外阴侵袭性血管粘液瘤二例
作者:王伟民 龙雯晴 张志刚 昝筑芳 徐志翔 洪兴中 黄蕾 曹志君
单位:王伟民 昝筑芳 曹志君 上海市闸北区中心医院妇产科 200070;洪兴中 上海市闸北区中心医院病理科;黄蕾 上海市闸北区中心医院信息统计科;龙雯晴 上海第二医科大学附属瑞金医院妇产科;张志刚 徐志翔 上海医科大学病理学教研室
关键词:
中华妇产科杂志990723 例1 患者47岁,6年前自觉左外阴有一黄豆大小的无痛性肿块,呈进行性增大,因要求手术治疗于1997年10月 28日入院。入院诊断:左外阴肿块,脂肪瘤。妇科检查:左大阴唇近阴阜处皮肤局限性隆起,呈椭圆形,色泽如常,肿块边界清楚,质地中等,无压痛,局部有囊样感,欠活动,大小约6cm×7cm×4cm。阴道通畅。宫颈光滑。子宫前倾前屈,正常大小。双侧附件无异常。11月3日于腰麻下行外阴肿块切除术。术中见肿块无明显包膜(图1)。病理诊断:外阴侵袭性血管粘液瘤。1997年11月26日再次行扩大的外阴局部切除术。出院诊断:外阴侵袭性血管粘液瘤。
, http://www.100md.com
图1 外阴侵袭性血管粘液瘤大体标本,5 cm×6 cm
例2 患者25岁,1994年3月9日因“左前庭大腺囊肿”于门诊行剥离术时出血达200ml而急诊入院。术中发现左外阴肿块深达耻骨联合,大小约9cm×7cm×7cm。入院诊断:左侧外阴肿块剥离术后。妇科检查:左侧外阴切口缝合处渗血。直肠指检:左侧会阴和盆腔未及血肿。入院后经对症治疗,渗血停止。
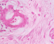
出院诊断:左侧外阴血管粘液瘤。1994年3月30日因原切口处反复渗血再次入院。经对症止血治疗无效,于1994年4月18日在腰麻下行左侧外阴切口清创缝合术。术后阴道出血止。此次住院输血总量达2 400ml。1995年6月28日又因左侧外阴原切口出现肿块,而第3次入院。入院诊断:外阴血管粘液瘤复发。妇科检查:左侧大阴唇有一10cm×8cm×8cm肿块,呈囊性,无压痛,边界清楚,皮肤如常。阴道通畅,左侧壁中段亦有囊性感。7月3日局部麻醉下,行左髂动脉造影,提示:该外阴血管粘液瘤大部分血供来自左髂内动脉,其余来自左髂外动脉分支及右髂内动脉吻合支。7月10日,全麻下行左髂内动脉结扎及外阴血管粘液瘤剥除术,术中出血300ml。术后切口愈合良好。出院诊断:左侧外阴侵袭性血管粘液瘤,浸润横纹肌(图2)。出院后随访,至今未复发。

, 百拇医药
图2 可见大量粘液样组织,有丰富的胶原纤维,血管壁增厚,周围有散在平滑肌细胞包绕。HE×200
讨论 侵袭性血管粘液瘤的临床特点:侵袭性血管粘液瘤(aggressive angio- myxoma,AAM)常发生于育龄妇女,主要位于盆腔、阴道、外阴等部位,呈缓慢的、隐匿性生长,质地中等偏软,一般直径超过10cm[1,2]。常因盆腔或外阴无痛性肿块就诊。术前不易确诊,术后复发率高,70%以上的病例均在术后1年内复发[3]。
AAM的诊断与治疗:近年来,大多数学者认为,对于女性外阴AAM,因生长部位和外形与巴氏腺囊肿、股疝、脂肪瘤等类似,术前不易确诊,故对可疑病例进行CT和血管造影是十分必要的[3]。对于外阴部位无包膜胶样肿瘤,术中应做冰冻切片检查以明确诊断。对确诊后的患者应做扩大的外阴局部切除术,仅局部肿块切除易造成日后复发。因AAM无远处及淋巴结的转移,淋巴结清扫及放疗、化疗则无意义[3]。复发者的再次手术切除仍应遵循上述原则。术后应长期随访。
, http://www.100md.com
参考文献
1 Gerdan J, Torres-Melero J, Martinez S, et al. Aggressive angiomyxoma of the pelvis and perineum. Eur J Surg, 1995,161:851-853.
2 Fetch J, Lskin WB, Lefkowitz M, et al. Aggressive angiomyxoma: a clinicopathologic study of 29 female patients. Cancer, 1996,78:79-89.
3 Smith HO, Worrell RV, Smith AY, et al. Aggressive angiomyxoma of the female pelvis and perineum: review of the literature. Gynecol Oncol, 1991,42:79-85.
