿”渗出物涂片可见恶性肿瘤细胞,临床病理分期为Ⅳ期,G2~G3。术后采用PAC方案化疗3个疗程。第3个疗程后10天(即手术后3个月)患者出现头痛、恶心、呕吐,失语和肢体运动障碍,左侧锁骨上和颈部淋巴结肿大,头皮转移结节增多,盆腔断端有3cm×4cm×2cm结节,脑CT和MRI均显示脑内多发性转移灶和左侧顶骨转移。因患者病情逐渐加重,意识不清,只给予1次威猛26 100mg(第1~2天)和顺铂100mg静脉化疗(第3天)。此后采用降颅压和补液等维持治疗,2个月后患者死于脑转移和全身重要器官功能衰竭。
, 百拇医药
讨论
一、 卵巢癌脑转移的发生率
恶性实体肿瘤发生脑转移多见于肺癌、前列腺癌、软组织肉瘤和淋巴瘤。卵巢癌脑转移的病例报告很少。1978年,Mayer等[1]复习了567例卵巢癌资料,发现5例合并中枢神经系统转移,占0.9%。此后,相继报告卵巢癌脑转移的发生率为1.0%~11.6%[2-4]。Larson等[5]报道的发生率仅为0.3% (13/4 456)。截止到1996年,国外文献报道卵巢癌发生脑转移病例只有101例[6]。本组脑转移4例,占同期我院初治卵巢癌患者的3.0%(4/132),与上述报道一致。
二、 卵巢癌发生脑转移的有关因素
1. 卵巢癌发生脑转移与患者治疗卵巢癌后生存期的延长有关:Hardy等[3]报道,1981~1984年,52例卵巢癌的平均生存期为28~38个月,而1955~1964年,5 240例卵巢癌的平均生存期只有17个月。本组4例患者自手术确诊卵巢癌至发生脑转移的平均时间为42个月(3~87个月),如果除外例4(Ⅳ期患者),3例Ⅲ期患者的平均生存时间更长,为55个月(26~87个月)。这4例患者在脑转移前均接受了较彻底的手术和术后化疗。其中例2术后残留癌直径<2cm,化疗后无病变生存时间长达64个月。因此,彻底的细胞减灭术和术后有效的化疗将会使患者生存期延长。为什么生存期延长会增加脑转移发生,很多学者认为,大分子化疗药物很难通过血-脑屏障进入脑组织[5]。因此,化疗药物只能杀灭脑组织以外的癌细胞,不能防止脑转移的发生。此机理已在白血病、非霍奇金淋巴瘤、肺癌和肉瘤等报道中描述[6-8]。
, http://www.100md.com
2. 脑转移常继发于卵巢癌以后的腹腔外转移:如肺转移,淋巴结转移和肝转移一样,卵巢癌发生脑转移一般出现较晚[3,4,9]。Sood等[9]认为,脑转移可能是癌细胞经Virchow-Robin 外周血管间隙血行播撒,或随淋巴逆流使脑膜受累,或通过受侵犯的骨骼直接侵入脑组织。本组例2和例4均有类似发展过程。例2于卵巢癌后64个月出现肺转移和锁骨上淋巴结转移,87个月发生脑转移。例4为术后病情不断进展,出现头皮转移灶增多,锁骨上和颈部淋巴结增大,继而发生脑转移和颅骨转移。
3. 脑转移与卵巢癌晚期和组织学分级有关:Sood等[9]指出,Ⅲ、Ⅳ期卵巢癌患者发生脑转移的危险性更高,低分化癌比高、中分化癌更可能出现脑转移。Hardy等[3]分析6例患者中,浆液性癌1例、粘液性癌1例、子宫内膜样癌2例、乳头状腺癌1例、苗勒管肉瘤1例,其中3例为低分化,1例为未分化癌。本组也有相似情况,4例患者中,浆液性、粘液性、子宫内膜样癌和混合性癌各1例,其中3例Ⅲ期、1例Ⅳ期;中、低分化癌各2例。
, 百拇医药
三、卵巢癌脑转移的诊断
卵巢癌脑转移很难早期诊断。因此,重视患者的主诉,仔细的全身检查,特别注意患者有无头痛、抽搐、语言障碍、记忆力丧失和肢体运动失常等神经系统的症状和体征,可帮助早期发现脑转移。CT和MRI检查是重要的诊断手段。Larson等[5]指出,如果CT未提供脑实质转移的依据,又无颅内压升高的表现,应行腰脊穿刺,抽取脑积液进行细胞学检查,在获得阳性结果前,可多次抽取检查。本组4例均有明显症状,例2并出现偏瘫,均能及时诊断。
四、卵巢癌脑转移的治疗
治疗卵巢癌脑转移应采用综合措施,包括手术、放疗、化疗和降颅压。要根据患者的病情、颅内转移灶的位置和数量而定。放疗可控制颅内多发性转移和微小转移灶,使头痛、肢体运动障碍、小脑功能异常等症状好转,但是单纯放疗的平均生存期大约只有4个月[5]。手术适用于颅内单发和较大转移灶,术后需加全脑照射。Galicich等采用这种方法治疗29例患者,其中28例在治疗野无复发。平均存活8个月,44%的患者存活1年以上。如果手术时没有身体其他部位转移,则患者能存活更长。1例术后存活48个月,另外2例分别存活10~34个月。而81%的患者在颅内病灶切除后存活1年。如果同时存在身体其他部位的转移,则还应采用化疗。这种患者的主要死亡原因是中枢神经系统以外的病变进展。化疗方案的选择尚无肯定。Cooper等[2]报道1例采用大剂量卡铂(800mg/m2),治疗后得到完全缓解。本组选用的化疗方案为静脉点滴威猛26和口服甲基环己亚硝脲,考虑这两种药物容易通过血-脑屏障。对于有颅内压高的患者,应常规给予降颅压治疗,以减轻脑水肿。多数学者认为,多种形式的综合治疗,如手术+全颅照射或者放疗+手术+化疗,效果均优于单纯放疗,这对于改善患者症状,控制腹腔外转移病变,延长患者寿命均有好处[5,10]。本组例3在脑转移前已有肠转移,而脑转移后应用手术、放疗及化疗综合治疗,现已存活19个月。
, 百拇医药
参考文献
1 Mayer RJ, Ross S, Berkowitz C, et al. Central nervous system involvement by ovarian carcinoma. Cancer, 1978, 41:776-783.
2 Cooper KG, Mrcog CHB, Kitchener HC ,et al. Case report cerebral metastases from epithelial ovarian carcinoma treated with carboplatin. Gynecol Oncol, 1994, 55:318-323.
3 Hardy JR, Harrey VJ. Cerebral metastases in patients with ovarian cancer treated with chemotherapy. Gynecol Oncol, 1989, 33:296-300.
, http://www.100md.com
4 Bruzzone M, Campora E, Chiara S,et al. Cerebral metastasis secondary to ovarian cancer: still an unusual event. Gynecol Oncol, 1993, 49: 37-40.
5 Larson DM, Copeland LJ, Moser RP, et al. Central nervous system metastases in epithelial ovarian carcinoma. Obstet Gynecol, 1986, 68:746-750.
6 Mackintosh FR, Colby TV, Podolsky WJ, et al. Central nervous system involvement in non-Hodgkin′s lymphoma: an analysis of 105 cases. Cancer, 1982, 49: 586-595.
, 百拇医药
7 Bunn PA. Ceentral nervous system complications in patients with diffuse histocytic and undifferentiated lymphoma: Leukemia revisited. Blood, 1976, 47: 3-9.
8 Newmen SF. Frequency diagnosis and treatment of brain metastases in 247 consecutive patients with bronchogenic carcinoma. Cancer, 1974, 33: 492-496.
9 Sood A, Kumar L, Sood R, et al. Case report epithelial ovarian carcinoma metastatic to the central nervous system: a report on two cases with review of literature. Gynecol Oncol, 1996, 62:113-118.
10 Rodriguez JT, Berchuch A, Oleson J, et al. Improved palliation of cerebral metastases in epithelial ovarian cancer using a combined modality approach including radiation therapy, chemotherapy, and surgery. J Clin Oncol, 1992, 10:1553-1560.
(收稿:1998-08-17 修回:1999-04-27), 百拇医药