(收稿:1998-05-06 修回:1999-04-30), 百拇医药
单位:王伟民 昝筑芳 曹志君 上海市闸北区中心医院妇产科 200070;洪兴中 上海市闸北区中心医院病理科;黄蕾 上海市闸北区中心医院信息统计科;龙雯晴 上海第二医科大学附属瑞金医院妇产科;张志刚 徐志翔 上海医科大学病理学教研室
关键词:
中华妇产科杂志990723 例1 患者47岁,6年前自觉左外阴有一黄豆大小的无痛性肿块,呈进行性增大,因要求手术治疗于1997年10月 28日入院。入院诊断:左外阴肿块,脂肪瘤。妇科检查:左大阴唇近阴阜处皮肤局限性隆起,呈椭圆形,色泽如常,肿块边界清楚,质地中等,无压痛,局部有囊样感,欠活动,大小约6cm×7cm×4cm。阴道通畅。宫颈光滑。子宫前倾前屈,正常大小。双侧附件无异常。11月3日于腰麻下行外阴肿块切除术。术中见肿块无明显包膜(图1)。病理诊断:外阴侵袭性血管粘液瘤。1997年11月26日再次行扩大的外阴局部切除术。出院诊断:外阴侵袭性血管粘液瘤。
, http://www.100md.com
图1 外阴侵袭性血管粘液瘤大体标本,5 cm×6 cm
例2 患者25岁,1994年3月9日因“左前庭大腺囊肿”于门诊行剥离术时出血达200ml而急诊入院。术中发现左外阴肿块深达耻骨联合,大小约9cm×7cm×7cm。入院诊断:左侧外阴肿块剥离术后。妇科检查:左侧外阴切口缝合处渗血。直肠指检:左侧会阴和盆腔未及血肿。入院后经对症治疗,渗血停止。
出院诊断:左侧外阴血管粘液瘤。1994年3月30日因原切口处反复渗血再次入院。经对症止血治疗无效,于1994年4月18日在腰麻下行左侧外阴切口清创缝合术。术后阴道出血止。此次住院输血总量达2 400ml。1995年6月28日又因左侧外阴原切口出现肿块,而第3次入院。入院诊断:外阴血管粘液瘤复发。妇科检查:左侧大阴唇有一10cm×8cm×8cm肿块,呈囊性,无压痛,边界清楚,皮肤如常。阴道通畅,左侧壁中段亦有囊性感。7月3日局部麻醉下,行左髂动脉造影,提示:该外阴血管粘液瘤大部分血供来自左髂内动脉,其余来自左髂外动脉分支及右髂内动脉吻合支。7月10日,全麻下行左髂内动脉结扎及外阴血管粘液瘤剥除术,术中出血300ml。术后切口愈合良好。出院诊断:左侧外阴侵袭性血管粘液瘤,浸润横纹肌(图2)。出院后随访,至今未复发。
, 百拇医药
图2 可见大量粘液样组织,有丰富的胶原纤维,血管壁增厚,周围有散在平滑肌细胞包绕。HE×200
讨论 侵袭性血管粘液瘤的临床特点:侵袭性血管粘液瘤(aggressive angio- myxoma,AAM)常发生于育龄妇女,主要位于盆腔、阴道、外阴等部位,呈缓慢的、隐匿性生长,质地中等偏软,一般直径超过10cm[1,2]。常因盆腔或外阴无痛性肿块就诊。术前不易确诊,术后复发率高,70%以上的病例均在术后1年内复发[3]。
AAM的诊断与治疗:近年来,大多数学者认为,对于女性外阴AAM,因生长部位和外形与巴氏腺囊肿、股疝、脂肪瘤等类似,术前不易确诊,故对可疑病例进行CT和血管造影是十分必要的[3]。对于外阴部位无包膜胶样肿瘤,术中应做冰冻切片检查以明确诊断。对确诊后的患者应做扩大的外阴局部切除术,仅局部肿块切除易造成日后复发。因AAM无远处及淋巴结的转移,淋巴结清扫及放疗、化疗则无意义[3]。复发者的再次手术切除仍应遵循上述原则。术后应长期随访。
, http://www.100md.com
参考文献
1 Gerdan J, Torres-Melero J, Martinez S, et al. Aggressive angiomyxoma of the pelvis and perineum. Eur J Surg, 1995,161:851-853.
2 Fetch J, Lskin WB, Lefkowitz M, et al. Aggressive angiomyxoma: a clinicopathologic study of 29 female patients. Cancer, 1996,78:79-89.
3 Smith HO, Worrell RV, Smith AY, et al. Aggressive angiomyxoma of the female pelvis and perineum: review of the literature. Gynecol Oncol, 1991,42:79-85.
(收稿:1998-05-06 修回:1999-04-30), 百拇医药